Abstract
Our study aimed to develop a comprehensive approach to the management of patients with involutional skin changes, considering the predictors of premature skin aging. The study included two stages, whereby 78 women with no history of aesthetic procedures that could have affected their perceived age were examined. In the first stage, we examined factors associated with premature skin aging. In the second stage, a blind, comparative placebo-controlled study of the effectiveness of intradermal injections for the treatment of involutional skin changes was conducted. Parameters reflecting skin aging were identified. The sum of these parameters could be used to diagnose premature skin aging in patients with no history of aesthetic treatment. For other patients, we developed indicators that can be applied to determine whether there is a risk of premature skin aging. Patients with premature aging have an increased risk of adverse events, such as impaired regeneration and wound healing, postprocedural hematomas, etc. For the correction of involutional skin changes in patients with premature aging, the collagen product (Collost) had the greatest clinical efficiency and the greatest patient satisfaction. A complex product based on HA (Teosyal Redensity 1) had comparable efficiency, with slightly less patient satisfaction. The product based on native HA (Hyon 1.8%) had low efficiency in the group of patients with premature aging and high efficiency in the group of patients with normal aging.
1. Introduction
It is well known that aging is a genetically programmed process that begins with the birth of an individual. The aging of organs is characterized by morphological changes and loss of functions. Aging skin, along with the loss of its anatomical and physiological functions, loses its “social function” responsible for interpersonal communication. Skin condition can affect a person’s self-perception and emotions, and they are also a visible indicator of age and health. The search for factors affecting aging and strategies to combat aging are one of the most popular research topics [1,2,3]. This is primarily due to the increase in the life expectancy of the world’s population and people’s desire to maintain their activity, including social activity, for as long as possible. In the etiology of aging, endogenous and exogenous factors are distinguished. Various studies have shown the contribution of these factors to the development of physiological (normal) and premature aging. Among exogenous factors, the role of UV radiation in the appearance of premature aging is the most widely discussed. Among endogenous factors, candidate genes that contribute to the acceleration of aging or contribute to the long-term maintenance of functional activity in centenarians are currently being actively searched for [4,5,6,7,8]. Nevertheless, the contribution of other endogenous and exogenous factors is also important. Thus, along with other factors of aging, the influence of various diseases, stress, lack of physical activity, excessive consumption of carbohydrates, chronic inflammation and nutrient and vitamin deficiency on skin aging is actively discussed [9,10,11,12,13,14,15]. On the other hand, currently, there are commercial genetic tests available that can, based on the presence of one SNP (single nucleotide polymorphism) in genes, make a conclusion regarding the full character of aging. These data require confirmation or refutation. In addition, the brain–inflammation–skin aging connection is known. Such a connection also requires further study from the aspect of genetic polymorphisms in the corresponding genes [16].
Moreover, it is known that various collagenopathies can manifest in early skin aging. In this case, it is worth singling out hereditary collagenopathies—monogenic syndromes that are quite rare. However, there are patients who have separate syndromes inherent in patients with hereditary collagenopathies, but do not fit into the disease. This condition can be attributed to multifactorial disorders of the functioning of connective tissue. Some researchers describe such patients as patients with mutations of one or another gene responsible for collagen formation, whereas other researchers describe them as suffering from Marfanoid Habitus, an isolated hypermobile syndrome. Nevertheless, such conditions affect the usefulness of collagen molecules, which are the main structural component of the skin.
Understanding the etiological and pathogenetic mechanisms is important for determining a personalized approach to the management of a patient with involutional skin changes. Such a personalized approach includes a prediction regarding the speed and features of skin aging, as well as the risks of possible adverse events in aesthetic medicine. Another part of the approach is the patient’s willingness to participate: the patient, knowing the peculiarities of their aging, also becomes an active participant in aesthetic treatment, following the recommendations at home. The third part of the personalized approach is the targeted selection of techniques and products for the treatment of involutional skin changes. There are many approaches and products for the management of patients with involutional skin changes [17,18,19,20,21,22]. However, the issues of their differentiated and successive appointment remain not fully understood, which makes further research in this direction promising.
The concept of premature aging is currently defined only in relation to biological age or repeatedly accelerated aging in progeria [23,24]. When determining involutional skin changes, the term “premature aging” is most often used in relation to photoaging.
Various studies have also described the influence of a variety of exogenous and endogenous factors on aging [4,5,6,7,8,9,10,11,12,13,14]. However, the patient always has a set of such etiological and concomitant factors. Thus, it is important to understand the level, i.e., the “critical mass” of such predictors in the development of premature aging. Then, such factors can be used as indicators of premature aging, especially in the case when this patient already has a history of aesthetic treatment that decreases the possibility of determining premature skin aging by skin aging criteria
Nowadays, there are many surgical and non-surgical methods for the treatment of involutional skin changes. Many techniques and products have also been proposed for non-surgical correction of skin aging: fillers, botulinum toxin type A, physiotherapy techniques, mesotherapy, biorevitalization and many others [1,17,18,19,20,21,22]. At the same time, it is necessary to understand that not all methods pathogenetically act on morphological and functional involutional changes of the dermis. For example, botulinum toxin type A only blocks muscle activity, and fillers only make up for lost volume. Among the pathogenetically justified methods of correction of involutional changes of the dermis, the effect of biorevitalization has been described as the best and used for a long time. Biorevitalization products can create “conditions for fibroblasts to work”: they can enhance signaling to stimulate the synthetic and proliferative activity of fibroblasts, deliver the necessary nutrients to the place of their use and change the phenotype of fibroblasts [25,26,27,28]. Despite the different pathogenetic mechanisms of action of biorevitalization, they have the same indications: the correction of involutional skin changes. Thus, at present, the issues of diagnosis and management of patients with premature skin aging remain insufficiently developed, and the existing protocols for the aesthetic treatment of patients do not imply a comprehensive and personalized approach to such patients.
The aim of our study was to develop a comprehensive approach to the management of patients with involutional skin changes, considering the predictors of premature skin aging. To achieve this goal, we compared the severity of age-related skin changes in different patients. Patients with the greatest age-related changes were identified. The perceived age of these patients was clarified, thus we determined the patients with premature aging. Then, we assessed the prevalence of the abovementioned exogenous and endogenous factors in patients with normal and premature aging. The prevalence of adverse events of aesthetic medicine in patients was assessed. Finally, products with different mechanisms of action were used for the correction of age-related skin changes. Thus, the most effective approach was found.
2. Materials and Methods
2.1. Study Subjects and Sampling
The research was conducted at the Shared Core Facilities of Molecular and Cell Technologies (V.F. Voino-Yasenetsky Krasnoyarsk State Medical University, Russia). The study included 2 stages (Figure 1). In the first stage, we examined factors associated with premature skin aging. In the second stage, a blind, comparative placebo-controlled study of the effectiveness of intradermal injections for the treatment of involutional skin changes was conducted.
Figure 1.
The study designs: stages, study sampling, methods.
In the first stage of the study, 78 women were examined who did not have a history of aesthetic procedures that could have affected their perceived age. The age was from 35 to 45 years; the mean age was 39.4 ± 3.14 years (median: 40 years old).
