Optical Coherence Tomography Angiography Features and Flow-Based Classification of Retinal Artery Macroaneurysms
Abstract
1. Introduction
2. Materials and Methods
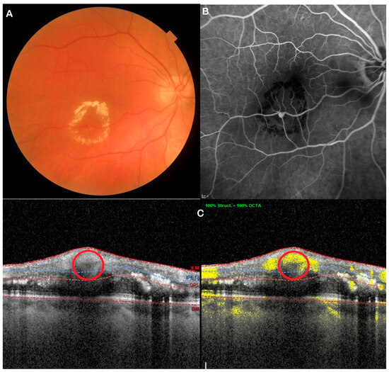
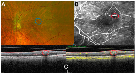
3. Results
4. Discussion
Author Contributions
Funding
Institutional Review Board Statement
Data Availability Statement
Conflicts of Interest
Abbreviations
| ARD EDI | Automatic reference scanning, Enhanced Depth Imaging |
| FFA | Fundus Fluorescein angiography |
| ICGA | Indocyanine Green Angiography |
| ILM | Internal Limiting membrane |
| OCT | Optical Coherence Tomography |
| OCTA | Optical Coherence Tomography Angiography |
| RAMs | Retinal artery macroaneurysms |
| SD-OCT | Spectral Domain-Optical Coherence Tomography |
| SS-OCTA | Swept Source-Optical Coherence Tomography Angiography |
| Nd:YAG | neodymium: yttrium-aluminum-garnet |
References
- Cahuzac, A.; Scemama, C.; Mauget-Faÿsse, M.; Sahel, J.A.; Wolff, B. Retinal arterial macroaneurysms: Clinical, angiographic, and tomographic description and therapeutic management of a series of 14 cases. Eur. J. Ophthalmol. 2016, 26, 36–43. [Google Scholar] [CrossRef]
- Pitkänen, L.; Tommila, P.; Kaarniranta, K.; Jääskeläinen, J.E.; Kinnunen, K. Retinal arterial macroaneurysms. Acta Ophthalmol. 2014, 92, 101–104. [Google Scholar] [CrossRef] [PubMed]
- Robertson, D.M. Macroaneurysms of the retinal arteries. Trans. Am. Acad Ophthalmol. Otolaryngol. 1973, 77, OP55–OP67. [Google Scholar]
- Cleary, P.E.; Kohner, E.M.; Hamilton, A.M.; Bird, A.C. Retinal macroaneurysms. Br. J. Ophthalmol. 1975, 59, 355–361. [Google Scholar] [CrossRef]
- Abdel-Khalek, M.N.; Richardson, J. Retinal macroaneurysm: Natural history and guidelines for treatment. Br. J. Ophthalmol. 1986, 70, 2–11. [Google Scholar] [CrossRef]
- Xu, L.; Wang, Y.; Jonas, J.B. Frequency of retinal macroaneurysms in adult Chinese: The Beijing Eye Study. Br. J. Ophthalmol. 2007, 91, 840–841. [Google Scholar] [CrossRef]
- Nangia, V.; Jonas, J.B.; Khare, A.; Sinha, A.; Lambat, S. Prevalence of retinal macroaneurysms. The Central India Eye and Medical Study. Acta Ophthalmol. 2013, 91, e166–e167. [Google Scholar] [CrossRef]
- Panton, R.W.; Goldberg, M.F.; Farber, M.D. Retinal arterial macroaneurysms: Risk factors and natural history. Br. J. Ophthalmol. 1990, 74, 595–600. [Google Scholar] [CrossRef] [PubMed]
- Theodossiadis, P.G.; Emfietzoglou, I.; Sfikakis, P.P.; Panagiotidis, D.; Grigoropoulos, V.G.; Theodossiadis, G.P. Simultaneous bilateral visual loss caused by rupture of retinal arterial macroaneurysms in a hypertensive patient. Acta Ophthalmol. Scand. 2005, 83, 120–122. [Google Scholar] [CrossRef] [PubMed]
- Lewis, R.A.; Norton, E.W.; Gass, J.D. Acquired arterial macroaneurysms of the retina. Br. J. Ophthalmol. 1976, 60, 21–30. [Google Scholar] [CrossRef]
- Gedik, S.; Gür, S.; Yilmaz, G.; Akova, Y.A. Retinal arterial macroaneurysm rupture following fundus fluorescein angiography and treatment with Nd: YAG laser membranectomy. Ophthalmic Surg. Lasers Imaging 2007, 38, 154–156. [Google Scholar] [CrossRef] [PubMed]
