Heterostructures Based on Noble Metal Films with Ag and Au Nanoparticles: Fabrication, Study of In Vivo Biocompatibility and Antibacterial Activity
Abstract
1. Introduction
2. Materials and Methods
2.1. Materials
- Medical Ti-alloy (further on referred to as “Ti”): Ti6Al4V, discs with a diameter of 10 mm, thickness of 2 mm or plates 5 × 10 mm2, Baoji Chenyuan Metal Materials Co., Ltd., Baoji, China;
- Carbon-fiber-reinforced polyetheretherketone (further on referred to as “CFR-PEEK”): carbon fiber content 30%, discs with a diameter of 30 mm, thickness of 2 mm produced by Jiangsu Junhua High Performance Specialty Engineering Plastics (Peek) Products Co., Ltd., Changzhou, China.
2.2. Implant Surfaces Functionalization
- Ir/Ti carrier samples (Ir film on Ti disc): Ir(cod)(acac) precursor (load 60 mg), deposition temperature (Td.) = 310 °C, evaporator temperature (Tevap.) = 110 °C, flow rates of both carrier gas (v(Ar)) and reactant gas (v(O2)) = 2 L/h, deposition time = 2 h;
- Ir/CFR-PEEK carrier samples (Ir film on CFR-PEEK disc): Ir(CO)2(acac) precursor (load 80 mg), Td. = 320 °C, Tevap. = 83 °C, v(Ar) = v(O2) = 2 L/h, deposition time = 4 h;
- Pt/Ti carrier samples (Pt film on Ti disc): Pt(acac)2 precursor (load 55 mg), Td. = 310 °C, Tevap. = 150 °C, v(Ar) = 2 L/h, v(O2) = 1 L/h, deposition time = 2 h;
- Pt/CFR-PEEK carrier samples (Pt film on CFR-PEEK disc): (CH3)3Pt(acac)Py precursor (load 100 mg), Td. = 320 °C, Tevap. = 105 °C, (Ar) = 2 L/h, v(O2) = 1 L/h, deposition time = 4 h.
2.3. Methods
- XRD = X-ray diffraction (a Shimadzu XRD-7000 diffractometer, Shimadzu, Kyoto, Japan, CuKα radiation (2θ = 10–65°)). XRD patterns were indexed according to the RDF-2 database (ICDD, Newtown Square, USA) (version 2022);
- SEM = Scanning Electron Microscopy (JEOL-ISM 6700 F microscope, Tokyo, Japan and HITACHI UHR FE-SEM SU8200, Hitachi, Ltd., Hitachi, Japan). SEM images of the samples (Tiff files) were imported into the program image analysis software (ImageJ) National Institutes of Health, 9000 Rockville Pike, Bethesda, Rockville, MA, USA (version 2.0.0). During image processing, data on scale were entered and the particle size distribution in the samples were determined using plugins proposed in [25];
- XPS = X-Ray photoelectron spectroscopy (PHOIBOS-150 analyzer (SPECS, Berlin, Germany) with 1D-DLD detector, FOCUS-500 monochromator (SPECS, Berlin, Germany), Al Kα radiation, hv = 1486.71 eV, 14 kV, 200 W). The binding energy scale (Eb) was calibrated using the valence band spectra (0.0 eV). The spectra were processed in the CASA program (Casa Software Ltd., Devon, UK) (version 2.3.24) using the Lorentzian Asymmetric Lineshape with Tail Damping. The background was taken into account using the Shirley method.
2.4. Determination of Ag and Au Content and Dynamic of Ag Ions Release
2.5. Biological Studies
2.5.1. Antibacterial Activity of Samples
2.5.2. Investigation of Local Inflammatory Reactions
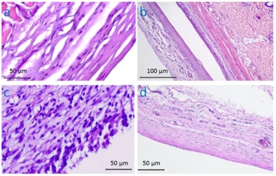
2.5.3. Histological Studies
- Packing density: The minimum value is 0 (the arrangement of fibers at a distance of the width of one standard collagen fiber, cells presented only by fibroblast row with density as in a healthy loose connective tissue).
- Microvessels: The minimum value is 0 (the low number of microvessels corresponds to lose connective tissue in the subcutaneous layer).
- Macrophages: The minimum value is 0 (the low number of macrophages which normally circulate in the bloodstream, but their concentration in the tissue increases in the presence of attractant (stimulus)).
