Sign in to use this feature.

Years

Between: -

Subjects

remove_circle_outline
remove_circle_outline
remove_circle_outline
remove_circle_outline
remove_circle_outline
remove_circle_outline
remove_circle_outline
remove_circle_outline
remove_circle_outline

Journals

Article Types

Countries / Regions

remove_circle_outline
remove_circle_outline
remove_circle_outline
remove_circle_outline

Search Results (454)

Search Parameters:
Keywords = yak

Order results
Result details
Results per page
Select all
Export citation of selected articles as:
20 pages, 2441 KB  
Article
Dietary Supplementation with Yak Stomach Lysozyme Improves Intestinal Health and Nutrient Metabolism in Weaned Piglets Challenged with Enterotoxigenic Escherichia coli (ETEC)
by Zaiwen Li, Lian Hu, Mengjuan Jiang, Di Zhao, Lu Yang, Yili Liu, Biao Li and Mingfeng Jiang
Animals 2025, 15(22), 3287; https://doi.org/10.3390/ani15223287 - 13 Nov 2025
Abstract
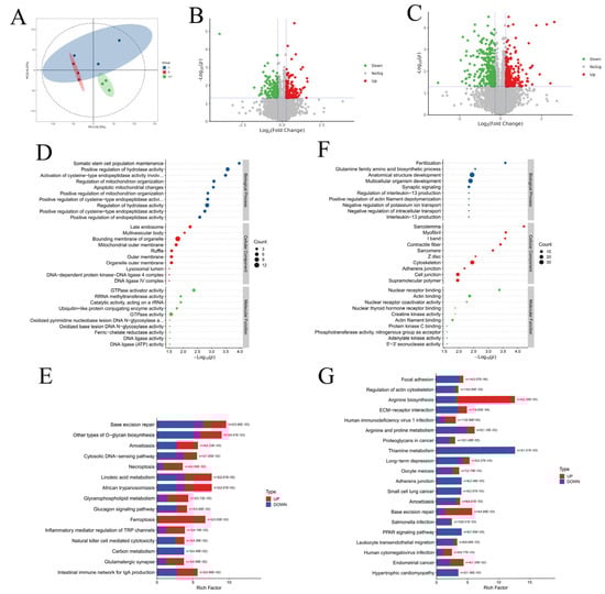
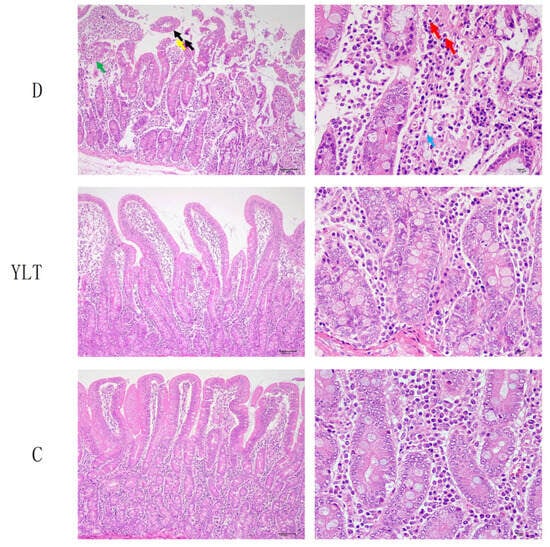
Post-weaning diarrhea caused by Enterotoxigenic Escherichia coli (ETEC) is a major disease in piglets and leads to substantial economic losses in the swine industry. Compared to conventional lysozyme, yak stomach lysozyme (YSL) demonstrates distinctive resistance to pepsin, trypsin, high temperature, and acidic conditions. [...] Read more.
Post-weaning diarrhea caused by Enterotoxigenic Escherichia coli (ETEC) is a major disease in piglets and leads to substantial economic losses in the swine industry. Compared to conventional lysozyme, yak stomach lysozyme (YSL) demonstrates distinctive resistance to pepsin, trypsin, high temperature, and acidic conditions. This study investigated the effects of dietary YSL supplementation on intestinal health in weaned piglets challenged with ETEC, utilizing metabolomics and proteomics. A total of 18 weaned piglets were randomly divided into three groups: control (C), diarrhea (D), and YSL treatment (YLT). Groups C and D were fed a basal diet, while the YLT group received the basal diet supplemented with YSL at a dosage of 100,000 U/kg following ETEC challenge. Following an acclimation period, piglets in groups D and YLT were orally challenged with ETEC, while group C received the same volume of sterile LB broth. The feeding trial lasted for 21 days before sample collection. The results demonstrated that dietary supplementation with YSL significantly reduced the diarrhea rate (p < 0.05). Compared with the D group, the YLT group exhibited significantly increased serum albumin levels (p < 0.05), along with a tendency toward greater villus height (p = 0.085) and higher serum glucose levels (p = 0.052), indicating an improvement in nutritional and metabolic status Metabolomic analysis identified 260 differentially abundant metabolites between the YLT and D groups (81 upregulated, 179 downregulated), which were predominantly enriched in pathways related to amino acid biosynthesis and metabolism, purine metabolism, and nucleic acid metabolism. Proteomic profiling revealed 571 differentially expressed proteins (237 upregulated, 334 downregulated). Upregulated proteins were mainly involved in arginine biosynthesis and base excision repair, while downregulated proteins were associated with the PPAR signaling pathway and Salmonella infection. In summary, dietary YSL supplementation alters the metabolic and proteomic profiles in the intestines of diarrheic piglets, potentially improving gut barrier function and nutrient utilization. This study offers novel insights into the potential of YSL as a promising feed additive for prevention of post-weaning diarrhea in pigs. Full article
(This article belongs to the Section Animal Nutrition)
Show Figures

