Oregano (Origanum vulgare L.) Essential Oil Feed Supplement Protected Broilers Chickens against Clostridium perfringens Induced Necrotic Enteritis
Abstract
:1. Introduction
2. Materials and Methods
2.1. Chemical Analysis on the Oregano Essential Oil (OEO)
2.2. Animal Trial Experimental Design
2.3. The Histology Analysis
2.4. Intestinal Lesion Score Evaluations
2.5. Total RNA Extraction and Reverse Transcription
2.6. In Vitro Anti-Bacterial Effects by the OEO
2.7. Statistical Analyses
3. Results & Discussion
3.1. Active Compounds Characterization of Carvacrol and Thymol from OEO
3.2. OEO Imporved the Growth Performance in Cp Challenged Chickens
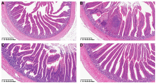
3.3. Feed Supplement with OEO Ileal Histopathological Changes in Broilers Challenged by C. perfringens
3.4. Feed Supplement with OEO Improved the Gut Health of Broilers Challenged by C. perfringens
3.5. In Vitro Antibacterial Activity of OEO against C. perfringens
4. Conclusions
Supplementary Materials
Author Contributions
Funding
Institutional Review Board Statement
Data Availability Statement
Conflicts of Interest
References
- El-Hack, M.E.A.; El-Saadony, M.T.; Elbestawy, A.R.; El-Shall, N.A.; Saad, A.M.; Salem, H.M.; El-Tahan, A.M.; Khafaga, A.F.; Taha, A.E.; Abu, S.F.; et al. Necrotic enteritis in broiler chickens: Disease characteristics and prevention using organic antibiotic alternatives–a comprehensive review. Poult. Sci. 2021, 101590. [Google Scholar] [CrossRef]
- Du, E.; Gan, L.; Li, Z.; Wang, W.; Liu, D.; Guo, Y. In vitro antibacterial activity of thymol and carvacrol and their effects on broiler chickens challenged with Clostridium perfringens. J. Anim. Sci. Biotechnol. 2015, 6, 58. [Google Scholar] [CrossRef] [PubMed] [Green Version]
- Sun, Q.; Liu, D.; Guo, S.; Chen, Y.; Guo, Y. Effects of dietary essential oil and enzyme supplementation on growth performance and gut health of broilers challenged by Clostridium perfringens. Anim. Feed Sci. Technol. 2015, 207, 234–244. [Google Scholar] [CrossRef]
- Ma, F.; Xu, S.; Tang, Z.; Li, Z.; Zhang, L. Use of antimicrobials in food animals and impact of transmission of antimicrobial resistance on humans. Biosaf. Health 2021, 3, 32–38. [Google Scholar] [CrossRef]
- Casewell, M.; Friis, C.; Marco, E.; McMullin, P.; Phillips, I. The European ban on growth-promoting antibiotics and emerging consequences for human and animal health. J. Antimicrob. Chemother. 2003, 52, 159–161. [Google Scholar] [CrossRef] [Green Version]
- Abudabos, A.M.; Alyemni, A.H.; Dafalla, Y.M.; Khan, R. The effect of phytogenic feed additives to substitute in-feed antibiotics on growth traits and blood biochemical parameters in broiler chicks challenged with Salmonella typhimurium. Environ. Sci. Pollut. Res. 2016, 23, 24151–24157. [Google Scholar] [CrossRef]
- Mayer, M.; Vogl, C.R.; Amorena, M.; Hamburger, M.; Walkenhorst, M. Treatment of organic livestock with medicinal plants: A systematic review of european ethnoveterinary research. Complement. Med. Res. 2014, 21, 375–386. [Google Scholar] [CrossRef] [Green Version]
