Role of 68Ga-DOTATOC Positron Emission Tomography in Locating Pulmonary Neuroendocrine Tumor Presenting with ACTH-Dependent Cushing’s Syndrome: A Case Report
Abstract
1. Introduction
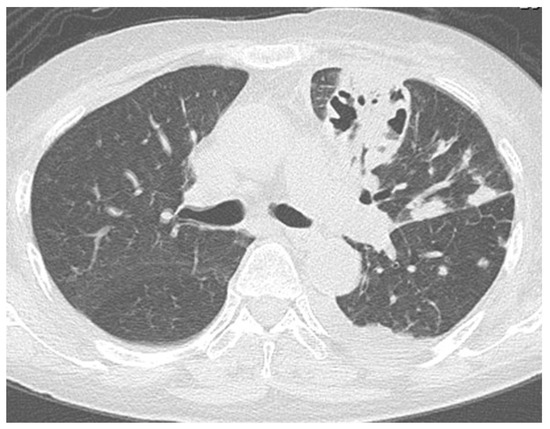
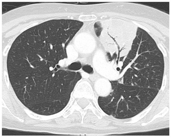
2. Case Presentation
3. Discussion
4. Conclusions
Author Contributions
Funding
Institutional Review Board Statement
Informed Consent Statement
Data Availability Statement
Acknowledgments
Conflicts of Interest
Abbreviations
| ACTH | Adrenocorticotropic hormone |
| AMK | Amikacin |
| AMPH-B | Amphotericin B |
| BMI | Body mass index |
| CRH | Corticotropin-releasing hormone |
| CT | Computed tomography |
| DOTATOC | 1,4,7,10-tetraazacyclododecane-N,N′,N′′,N′′′-tetraacetic-acid-D-Phe1-Tyr3-octreotide |
| FDG | Fluorine-18 fluorodeoxyglucose |
| IPM/CS | Imipenem/Cilastatin |
| LVFX | Levofloxacin |
| MCFG | Micafungin |
| MINO | Minomycin |
| MRI | Magnetic resonance imaging |
| NET | Neuroendocrine tumor |
| PET | Positron emission tomography |
| SSTR | Somatostatin receptor |
| ST | Sulfamethoxazole/Trimethoprim |
| SUV | Standardized uptake value |
| VATS | Video-assisted thoracic surgery |
| VCM | Vancomycin |
| VRCZ | Voriconazole |
References
- Graham, B.S.; Tucker, W.S., Jr. Opportunistic infections in endogenous Cushing’s syndrome. Ann. Intern. Med. 1984, 101, 334–338. [Google Scholar] [CrossRef] [PubMed]
- Bakker, R.C.; Gallas, P.R.J.; Romijn, J.A.; Wiersinga, W.M. Cushing’s syndrome complicated by multiple opportunistic infections. J. Endocrinol. Investig. 1998, 21, 329–333. [Google Scholar] [CrossRef]
- Poeppel, T.D.; Binse, I.; Petersenn, S.; Lahner, H.; Schott, M.; Antoch, G.; Brandau, W.; Bockisch, A.; Boy, C. 68Ga-DOTATOC versus 68Ga-DOTATATE PET/CT in functional imaging of neuroendocrine tumors. J. Nucl. Med. 2011, 52, 1864–1870. [Google Scholar] [CrossRef]
- Yasukawa, M.; Kawaguchi, T.; Kawai, N.; Tojo, T. A case of an ectopic adrenocorticotropic hormone-releasing pulmonary carcinoid tumor diagnosed with 68Ga-DOTATATE PET/CT. Jpn. J. Assoc. Chest Surg. 2016, 30, 871–876. (In Japanese) [Google Scholar] [CrossRef]
- Sutton, B.J.; Parks, G.E.; Manavi, C.K.; Palavecino, E.L.; Geisinger, K.R. Cushing’s syndrome and Nocardiosis Associated with a Pulmonary Carcinoid Tumour: Report of a Case and Review of the literature. Diagn. Cytopathol. 2010, 39, 359–362. [Google Scholar] [CrossRef]
- Fauci, A.S.; Dale, D.C.; Balow, J.E. Glucocorticosteroid therapy: Mechanisms of action and clinical considerations. Ann. Intern. Med. 1976, 84, 304–315. [Google Scholar] [CrossRef]