Figure 1

15 pages, 1741 KB  
Article
Multidrug-Resistant Enterococcus faecalis from Yak Feces: Isolation, Genomic Characterization and Functional Insights
by Jiayan Huang, Zixuan Li, Zhanchun Bai and Sizhu Suolang
Vet. Sci. 2025, 12(11), 1077; https://doi.org/10.3390/vetsci12111077 - 12 Nov 2025
Viewed by 63
Abstract
Enterococcus faecalis (E. faecalis) is a significant zoonotic pathogen, primarily causing opportunistic infections in humans while often existing as a commensal in animal reservoirs, facilitating its dissemination. Current understanding of the resistance profiles, virulence mechanisms, and host–pathogen interactions of E. faecalis [...] Read more.
Enterococcus faecalis (E. faecalis) is a significant zoonotic pathogen, primarily causing opportunistic infections in humans while often existing as a commensal in animal reservoirs, facilitating its dissemination. Current understanding of the resistance profiles, virulence mechanisms, and host–pathogen interactions of E. faecalis from ruminants, particularly unique species such as the plateau yak, remains limited. This knowledge gap hinders the accurate assessment of their transmission risk and the development of effective control strategies. This study presents a comprehensive analysis of a multidrug-resistant E. faecalis isolate from yak feces, integrating whole-genome sequencing (WGS), an animal challenge model, and transcriptomic profiling. Antimicrobial susceptibility testing revealed resistance to β-lactams, aminoglycosides, glycopeptides, tetracyclines, and fluoroquinolones. WGS identified numerous resistance genes (e.g., parC, gyrA, rpoB) and virulence-associated genes (e.g., prgB/asc10, cpsA/uppS). Phylogenetic analysis indicated a close relationship with a human urinary tract isolate (ASM3679337v1). Mouse challenge experiments demonstrated that this strain induced significant intestinal histopathological damage. A subsequent transcriptomic analysis of infected tissues identified the differential activation of key signaling pathways, including NF-κB and MAPK. Our findings provide crucial insights into the resistance and pathogenic mechanisms of ruminant-derived E. faecalis and establish an experimental foundation for optimizing clinical antimicrobial therapy against such strains. Full article
(This article belongs to the Section Veterinary Food Safety and Zoonosis)
Show Figures