- Micciche, A.; Rothrock, M.J.J.; Yang, Y.; Ricke, S.C. Essential oils as an intervention strategy to reduce campylobacter in poultry production: A review. Front. Microbiol. 2019, 10, 1058. [Google Scholar] [CrossRef]
- Panda, S.; Sahoo, S.; Tripathy, K.; Singh, Y.D.; Sarma, M.K.; Babu, P.J.; Singh, M.C. Essential oils and their pharmacotherapeutics applications in human diseases. Adv. Tradit. Med. 2020. [Google Scholar] [CrossRef]
- Attia, Y.A.; Hamed, R.S.; Bovera, F.; Al-Harthi, M.A.; Abd El-Hamid, E.; Esposito, L.; Shahba, H.A. Milk thistle seeds and rosemary leaves as rabbit growth promoters. Anim. Sci. Pap. Rep. 2019, 37, 277–295. [Google Scholar]
- Attia, Y.; Al-Hamid, A.A.; Ibrahim, M.; Al-Harthi, M.; Bovera, F.; Elnaggar, A. Productive performance, biochemical and hematological traits of broiler chickens supplemented with propolis, bee pollen, and mannan oligosaccharides continuously or intermittently. Livest. Sci. 2014, 164, 87–95. [Google Scholar] [CrossRef]
- Calo, J.R.; Crandall, P.G.; O’Bryan, C.A.; Ricke, S.C. Essential oils as antimicrobials in food systems—A review. Food Control 2015, 54, 111–119. [Google Scholar] [CrossRef]
- Radaelli, M.; da Silva, B.P.; Weidlich, L.; Hoehne, L.; Flach, A.; Da Costa, L.A.M.A.; Ethur, E.M. Antimicrobial activities of six essential oils commonly used as condiments in Brazil against Clostridium perfringens. Braz. J. Microbiol. 2016, 47, 424–430. [Google Scholar] [CrossRef] [Green Version]
- Alagawany, M.; El-Hack, M.A.; Farag, M.R.; Shaheen, H.M.; Abdel-Latif, M.A.; Noreldin, A.E.; Patra, A.K. The usefulness of oregano and its derivatives in poultry nutrition. World’s Poult. Sci. J. 2018, 74, 463–474. [Google Scholar] [CrossRef]
- Shekarchi, M.; Khanavi, M.; Adib, N.; Amri, M.; Hajimehdipoor, H. A validated high performance liquid chromatography method for the analysis of thymol and carvacrol in Thymus vulgaris L. volatile oil. Pharmacogn. Mag. 2010, 6, 154–158. [Google Scholar] [CrossRef] [Green Version]
- Liu, Y.; Zhang, S.; Luo, Z.; Liu, D. Supplemental bacillus subtilis PB6 improves growth performance and gut health in broilers challenged with Clostridium perfringens. J. Immunol. Res. 2021, 2021, 2549541. [Google Scholar] [CrossRef]
- Wang, K.; Wan, Z.; Ou, A.; Liang, X.; Guo, X.; Zhang, Z.; Wu, L.; Xue, X. Monofloral honey from a medical plant, Prunella Vulgaris, protected against dextran sulfate sodium-induced ulcerative colitis via modulating gut microbial populations in rats. Food Funct. 2019, 10, 3828–3838. [Google Scholar] [CrossRef] [PubMed]
- Xuan, H.; Ou, A.; Hao, S.; Shi, J.; Jin, X. Galangin protects against symptoms of dextran sodium sulfate-induced acute colitis by activating autophagy and modulating the gut microbiota. Nutrients 2020, 12, 347. [Google Scholar] [CrossRef] [Green Version]
- Dahiya, J.P.; Hoehler, D.; Wilkie, D.C.; Van Kessel, A.G.; Drew, M.D. Dietary glycine concentration affects intestinal Clostridium perfringens and lactobacilli populations in broiler chickens1. Poult. Sci. 2005, 84, 1875–1885. [Google Scholar] [CrossRef]