- Hillenkamp, J.; Surguch, V.; Framme, C.; Gabel, V.P.; Sachs, H.G. Management of submacular hemorrhage with intravitreal versus subretinal injection of recombinant tissue plasminogen activator. Graefes Arch. Clin. Exp. Ophthalmol. 2010, 248, 5–11. [Google Scholar] [CrossRef]
- Parodi, M.B.; Iacono, P.; Ravalico, G.; Bandello, F. Subthreshold laser treatment for retinal arterial macroaneurysm. Br. J. Ophthalmol. 2011, 95, 534–538. [Google Scholar] [CrossRef] [PubMed]
- Pichi, F.; Morara, M.; Torrazza, C.; Manzi, G.; Alkabes, M.; Balducci, N.; Vitale, L.; Lembo, A.; Ciardella, A.P.; Nucci, P. Intravitreal bevacizumab for macular complications from retinal arterial macroaneurysms. Am. J. Ophthalmol. 2013, 155, 287–294.e1. [Google Scholar] [CrossRef] [PubMed]
- Cho, W.H.; Chiang, W.Y.; Chen, C.H.; Kuo, H.K. To treat or not to treat: A clinical series of retinal arterial macroaneurysms: A single-center retrospective study. Medicine 2020, 99, e19077. [Google Scholar] [CrossRef]
- Moosavi, R.A.; Fong, K.C.S.; Chopdar, A. Retinal artery macroaneurysms: Clinical and fluorescein angiographic features in 34 patients. Eye 2006, 20, 1011–1020. [Google Scholar] [CrossRef]
- Goldenberg, D.; Soiberman, U.; Loewenstein, A.; Goldstein, M. Heidelberg spectral-domain optical coherence tomographic findings in retinal artery macroaneurysm. Retina 2012, 32, 990–995. [Google Scholar] [CrossRef]
- Miura, M.; Muramatsu, D.; Hong, Y.J.; Yasuno, Y.; Itami, A.; Iwasaki, T.; Goto, H. Noninvasive vascular imaging of ruptured retinal arterial macroaneurysms by Doppler optical coherence tomography. BMC Ophthalmol. 2015, 15, 79. [Google Scholar] [CrossRef]
- Breazzano, M.P.; Fernández-Avellaneda, P.; Freund, K.B. Swept-Source Optical Coherence Tomography Angiography of Retinal Arterial Macroaneurysm With Overlying Hemorrhage. JAMA Ophthalmol. 2019, 137, e190247. [Google Scholar] [CrossRef]
- Lavin, M.J.; Marsh, R.J.; Peart, S.; Rehman, A. Retinal arterial macroaneurysms: A retrospective study of 40 patients. Br. J. Ophthalmol. 1987, 71, 817–825. [Google Scholar] [CrossRef]
- Palestine, A.G.; Robertson, D.M.; Goldstein, B.G. Macroaneurysms of the retinal arteries. Am. J. Ophthalmol. 1982, 93, 164–171. [Google Scholar] [CrossRef]
- Song, Y.; Zhang, W.; Yu, S.; Gong, Y. Appearance of retinal arterial macroaneurysms in patients using swept-source optical coherence tomographic angiography. BMC Ophthalmol. 2023, 23, 280. [Google Scholar] [CrossRef]
- Rabb, M.F.; Gagliano, D.A.; Teske, M.P. Retinal arterial macroaneurysms. Surv. Ophthalmol. 1988, 33, 73–96. [Google Scholar] [CrossRef]
- Yannuzzi, L.A.; Rohrer, K.T.; Tindel, L.J.; Sobel, R.S.; Costanza, M.A.; Shields, W.; Zang, E. Fluorescein angiography complication survey. Ophthalmology 1986, 93, 611–617. [Google Scholar] [CrossRef]
- Singh, D.; Tripathy, K. Retinal Macroaneurysm. In StatPearls [Internet]; StatPearls Publishing: Treasure Island, FL, USA, 2025. Available online: http://www.ncbi.nlm.nih.gov/books/NBK576407/ (accessed on 12 January 2025).