Figure 1

2 pages, 142 KB  
Correction
Correction: Chen et al. Effects of Dietary Rumen-Protected Glucose and Rumen-Protected Taurine Levels on Growth Performance, Serum Biochemical Indicators, and Liver Health in Yaks. Animals 2025, 15, 1152
by Yuanyuan Chen, Xiaolin Wang, Lianghao Lu, Bao Zhang, Huaming Yang, Shoupei Zhao, Zhisheng Wang, Lizhi Wang, Quanhui Peng and Bai Xue
Animals 2025, 15(21), 3212; https://doi.org/10.3390/ani15213212 - 5 Nov 2025
Viewed by 135
Abstract
Text Correction [...] Full article
(This article belongs to the Section Cattle)
25 pages, 4525 KB  
Article
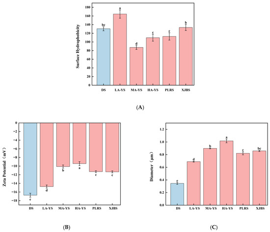
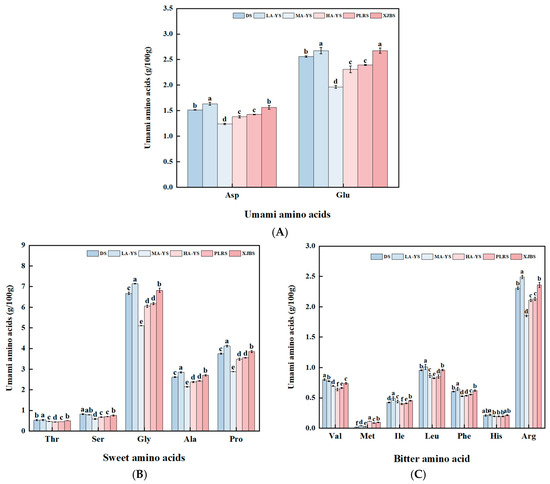
Skins Comparative Analysis of Collagen Functionality and Peptide Bioactivities from Yak, Cattle, and Donkey Skins
by Yaoyuan Kuai, Yufeng Duan, Xue Yang, Ruheng Shen, Wen Wang, Li Zhang, Long He, Cheng Chen, Xiaojin Yuan, Xiangmin Yan and Hongbo Li
Foods 2025, 14(21), 3776; https://doi.org/10.3390/foods14213776 - 4 Nov 2025
Viewed by 351
Abstract
Collagen peptides derived from animal skins are valuable bioactive ingredients with diverse nutritional and functional properties. This study systematically compared the nutritional value, collagen structure function properties, and bioactivities of collagen peptides from six types of animal skins, including yak skins from different [...] Read more.
Collagen peptides derived from animal skins are valuable bioactive ingredients with diverse nutritional and functional properties. This study systematically compared the nutritional value, collagen structure function properties, and bioactivities of collagen peptides from six types of animal skins, including yak skins from different altitudes, Pingliang Red cattle skin, Xinjiang Brown cattle skin, and donkey skin. In terms of nutritional value, low-altitude yak skin contained 34.15 g/100 g protein and 1.78 g/100 g fat, exhibiting superior overall performance compared with other samples. Regarding structure–function relationships, low-altitude yak skin showed the highest emulsifying activity (12.05 m2/g) and foaming capacity (26%), which were attributed to its smaller particle size and higher surface hydrophobicity, whereas mid-altitude yak skin demonstrated greater thermal stability (115.3 °C) and a more compact microstructure. In terms of bioactivity, yak leather contains 23,558 to 25,966 peptides, with relatively high activity of antibacterial peptides and anti-diabetic peptides. Pingliang red cowhide and Xinjiang brown cowhide contain 1515 and 2186 polypeptides, respectively, which have strong antihypertensive activity. The antibacterial effect of donkey skin is more obvious, with a total peptide count of 11,678. Collectively, these findings reveal significant differences in the nutritional and processing-related properties of the six skin types and provide potential evidence for expanding their applications in the field of functional foods. Full article
(This article belongs to the Section Food Nutrition)
Show Figures

Figure 1

17 pages, 2890 KB  
Article
β-Glucan from Highland Barley Spent Grain: Yield, Molecular Weight, Physicochemical Properties, Antioxidant Capacity, and Gel Characteristics
by Suyang Li, Lhundrup Namgyal, Shiyi Chen, Yong Zhou, Afira Nayab, Zhou Qin, Dawa Dondup and Ling Sun
Fermentation 2025, 11(10), 600; https://doi.org/10.3390/fermentation11100600 - 21 Oct 2025
Viewed by 658
Abstract
β-Glucan from Tibetan highland barley (THB) is an excellent edible gel polysaccharide due to its unique hypoglycemic and antioxidant activities. However, direct extraction of β-glucan from THB exhibits low yields with higher costs. Given that highland barley spent grain (BSG) is a byproduct [...] Read more.
β-Glucan from Tibetan highland barley (THB) is an excellent edible gel polysaccharide due to its unique hypoglycemic and antioxidant activities. However, direct extraction of β-glucan from THB exhibits low yields with higher costs. Given that highland barley spent grain (BSG) is a byproduct of the brewing process and is frequently considered waste, the efficient extraction of its β-glucan could promote high-value repurposing of BSG. In this study, 2.74% β-glucan (BSG-B) was extracted from Rhizopus oryzae (R. oryzae)-fermented BSG, which is lower than those from THB (THB-B: 4.62%) yet enabled value-added utilization of BSG. The molecular weight of BSG-B was 5.24 × 106 Da, which significantly increased by 124.89% compared to that of THB-B. Fourier-transform infrared (FT-IR) spectroscopy showed similar absorption peaks in BSG-B and THB-B, except for structural modifications in the β-glucan pyranose ring induced by the fermentation of R. oryzae. Scanning electron microscopy (SEM) and atomic force microscopy (AFM) indicated that BSG-B possesses a more compact structure and lower aggregation heights compared to THB-B. Moreover, BSG-B demonstrated superior antioxidant capacities to THB-B in NO/DPPH/ABTS/reducing power assays, and lower apparent viscosity and oil adsorption capacity, likely attributed to the fermentation of R. oryzae. This study establishes a foundation for extracting higher-molecular-weight antioxidant β-glucan from BSG. Full article
(This article belongs to the Special Issue Advances in Fermented Foods and Beverages)
Show Figures