- Wang, K.; Jin, X.L.; Li, Q.Q.; Sawaya, A.C.H.F.; Le Leu, R.K.; Conlon, M.A.; Wu, L.M.; Hu, F.L. Propolis from Different Geographic Origins Decreases Intestinal Inflammation and Bacteroides spp. Populations in a Model of DSS-Induced Colitis. Mol. Nutr. Food Res. 2018, 62, 1800080. [Google Scholar] [CrossRef]
- Pezzani, R.; Vitalini, S.; Iriti, M. Bioactivities of Origanum vulgare L.: An update. Phytochem. Rev. 2017, 16, 1253–1268. [Google Scholar] [CrossRef]
- Di Vito, M.; Cacaci, M.; Barbanti, L.; Martini, C.; Sanguinetti, M.; Benvenuti, S.; Tosi, G.; Fiorentini, L.; Scozzoli, M.; Bugli, F.; et al. Origanum vulgare essential oil vs. a commercial mixture of essential oils: In vitro effectiveness on Salmonella spp. from poultry and swine intensive livestock. Antibiotics 2020, 9, 763. [Google Scholar] [CrossRef] [PubMed]
- EFSA Panel on Biological Hazards (EFSA BIOHAZ Panel); Koutsoumanis, K.; Allende, A.; Alvarez-Ordóñez, A.; Bolton, D.; Bover-Cid, S.; Chemaly, M.; de Cesare, A.; Herman, L.; Hilbert, F.; et al. Salmonella control in poultry flocks and its public health impact. EFSA J. 2019, 17, e05596. [Google Scholar] [PubMed]
- Bampidis, V.; Christodoulou, V.; Florou-Paneri, P.; Christaki, E.; Spais, A.; Chatzopoulou, P. Effect of dietary dried oregano leaves supplementation on performance and carcass characteristics of growing lambs. Anim. Feed Sci. Technol. 2005, 121, 285–295. [Google Scholar] [CrossRef]
- Cerisuelo, A.; Marín, C.; Sánchez-Vizcaíno, F.; Gomez, E.; de la Fuente, J.M.; Durán, R.; Fernández, C. The impact of a specific blend of essential oil components and sodium butyrate in feed on growth performance and Salmonella counts in experimentally challenged broilers. Poult. Sci. 2014, 93, 599–606. [Google Scholar] [CrossRef]
- Peng, Q.; Li, J.; Li, Z.; Duan, Z.; Wu, Y. Effects of dietary supplementation with oregano essential oil on growth performance, carcass traits and jejunal morphology in broiler chickens. Anim. Feed Sci. Technol. 2016, 214, 148–153. [Google Scholar] [CrossRef]
- Zhang, L.; Peng, Q.; Liu, Y.; Ma, Q.; Guo, Y.; Xue, Z.; Zhao, L. Effects of oregano essential oil as an antibiotic growth promoter alternative on growth performance, antioxidant status, and intestinal health of broilers. Poult. Sci. 2021, 100, 101163. [Google Scholar] [CrossRef]
- Botsoglou, N.A.; Florou-Paneri, P.; Christaki, E.; Fletouris, D.J.; Spais, A.B. Effect of dietary oregano essential oil on performance of chickens and on iron-induced lipid oxidation of breast, thigh and abdominal fat tissues. Br. Poult. Sci. 2002, 43, 223–230. [Google Scholar] [CrossRef]
- Hassanin, O.A.A. Positive impact of oregano essential oil on growth performance, humoral immune responses and chicken interferon alpha signaling pathway in broilers. Adv. Anim. Vet. Sci. 2015, 4, 57–65. [Google Scholar]
- Vlaicu, P.A.; Panaite, T.D.; Turcu, R.P.; Tabuc, C. Dietary origanum vulgare supplements for broilers. Rom. Biotechnol. Lett. 2020, 25, 1922–1929. [Google Scholar] [CrossRef]
