Isolation and Probiotic Functions of Bacillus subtilis and Its Inhibitory Effects on Colitis
Simple Summary
Abstract
1. Introduction
2. Materials and Methods
2.1. Animals, Strains, and Reagents
2.2. Bacterial Isolation, Staining, and Microscopic Observation
2.3. Molecular Identification of Bacillus subtilis Isolates
2.4. Determination of Growth Curve
2.5. Assessment of Environmental Tolerance
2.5.1. Tolerance of Acid
2.5.2. Tolerance of High-Temperature
2.5.3. Bile Salt Tolerance Assay
2.5.4. Tolerance to Artificial Gastrointestinal Fluid
2.5.5. Self-Aggregation Detection
2.6. Whole Genome Sequencing Analysis
2.7. Development of Animal Models and DSS-Induced Experiment
2.7.1. Collection of Specimens
2.7.2. Assessment of Disease Activity Index (DAI)
2.7.3. Colon Pathological Section
2.7.4. Colon Immunohistochemistry
2.8. Quantitative Real-Time PCR Analysis of the Expression of Inflammatory Factors
2.8.1. Primers Design
2.8.2. RNA Isolation and Quantitative Real-Time PCR (qRT-PCR)
2.9. Statistical Analysis
3. Results
3.1. Morphological and Molecular Identification of the Isolated Strain
3.2. The Growth Curve and Stress Resistance of the Bacillus subtilis Isolated
3.3. Stress Resistance in the Bacillus subtilis Isolated
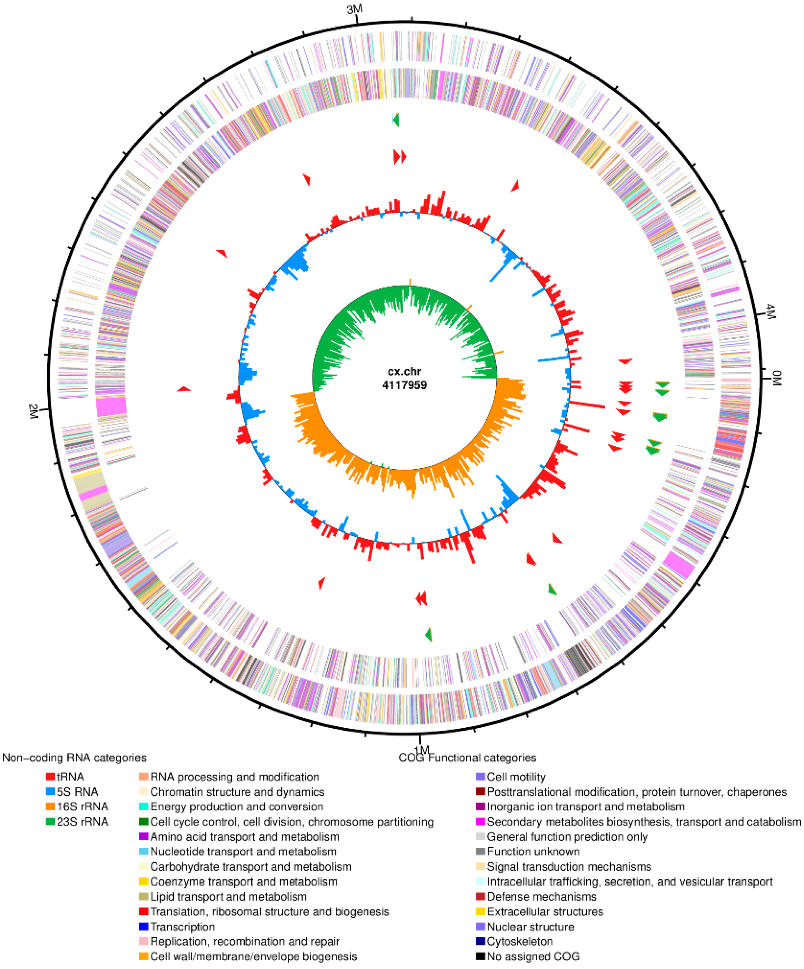
3.4. Whole Genome Sequencing of the Isolated Bacillus subtilis Strain
3.4.1. Data Collection
3.4.2. Basic Genomic Characteristics of the Isolated Bacillus subtilis
3.4.3. COG Functional Classification Analysis
3.4.4. KEGG Pathway Analysis
3.4.5. GO Database Annotations
3.4.6. CAZy Database Annotations
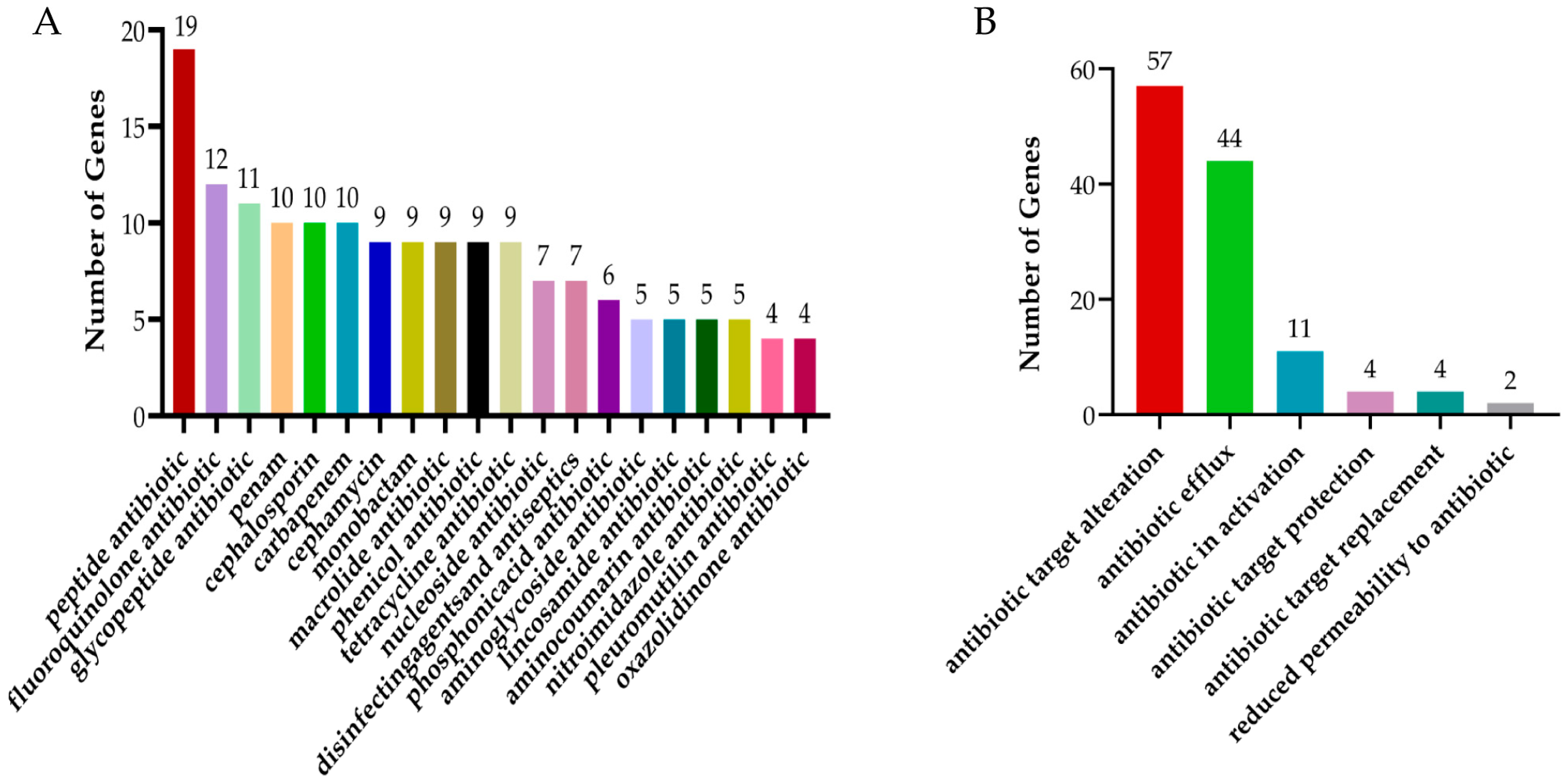
3.4.7. Antibiotic Resistance Gene Annotation
3.4.8. Prediction of Protein Signal Peptides
3.5. The Effect of the Bacillus subtilis in the Alleviation of Colitis
3.5.1. The Effect of Bacillus subtilis on Weight and DAI
3.5.2. The Effect of Bacillus subtilis on Pathological Changes in Colonic Histology
3.5.3. The Effect of Bacillus subtilis on Tight Junction Proteins in Colonic Tissue
3.5.4. The Effect of Bacillus subtilis on the Expression of Inflammatory Factors
4. Discussion
5. Conclusions
Author Contributions
Funding
Institutional Review Board Statement
Informed Consent Statement
Data Availability Statement
Conflicts of Interest
Abbreviations
| BW | body weight |
| CARD | Comprehensive Antibiotic Resistance Database |
| COG | Clusters of Orthologous Groups |
| DAI | Disease Activity Index |
| DSS | dextran sulfate sodium |
