Effects of Adding Four Sessions of Ultrasound-Guided Percutaneous Electrical Nerve Stimulation to an Exercise Program in Patients with Shoulder Pain: A Randomized Controlled Trial
Abstract
1. Introduction
2. Methods
2.1. Study Design
2.2. Participants
2.3. Randomization and Masking
2.4. Exercise Program
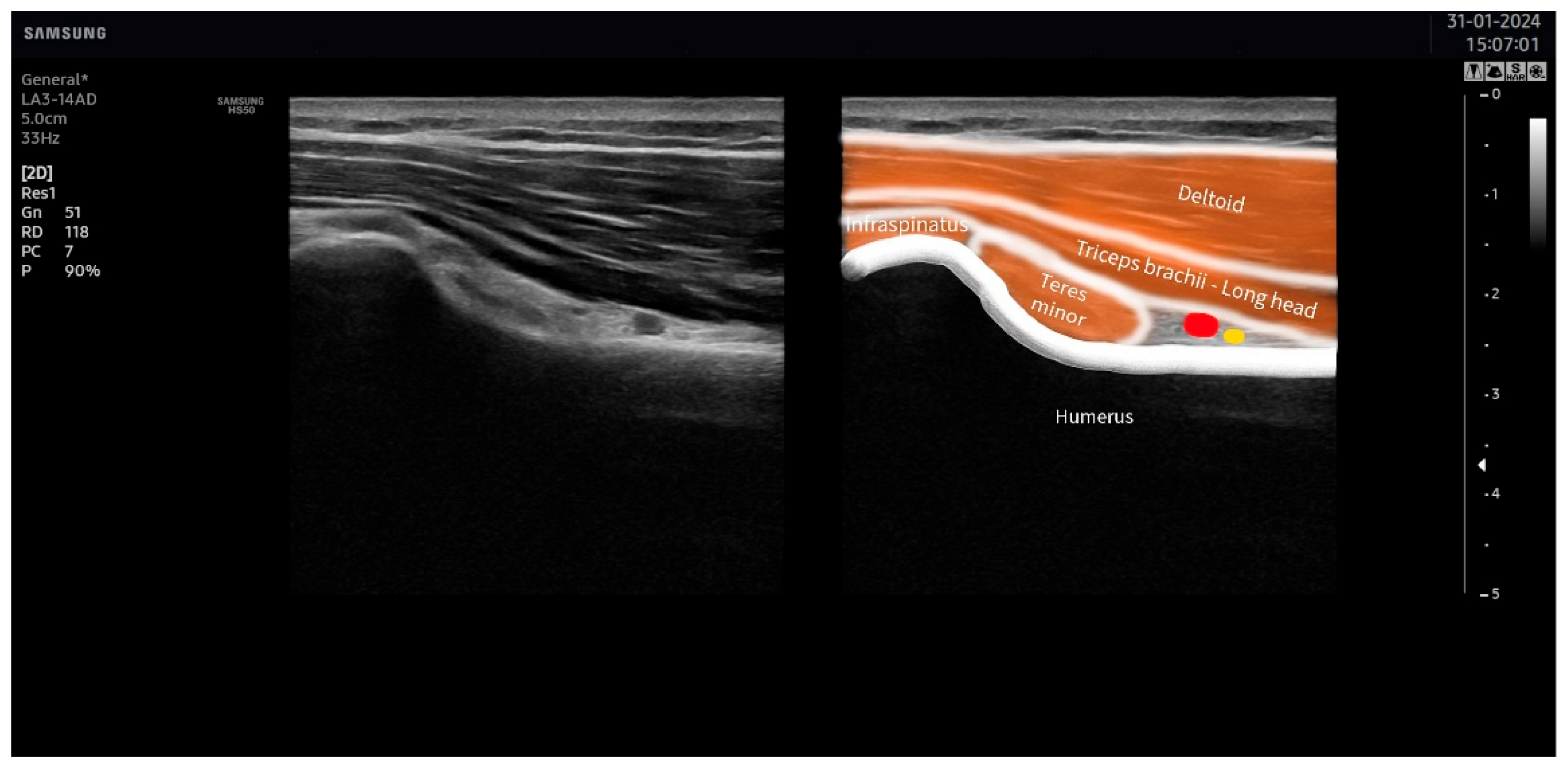
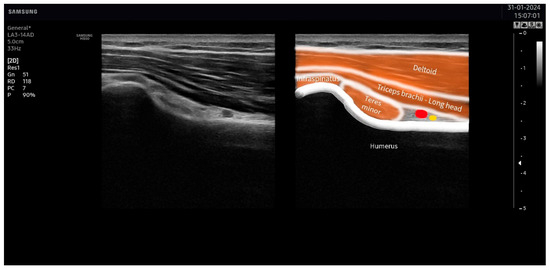
2.5. Ultrasound-Guided Percutaneous Nerve Stimulation
2.6. Placebo Ultrasound-Guided Percutaneous Nerve Stimulation
2.7. Primary Outcome
2.8. Secondary Outcomes
2.9. Treatment Side Effects
2.10. Sample Size Calculation
2.11. Statistical Analysis
3. Results
3.1. Clinical Outcomes
3.2. Psychological Outcomes
4. Discussion
4.1. Effects of PENS on Pain and Related Disability
4.2. Effects of PENS on Psychological Aspects
4.3. Underlying Mechanisms of PENS Targeting the Nerve Tissue
4.4. Limitations
5. Conclusions
Author Contributions
Funding
Institutional Review Board Statement
Informed Consent Statement
Data Availability Statement
Conflicts of Interest
References
- Lucas, J.; van Doorn, P.; Hegedus, E.; Lewis, J.; van der Windt, D. A systematic review of the global prevalence and incidence of shoulder pain. BMC Musculoskelet. Disord. 2022, 23, 1073. [Google Scholar] [CrossRef] [PubMed]
- Hodgetts, C.J.; Leboeuf-Yde, C.; Beynon, A.; Walker, B.F. Shoulder pain prevalence by age and within occupational groups: A systematic review. Arch. Physiother. 2021, 11, 24. [Google Scholar] [CrossRef] [PubMed]
- Virta, L.; Joranger, P.; Brox, J.I.; Eriksson, R. Costs of shoulder pain and resource use in primary health care: A cost-of-illness study in Sweden. BMC Musculoskelet. Disord. 2012, 13, 17. [Google Scholar] [CrossRef] [PubMed]
- Sørensen, L.; van Tulder, M.; Johannsen, H.V.; Ovesen, J.; Enemark, U.; Blæhr, E.E.; Oestergaard, L.G. Costs of shoulder disorders in Denmark: A nationwide cost-of-illness study investigating 617,334 patients and matched controls. Pain 2022, 163, 2162–2171. [Google Scholar] [CrossRef] [PubMed]
- Nazari, G.; MacDermid, J.C.; Bryant, D.; Athwal, G.S. The effectiveness of surgical vs conservative interventions on pain and function in patients with shoulder impingement syndrome. A systematic review and meta-analysis. PLoS ONE 2019, 14, e0216961. [Google Scholar] [CrossRef] [PubMed]
- Babatunde, O.O.; Ensor, J.; Littlewood, C.; Chesterton, L.; Jordan, J.L.; Corp, N.; Wynne-Jones, G.; Roddy, E.; Foster, N.E.; van der Windt, D.A. Comparative effectiveness of treatment options for subacromial shoulder conditions: A systematic review and network meta-analysis. Ther. Adv. Musculoskelet. Dis. 2021, 13, 1759720X211037530. [Google Scholar] [CrossRef] [PubMed]
