Titanium Dioxide Nanoparticles Alter the Cellular Phosphoproteome in A549 Cells
Abstract
1. Introduction
2. Materials and Methods
2.1. Chemicals and Nanoparticles
2.2. Cell Culture and Exposure Conditions
2.3. Phosphoproteome Sample Preparation and Trypsin Proteolysis
2.4. Phosphopeptide Enrichment by Chromatography
2.5. Tandem Mass Spectrometry
2.6. MS/MS Spectra Interpretation, Statistics, and Data Mining
2.7. Cell Cycle Analysis
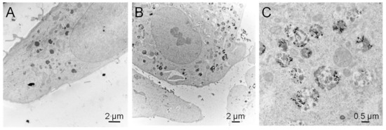
2.8. Electron Microscopy
3. Results and Discussion
3.1. Phosphoproteome Analysis
3.2. Comparison of Phosphorylation Levels in Control Cells and Cells Exposed to TiO2-NPs
3.3. Functional Analysis
3.3.1. Protein Ontology
3.3.2. Biological Activity of Dysregulated Phosphorylation Sites
4. Conclusions
Supplementary Materials
Author Contributions
Funding
Acknowledgments
Conflicts of Interest
References
- Shi, H.; Magaye, R.; Castranova, V.; Zhao, J. Titanium dioxide nanoparticles: A review of current toxicological data. Part. Fibre Toxicol. 2013, 10, 15. [Google Scholar] [CrossRef]
- Boland, S.; Hussain, S.; Baeza-Squiban, A. Carbon black and titanium dioxide nanoparticles induce distinct molecular mechanisms of toxicity: Carbon black and TiO2 induce different mechanisms of toxicity. Wiley Interdiscip. Rev. Nanomed. Nanobiotechnol. 2014, 6, 641–652. [Google Scholar] [CrossRef]
- Johnston, H.; Hutchison, G.; Christensen, F.; Peters, S.; Hankin, S.; Stone, V. Identification of the mechanisms that drive the toxicity of TiO2 particulates: The contribution of physicochemical characteristics. Part. Fibre Toxicol. 2009, 6, 1–27. [Google Scholar] [CrossRef]
- Landsiedel, R.; Sauer, U.G.; Ma-Hock, L.; Schnekenburger, J.; Wiemann, M. Pulmonary toxicity of nanomaterials: A critical comparison of published in vitro assays and in vivo inhalation or instillation studies. Nanomedicine 2014, 9, 2557–2585. [Google Scholar] [CrossRef]
- Skocaj, M.; Filipic, M.; Petkovic, J.; Novak, S. Titanium dioxide in our everyday life; is it safe? Radiol. Oncol. 2011, 45, 227–247. [Google Scholar] [CrossRef] [PubMed]
- International Agency for Research on Cancer (IARC). Carbon black, titanium dioxide, and talc. IARC Monogr. Eval. Carcinog. Risks Hum. 2010, 93, 1–413. [Google Scholar]
- Oh, N.; Park, J.H. Endocytosis and exocytosis of nanoparticles in mammalian cells. Int. J. Nanomed. 2014, 9 (Suppl. S1), 51–63. [Google Scholar] [CrossRef]
- Kermanizadeh, A.; Chauché, C.; Brown, D.M.; Loft, S.; Møller, P. The role of intracellular redox imbalance in nanomaterial induced cellular damage and genotoxicity: A review: NM Induced Redox Status Imbalance and Genotoxicity. Environ. Mol. Mutagenesis 2014. [Google Scholar] [CrossRef]
- Thai, S.F.; Wallace, K.A.; Jones, C.P.; Ren, H.; Prasad, R.Y.; Ward, W.O.; Kohan, M.J.; Blackman, C.F. Signaling Pathways and MicroRNA Changes in Nano-TiO2 Treated Human Lung Epithelial (BEAS-2B) Cells. J. Nanosci. Nanotechnol. 2015, 15, 492–503. [Google Scholar] [CrossRef]
- Gui, S.; Li, B.; Zhao, X.; Sheng, L.; Hong, J.; Yu, X.; Sang, X.; Sun, Q.; Ze, Y.; Wang, L.; et al. Renal injury and Nrf2 modulation in mouse kidney following chronic exposure to TiO(2) nanoparticles. J. Agric. Food Chem. 2013, 61, 8959–8968. [Google Scholar] [CrossRef]
- Magdolenova, Z.; Collins, A.; Kumar, A.; Dhawan, A.; Stone, V.; Dusinska, M. Mechanisms of genotoxicity. A review of in vitro and in vivo studies with engineered nanoparticles. Nanotoxicology 2014, 8, 233–278. [Google Scholar] [CrossRef] [PubMed]
- Huang, S.; Chueh, P.J.; Lin, Y.-W.; Shih, T.-S.; Chuang, S.-M. Disturbed mitotic progression and genome segregation are involved in cell transformation mediated by nano-TiO2 long-term exposure. Toxicol. Appl. Pharmacol. 2009, 241, 182–194. [Google Scholar] [CrossRef] [PubMed]
- Biola-Clier, M.; Beal, D.; Caillat, S.; Libert, S.; Armand, L.; Herlin-Boime, N.; Sauvaigo, S.; Douki, T.; Carriere, M. Comparison of the DNA damage response in BEAS-2B and A549 cells exposed to titanium dioxide nanoparticles. Mutagenesis 2017, 32, 161–172. [Google Scholar] [CrossRef] [PubMed]
- Jugan, M.-L.; Barillet, S.; Simon-Deckers, A.; Herlin-Boime, N.; Sauvaigo, S.; Douki, T.; Carriere, M. Titanium dioxide nanoparticles exhibit genotoxicity and impair DNA repair activity in A549 cells. Nanotoxicology 2012, 6, 501–513. [Google Scholar] [CrossRef] [PubMed]
