The Development of Prenatal Muscle Satellite Cells (MuSCs) and Their Epigenetic Modifications During Skeletal Muscle Development in Yak Fetus
Simple Summary
Abstract
1. Introduction
2. Materials and Methods
2.1. Animals
2.2. Hematoxylin–Eosin Staining
2.3. Immunofluorescence Staining and Quantification of Positive Cells
2.4. Statistics
3. Results
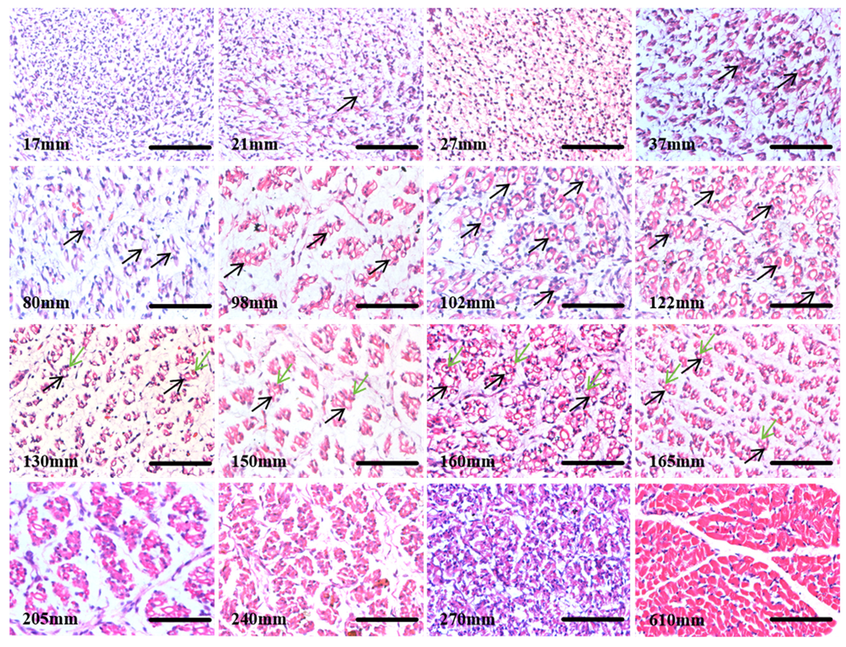
3.1. Morphology of the Longissimus Dorsi Muscle at Different Developmental Stages in Yak Fetus
3.1.1. Morphometric Data of the Fetal Yak at Different Developmental Stages
3.1.2. Morphology of the Longissimus Dorsi Muscle at Different Developmental Stages
3.2. Localization of Muscle Satellite Cell and Muscle Fiber at Different Developmental Stages
3.3. Proliferation of MuSCs in the Longissimus Dorsi Muscle at Different Developmental Stages of Yak Fetus
3.4. DNA Methylation Modifications in MuSCs at Different Developmental Stages in the Longissimus Dorsi Muscle
3.4.1. DNA 5mC Methylation Modification in MuSCs at Different Developmental Stages
3.4.2. Expression of Demethylation Modification 5hmC in MuSCs at Different Developmental Stages
3.5. H3K4me3 Modification in MuSCs at Different Developmental Stages in the Longissimus Dorsi Muscle
4. Discussion
5. Conclusions
Supplementary Materials
Author Contributions
Funding
Institutional Review Board Statement
Informed Consent Statement
Data Availability Statement
Conflicts of Interest
References
- Jing, X.; Ding, L.; Zhou, J.; Huang, X.; Degen, A.; Long, R. The adaptive strategies of yaks to live in the Asian highlands. Anim. Nutr. 2022, 9, 249–258. [Google Scholar] [CrossRef] [PubMed] [PubMed Central]
- Xin, K.; Tian, K.; Yu, Q.; Han, L.; Zang, Z. Effects of altitude on meat quality difference and its relationship with HIF-1αduring postmortem maturation of beef. J. Food Biochem. 2022, 46, e14470. [Google Scholar] [CrossRef] [PubMed]
- Buckingham, M.; Relaix, F. The role of Pax genes in the development of tissues and organs: Pax3 and Pax7 regulate muscle progenitor cell functions. Annu. Rev. Cell Dev. Biol. 2007, 23, 645–673. [Google Scholar] [CrossRef] [PubMed]
- Krauss, R.S. Evolutionary conservation in myoblast fusion. Nat. Genet. 2007, 39, 704–705. [Google Scholar] [CrossRef] [PubMed]
- Komori, T. Regulation of Proliferation, Differentiation and Functions of Osteoblasts by Runx2. Int. J. Mol. Sci. 2019, 20, 1694. [Google Scholar] [CrossRef] [PubMed] [PubMed Central]
- Prüller, J.; Mannhardt, I.; Eschenhagen, T.; Zammit, P.S.; Figeac, N. Satellite cells delivered in their niche efficiently generate functional myotubes in three-dimensional cell culture. PLoS ONE 2018, 13, e0202574. [Google Scholar] [CrossRef] [PubMed] [PubMed Central]
- Duxson, M.J.; Usson, Y.; Harris, A.J. The origin of secondary myotubes in mammalian skeletal muscles: Ultrastructural studies. Development 1989, 107, 743–750. [Google Scholar] [CrossRef] [PubMed]
- Ross, J.J.; Duxson, M.J.; Harris, A.J. Formation of primary and secondary myotubes in rat lumbrical muscles. Development 1987, 100, 383–394. [Google Scholar] [CrossRef] [PubMed]
- Henderson, C.A.; Gomez, C.G.; Novak, S.M.; Mi-Mi, L.; Gregorio, C.C. Overview of the Muscle Cytoskeleton. Compr. Physiol. 2017, 7, 891–944. [Google Scholar] [CrossRef] [PubMed] [PubMed Central]