- Lymphocytes: The minimum value is 0 (the low number of lymphocytes which normally circulate in the blood and/or lymphatic stream, while their concentration significantly increases in the tissue only in the case of the appearance of the attractant with a long enough presence in the tissue).
- Foreign body cells (FBCs): The minimum value is 0 (the FBCs are normally absent, the forming CITs the body are trying to isolate the given object from the tissues).
- Mast cells (tissue basophils): The minimum value is 0 (the low number of tissue basophils which are present in the tissues; the number may increase in the presence of irritants and take part in the development of allergic and anaphylactic reactions).
3. Results
3.1. Characterization of Ir and Pt Coatings Modified with Au Nanoparticles (AuNPs)
3.2. Antibacterial Activity of Heterostructures with AuNPs
3.3. Characterization of Ir and Pt Coatings Modified with Ag Nanoparticles (AgNPs)
3.4. Dynamics of Ag Ions Release and Antibacterial Study of Heterostructures with AgNPs
3.5. In Vivo Biocompatibility and Histological Studies of Heterostructures with AuNPs and AgNPs
4. Conclusions
Supplementary Materials
Author Contributions
Funding
Institutional Review Board Statement
Informed Consent Statement
Data Availability Statement
Conflicts of Interest
References
- Henderson, E.R.; Groundland, J.S.; Pala, E.; Dennis, J.A.; Wooten, R.; Cheong, D.; Windhager, R.; Kotz, R.I.; Mercuri, M.; Funovics, P.T.; et al. Failure mode classification for tumor endoprostheses: Retrospective review of five institutions and a literature review. J. Bone Jt. Surg. Am. 2011, 93, 418–429. [Google Scholar] [CrossRef] [PubMed]
- Bosco, R.; Van Den Beucken, J.; Leeuwenburgh, S.; Jansen, J. Surface engineering for bone implants: A trend from passive to active surfaces. Coatings 2012, 2, 95–119. [Google Scholar] [CrossRef]
- Wang, W.; Zhu, Y.; Liao, S.; Li, J. Carbon Nanotubes Reinforced Composites for Biomedical Applications. Biomed Res. Int. 2014, 2014, 518609. [Google Scholar] [CrossRef] [PubMed]
- Hak, D.J.; Mauffrey, C.; Seligson, D.; Lindeque, B. Use of carbon-fiber-reinforced composite implants in orthopedic surgery. Orthopedics 2014, 37, 825–830. [Google Scholar] [CrossRef]
- Scholz, M.-S.; Blanchfield, J.P.; Bloom, L.D.; Coburn, B.H.; Elkington, M.; Fuller, J.D.; Gilbert, M.E.; Muflahi, S.A.; Pernice, M.F.; Rae, S.I.; et al. The use of composite materials in modern orthopaedic medicine and prosthetic devices: A review. Compos. Sci. Technol. 2011, 71, 1791–1803. [Google Scholar] [CrossRef]
- Chernousova, S.; Epple, M. Silver as antibacterial agent: Ion, nanoparticle, and metal. Angew. Chem. Int. Ed. Engl. 2013, 52, 1636–1653. [Google Scholar] [CrossRef]
- Knetsch, M.L.W.; Koole, L.H. New strategies in the development of antimicrobial coatings: The example of increasing usage of silver and silver nanoparticles. Polymers 2011, 3, 340–366. [Google Scholar] [CrossRef]
- Demann, E.T.K.; Stein, P.S.; Haubenreich, J.E. Gold as an implant in medicine and dentistry. J. Long. Term. Eff. Med. Implants 2005, 15, 687–698. [Google Scholar] [CrossRef]
