Molecular Imaging of Coronary Plaque Vulnerability Using 18F-Fluorocholine PET-MRI in Patients with Coronary Artery Disease: Validation with Optical Coherence Tomography
Abstract
1. Introduction
2. Materials and Methods
2.1. Study Population
2.2. PET-MR Imaging
2.3. OCT Imaging
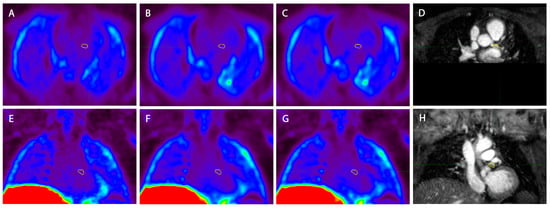
2.4. Image Reconstruction
2.5. Image Analysis
2.6. Statistics
3. Results
4. Discussion
5. Conclusions
Author Contributions
Funding
Institutional Review Board Statement
Informed Consent Statement
Data Availability Statement
Acknowledgments
Conflicts of Interest
Abbreviations
| BMI | Body Mass Index |
| CD68 | Cluster of Differentiation 68 |
| CMR | Cardiac Magnetic Resonance |
| CMRA | Coronary Magnetic Resonance Angiography |
| CTA | Computed Tomography Angiography |
| 18F-FDG | 18-Fluor-fluorodeoxyglucose |
| eMR-MOCO | Extended MR-Based Motion Correction |
| eMR-MOCO-ECG | Extended MR-Based Motion Correction with ECG gating |
| FDG | 18F-fluorodeoxyglucose |
| FOV | Field Of View |
| GRACE-score | Global Registry of Acute Coronary Events score |
| ICA | Invasive Coronary Angiography |
| iNAV-CASPR-MOCO | 2D Image Navigator-Based 3D Whole-Heart Sequence Cartesian Trajectory with Spiral Profile Motion Corrected |
| MI | Myocardial Infarction |
| MRI | Magnetic Resonance Imaging |
| MRG-MOCO | Multigate Respiratory Gating Motion Correction |
| NSTEMI | Non-ST-Segment Elevation Myocardial Infarction |
| OCT | Optical Coherence Tomography |
| PCI | Percutaneous Coronary Intervention |
| PET | Positron Emission Tomography |
| STEMI | ST-Segment Elevation Myocardial Infarction |
| SUVmax | Maximal Standardized Uptake Value |
| SUVmean | Mean Standardized Uptake Value |
| TBRmax | Maximal Target-to-Background Ratio |
| VOI | Volume of Interest |
References
- Virmani, R.; Kolodgie, F.D.; Burke, A.P.; Farb, A.; Schwartz, S.M. Lessons from sudden coronary death: A comprehensive morphological classification scheme for atherosclerotic lesions. Arterioscler. Thromb. Vasc. Biol. 2000, 20, 1262–1275. [Google Scholar] [CrossRef] [PubMed]
- Dweck, M.R.; Maurovich-Horvat, P.; Leiner, T.; Cosyns, B.; Fayad, Z.A.; Gijsen, F.J.H.; Van der Heiden, K.; Kooi, M.E.; Maehara, A.; E Muller, J.; et al. Contemporary rationale for non-invasive imaging of adverse coronary plaque features to identify the vulnerable patient: A Position Paper from the European Society of Cardiology Working Group on Atherosclerosis and Vascular Biology and the European Association of Cardiovascular Imaging. Eur. Heart J. Cardiovasc. Imaging 2020, 21, 1177–1183. [Google Scholar] [PubMed]
- Finn, A.V.; Nakano, M.; Narula, J.; Kolodgie, F.D.; Virmani, R. Concept of vulnerable/unstable plaque. Arterioscler. Thromb. Vasc. Biol. 2010, 30, 1282–1292. [Google Scholar] [CrossRef] [PubMed]
- Smulders, M.W.; Kietselaer, B.L.; Wildberger, J.E.; Dagnelie, P.C.; Rocca, H.-P.B.; Mingels, A.M.; van Cauteren, Y.J.; Theunissen, R.A.; Post, M.J.; Schalla, S.; et al. Initial Imaging-Guided Strategy Versus Routine Care in Patients With Non-ST-Segment Elevation Myocardial Infarction. J. Am. Coll. Cardiol. 2019, 74, 2466–2477. [Google Scholar] [CrossRef]