Criteria for inclusion:
- Women;
- Age of 35–45 years;
- I-III skin phototypes (by the Fizpatrick’s Scale);
- Absence of exclusion criteria;
- Signing of informed consent to participate in the study and photo documentation.
Criteria for exclusion from the study:
- Men;
- Age younger than 35 and older than 45 years;
- IV–VI skin phototypes (by the Fizpatrick’s Scale);
- Pronounced photo-aging of the face;
- Carrying out a history of filler correction of wrinkles, folds and facial volumes (except lip volume correction), thread lifting and facial plastic surgery;
- Carrying out cosmetic procedures in the previous year or other cosmetic procedures during the study;
- Participation in other studies;
- Nutritional deficiencies (protein starvation, vegetarianism and others);
- Pregnancy, lactation;
- Menopause;
- Sudden weight loss (more than 5 kg) in the previous year;
- Isotretinoin intake during the previous 6 months;
- Tendency to form keloid scars;
- Blood clotting disorders;
- Oncological diseases, diabetes mellitus and thyroid diseases in the decompensation stage;
- Acute infectious, somatic diseases and neuropsychiatric disorders, HIV, hepatitis B and C;
- Chronic diseases in the decompensation stage;
- Dermatoses (dermatitis of various etiologies, eczema of various etiologies, psoriasis, etc.);
- Systemic and autoimmune diseases of connective tissue with skin and subcutaneous tissue damage (systemic lupus erythematosus, ring-shaped granuloma, discoid lupus erythematosus, scleroderma, dermatomyositis, etc.);
- Hereditary collagenopathies;
- Taking glucocorticosteroids, immunosuppressants and other drugs affecting skin reactivity;
- Hypersensitivity to the components of the studied medical products;
- Refusal to participate in this the study or implement the full protocol of this study.
2.2. Data Collection Method
2.2.1. Questionnaires
We developed a questionnaire regarding lifestyle factors, certain diseases, wound healing features, heredity and aesthetic procedures in the past. The assessment of the psycho-emotional status of patients was carried out by means of a questionnaire and a survey. To assess the severity of anxiety and depression, a validated scale was used—the Hospital Anxiety and Depression Scale (HADS) [29]. To assess their perception, patients filled out questionnaires according to the methodology of body image research developed by T.F. Cash [30]: “Questionnaire of situational dissatisfaction with body image” (SIBID) and “Questionnaire of ideas about appearance” (ASI-R).
To assess the effectiveness of aesthetic treatment in the second part of the study, the doctor used the GAIS (Global Aesthetic Improvement Scale), and the patient used the PAIS (Patient Aesthetic Improvement Scale) [31]. Due to the difficulties of patients in some cases to assess the overall result of treatment, a questionnaire compiled by the authors was additionally used, aimed at assessing the patient’s changes in skin parameters: color, radiance, moisture, softness, skin tone, narrowing of enlarged pores and reducing the severity of fine wrinkles.
2.2.2. Skin Aging Grade
We used visual examination, with an assessment of the elasticity and extensibility of the skin, according to physical examination, determination of the phototype of the skin on the Fitzpatrick’s Scale [32] and determination of the prevailing type of aging of the facial skin. The assessment of the severity of aging was carried out using validated scales and questionnaires: modified Fitzpatrick’s Scale of wrinkles, photographic scales for visual assessment of aging, Merz Aesthetics Scale and G. Lemperle [33], which also assessed the tone, turgor, elasticity and extensibility of the skin, changes in the periorbital region. The results were entered in the summary table in points.
To assess the perceived age (the age attributed to another person when assessing their appearance), a group of 21 respondents (10 men and 11 women, aged 28 to 59 years) was created. All respondents were offered photographs of patients taken under the same conditions; the average result of the respondents’ assessment was recorded in the final assessment of the perceived age and compared with the calendar age of the patients.
The presence of individual symptoms of patients with connective tissue dysplasia was also assessed.
According to the results, two study groups were formed: the first, main group—women aged 35–45 years, average age of 38.9 ± 3.13 years (median 39.5 years), with premature skin aging; and the second comparison group—women aged 35–45 years, average age of 40.5 ± 2.92 years (median 40 years), with normal skin aging.
2.2.3. Morphological Features of the Skin
We used ultrasound sonography of the skin and histological examination of skin biopsies to assess the morphological features of the patients’ skin and their changes during aesthetic treatment. Ultrasound sonography was performed using an ultrasound scanner Mindray DC-70. Skin thickness was measured at 6 standard points of the face: in the projection of the middle of the zygomatic arch on the right and left, in the projection of the middle of the lower jaw body behind the puppet wrinkle line on the right and left, in the submental area under the lower jaw line, in parallel with the second points on the right and left.
Histological examination was performed on biopsy material (a skin area with a diameter of 5 mm, taken behind the auricle in the fold in front of the mastoid process). Histological sections of 5–7 micron thickness were stained for survey light microscopy with hematoxylin and eosin, for evaluation of the fibrous component of the connective tissue of the dermis using Van Gieson and Mallory methods; for polarization microscopy, for the differentiation of type I (mature collagen) and type III (immature collagen) collagen fibers, Sirius Red staining was applied. The amount of each type of collagen was determined by analyzing the color area distribution after Sirius Red coloring in polarizing light. Collagen fibers containing type I collagen had a red glow, while those containing type III collagen had a green glow.
2.3. Blood Samples
Blood samples from participants were taken by venipuncture in the morning, on an empty stomach. For this purpose, blood samples were taken from the cubital vein in a volume of 5 mL into a vacuum container with a coagulation activator (for biochemical research), with further centrifugation and serum production; in a volume of 9 mL into vacuum containers with EDTA (for molecular genetic research). The biochemical analysis determined the level of total protein in blood serum, the level of serum vitamin D (25-OH) and the level of serum free hydroxyproline.
In a genetic study, the association of premature skin aging with six SNPs was studied: rs1800012 and rs1107946, the COL1A1 gene responsible for the structure of the type I collagen α1 chain; rs18079, the IL6 gene responsible for IL6 synthesis; rs1800629, the TNFA gene responsible for TNFα synthesis; rs6313 and rs7997012, the HTR2A gene responsible for serotonin 2A receptors.
2.4. Blind Comparative Placebo-Controlled Study of the Effectiveness of Intradermal Injections
In the second stage of the study, patients passed a clinical open placebo-controlled study of the effectiveness of intradermal injections of native HA, a complex product with HA and collagen in patients with premature (main group) and normal (comparison group) skin aging. Intradermal injections of the fascial skin were carried out at intervals of 14–21 ± 2 days (according to the instruction of the preparations). The effectiveness of the procedures was monitored 30 ± 2.0 days after the third procedure of intradermal injection.