Figure 1

21 pages, 17502 KB  
Article
Metabolomics Reveals Abnormal Citrate Cycle and Phenylalanine Metabolism in Testes from Infertile Hybrid Dzo
by Jiaojiao Ding, Yan Dao, Lingqian Liang, Rui Hong, Huiyou Chen, Yi Yan, Ling Wang, Fuyuan Zuo and Gongwei Zhang
Animals 2025, 15(20), 3023; https://doi.org/10.3390/ani15203023 - 17 Oct 2025
Viewed by 363
Abstract
This study investigated the metabolomic profiles and molecular basis of hybrid male sterility (HMS) in dzo (the male F1 hybrid offspring of taurine cattle (Bos taurus, ♂) × domestic yak (Bos grunniens, ♀)). In total, 147 co-different metabolites were [...] Read more.
This study investigated the metabolomic profiles and molecular basis of hybrid male sterility (HMS) in dzo (the male F1 hybrid offspring of taurine cattle (Bos taurus, ♂) × domestic yak (Bos grunniens, ♀)). In total, 147 co-different metabolites were identified between liver and testis tissues. Metabolomics analysis linked testis-specific abnormal citrate cycle and phenylalanine metabolism to dzo male infertility. Specifically, α-ketoglutaric acid, L-malic acid, and succinic acid were specific elevated in dzo testes, but not significantly different in liver. The testis-specific metabolite phenyllactate was reduced in dzo. Moreover, genes encoding α-ketoglutarate-dependent oxygenases were dysregulated only in dzo testes, including histone demethylations and RNA m6A modifications. Reactive oxygen species and m6A content were significantly decreased in dzo testes. Multiomics data showed that testis-specific metabolic abnormalities in dzo were linked to upregulated IDH3A and IDH3G, and downregulated testis-specific OGDHL and PDHA2. MiRNA-15b targeting to IDH3A was downregulated in dzo testes. The promoter of PDHA2 was hypermethylated and showed lower chromatin accessibility in dzo testes. Notably, testis-specific LDHC downregulation was also associated with lower phenyllactate in dzo testes, which could be an outcome of male infertility. Overall, this study provides comprehensive insights into the citrate cycle as a key pathway associated with dzo sterility, shedding light on the potential mitochondrial–nuclear incompatibility pertinent to addressing this HMS challenge. Full article
(This article belongs to the Section Animal Genetics and Genomics)
Show Figures

Figure 1

14 pages, 1430 KB  
Article
Evaluation of the Genetic Resource Value of Datong Yak: A Cultivated Breed on the Qinghai–Tibet Plateau
by Donghao Guo and Hua Pu
Agriculture 2025, 15(20), 2114; https://doi.org/10.3390/agriculture15202114 - 11 Oct 2025
Viewed by 396
Abstract
Livestock and poultry genetic resources form the cornerstone of elite population breeding, new breed development, and global food security. The yak (Bos mutus), endemic to the Qinghai–Tibet Plateau, is indispensable for maintaining regional biodiversity and ecological stability. The Datong yak—China’s first [...] Read more.
Livestock and poultry genetic resources form the cornerstone of elite population breeding, new breed development, and global food security. The yak (Bos mutus), endemic to the Qinghai–Tibet Plateau, is indispensable for maintaining regional biodiversity and ecological stability. The Datong yak—China’s first nationally recognized cultivated yak breed and the world’s inaugural domesticated yak variety—plays a pivotal role in enhancing yak production performance, mitigating grassland–livestock conflicts, and restoring degraded grasslands. This study aimed to provide a scientific basis for the conservation and sustainable utilization of yak genetic resources by comprehensively evaluating the genetic resource value of Datong yaks. We employed the market price method, opportunity cost method, and shadow engineering method to assess four value dimensions—aligned with the Food and Agriculture Organization (FAO) livestock genetic resource value framework and adapted to China’s yak production context: direct use value (DUV), indirect use value (IUV), potential use value (PUV), and conservation value (CV). Data were collected through expert consultations, semi-structured interviews, and questionnaire surveys in Datong County (Qinghai Province, the core production area of Datong yaks) between August and September 2024, with the widely distributed Qinghai Plateau yak serving as the control breed. Based on a recent market survey, the total genetic resource value of Datong yaks in China was estimated at CNY 2.505 billion in 2024, highlighting the increasing economic and strategic significance of yak genetic resources. Among the four value dimensions, PUV accounted for the largest share (65.67%), driven by superior production performance, market price premiums, and reduced feeding costs. DUV contributed 20.72%, reflecting the value of biological assets and beef products; IUV represented 7.10%, primarily associated with grassland conservation benefits; and CV constituted 6.51%, encompassing costs for genetic resource preservation and cultural heritage contributions. These results underscore the substantial potential of Datong yak genetic resources, particularly given their unique adaptation to high-altitude environments and their critical role in supporting local livelihoods and ecological stability. Future research should focus on expanding breeding programs and genetic conservation, optimizing industrial and value chains, and strengthening genetic improvement initiatives to promote ecological security and sustainable development of the yak industry on the Qinghai–Tibet Plateau. Full article
(This article belongs to the Section Farm Animal Production)
Show Figures