- Evan Goldhagen, B.; Goldhardt, R. Retinal Arterial Macroaneurysms: Updating your Memory on RAM Management. Curr. Ophthalmol. Rep. 2019, 7, 73–79. [Google Scholar] [CrossRef] [PubMed]
- Vishal, R.; Avadesh, O.; Srinivas, R.; Taraprasad, D. Retinal racemose hemangioma with retinal artery macroaneurysm: Optical coherence tomography angiography (OCTA) findings. Am. J. Ophthalmol Case Rep. 2018, 11, 98–100. [Google Scholar] [CrossRef] [PubMed]
- Mohd Lokman, M.; Catherine Bastion, M.L.; Che Hamzah, J. Objective Assessment of Retinal Artery Macroaneurysm With Optical Coherence Tomography Angiography. Cureus 2022, 14, e32328. [Google Scholar] [CrossRef] [PubMed]
- Brar, M.; Grewal, S.P.S.; Grewal, D.S.; Sharma, M.; Dogra, M.R. Swept source optical coherence tomography angiography of a case of retinal artery macro-aneurysm before and after combined laser and intra-vitreal ranibizumab treatment. Indian J. Ophthalmol. 2022, 70, 2710–2712. [Google Scholar] [CrossRef]
- Hu, L.; Zhang, L.; Li, Z.; Liu, J.; Yu, R.; Wang, L.; Xing, D.; Li, C.; Yang, Y.; Li, X. Features of Vasculature in Patients with Retina Arterial Macroaneurysm Using Optical Coherence Tomography Angiography. Retina 2023, 43, 130–137. [Google Scholar] [CrossRef]
- Ouederni, M.; Sassi, H.; Chelly, Z.; Nefaa, F.; Cheour, M. Optical Coherence Tomography Angiography in idiopathic retinal vasculitis, aneurysms and neuroretinitis (IRVAN) syndrome: A case report. Eur. J. Ophthalmol. 2022, 32, NP144–NP148. [Google Scholar] [CrossRef]





| Demographics | |
|---|---|
| Males/Females (n) | 13/17 |
| Mean age (range) | 76.0 (49–91) |
| Laterality Right/Left (n) | 16/14 |
| Eyes with OCTA (n) | 30 |
| Eyes with FFA (n) | 13 |
| Functional Classification | Morphology | ||||||
|---|---|---|---|---|---|---|---|
| Type 1 Hemorrhagic | Type 2 Exudative | Ungradable | Saccular | Fusiform | Saccular & Fusiform | Ungradable | |
| Total (n) | 11 | 16 | 3 | 19 | 4 | 2 | 5 |
| Percentage (%) | 36.7% | 53.3% | 10% | 63.3% | 13.3% | 6.7% | 16.7% |
| Sex | Age | Copathology | HCL | HTN | OCTA Flow | FFA | FFA Flow | |
| 1 | M | 72 | CRVO | N | N | 0 | y | 0 |
| 2 | F | 85 | BRVO | N | Y | 2 | Y | 2 |
| 3 | F | 91 | AMD | N | N | 2 | Y | 1 |
| 4 | F | 63 | none | N | N | 1 | Y | 1 |
| 5 | M | 83 | AVMD | Y | Y | 0 | Y | 1 |
| 6 | F | 74 | none | N | N | 2 | Y | 2 |
| 7 | M | 79 | none | N | Y | 2 | Y | 2 |
| 8 | M | 63 | PAC | N | Y | 2 | Y | 2 |
| 9 | F | 81 | AMD | N | Y | Obscured | Y | Obscured |
| 10 | M | 79 | none | Y | Y | 1 | Y | 1 |
| 11 | F | 84 | none | N | Y | 1 | Y | 0 |
| 12 | M | 69 | DR | Y | Y | 1 | Y | 1 |
| 13 | F | 75 | none | N | Y | 1 | y | 1 |
| 14 | M | 71 | none | N | N | 0 | N | |
