Diagnostic Impact of Fetal MRI in 556 Fetuses: Where It Adds Value Beyond Ultrasound
Abstract
1. Introduction
2. Materials and Methods
2.1. Study Design and Population
2.2. Ultrasound Imaging
2.3. Fetal MRI Acquisition
2.4. Classification of Fetal Anomalies
2.5. Statistical Analysis
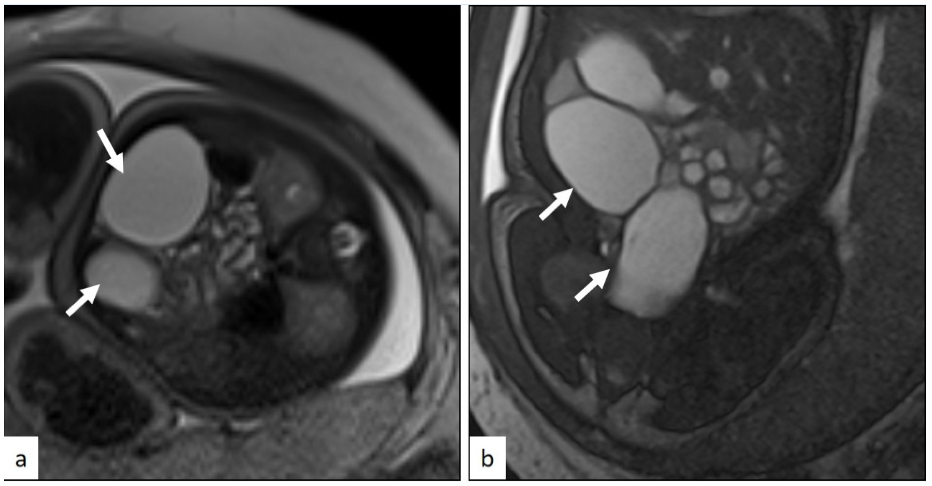
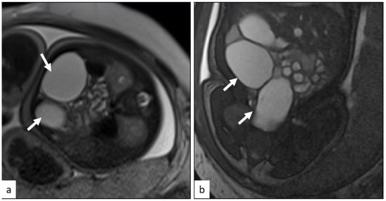
3. Results
4. Discusion
5. Conclusions
Author Contributions
Funding
Institutional Review Board Statement
Informed Consent Statement
Data Availability Statement
Acknowledgments
Conflicts of Interest
References
- Santos, X.M.; Papanna, R.; Johnson, A.; Cass, D.L.; Olutoye, O.O.; Moise, K.J.; Belleza-Bascon, B.; Cassady, C.I. The use of combined ultrasound and magnetic resonance imaging in the detection of fetal anomalies. Prenat. Diagn. 2010, 30, 402–407. [Google Scholar] [CrossRef]
- Griffiths, P.D.; Bradburn, M.; Campbell, M.J.; Cooper, C.L.; Embleton, N.; Graham, R.; Hart, A.R.; Jarvis, D.; Kilby, M.D.; Lie, M.; et al. MRI in the diagnosis of fetal developmental brain abnormalities: The MERIDIAN diagnostic accuracy study. Health Technol. Assess. 2019, 23, 1–144. [Google Scholar] [CrossRef] [PubMed]
- Blondiaux, E.; Garel, C. Fetal cerebral imaging—Ultrasound vs. MRI: An update. Acta Radiol. 2013, 54, 1046–1054. [Google Scholar] [CrossRef] [PubMed]
- Frates, M.C.; Kumar, A.J.; Benson, C.B.; Ward, V.L.; Tempany, C.M. Fetal anomalies: Comparison of MR imaging and US for diagnosis. Radiology 2004, 232, 398–404. [Google Scholar] [CrossRef]
- Breysem, L.; Bosmans, H.; Dymarkowski, S.; Van Schoubroeck, D.; Witters, I.; Deprest, J.; Demaerel, P.; Vanbeckevoort, D.; Vanhole, C.; Casaer, P.; et al. The value of fast MR imaging as an adjunct to ultrasound in prenatal diagnosis. Eur. Radiol. 2003, 13, 1538–1548. [Google Scholar] [CrossRef]
- Kul, S.; Korkmaz, H.A.A.; Cansu, A.; Dinc, H.; Ahmetoglu, A.; Guven, S.; Imamoglu, M. Contribution of MRI to ultrasound in the diagnosis of fetal anomalies. J. Magn. Reson. Imaging 2012, 35, 882–890. [Google Scholar] [CrossRef]
- Adiyaman, D.; Öztekin, Ö.; Kuyucu, M.; Atakul, B.K.; Toklu, G.; Aykut, İ.; Yıldırım, A.G.Ş.; Özeren, M.; Öztekin, D. Contribution of fetal magnetic resonance imaging in the evaluation of neurosonographically detected cases of isolated mild and moderate cerebral ventriculomegaly. J. Obstet. Gynaecol. Res. 2022, 48, 2314–2324. [Google Scholar] [CrossRef]