- Cutlip, D.E.; Chhabra, A.G.; Baim, D.S.; Chauhan, M.S.; Marulkar, S.; Massaro, J.; Bakhai, A.; Cohen, D.J.; Kuntz, R.E.; Ho, K.K. Beyond restenosis: Five-year clinical outcomes from second-generation coronary stent trials. Circulation 2004, 110, 1226–1230. [Google Scholar] [CrossRef]
- Glaser, R.; Selzer, F.; Faxon, D.P.; Laskey, W.K.; Cohen, H.A.; Slater, J.; Detre, K.M.; Wilensky, R.L. Clinical progression of incidental, asymptomatic lesions discovered during culprit vessel coronary intervention. Circulation 2005, 111, 143–149. [Google Scholar] [CrossRef]
- Schelbert, E.B.; Cao, J.J.; Sigurdsson, S.; Aspelund, T.; Kellman, P.; Aletras, A.H.; Dyke, C.K.; Thorgeirsson, G.; Eiriksdottir, G.; Launer, L.J.; et al. Prevalence and prognosis of unrecognized myocardial infarction determined by cardiac magnetic resonance in older adults. JAMA 2012, 308, 890–896. [Google Scholar] [CrossRef]
- Buffon, A.; Biasucci, L.M.; Liuzzo, G.; D’Onofrio, G.; Crea, F.; Maseri, A. Widespread coronary inflammation in unstable angina. N. Engl. J. Med. 2002, 347, 5–12. [Google Scholar] [CrossRef]
- Davies, M.J.; Thomas, A. Thrombosis and acute coronary-artery lesions in sudden cardiac ischemic death. N. Engl. J. Med. 1984, 310, 1137–1140. [Google Scholar] [CrossRef]
- Goldstein, J.A.; Demetriou, D.; Grines, C.L.; Pica, M.; Shoukfeh, M.; O’Neill, W.W. Multiple complex coronary plaques in patients with acute myocardial infarction. N. Engl. J. Med. 2000, 343, 915–922. [Google Scholar] [CrossRef]
- Stone, G.W.; Maehara, A.; Lansky, A.J.; de Bruyne, B.; Cristea, E.; Mintz, G.S.; Mehran, R.; McPherson, J.; Farhat, N.; Marso, S.P.; et al. A prospective natural-history study of coronary atherosclerosis. N. Engl. J. Med. 2011, 364, 226–235. [Google Scholar] [CrossRef]
- Aizaz, M.; Moonen, R.P.M.; van der Pol, J.A.J.; Prieto, C.; Botnar, R.M.; Kooi, M.E. PET/MRI of atherosclerosis. Cardiovasc. Diagn. Ther. 2020, 10, 1120–1139. [Google Scholar] [CrossRef] [PubMed]
- Munoz, C.; Neji, R.; Kunze, K.P.; Nekolla, S.G.; Botnar, R.M.; Prieto, C. Respiratory- and cardiac motion-corrected simultaneous whole-heart PET and dual phase coronary MR angiography. Magn. Reson. Med. 2019, 81, 1671–1684. [Google Scholar] [CrossRef] [PubMed]
- Wyss, M.T.; Weber, B.; Honer, M.; Späth, N.; Ametamey, S.M.; Westera, G.; Bode, B.; Kaim, A.H.; Buck, A. 18F-choline in experimental soft tissue infection assessed with autoradiography and high-resolution PET. Eur. J. Nucl. Med. Mol. Imaging 2004, 31, 312–316. [Google Scholar] [CrossRef] [PubMed]
- Vöö, S.; Kwee, R.M.; Sluimer, J.C.; Schreuder, F.H.B.M.; Wierts, R.; Bauwens, M.; Heeneman, S.; Cleutjens, J.P.M.; van Oostenbrugge, R.J.; Daemen, J.-W.H.; et al. Imaging Intraplaque Inflammation in Carotid Atherosclerosis With 18F-Fluorocholine Positron Emission Tomography-Computed Tomography: Prospective Study on Vulnerable Atheroma With Immunohistochemical Validation. Circ. Cardiovasc. Imaging 2016, 9, e004467. [Google Scholar] [CrossRef]
- Sinclair, H.; Bourantas, C.; Bagnall, A.; Mintz, G.S.; Kunadian, V. OCT for the identification of vulnerable plaque in acute coronary syndrome. JACC Cardiovasc. Imaging 2015, 8, 198–209. [Google Scholar] [CrossRef]
- Bezerra, H.G.; Costa, M.A.; Guagliumi, G.; Rollins, A.M.; Simon, D.I. Intracoronary optical coherence tomography: A comprehensive review clinical and research applications. JACC Cardiovasc. Interv. 2009, 2, 1035–1046. [Google Scholar] [CrossRef]