- Miyazawa, N.; Hakamada, M.; Mabuchi, M. Antimicrobial mechanisms due to hyperpolarisation induced by nanoporous Au. Sci. Rep. 2018, 8, 1–8. [Google Scholar] [CrossRef]
- Marambio-Jones, C.; Hoek, E.M.V. A review of the antibacterial effects of silver nanomaterials and potential implications for human health and the environment. J. Nanoparticle Res. 2010, 12, 1531–1551. [Google Scholar] [CrossRef]
- Aurore, V.; Caldana, F.; Blanchard, M.; Kharoubi Hess, S.; Lannes, N.; Mantel, P.-Y.; Filgueira, L.; Walch, M. Silver-nanoparticles increase bactericidal activity and radical oxygen responses against bacterial pathogens in human osteoclasts. Nanomedicine 2018, 14, 601–607. [Google Scholar] [CrossRef] [PubMed]
- Köller, M.; Bellova, P.; Javid, S.M.; Motemani, Y.; Khare, C.; Sengstock, C.; Tschulik, K.; Schildhauer, T.A.; Ludwig, A. Antibacterial activity of microstructured sacrificial anode thin films by combination of silver with platinum group elements (platinum, palladium, iridium). Mater. Sci. Eng. C 2017, 74, 536–541. [Google Scholar] [CrossRef] [PubMed]
- Köller, M.; Sengstock, C.; Motemani, Y.; Khare, C.; Buenconsejo, P.J.S.; Geukes, J.; Schildhauer, T.A.; Ludwig, A. Antibacterial activity of microstructured Ag/Au sacrificial anode thin films. Mater. Sci. Eng. C 2015, 46, 276–280. [Google Scholar] [CrossRef] [PubMed]
- Radtke, A.; Grodzicka, M.; Ehlert, M.; Jędrzejewski, T.; Wypij, M.; Golińska, P. “To Be Microbiocidal and Not to Be Cytotoxic at the Same Time…”—Silver Nanoparticles and Their Main Role on the Surface of Titanium Alloy Implants. J. Clin. Med. 2019, 8, 334. [Google Scholar] [CrossRef] [PubMed]
- Lampé, I.; Beke, D.; Biri, S.; Csarnovics, I.; Csík, A.; Dombrádi, Z.; Hajdu, P.; Hegedűs, V.; Rácz, R.; Varga, I.; et al. Investigation of silver nanoparticles on titanium surface created by ion implantation technology. Int. J. Nanomed. 2019, 14, 4709–4721. [Google Scholar] [CrossRef]
- Gu, X.; Xu, Z.; Gu, L.; Xu, H.; Han, F.; Chen, B.; Pan, X. Preparation and antibacterial properties of gold nanoparticles: A review. Environ. Chem. Lett. 2021, 19, 167–187. [Google Scholar] [CrossRef]
- Zheng, K.; Setyawati, M.I.; Leong, D.T.; Xie, J. Antimicrobial Gold Nanoclusters. ACS Nano 2017, 11, 6904–6910. [Google Scholar] [CrossRef]
- Avellan, A.; Simonin, M.; McGivney, E.; Bossa, N.; Spielman-Sun, E.; Rocca, J.D.; Bernhardt, E.S.; Geitner, N.K.; Unrine, J.M.; Wiesner, M.R.; et al. Gold nanoparticle biodissolution by a freshwater macrophyte and its associated microbiome. Nat. Nanotechnol. 2018, 13, 1072–1077. [Google Scholar] [CrossRef]
- Zhang, Y.; Shareena Dasari, T.P.; Deng, H.; Yu, H. Antimicrobial Activity of Gold Nanoparticles and Ionic Gold. J. Environ. Sci. Health-Part C Environ. Carcinog. Ecotoxicol. Rev. 2015, 33, 286–327. [Google Scholar] [CrossRef]
- Moreno-Álvarez, S.A.; Martínez-Castañón, G.A.; Niño-Martínez, N.; Reyes-Macías, J.F.; Patiño-Marín, N.; Loyola-Rodríguez, J.P.; Ruiz, F. Preparation and bactericide activity of gallic acid stabilized gold nanoparticles. J. Nanoparticle Res. 2010, 12, 2741–2746. [Google Scholar] [CrossRef]