- Kansara, K.; Patel, P.; Shah, D.; Shukla, R.K.; Singh, S.; Kumar, A.; Dhawan, A. TiO2 nanoparticles induce DNA double strand breaks and cell cycle arrest in human alveolar cells: DNA Double Strand Breaks and Cell Cycle Arrest. Environ. Mol. Mutagenesis 2014. [Google Scholar] [CrossRef]
- Lee, Y.S.; Yoon, S.; Yoon, H.J.; Lee, K.; Yoon, H.K.; Lee, J.H.; Song, C.W. Inhibitor of differentiation 1 (Id1) expression attenuates the degree of TiO2-induced cytotoxicity in H1299 non-small cell lung cancer cells. Toxicol. Lett. 2009, 189, 191–199. [Google Scholar] [CrossRef]
- Li, B.; Ze, Y.; Sun, Q.; Zhang, T.; Sang, X.; Cui, Y.; Wang, X.; Gui, S.; Tan, D.; Zhu, M.; et al. Molecular Mechanisms of Nanosized Titanium Dioxide-Induced Pulmonary Injury in Mice. PLoS ONE 2013, 8, e55563. [Google Scholar] [CrossRef]
- Medina-Reyes, E.I.; Bucio-Lopez, L.; Freyre-Fonseca, V.; Sanchez-Pérez, Y.; Garcia-Cuéllar, C.M.; Morales-Barcenas, R.; Pedraza-Chaverri, J.; Chirino, Y.I. Cell cycle synchronization reveals greater G2/M-phase accumulation of lung epithelial cells exposed to titanium dioxide nanoparticles. Environ. Sci. Pollut. Res. 2014. [Google Scholar] [CrossRef]
- Moe, B.; Gabos, S.; Li, X.-F. Real-time cell-microelectronic sensing of nanoparticle-induced cytotoxic effects. Anal. Chim. Acta 2013, 789, 83–90. [Google Scholar] [CrossRef]
- Prasad, R.Y.; Wallace, K.; Daniel, K.M.; Tennant, A.H.; Zucker, R.M.; Strickland, J.; Dreher, K.; Kligerman, A.D.; Blackman, C.F.; DeMarini, D.M. Effect of Treatment Media on the Agglomeration of Titanium Dioxide Nanoparticles: Impact on Genotoxicity, Cellular Interaction, and Cell Cycle. ACS Nano 2013. [Google Scholar] [CrossRef]
- Alinovi, R.; Goldoni, M.; Pinelli, S.; Ravanetti, F.; Galetti, M.; Pelosi, G.; De Palma, G.; Apostoli, P.; Cacchioli, A.; Mutti, A.; et al. Titanium dioxide aggregating nanoparticles induce autophagy and under-expression of microRNA 21 and 30a in A549 cell line: A comparative study with cobalt(II, III) oxide nanoparticles. Toxicol. In Vitro 2017, 42, 76–85. [Google Scholar] [CrossRef] [PubMed]
- Popp, L.; Tran, V.; Patel, R.; Segatori, L. Autophagic response to cellular exposure to titanium dioxide nanoparticles. Acta Biomater. 2018, 79, 354–363. [Google Scholar] [CrossRef] [PubMed]
- Cordani, M.; Somoza, A. Targeting autophagy using metallic nanoparticles: A promising strategy for cancer treatment. Cell. Mol. Life Sci. 2019, 76, 1215–1242. [Google Scholar] [CrossRef] [PubMed]
- Ardito, F.; Giuliani, M.; Perrone, D.; Troiano, G.; Lo Muzio, L. The crucial role of protein phosphorylation in cell signaling and its use as targeted therapy (Review). Int. J. Mol. Med. 2017, 40, 271–280. [Google Scholar] [CrossRef] [PubMed]
- Cohen, P. The origins of protein phosphorylation. Nat. Cell Biol. 2002, 4, E127–E130. [Google Scholar] [CrossRef] [PubMed]
- Engholm-Keller, K.; Larsen, M.R. Titanium dioxide as chemo-affinity chromatographic sorbent of biomolecular compounds--applications in acidic modification-specific proteomics. J. Proteom. 2011, 75, 317–328. [Google Scholar] [CrossRef] [PubMed]
- Imamura, H.; Wakabayashi, M.; Ishihama, Y. Analytical strategies for shotgun phosphoproteomics: Status and prospects. Semin. Cell Dev. Biol. 2012, 23, 836–842. [Google Scholar] [CrossRef]
- Thingholm, T.E.; Larsen, M.R. The Use of Titanium Dioxide for Selective Enrichment of Phosphorylated Peptides. Methods Mol. Biol. 2016, 1355, 135–146. [Google Scholar] [CrossRef]
- Ge, Y.; Bruno, M.; Wallace, K.; Winnik, W.; Prasad, R.Y. Proteome profiling reveals potential toxicity and detoxification pathways following exposure of BEAS-2B cells to engineered nanoparticle titanium dioxide. Proteomics 2011, 11, 2406–2422. [Google Scholar] [CrossRef]
- Gangwal, S.; Brown, J.S.; Wang, A.; Houck, K.A.; Dix, D.J.; Kavlock, R.J.; Hubal, E.A.C. Informing Selection of Nanomaterial Concentrations for ToxCast in Vitro Testing Based on Occupational Exposure Potential. Environ. Health Perspect. 2011, 119, 1539–1546. [Google Scholar] [CrossRef]
- Simon-Deckers, A.; Gouget, B.; Mayne-L’Hermite, M.; Herlin-Boime, N.; Reynaud, C.; Carriere, M. In vitro investigation of oxide nanoparticle and carbon nanotube toxicity and intracellular accumulation in A549 human pneumocytes. Toxicology 2008, 253, 137–146. [Google Scholar] [CrossRef]
- Titanium Dioxide, NM-100, NM-101, NM-102, NM-103, NM-104, NM-105: Characterisation and Physico-Chemical Properties. Available online: http://publications.jrc.ec.europa.eu/repository/handle/JRC86291 (accessed on 20 January 2020).