- Page, M.J.; Green, S.; Mrocki, M.A.; Surace, S.J.; Deitch, J.; McBain, B.; Lyttle, N.; Buchbinder, R. Electrotherapy modalities for rotator cuff disease. Cochrane Database Syst. Rev. 2016, 6, CD012225. [Google Scholar] [CrossRef] [PubMed]
- Navarro-Santana, M.J.; Gómez-Chiguano, G.F.; Cleland, J.A.; Arias-Buría, J.L.; Fernández-de-las-Peñas, C.; Plaza-Manzano, G. Effects of trigger point dry needling for nontraumatic shoulder pain of musculoskeletal origin: A systematic review and meta-analysis. Phys. Ther. 2021, 101, pzaa216. [Google Scholar] [CrossRef] [PubMed]
- Desjardins-Charbonneau, A.; Roy, J.S.; Dionne, C.E.; Frémont, P.; MacDermid, J.C.; Desmeules, F. The efficacy of manual therapy for rotator cuff tendinopathy: A systematic review and meta-analysis. J. Orthop. Sports Phys. Ther. 2015, 45, 330–350. [Google Scholar] [CrossRef]
- Pieters, L.; Lewis, J.; Kuppens, K.; Jochems, J.; Bruijstens, T.; Joossens, L.; Struyf, F. An update of systematic reviews examining the effectiveness of conservative physical therapy interventions for subacromial shoulder pain. J. Orthop. Sports Phys. Ther. 2020, 50, 131–141. [Google Scholar] [CrossRef]
- Romero-Morales, C.; Bravo-Aguilar, M.; Abuín-Porras, V.; Almazán-Polo, J.; Calvo-Lobo, C.; Martínez-Jiménez, E.M.; López-López, D.; Navarro-Flores, E. Current advances and novel research on minimal invasive techniques for musculoskeletal disorders. Dis. Mon. 2021, 67, 101210. [Google Scholar] [CrossRef] [PubMed]
- Sluka, K.A.; Bjordal, J.M.; Marchand, S.; Rakel, B.A. What makes transcutaneous electrical nerve stimulation work? Making sense of the mixed results in the clinical literature. Phys. Ther. 2013, 93, 1397–1402. [Google Scholar] [CrossRef] [PubMed]
- Plaza-Manzano, G.; Gómez-Chiguano, G.F.; Cleland, J.A.; Arías-Buría, J.L.; Fernández-de-las-Peñas, C.; Navarro-Santana, M.J. Effectiveness of percutaneous electrical nerve stimulation for musculoskeletal pain: A systematic review and meta-analysis. Eur. J. Pain 2020, 24, 1023–1044. [Google Scholar] [CrossRef] [PubMed]
- García-Collado, A.; Valera-Calero, J.A.; Fernández-de-las-peñas, C.; Arias-Buría, J.L. Effects of ultrasound-guided nerve stimulation targeting peripheral nerve tissue on pain and function: A scoping review. J. Clin. Med. 2022, 11, 3753. [Google Scholar] [CrossRef] [PubMed]
- Ilfeld, B.M.; Finneran, J.J., 4th; Gabriel, R.A.; Said, E.T.; Nguyen, P.L.; Abramson, W.B.; Khatibi, B.; Sztain, J.F.; Swisher, M.W.; Jaeger, P.; et al. Ultrasound-guided percutaneous peripheral nerve stimulation: Neuromodulation of the suprascapular nerve and brachial plexus for postoperative analgesia following ambulatory rotator cuff repair. A proof-of-concept study. Reg. Anesth. Pain Med. 2019, 44, 310–318. [Google Scholar] [CrossRef]