- Edwards, L.; Hui, L. First and second trimester screening for fetal structural anomalies. Semin. Fetal Neonatal Med. 2018, 23, 102–111. [Google Scholar] [CrossRef]
- Yılmaz, G.M.; Demir, S.C.; Aykut, S.; Evrüke, İ.C.; Sucu, M. Evaluation of prenatal and postnatal outcomes of fetuses with intrauterine cardiac anomalies: Tertiary center experience. Turk. J. Obstet. Gynecol. 2025, 22, 55–64. [Google Scholar] [CrossRef] [PubMed]
- Gagnon, A.; Wilson, R.D.; Allen, V.M.; Audibert, F.; Blight, C.; Brock, J.A.; Désilets, V.A.; Johnson, J.-A.; Langlois, S.; Murphy-Kaulbeck, L.; et al. Evaluation of Prenatally Diagnosed Structural Congenital Anomalies. J. Obstet. Gynaecol. Can. 2009, 31, 875–881. [Google Scholar] [CrossRef]
- Morris, J.K.; Bergman, J.E.H.; Barisic, I.; Wellesley, D.; Tucker, D.; Limb, E.; Addor, M.-C.; Cavero-Carbonell, C.; Dias, C.M.; Draper, E.S.; et al. Surveillance of multiple congenital anomalies; searching for new associations. Eur. J. Hum. Genet. 2024, 32, 407–412. [Google Scholar] [CrossRef]
- Khoury, M.J.; Adams, M.M.; Rhodes, P.; Erickson, J.D. Monitoring for multiple malformations in the detection of epidemics of birth defects. Teratology 1987, 36, 345–353. [Google Scholar] [CrossRef]
- Rizzo, N.; Pittalis, M.C.; Pilu, G.; Perolo, A.; Banzi, C.; Visentin, A.; Bovicelli, L. Distribution of abnormal karyotypes among malformed fetuses detected by ultrasound throughout gestation. Prenat. Diagn. 1996, 16, 159–163. [Google Scholar] [CrossRef]
- Moradi, B.; Zare Bidoki, F.; Azadbakht, J.; Shirazi, M.; Hashemi, H.; Hantooshzadeh, S.; Kazemi, M.A.; Shafiee, M.; Golezar, M.H. Comparing the Diagnostic Yield of Antenatal Fetal Ultrasound, Neurosonography, and MRI for Detecting CNS Anomalies: A Prospective Study. Neurol. Lett. 2024, 3, 12–19. [Google Scholar] [CrossRef]
- Performance of the Routine Mid-Trimester Fetal Ultrasound Scan. Available online: https://www.isuog.org/resource/isuog-practice-guidelines-updated-performance-of-the-routine-mid-trimester-fetal-ultrasound-scan.html (accessed on 1 August 2025).
- Updated ISUOG Practice Guidelines: Performance of 11-14-Week Ultrasound Scan. Available online: https://www.isuog.org/resource/updated-isuog-practice-guidelines-performance-of-11-14-week-ultrasound-scan.html (accessed on 1 August 2025).
- Updated ISUOG Practice Guidelines: Fetal Cardiac Screening. Available online: https://www.isuog.org/resource/updated-isuog-practice-guidelines-fetal-cardiac-screening.html (accessed on 1 August 2025).