Figure 1

25 pages, 5883 KB  
Article
Microbiota–Metabolite–Host Crosstalk Mediates the Impact of Dietary Energy Levels on Colonic Homeostasis in High-Altitude Ruminants
by Qinran Yu, Ning Li, Pengjia Bao, Chun Huang, Qingbo Zheng, Tong Wang, Chaofan Ma, Jingying Deng, Fengtao Jiang, Jianlei Jia and Ping Yan
Animals 2025, 15(19), 2929; https://doi.org/10.3390/ani15192929 - 9 Oct 2025
Viewed by 485
Abstract
The colon plays a crucial role in energy metabolism and intestinal health of ruminants during various physiological stages. Plateau ruminants have long been subjected to extreme environments characterized by hypoxia, cold, and nutritional scarcity, which makes their dependence on energy metabolism particularly pronounced. [...] Read more.
The colon plays a crucial role in energy metabolism and intestinal health of ruminants during various physiological stages. Plateau ruminants have long been subjected to extreme environments characterized by hypoxia, cold, and nutritional scarcity, which makes their dependence on energy metabolism particularly pronounced. However, existing research on the regulatory effects of dietary energy levels on the colonic function of plateau ruminants is still quite limited. This study involved 60 healthy male Pamir yaks with consistent body conditions, which were randomly divided into three groups: a low-energy diet group (YG, Neg 1.53 MJ/kg), a medium-energy diet group (QG, Neg 2.12 MJ/kg), and a high-energy diet group (RG, Neg 2.69 MJ/kg). Each yak was provided with 5 kg of mixed feed daily over a 170-day feeding trial. The results indicated that a high-energy diet enhanced growth performance in yaks (p < 0.05). However, it also induced local colonic inflammation, decreased levels of immune factors (IgA, IgG, and IL-10), and increased the abundance of potentially pathogenic bacteria, such as Klebsiella and Campylobacter (p < 0.05). Conversely, a medium-energy diet fostered the proliferation of beneficial bacteria such as Bradymonadales, Parabacteroides, and Mogibacterium (p < 0.05), and preserved immune homeostasis. Additionally, multi-omics analysis revealed that the QG group was significantly enriched in key metabolic pathways, including pyruvate metabolism and glycine, serine, and threonine metabolism and panto-thenate and CoA biosynthesis pathways, among others (p < 0.05), demonstrating a synergistic regulatory effect among the microbiome, metabolism, and host. In summary, a moderate-energy diet can promote the proliferation of beneficial bacteria in the extreme environment of the plateau. By regulating pathways such as Amino acid, Nucleotide, and Lipid metabolism, it coordinates the expression of key host genes and metabolite levels, effectively balancing immune signals and energy metabolism. This interaction establishes a beneficial microbial-metabolism-host pattern that supports colon health. Full article
(This article belongs to the Section Animal Nutrition)
Show Figures

Figure 1

12 pages, 1231 KB  
Article
Ticks and Associated Rickettsiae from Domestic Animals in Bhutan
by Tshokey Tshokey, Mythili Tadepalli, Stephen R. Graves and John Stenos
Pathogens 2025, 14(10), 1021; https://doi.org/10.3390/pathogens14101021 - 8 Oct 2025
Viewed by 390
Abstract
In Bhutan, information on rickettsiae is limited to a few epidemiological studies. There is no information on ticks and tick-associated rickettsiae. Ticks were collected opportunistically from domestic animals residing in eight districts where a seroprevalence study had been carried out previously. Morphological identification [...] Read more.
In Bhutan, information on rickettsiae is limited to a few epidemiological studies. There is no information on ticks and tick-associated rickettsiae. Ticks were collected opportunistically from domestic animals residing in eight districts where a seroprevalence study had been carried out previously. Morphological identification of the ticks was performed in the United States National Tick Collection and testing for rickettsiae was carried out in the Australian Rickettsial Reference Laboratory. Samples positive for rickettsiae by qPCR were subjected to conventional PCR followed by DNA sequencing and phylogenetic analysis. A total of 200 ticks were sampled from 155 domestic animals including cattle, dogs, goats, horses, yaks, sheep and cats. The ticks belonged to twelve different species, the commonest being Rhipicephalus microplus, followed by Rhipicephalus haemaphysaloides, Haemaphysalis sp. near ramachandrai, Haemaphysalis tibetensis, Haemaphysalis bispinosa, Haemaphysalis sp., Haemaphysalis sp. near davisi, Rhipicephalus sanguineus, Haemaphysalis shimoga, Haemaphysalis hystricis, Ixodes ovatus, and Amblyomma testudinarium. Rickettsial DNA sequence analysis showed that the rickettsiae infesting ticks in Bhutanese domestic animals aligned with R. gravesii, R. canadensis, R. honei, R. africae, R. felis, R. akari, R. australis, R. japonica, R. africae, R. heilongjiangensis, R. conorii, R. peacockii, R. honei, R. massiliae and R. rhipicephali. However, these may not be conclusive due to low bootstrap values in the phylogenetic tree. Bhutan will benefit from larger studies on ticks and tick-borne infections, burden and damage assessment to livestock and human health, public health interventions and clinical guidelines to reduce morbidity and mortality in human and animal health. Full article
(This article belongs to the Special Issue New Insights Into Zoonotic Intracellular Pathogens)
Show Figures