- Wilson, R.D.; Harris, M.A.; Gunzler, D.D.; Bennett, M.E.; Chae, J. Percutaneous peripheral nerve stimulation for chronic pain in subacromial impingement syndrome: A case series. Neuromodulation 2014, 17, 771–776. [Google Scholar] [CrossRef] [PubMed]
- Chester, R.; Jerosch-Herold, C.; Lewis, J.; Shepstone, L. Psychological factors are associated with the outcome of physiotherapy for people with shoulder pain: A multicentre longitudinal cohort study. Br. J. Sports Med. 2018, 52, 269–275. [Google Scholar] [CrossRef]
- Smedbråten, K.; Øiestad, B.E.; Røe, Y. Emotional distress was associated with persistent shoulder pain after physiotherapy: A prospective cohort study. BMC Musculoskelet. Disord. 2018, 19, 304. [Google Scholar] [CrossRef]
- Schulz, K.F.; Altman, D.G.; Moher, D. CONSORT 2010 statement: Updated guidelines for reporting parallel group randomised trials. BMJ 2010, 340, 698–702. [Google Scholar] [CrossRef]
- Hermans, J.; Luime, J.J.; Meuffels, D.E.; Reijman, M.; Simel, D.L.; Bierma-Zeinstra, S.M. Does this patient with shoulder pain have rotator cuff disease? The Rational Clinical Examination systematic review. JAMA 2013, 310, 837–847. [Google Scholar] [CrossRef]
- Gismervik, S.Ø.; Drogset, J.O.; Granviken, F.; Rø, M.; Leivseth, G. Physical examination tests of the shoulder: A systematic review and meta-analysis of diagnostic test performance. BMC Musculoskelet. Disord. 2017, 18, 41. [Google Scholar] [CrossRef] [PubMed]
- Álvarez, D.M.; Serrano-Muñoz, D.; Fernández-Pérez, J.J.; Moreno, J.S.; Gómez-Soriano, J.; Avendaño-Coy, J. The effect on handgrip strength of low-frequency percutaneous electric stimulation applied to the median and cubital nerves: A randomized, double-blind controlled trial. Anat. Rec. 2023, 306, 720–727. [Google Scholar] [CrossRef] [PubMed]
- Hervás, M.T.; Navarro Collado, M.J.; Peiró, S.; Rodrigo Pérez, J.L.; López Matéu, P.; Martínez Tello, I. Spanish version of the DASH questionnaire: Cross-cultural adaptation, reliability, validity and responsiveness. Med. Clin. 2006, 127, 441–447. [Google Scholar]
- Hudak, P.L.; Amadio, P.C.; Bombardier, C. Development of an upper extremity outcome measure: The DASH (disabilities of the arm, shoulder and hand): The Upper Extremity Collaborative Group (UECG). Am. J. Ind. Med. 1996, 29, 602–608. [Google Scholar] [CrossRef]
- Franchignoni, F.; Vercelli, S.; Giordano, A.; Sartorio, F.; Bravini, E.; Ferriero, G. Minimal clinically important difference of the disabilities of the arm, shoulder and hand outcome measure (DASH) and its shortened version (QuickDASH). J. Orthop. Sports Phys. Ther. 2014, 44, 30–39. [Google Scholar] [CrossRef]