- Salomon, L.J.; Alfirevic, Z.; Berghella, V.; Bilardo, C.; Hernandez-Andrade, E.; Johnsen, S.L.; Kalache, K.; Leung, K.; Malinger, G.; Munoz, H.; et al. Practice guidelines for performance of the routine mid-trimester fetal ultrasound scan. Ultrasound Obstet. Gynecol. 2011, 37, 116–126. [Google Scholar] [CrossRef] [PubMed]
- Salomon, L.J.; Alfirevic, Z.; Bilardo, C.M.; Chalouhi, G.E.; Ghi, T.; Kagan, K.O.; Lau, T.K.; Papageorghiou, A.T.; Raine-Fenning, N.J.; Stirnemann, J.; et al. ISUOG practice guidelines: Performance of first-trimester fetal ultrasound scan. Ultrasound Obstet. Gynecol. 2013, 41, 102–113. [Google Scholar] [CrossRef] [PubMed]
- Carvalho, J.; Allan, L.; Chaoui, R.; Copel, J.; DeVore, G.; Hecher, K.; Lee, W.; Munoz, H.; Paladini, D.; Tutschek, B.; et al. ISUOG Practice Guidelines (updated): Sonographic screening examination of the fetal heart. Ultrasound Obstet. Gynecol. 2013, 41, 348–359. [Google Scholar] [CrossRef]
- Paladini, D.; Malinger, G.; Monteagudo, A.; Pilu, G.; Timor-Tritsch, I.; Toi, A. Sonographic examination of the fetal central nervous system: Guidelines for performing the “basic examination” and the “fetal neurosonogram”. Ultrasound Obstet. Gynecol. 2007, 29, 109–116. [Google Scholar] [CrossRef]
- Malinger, G.; Paladini, D.; Haratz, K.K.; Monteagudo, A.; Pilu, G.L.; Timor-Tritsch, I.E. ISUOG Practice Guidelines (updated): Sonographic examination of the fetal central nervous system. Part 1: Performance of screening examination and indications for targeted neurosonography. Ultrasound Obstet. Gynecol. 2020, 56, 476–484. [Google Scholar] [CrossRef]
- Paladini, D.; Malinger, G.; Birnbaum, R.; Monteagudo, A.; Pilu, G.; Salomon, L.J.; Timor-Tritsch, I.E. ISUOG Practice Guidelines (updated): Sonographic examination of the fetal central nervous system. Part 2: Performance of targeted neurosonography. Ultrasound Obstet. Gynecol. 2021, 57, 661–671. [Google Scholar] [CrossRef]
- Prayer, D.; Malinger, G.; Brugger, P.C.; Cassady, C.; De Catte, L.; De Keersmaecker, B.; Fernandes, G.L.; Glanc, P.; Gonçalves, L.F.; Gruber, G.M.; et al. ISUOG Practice Guidelines: Performance of fetal magnetic resonance imaging. Ultrasound Obstet. Gynecol. 2017, 49, 671–680. [Google Scholar] [CrossRef] [PubMed]
- Nielsen, B.W.; Scott, R.C. Brain abnormalities in fetuses: In-utero MRI versus ultrasound. Lancet 2017, 389, 483–485. [Google Scholar] [CrossRef]
- Demir, S.S.; Cagliyan, E.; Sarioglu, F.C.; Guleryuz, H.; Altunyurt, S. Diagnosis of central nervous system abnormalities: Comparison of prenatal neurosonography and foetal magnetic resonance imaging findings. J. Obstet. Gynaecol. 2022, 42, 389–395. [Google Scholar] [CrossRef] [PubMed]
- Paladini, D.; Quarantelli, M.; Sglavo, G.; Pastore, G.; Cavallaro, A.; D’Armiento, M.R.; Salvatore, M.; Nappi, C. Accuracy of neurosonography and MRI in clinical management of fetuses referred with central nervous system abnormalities. Ultrasound Obstet. Gynecol. 2014, 44, 188–196. [Google Scholar] [CrossRef]