- Findling, J.W.; Kehoe, M.E.; Shaker, J.L.; Raff, H. Routine inferior petrosal sinus sampling in the differential diagnosis of adrenocorticotropin dependent Cushing’s syndrome: Early recognition of the occult ectopic ACTH syndrome. J. Clin. Endocrinol. Metab. 1991, 73, 408–413. [Google Scholar] [CrossRef]
- Findling, J.W.; Tyrrell, J.B. Occult ectopic secretion of corticotropin. Arch. Intern. Med. 1986, 146, 929–933. [Google Scholar] [CrossRef] [PubMed]
- Vincent, J.M.; Trainer, P.J.; Reznek, R.H.; Marcus, A.; Dacie, J.; Armstrong, P.; Besser, G. The radiological investigation of occult ectopic ACTH dependent Cushing’s syndrome. Clin. Radiol. 1993, 48, 11–17. [Google Scholar] [CrossRef] [PubMed]
- Ejaz, S.; Vassilopoulou-Sellin, R.; Busaidy, N.L.; Hu, M.I.; Waguespack, S.G.; Jimenez, C.; Ying, A.K.; Cabanillas, M.; Abbara, M.; Habra, M.A. Cushing syndrome secondary to ectopic adrenocorticotropic hormone secretion. Cancer 2011, 117, 4381–4389. [Google Scholar] [CrossRef]
- Kayani, I.; Bomanji, J.B.; Groves, A.; Conway, G.; Gacinovic, S.; Win, T.; Dickson, J.; Caplin, M.; Ell, P.J. Functional imaging of neuroendocrine tumors with combined PET/CT using 68Ga-DOTATATE (DOTA-DPhe1,Tyr3-octreotate) and 18F-FDG. Cancer 2008, 112, 2447–2455. [Google Scholar] [CrossRef]
- Jindal, T.; Kumar, A.; Venkitaraman, B.; Dutta, R.; Kumar, R. Role of 68 Ga-DOTATOC PET/CT in the evaluation of primary pulmonary carcinoids. Korean J. Intern. Med. 2010, 25, 386–391. [Google Scholar] [CrossRef]
- Lee, K.; Ahn, B.; Hong, S.M.; Ahn, J.Y.; Gong, C.S.; Ryu, J.S. A case of glomus tumor mimicking neuroendocrine tumor on 68-Ga-DOTATOC PTE/CT. Nucl. Med. Mol. Imaging 2021, 55, 315–319. [Google Scholar] [CrossRef]
- Oberg, K.E.; Reubi, J.; Kwekkeboom, D.J.; Krenning, E.P. Role of somatostatins in gastroenteropancreatic neuroendocrine tumor development and therapy. Gastroenterology 2010, 139, 742–753. [Google Scholar] [CrossRef] [PubMed]
- Krenning, E.P.; Bakker, W.H.; Kooij, P.P.; A Breeman, W.; Oei, H.Y.; De Jong, M.; Reubi, J.C.; Visser, T.J.; Bruns, C.; Kwekkeboom, D.J. Somatostatin receptor scintigraphy with indium-111-DTPA-D-Phe-1-octreotide in Man: Metabolism, Dosimetry and comparison with iodine-123-Tyr-3-octreotide. J. Nucl. Med. 1992, 33, 652–658. [Google Scholar] [PubMed]
- Kwekkeboom, D.J.; Krenning, E.P.; Scheidhauer, K.; Lewington, V.; Lebtahi, R.; Grossman, A.; Vitek, P.; Sundin, A.; Plöckinger, U. EN-ETS consensus guidelines for the standards of care in neuroendocrine tumors: Somatostatin receptor imaging with (111) In-pentetretide. Neuroendocrinology 2009, 90, 184–189. [Google Scholar] [CrossRef]
- Venkitaraman, B.; Karunanithi, S.; Kumar, A.; Bal, C.; Ammini, A.C.; Kumar, R. 68 Ga-DOTATOC PET-CT in the localization of source of ectopic ACTH in patients with ectopic ACTH-dependent Cushing’s syndrome. Clin. Imaging 2014, 38, 208–211. [Google Scholar] [CrossRef] [PubMed]