- Dorovskikh, S.I.; Vikulova, E.S.; Chepeleva, E.V.; Vasilieva, M.B.; Nasimov, D.A.; Maksimovskii, E.A.; Tsygankova, A.R.; Basova, T.V.; Sergeevichev, D.S.; Morozova, N.B. Noble Metals for Modern Implant Materials: MOCVD of Film Structures and Cytotoxical, Antibacterial, and Histological Studies. Biomedicines 2021, 9, 851. [Google Scholar] [CrossRef] [PubMed]
- Dorovskikh, S.I.; Vikulova, E.S.; Sergeevichev, D.S.; Guselnikova, T.Y.; Zheravin, A.A.; Nasimov, D.A.; Vasilieva, M.B.; Chepeleva, E.V.; Saprykin, A.I.; Basova, T.V.; et al. Biological Studies of New Implant Materials Based on Carbon and Polymer Carriers with Film Heterostructures Containing Noble Metals. Biomedicines 2022, 10, 2230. [Google Scholar] [CrossRef] [PubMed]
- Fadeeva, V.P.; Tikhova, V.D.; Nikulicheva, O.N.; Oleynik, I.I.; Oleynik, I.V. Composition determination of post-metallocene olefin polymerization catalysts. J. Struct. Chem. 2010, 51, 186–191. [Google Scholar] [CrossRef]
- Black, K.; Singh, J.; Mehta, D.; Sung, S.; Sutcliffe, C.J.; Chalker, P.R. Silver Ink Formulations for Sinter-free Printing of Conductive Films. Sci. Rep. 2016, 6, 20814. [Google Scholar] [CrossRef]
- Igathinathane, C.; Pordesimo, L.O.; Columbus, E.P.; Batchelor, W.D.; Methuku, S.R. Shape identification and particles size distribution from basic shape parameters using ImageJ. Comput. Electron. Agric. 2008, 63, 168–182. [Google Scholar] [CrossRef]
- Gottenbos, B.; van der Mei, H.C.; Busscher, H.J. Initial adhesion and surface growth ofStaphylococcus epidermidis and Pseudomonas aeruginosa on biomedical polymers. J. Biomed. Mater. Res. 2000, 50, 208–214. [Google Scholar] [CrossRef]
- Rybtke, M.; Hultqvist, L.D.; Givskov, M.; Tolker-Nielsen, T. Pseudomonas aeruginosa Biofilm Infections: Community Structure, Antimicrobial Tolerance and Immune Response. J. Mol. Biol. 2015, 427, 3628–3645. [Google Scholar] [CrossRef]
- Oliveira, W.F.; Silva, P.M.S.; Silva, R.C.S.; Silva, G.M.M.; Machado, G.; Coelho, L.C.B.B.; Correia, M.T.S. Staphylococcus aureus and Staphylococcus epidermidis infections on implants. J. Hosp. Infect. 2018, 98, 111–117. [Google Scholar] [CrossRef]
- Cerioli, M.; Batailler, C.; Conrad, A.; Roux, S.; Perpoint, T.; Becker, A.; Triffault-Fillit, C.; Lustig, S.; Fessy, M.-H.; Laurent, F.; et al. Pseudomonas aeruginosa Implant-Associated Bone and Joint Infections: Experience in a Regional Reference Center in France. Front. Med. 2020, 7, 513242. [Google Scholar] [CrossRef]
- Vimbela, G.V.; Ngo, S.M.; Fraze, C.; Yang, L.; Stout, D.A. Antibacterial properties and toxicity from metallic nanomaterials. Int. J. Nanomed. 2017, 12, 3941–3965. [Google Scholar] [CrossRef]
- Yougbare, S.; Chang, T.K.; Tan, S.H.; Kuo, J.C.; Hsu, P.H.; Su, C.Y.; Kuo, T.R. Antimicrobial gold nanoclusters: Recent developments and future perspectives. Int. J. Mol. Sci. 2019, 20, 2924. [Google Scholar] [CrossRef] [PubMed]