- Majeed, K.; Bellinge, J.W.; Butcher, S.C.; Alcock, R.; Spiro, J.; Playford, D.; Hillis, G.S.; Newby, D.E.; Mori, T.A.; Francis, R.; et al. Coronary (18)F-sodium fluoride PET detects high-risk plaque features on optical coherence tomography and CT-angiography in patients with acute coronary syndrome. Atherosclerosis 2021, 319, 142–148. [Google Scholar] [CrossRef]
- Munoz, C.; Kunze, K.P.; Neji, R.; Vitadello, T.; Rischpler, C.; Botnar, R.M.; Nekolla, S.G.; Prieto, C. Motion-corrected whole-heart PET-MR for the simultaneous visualisation of coronary artery integrity and myocardial viability: An initial clinical validation. Eur. J. Nucl. Med. Mol. Imaging 2018, 45, 1975–1986. [Google Scholar] [CrossRef]
- Aizaz, M.; van der Pol, J.A.J.; Schneider, A.; Munoz, C.; Holtackers, R.J.; van Cauteren, Y.; van Langen, H.; Meeder, J.G.; Rahel, B.M.; Wierts, R.; et al. Extended MRI-based PET motion correction for cardiac PET/MRI. EJNMMI Phys. 2024, 11, 36. [Google Scholar] [CrossRef]
- Laitinen, I.E.; Luoto, P.; Någren, K.; Marjamäki, P.M.; Silvola, J.M.; Hellberg, S.; Laine, V.J.O.; Ylä-Herttuala, S.; Knuuti, J.; Roivainen, A. Uptake of 11C-choline in mouse atherosclerotic plaques. J. Nucl. Med. 2010, 51, 798–802. [Google Scholar] [CrossRef] [PubMed]
- Matter, C.M.; Wyss, M.T.; Meier, P.; SpätH, N.; von Lukowicz, T.; Lohmann, C.; Weber, B.; de Molina, A.R.; Lacal, J.C.; Ametamey, S.M.; et al. 18F-choline images murine atherosclerotic plaques ex vivo. Arterioscler. Thromb. Vasc. Biol. 2006, 26, 584–589. [Google Scholar] [CrossRef] [PubMed]
- Ogawa, M.; Ishino, S.; Mukai, T.; Asano, D.; Teramoto, N.; Watabe, H.; Kudomi, N.; Shiomi, M.; Magata, Y.; Iida, H.; et al. (18)F-FDG accumulation in atherosclerotic plaques: Immunohistochemical and PET imaging study. J. Nucl. Med. 2004, 45, 1245–1250. [Google Scholar] [PubMed]
- Bucerius, J.; Schmaljohann, J.; Böhm, I.; Palmedo, H.; Guhlke, S.; Tiemann, K.; Schild, H.H.; Biersack, H.-J.; Manka, C. Feasibility of 18F-fluoromethylcholine PET/CT for imaging of vessel wall alterations in humans—First results. Eur. J. Nucl. Med. Mol. Imaging 2008, 35, 815–820. [Google Scholar] [CrossRef]
- Foerster, S.; Rominger, A.; Saam, T.; Wolpers, S.; Nikolaou, K.; Cumming, P.; Reiser, M.F.; Bartenstein, P.; Hacker, M. 18F-fluoroethylcholine uptake in arterial vessel walls and cardiovascular risk factors: Correlation in a PET-CT study. Nuklearmedizin 2010, 49, 148–153. [Google Scholar]
- Kato, K.; Yonetsu, T.; Kim, S.J.; Xing, L.; Lee, H.; McNulty, I.; Yeh, R.W.; Sakhuja, R.; Zhang, S.; Uemura, S.; et al. Nonculprit plaques in patients with acute coronary syndromes have more vulnerable features compared with those with non-acute coronary syndromes: A 3-vessel optical coherence tomography study. Circ. Cardiovasc. Imaging 2012, 5, 433–440. [Google Scholar] [CrossRef]
- Joshi, N.V.; Vesey, A.T.; Williams, M.C.; Shah, A.S.; Calvert, P.A.; Craighead, F.H.; Yeoh, S.E.; Wallace, W.; Salter, D.; Fletcher, A.M.; et al. 18F-fluoride positron emission tomography for identification of ruptured and high-risk coronary atherosclerotic plaques: A prospective clinical trial. Lancet 2014, 383, 705–713. [Google Scholar] [CrossRef]