The patients were treated with products that have aesthetic indications for the correction of age-related skin changes, such as fading skin, a decrease in skin tone and turgor (except the placebo—saline solution). The patients of the main group were additionally randomly divided into 4 subgroups (depending on the treatment). Subgroup 1A is a saline solution (as a placebo); subgroup 1B is a product based on native HA, with a concentration of 1.8%—Hyon 1.8% (Infarm, Novosibirsk, Russia); subgroup 1C is a complex product based on HA 1.5%, amino acids, vitamins, antioxidants and minerals—Teosyal Redensity 1 (Teoxane, Geneva, Switzerland); and subgroup 1D is a product based on collagen 7%—Collost 7% (BioPHARMAHOLDING, Russia).
The patients of the comparison group were additionally randomly divided into 2 subgroups (depending on the treatment). Subgroup 2A is a saline solution (as a placebo) and subgroup 2B is a product based on native HA, with a concentration of 1.8%—Hyon 1.8%. Patients could be reincluded in the study with another drug 12 months after the last procedure with the product (6 months for the placebo). The distribution of patients by subgroups and the average age of patients in the subgroups is shown in Table 1. For the objectivity of evaluating the effectiveness and informativeness of the methods, the distribution by age and gender was uniform in all groups and the groups were comparable in all parameters.
Table 1.
Distribution of patients into groups and subgroups, depending on the aesthetic treatment.
2.5. Ethical Consideration
The research described herein was performed in accordance with the Declaration of Helsinki. The study was approved by the Local Ethics Committee of the Pirogov Russian National Research Medical University No. 206, dated 22 March 2021. Written informed consent was obtained from each participant.
2.6. Statistical Methods
To analyze and process the results, a database was created in the MS Excel program (Version 16.55). Statistical processing was carried out using the application software packages SPSS Statistics (Version 22.0), Jamovi (Version 2.3). Standard statistical methods were used for medical research: mean value, standard deviation, median, 95% confidence interval (95% CI), interquartile range (Q25; Q75), frequency and proportion, correlation analysis, reliability of differences (Student’s criterion, Mann–Whitney criterion, Wilcoxon criterion, Pearson’s criterion χ2 and Fisher’s exact criterion), variance analysis (Kruskal–Wallis criterion) and post hoc analysis (Tukey criterion).
To assess the association between the degree of aging and potential risk factors, the odds ratio and 95% CI were calculated.
All the results of the clinical part were compared with the control; the data obtained after placebo injection and control measurements of ultrasound sonography in the submental area were used as controls.
3. Results
3.1. Patients with Premature Aging
3.1.1. Index of Involution Changes of the Skin to Determine Premature Aging of the Skin
To assess the severity and prematurity of age-related changes in the facial skin of patients, the index of involution skin changes was calculated. To do this, the severity of different age-related facial features was first assessed in two groups: main group—patients with more pronounced age-related changes, and comparison group—patients with less pronounced age-related changes (Table 2).
Table 2.
Severity of age-related facial features; scores (M ± SD).
Then, the parameters were grouped into three categories:
- Facial hyper-functional wrinkles (forehead and brow wrinkles, “crow’s feet”, lip-chin fold);
- Perioral area change (upper and lower lip wrinkles, lip volume, lip contour change (white roller));
- Age-related parameters associated with changes in the viscoelastic properties of the skin and ligamentous apparatus (other signs that are not included in the first two categories, except for age-related changes in the hands).
For each category of parameters, the sum of scores was calculated. The average sum of feature scores by category was analyzed in the main group and in the comparison group, with an additional division into subgroups of 35–40 years and 41–45 years. Based on the degree of correlation and reliability of the differences in scores by category, the sum of scores for the third category (age-related signs associated with changes in the viscoelastic properties of the skin and ligamentous apparatus) was selected as an index of involutional changes (Figure 2).
Figure 2.
The index of involution changes of the skin in patients of the main group and the comparison group, where on the axis OX: 1—patients 35–40 years from the comparison group; 2—patients 41–45 years from the comparison group; 3—patients 35–40 years from the main group; 4—patients 41–45 years from the main group. The sum of points is reflected on the axis OY vertical.
Thus, in patients of the main group of 35–45 years, the index of involution changes was from 22 to 39 points, and in patients of the comparison group of 35–45 years, it was from 9 to 21 points (p-value < 0.001).
When determining the perceived age, it was found that patients of the main group were more often perceived to be 4.2 years older (Me), and the age difference was from (+) 0.5 years to (+) 9.81 years. Hence, this group of patients showed premature aging. Patients of the comparison group were more often perceived to be 1.3 years younger (Me), and the age difference was from (−) 9.71 years to (+) 3.67 years. Hence, this group of patients showed normal (physiological) aging. The difference also depended on the presence of excess body weight.
The index of involution changes can be used to determine the premature aging of the skin of female patients, 35–45 years old, who have not had aesthetic treatment that affects the severity of age-related changes. For the rest of the patients, we found indicators of premature aging, by which it is possible to determine the risk of premature aging (below).
3.1.2. Adverse Events in Patients with Premature Skin Aging
In order to assess the prevalence of possible adverse events after aesthetic treatment, anamnestic data, examination data and dynamic observation after skin biopsy were collected.
Patients of the main group more often complained of a tendency to petechiae (for no apparent reason) (35; 67.3%), a decrease in regeneration—prolonged wound healing (20; 38.5%), the presence of hypertrophic or wide scars (10; 19.2%) (Table 3). We have already described a clinical case of a wound healing disorder for such patient [34].
Table 3.
Adverse events in patients of the main group and the comparison group.
In the main group, there were 30 patients who had a history of aesthetic treatment: mesotherapy, biorevitalization, botulinum therapy, physiotherapy procedures and/or lip augmentation. In the comparison group there were 15 such patients. Among the patients of the main group there were seven patients (23.33%) who had adverse events after aesthetic procedures (thinning of the skin after resurfacing, prolonged swelling after botulinum therapy, gel contouring after lip augmentation, autoimmune reaction to plasmolifting). In the comparison group there was no adverse event.
Dynamic follow-up after biopsy (periauricular region) included only patients who did not have a scarring disorder according to anamnesis. Scarring was monitored for 6 months after the biopsy, and three variants of scars were noted: normotrophic, thin healed (white) scar; wide healed (white) scar; scar in the healing stage (red and thick).
In patients of the main group, scarring disorder was statistically significantly more common: a wide scar or a scar in the healing stage was exhibited by 85.7% patients of the main group (Figure 3).
Figure 3.
The wound healing after biopsy in the main group and the comparison group in 6 months, where 1 is a normotrophic, thin healed (white) scar; 2 is a wide healed (white) scar; 3 is a scar in the healing stage (red) (Pearson’s criterion χ2 is 7.53, p-value = 0.023, Fisher’s exact test p-value = 0.023).
3.1.3. Risk of Premature Aging
To apply the index of involutional changes to identify patients with premature aging, we set rather narrow criteria: women 35–45 years old who do not have a history of aesthetic treatment that can affect involutional skin changes. However, there are risks of adverse event in patients who do not “pass this filter”. Therefore, for the rest, we developed a prediction method of the risks of premature skin aging. In order to find indicators of the risk of premature aging, different factors were assessed. These factors included various lifestyle factors, somatic pathology and data from physical and laboratory examination of patients in the group of patients with normal and premature skin.