- Wigmore, P.M.; Stickland, N.C. Muscle development in large and small pig fetuses. J. Anat. 1983, 137 Pt 2, 235–245. [Google Scholar] [PubMed] [PubMed Central]
- Xi, H.; Langerman, J.; Sabri, S.; Chien, P.; Young, C.S.; Younesi, S.; Hicks, M.; Gonzalez, K.; Fujiwara, W.; Marzi, J.; et al. A Human Skeletal Muscle Atlas Identifies the Trajectories of Stem and Progenitor Cells across Development and from Human Pluripotent Stem Cells. Cell Stem Cell 2020, 27, 158–176.e10. [Google Scholar] [CrossRef] [PubMed] [PubMed Central]
- Akolkar, D.B.; Asaduzzaman, M.; Kinoshita, S.; Asakawa, S.; Watabe, S. Characterization of Pax3 and Pax7 genes and their expression patterns during different development and growth stages of Japanese pufferfish Takifugu rubripes. Gene 2016, 575, 21–28. [Google Scholar] [CrossRef] [PubMed]
- Parker, M.H.; Seale, P.; Rudnicki, M.A. Looking back to the embryo: Defining transcriptional networks in adult myogenesis. Nat. Rev. Genet. 2003, 4, 497–507. [Google Scholar] [CrossRef] [PubMed]
- Gurevich, D.B.; Nguyen, P.D.; Siegel, A.L.; Ehrlich, O.V.; Sonntag, C.; Phan, J.M.; Berger, S.; Ratnayake, D.; Hersey, L.; Berger, J.; et al. Asymmetric division of clonal muscle stem cells coordinates muscle regeneration in vivo. Science 2016, 353, aad9969. [Google Scholar] [CrossRef] [PubMed]
- Gjaltema, R.A.F.; Rots, M.G. Advances of epigenetic editing. Curr. Opin. Chem. Biol. 2020, 57, 75–81. [Google Scholar] [CrossRef] [PubMed]
- Massenet, J.; Gardner, E.; Chazaud, B.; Dilworth, F.J. Epigenetic regulation of satellite cell fate during skeletal muscle regeneration. Skelet. Muscle 2021, 11, 4. [Google Scholar] [CrossRef] [PubMed] [PubMed Central]
- Yue, J.; Hou, X.; Liu, X.; Wang, L.; Gao, H.; Zhao, F.; Shi, L.; Shi, L.; Yan, H.; Deng, T.; et al. The landscape of chromatin accessibility in skeletal muscle during embryonic development in pigs. J. Anim. Sci. Biotechnol. 2021, 12, 56. [Google Scholar] [CrossRef] [PubMed] [PubMed Central]
- Picard, B.; Berri, C.; Lefaucheur, L.; Molette, C.; Sayd, T.; Terlouw, C. Skeletal muscle proteomics in livestock production. Brief. Funct. Genom. 2010, 9, 259–278. [Google Scholar] [CrossRef] [PubMed]
- Doyle, J.L.; Berry, D.P.; Veerkamp, R.F.; Carthy, T.R.; Evans, R.D.; Walsh, S.W.; Purfield, D.C. Genomic regions associated with muscularity in beef cattle differ in five contrasting cattle breeds. Genet. Sel. Evol. 2020, 52, 2. [Google Scholar] [CrossRef] [PubMed] [PubMed Central]
- Wang, H.B.; Zan, L.S.; Zhang, Y.Y. Profiling of the yak skeletal muscle tissue gene expression and comparison with the domestic cattle by genome array. Animal 2014, 8, 28–35. [Google Scholar] [CrossRef] [PubMed][Green Version]
- Kuang, S.; Kuroda, K.; Le Grand, F.; Rudnicki, M.A. Asymmetric self-renewal and commitment of satellite stem cells in muscle. Cell 2007, 129, 999–1010. [Google Scholar] [CrossRef] [PubMed] [PubMed Central]
- Guilhot, C.; Catenacci, M.; Lofaro, S.; Rudnicki, M.A. The satellite cell in skeletal muscle: A story of heterogeneity. Curr. Top. Dev. Biol. 2024, 158, 15–51. [Google Scholar] [CrossRef] [PubMed]
- Rocheteau, P.; Gayraud-Morel, B.; Siegl-Cachedenier, I.; Blasco, M.A.; Tajbakhsh, S. A subpopulation of adult skeletal muscle stem cells retains all template DNA strands after cell division. Cell 2012, 148, 112–125. [Google Scholar] [CrossRef] [PubMed]