- Cooper, K.K.; Songer, J.G. Virulence of clostridium perfringens in an experimental model of poultry necrotic enteritis. Vet. Microbiol. 2010, 142, 323–328. [Google Scholar] [CrossRef]
- Mahmood, K.; Rahman, S.; Hussain, I.; Abbas, R.; Khaliq, T.; Arif, J. Non-antibiotic strategies for the control of necrotic enteritis in poultry. World’s Poult. Sci. J. 2014, 70, 865–879. [Google Scholar] [CrossRef]
- Khalique, A.; Zeng, D.; Shoaib, M.; Wang, H.; Qing, X.; Rajput, D.S.; Pan, K.; Ni, X. Probiotics mitigating subclinical necrotic enteritis (SNE) as potential alternatives to antibiotics in poultry. AMB Express 2020, 10, 50. [Google Scholar] [CrossRef] [Green Version]
- Kumar, A.; Sharma, N.K.; Kheravii, S.K.; Keerqin, C.; Ionescu, C.; Blanchard, A.; Wu, S.-B. Potential of a mixture of eugenol and garlic tincture to improve performance and intestinal health in broilers under necrotic enteritis challenge. Anim. Nutr. 2022, 8, 26–37. [Google Scholar] [CrossRef]
- Diaz-Sanchez, S.; D’Souza, D.; Biswas, D.; Hanning, I. Botanical alternatives to antibiotics for use in organic poultry production. Poult. Sci. 2015, 94, 1419–1430. [Google Scholar] [CrossRef]
- Du, E.; Wang, W.; Gan, L.; Liping, G.; Guo, S.; Guo, Y. Effects of thymol and carvacrol supplementation on intestinal integrity and immune responses of broiler chickens challenged with Clostridium perfringens. J. Anim. Sci. Biotechnol. 2016, 7, 19. [Google Scholar] [CrossRef] [Green Version]
- Song, B.; Li, H.; Wu, Y.; Zhen, W.; Wang, Z.; Xia, Z.; Guo, Y. Effect of microencapsulated sodium butyrate dietary supplementation on growth performance and intestinal barrier function of broiler chickens infected with necrotic enteritis. Anim. Feed Sci. Technol. 2017, 232, 6–15. [Google Scholar] [CrossRef]
- Pham, V.H.; Kan, L.; Huang, J.; Geng, Y.; Zhen, W.; Guo, Y.; Abbas, W.; Wang, Z. Dietary encapsulated essential oils and organic acids mixture improves gut health in broiler chickens challenged with necrotic enteritis. J. Anim. Sci. Biotechnol. 2020, 11, 18. [Google Scholar] [CrossRef] [Green Version]
- Awad, W.A.; Hess, C.; Hess, M. Enteric pathogens and their toxin-induced disruption of the intestinal barrier through alteration of tight junctions in chickens. Toxins 2017, 9, 60. [Google Scholar] [CrossRef] [Green Version]
- Gavaric, N.; Mozina, S.S.; Kladar, N.; Bozin, B. Chemical profile, antioxidant and antibacterial activity of thyme and oregano essential oils, thymol and carvacrol and their possible synergism. J. Essent. Oil Bear. Plants 2015, 18, 1013–1021. [Google Scholar] [CrossRef]




| Ingredient, %. | Basal Diet |
|---|---|
| Corn | 57.52 |
| Soybean meal (Crude protein >46%) | 36.20 |
| Soy oil | 2.14 |
| Limestone | 1.13 |
| Dicalcium phosphate | 1.97 |
| Salt | 0.35 |
| Methionine (99%, DL-Form) | 0.19 |
| Choline (50%) | 0.25 |
| Vitamin premix 1 | 0.025 |
| Mineral premix 2 | 0.2 |
| Ethoxyquin (66%) | 0.03 |
| Total | 100.00 |
| Calculated composition 3, % | |
| Crude protein | 21.0 |
| Metabolizable energy (kcal/kg) | 2950 |