| HE | hematoxylin and eosin |
| IBD | inflammatory bowel disease |
| IHC | immunohistochemical |
| KEGG | Kyoto Encyclopedia of Genes and Genomes |
| qRT-PCR | Quantitative reverse transcription polymerase chain reaction |
| TSA | tryptone soy agar |
| TSB | tryptone soy broth |
References
- Mazziotta, C.; Tognon, M.; Martini, F.; Torreggiani, E.; Rotondo, J.C. Probiotics Mechanism of Action on Immune Cells and Beneficial Effects on Human Health. Cells 2023, 12, 184. [Google Scholar] [CrossRef]
- Szajewska, H.; Scott, K.P.; de Meij, T.; Forslund-Startceva, S.K.; Knight, R.; Koren, O.; Little, P.; Johnston, B.C.; Łukasik, J.; Suez, J.; et al. Antibiotic-perturbed microbiota and the role of probiotics. Nat. Rev. Gastroenterol. Hepatol. 2025, 22, 155–172. [Google Scholar] [CrossRef]
- Elshaghabee, F.M.F.; Rokana, N.; Gulhane, R.D.; Sharma, C.; Panwar, H. Bacillus As Potential Probiotics: Status, Concerns, and Future Perspectives. Front. Microbiol. 2017, 8, 1490. [Google Scholar] [CrossRef] [PubMed]
- Zeng, Z.; He, X.; Li, F.; Zhang, Y.; Huang, Z.; Wang, Y.; Li, K.; Bao, Y.; Iqbal, M.; Kulyar, M.F.-E.; et al. Probiotic Properties of Bacillus proteolyticus Isolated From Tibetan Yaks, China. Front. Microbiol. 2021, 12, 649207. [Google Scholar] [CrossRef]
- Park, S.C.; Jeen, Y.T. Genetic Studies of Inflammatory Bowel Disease-Focusing on Asian Patients. Cells 2019, 8, 404. [Google Scholar] [CrossRef]
- Dowdell, A.S.; Colgan, S.P. Metabolic Host-Microbiota Interactions in Autophagy and the Pathogenesis of Inflammatory Bowel Disease (IBD). Pharmaceuticals 2021, 14, 708. [Google Scholar] [CrossRef]
- Larabi, A.; Barnich, N.; Nguyen, H.T.T. New insights into the interplay between autophagy, gut microbiota and inflammatory responses in IBD. Autophagy 2020, 16, 38–51. [Google Scholar] [CrossRef] [PubMed]
- Lu, Q.; Yang, M.F.; Liang, Y.J.; Xu, J.; Xu, H.M.; Nie, Y.Q.; Wang, L.S.; Yao, J.; Li, D.F. Immunology of Inflammatory Bowel Disease: Molecular Mechanisms and Therapeutics. J. Inflamm. Res. 2022, 15, 1825–1844. [Google Scholar] [CrossRef] [PubMed]
- Luo, H.; Cao, G.; Luo, C.; Tan, D.; Vong, C.T.; Xu, Y.; Wang, S.; Lu, H.; Wang, Y.; Jing, W. Emerging pharmacotherapy for inflammatory bowel diseases. Pharmacol. Res. 2022, 178, 106146. [Google Scholar] [CrossRef]
- Shan, Y.; Lee, M.; Chang, E.B. The Gut Microbiome and Inflammatory Bowel Diseases. Annu. Rev. Med. 2022, 73, 455–468. [Google Scholar] [CrossRef]