- Celeng, C.; Takx, R.A.; Ferencik, M.; Maurovich-Horvat, P. Non-invasive and invasive imaging of vulnerable coronary plaque. Trends Cardiovasc. Med. 2016, 26, 538–547. [Google Scholar] [CrossRef]
- Ferrante, G.; Presbitero, P.; Whitbourn, R.; Barlis, P. Current applications of optical coherence tomography for coronary intervention. Int. J. Cardiol. 2013, 165, 7–16. [Google Scholar] [CrossRef]
- Terashima, M.; Kaneda, H.; Suzuki, T. The role of optical coherence tomography in coronary intervention. Korean J. Intern. Med. 2012, 27, 1–12. [Google Scholar] [CrossRef]
- Tanaka, A.; Imanishi, T.; Kitabata, H.; Kubo, T.; Takarada, S.; Tanimoto, T.; Kuroi, A.; Tsujioka, H.; Ikejima, H.; Ueno, S.; et al. Morphology of exertion-triggered plaque rupture in patients with acute coronary syndrome: An optical coherence tomography study. Circulation 2008, 118, 2368–2373. [Google Scholar] [CrossRef]
- Virmani, R.; Burke, A.P.; Farb, A.; Kolodgie, F.D. Pathology of the vulnerable plaque. J. Am. Coll. Cardiol. 2006, 47, C13–C18. [Google Scholar] [CrossRef]
- Tearney, G.J.; Regar, E.; Akasaka, T.; Adriaenssens, T.; Barlis, P.; Bezerra, H.G.; Bouma, B.; Bruining, N.; Cho, J.M.; Chowdhary, S.; et al. Consensus standards for acquisition, measurement, and reporting of intravascular optical coherence tomography studies: A report from the International Working Group for Intravascular Optical Coherence Tomography Standardization and Validation. J. Am. Coll. Cardiol. 2012, 59, 1058–1072. [Google Scholar] [CrossRef]
- Savo, M.T.; De Amicis, M.; Cozac, D.A.; Cordoni, G.; Corradin, S.; Cozza, E.; Amato, F.; Lassandro, E.; Da Pozzo, S.; Tansella, D.; et al. Comparative Prognostic Value of Coronary Calcium Score and Perivascular Fat Attenuation Index in Coronary Artery Disease. J. Clin. Med. 2024, 13, 5205. [Google Scholar] [CrossRef]
- Serruys, P.W.; Hara, H.; Garg, S.; Kawashima, H.; Nørgaard, B.L.; Dweck, M.R.; Bax, J.J.; Knuuti, J.; Nieman, K.; Leipsic, J.A.; et al. Coronary Computed Tomographic Angiography for Complete Assessment of Coronary Artery Disease: JACC State-of-the-Art Review. J. Am. Coll. Cardiol. 2021, 78, 713–736. [Google Scholar] [CrossRef]





| MRG-MOCO | eMR-MOCO | eMR-MOCO-ECG | |
|---|---|---|---|
| Respiratory motion-correction method | PET reconstruction based on data acquired during end-expiration, as determined using the respiratory belt | Respiratory motion correction based on iNav-based respiratory motion fields | Respiratory motion correction based on iNav-based respiratory motion fields |
| ECG gating | No | No | Yes (end-diastolic phase) |
| Characteristic | All Subjects (n14) |
|---|---|
| Age [years] | 63.1 (10.3) |
| Gender (female; n,%) | 3 (21.4) |
| Weight [kg] | 81.3 (12.0) |
| Systolic blood pressure [mmHg] | 135.2 (22.7) |
| Diastolic blood pressure [mmHg] | 72.4 (11.7) |
| Hemoglobin [mmol/L] | 8.5 (1.1) |
| LDL-cholesterol [mmol/l] | 3.2 (1.6) |
| HDL-cholesterol [mmol/L] | 1.1 (0.27) |
| Total cholesterol [mmol/L] | 4.7 (2.0) |
| Triglyceride [mmol/L] | 1.5 (0.6) |
| Hypertension (n,%) | 6 (42.9) |
| Diabetes mellitus (n,%) | 2 (14.3) |
| Hypercholesterolemia (n,%) | 6 (42.9) |
| Obesity (n,%) | 4 (28.6) |
| Smoking (n,%) | |
| Never smoked | 3 (21.4) |
| Former smoker | 4 (28.6) |
| Quit smoking during current hospitalization | 5 (35.7) |