In general, in the group of patients with premature aging, a “tired” morphotype of aging was more common: sagging skin, with a deep tear though, nasolabial folds. There were also often patients with pale, thin skin, without a healthy shine. Patients more often complained of edema, a tendency to petechiae, impaired wound healing and skin regeneration. Additionally, patients of the main group were more likely to have individual phenotypic manifestations of connective tissue dysplasia: joint hypermobility, arachnodactyly, weight loss and hyperextension of the skin (Table 4). It is also necessary to note the presence of hereditary predisposition (early aging in close relatives), concomitant somatic pathology (varicose veins, tendency to catch colds, prolapse of organs and/or herniated discs).
Table 4.
The prevalence of indicators and odds ratio of the chances of premature aging, depending on the presence of indicators in the main group and the comparison group.
All predictors were entered in the summary table, the presence of each predictor was estimated at 1 point. In the main group, the total score was from 3 to 14, the average score was 8.58 ± 2.87 (Q1 = 7.0; Q3 = 11.0). In the comparison group, the total score was from 0 to 4, the average score was 1.85 ± 1.22 (Q1 = 1.0; Q3 = 3.0) (p < 0.001). Based on the results obtained, the following risk groups of premature aging can be distinguished (according to predictor scores):
0–2 points—low risk of premature skin aging;
3–6 points—average risk of premature skin aging;
7 and above points—high risk of premature skin aging.
3.1.4. Histological Analysis of Skin Biopsies of Patients with Premature Aging
Microscopy of skin sections of patients with normal aging visualizes the preservation of its architectonic structure. In the basal layer of the epidermis, epithelial cells are prismatic in shape with well-defined boundaries, their nuclei are visualized in the basal part. Some cells are in the stage of mitotic division. The cells of the spinous layer are large in size, the shape of the nuclei is close to spherical, arranged in several rows. The cells of the granular layer have a flattened shape, and dark strong granules of keratogyalin are visualized in their cytoplasm (Figure 4a,b).

Figure 4.
Micrography of the skin section in the comparison group is an intact skin area of patients with normal skin aging: (a,b) stained with hematoxylin and eosin, (c,d) stained according to the Mallory method, (e,f) stained according to the Van Gieson method. ×100 (a,e), ×200 (b–d,f).
The dermis is formed by papillary and reticular layers. The border between the epidermis and the dermis is smoothed, the epidermal papillae are short and wide. The papillary layer of the dermis is formed by loose fibrous connective tissue, the fibrous component of which is formed by fibers arranged randomly and disordered, without a tendency to form bundles. Connective tissue fibers are thin, and the degree of their heterogeneity is poorly expressed. The cellular component is heterogeneous in its composition. The border between the papillary and reticular layers is moderately pronounced; there is a smooth transition of one type of connective tissue to another (Figure 4c,d). The reticular layer is formed by dense irregular connective tissue. Bundles of collagen fibers oriented in different directions are visualized in its thickness. The fibrous component prevails over the cellular one (the structured substance of the dermis of the skin). Inter-fiber spaces (unstructured matter) are visualized between bundles of connective tissue fibers (Figure 4d,e).
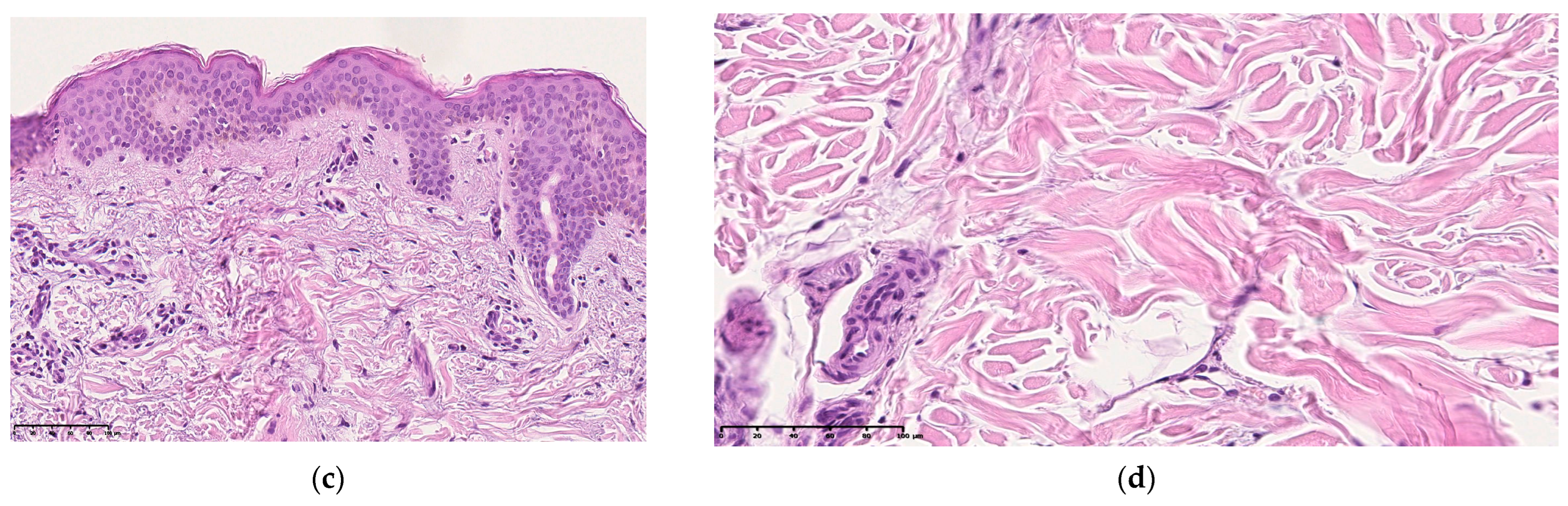
Histological examination of skin sections of patients with premature aging revealed a decrease in the thickness of the epidermis, mainly due to a decrease in the number of rows of cells of the spinous layer. The rate of keratinization of the epidermis is increased, the morphological manifestation is an increase in the thickness of the stratum corneum and its detachment from the underlying layers of the epidermis. The granular layer is weakly expressed. The undulation of the border between the papillary dermis and the epidermis is enhanced. The folding of the skin is more pronounced, the morphological manifestation of which is an increase in the height of the epidermal papillae, which look narrow and long on slices. In the papillary layer of the dermis, the fibers are thinner, the degree of their heterogeneity is pronounced, there is a decrease in the inter-fiber gaps, leading to a decrease in the thickness or its area of the papillary layer. The cell density is slightly higher than in the group of patients with normal skin aging. The border between the papillary and reticular layers of the dermis of the skin is more contrastingly pronounced (Figure 5).

Figure 5.
Micrography of the skin section in the main group is an intact skin area of patients with premature skin aging: (a–c) stained with hematoxylin and eosin, (d,e) stained according to the Van Gieson method. ×100 (a,b,d), ×200 (c,e).
In the reticular layer, the bundles of collagen fibers are coarse and deformed, and their heterogeneity is pronounced. The area of inter-fiber gaps has been reduced.