- Kirtis, E.; Bulbul, G.A.; Kandemir, H.; Sanhal, C.Y.; Karaali, K.; Mendilcioglu, I.I. Additive Effect of Fetal Magnetic Resonance Imaging to Prenatal Ultrasonography in Fetal Congenital Anomalies. Gynecol. Obstet. Reprod. Med. 2024, 30, 25–32. [Google Scholar] [CrossRef]
- Whitby, E.H.; Paley, M.N.J.; Sprigg, A.; Rutter, S.; Davies, N.P.; Wilkinson, I.D.; Griffiths, P. Comparison of ultrasound and magnetic resonance imaging in 100 singleton pregnancies with suspected brain abnormalities. BJOG 2004, 111, 784–792. [Google Scholar] [CrossRef]
- Miller, E.; Orman, G.; Huisman, T.A.G.M. Fetal MRI assessment of posterior fossa anomalies: A review. J. Neuroimaging 2021, 31, 620–640. [Google Scholar] [CrossRef]
- Bowker, R.M.; Marathu, K.K.; Pharel, M.; Adepoju, J.O.; Vahedifard, F.; Adler, S.; Kocak, M.; Liu, X.; Byrd, S.E. Utility of Biometric Measurements from Fetal Magnetic Resonance Imaging for Improved Antenatal Diagnosis of Dandy–Walker Spectrum Posterior Fossa Lesions. Diagnostics 2025, 15, 1295. [Google Scholar] [CrossRef]
- Salomon, L.J.; Ouahba, J.; Delezoide, A.L.; Vuillard, E.; Oury, J.F.; Sebag, G.; Garel, C. Third-trimester fetal MRI in isolated 10-to 12-mm ventriculomegaly: Is it worth it? BJOG 2006, 113, 942–947. [Google Scholar] [CrossRef]
- Cai, X.; Chen, X.; Wei, X.; Liu, W.; Hou, X.; Gong, T.; Zhu, J.; Haacke, E.M.; Wang, G. Use of magnetic resonance imaging in the diagnosis of fetal vertebral abnormalities in utero: A single-center retrospective cohort study. Quant. Imaging Med. Surg. 2022, 12, 3391–3405. [Google Scholar] [CrossRef] [PubMed]
- Barseghyan, K.; Jackson, H.A.; Chmait, R.; De Filippo, R.E.; Miller, D.A. Complementary roles of sonography and magnetic resonance imaging in the assessment of fetal urinary tract anomalies. J. Ultrasound Med. 2008, 27, 1563–1569. [Google Scholar] [CrossRef]
- Manganaro, L.; Saldari, M.; Bernardo, S.; Vinci, V.; Aliberti, C.; Sollazzo, P.; Giancotti, A.; Capozza, F.; Porpora, M.G.; Cozzi, D.A.; et al. Role of magnetic resonance imaging in the prenatal diagnosis of gastrointestinal fetal anomalies. Radiol. Medica 2015, 120, 393–403. [Google Scholar] [CrossRef]
- Arangio, P.; Manganaro, L.; Pacifici, A.; Basile, E.; Cascone, P. Importance of fetal MRI in evaluation of craniofacial deformities. J. Craniofacial Surg. 2013, 24, 773–776. [Google Scholar] [CrossRef]
- Levine, D.; Barnewolt, C.E.; Mehta, T.S.; Trop, I.; Estroff, J.; Wong, G. Fetal thoracic abnormalities: MR imaging. Radiology 2003, 228, 379–388. [Google Scholar] [CrossRef] [PubMed]
- Sherwood, W.; Boyd, P.; Lakhoo, K. Postnatal outcome of antenatally diagnosed intra-abdominal cysts. Pediatr. Surg. Int. 2008, 24, 763–765. [Google Scholar] [CrossRef] [PubMed]
- Hugele, F.; Dumont, C.; Boulot, P.; Couture, A.; Prodhomme, O. Does prenatal MRI enhance fetal diagnosis of intra-abdominal cysts? Prenat. Diagn. 2015, 35, 669–674. [Google Scholar] [CrossRef] [PubMed]