- Jensen, M.P.; Turner, J.A.; Romano, J.M.; Fisher, L. Comparative reliability and validity of chronic pain intensity measures. Pain 1999, 83, 157–162. [Google Scholar] [CrossRef] [PubMed]
- Mintken, P.E.; Glynn, P.; Cleland, J.A. Psychometric properties of the shortened disabilities of the Arm, Shoulder, and Hand Questionnaire (QuickDASH) and Numeric Pain Rating Scale in patients with shoulder pain. J. Shoulder Elb. Surg. 2009, 18, 920–926. [Google Scholar] [CrossRef] [PubMed]
- Quintana, J.M.; Padierna, A.; Esteban, C.; Arostegui, I.; Bilbao, A.; Ruiz, I. Evaluation of the psychometric characteristics of the Spanish version of the Hospital Anxiety and Depression Scale. Acta Psychiatr. Scand. 2003, 107, 216–221. [Google Scholar] [CrossRef] [PubMed]
- Zigmond, A.S.; Snaith, R.P. The Hospital Anxiety and Depression Scale. Acta Psychiatr. Scand. 1983, 67, 361–370. [Google Scholar] [CrossRef]
- Bjelland, I.; Dahl, A.A.; Haug, T.T.; Neckelmann, D. The validity of the Hospital Anxiety and Depression Scale. An. Updat. Lit. Rev. J. Psychosom. Res. 2002, 52, 69–77. [Google Scholar] [CrossRef]
- Hita-Contreras, F.; Martínez-López, E.; Latorre-Román, P.A.; Garrido, F.; Santos, M.A.; Martínez-Amat, A. Reliability and validity of the Spanish version of the Pittsburgh Sleep Quality Index (PSQI) in patients with fibromyalgia. Rheumatol. Int. 2014, 34, 929–936. [Google Scholar] [CrossRef] [PubMed]
- Buysse, D.J.; Reynolds, C.F.; Monk, T.H.; Berman, S.R.; Kupfer, D.J. The Pittsburgh Sleep Quality Index: A new instrument for psychiatric practice and research. Psychiatry Res. 1989, 28, 193–213. [Google Scholar] [CrossRef] [PubMed]
- Richardson, J.T.E. Eta squared and partial eta squared as measures of effect size in educational research. Educ. Res. Rev. 2011, 6, 135–147. [Google Scholar] [CrossRef]
- Paraskevopoulos, E.; Plakoutsis, G.; Chronopoulos, E.; Maria, P. Effectiveness of combined program of manual therapy and exercise vs exercise only in patients with rotator cuff-related shoulder pain: A systematic review and meta-analysis. Sports Health 2023, 15, 727–735. [Google Scholar] [CrossRef] [PubMed]
- Lewis, J.; Sim, J.; Barlas, P. Acupuncture and electro-acupuncture for people diagnosed with subacromial pain syndrome: A multicentre randomized trial. Eur. J. Pain 2017, 21, 1007–1019. [Google Scholar] [CrossRef] [PubMed]