- Putzer, D.; Gabriel, M.; Henninger, B.; Kendler, D.; Uprimny, C.; Dobrozemsky, G.; Decristoforo, C.; Bale, R.J.; Jaschke, W.; Virgolini, I.J. Bone metastases in patient with neuroendocrine tumor: 68Ga-DOTA-Tyr3-Octreotide PET in comparison to CT and bone scintigraphy. J. Nucl. Med. 2009, 50, 1214–1221. [Google Scholar] [CrossRef]
- Van Binnebeek, S.; Vanbilloen, B.; Baete, K.; Terwinghe, C.; Koole, M.; Mottaghy, F.M.; Clement, P.M.; Mortelmans, L.; Bogaerts, K.; Haustermans, K.; et al. Comparison of diagnostic accuracy of 111In-pentetreotide SPECT and 68Ga-DOTATOC PET/CT: A lesion-by-lesion analysis in patients with metastatic neuroendocrine tumors. Eur. Radiol. 2015, 26, 900–909. [Google Scholar] [CrossRef]
- Deleu, A.-L.; Laenen, A.; Decaluwé, H.; Weynand, B.; Dooms, C.; De Wever, W.; Jentjens, S.; Goffin, K.; Vansteenkiste, J.; Van Laere, K.; et al. Value of [68Ga] Ga-somatostatin receptor PET/CT in the grading of pulmonary neuroendocrine (carcinoid) tumours and the detection of disseminated disease: Single-Centre pathology-based analysis and review of the literature. EJNMMI Res. 2022, 12, 28. [Google Scholar] [CrossRef]
- Isidori, A.M.; Sbardella, E.; Zatelli, M.C.; Boschetti, M.; Vitale, G.; Colao, A.; Pivonello, R. ABC Study Group. Conventional and Nuclear Medicine Imaging in Ectopic Cushing’s Syndrome: A Systematic Review. J. Clin. Endocrinol. Metab. 2015, 100, 3231–3244. [Google Scholar] [CrossRef] [PubMed]








| CBC | Biochemistry | |||||||
|---|---|---|---|---|---|---|---|---|
| WBC | 124 × 102 | /μL | CRP | 1.0 | mg/dL | Na | 138 | mEq/L |
| Nuet | 118 × 102 | /μL | TP | 4.6 | g/dL | K | 3.4 | mEq/L |
| Lym | 2.0 × 102 | /μL | Alb | 2.6 | g/dL | Cl | 97 | mEq/L |
| Eosi | 0.0 × 102 | /μL | AST | 25 | IU/L | Ca | 7.8 | mg/dL |
| Neut% | 95.2 | % | ALT | 54 | IU/L | Pi | 1.9 | mg/dL |
| Lym% | 1.7 | % | ALP | 204 | IU/L | T-ch | 161 | mg/dL |
| Eosin% | 0.0 | % | γGTP | 28 | IU/L | HDL-ch | 44 | mg/dL |
| RBC | 371 × 104 | /μL | LDH | 336 | IU/L | LDL-ch | 92 | mg/dL |
| Hb | 10.9 | g/dL | UA | 2.2 | mg/dL | Glucose | 211 | mg/dL |
| PLT | 189 × 103 | /μL | BUN | 12 | mg/dL | HbA1c | 8.6 | % |
| CRE | 0.63 | mg/dL | Glycoalbumin | 18.8 | % | |||
| T-bil | 0.6 | mg/dL | β-D-glucan | 56.1 | pg/mL | |||
| Pituitary Gland | ||||
|---|---|---|---|---|
| ACTH | 60.9 | pg/mL | ||
| TSH | 0.74 | μIU/mL | ||
| PRL | 16.7 | ng/mL | ||
| LH | <0.10 | mIU/mL | ||
| FSH | 1.01 | mIU/mL | ||
| Adrenal gland | ||||
| Plasma Renin Activity | 0.4 | ng/mL/hr | ||
| Aldosterone | 95.1 | pg/mL | ||
| Cortisol | 58.4 | μg/dL | ||
| Urine cortisol | 3500 | μg/day | ||
| Daily variation | ||||