Figure 1

17 pages, 1001 KB  
Article
Effect of Rumen-Protected Lysine Supplementation on Growth Performance, Blood Metabolites, Rumen Fermentation and Bacterial Community on Feedlot Yaks Offered Corn-Based Diets
by Yan Li, Yuzhong Chen, Peng Wu, Abraham Allan Degen, Kelei He, Qianyun Zhang, Xinsheng Zhao, Wanyu Li, Aiwen Zhang and Jianwei Zhou
Animals 2025, 15(19), 2901; https://doi.org/10.3390/ani15192901 - 4 Oct 2025
Viewed by 628
Abstract
Feedlots rely on corn-based total mixed rations (TMR) to finish yaks. However, corn is markedly deficient in lysine and, therefore, we hypothesized that feedlot yaks supplemented with rumen-protected lysine (RPLys) would improve performance. To test this hypothesis, twelve 2.5-year-old male yaks (122 ± [...] Read more.
Feedlots rely on corn-based total mixed rations (TMR) to finish yaks. However, corn is markedly deficient in lysine and, therefore, we hypothesized that feedlot yaks supplemented with rumen-protected lysine (RPLys) would improve performance. To test this hypothesis, twelve 2.5-year-old male yaks (122 ± 5.3 kg) were selected, and divided into a control (CON) and RPLys-supplemented (RPL) group. All yaks were provided with a pelleted diet that consisted of 25.0% corn stalk, 31.6% corn grain, and 24.0% corn by-products; while RPL yaks were supplemented with 37.0 g/d RPLys. Dry matter intake was not affected (p = 0.671) by RPLys supplementation, but the average daily gain was greater (p < 0.05; 1.46 vs. 1.25 kg/d) and the feed-to-gain ratio was lesser (p < 0.01; 3.39 vs. 3.90) in RPL than CON yaks. Serum urea nitrogen concentration and aspartate aminotransferase were greater (p < 0.05) in the CON than the RPL group. However, plasma lysine concentration was greater (p < 0.05), while threonine tended to be greater (p = 0.065) in RPL than CON yaks. Rumen ammonia-N concentration was lesser (p < 0.05) in RPL than CON yaks, but pH and volatile fatty acids concentration did not differ (p > 0.10) between groups. The relative abundances of the ruminal bacterial phyla of Firmicutes and Elusimicrobiota were greater (p < 0.05), whereas of the phylum Bacteroidota and genus Butyrivibrio were lesser (p < 0.05) in RPL than CON yaks. In general, the rumen microbiota was altered toward more abundant N utilization taxa in RPLys-supplemented yaks. RPLys-supplemented yaks had elevated plasma lysine and improved feed conversion ratio, providing the first evidence that bypass lysine improves the growth performance of yaks on corn-based diets in feedlots. Full article
Show Figures

Figure 1

20 pages, 3515 KB  
Article
Metabolomic Analysis of Cauda Epididymal Fluid in Yaks and Cattle
by Gan Yang, Xiaolong Yang, Dongju Liu, Wending Zhou, Anjun Zhou, Yan Xiong, Xianrong Xiong, Wei Fu, Jian Li, Daoliang Lan and Shi Yin
Animals 2025, 15(19), 2861; https://doi.org/10.3390/ani15192861 - 30 Sep 2025
Viewed by 517
Abstract
The epididymis is crucial for sperm maturation, with its caudal region storing mature sperm. Yaks show poorer sperm motility and higher abnormality rates than cattle, but the metabolic mechanisms remain unknown. This study compared cauda epididymal fluid metabolites between six yaks and six [...] Read more.
The epididymis is crucial for sperm maturation, with its caudal region storing mature sperm. Yaks show poorer sperm motility and higher abnormality rates than cattle, but the metabolic mechanisms remain unknown. This study compared cauda epididymal fluid metabolites between six yaks and six cattle using untargeted metabolomics. A total of 1098 and 1297 metabolites types annotated by the Human Metabolome Database were identified in yak and cattle cauda epididymal fluid, respectively, using positive and negative ion modes. The Yak cauda epididymal fluid exhibited distinct metabolic profiles compared with cattle. A total of 79 metabolites were upregulated and 212 were downregulated in the positive ion mode, while 110 were upregulated and 230 were downregulated in the negative ion mode. Among these, 14 metabolites were reported to promote sperm quality, function or metabolism by reducing oxidative stress, blocking premature sperm capacitation and spontaneous acrosome reaction, enhancing mitochondrial energy metabolism or facilitating flagellar motility in cattle or other species. Four were reported to impair the quality or function of sperm via increasing the DNA methylation, inhibiting spermatozoa motility, upregulating the ROS levels and diminishing sperm motility. Taken together, this study established a valuable metabolomic reference dataset for yak reproductive biology and provided new insights into the molecular regulation of sperm function. Full article
Show Figures