- Wang, Y.; Xie, Q.; Zhang, Y.; Ma, W.; Ning, K.; Xiang, J.Y.; Cui, J.; Xiang, H. Combination of probiotics with different functions alleviate DSS-induced colitis by regulating intestinal microbiota, IL-10, and barrier function. Appl. Microbiol. Biotechnol. 2020, 104, 335–349. [Google Scholar] [CrossRef]
- Lefevre, M.; Racedo, S.M.; Denayrolles, M.; Ripert, G.; Desfougères, T.; Lobach, A.R.; Simon, R.; Pélerin, F.; Jüsten, P.; Urdaci, M.C. Safety assessment of Bacillus subtilis CU1 for use as a probiotic in humans. Regul. Toxicol. Pharmacol. 2017, 83, 54–65. [Google Scholar] [CrossRef]
- Chen, P.; Lv, H.; Du, M.; Liu, W.; Che, C.; Zhao, J.; Liu, H. Bacillus subtilis HW2 enhances growth performance and alleviates gut injury via attenuation of endoplasmic reticulum stress and regulation of gut microbiota in broilers under necrotic enteritis challenge. Poult. Sci. 2024, 103, 103661. [Google Scholar] [CrossRef] [PubMed]
- Jia, R.; Sadiq, F.A.; Liu, W.; Cao, L.; Shen, Z. Protective effects of Bacillus subtilis ASAG 216 on growth performance, antioxidant capacity, gut microbiota and tissues residues of weaned piglets fed deoxynivalenol contaminated diets. Food Chem. Toxicol. 2021, 148, 111962. [Google Scholar] [CrossRef] [PubMed]
- Foligné, B.; Peys, E.; Vandenkerckhove, J.; Van Hemel, J.; Dewulf, J.; Breton, J.; Pot, B. Spores from two distinct colony types of the strain Bacillus subtilis PB6 substantiate anti-inflammatory probiotic effects in mice. Clin. Nutr. 2012, 31, 987–994. [Google Scholar] [CrossRef] [PubMed]
- Payne, J.; Bellmer, D.; Jadeja, R.; Muriana, P. The Potential of Bacillus Species as Probiotics in the Food Industry: A Review. Foods 2024, 13, 2444. [Google Scholar] [CrossRef]
- Zeng, Z.; Zhang, J.; Li, Y.; Li, K.; Gong, S.; Li, F.; Wang, P.; Iqbal, M.; Kulyar, M.F.; Li, J. Probiotic Potential of Bacillus licheniformis and Bacillus pumilus Isolated from Tibetan Yaks, China. Probiotics Antimicrob. Proteins 2022, 14, 579–594. [Google Scholar]
- Huang, Y.; Adams, M.C. In vitro assessment of the upper gastrointestinal tolerance of potential probiotic dairy propionibacteria. Int. J. Food Microbiol. 2004, 91, 253–260. [Google Scholar] [CrossRef]
- Wang, J.; Wu, Z.; Wang, S.; Wang, X.; Zhang, D.; Wang, Q.; Lin, L.; Wang, G.; Guo, Z.; Chen, Y. Inhibitory effect of probiotic Bacillus spp. isolated from the digestive tract of Rhynchocypris Lagowskii on the adhesion of common pathogenic bacteria in the intestinal model. Microb. Pathog. 2022, 169, 105623. [Google Scholar] [CrossRef]