- Dunning, J.; Butts, R.; Fernández-de-Las-Peñas, C.; Walsh, S.; Goult, C.; Gillett, B.; Arias-Buría, J.L.; Garcia, J.; Young, I.A. Spinal manipulation and electrical dry needling in patients with subacromial pain syndrome: A multicenter randomized clinical trial. J. Orthop. Sports Phys. Ther. 2021, 51, 72–81. [Google Scholar] [CrossRef] [PubMed]
- Major, D.H.; Røe, Y.; Småstuen, M.C.; van der Windt, D.; Sandbakk, T.B.; Jæger, M.; Grotle, M. Fear of movement and emotional distress as prognostic factors for disability in patients with shoulder pain: A prospective cohort study. BMC Musculoskelet. Disord. 2022, 23, 183. [Google Scholar] [CrossRef] [PubMed]
- Kamonseki, D.H.; Christenson, P.; Rezvanifar, S.C.; Calixtre, L.B. Effects of manual therapy on fear avoidance, kinesiophobia and pain catastrophizing in individuals with chronic musculoskeletal pain: Systematic review and meta-analysis. Musculoskelet. Sci. Pract. 2021, 51, 102311. [Google Scholar] [CrossRef] [PubMed]
- Langevin, H.M.; Schnyer, R.; MacPherson, H.; Davis, R.; Harris, R.E.; Napadow, V.; Wayne, P.M.; Milley, R.J.; Lao, L.; Stener-Victorin, E.; et al. Manual and electrical needle stimulation in acupuncture research: Pitfalls and challenges of heterogeneity. J. Altern. Complement. Med. 2015, 21, 113–128. [Google Scholar] [CrossRef]
- Baumann, A.N.; Fiorentinom, A.; Oleson, C.J.; Leland, J.M., 3rd. The impact of dry needling with electrical stimulation on pain and disability in patients with musculoskeletal shoulder pain: A systematic review and meta-analysis of randomized controlled trials. Cureus 2023, 15, e41404. [Google Scholar]
- Johnson, M.I.; Paley, C.A.; Jones, G.; Mulvey, M.R.; Wittkopf, P.G. Efficacy and safety of transcutaneous electrical nerve stimulation (TENS) for acute and chronic pain in adults: A systematic review and meta-analysis of 381 studies (the meta-TENS study). BMJ Open 2022, 12, e051073. [Google Scholar] [CrossRef] [PubMed]
- DeJesus, B.M.; Rodrigues, I.K.L.; Azevedo-Santos, I.F.; DeSantana, J.M. Effect of Transcutaneous Electrical Nerve Stimulation on pain-related quantitative sensory tests in chronic musculoskeletal pain and acute experimental pain: Systematic review and meta-analysis. J. Pain 2023, 24, 1337–1382. [Google Scholar] [CrossRef] [PubMed]
- Beltrá, P.; Ruiz-Del-Portal, I.; Ortega, F.J.; Valdesuso, R.; Delicado-Miralles, M.; Velasco, E. Sensorimotor effects of plasticity-inducing percutaneous peripheral nerve stimulation protocols: A blinded, randomized clinical trial. Eur. J. Pain 2022, 26, 1039–1055. [Google Scholar] [CrossRef] [PubMed]
- Beltran-Alacreu, H.; Serrano-Muñoz, D.; Martín-Caro, Á.D.; Fernández-Pérez, J.J.; Gómez-Soriano, J.; Avendaño-Coy, J. Percutaneous versus transcutaneous electrical nerve stimulation for the treatment of musculoskeletal pain: A systematic review and meta-analysis. Pain Med. 2022, 23, 1387–1400. [Google Scholar] [CrossRef]