Figure 1

13 pages, 2497 KB  
Article
Whole-Genome Resequencing Reveals Population Genetic Structure and Selection Signatures in the Golden Wild Yak
by Jianhua Yu, Wei Cong, Xiuming Li, Lu Wang, Kun Jin and Yuguang Zhang
Diversity 2025, 17(10), 687; https://doi.org/10.3390/d17100687 - 30 Sep 2025
Viewed by 580
Abstract
The wild yak (Bos mutus) is a flagship species on the Qinghai–Tibet Plateau, possessing significant ecological functions and conservation value. Using single-nucleotide polymorphism markers from whole-genome resequencing, we systematically analyzed golden wild yak (n = 37), common wild yak ( [...] Read more.
The wild yak (Bos mutus) is a flagship species on the Qinghai–Tibet Plateau, possessing significant ecological functions and conservation value. Using single-nucleotide polymorphism markers from whole-genome resequencing, we systematically analyzed golden wild yak (n = 37), common wild yak (n = 106), and domestic yak (Bos grunniens) (n = 20) to characterize the population genetic structure and adaptive selection signals in the golden wild yak. Genetic diversity analyses revealed that the golden wild yak had the lowest nucleotide diversity (π = 0.00148) and the highest inbreeding coefficient (FHom = 0.043). Population structure analyses integrating principal component analysis, phylogenetic tree, and ancestral component clustering indicated that the golden wild yak formed a relatively independent evolutionary lineage. However, its genetic differentiation from sympatric common wild yak population was limited (fixation index = 0.031). Selective sweep analysis identified a set of candidate positively selected genes in the golden wild yak genome associated with key traits and physiological functions, including coat color (TYRP1), hypoxia adaptation (MYH11, POLQ), reproductive function (SLC9C1, SPAG16, CFAP97D1), and immune response (CASP8, PGGT1B, BIRC6). Overall, our study reveals a distinct genetic background and selection signatures in the golden wild yak and provides genomic insights to inform the conservation and management of the wild yak. Full article
(This article belongs to the Special Issue Bison and Beyond: Achievements and Problems in Wildlife Conservation)
Show Figures

Figure 1

16 pages, 11906 KB  
Article
RXR Expression Profiles in Yak Reproductive Tissues During Follicular, Luteal, and Pregnancy Phases
by Xiaokun Zhang, Wenbin Ma, Xin Ma, Jianying Chang, Juan Yang, Meng Wang, Libin Wang, Qian Zhang and Yangyang Pan
Animals 2025, 15(19), 2814; https://doi.org/10.3390/ani15192814 - 26 Sep 2025
Viewed by 371
Abstract
The yak is a large ruminant that lives in the high-altitude and hypoxic environment of the Qinghai–Tibet Plateau in China and typically exhibits limited reproductive capacity, posing a significant challenge to the advancement of animal husbandry in the region. Retinoid X receptors (RXRs), [...] Read more.
The yak is a large ruminant that lives in the high-altitude and hypoxic environment of the Qinghai–Tibet Plateau in China and typically exhibits limited reproductive capacity, posing a significant challenge to the advancement of animal husbandry in the region. Retinoid X receptors (RXRs), as an important member of the NR superfamily, play a key role in the regulation of reproductive hormone synthesis, follicular development, and embryo implantation. However, there is still a lack of systematic research on the expression characteristics and potential functions of RXRs in the yak’s reproductive system. This study characterized RXR expression in ovarian, uterine, and oviductal tissues from three yaks per reproductive phase (follicular, luteal, and pregnancy). Using Quantitative Real-Time PCR Experiments (RT-qPCR), Western blot (WB), immunohistochemistry (IHC), and immunofluorescence (IF), we analyzed RXR mRNA and protein expression and localization. RXR expression varied significantly (p ≤ 0.05), peaking in ovaries during the follicular phase, oviducts during the luteal phase, and uteri during pregnancy. RXRs were localized in ovarian granulosa and theca cells, oviductal epithelium, and uterine endometrial glands, with dynamic nuclear–cytoplasmic shifts. These findings suggest RXRs regulate key reproductive processes in yaks, offering insights on improving fertility in high-altitude environments. Full article
(This article belongs to the Section Cattle)
Show Figures