- Kim, J.J.; Shajib, M.S.; Manocha, M.M.; Khan, W.I. Investigating intestinal inflammation in DSS-induced model of IBD. J. Vis. Exp. 2012, 3678. [Google Scholar]
- Harms, P.W.; Frankel, T.L.; Moutafi, M.; Rao, A.; Rimm, D.L.; Taube, J.M.; Thomas, D.; Chan, M.P.; Pantanowitz, L. Multiplex Immunohistochemistry and Immunofluorescence: A Practical Update for Pathologists. Mod. Pathol. 2023, 36, 100197. [Google Scholar] [CrossRef]
- Pahumunto, N.; Dahlen, G.; Teanpaisan, R. Evaluation of Potential Probiotic Properties of Lactobacillus and Bacillus Strains Derived from Various Sources for Their Potential Use in Swine Feeding. Probiotics Antimicrob. Proteins 2023, 15, 479–490. [Google Scholar] [CrossRef]
- Yaderets, V.; Karpova, N.; Glagoleva, E.; Shibaeva, A.; Dzhavakhiya, V. Bacillus subtilis RBT-7/32 and Bacillus licheniformis RBT-11/17 as New Promising Strains for Use in Probiotic Feed Additives. Microorganisms 2023, 11, 2729. [Google Scholar] [CrossRef]
- Wang, B.; Wu, Q.; Yu, S.; Lu, Q.; Lv, X.; Zhang, M.; Kan, Y.; Wang, X.; Zhu, Y.; Wang, G.; et al. Host-derived bacillus spp. as probiotic additives for improved growth performance in broilers. Poult. Sci. 2023, 102, 102240. [Google Scholar] [CrossRef]
- Tolbert, M.K.; Olin, S.; MacLane, S.; Gould, E.; Steiner, J.M.; Vaden, S.; Price, J. Evaluation of Gastric pH and Serum Gastrin Concentrations in Cats with Chronic Kidney Disease. J. Vet. Intern. Med. 2017, 31, 1414–1419. [Google Scholar] [CrossRef] [PubMed]
- Bampidis, V.; Azimonti, G.; Bastos, M.L.; Christensen, H.; Dusemund, B.; Durjava, M.; Kouba, M.; López-Alonso, M.; Puente, S.L.; Marcon, F.; et al. Safety and efficacy of a feed additive consisting of Bacillus paralicheniformis DSM 5749 and Bacillus subtilis DSM 5750 (BioPlus® 2B) for piglets, calves for fattening and other growing ruminants (Chr. Hansen A/S). EFSA J. 2023, 21, e07859. [Google Scholar] [CrossRef]
- Daneshazari, R.; Rabbani Khorasgani, M.; Hosseini-Abari, A.; Kim, J.H. Bacillus subtilis isolates from camel milk as probiotic candidates. Sci. Rep. 2023, 13, 3387. [Google Scholar] [CrossRef]
- Zhou, Y.; Li, Q.; Peng, Z.; Zhang, J.; Li, J. Biocontrol Effect of Bacillus subtilis YPS-32 on Potato Common Scab and Its Complete Genome Sequence Analysis. J. Agric. Food Chem. 2022, 70, 5339–5348. [Google Scholar] [CrossRef]
- Cantarel, B.L.; Lombard, V.; Henrissat, B. Complex carbohydrate utilization by the healthy human microbiome. PLoS ONE 2012, 7, e28742. [Google Scholar] [CrossRef] [PubMed]