3.2. Results of the Blind, Comparative Placebo-Controlled Study of the Effectiveness of Intradermal Injections for the Treatment of Involutional Skin Changes
3.2.1. Comparative Evaluation of the Clinical Efficacy of Biorevitalization in a Group of Patients with Premature and Normal Facial Aging
We submitted the PAIS (Patient’s Aesthetic Improvement Scale) at the end of treatment to all patients. They were also studied with the GAIS (Global Aesthetic Improvement Scale) by the physician. The results of the assessment were graded in points (from (−1) to 3) or by grade description (1—worse than before treatment; 2—no change; 3—minimal improvement; 4—good improvement; 5—optimal improvement). In addition, the scale of skin condition changes developed by the author (in points from 0 to 2) were used. As a control, clinical efficacy indicators were used in the placebo groups (saline solution) (subgroup 1A and 2A).
According to the sum of points on the PAIS, a statistically significant difference in satisfaction was noted (Figure 6):
Figure 6.
Comparative clinical efficacy of products in the main group and the comparison group according to the PAIS (Patient Aesthetic Improvement Scale) (satisfaction according to patients), where 2—no change; 3—minimal improvement; 4—good improvement; 5—optimal improvement; 1A—patients of the main group after placebo, 1B—patients of the main group after native HA (hyaluronic acid), 1C—patients of the main group after the complex product of HA (hyaluronic acid), 1D—patients of the main group after collagen, 2A—patients of the comparison group after placebo, 2B—patients of the comparison group after native HA (hyaluronic acid).
- -
- In subgroup 1C in comparison with subgroup 1A and subgroup 2A (p < 0.001), as well as with subgroup 1B (p < 0.05);
- -
- In subgroup 1D in comparison with subgroup 1A, subgroup 1B and subgroup 2A (p < 0.001);
- -
- In subgroup 2B in comparison with subgroup 1A, subgroup 1B and subgroup 2A (p < 0.001).
There was no statistically significant difference in patient satisfaction on the PAIS between subgroups 1C, 1D and 2B (p > 0.05), and there was no statistically significant difference in patient satisfaction on the GAIS between subgroups 1A, 1B and 2A (p > 0.05). However, a higher satisfaction score was noted in subgroups 1D and 2B. Such an analysis shows a high satisfaction with the patients of the comparison group after the use of native HA, while in the main group, the use of native HA gives a low satisfaction score. The highest satisfaction was shown using collagen in the main group as an aesthetic treatment of involutional changes. The use of a complex product based on HA gave a lower degree of satisfaction (but there was no statistically significant difference with the 1D subgroup (p = 0.544)). We obtained a similar result on the GAIS.
According to most parameters of the skin condition, the highest scores were also in subgroup 1C (patients of the main group after the complex product of HA), 1D (patients of the main group after collagen) and subgroup 2B (patients of the comparison group after native HA) (Table 5). Only in terms of skin hydration and softness after a course of procedures in subgroup 1B (patients of the main group after native HA) was patient satisfaction higher than after the placebo, but still less than those in the previous three groups. In general, it can be said that the improvement in color, radiance and skin tone were higher in the group of patients with premature aging after collagen and in the group of patients with normal aging after native HA than in the group of patients with premature aging after a complex HA product (without a statistically significant difference). An increase in hydration and softness and a decrease in the severity of fine wrinkles was reported in the group of patients with premature aging after a complex HA product and in the group of patients with normal aging after native HA compared to the group of patients with premature aging after collagen (without a statistically significant difference).
Table 5.
The results of the survey of patients on the scale of changes in the condition of the skin, in points (M ± SD).
3.2.2. Comparative Results of Ultrasound Sonography after the Use of Biorevitalization in a Group of Patients with Premature and Normal Facial Aging
In order to evaluate the results of ultrasound sonography, measurements at three points on each half of the face were made: in the projection of the middle part of the zygomatic arch, in the area of the middle part of the lower jaw body behind the puppet wrinkle, in the submental area parallel to the second measurement point.
The results of ultrasound sonography in the placebo groups (subgroup 1A and 2A) and measurement in the submental area, where injections were not performed, were used as a control.
A statistically significant increase in skin thickness before and after aesthetic treatment was noted in the middle and lower third of the face in subgroups 1C, 1D and 2B (Table 6): in the group of patients with premature aging after a complex product of HA and collagen, as well as in the group of patients with normal aging after native HA. In subgroups 1A, 1B and 2A, in the middle and lower third of the face, as well as in the submental area in all subgroups, there was no statistically significant change in skin thickness before and after aesthetic treatment. Thus, the ultrasound data of the results of aesthetic treatment in the group of patients with premature aging after native HA were similar to the data after the placebo and from the areas where injections were not performed (submental area).
Table 6.
Ultrasound sonography results in the main group of patients before and after aesthetic treatment (M ± SD).
3.2.3. Results of Histological Examination
After injections of saline solution in both observation groups (patients with normal and premature skin aging), there were no significantly significant differences from the intact group.
After the treatment of patients with normal aging with native HA, an increase in the thickness of the papillary layer was observed in the dermis. The border between the papillary and reticular layers is weakly pronounced; a smooth transition is observed. The density of cellular elements in the papillary layer is increased. In the reticular layer, the fiber bundles are large, inter-fiber gaps have a tendency to increase their size (Figure 7a,b).

Figure 7.
Micrography of the skin section after hyaluronic acid treatment: (a) in comparison group stained with hematoxylin and eosin, ×200, (b) in comparison group stained according to the Van Gieson method, ×200, (c) in main group stained with hematoxylin and eosin, ×100, (d) in main group stained with hematoxylin and eosin, ×200.
After treatment of patients with premature aging with native HA, unexpressed changes are visible in the papillary layer of the dermis. The increased density of the fiber arrangement is visible. In the reticular layer, the bundles of collagen fibers are thick, the inter-fiber gaps are expanded. The border between the papillary and reticular layers is weakly expressed (Figure 7c,d).
In the group of patients with premature aging of the skin after treatment with complex product of HA, there was a pronounced dynamic of morphological changes. There was an increase in the cross-sectional area of the papillary layer of the dermis, an increase in the density of cells in it per unit area of the section (Figure 8a); the visualized small blood vessels are blood-filled. There is a gradual transition from the papillary to the reticular layer. In the reticular layer of the dermis, the inter-fiber gaps are very wide, a significant number of thin newly formed fibers are visualized in the field of view, the intensity of the color of the fibers is different, which indirectly indicates a different degree of their maturity. The density of structured matter per unit area of the section is less, the ratio of structured to unstructured matter is shifted towards the latter. Additionally, for the pronounced heterogeneity of fibers, it should be noted that thin single fibers are visualized between fiber bundles without a tendency to merge into bundles (Figure 8b). The density of cells in all layers of the skin is increased. In the dermis, fibroblastic differon cells and macrophages predominate in the field of vision.
Figure 8.