| Still smoking | 2 (14.3) |
| History of ischemic heart disease (n,%) | 1 (7.1) |
| Antihypertensive agent use at intake (n, %) | 2 (14.3) |
| Antihypertensive agent use at discharge (n, %) | 13 (92.9) |
| Antiplatelet agent use at intake (n,%) | 0 (0) |
| Antiplatelet agent use at discharge (n,%) | 14 (100) |
| Oral anticoagulant use at intake (n,%) | 0 (0) |
| Oral anticoagulant use at discharge (n,%) | 2 (14.3) |
| Cholesterol synthesis inhibitor use at intake (n,%) | 2 (14.3) |
| Cholesterol synthesis inhibitor use at discharge (n,%) | 14 (100) |
| Oral antidiabetic use at intake (n,%) | 1 (7.1) |
| Oral antidiabetic use at discharge (n,%) | 2 (14.3) |
| Parenteral antidiabetic use at intake (n,%) | 0 (0) |
| Parenteral antidiabetic use at intake (n,%) | 0 (0) |
| Time interval between NSTEMI and PET-MRI [days] (mean (SD)) | 30.1 (6.9) |
Disclaimer/Publisher’s Note: The statements, opinions and data contained in all publications are solely those of the individual author(s) and contributor(s) and not of MDPI and/or the editor(s). MDPI and/or the editor(s) disclaim responsibility for any injury to people or property resulting from any ideas, methods, instructions or products referred to in the content. |
© 2025 by the authors. Licensee MDPI, Basel, Switzerland. This article is an open access article distributed under the terms and conditions of the Creative Commons Attribution (CC BY) license (https://creativecommons.org/licenses/by/4.0/).
Share and Cite
van der Pol, J.A.J.; Rahel, B.; van Cauteren, Y.J.M.; Moonen, R.P.M.; Meeder, J.G.; Gerretsen, S.C.; Aizaz, M.; Prieto, C.; Botnar, R.M.; Bucerius, J.; et al. Molecular Imaging of Coronary Plaque Vulnerability Using 18F-Fluorocholine PET-MRI in Patients with Coronary Artery Disease: Validation with Optical Coherence Tomography. J. Clin. Med. 2025, 14, 8708. https://doi.org/10.3390/jcm14248708
van der Pol JAJ, Rahel B, van Cauteren YJM, Moonen RPM, Meeder JG, Gerretsen SC, Aizaz M, Prieto C, Botnar RM, Bucerius J, et al. Molecular Imaging of Coronary Plaque Vulnerability Using 18F-Fluorocholine PET-MRI in Patients with Coronary Artery Disease: Validation with Optical Coherence Tomography. Journal of Clinical Medicine. 2025; 14(24):8708. https://doi.org/10.3390/jcm14248708
Chicago/Turabian Stylevan der Pol, Jochem A. J., Braim Rahel, Yvonne J. M. van Cauteren, Rik P. M. Moonen, Joan G. Meeder, Suzanne C. Gerretsen, Mueez Aizaz, Claudia Prieto, René M. Botnar, Jan Bucerius, and et al. 2025. "Molecular Imaging of Coronary Plaque Vulnerability Using 18F-Fluorocholine PET-MRI in Patients with Coronary Artery Disease: Validation with Optical Coherence Tomography" Journal of Clinical Medicine 14, no. 24: 8708. https://doi.org/10.3390/jcm14248708
APA Stylevan der Pol, J. A. J., Rahel, B., van Cauteren, Y. J. M., Moonen, R. P. M., Meeder, J. G., Gerretsen, S. C., Aizaz, M., Prieto, C., Botnar, R. M., Bucerius, J., van Langen, H., Wildberger, J. E., Holtackers, R. J., & Kooi, M. E. (2025). Molecular Imaging of Coronary Plaque Vulnerability Using 18F-Fluorocholine PET-MRI in Patients with Coronary Artery Disease: Validation with Optical Coherence Tomography. Journal of Clinical Medicine, 14(24), 8708. https://doi.org/10.3390/jcm14248708