- Brun, E.; Barreau, F.; Veronesi, G.; Fayard, B.; Sorieul, S.; Chaneac, C.; Carapito, C.; Rabilloud, T.; Mabondzo, A.; Herlin-Boime, N.; et al. Titanium dioxide nanoparticle impact and translocation through ex vivo, in vivo and in vitro gut epithelia. Part. Fibre Toxicol. 2014, 11, 13. [Google Scholar] [CrossRef]
- Taurozzi, J.S.; Hackley, V.A.; Wiesner, M.R. Ultrasonic dispersion of nanoparticles for environmental, health and safety assessment-issues and recommendations. Nanotoxicology 2011, 5, 711–729. [Google Scholar] [CrossRef]
- Taguchi, K.; Yamamoto, M. The KEAP1-NRF2 System in Cancer. Front. Oncol. 2017, 7, 85. [Google Scholar] [CrossRef] [PubMed]
- Yang, W.; Peters, J.I.; Williams, R.O., 3rd. Inhaled nanoparticles—A current review. Int. J. Pharm. 2008, 356, 239–247. [Google Scholar] [CrossRef] [PubMed]
- Villén, J.; Gygi, S.P. The SCX/IMAC enrichment approach for global phosphorylation analysis by mass spectrometry. Nat. Protoc. 2008, 3, 1630–1638. [Google Scholar] [CrossRef] [PubMed]
- Armengaud, J.; Fernandez, B.; Chaumont, V.; Rollin-Genetet, F.; Finet, S.; Marchetti, C.; Myllykallio, H.; Vidaud, C.; Pellequer, J.-L.; Gribaldo, S.; et al. Identification, purification, and characterization of an eukaryotic-like phosphopantetheine adenylyltransferase (coenzyme A biosynthetic pathway) in the hyperthermophilic archaeon Pyrococcus abyssi. J. Biol. Chem. 2003, 278, 31078–31087. [Google Scholar] [CrossRef]
- Dedieu, A.; Gaillard, J.-C.; Pourcher, T.; Darrouzet, E.; Armengaud, J. Revisiting iodination sites in thyroglobulin with an organ-oriented shotgun strategy. J. Biol. Chem. 2011, 286, 259–269. [Google Scholar] [CrossRef]
- Hsiao, H.-H.; Urlaub, H. Pseudo-neutral-loss scan for selective detection of phosphopeptides and N-glycopeptides using liquid chromatography coupled with a hybrid linear ion-trap/orbitrap mass spectrometer. Proteomics 2010, 10, 3916–3921. [Google Scholar] [CrossRef]
- Clair, G.; Armengaud, J.; Duport, C. Restricting fermentative potential by proteome remodeling: An adaptive strategy evidenced in Bacillus cereus. Mol. Cell. Proteom. 2012, 11. [Google Scholar] [CrossRef]
- Carvalho, P.C.; Fischer, J.S.G.; Chen, E.I.; Yates, J.R.; Barbosa, V.C. PatternLab for proteomics: A tool for differential shotgun proteomics. BMC Bioinform. 2008, 9. [Google Scholar] [CrossRef] [PubMed]
- Huang, D.W.; Sherman, B.T.; Lempicki, R.A. Systematic and integrative analysis of large gene lists using DAVID bioinformatics resources. Nat. Protoc. 2009, 4, 44–57. [Google Scholar] [CrossRef] [PubMed]
- Huang, D.W.; Sherman, B.T.; Lempicki, R.A. Bioinformatics enrichment tools: Paths toward the comprehensive functional analysis of large gene lists. Nucleic Acids Res. 2009, 37, 1–13. [Google Scholar] [CrossRef] [PubMed]
- Zhang, G.; Njauw, C.N.; Park, J.M.; Naruse, C.; Asano, M.; Tsao, H. EphA2 is an essential mediator of UV radiation-induced apoptosis. Cancer Res. 2008, 68, 1691–1696. [Google Scholar] [CrossRef]
- Rigou, P.; Piddubnyak, V.; Faye, A.; Rain, J.C.; Michel, L.; Calvo, F.; Poyet, J.L. The antiapoptotic protein AAC-11 interacts with and regulates Acinus-mediated DNA fragmentation. EMBO J. 2009, 28, 1576–1588. [Google Scholar] [CrossRef]
- Lee, J.H.; Takahashi, T.; Yasuhara, N.; Inazawa, J.; Kamada, S.; Tsujimoto, Y. Bis, a Bcl-2-binding protein that synergizes with Bcl-2 in preventing cell death. Oncogene 1999, 18, 6183–6190. [Google Scholar] [CrossRef]
- Moss, D.K.; Wilde, A.; Lane, J.D. Dynamic release of nuclear RanGTP triggers TPX2-dependent microtubule assembly during the apoptotic execution phase. J. Cell Sci. 2009, 122, 644–655. [Google Scholar] [CrossRef]
- Armand, L.; Biola-Clier, M.; Bobyk, L.; Collin-Faure, V.; Diemer, H.; Strub, J.M.; Cianferani, S.; Van Dorsselaer, A.; Herlin-Boime, N.; Rabilloud, T.; et al. Molecular responses of alveolar epithelial A549 cells to chronic exposure to titanium dioxide nanoparticles: A proteomic view. J. Proteom. 2016, 134, 163–173. [Google Scholar] [CrossRef]
- Kermanizadeh, A.; Jantzen, K.; Ward, M.B.; Durhuus, J.A.; Juel Rasmussen, L.; Loft, S.; Moller, P. Nanomaterial-induced cell death in pulmonary and hepatic cells following exposure to three different metallic materials: The role of autophagy and apoptosis. Nanotoxicology 2017, 11, 184–200. [Google Scholar] [CrossRef]
- Bai, W.; Bai, J.; Li, Y.; Tian, D.; Shi, R. Microtubule-associated protein 1S-related autophagy inhibits apoptosis of intestinal epithelial cells via Wnt/beta-catenin signaling in Crohn’s disease. Biochem. Biophys. Res. Commun. 2017, 485, 635–642. [Google Scholar] [CrossRef]
- Martin, D.D.; Ladha, S.; Ehrnhoefer, D.E.; Hayden, M.R. Autophagy in Huntington disease and huntingtin in autophagy. Trends Neurosci. 2015, 38, 26–35. [Google Scholar] [CrossRef] [PubMed]
- Anne, S.L.; Saudou, F.; Humbert, S. Phosphorylation of huntingtin by cyclin-dependent kinase 5 is induced by DNA damage and regulates wild-type and mutant huntingtin toxicity in neurons. J. Neurosci. 2007, 27, 7318–7328. [Google Scholar] [CrossRef] [PubMed]