- Herrera, C.; Samuel, A.; Laifer-Narin, S.; Simpson, L.; Miller, R. Qualitative performance of fetal MRI compared to ultrasound in cases of multiple fetal anomalies. Am. J. Obstet. Gynecol. 2013, 208 (Suppl. 1), S160. [Google Scholar] [CrossRef]
- De Wilde, J.P.; Rivers, A.W.; Price, D.L. A review of the current use of magnetic resonance imaging in pregnancy and safety implications for the fetus. Prog. Biophys. Mol. Biol. 2005, 87, 335–353. [Google Scholar] [CrossRef]
- Abramowicz, J.S.; Kossoff, G.; Marsal, K.; Ter Haar, G. Safety Statement, 2000 (reconfirmed 2003). International Society of Ultrasound in Obstetrics and Gynecology (ISUOG). Ultrasound Obstet. Gynecol. 2003, 21, 100. [Google Scholar] [CrossRef]
- Griffiths, P.D.; Bradburn, M.; Campbell, M.J.; Cooper, C.L.; Graham, R.; Jarvis, D.; Kilby, M.D.; Mason, G.; Mooney, C.; Robson, S.C.; et al. Use of MRI in the diagnosis of fetal brain abnormalities in utero (MERIDIAN): A multicentre, prospective cohort study. Lancet 2017, 389, 538–546. [Google Scholar] [CrossRef]
- Dütemeyer, V.; Cannie, M.M.; Badr, D.A.; Kadji, C.; Carlin, A.; Jani, J.C. Prevalence of and risk factors for failure of fetal magnetic resonance imaging due to maternal claustrophobia or malaise. Ultrasound Obstet. Gynecol. 2023, 61, 392–398. [Google Scholar] [CrossRef] [PubMed]
- Sohn, Y.S.; Kim, M.J.; Kwon, J.Y.; Kim, Y.H.; Park, Y.W. The usefulness of fetal MRI for prenatal diagnosis. Yonsei Med. J. 2007, 48, 671–677. [Google Scholar] [CrossRef] [PubMed][Green Version]
- Rossi, A.C.; Prefumo, F. Additional value of fetal magnetic resonance imaging in the prenatal diagnosis of central nervous system anomalies: A systematic review of the literature. Ultrasound Obstet. Gynecol. 2014, 44, 388–393. [Google Scholar] [CrossRef]
- Chauhan, N.S.; Nandolia, K. Comparison of ultrasound and magnetic resonance imaging findings in evaluation of fetal congenital anomalies: A single-institution prospective observational study. Med. J. Armed Forces India 2023, 79, 439–450. [Google Scholar] [CrossRef] [PubMed]



| Mean ± SD (Min–Max) | |
|---|---|
| Age | 27.60 ± 5.69 (18–45) |
| Gravida | 2.11 ± 1.34 (0–10) |
| Parity | 0.88 ± 0.98 (0–6) |
| Living children | 0.83 ± 0.96 (0–6) |
| Abortions | 0.31 ± 0.83 (0–9) |
| Gestational age at US (weeks) | 24.8 ± 5.37 (12–38) |
| Gestational age at MRI (weeks) | 25.92 ± 5.22 (14–39) |
| US-MRI interval (weeks) | 1.09 ± 0.94 (0–4) |
| n (%) | |
| Singleton pregnancy | 545 (98.0%) |
| Twin pregnancy | 11 (2.0%) |
| Total number of patients | 556 (100.0%) |
| Anomalies | n | % | 95% CI |
|---|---|---|---|
| CNS | 289 | 52.0% | (47.8–56.1) |
| Vertebra | 42 | 7.6% | (5.6–10.1) |
| GIS | 46 | 8.3% | (6.3–10.9) |
| GUS | 69 | 12.4% | (9.9–15.4) |
| Face and Neck | 6 | 1.1% | (0.5–2.3) |
| UAC | 28 | 5.0% | (3.5–7.2) |
| Cardiac | 5 | 0.9% | (0.4–2.1) |
| Thorax | 33 | 5.9% | (4.3–8.2) |
| UA | 1 | 0.2% | (0.0–1.0) |
| Skeletal | 3 | 0.5% | (0.2–1.6) |
| Multiple Anomalies | 34 | 6.1% | (4.4–8.4) |
| Total | 556 | 100.0% |