- Puchart, V.; Šuchová, K.; Biely, P. Xylanases of glycoside hydrolase family 30—An overview. Biotechnol. Adv. 2021, 47, 107704. [Google Scholar] [CrossRef] [PubMed]
- Onyango, S.O.; Juma, J.; De Paepe, K.; Van de Wiele, T. Oral and Gut Microbial Carbohydrate-Active Enzymes Landscape in Health and Disease. Front. Microbiol. 2021, 12, 653448. [Google Scholar] [CrossRef]
- Zhai, Z.; Dong, W.; Sun, Y.; Gu, Y.; Ma, J.; Wang, B.; Cao, H. Vitamin-Microbiota Crosstalk in Intestinal Inflammation and Carcinogenesis. Nutrients 2022, 14, 3383. [Google Scholar] [CrossRef]
- Katiku, M.M.; Matofari, J.W.; Nduko, J.M. Preliminary evaluation of probiotic properties and safety profile of Lactiplantibacillus plantarum isolated from spontaneously fermented milk, Amabere amaruranu. Heliyon 2022, 8, e10342. [Google Scholar] [CrossRef]
- Kapse, N.G.; Engineer, A.S.; Gowdaman, V.; Wagh, S.; Dhakephalkar, P.K. Functional annotation of the genome unravels probiotic potential of Bacillus coagulans HS243. Genomics 2019, 111, 921–929. [Google Scholar] [CrossRef] [PubMed]
- McFarlin, B.K.; Tanner, E.A.; Hill, D.W.; Vingren, J.L. Prebiotic/probiotic supplementation resulted in reduced visceral fat and mRNA expression associated with adipose tissue inflammation, systemic inflammation, and chronic disease risk. Genes Nutr. 2022, 17, 15. [Google Scholar] [CrossRef] [PubMed]
- Hao, W.; Chen, Z.; Wang, L.; Yuan, Q.; Gao, C.; Ma, M.; Liu, C.; Wang, Y.; Wang, S. Classical prescription Huanglian Decoction relieves ulcerative colitis via maintaining intestinal barrier integrity and modulating gut microbiota. Phytomedicine 2022, 107, 154468. [Google Scholar] [CrossRef]
- Hu, R.; He, Z.; Liu, M.; Tan, J.; Zhang, H.; Hou, D.X.; He, J.; Wu, S. Dietary protocatechuic acid ameliorates inflammation and up-regulates intestinal tight junction proteins by modulating gut microbiota in LPS-challenged piglets. J. Anim. Sci. Biotechnol. 2020, 11, 92. [Google Scholar] [CrossRef]
- Vuong, C.; Kocianova, S.; Voyich, J.M.; Yao, Y.; Fischer, E.R.; DeLeo, F.R.; Otto, M. A crucial role for exopolysaccharide modification in bacterial biofilm formation, immune evasion, and virulence. J. Biol. Chem. 2004, 279, 54881–54886. [Google Scholar] [CrossRef]
- Palanisamy, P.; Crossia, W.F.; Prakash, D.; Antonyraj, A.P.M. Nanoformulation of stavudine-loaded niosomes: Enhancing drug delivery, entrapment efficiency, and controlled release for improved antiretroviral therapy. J. Orthop. Rep. 2025, 100677. [Google Scholar] [CrossRef]