- Katsuragi, Y.; Ichimura, Y.; Komatsu, M. p62/SQSTM1 functions as a signaling hub and an autophagy adaptor. FEBS J. 2015, 282, 4672–4678. [Google Scholar] [CrossRef] [PubMed]
- Lepine, S.; Allegood, J.C.; Park, M.; Dent, P.; Milstien, S.; Spiegel, S. Sphingosine-1-phosphate phosphohydrolase-1 regulates ER stress-induced autophagy. Cell Death Differ. 2011, 18, 350–361. [Google Scholar] [CrossRef]
- Sasaki, T.; Gan, E.C.; Wakeham, A.; Kornbluth, S.; Mak, T.W.; Okada, H. HLA-B-associated transcript 3 (Bat3)/Scythe is essential for p300-mediated acetylation of p53. Genes Dev. 2007, 21, 848–861. [Google Scholar] [CrossRef]
- Jang, S.W.; Yang, S.J.; Ehlen, A.; Dong, S.; Khoury, H.; Chen, J.; Persson, J.L.; Ye, K. Serine/arginine protein-specific kinase 2 promotes leukemia cell proliferation by phosphorylating acinus and regulating cyclin A1. Cancer Res. 2008, 68, 4559–4570. [Google Scholar] [CrossRef]
- Huen, M.S.; Sy, S.M.; Leung, K.M.; Ching, Y.P.; Tipoe, G.L.; Man, C.; Dong, S.; Chen, J. SON is a spliceosome-associated factor required for mitotic progression. Cell Cycle 2010, 9, 2679–2685. [Google Scholar] [CrossRef]
- Luo, Z.; Li, D.; Luo, X.; Li, L.; Gu, S.; Yu, L.; Ma, Y. Decreased Expression of miR-548c-3p in Osteosarcoma Contributes to Cell Proliferation Via Targeting ITGAV. Cancer Biother. Radiopharm. 2016, 31, 153–158. [Google Scholar] [CrossRef]
- Indovina, P.; Pentimalli, F.; Casini, N.; Vocca, I.; Giordano, A. RB1 dual role in proliferation and apoptosis: Cell fate control and implications for cancer therapy. Oncotarget 2015, 6, 17873–17890. [Google Scholar] [CrossRef]
- McCaig, C.; Potter, L.; Abramczyk, O.; Murray, J.T. Phosphorylation of NDRG1 is temporally and spatially controlled during the cell cycle. Biochem. Biophys. Res. Commun. 2011, 411, 227–234. [Google Scholar] [CrossRef]
- Park, K.C.; Paluncic, J.; Kovacevic, Z.; Richardson, D.R. Pharmacological targeting and the diverse functions of the metastasis suppressor, NDRG1, in cancer. Free Radic. Biol. Med. 2019. [Google Scholar] [CrossRef] [PubMed]
- Armand, L.; Tarantini, A.; Beal, D.; Biola-Clier, M.; Bobyk, L.; Sorieul, S.; Pernet-Gallay, K.; Marie-Desvergne, C.; Lynch, I.; Herlin-Boime, N.; et al. Long-term exposure of A549 cells to titanium dioxide nanoparticles induces DNA damage and sensitizes cells towards genotoxic agents. Nanotoxicology 2016, 10, 913–923. [Google Scholar] [CrossRef] [PubMed]
- Kang, S.J.; Kim, B.M.; Lee, Y.J.; Chung, H.W. Titanium dioxide nanoparticles trigger p53-mediated damage response in peripheral blood lymphocytes. Environ. Mol. Mutagenesis 2008, 49, 399–405. [Google Scholar] [CrossRef] [PubMed]
- Meena, R.; Rani, M.; Pal, R.; Rajamani, P. Nano-TiO2-induced apoptosis by oxidative stress-mediated DNA damage and activation of p53 in human embryonic kidney cells. Appl. Biochem. Biotechnol. 2012, 167, 791–808. [Google Scholar] [CrossRef]
- Petkovic, J.; Zegura, B.; Stevanovic, M.; Drnovsek, N.; Uskokovic, D.; Novak, S.; Filipic, M. DNA damage and alterations in expression of DNA damage responsive genes induced by TiO2 nanoparticles in human hepatoma HepG2 cells. Nanotoxicology 2011, 5, 341–353. [Google Scholar] [CrossRef] [PubMed]
- Shi, Y.L.; Wang, F.; He, J.B.; Yadav, S.; Wang, H. Titanium dioxide nanoparticles cause apoptosis in BEAS-2B cells through the caspase 8/t-Bid-independent mitochondrial pathway. Toxicol. Lett. 2010, 196, 21–27. [Google Scholar] [CrossRef] [PubMed]
- Srivastava, R.K.; Rahman, Q.; Kashyap, M.P.; Singh, A.K.; Jain, G.; Jahan, S.; Lohani, M.; Lantow, M.; Pant, A.B. Nano-titanium dioxide induces genotoxicity and apoptosis in human lung cancer cell line, A549. Hum. Exp. Toxicol. 2013, 32, 153–166. [Google Scholar] [CrossRef] [PubMed]
- Wu, J.; Sun, J.; Xue, Y. Involvement of JNK and P53 activation in G2/M cell cycle arrest and apoptosis induced by titanium dioxide nanoparticles in neuron cells. Toxicol. Lett. 2010, 199, 269–276. [Google Scholar] [CrossRef]
- Luo, S.; Schaefer, A.M.; Dour, S.; Nonet, M.L. The conserved LIM domain-containing focal adhesion protein ZYX-1 regulates synapse maintenance in Caenorhabditis elegans. Development 2014, 141, 3922–3933. [Google Scholar] [CrossRef]
- Hashimoto, S.; Hirose, M.; Hashimoto, A.; Morishige, M.; Yamada, A.; Hosaka, H.; Akagi, K.; Ogawa, E.; Oneyama, C.; Agatsuma, T.; et al. Targeting AMAP1 and cortactin binding bearing an atypical src homology 3/proline interface for prevention of breast cancer invasion and metastasis. Proc. Natl. Acad. Sci. USA 2006, 103, 7036–7041. [Google Scholar] [CrossRef]
- Harrison, B.; Kraus, M.; Burch, L.; Stevens, C.; Craig, A.; Gordon-Weeks, P.; Hupp, T.R. DAPK-1 binding to a linear peptide motif in MAP1B stimulates autophagy and membrane blebbing. J. Biol. Chem. 2008, 283, 9999–10014. [Google Scholar] [CrossRef]
- Surks, H.K.; Riddick, N.; Ohtani, K. M-RIP targets myosin phosphatase to stress fibers to regulate myosin light chain phosphorylation in vascular smooth muscle cells. J. Biol. Chem. 2005, 280, 42543–42551. [Google Scholar] [CrossRef] [PubMed]