| Anomalies | Suspicious | Partially Concordant | ||||
|---|---|---|---|---|---|---|
| n | % | 95% CI | n | % | 95% CI | |
| CNS | 2 | 0.7 | (0.2–2.5) | 93 | 32.2 | (27.1–37.8) |
| Vertebra | 0 | 0.0 | (0.0–8.4) | 9 | 21.4 | (11.7–35.9) |
| GIS | 3 | 6.5 | (2.2–17.5) | 11 | 23.9 | (13.9–37.9) |
| GUS | 0 | 0.0 | (0.0–5.3) | 11 | 15.9 | (9.1–26.3) |
| Face and Neck | 0 | 0.0 | (0.0–39.0) | 3 | 50.0 | (18.8–81.2) |
| UAC | 6 | 21.4 | (10.2–39.5) | 15 | 53.6 | (35.8–70.5) |
| Cardiac | 0 | 0.0 | (0.0–43.4) | 0 | 0.0 | (0.0–43.4) |
| Thorax | 2 | 6.1 | (1.7–19.6) | 9 | 27.3 | (15.1–44.2) |
| UA | 0 | 0.0 | (0.0–79.3) | 0 | 0.0 | (0.0–79.3) |
| Skeletal | 0 | 0.0 | (0.0–56.1) | 2 | 66.7 | (20.8–93.9) |
| Multiple Anomalies | 1 | 2.9 | (0.5–14.9) | 12 | 35.3 | (21.5–52.1) |
| Total | 14 | 2.5 | (1.5–4.2) | 165 | 29.7 | (26.0–33.6) |
| Fully Concordance | Ruled Out | Additional Finding | |||||||
|---|---|---|---|---|---|---|---|---|---|
| Anomalies | n (%) | 95% CI | p Value | n (%) | 95% CI | p Value | n (%) | 95% CI | p Value |
| CNS | 125 (43.3) | (37.7–49.0) | 0.005 | 68 (23.5) | (19.0–28.7) | 0.038 | 100 (34.6) | (29.4–40.3) | 0.174 |
| Vertebra | 31 (73.8) | (58.9–84.7) | <0.001 | 2 (4.8) | (1.3–15.8) | 0.010 | 9 (21.4) | (11.7–35.9) | 0.126 |
| GIS | 16 (34.8) | (22.7–49.2) | 0.045 | 16 (34.8) | (22.7–49.2) | 0.010 | 16 (34.8) | (22.7–49.2) | 0.674 |
| GUS | 48 (69.6) | (57.9–79.2) | <0.001 | 10 (14.5) | (8.1–24.7) | 0.211 | 13 (18.8) | (11.4–29.6) | 0.012 |
| F&N | 2 (33.3) | (9.7–70.0) | 0.443 | 0 (0.0) | (0.0–39.0) | 0.606 | 3 (50.0) | (18.8–81.2) | 0.342 |
| UAC | 7 (25.0) | (12.7–43.4) | 0.009 | 4 (14.3) | (5.7–31.5) | 0.428 | 15 (53.6) | (35.8–70.5) | 0.012 |
| Cardiac | 1 (20.0) | (3.6–62.4) | 0.194 | 0 (0.0) | (0.0–43.4) | 0.589 | 1 (20.0) | (3.6–62.4) | 0.563 |
| Thorax | 21 (63.6) | (46.6–77.8) | 0.081 | 2 (6.1) | (1.7–19.6) | 0.038 | 8 (24.2) | (12.8–41.0) | 0.324 |
| UA | 1 (100.0) | (20.7–100.0) | NA | 0 (0.0) | (0.0–79.3) | NA | 0 (0.0) | (0.0–79.3) | NA |
| Skeletal | 0 (0.0) | (0.0–56.1) | NA | 1 (33.3) | (6.1–79.2) | NA | 2 (66.7) | (20.8–93.9) | NA |
| MA | 20 (58.8) | (42.2–73.6) | 0.233 | 9 (26.5) | (14.6–43.1) | 0.342 | 11 (32.4) | (19.1–49.2) | 0.965 |
| Total | 272 (48.9) | (44.8–53.1) | 112 (20.1) | (17.0–23.7) | 178 (32.0) | (28.3–36.0) | |||
| Additional Findings | n | % | 95% CI | Ruled-Out Findings | n | % | 95% CI | |
|---|---|---|---|---|---|---|---|---|
| CNS | PF Anomalies | 42 | 36.8 | (28.6–46.0) | Ventriculomegaly | 22 | 31 | (21.4–42.5) |
| AS | 16 | 38.1 | (25.0–53.2) | PF Anomalies | 15 | 21.1 | (13.2–32.0) | |
| MCM | 10 | 23.8 | (13.5–38.5) | MCM | 7 | 46.7 | (24.8–69.9) | |
| Cerebellar Hypoplasia | 5 | 11.9 | (5.2–25.0) | Cerebellar Hypoplasia | 2 | 13.3 | (3.7–37.9) | |
| Walker–Warburg Syndrome | 4 | 9.5 | (3.8–22.1) | Vermian Hypoplasia | 5 | 33.3 | (15.2–58.3) | |
| Vermian Hypoplasia | 3 | 7.1 | (2.5–19.0) | Blake’s Pouch Cyst | 1 | 6.7 | (1.2–29.8) | |