Figure 1

13 pages, 3425 KB  
Article
Livestock Dung Proxies Provide Insights into Grazing Density Quantification and Distribution
by Bo Huang, Yingying Liu, Yingxi Chen, Yixuan Dong, Fujiang Hou, Shenghua Chang, Shuhua Yi and Yi Sun
Animals 2025, 15(19), 2789; https://doi.org/10.3390/ani15192789 - 25 Sep 2025
Viewed by 430
Abstract
Managed grazing is the most widespread and economically significant form of grassland utilization worldwide. Accurate quantification of the spatiotemporal distribution of grazing intensity (GI) is crucial for promoting sustainable management of livestock-grassland ecosystems. However, a reliable method for dynamically monitoring GI and quantifying [...] Read more.
Managed grazing is the most widespread and economically significant form of grassland utilization worldwide. Accurate quantification of the spatiotemporal distribution of grazing intensity (GI) is crucial for promoting sustainable management of livestock-grassland ecosystems. However, a reliable method for dynamically monitoring GI and quantifying key proxies under real-world grazing conditions is still lacking. In this study, we developed a practical approach to estimate GI using sequential unmanned aerial vehicle (UAV) monitoring and evaluated its feasibility in a typical household pasture on the Qinghai–Tibetan Plateau, China. Our findings show that: (1) yak dung is clearly identifiable in UAV image, although detection accuracy decreases with increasing flight altitude (from 100% at 2 m to 93.16% at 20 m); (2) yak dung density serves as a feasible proxy for GI, effectively capturing its temporal and spatial variability; (3) yak dung density reflects cumulative GI from May to September, and its representativeness increases with the length of accumulation. The proposed approach is characterized by high frequency, accuracy, and efficiency. It is well-suited for studying animal behavior and evaluating livestock–resource relationships, thereby providing valuable insights for sustainable grassland ecosystem management. Full article
(This article belongs to the Section Animal System and Management)
Show Figures

Figure 1

14 pages, 1101 KB  
Article
Paternal Lineage and Genetic Diversity of Jiuzhi Yaks Revealed by Y-Chromosome SRY Sequencing
by Boxuan Yang, Xiaolin Luo, Tianwu An, Jiuqiang Guan, Xiangfei Zhang, Qin Bai, Quan Sha and Hongwen Zhao
Animals 2025, 15(19), 2783; https://doi.org/10.3390/ani15192783 - 24 Sep 2025
Viewed by 362
Abstract
Yak husbandry on the Qinghai–Tibetan Plateau relies on genetically resilient sire lines, yet the paternal ancestry of the locally prominent Jiuzhi breed has never been quantified. To resolve this gap, a 690 bp fragment of the Y chromosomal SRY gene was sequenced in [...] Read more.
Yak husbandry on the Qinghai–Tibetan Plateau relies on genetically resilient sire lines, yet the paternal ancestry of the locally prominent Jiuzhi breed has never been quantified. To resolve this gap, a 690 bp fragment of the Y chromosomal SRY gene was sequenced in 117 males spanning Jiuzhi (n = 12) and five neighboring Qinghai breeds and compared with three single individual public records that represent Qinghai Plateau, Tianzhu White, and Wild yaks. Alignment, haplotype calling, diversity indices, F_ST differentiation, AMOVA, multidimensional scaling, and TCS network analysis were performed. Thirty-two haplotypes were recovered; Jiuzhi yaks possessed twelve, and six of them had private alleles. Mean A + T content was 53.8%. Haplotype diversity was highest in Qinghai Plateau, Tianzhu White and Wild yaks and lowest in Larima yaks, while Jiuzhi diversity resembled that of Huanhu. Pairwise F_ST values indicated negligible differentiation between Jiuzhi and either Qinghai Plateau or Yushu yaks (F_ST ≈ 0) but pronounced divergence from Tianzhu White and Wild yaks (F_ST ≈ 0.97–0.99). AMOVA attributed 90.7% of molecular variance to among-breed differences, and multidimensional scaling clustered Jiuzhi with Jinchuan, Yushu and Huanhu. Network topology resolved two patrilineal clades, confirming dual paternal origins for Jiuzhi yaks. These data provide the first quantitative baseline for sire selection and conservation of Jiuzhi yaks and highlight close affinities with adjacent plateau breeds. Limitations include the use of single individual public sequences for Qinghai Plateau, Tianzhu White and Wild yaks (employed solely as phylogenetic anchors) and reliance on a single Y-linked locus; broader sampling and multilocus approaches will refine within-breed estimates. Full article
(This article belongs to the Special Issue Production, Breeding and Disease Management of Plateau Animals)
Show Figures

Figure 1

Back to TopTop