- Zhu, C.; Jiang, W. Cell cycle-dependent translocation of PRC1 on the spindle by Kif4 is essential for midzone formation and cytokinesis. Proc. Natl. Acad. Sci. USA 2005, 102, 343–348. [Google Scholar] [CrossRef] [PubMed]
- Cao, H.; Orth, J.D.; Chen, J.; Weller, S.G.; Heuser, J.E.; McNiven, M.A. Cortactin is a component of clathrin-coated pits and participates in receptor-mediated endocytosis. Mol. Cell. Biol. 2003, 23, 2162–2170. [Google Scholar] [CrossRef] [PubMed]
- Bernier, M.-C.; Besse, M.; Vayssade, M.; Morandat, S.; El Kirat, K. Titanium Dioxide Nanoparticles Disturb the Fibronectin-Mediated Adhesion and Spreading of Pre-osteoblastic Cells. Langmuir 2012, 28, 13660–13667. [Google Scholar] [CrossRef] [PubMed]
- Gheshlaghi, Z.N.; Riazi, G.H.; Ahmadian, S.; Ghafari, M.; Mahinpour, R. Toxicity and interaction of titanium dioxide nanoparticles with microtubule protein. Acta Biochim. Biophys. Sin. 2008, 40, 777–782. [Google Scholar] [CrossRef]
- Hou, Y.; Lai, M.; Chen, X.; Li, J.; Hu, Y.; Luo, Z.; Ding, X.; Cai, K. Effects of mesoporous SiO2, Fe3O4, and TiO2 nanoparticles on the biological functions of endothelial cells in vitro. J. Biomed. Mater. Res. Part A 2014, 102, 1726–1736. [Google Scholar] [CrossRef]
- Mao, Z.; Xu, B.; Ji, X.; Zhou, K.; Zhang, X.; Chen, M.; Han, X.; Tang, Q.; Wang, X.; Xia, Y. Titanium dioxide nanoparticles alter cellular morphology via disturbing the microtubule dynamics. Nanoscale 2015, 7, 8466–8475. [Google Scholar] [CrossRef]
- Marquez-Ramirez, S.G.; Delgado-Buenrostro, N.L.; Chirino, Y.I.; Iglesias, G.G.; Lopez-Marure, R. Titanium dioxide nanoparticles inhibit proliferation and induce morphological changes and apoptosis in glial cells. Toxicology 2012, 302, 146–156. [Google Scholar] [CrossRef]
- Sheng, L.; Wang, L.; Sang, X.; Zhao, X.; Hong, J.; Cheng, S.; Yu, X.; Liu, D.; Xu, B.; Hu, R.; et al. Nano-sized titanium dioxide-induced splenic toxicity: A biological pathway explored using microarray technology. J. Hazard. Mater. 2014, 278, 180–188. [Google Scholar] [CrossRef]
- Sund, J.; Palomäki, J.; Ahonen, N.; Savolainen, K.; Alenius, H.; Puustinen, A. Phagocytosis of nano-sized titanium dioxide triggers changes in protein acetylation. J. Proteom. 2014, 108, 469–483. [Google Scholar] [CrossRef] [PubMed]
- Tay, C.Y.; Cai, P.; Setyawati, M.I.; Fang, W.; Tan, L.P.; Hong, C.H.L.; Chen, X.; Leong, D.T. Nanoparticles Strengthen Intracellular Tension and Retard Cellular Migration. Nano Lett. 2014, 14, 83–88. [Google Scholar] [CrossRef] [PubMed]
- Tilton, S.C.; Karin, N.; Tolic, A.; Xie, Y.; Lai, X.; Hamilton, R.F.; Waters, K.; Holian, A.; Witzmann, F.A.; Orr, G. Three human cell types respond to multi-walled carbon nanotubes and titanium dioxide nanobelts with cell-specific transcriptomic and proteomic expression patterns. Nanotoxicology 2014, 8, 533–548. [Google Scholar] [CrossRef] [PubMed]
- Ahn, E.Y.; DeKelver, R.C.; Lo, M.C.; Nguyen, T.A.; Matsuura, S.; Boyapati, A.; Pandit, S.; Fu, X.D.; Zhang, D.E. SON controls cell-cycle progression by coordinated regulation of RNA splicing. Mol. Cell 2011, 42, 185–198. [Google Scholar] [CrossRef]
- Lauber, J.; Fabrizio, P.; Teigelkamp, S.; Lane, W.S.; Hartmann, E.; Luhrmann, R. The HeLa 200 kDa U5 snRNP-specific protein and its homologue in Saccharomyces cerevisiae are members of the DEXH-box protein family of putative RNA helicases. EMBO J. 1996, 15, 4001–4015. [Google Scholar] [CrossRef]
- Buchan, J.R. mRNP granules. Assembly, function, and connections with disease. RNA Biol. 2014, 11, 1019–1030. [Google Scholar] [CrossRef]
- Cho, D.S.; Yang, W.; Lee, J.T.; Shiekhattar, R.; Murray, J.M.; Nishikura, K. Requirement of dimerization for RNA editing activity of adenosine deaminases acting on RNA. J. Biol. Chem. 2003, 278, 17093–17102. [Google Scholar] [CrossRef]
- Deka, B.; Singh, K. The arginine and serine-rich domains of Acinus modulate splicing. Cell Biol. Int. 2019, 43, 954–959. [Google Scholar] [CrossRef]
- Klein, G.; Mathe, C.; Biola-Clier, M.; Devineau, S.; Drouineau, E.; Hatem, E.; Marichal, L.; Alonso, B.; Gaillard, J.C.; Lagniel, G.; et al. RNA-binding proteins are a major target of silica nanoparticles in cell extracts. Nanotoxicology 2016, 10, 1555–1564. [Google Scholar] [CrossRef]
- Port, S.A.; Monecke, T.; Dickmanns, A.; Spillner, C.; Hofele, R.; Urlaub, H.; Ficner, R.; Kehlenbach, R.H. Structural and Functional Characterization of CRM1-Nup214 Interactions Reveals Multiple FG-Binding Sites Involved in Nuclear Export. Cell Rep. 2015, 13, 690–702. [Google Scholar] [CrossRef]
- Wang, Y.N.; Yamaguchi, H.; Huo, L.; Du, Y.; Lee, H.J.; Lee, H.H.; Wang, H.; Hsu, J.M.; Hung, M.C. The translocon Sec61beta localized in the inner nuclear membrane transports membrane-embedded EGF receptor to the nucleus. J. Biol. Chem. 2010, 285, 38720–38729. [Google Scholar] [CrossRef] [PubMed]
- Port, S.A.; Mendes, A.; Valkova, C.; Spillner, C.; Fahrenkrog, B.; Kaether, C.; Kehlenbach, R.H. The Oncogenic Fusion Proteins SET-Nup214 and Sequestosome-1 (SQSTM1)-Nup214 Form Dynamic Nuclear Bodies and Differentially Affect Nuclear Protein and Poly(A)+ RNA Export. J. Biol. Chem. 2016, 291, 23068–23083. [Google Scholar] [CrossRef] [PubMed]