| Blake’s Pouch Cyst | 3 | 7.1 | (2.5–19.0) | Microcephaly | 13 | 18.3 | (11.0–28.8) | |
| Joubert Syndrome | 1 | 2.4 | (0.4–12.3) | CSP Anomalies/Agenesis | 9 | 12.7 | (6.8–22.4) | |
| Ventriculomegaly | 33 | 28.9 | (21.4–37.9) | Macrocephaly | 7 | 9.9 | (4.9–19.0) | |
| CC Agenesis/Hypoplasia/Dysgenesis | 14 | 12.3 | (7.5–19.6) | Cc Agenesis/Hypoplasia | 4 | 5.6 | (2.2–13.6) | |
| CDM | 8 | 7 | (3.6–13.2) | Occipital Encephalocele | 1 | 1.4 | (0.2–7.6) | |
| Midline Developmental Anomaly | 5 | 4.4 | (1.9–9.9) | Total | 71 | 100 | ||
| GMH | 5 | 4.4 | (1.9–9.9) | |||||
| Dysmorphic CSP | 2 | 1.8 | (0.5–6.2) | |||||
| Cystic Lesion Characterization (AC) | 2 | 1.8 | (0.5–6.2) | |||||
| Pericallosal Lipoma | 1 | 0.9 | (0.2–4.8) | |||||
| Hydranencephaly | 1 | 0.9 | (0.2–4.8) | |||||
| Periventricular Cyst | 1 | 0.9 | (0.2–4.8) | |||||
| Total | 114 | 100 | ||||||
| Vertebra | Closed NTD | 7 | 77.8 | (45.3–93.7) | Closed NTD | 2 | 100 | (34.2–100.0) |
| Spinal arachnoid cyst | 1 | 11.1 | (2.0–43.5) | Total | 2 | 100 | ||
| Kyphosis | 1 | 11.1 | (2.0–43.5) | |||||
| Total | 9 | 100 | ||||||
| GIS | Cyst Characterization | 13 | 52 | (33.5–70.0) | Colonic Dilatation | 7 | 38.9 | (20.3–61.4) |
| Hepatic Tumors | 6 | 46.2 | (23.2–70.9) | Duodenal Atresia | 6 | 33.3 | (16.3–56.3) | |
| Mesenteric Cyst | 4 | 30.8 | (12.7–57.6) | Intra-Abdominal Calcification | 2 | 11.1 | (3.1–32.8) | |
| Colonic duplication cyst | 3 | 23.1 | (8.2–50.3) | Esophageal Atresia | 2 | 11.1 | (3.1–32.8) | |
| Level Of Bowel Obstruction | 7 | 28 | (14.3–47.6) | Hydropic Gallbladder | 1 | 5.6 | (1.0–25.8) | |
| Meconium Peritonitis | 2 | 8 | (2.2–25.0) | Total | 18 | 100 | ||
| Fokal Aganglionik Segment | 1 | 4 | (0.7–19.5) | |||||
| Inguinal Hernia | 1 | 4 | (0.7–19.5) | |||||
| Gallbladder Agenesis | 1 | 4 | (0.7–19.5) | |||||
| Total | 25 | 100 | ||||||
| GUS | Ovarian Cyst Characterization | 16 | 48.5 | (32.5–64.8) | Horseshoe Kidney | 3 | 25 | (8.9–53.2) |
| Ureteropelvic Duplication | 6 | 18.2 | (8.6–34.4) | BRS↑ | 2 | 16.7 | (4.7–44.8) | |
| Renal Agenesis/Hypoplasia | 2 | 6.1 | (1.7–19.6) | BKE↑ | 2 | 16.7 | (4.7–44.8) | |
| Duplicated Collecting System | 2 | 6.1 | (1.7–19.6) | Duplicated Collecting System | 1 | 8.3 | (1.5–35.4) | |
| UB Ureteral Dilatation | 2 | 6.1 | (1.7–19.6) | Renal Agenesis | 1 | 8.3 | (1.5–35.4) | |
| Horseshoe Kidney | 1 | 3 | (0.5–15.3) | Renal Pyelectasis | 1 | 8.3 | (1.5–35.4) | |
| MCDK | 1 | 3 | (0.5–15.3) | Ambiguous genitalia | 1 | 8.3 | (1.5–35.4) | |
| Renal Cortical Cyst | 1 | 3 | (0.5–15.3) | Adrenal cyst | 1 | 8.3 | (1.5–35.4) | |
| Ectopic Kidney | 1 | 3 | (0.5–15.3) | Total | 12 | 100 | ||
| Bilateral Hydronephrosis | 1 | 3 | (0.5–15.3) | |||||
| Total | 33 | 100 | ||||||
| Skeletal | - | Craniosynostosis | 1 | 100 | (20.7–100.0) | |||
| Total | 0 | 0 | Total | 1 | 100 | |||
| F&N | Hypertelorism | 10 | 55.6 | (33.7–75.4) | Hypertelorism | 3 | 75 | (30.1–95.4) |
| Increased Nuchal Thickness | 3 | 16.7 | (5.8–39.2) | Micrognathia | 1 | 25 | (4.6–69.9) | |