Micrography of the skin section after treatment: (a) in the main group after complex product with hyaluronic acid stained with hematoxylin and eosin, ×300; (b) in the main group after complex product with hyaluronic acid stained with hematoxylin and eosin, ×400; (c) in the main group after collagen product stained with hematoxylin and eosin, ×400; (d) in the main group after collagen product stained with hematoxylin and eosin, ×100.
Microscopy in a group of patients with premature skin aging after collagen treatment also shows the pattern of morphological changes detected. The epidermal–dermal border is undulating, the papillae formed by the epidermis are not deep and wide (Figure 8c).
It should be noted that thickened collagen fibers are visualized in the field of view in the papillary layer of the dermis, which indirectly indicates the activation of collagenogenesis and reduces the severity of the border between the papillary and reticular layers. The thickness of the papillary layer is reduced. In the reticular layer of the dermis, connective tissue fibers are thickened and form coarse bundles of fibers, between which single thin fibers are visualized. It should also be noted that there is an increased accumulation of collagen fibers, with a certain structure in the location, near the hair follicles and sebaceous glands (Figure 8d).
The density of the structured substance is greater, mainly due to the fibrous component. The cellular component is dominated by elements of fibroblastic differon.
3.2.4. Results of Polarization Microscopy
Analysis by polarization microscopy of skin sections stained with Sirius Red have shown that collagen fibers were represented by tightly packed fibrils of various diameters and formed mesh-fibrous or parallel-fibrous architectonics. Type I collagen fibers showed red staining; type III showed green staining and were significantly thinner.
In the group of patients with normal aging, the percentage of collagen type III relative to collagen type I was significantly higher than in the group of patients with premature aging (Table 7). According to available literature sources, the amount of collagen type III in the skin ranges from 8 to 12% [35]. Aesthetic treatment with HA in the group of patients with normal aging leads to the normalization of collagen type III content. At the same time, in the group of patients with premature aging after native HA, only a small increase in collagen type III was noted without reaching the standard level.
Table 7.
The results of polarization microscopy (M ± m, %).
In the group of patients with premature aging, aesthetic treatment with a complex product with HA caused an increase in collagen type III to the standard level, while aesthetic treatment with a collagen product caused an even greater increase in type III collagen, which indicates more active collagenogenesis in subgroup 1D (Figure 9).

Figure 9.
Micrograph of the skin section of patients: (a) patients with normal skin aging before treatment; (b) patients with normal skin aging after treatment with native hyaluronic acid; (c) patients with premature skin aging before treatment; (d) patients with premature skin aging after native hyaluronic acid; (e) patients with premature aging of the skin after the complex product of hyaluronic acid; (f) patients with premature aging of the skin after collagen. Stained by Sirius Red. Polarization microscopy, ×400.
3.2.5. Results of the Assessment of the Psycho-Emotional Status
The assessment of the psycho-emotional status of patients was carried out before and after all the procedures. When assessing the psycho-emotional status of patients, an increase in the average anxiety score in patients of the main group and a tendency to increase the depression score (but without reliable statistical significance, p-value > 0.05) can be noted (Table 8). Patients of the two groups showed a comparable level of satisfaction with their own body. In general, the average statistical indicators fit into the average population norms (up to 7 points—on the anxiety and depression scale; 1.80 ± 0.9—on the SIBID; 3.53 ± 0.62—on the ASI-R).
Table 8.
The results of the assessment of the psycho-emotional status of patients (M ± SD).
After aesthetic treatment, in general, we did not notice a statistically significant difference in the scales reflecting the psycho-emotional state of patients in all groups. However, as part of our study, it was noted that patients with a higher score on the HADS anxiety and depression subscales often “underestimate” the assessment of satisfaction with the result of procedures. We analyzed the questionnaires of patients who received the product, excluding patients of subgroups 1A and 2A (after placebo). We identified two groups of patients. The first group, included “underestimating” patients whose PAIS rate was lower than the physician’s GAIS rate, according to photographic documentation and ultrasound studies. In the second group of patients were “not underestimating” patients, whose PAIS score coincided or was higher than the physician’s GAIS rate. The average score was determined from the questionnaires completed after the procedures (Table 9). There was no statistically significant difference on the SIBID and ASI-R, but on the HADS, the indicators in the first group were statistically significantly higher.
Table 9.
The results of the assessment of the psycho-emotional status in patients who underestimate and do not underestimate the assessment of satisfaction with the result (M ± SD).
The data obtained, confirming a decrease in the assessment of patients with increased anxiety and depression levels, with a general increase in the level of anxiety and depression in patients with premature aging, indicate the need for specialized consultation for such patients before aesthetic treatment.
In our study, we confirmed the risk of depression in patients carrying a recessive homozygous allele of the HTR2A gene (Table 10). To achieve this, according to the HADS questionnaire, we identified a group of patients with subclinical or clinical depression and compared them with a group of patients without subclinical or clinical depression.
Table 10.
Frequencies of recessive alleles of rs6313 and rs7997012 of the HTR2A gene. Odds ratio of subclinical or clinical depression depending on alleles.
4. Discussion
In our study based on clinical and morphological features of the skin of women of 35–45 years of age with varying degrees of severity of involutional skin changes, patients with premature skin aging can be distinguished. We identified a group of parameters associated with changes in the viscoelastic properties of the skin and ligamentous apparatus, which can be used to assess the rate of skin aging.
The developed index of involution skin changes enables the identification of patients with premature skin aging. This was confirmed by the difference between the perceived age and calendar age in such patients: (+) 4.29 ± 1.97 years, which is significantly higher than the same difference in patients with normal aging: (−) 1.47 ± 2.89 years.
In patients with a history of aesthetic treatment, indicators can be used to determine the risk of premature skin aging, based on the prevalence of indicators in the groups with normal and premature aging. We identified three risk groups: low-risk, moderate-risk and high-risk group of premature aging.
There was no statistically significant difference in the lifestyle factors affecting aging (such as incomplete sleep, inactivity, consumption of large amounts of carbohydrates, frequent exposure to stress, exposure to UV, smoking) in patients of the two groups. According to biochemical analysis, we did not find a significant difference in the two groups in terms of serum level of vitamin D, total protein and free hydroxyproline.
We did not find a statistically significant difference in the frequency of mutations in the examined genes. This confirms the participation of a much larger number of genes and possible mutations in the occurrence of connective tissue pathology. A large number of genetic and epigenetic factors are involved in the synthesis of collagen [36]. An even greater number of genes are involved in the process of regeneration and wound healing [37]. Even though available commercial tests suggest using the above mutations to diagnose the risk of various pathologies, including skin, the reliability is still questionable.
Patients with premature aging are characterized by delayed wound healing and reduced regeneration, with a higher tendency to form post-traumatic hematomas. This means that they belong to the group of increased risk of adverse events after aesthetic treatment and require early detection and special monitoring during various treatments.
The use of native HA (Hyon 1.8%) in the group of patients with premature aging had a low clinical response, comparable to the placebo group. Similar results were obtained in the morphological study. At the same time, native HA injections had a high clinical and morphological effect in the group of patients with normal aging.