- Dorier, M.; Brun, E.; Veronesi, G.; Barreau, F.; Pernet-Gallay, K.; Desvergne, C.; Rabilloud, T.; Carapito, C.; Herlin, N.; Carrière, M. Impact of anatase and rutile titanium dioxide nanoparticles on uptake carriers and efflux pumps in Caco-2 gut epithelial cells. Nanoscale 2015. [Google Scholar] [CrossRef] [PubMed]
- Gou, N.; Onnis-Hayden, A.; Gu, A.Z. Mechanistic Toxicity Assessment of Nanomaterials by Whole-Cell-Array Stress Genes Expression Analysis. Environ. Sci. Technol. 2010, 44, 5964–5970. [Google Scholar] [CrossRef] [PubMed]
- Kim, T.-H.; Shin, S.-W.; Park, J.-S.; Park, C.-S. Genome wide identification and expression profile in epithelial cells exposed to TiO2 particles. Environ. Toxicol. 2013. [Google Scholar] [CrossRef]
- Ammer, A.G.; Weed, S.A. Cortactin branches out: Roles in regulating protrusive actin dynamics. Cell Motil. Cytoskelet. 2008, 65, 687–707. [Google Scholar] [CrossRef]
- Küntziger, T.; Rogne, M.; Folstad, R.L.S.; Collas, P. Association of PP1 with its regulatory subunit AKAP149 is regulated by serine phosphorylation flanking the RVXF motif of AKAP149. Biochemistry 2006, 45, 5868–5877. [Google Scholar] [CrossRef]
- Le Gallic, L.; Virgilio, L.; Cohen, P.; Biteau, B.; Mavrothalassitis, G. ERF nuclear shuttling, a continuous monitor of Erk activity that links it to cell cycle progression. Mol. Cell. Biol. 2004, 24, 1206–1218. [Google Scholar] [CrossRef]
- Mochida, S. Regulation of a-endosulfine, an inhibitor of protein phosphatase 2A, by multisite phosphorylation. FEBS J. 2014. [Google Scholar] [CrossRef]
- Nunes Bastos, R.; Gandhi, S.R.; Baron, R.D.; Gruneberg, U.; Nigg, E.A.; Barr, F.A. Aurora B suppresses microtubule dynamics and limits central spindle size by locally activating KIF4A. J. Cell Biol. 2013, 202, 605–621. [Google Scholar] [CrossRef]
- Rubin, S.M.; Gall, A.-L.; Zheng, N.; Pavletich, N.P. Structure of the Rb C-terminal domain bound to E2F1-DP1: A mechanism for phosphorylation-induced E2F release. Cell 2005, 123, 1093–1106. [Google Scholar] [CrossRef] [PubMed]
- Szeto, S.G.Y.; Williams, E.C.; Rudner, A.D.; Lee, J.M. Phosphorylation of filamin A by Cdk1 regulates filamin A localization and daughter cell separation. Exp. Cell Res. 2015, 330, 248–266. [Google Scholar] [CrossRef] [PubMed]
- Zhu, M.; Settele, F.; Kotak, S.; Sanchez-Pulido, L.; Ehret, L.; Ponting, C.P.; Gönczy, P.; Hoffmann, I. MISP is a novel Plk1 substrate required for proper spindle orientation and mitotic progression. J. Cell Biol. 2013, 200, 773–787. [Google Scholar] [CrossRef] [PubMed]
- Doshi, B.M.; Hightower, L.E.; Lee, J. HSPB1, actin filament dynamics, and aging cells. Ann. N. Y. Acad. Sci. 2010, 1197, 76–84. [Google Scholar] [CrossRef] [PubMed]
- Dudek, S.M.; Jacobson, J.R.; Chiang, E.T.; Birukov, K.G.; Wang, P.; Zhan, X.; Garcia, J.G.N. Pulmonary endothelial cell barrier enhancement by sphingosine 1-phosphate: Roles for cortactin and myosin light chain kinase. J. Biol. Chem. 2004, 279, 24692–24700. [Google Scholar] [CrossRef] [PubMed]
- Lee, K.-Y.; Liu, L.; Jin, Y.; Fu, S.-B.; Rosales, J.L. Cdk5 mediates vimentin Ser56 phosphorylation during GTP-induced secretion by neutrophils. J. Cell. Physiol. 2012, 227, 739–750. [Google Scholar] [CrossRef] [PubMed]
- Rogalla, T.; Ehrnsperger, M.; Preville, X.; Kotlyarov, A.; Lutsch, G.; Ducasse, C.; Paul, C.; Wieske, M.; Arrigo, A.P.; Buchner, J.; et al. Regulation of Hsp27 oligomerization, chaperone function, and protective activity against oxidative stress/tumor necrosis factor alpha by phosphorylation. J. Biol. Chem. 1999, 274, 18947–18956. [Google Scholar] [CrossRef]
- Wang, W.; Liu, Y.; Liao, K. Tyrosine phosphorylation of cortactin by the FAK-Src complex at focal adhesions regulates cell motility. BMC Cell Biol. 2011, 12. [Google Scholar] [CrossRef]
- Auld, G.C.; Campbell, D.G.; Morrice, N.; Cohen, P. Identification of calcium-regulated heat-stable protein of 24 kDa (CRHSP24) as a physiological substrate for PKB and RSK using KESTREL. Biochem. J. 2005, 389, 775–783. [Google Scholar] [CrossRef]
- Hou, H.; Wang, F.; Zhang, W.; Wang, D.; Li, X.; Bartlam, M.; Yao, X.; Rao, Z. Structure-functional analyses of CRHSP-24 plasticity and dynamics in oxidative stress response. J. Biol. Chem. 2011, 286, 9623–9635. [Google Scholar] [CrossRef]
- Pfeiffer, J.R.; McAvoy, B.L.; Fecteau, R.E.; Deleault, K.M.; Brooks, S.A. CARHSP1 is required for effective tumor necrosis factor alpha mRNA stabilization and localizes to processing bodies and exosomes. Mol. Cell. Biol. 2011, 31, 277–286. [Google Scholar] [CrossRef] [PubMed]
- Murakami, Y.; Hosoi, F.; Izumi, H.; Maruyama, Y.; Ureshino, H.; Watari, K.; Kohno, K.; Kuwano, M.; Ono, M. Identification of sites subjected to serine/threonine phosphorylation by SGK1 affecting N-myc downstream-regulated gene 1 (NDRG1)/Cap43-dependent suppression of angiogenic CXC chemokine expression in human pancreatic cancer cells. Biochem. Biophys. Res. Commun. 2010, 396, 376–381. [Google Scholar] [CrossRef] [PubMed]