| Cleft Palate | 1 | 5.6 | (1.0–25.8) | Total | 4 | 100 | ||
| Cystic Lymphangioma | 1 | 5.6 | (1.0–25.8) | |||||
| Branchial Cleft Cyst | 1 | 5.6 | (1.0–25.8) | |||||
| Cleft Lip And Palate | 1 | 5.6 | (1.0–25.8) | |||||
| Dysmorphic Face | 1 | 5.6 | (1.0–25.8) | |||||
| Total | 18 | 100 | ||||||
| Thorax | Mass Identification | 4 | 57.1 | (25.0–84.2) | BLE↑ | 2 | 66.7 | (20.8–93.9) |
| Pulmonary Sequestration | 3 | 75 | (30.1–95.4) | Enlarged Thymus | 1 | 33.3 | (6.1–79.2) | |
| CCAM | 1 | 25 | (4.6–69.9) | Total | 3 | 100 | ||
| Congenital Diaphragmatic Hernia | 2 | 28.6 | (8.2–64.1) | |||||
| Congenital Lobar Emphysema | 1 | 14.3 | (2.6–51.3) | |||||
| Total | 7 | 100 | ||||||
| UAC | Total | 0 | 0 | Total | 4 | 100 | ||
| Cardiac | Cardiomegaly | 1 | 100 | (20.7–100.0) | - | |||
| Total | 1 | 100 | Total | 0 | 0 | |||
| Body Stalk Anomaly | 1 | 100 | (20.7–100.0) | - | ||||
| UA | Total | 1 | 100 | Total | 0 | 0 | ||
| Total | 208 | 100 | Total | 115 | 100 |
Disclaimer/Publisher’s Note: The statements, opinions and data contained in all publications are solely those of the individual author(s) and contributor(s) and not of MDPI and/or the editor(s). MDPI and/or the editor(s) disclaim responsibility for any injury to people or property resulting from any ideas, methods, instructions or products referred to in the content. |
© 2025 by the authors. Licensee MDPI, Basel, Switzerland. This article is an open access article distributed under the terms and conditions of the Creative Commons Attribution (CC BY) license (https://creativecommons.org/licenses/by/4.0/).
Share and Cite
Emiralioğlu Çakır, Z.; Golbasi, H.; Torun, R.; Sağlam, C.; Gercik Arzık, İ.; Ankara Aktaş, H.; Tuncer Can, S.; Toka, İ.; Uçar, İ.; Sarıoğlu, F.C.; et al. Diagnostic Impact of Fetal MRI in 556 Fetuses: Where It Adds Value Beyond Ultrasound. J. Clin. Med. 2025, 14, 6690. https://doi.org/10.3390/jcm14196690
Emiralioğlu Çakır Z, Golbasi H, Torun R, Sağlam C, Gercik Arzık İ, Ankara Aktaş H, Tuncer Can S, Toka İ, Uçar İ, Sarıoğlu FC, et al. Diagnostic Impact of Fetal MRI in 556 Fetuses: Where It Adds Value Beyond Ultrasound. Journal of Clinical Medicine. 2025; 14(19):6690. https://doi.org/10.3390/jcm14196690
Chicago/Turabian StyleEmiralioğlu Çakır, Zübeyde, Hakan Golbasi, Raziye Torun, Ceren Sağlam, İlayda Gercik Arzık, Hale Ankara Aktaş, Sevim Tuncer Can, İlknur Toka, İlker Uçar, Fatma Ceren Sarıoğlu, and et al. 2025. "Diagnostic Impact of Fetal MRI in 556 Fetuses: Where It Adds Value Beyond Ultrasound" Journal of Clinical Medicine 14, no. 19: 6690. https://doi.org/10.3390/jcm14196690
APA StyleEmiralioğlu Çakır, Z., Golbasi, H., Torun, R., Sağlam, C., Gercik Arzık, İ., Ankara Aktaş, H., Tuncer Can, S., Toka, İ., Uçar, İ., Sarıoğlu, F. C., & Ekin, A. (2025). Diagnostic Impact of Fetal MRI in 556 Fetuses: Where It Adds Value Beyond Ultrasound. Journal of Clinical Medicine, 14(19), 6690. https://doi.org/10.3390/jcm14196690