- Wang, Y.; Malkmes, M.J.; Jiang, C.; Wang, P.; Zhu, L.; Zhang, H.; Zhang, Y.; Huang, H.; Jiang, L. Antibacterial mechanism and transcriptome analysis of ultra-small gold nanoclusters as an alternative of harmful antibiotics against Gram-negative bacteria. J. Hazard. Mater. 2021, 416, 126236. [Google Scholar] [CrossRef] [PubMed]
- Piszczek, P.; Radtke, A. Silver Nanoparticles Fabricated Using Chemical Vapor Deposition and Atomic Layer Deposition Techniques: Properties, Applications and Perspectives: Review. In Noble and Precious Metals-Properties, Nanoscale Effects and Applications; Seehra, M.S., Bristow, A.D., Eds.; InTech: Rijeka, Croatia, 2018; Chapter 9; pp. 177–214. ISBN 978-1-78923-293-6. [Google Scholar] [CrossRef]
- Mehta, B.K.; Chhajlani, M.; Shrivastava, B.D. Green synthesis of silver nanoparticles and their characterization by XRD. J. Phys. Conf. Ser. 2017, 836, 012050. [Google Scholar] [CrossRef]
- Kolobov, Y.R.; Zhidkov, M.V.; Golosov, E.V.; Vershinina, T.N.; Kudryashov, S.I.; Makarov, S.V.; Ionin, A.A.; Ligachev, A.E. Phase composition and structure of femtosecond laser-produced oxide layer on VT6 alloy surface. Laser Phys. Lett. 2016, 13, 76103. [Google Scholar] [CrossRef]
- Doumeng, M.; Makhlouf, L.; Berthet, F.; Marsan, O.; Delbé, K.; Denape, J.; Chabert, F. A comparative study of the crystallinity of polyetheretherketone by using density, DSC, XRD, and Raman spectroscopy techniques. Polym. Test. 2021, 93, 106878. [Google Scholar] [CrossRef]
- Vikulova, E.S.; Karakovskaya, K.I.; Koretskaya, T.P.; Korolkov, I.V.; Chepeleva, E.V.; Asanov, I.P.; Tsygankova, A.R.; Maksimovskii, E.A.; Marchenko, E.S.; Lantsukhay, Y.A.; et al. MOCVD of Noble Metal Film Materials for Medical Implants: Microstructure and Biocompatibility of Ir and Au/Ir Coatings on TiNi. Coatings 2021, 11, 638. [Google Scholar] [CrossRef]
- Gambardella, A.; Berni, M.; Graziani, G.; Kovtun, A.; Liscio, A.; Russo, A.; Visani, A.; Bianchi, M. Nanostructured Ag thin films deposited by pulsed electron ablation. Appl. Surf. Sci. 2019, 475, 917–925. [Google Scholar] [CrossRef]
- Jamuna-Thevi, K.; Bakar, S.A.; Ibrahim, S.; Shahab, N.; Toff, M.R.M. Quantification of silver ion release, in vitro cytotoxicity and antibacterial properties of nanostuctured Ag doped TiO2 coatings on stainless steel deposited by RF magnetron sputtering. Vacuum 2011, 86, 235–241. [Google Scholar] [CrossRef]
- Kargupta, R.; Bok, S.; Darr, C.M.; Crist, B.D.; Gangopadhyay, K.; Gangopadhyay, S.; Sengupta, S. Coatings and surface modifications imparting antimicrobial activity to orthopedic implants. WIREs Nanomed. Nanobiotechnology 2014, 6, 475–495. [Google Scholar] [CrossRef]
- Alsaleh, N.B.; Mendoza, R.P.; Brown, J.M. Exposure to silver nanoparticles primes mast cells for enhanced activation through the high-affinity IgE receptor. Toxicol. Appl. Pharmacol. 2019, 382, 114746. [Google Scholar] [CrossRef]
- Breisch, M.; Loza, K.; Pappert, K.; Rostek, A.; Rurainsky, C.; Tschulik, K.; Heggen, M.; Epple, M.; Tiller, J.C.; Schildhauer, T.A.; et al. Enhanced dissolution of silver nanoparticles in a physical mixture with platinum nanoparticles based on the sacrificial anode effect. Nanotechnology 2019, 31, 55703. [Google Scholar] [CrossRef] [PubMed]