The use of a collagen-based product (Collost 7%) and a complex product with hyaluronic acid (Teosyal Redensity 1) in a group of patients with premature aging contributed to more pronounced clinical and morphological effects, compared with native hyaluronic acid in the same group of patients. The observed effects were statistically significant. The overall satisfaction of patients and the assessment of changes in skin parameters after the use of collagen was higher than after the complex product of HA.
An assessment of the psycho-emotional state in women aged 35–45 years, with normal and premature skin aging, showed that patients with premature skin aging have a higher level of anxiety. On the other hand, patients (with normal and premature skin aging) who have higher levels of anxiety and depression were less satisfied with the results of aesthetic treatment.
Thus, we offer a comprehensive approach to the management of patients with involutional skin changes in aesthetic medicine. This approach can be used for both cosmetology and plastic surgery. First, it is necessary to evaluate the index of involutional skin changes for patients without a history of cosmetic procedures or a risk group for others. Patients with premature aging or a high risk of premature aging have an increased risk of adverse events after cosmetology procedures or after plastic surgery. Additionally, anxiety and depression are common among patients with premature aging, and they are more often less satisfied with the results of treatment. This means that patients first of all need to be informed about their “special condition”. Then, together with the patient, further management tactics are chosen, with a preference for non-aggressive, non-surgical methods. Of these methods, the method of intradermal collagen injection showed the greatest clinical effectiveness in treating age-related skin changes. If aggressive and/or surgical methods are necessary, it is important to consider the possible impairment of regeneration and wound healing. Patients require a complex treatment after surgery to achieve a satisfactory result. Such a complex treatment needs further study.
Author Contributions
Conceptualization, N.N.P. and O.B.B.; methodology, E.I.K. and N.A.S.; software, O.B.B. and O.M.D.; validation, E.I.K., N.A.S. and M.M.P.; formal analysis, M.M.P.; data curation, D.V.D. and M.A.Z.; writing—original draft preparation, O.B.B.; writing—review and editing, N.A.S., E.E.T. and M.M.P.; visualization, O.B.B. and M.A.Z.; supervision, N.N.P.; project administration, N.A.S. All authors have read and agreed to the published version of the manuscript.
Funding
This research received no external funding.
Institutional Review Board Statement
The study was conducted in accordance with the Declaration of Helsinki, and approved by the by the Local Ethics Committee of the Pirogov Russian National Research Medical University No. 206, dated 22 March 2021.
Informed Consent Statement
Informed consent was obtained from all subjects involved in the study.
Data Availability Statement
Not applicable.
Acknowledgments
The work was undertaken using the resource base Shared Core Facilities Molecular and Cell Technologies of V.F. Voino-Yasenetsky Krasnoyarsk State Medical University.
Conflicts of Interest
The authors declare no conflict of interest.
References
- Ganceviciene, R.; Liakou, A.I.; Theodoridis, A.; Makrantonaki, E.; Zouboulis, C.C. Skin anti-aging strategies. Derm. Endocrinol. 2012, 4, 308–319. [Google Scholar] [CrossRef]
- Humphrey, S.; Manson, B.S.; Cross, S.J.; Mehta, R. Defining skin quality: Clinical relevance, terminology, and assessment. Dermatol. Surg. 2021, 47, 974–981. [Google Scholar] [CrossRef] [PubMed]
- Farage, M.A.; Miller, K.W.; Elsner, P.; Maibach, H.I. Characteristics of the aging skin. Adv. Wound Care 2013, 2, 5–10. [Google Scholar] [CrossRef]
- Ansary, T.M.; Hossain, M.R.; Kamiya, K.; Komine, M.; Ohtsuki, M. Inflammatory molecules associated with ultraviolet radiation-mediated skin aging. Int. J. Mol. Sci. 2021, 22, 3974. [Google Scholar] [CrossRef]
- Orioli, D.; Dellambra, E. Epigenetic regulation of skin cells in natural aging and premature aging diseases. Cells 2018, 7, 268. [Google Scholar] [CrossRef] [PubMed]
- Chang, A.L.S.; Atzmon, G.; Bergman, A.; Brugmann, S.; Atwood, S.X.; Chang, H.Y.; Barzilai, N. Identification of genes promoting skin youthfulness by genome-wide association study. J. Investig. Dermatol 2014, 134, 651–657. [Google Scholar] [CrossRef]
- Xu, J.; Spitale, R.C.; Guan, L.; Flynn, R.A.; Torre, E.A.; Li, R.; Raber, I.; Qu, K.; Kern, D.; Knaggs, H.E.; et al. Novel gene expression profile of women with intrinsic skin youthfulness by whole transcriptome sequencing. PLoS ONE 2016, 11, e0165913. [Google Scholar] [CrossRef]
- Vandiver, A.R.; Irizarry, R.A.; Hansen, K.D.; Garza, L.A.; Runarsson, A.; Li, X.; Chien, A.L.; Wang, T.S.; Leung, S.G.; Kang, S.; et al. Age and sun exposure-related widespread genomic blocks of hypomethylation in nonmalignant skin. Genome Biol. 2015, 16, 80. [Google Scholar] [CrossRef]
- Chen, Y.; Lyga, J. Brain-skin connection: Stress, inflammation and skin aging. Inflamm. Allergy Drug Targets 2014, 13, 177–190. [Google Scholar] [CrossRef]
- Silva, S.A.M.E.; Michniak-Kohn, B.; Leonardi, G.R. An overview about oxidation in clinical practice of skin aging. An. Bras. Dermatol. 2017, 92, 367–374. [Google Scholar] [CrossRef] [PubMed]
- Clatici, V.G.; Racoceanu, D.; Dalle, C.; Voicu, C.; Tomas-Aragones, L.; Marron, S.E.; Wollina, U.; Fica, S. Perceived age and life style. The specific contributions of seven factors involved in health and beauty. Maedica 2017, 12, 191–201. [Google Scholar] [PubMed]
- Bektas, A.; Schurman, S.H.; Sen, R.; Ferrucci, L. Aging, inflammation and the environment. Exp. Gerontol. 2018, 105, 10–18. [Google Scholar] [CrossRef] [PubMed]
- Zhang, S.; Duan, E. Fighting against skin aging: The Way from Bench to Bedside. Cell Transplant. 2018, 27, 729–738. [Google Scholar] [CrossRef]
- Bocheva, G.; Slominski, R.M.; Slominski, A.T. Neuroendocrine aspects of skin aging. Int. J. Mol. Sci. 2019, 20, 2798. [Google Scholar] [CrossRef]