- Didichenko, S.A.; Fragoso, C.M.; Thelen, M. Mitotic and stress-induced phosphorylation of HsPI3K-C2alpha targets the protein for degradation. J. Biol. Chem. 2003, 278, 26055–26064. [Google Scholar] [CrossRef] [PubMed]
- Krag, C.; Malmberg, E.K.; Salcini, A.E. PI3KC2alpha, a class II PI3K, is required for dynamin-independent internalization pathways. J. Cell Sci. 2010, 123, 4240–4250. [Google Scholar] [CrossRef] [PubMed]
- Tibolla, G.; Pineiro, R.; Chiozzotto, D.; Mavrommati, I.; Wheeler, A.P.; Norata, G.D.; Catapano, A.L.; Maffucci, T.; Falasca, M. Class II phosphoinositide 3-kinases contribute to endothelial cells morphogenesis. PLoS ONE 2013, 8, e53808. [Google Scholar] [CrossRef]
- Kobayashi, T.; Nakatani, Y.; Tanioka, T.; Tsujimoto, M.; Nakajo, S.; Nakaya, K.; Murakami, M.; Kudo, I. Regulation of cytosolic prostaglandin E synthase by phosphorylation. Biochem. J. 2004, 381, 59–69. [Google Scholar] [CrossRef][Green Version]





| Category | Term | Count | % | p-Val. | List Tot. | Fold Enrich. | FDR |
|---|---|---|---|---|---|---|---|
| UP_KEYWORDS | Phosphoprotein | 81 | 96.429 | 0.000 | 84 | 2.41 | 0.00 |
| UP_KEYWORDS | Acetylation | 40 | 47.619 | 0.000 | 84 | 2.86 | 0.00 |
| UP_KEYWORDS | Cytoplasm | 43 | 51.190 | 0.000 | 84 | 2.19 | 0.00 |
| GOTERM_CC_DIRECT | cell-cell adherens junction | 12 | 14.286 | 0.000 | 82 | 8.26 | 0.00 |
| GOTERM_CC_DIRECT | nucleoplasm | 32 | 38.095 | 0.000 | 82 | 2.55 | 0.00 |
| UP_KEYWORDS | Methylation | 18 | 21.429 | 0.000 | 84 | 4.41 | 0.00 |
| GOTERM_BP_DIRECT | cell-cell adhesion | 11 | 13.095 | 0.000 | 79 | 8.63 | 0.00 |
| UP_KEYWORDS | Ubl conjugation | 23 | 27.381 | 0.000 | 84 | 3.31 | 0.00 |
| GOTERM_MF_DIRECT | protein binding | 65 | 77.381 | 0.000 | 83 | 1.50 | 0.00 |
| GOTERM_CC_DIRECT | focal adhesion | 12 | 14.286 | 0.000 | 82 | 6.82 | 0.00 |
| GOTERM_MF_DIRECT | cadherin binding involved in cell-cell adhesion | 11 | 13.095 | 0.000 | 83 | 7.71 | 0.00 |
| GOTERM_CC_DIRECT | cytosol | 34 | 40.476 | 0.000 | 82 | 2.28 | 0.00 |
| UP_KEYWORDS | Isopeptide bond | 18 | 21.429 | 0.000 | 84 | 3.90 | 0.00 |
| GOTERM_CC_DIRECT | cytoplasm | 42 | 50.000 | 0.000 | 82 | 1.79 | 0.03 |
| GOTERM_MF_DIRECT | poly(A) RNA binding | 18 | 21.429 | 0.000 | 83 | 3.24 | 0.03 |
| UP_KEYWORDS | Cytoskeleton | 16 | 19.048 | 0.000 | 84 | 3.44 | 0.05 |
| UP_KEYWORDS | Nucleus | 39 | 46.429 | 0.000 | 84 | 1.82 | 0.06 |
| UP_KEYWORDS | Alternative splicing | 60 | 71.429 | 0.000 | 84 | 1.39 | 0.25 |
| GOTERM_CC_DIRECT | actin cytoskeleton | 7 | 8.333 | 0.000 | 82 | 7.14 | 0.52 |
| GOTERM_CC_DIRECT | nucleus | 39 | 46.429 | 0.001 | 82 | 1.60 | 0.98 |
| UP_KEYWORDS | Host-virus interaction | 8 | 9.524 | 0.001 | 84 | 5.09 | 1.13 |
| GOTERM_CC_DIRECT | membrane | 21 | 25.000 | 0.001 | 82 | 2.12 | 1.55 |
| UP_SEQ_FEATURE | mutagenesis site | 20 | 23.810 | 0.001 | 83 | 2.21 | 1.57 |
| UP_KEYWORDS | Cell junction | 10 | 11.905 | 0.002 | 84 | 3.63 | 1.90 |
| GOTERM_BP_DIRECT | osteoblast differentiation | 5 | 5.952 | 0.001 | 79 | 10.22 | 2.03 |
| GOTERM_CC_DIRECT | Z disc | 5 | 5.952 | 0.002 | 82 | 9.42 | 2.33 |
| GOTERM_MF_DIRECT | actin binding | 7 | 8.333 | 0.002 | 83 | 5.12 | 2.89 |
| UP_SEQ_FEATURE | Nuclear localization signal | 7 | 8.333 | 0.003 | 83 | 4.92 | 3.96 |
| UP_KEYWORDS | Coiled coil | 23 | 27.381 | 0.004 | 84 | 1.86 | 4.43 |
| GOTERM_CC_DIRECT | cell projection | 4 | 4.762 | 0.005 | 82 | 11.85 | 5.50 |
| GOTERM_BP_DIRECT | microtubule cytoskeleton organization | 4 | 4.762 | 0.004 | 79 | 11.98 | 6.27 |
| UP_KEYWORDS | Apoptosis | 8 | 9.524 | 0.006 | 84 | 3.66 | 6.95 |
| GOTERM_BP_DIRECT | regulation of cellular response to heat | 4 | 4.762 | 0.005 | 79 | 11.34 | 7.28 |
| GOTERM_MF_DIRECT | 14-3-3 protein binding | 3 | 3.571 | 0.006 | 83 | 25.42 | 7.31 |
| GOTERM_CC_DIRECT | perinuclear region of cytoplasm | 9 | 10.714 | 0.006 | 82 | 3.22 | 7.55 |
| GOTERM_BP_DIRECT | insulin receptor signaling pathway | 4 | 4.762 | 0.006 | 79 | 10.90 | 8.09 |
| GOTERM_CC_DIRECT | intracellular membrane-bounded organelle | 8 | 9.524 | 0.012 | 82 | 3.19 | 13.93 |
| INTERPRO | Microtubule associated protein 1 | 2 | 2.381 | 0.013 | 80 | 154.66 | 15.24 |
| GOTERM_BP_DIRECT | viral process | 6 | 7.143 | 0.013 | 79 | 4.27 | 17.15 |
| GOTERM_BP_DIRECT | negative regulation of extrinsic apoptotic signaling pathway | 3 | 3.571 | 0.013 | 79 | 16.78 | 18.06 |
| UP_KEYWORDS | RNA-binding | 8 | 9.524 | 0.018 | 84 | 2.95 | 19.65 |
| GOTERM_BP_DIRECT | erythrocyte differentiation | 3 | 3.571 | 0.015 | 79 | 15.94 | 19.73 |
| KEGG_PATHWAY | Focal adhesion | 5 | 5.952 | 0.020 | 36 | 4.64 | 19.96 |
| UP_KEYWORDS | Fatty acid biosynthesis | 3 | 3.571 | 0.019 | 84 | 14.14 | 20.54 |
| GOTERM_CC_DIRECT | cytoplasmic vesicle membrane | 4 | 4.762 | 0.019 | 82 | 7.06 | 20.83 |
| GOTERM_MF_DIRECT | 1-phosphatidylinositol-3-kinase activity | 3 | 3.571 | 0.019 | 83 | 14.19 | 20.99 |
| P-site | FC | Protein Activities | Site-Specific Phosphorylation Role | Kinase | Reference |
|---|---|---|---|---|---|