| Precursor | Mass. % | m.p. | |||||
|---|---|---|---|---|---|---|---|
| Found. | Calcd. | ||||||
| C | H | N | C | H | N | ||
| Ir(cod)(acac) IrC13H19O2 | 39.0 | 4.4 | - | 39.1 | 4.8 | - | 155 °C; |
| Ir(CO)2(acac) IrC7H7O4 | 24.5 | 2.0 | - | 24.2 | 2.1 | - | 145 °C (dec.) |
| Pt(acac)2 PtC10H14O2 | 30.2 | 3.9 | - | 30.5 | 3.6 | - | 240 °C |
| (CH3)3Pt(acac)Py PtC13H21NO2 | 37.0 | 5.3 | 3.0 | 37.3 | 5.1 | 3.3 | 118 °C |
| Precursor | C | H | F | C | H | F | m.p. |
| [Ag(cod)(hfac)]2Ag2C26H26F12O4 | 36.9 | 3.1 | 26.9 | 36.9 | 3.0 | 27.1 | 110 °C (dec.) [24]. |
| Substrate | Deposition Conditions | Samples | ||||
|---|---|---|---|---|---|---|
| Precursor | Sample Mass (mg) | Temperature (°C) | Details | |||
| Evaporator | Deposition | |||||
| Ti | Ag | 5 | 1300 | 150 | UVM.71 PVD installation, U = 400 V, I = 400 mA 8·10−7 Torr | s-Ag/Ti |
| Ir/Ti | s-Ag/Ir/Ti | |||||
| Pt/Ti | s-Ag/Pt/Ti | |||||
| CFR-PEEK | Ag | 20 | b-Ag/CFR-PEEK | |||
| Ir/CFR-PEEK | b-Ag/Ir/CFR-PEEK | |||||
| Pt/CFR-PEEK | b-Ag/Pt/CFR-PEEK | |||||
| Ti | b-Ag/Ti | |||||
| Ir/Ti | b-Ag/Ir/Ti | |||||
| Ti | [Ag(cod)(hfac)]2 | 65 | 120 | 300 | MOCVD hand-made installation v(Ar) = 9 L/h,v(H2) = 12 L/h, 5.7 Torr | s-Ag(CVD)/Ti |
| Ir/Ti | s-Ag(CVD)/Ir/Ti | |||||
| CFR-PEEK | Au | 1 | 1670 | 200 | UVM.71 PVD installation U = 500 V, I = 500 mA 8·10−7 Torr | s-Au/CFR-PEEK |
| Ir/CFR-PEEK | s-Au/Ir/CFR-PEEK | |||||
| Pt/CFR-PEEK | s-Au/Pt/CFR-PEEK | |||||
| Ir/Ti | s-Au/Pt/Ti | |||||
| CFR-PEEK | 6.0 | b-Au/CFR-PEEK | ||||
| Ir/CFR-PEEK | b-Au/Ir/CFR-PEEK | |||||
| Pt/CFR-PEEK | b-Au/Pt/CFR-PEEK | |||||
| Ir/Ti | b-Au/Pt/Ti | |||||
| Samples | Au Content * (μg/cm2) | AuNPs Size (nm) | AuNPs Average § (nm) |
|---|---|---|---|
| s-Au/CFR-PEEK | 0.6 ± 0.1 | 1–5 | 3 |
| s-Au/Ir/CFR-PEEK | 0.9 ± 0.1 | 2–6 | 3 |
| s-Au/Pt/CFR-PEEK | 0.8 ± 0.1 | 2–6 | 3 |
| s-Au/Pt/Ti | 1.1 ± 0.1 | 6–10 | 7.5 |
| b-Au/CFR-PEEK | 5.0 ± 0.5 | 4–9 + clusters | 5 |
| b-Au/Ir/CFR-PEEK | 5.2 ± 0.6 | 4–8 + clusters | 5.5 |
| b-Au/Pt/CFR-PEEK | 5.1 ± 0.5 | 5–8 + clusters | 5.5 |
| b-Au/Pt/Ti | 6.0 ± 0.6 | 8–11 + clusters | 9 |
| Sample | P. aeruginosa 24 h | p | S. aureus 24 h | p | P. aeruginosa 48 h | S. aureus 48 h |
|---|---|---|---|---|---|---|
| s-Au/Pt/CFR-PEEK | 121 ± 29 | <0.0001 | 131 ± 18 | <0.0001 | 0 | 0 |
| s-Au/Ir/CFR-PEEK | 104 ± 28 | <0.0001 | 127 ± 26 | <0.0001 | 0 | 0 |
| b-Au/Pt/CFR-PEEK | 39 ± 17 | <0.0001 | 40 ± 6 | <0.0001 | 0 | 0 |
| b-Au/Ir/CFR-PEEK | 46 ± 20 | <0.0001 | 54 ± 13 | <0.0001 | 0 | 0 |
| Control (CFR-PEEK) | 980 ± 40 | - | 945 ± 60 | - | 993 ± 63 | 957 ± 38 |
| Samples | Ag Content * = Co (μg/cm2) | AgNPs § Sizes (nm) | Method of Size Determination |
|---|---|---|---|
| b-Ag/CFR-PEEK | 17.0 ±1.7 | 19 | XRD |
| b-Ag/Ir/CFR-PEEK | 18.0 ± 1.8 | 17 | |
| b-Ag/Pt/CFR-PEEK | 17.0 ± 1.7 | 14 | |
| b-Ag/Ti | 20.0 ± 2.0 | 23 | |
| b-Ag/Ir/Ti | 18 ± 1.8 | 21 | |
| s-Ag/Ti | 6.0 ± 0.6 | 15–30 + clusters | SEM |
| s-Ag/Ir/Ti | 5.4 ± 0.5 | 10–20 + clusters | |
| s-Ag/Pt/Ti | 2.0 ± 0.2 | 8–15 + clusters | |