- Hussain, S.A.; Ghimouz, R.; Panda, S.P.; Panigrahy, U.P.; Marunganathan, V.; Shaik, M.R.; Deepak, P.; Thiyagarajulu, N.; Shaik, B.; Antonyraj, A.P.M.; et al. Synergistic effects of copper oxide-stigmasterol nanoparticles: A novel therapeutic strategy for oral pathogen biofilms and oral cancer. Mater. Technol. 2025, 40, 2476999. [Google Scholar] [CrossRef]
- Tian, Q.; Xu, Z.; Sun, Q.; Iniguez, A.B.; Du, M.; Zhu, M.J. Broccoli-Derived Glucoraphanin Activates AMPK/PGC1α/NRF2 Pathway and Ameliorates Dextran-Sulphate-Sodium-Induced Colitis in Mice. Antioxidants 2022, 11, 2404. [Google Scholar] [CrossRef] [PubMed]
- Stevceva, L.; Pavli, P.; Husband, A.J.; Doe, W.F. The inflammatory infiltrate in the acute stage of the dextran sulphate sodium induced colitis: B cell response differs depending on the percentage of DSS used to induce it. BMC Clin. Pathol. 2001, 1, 3. [Google Scholar] [CrossRef] [PubMed]
- He, C.; Gao, M.; Zhang, X.; Lei, P.; Yang, H.; Qing, Y.; Zhang, L. The Protective Effect of Sulforaphane on Dextran Sulfate Sodium-Induced Colitis Depends on Gut Microbial and Nrf2-Related Mechanism. Front. Nutr. 2022, 9, 893344. [Google Scholar] [CrossRef] [PubMed]
- Yun, J.; Mao, L.; Li, J.; Hao, F.; Yang, L.; Zhang, W.; Sun, M.; Liu, M.; Wang, S.; Li, W. Molecular characterization and antimicrobial resistance profile of pathogenic Escherichia coli from goats with respiratory disease in eastern China. Microb. Pathog. 2022, 166, 105501. [Google Scholar] [CrossRef]
- Lopes, A.L.; Leite, M.; P. P. Oliveira, M.B.; Freitas, A. Multi-Detection of Veterinary Medicines in Animal Feed for Production: A Review. Antibiotics 2025, 14, 1233. [Google Scholar] [CrossRef]



















| Weight Loss % | Blood in Stool | Form of Stool | Rating Value/Score |
|---|---|---|---|
| <1 | No | Normal | 0 |
| ≥1–5 | No | Normal | 1 |
| ≥5–10 | Vision particle bleeding | Slimy | 2 |
| ≥10–15 | Crimson bloody stool, blood around the anus | Slimy | 3 |
| ≥15 | Massive bleeding | Diarrhea | 4 |
| Gene Name | Forward Primer (5′ → 3′) | Reverse Primer (5′ → 3′) | Reference Gene |
|---|---|---|---|
| β-actin | CGGTCAGGATCTTCATGAGGTAG | CATGTTTGAGACCTTCAACACCC | XM_051205325.1 |
| TNF-α | TTTCCAGATTCTTCCCTGAGGTG | AAAGAGGAGGCAACAAGGTAGAG | M20155.1 |
| IL-1β | GTGGTAAATGAAACCTGTGTGGG | CTGTTCTTTGAAGTTGACGGACC | X04964.1 |