| KIF4A801 | 3 | Kinesin motor, plays a role in mitosis | Inhibition of PRC1-microtubule overlaps at the central spindle during mitosis | AURORA-B | [101] |
| ERF526 | 2.25 | Repressor of the transcription. Tumor suppressor. Sensor of ERK activity, affects cell cycle progression. | Regulates nuclear export of ERF. Promotes cell cycle arrest in G1 phase. Decreases ERF repression of the transcription | ERK | [99] |
| MISP397 | 2 | Plays a role in mitosis: mitotic spindle orientation and mitosis progression. | Regulates mitotic spindle positioning, which is required for the definition of the correct cell division axis | PLK1 | [104] |
| NDRG1330 | 1.7 | Plays roles in apoptosis, cell growth and differentiation, mitosis, cell trafficking, hormone response. Tumor metastasis suppressor. | Cell cycle-dependent phosphorylation (temporally and spatially). Regulates the expression of CXC chemokine and acts on NFκB signaling pathway. | SGK1 | [113] |
| VIM56 | 1.6 | Transport of intracellular vesicles (lysosomes, secretion granules) | During acute inflammation, plays a role in granule secretion in neutrophils. | CDK5 | [107] |
| FLNA1084 | 1.6 | Links actin filaments to cell membrane glycoproteins, and various proteins to the actin cytoskeleton. Role in cell-cell contact and signal transduction | Involved in the separation of daughter cells after mitosis, as well as cell migration. | CDK1 | [103] |
| ENSA67 | 1.5 | Inhibitor of PP2A phosphatase | Regulates the activity of PP2A phosphatase, which regulates cyclin-B1-CDK1 activity high during M phase | CDK1-activated GWL | [100] |
| RB1826 | 1.5 | Tumor suppressor. Regulator of cell division. Maintenance of heterochromatin structure | Regulate the binding of RB1 with E2F transcription factors, necessary for G1-S transition during cell cycle progression | CDK2-CyclinE/A | [102] |
| CARHSP141 | −1.6 | Regulates the stability of mRNAs | Promotes/inhibits single-strand DNA binding. Localizes CRHSP1 at stress granules in condition of oxidative stress | DYRK isoform, among other kinase(s) of proline | [110,111,112] |
| PIK3C2A259 | –2 | Role in intracellular trafficking, particularly for insulin signaling, endocytosis process. Role in EGF signalling cascade, mitosis, response to UV-induced damage. | Phosphorylation regulates PIK3C2A conformation, its cellular localization and its degradation | CDC2 or UV irradiation+ JNK/SAPK | [114,115,116] |
| AKAP1151 | −2 | Regulates the localization of regulatory subunits of protein kinase A, either on mitochondrial membranes or in the endoplasmic reticulum. | AKA1 is associated with PP1 in G1 phase of the cell cycle; phosphorylation of S151 in AKAP1 leads to dissociation of this interaction at the G1/S transition. | PKC | [98] |
| PTGES3113 | −2.1 | Prostaglandin PGE2 synthase, promotes disassembly of transcription regulation complexes by binding on genomic response elements. | Phosphorylation activates this enzyme, by promoting the formation of a cPGES-CK-II-Hsp90 complex. | CK-II | [117] |
| HSPB115 | −2.3 | Molecular chaperone. Protects unfolded proteins during oxidative stress. Role in actin filament dynamics, important for cell motility | Phosphorylated in response to cellular stress. Causes dissociation of Hsp complexes, which decreases their chaperone activity | MAPKAP2 | [105,108] |
| CTTN421 | −2.3 | Involved in the organization of actin cytoskeleton. Role in cell migration, in the formation of metastases, in the formation of protein complexes at focal adhesions, in endocytosis and intracellular transport | Phosphorylation by SRC promotes cell motility, where phosphorylated CTTN acts as a linker between F-actin and focal adhesions. Promotes the endothelial cell barrier function enhancement triggered by S1P. | SRC in response to EGFR activation | [97,106,109] |
© 2020 by the authors. Licensee MDPI, Basel, Switzerland. This article is an open access article distributed under the terms and conditions of the Creative Commons Attribution (CC BY) license (http://creativecommons.org/licenses/by/4.0/).
Share and Cite
Biola-Clier, M.; Gaillard, J.-C.; Rabilloud, T.; Armengaud, J.; Carriere, M. Titanium Dioxide Nanoparticles Alter the Cellular Phosphoproteome in A549 Cells. Nanomaterials 2020, 10, 185. https://doi.org/10.3390/nano10020185
Biola-Clier M, Gaillard J-C, Rabilloud T, Armengaud J, Carriere M. Titanium Dioxide Nanoparticles Alter the Cellular Phosphoproteome in A549 Cells. Nanomaterials. 2020; 10(2):185. https://doi.org/10.3390/nano10020185
Chicago/Turabian StyleBiola-Clier, Mathilde, Jean-Charles Gaillard, Thierry Rabilloud, Jean Armengaud, and Marie Carriere. 2020. "Titanium Dioxide Nanoparticles Alter the Cellular Phosphoproteome in A549 Cells" Nanomaterials 10, no. 2: 185. https://doi.org/10.3390/nano10020185
APA StyleBiola-Clier, M., Gaillard, J.-C., Rabilloud, T., Armengaud, J., & Carriere, M. (2020). Titanium Dioxide Nanoparticles Alter the Cellular Phosphoproteome in A549 Cells. Nanomaterials, 10(2), 185. https://doi.org/10.3390/nano10020185