- Cao, C.; Xiao, Z.; Wu, Y.; Ge, C. Diet and skin aging-from the perspective of food nutrition. Nutrients 2020, 12, 870. [Google Scholar] [CrossRef]
- Borzykh, O.B. Pathophysiological and genetic aspects of the brain–skin axis: The role of stress and inflammation in skin aging. Pers. Psychiatry Neurol. 2022, 2, 28–33. [Google Scholar] [CrossRef]
- Mehta-Ambalal, S.R. Neocollagenesis and neoelastinogenesis: From the laboratory to the clinic. J. Cutan. Aesthetic Surg. 2016, 9, 145–151. [Google Scholar] [CrossRef] [PubMed]
- Abuaf, O.K.; Yildiz, H.; Baloglu, H.; Bilgili, M.E.; Simsek, H.A.; Dogan, B. Histologic evidence of new collagen formulation using platelet rich plasma in skin rejuvenation: A prospective controlled clinical study. Ann. Dermatol. 2016, 28, 718–724. [Google Scholar] [CrossRef]
- Chaudhary, M.; Khan, A.; Gupta, M. Skin ageing: Pathophysiology and current market treatment approaches. Curr. Aging Sci. 2020, 13, 22–30. [Google Scholar] [CrossRef]
- Alam, M.; Hughart, R.; Champlain, A.; Geisler, A.; Paghdal, K.; Whiting, D.; Hammel, J.A.; Maisel, A.; Rapcan, M.J.; West, D.P.; et al. Effect of platelet-rich plasma injection for rejuvenation of photoaged facial skin: A randomized clinical trial. JAMA Dermatol. 2018, 154, 1447–1452. [Google Scholar] [CrossRef]
- Gennai, A.; Zambelli, A.; Repaci, E.; Quarto, R.; Baldelli, I.; Fraternali, G.; Bernardini, F.P. Skin rejuvenation and volume enhancement with the micro superficial enhanced fluid fat injection (M-SEFFI) for skin aging of the periocular and perioral regions. Aesthetic Surg. J. 2017, 37, 14–23. [Google Scholar] [CrossRef]
- Prikhnenko, S. Polycomponent mesotherapy formulations for the treatment of skin aging and improvement of skin quality. Clin. Cosmet. Investig. Dermatol. 2015, 8, 151–157. [Google Scholar] [CrossRef] [PubMed]
- Proshhaev, K.I.; Zhernakova, N.I.; Kapustin, R.F. Human biological age and premature aging in an anthropological context. Sci. Notes I. P. Pavlov. St. Petersburg State Med. Univ. 2011, 18, 14–16. [Google Scholar]
- Aliper, A.M.; Csoka, A.B.; Buzdin, A.; Jetka, T.; Roumiantsev, S.; Moskalev, A.; Zhavoronkov, A. Signaling pathway activation drift during aging: Hutchinson-Gilford Progeria Syndrome fibroblasts are comparable to normal middle-age and old-age cells. Aging 2015, 7, 26–37. [Google Scholar] [CrossRef]
- Bonferoni, M.C.; Caramella, C.; Catenacci, L.; Conti, B.; Dorati, R.; Ferrari, F.; Genta, I.; Modena, T.; Perteghella, S.; Rossi, S.; et al. Biomaterials for soft tissue repair and regeneration: A focus on italian research in the field. Pharmaceutics 2021, 13, 1341. [Google Scholar] [CrossRef]
- Deglesne, P.A.; Arroyo, R.; Ranneva, E.; Deprez, P. In Vitro study of RRS HA injectable mesotherapy/biorevitalization product on human skin fibroblasts and its clinical utilization. Clin. Cosmet. Investig. Dermatol. 2016, 9, 41–53. [Google Scholar] [CrossRef] [PubMed]
- Bagalad, B.S.; Mohan Kumar, K.P.; Puneeth, H.K. Myofibroblasts: Master of disguise. J. Oral Maxillofac. Pathol. 2017, 21, 462–463. [Google Scholar] [CrossRef]
- Kanta, J. Collagen matrix as a tool in studying fibroblastic cell behavior. Cell Adhes. Migr. 2015, 9, 308–316. [Google Scholar] [CrossRef]
- Lemay, K.R.; Tulloch, H.E.; Pipe, A.L.; Reed, J.L. Establishing the minimal clinically important difference for the Hospital Anxiety and Depression Scale in Patients with cardiovascular disease. J. Cardiopulm. Rehabil. Prev. 2019, 39, E6–E11. [Google Scholar] [CrossRef]
- Perpiñá, C.; Gallego, M.J.; Botella, C. Psychometric properties of the Situational Inventory of Body-Image Dysphoria-Short form in a Spanish sample. Body Image 2006, 3, 301–306. [Google Scholar] [CrossRef]
- Brandi, C.; Cuomo, R.; Nisi, G.; Grimaldi, L.; D’Aniello, C. Face Rejuvenation: A new combinated protocol for biorevitalization. Acta Biomed. 2018, 89, 400–405. [Google Scholar] [CrossRef]
- Shoshani, D.; Markovitz, E.; Monstrey, S.J.; Narins, D.J. The modified Fitzpatrick Wrinkle Scale: A clinical validated measurement tool for nasolabial wrinkle severity assessment. Dermatol. Surg. 2008, 34, 85–91. [Google Scholar] [CrossRef]
- Carruthers, A.; Carruthers, J. A validated facial grading scale: The future of facial ageing measurement tools? J. Cosmet. Laser Ther. 2010, 12, 235–241. [Google Scholar] [CrossRef] [PubMed]
- Potekaev, N.N.; Borzykh, O.B.; Medvedev, G.V.; Petrova, M.M.; Karpova, E.I.; Zatolokina, M.A.; Al-Zamil, M.; Demina, O.M.; Narodova, E.A.; Shnayder, N.A. Managing wound healing with a hight-risk patient: A case report. Cosmetics 2022, 9, 28. [Google Scholar] [CrossRef]
- Borzykh, O.B.; Shnayder, N.A.; Karpova, E.I.; Petrova, M.M.; Demina, O.M.; Nasyrova, R.F. Collagen synthesis in the skin, its functional and structural features. Med. News North Cauc. 2021, 16, 443–450. [Google Scholar] [CrossRef]
- Potekaev, N.N.; Borzykh, O.B.; Medvedev, G.V.; Petrova, M.M.; Gavrilyuk, O.A.; Karpova, E.I.; Trefilova, V.V.; Demina, O.M.; Popova, T.E.; Shnayder, N.A. Genetic and epigenetic aspects of skin collagen fiber turnover and functioning. Cosmetics 2021, 8, 92. [Google Scholar] [CrossRef]
- Potekaev, N.N.; Borzykh, O.B.; Medvedev, G.V.; Pushkin, D.V.; Petrova, M.M.; Petrov, A.V.; Dmitrenko, D.V.; Karpova, E.I.; Demina, O.M.; Shnayder, N.A. The role of extracellular matrix in skin wound healing. J. Clin. Med. 2021, 10, 5947. [Google Scholar] [CrossRef] [PubMed]
Disclaimer/Publisher’s Note: The statements, opinions and data contained in all publications are solely those of the individual author(s) and contributor(s) and not of MDPI and/or the editor(s). MDPI and/or the editor(s) disclaim responsibility for any injury to people or property resulting from any ideas, methods, instructions or products referred to in the content. |
© 2023 by the authors. Licensee MDPI, Basel, Switzerland. This article is an open access article distributed under the terms and conditions of the Creative Commons Attribution (CC BY) license (https://creativecommons.org/licenses/by/4.0/).