| 15 | F | 60 | HTN-Ret | N | Y | 1 | N | |
| 16 | F | 88 | AMD | N | Y | 1 | N | |
| 17 | M | 74 | DR | Y | N | 1 | N | |
| 18 | F | 77 | none | N | Y | 2 | N | |
| 19 | M | 78 | AMD | N | N | 0 | N | |
| 20 | M | 79 | none | Y | Y | 2 | N | |
| 21 | F | 88 | none | N | Y | 0 | N | |
| 22 | F | 80 | none | Y | Y | 0 | N | |
| 23 | F | 76 | Mac-Hole | N | Y | 2 | N | |
| 24 | M | 49 | none | N | N | 0 | N | |
| 25 | F | 75 | none | N | Y | 0 | N | |
| 26 | M | 77 | none | N | Y | 0 | N | |
| 27 | F | 82 | none | N | Y | 1 | N | |
| 28 | F | 84 | none | N | Y | 2 | N | |
| 29 | F | 86 | none | Y | Y | Obscured | N | |
| 30 | M | 57 | none | N | N | 1 | N |
| Absent Flow (n) | Low Flow (n) | High Flow (n) | Blood Blocking (n) | |
|---|---|---|---|---|
| OCTA | 9 | 10 | 9 | 2 |
| FFA | 2 | 6 | 4 | 1 |
Disclaimer/Publisher’s Note: The statements, opinions and data contained in all publications are solely those of the individual author(s) and contributor(s) and not of MDPI and/or the editor(s). MDPI and/or the editor(s) disclaim responsibility for any injury to people or property resulting from any ideas, methods, instructions or products referred to in the content. |
© 2025 by the authors. Licensee MDPI, Basel, Switzerland. This article is an open access article distributed under the terms and conditions of the Creative Commons Attribution (CC BY) license (https://creativecommons.org/licenses/by/4.0/).
Share and Cite
Oshallah, M.; Sepetis, A.E.; Valastro, A.; Ahmed, E.; Vaz-Pereira, S.; Ventre, L.; De Salvo, G. Optical Coherence Tomography Angiography Features and Flow-Based Classification of Retinal Artery Macroaneurysms. J. Clin. Med. 2025, 14, 8686. https://doi.org/10.3390/jcm14248686
Oshallah M, Sepetis AE, Valastro A, Ahmed E, Vaz-Pereira S, Ventre L, De Salvo G. Optical Coherence Tomography Angiography Features and Flow-Based Classification of Retinal Artery Macroaneurysms. Journal of Clinical Medicine. 2025; 14(24):8686. https://doi.org/10.3390/jcm14248686
Chicago/Turabian StyleOshallah, Mohamed, Anastasios E. Sepetis, Antonio Valastro, Eslam Ahmed, Sara Vaz-Pereira, Luca Ventre, and Gabriella De Salvo. 2025. "Optical Coherence Tomography Angiography Features and Flow-Based Classification of Retinal Artery Macroaneurysms" Journal of Clinical Medicine 14, no. 24: 8686. https://doi.org/10.3390/jcm14248686
APA StyleOshallah, M., Sepetis, A. E., Valastro, A., Ahmed, E., Vaz-Pereira, S., Ventre, L., & De Salvo, G. (2025). Optical Coherence Tomography Angiography Features and Flow-Based Classification of Retinal Artery Macroaneurysms. Journal of Clinical Medicine, 14(24), 8686. https://doi.org/10.3390/jcm14248686