- He, B.; Yao, H.; Yi, C. Advances in the joint profiling technologies of 5mC and 5hmC. RSC Chem. Biol. 2024, 5, 500–507. [Google Scholar] [CrossRef] [PubMed] [PubMed Central]
- Ponnaluri, V.K.; Ehrlich, K.C.; Zhang, G.; Lacey, M.; Johnston, D.; Pradhan, S.; Ehrlich, M. Association of 5-hydroxymethylation and 5-methylation of DNA cytosine with tissue-specific gene expression. Epigenetics 2017, 12, 123–138. [Google Scholar] [CrossRef] [PubMed] [PubMed Central]
- Shi, K.; Lu, Y.; Chen, X.; Li, D.; Du, W.; Yu, M. Effects of Ten-Eleven Translocation-2 (Tet2) on myogenic differentiation of chicken myoblasts. Comp. Biochem. Physiol. B Biochem. Mol. Biol. 2021, 252, 110540. [Google Scholar] [CrossRef] [PubMed]
- Cai, S.; Zhu, Q.; Guo, C.; Yuan, R.; Zhang, X.; Nie, Y.; Chen, L.; Fang, Y.; Chen, K.; Zhang, J.; et al. MLL1 promotes myogenesis by epigenetically regulating Myf5. Cell Prolif. 2020, 53, e12744. [Google Scholar] [CrossRef] [PubMed] [PubMed Central]
- Luo, H.; Lv, W.; Tong, Q.; Jin, J.; Xu, Z.; Zuo, B. Functional Non-coding RNA During Embryonic Myogenesis and Postnatal Muscle Development and Disease. Front. Cell Dev. Biol. 2021, 9, 628339. [Google Scholar] [CrossRef] [PubMed] [PubMed Central]









| Number | 1 | 2 | 3 | 4 | 5 | 6 | 7 | 8 | 9 | 10 | 11 | 12 | 13 | 14 | 15 | 16 | 17 | 18 |
|---|---|---|---|---|---|---|---|---|---|---|---|---|---|---|---|---|---|---|
| CRL/mm | 17 | 21 | 27 | 37 | 70 | 80 | 98 | 102 | 122 | 130 | 150 | 160 | 165 | 205 | 240 | 250 | 270 | 610 |
| GA/d | 37 | 41 | 45 | 48 | 62 | 69 | 76 | 78 | 89 | 90 | 100 | 104 | 110 | 125–135 | 140–147 | 240–245 | ||
| Sample Size | 3 | 3 | 3 | 3 | 3 | 4 | 3 | 3 | 3 | 5 | 4 | 3 | 3 | 6 | 3 | 3 | 3 | 3 |
Disclaimer/Publisher’s Note: The statements, opinions and data contained in all publications are solely those of the individual author(s) and contributor(s) and not of MDPI and/or the editor(s). MDPI and/or the editor(s) disclaim responsibility for any injury to people or property resulting from any ideas, methods, instructions or products referred to in the content. |
© 2024 by the authors. Licensee MDPI, Basel, Switzerland. This article is an open access article distributed under the terms and conditions of the Creative Commons Attribution (CC BY) license (https://creativecommons.org/licenses/by/4.0/).
Share and Cite
Nan, G.; Peng, W.; Xu, S.; Wang, G.; Zhang, J. The Development of Prenatal Muscle Satellite Cells (MuSCs) and Their Epigenetic Modifications During Skeletal Muscle Development in Yak Fetus. Biology 2024, 13, 1091. https://doi.org/10.3390/biology13121091
Nan G, Peng W, Xu S, Wang G, Zhang J. The Development of Prenatal Muscle Satellite Cells (MuSCs) and Their Epigenetic Modifications During Skeletal Muscle Development in Yak Fetus. Biology. 2024; 13(12):1091. https://doi.org/10.3390/biology13121091
Chicago/Turabian StyleNan, Guoxiong, Wei Peng, Shangrong Xu, Guowen Wang, and Jun Zhang. 2024. "The Development of Prenatal Muscle Satellite Cells (MuSCs) and Their Epigenetic Modifications During Skeletal Muscle Development in Yak Fetus" Biology 13, no. 12: 1091. https://doi.org/10.3390/biology13121091
APA StyleNan, G., Peng, W., Xu, S., Wang, G., & Zhang, J. (2024). The Development of Prenatal Muscle Satellite Cells (MuSCs) and Their Epigenetic Modifications During Skeletal Muscle Development in Yak Fetus. Biology, 13(12), 1091. https://doi.org/10.3390/biology13121091