| IL-6 | CGATAGTCAATTCCAGAAACCGC | CTCCACTCAAAACCAGCAAAGAG | M20572.1 |
| Sample ID | Number | Bases | Largest Length | N50 Length | N90 Length |
|---|---|---|---|---|---|
| isolated Bacillus subtilis | 603,722 | 25,415,378,888 | 69,930 | 8460 | 1830 |
| Sample ID | Gene Num | Gene Total Length | Gene Average Length |
|---|---|---|---|
| Isolated Bacillus subtilis | 4276 | 366,822 | 857 |
| Sample ID | ncRNA Type | Number | Average Length (bp) | Total Length (bp) |
|---|---|---|---|---|
| Isolated Bacillus subtilis | tRNA | 86 | 77 | 6643 |
| Isolated Bacillus subtilis | 5S rRN5A | 10 | 115 | 1150 |
| Isolated Bacillus subtilis | 16S rRNA | 10 | 1538 | 15,380 |
| Isolated Bacillus subtilis | 23S rRNA | 10 | 2926 | 29,260 |
Disclaimer/Publisher’s Note: The statements, opinions and data contained in all publications are solely those of the individual author(s) and contributor(s) and not of MDPI and/or the editor(s). MDPI and/or the editor(s) disclaim responsibility for any injury to people or property resulting from any ideas, methods, instructions or products referred to in the content. |
© 2025 by the authors. Licensee MDPI, Basel, Switzerland. This article is an open access article distributed under the terms and conditions of the Creative Commons Attribution (CC BY) license (https://creativecommons.org/licenses/by/4.0/).
Share and Cite
Guan, N.; Li, C.; Liu, W.; Wu, Q.; Zhu, J.; Gao, T.; Song, H.; Guo, R.; Yuan, F.; Tian, Y.; et al. Isolation and Probiotic Functions of Bacillus subtilis and Its Inhibitory Effects on Colitis. Biology 2025, 14, 1786. https://doi.org/10.3390/biology14121786
Guan N, Li C, Liu W, Wu Q, Zhu J, Gao T, Song H, Guo R, Yuan F, Tian Y, et al. Isolation and Probiotic Functions of Bacillus subtilis and Its Inhibitory Effects on Colitis. Biology. 2025; 14(12):1786. https://doi.org/10.3390/biology14121786
Chicago/Turabian StyleGuan, Ningning, Chang Li, Wei Liu, Qiong Wu, Jiajia Zhu, Ting Gao, Hui Song, Rui Guo, Fangyan Yuan, Yongxiang Tian, and et al. 2025. "Isolation and Probiotic Functions of Bacillus subtilis and Its Inhibitory Effects on Colitis" Biology 14, no. 12: 1786. https://doi.org/10.3390/biology14121786
APA StyleGuan, N., Li, C., Liu, W., Wu, Q., Zhu, J., Gao, T., Song, H., Guo, R., Yuan, F., Tian, Y., Yang, K., & Zhou, D. (2025). Isolation and Probiotic Functions of Bacillus subtilis and Its Inhibitory Effects on Colitis. Biology, 14(12), 1786. https://doi.org/10.3390/biology14121786