| Calcium | 1.00 |
| Available phosphorus | 0.45 |
| Lysine | 1.11 |
| Methionine | 0.5 |
| Treatment 2 | Control Group | CP-Challenged Model Group | Antibiotics Positive Control Group | OEO Low Dosage Group | OEO- High Dosage Group | p Value 3 | SEM |
|---|---|---|---|---|---|---|---|
| d0–d18 Non-challenge phase | |||||||
| BWG, g | 36.06 ± 0.52 | 35.47 ± 0.68 | 35.44 ± 0.64 | 35.88 ± 0.84 | 34.52 ± 0.81 | 0.593 | 0.31 |
| FI, g | 51.61 ± 1.57 | 50.87 ± 0.98 | 51.65 ± 1.05 | 52.37 ± 0.95 | 51.19 ± 1.28 | 0.922 | 0.503 |
| FCR | 1.43 ± 0.03 | 1.44 ± 0.02 | 1.46 ± 0.01 | 1.46 ± 0.02 | 1.48 ± 0.01 | 0.35 | 0.009 |
| BW,g | 654.97 ± 8.88 | 644.94 ± 11.5 | 644.55 ± 10.83 | 651.94 ± 14.26 | 628.81 ± 13.82 | 0.593 | 5.267 |
| d19–d26 Challenge phase | |||||||
| BWG, g | 66.12 ± 2.23 a | 54.95 ± 1.86 b | 59.21 ± 1.73 ab | 62.48 ± 2.33 a | 63.32 ± 3.1 a | 0.022 | 1.192 |
| FI, g | 109.55 ± 2.41 a | 99.9 ± 2.35 b | 98.34 ± 1.23 b | 106.03 ± 2.35 ab | 110.82 ± 5.12 a | 0.02 | 1.551 |
| FCR | 1.66 ± 0.03 | 1.82 ± 0.05 | 1.67 ± 0.06 | 1.7 ± 0.03 | 1.75 ± 0.04 | 0.069 | 0.021 |
| Overall | |||||||
| BWG, g | 46.46 ± 0.66 a | 42.21 ± 0.65 b | 43.67 ± 0.59 ab | 45.09 ± 1.09 ab | 44.49 ± 1.37 ab | 0.04 | 0.466 |
| FI, g | 71.66 ± 1.2 | 67.84 ± 1.28 | 67.81 ± 0.64 | 70.94 ± 1.01 | 71.83 ± 2.43 | 0.13 | 0.688 |
| FCR | 1.54 ± 0.02 | 1.61 ± 0.02 | 1.55 ± 0.02 | 1.58 ± 0.02 | 1.61 ± 0.02 | 0.128 | 0.011 |
| BW,g | 1250.04 ± 17.08 a | 1139.48 ± 16.84 b | 1177.47 ± 15.3 ab | 1214.27 ± 28.41 ab | 1198.7 ± 35.72 ab | 0.04 | 12.11 |
Publisher’s Note: MDPI stays neutral with regard to jurisdictional claims in published maps and institutional affiliations. |
© 2021 by the authors. Licensee MDPI, Basel, Switzerland. This article is an open access article distributed under the terms and conditions of the Creative Commons Attribution (CC BY) license (https://creativecommons.org/licenses/by/4.0/).
Share and Cite
Jin, X.; Huang, G.; Luo, Z.; Hu, Y.; Liu, D. Oregano (Origanum vulgare L.) Essential Oil Feed Supplement Protected Broilers Chickens against Clostridium perfringens Induced Necrotic Enteritis. Agriculture 2022, 12, 18. https://doi.org/10.3390/agriculture12010018
Jin X, Huang G, Luo Z, Hu Y, Liu D. Oregano (Origanum vulgare L.) Essential Oil Feed Supplement Protected Broilers Chickens against Clostridium perfringens Induced Necrotic Enteritis. Agriculture. 2022; 12(1):18. https://doi.org/10.3390/agriculture12010018
Chicago/Turabian StyleJin, Xiaolu, Guanggen Huang, Zheng Luo, Yongfei Hu, and Dan Liu. 2022. "Oregano (Origanum vulgare L.) Essential Oil Feed Supplement Protected Broilers Chickens against Clostridium perfringens Induced Necrotic Enteritis" Agriculture 12, no. 1: 18. https://doi.org/10.3390/agriculture12010018
APA StyleJin, X., Huang, G., Luo, Z., Hu, Y., & Liu, D. (2022). Oregano (Origanum vulgare L.) Essential Oil Feed Supplement Protected Broilers Chickens against Clostridium perfringens Induced Necrotic Enteritis. Agriculture, 12(1), 18. https://doi.org/10.3390/agriculture12010018