| 7:00 AM | 11:00 AM | 5:00 PM | 10:00 PM | |
| ACTH (pg/mL) | 179.7 | 213.6 | 129.4 | 143.4 |
| Cortisol (μg/dL) | 122.4 | 133.1 | 87.9 | 106.2 |
| Dexamethasone (DEX) suppression test | ||||
| DEX 0.5 mg | DEX 8 mg | |||
| ACTH (pg/mL) | 485.7 | 569.1 | ||
| Cortisol (μg/dL) | 114.4 | 109.3 (baseline 114.4) | ||
| CRH stimulation test | ||||
| baseline | 30 min | 60 min | 90 min | |
| ACTH (pg/mL) | 342.9 | 267.7 | 54.9 | 62.5 |
| Cortisol (μg/dL) | 118.2 | 108.7 | 110.6 | 112.9 |
Disclaimer/Publisher’s Note: The statements, opinions and data contained in all publications are solely those of the individual author(s) and contributor(s) and not of MDPI and/or the editor(s). MDPI and/or the editor(s) disclaim responsibility for any injury to people or property resulting from any ideas, methods, instructions or products referred to in the content. |
© 2025 by the authors. Licensee MDPI, Basel, Switzerland. This article is an open access article distributed under the terms and conditions of the Creative Commons Attribution (CC BY) license (https://creativecommons.org/licenses/by/4.0/).
Share and Cite
Tanaka, M.; Uejima, M.; Ozaki, K.; Nishigori, M.; Kurematsu, Y.; Kaji, K.; Moriya, K.; Namisaki, T.; Mitoro, A.; Nishimura, F.; et al. Role of 68Ga-DOTATOC Positron Emission Tomography in Locating Pulmonary Neuroendocrine Tumor Presenting with ACTH-Dependent Cushing’s Syndrome: A Case Report. J. Clin. Med. 2025, 14, 8634. https://doi.org/10.3390/jcm14248634
Tanaka M, Uejima M, Ozaki K, Nishigori M, Kurematsu Y, Kaji K, Moriya K, Namisaki T, Mitoro A, Nishimura F, et al. Role of 68Ga-DOTATOC Positron Emission Tomography in Locating Pulmonary Neuroendocrine Tumor Presenting with ACTH-Dependent Cushing’s Syndrome: A Case Report. Journal of Clinical Medicine. 2025; 14(24):8634. https://doi.org/10.3390/jcm14248634
Chicago/Turabian StyleTanaka, Misako, Masakazu Uejima, Kuniaki Ozaki, Maiko Nishigori, Yukako Kurematsu, Kosuke Kaji, Kei Moriya, Tadashi Namisaki, Akira Mitoro, Fumihiko Nishimura, and et al. 2025. "Role of 68Ga-DOTATOC Positron Emission Tomography in Locating Pulmonary Neuroendocrine Tumor Presenting with ACTH-Dependent Cushing’s Syndrome: A Case Report" Journal of Clinical Medicine 14, no. 24: 8634. https://doi.org/10.3390/jcm14248634
APA StyleTanaka, M., Uejima, M., Ozaki, K., Nishigori, M., Kurematsu, Y., Kaji, K., Moriya, K., Namisaki, T., Mitoro, A., Nishimura, F., Yasukawa, M., & Yoshiji, H. (2025). Role of 68Ga-DOTATOC Positron Emission Tomography in Locating Pulmonary Neuroendocrine Tumor Presenting with ACTH-Dependent Cushing’s Syndrome: A Case Report. Journal of Clinical Medicine, 14(24), 8634. https://doi.org/10.3390/jcm14248634