| s-Ag(CVD)/Ti | 6.0 ± 0.6 | 25–55 | |
| s-Ag(CVD)/Ir/Ti | 6.2 ± 0.6 | 16–20 + clusters |
| Sample | Implantation Time (months) | Packing Density | Microvessels | Macrophages | Lymphocytes | FBCs | Mast Cells |
|---|---|---|---|---|---|---|---|
| CFR-PEEK | 1 | 1–2 | 0–1 | 0–1 | 0 | 0 | 0 |
| 3 | 2 | 0 | 0 | 1 | 0 | 0 | |
| b-Au/Pt/CFR-PEEK | 1 | 1–2 | 0 | 0 | 0 | 0 | 0–1 |
| 3 | 2 | 1 | 0 | 0 | 0 | 0 | |
| s-Ag/Pt/CFR-PEEK | 1 * | 3 | 1 | 0 | 0 | - | 1 |
| 3 | 1–2 | 2–3 | 0–1 | 0 | 0 | 0 | |
| b-Ag/Pt/CFR-PEEK | 1 | 1–2 | 1–2 | 1–2 | 0–1 | 0 | 0 |
| 3 | 2 | 2–3 | 0 | 0 | 2 | 2 | |
| s-Ag/Ir/CFR-PEEK | 1 * | 3 | 0 | 0 | 0 | - | 3 |
| 3 | 1–2 | 0–1 | 0 | 0 | 0 | 0 | |
| b-Ag/Ir/CFR-PEEK | 1 | 1 | 0–1 | 0 | 0 | 0 | 0 |
| 3 | 1 | 0–1 | 0 | 0 | 0 | 0 |
Disclaimer/Publisher’s Note: The statements, opinions and data contained in all publications are solely those of the individual author(s) and contributor(s) and not of MDPI and/or the editor(s). MDPI and/or the editor(s) disclaim responsibility for any injury to people or property resulting from any ideas, methods, instructions or products referred to in the content. |
© 2023 by the authors. Licensee MDPI, Basel, Switzerland. This article is an open access article distributed under the terms and conditions of the Creative Commons Attribution (CC BY) license (https://creativecommons.org/licenses/by/4.0/).
Share and Cite
Dorovskikh, S.I.; Vikulova, E.S.; Sergeevichev, D.S.; Guselnikova, T.Y.; Korolkov, I.V.; Fedorenko, A.D.; Nasimov, D.A.; Vasilieva, M.B.; Chepeleva, E.V.; Zherikova, K.V.; et al. Heterostructures Based on Noble Metal Films with Ag and Au Nanoparticles: Fabrication, Study of In Vivo Biocompatibility and Antibacterial Activity. Coatings 2023, 13, 1269. https://doi.org/10.3390/coatings13071269
Dorovskikh SI, Vikulova ES, Sergeevichev DS, Guselnikova TY, Korolkov IV, Fedorenko AD, Nasimov DA, Vasilieva MB, Chepeleva EV, Zherikova KV, et al. Heterostructures Based on Noble Metal Films with Ag and Au Nanoparticles: Fabrication, Study of In Vivo Biocompatibility and Antibacterial Activity. Coatings. 2023; 13(7):1269. https://doi.org/10.3390/coatings13071269
Chicago/Turabian StyleDorovskikh, Svetlana I., Evgeniia S. Vikulova, David S. Sergeevichev, Tatiana Ya. Guselnikova, Ilya V. Korolkov, Anastasiya D. Fedorenko, Dmitriy A. Nasimov, Maria B. Vasilieva, Elena V. Chepeleva, Kseniya V. Zherikova, and et al. 2023. "Heterostructures Based on Noble Metal Films with Ag and Au Nanoparticles: Fabrication, Study of In Vivo Biocompatibility and Antibacterial Activity" Coatings 13, no. 7: 1269. https://doi.org/10.3390/coatings13071269
APA StyleDorovskikh, S. I., Vikulova, E. S., Sergeevichev, D. S., Guselnikova, T. Y., Korolkov, I. V., Fedorenko, A. D., Nasimov, D. A., Vasilieva, M. B., Chepeleva, E. V., Zherikova, K. V., Basova, T. V., & Morozova, N. B. (2023). Heterostructures Based on Noble Metal Films with Ag and Au Nanoparticles: Fabrication, Study of In Vivo Biocompatibility and Antibacterial Activity. Coatings, 13(7), 1269. https://doi.org/10.3390/coatings13071269