- Rodriguez Lagos, L.; Arribas-Romano, A.; Fernández-Carnero, J.; González-Zamorano, Y.; Laguarta Val, S. Effects of percutaneous and transcutaneous electrical nerve stimulation on endogenous pain mechanisms in patients with musculoskeletal pain: A systematic review and meta-analysis. Pain Med. 2023, 24, 397–414. [Google Scholar] [CrossRef]








| Exercise (n = 19) | PENS + Exercise (n = 20) | Placebo PENS + Exercise (n = 20) | |
|---|---|---|---|
| Gender (male/female) | 7 (37%)/12 (63%) | 8 (40%)/12 (60%) | 7 (35%)/13 (65%) |
| Age (years) | 45.5 ± 11 | 45 ± 11 | 46 ± 10 |
| Months with pain | 15.2 ± 9.6 | 16.2 ± 8.5 | 15.0 ± 7.0 |
| Side of the symptoms n (%) Right side Left side | 10 (58%) 7 (42%) | 13 (59%) 9 (41%) | 11 (55%) 9 (45%) |
| Mean pain intensity (NPRS, 0–10) | 5.6 ± 2.2 | 5.25 ± 1.5 | 5.8 ± 2.2 |
| DASH (0–100) | 73.5 ± 23.0 | 66.0 ± 20.5 | 73.0 ± 20.0 |
| HADS-A (0–21) | 6.8 ± 4.2 | 7.3 ± 3.5 | 9.0 ± 4.5 |
| HADS-D (0–21) | 3.0 ± 2.8 | 3.3 ± 2.4 | 4.8 ± 2.6 |
| PSQI (0–21) | 9.3 ± 3.8 | 8.5 ± 3.2 | 9.3 ± 3.3 |
| Outcome Group | Pre-Intervention | Post-Intervention | 1 Month | 3 Months |
|---|---|---|---|---|
| Mean intensity of shoulder pain (NPRS, 0–10) | ||||
| Exercise | 5.6 ± 2.2 (4.7, 6.5) | 4.7 ± 2.7 (3.7, 5.7) | 3.6 ± 2.2 (2.7, 4.5) | 2.5 ± 2.1 (1.7, 3.3) |
| PENS + Exercise | 5.25 ± 1.5 (4.4, 6.1) | 3.8 ± 1.8 (2.9, 4.7) | 2.3 ± 1.7 (1.5, 3.1) | 2.8 ± 1.1 (2.1, 3.5) |
| Placebo PENS + Exercise | 5.8 ± 2.2 (5.8, 6.6) | 4.4 ± 2.1 (3.4, 5.4) | 3.5 ± 1.9 (2.7, 4.3) | 2.7 ± 1.9 (1.9, 3.5) |
| Disabilities of the Arm, Shoulder and Hand (DASH, 0–100) | ||||
| Exercise | 73.5 ± 23.0 (63.1, 83.9) | 56.9 ± 17.1 (49.1, 64.7) | 51.4± 20.7 (43.4, 59.4) | 48.5 ± 16.0 (41.1, 55.9) |
| PENS + Exercise | 66.0 ± 20.5 (56.7, 75.3) | 55.9 ± 15.8 (49.2, 62.6) | 50.1 ± 12.9 (43.2, 57.0) | 48.7 ± 13.4 (42.3, 55.1) |
| Placebo PENS + Exercise | 73.0 ± 20.0 (63.5, 82.5) | 58.9 ± 14.5 (51.9, 65.9) | 51.9 ± 14.7 (44.7, 59.1) | 48.2 ± 15.5 (41.6, 54.8) |
| Outcome Group | Pre-Intervention | Post-Intervention | 1 Month | 3 Months |
|---|---|---|---|---|
| Hospital Anxiety and Depression Scale—Anxiety (HADS-A, 0–21) | ||||
| Exercise | 6.8 ± 4.2 (4.9, 8.7) | 6.3 ± 3.9 (4.4, 8.2) | 4.7 ± 3.7 (3.0, 6.4) | 4.1 ± 3.4 (2.4, 5.8) |
| PENS + Exercise | 7.3 ± 3.5 (5.7, 8.9) | 6.2 ± 3.4 (4.5, 7.9) | 5.7 ± 3.1 (4.3, 7.1) | 5.2 ± 2.9 (3.7, 6.7) |
| Placebo PENS + Exercise | 9.0 ± 4.5 (7.4, 10.6) | 7.9 ± 4.4 (6.1, 9.7) | 6.3 ± 3.7 (4.8, 7.8) | 6.3 ± 3.7 (4.8, 7.8) |
| Hospital Anxiety and Depression Scale—Depression (HADS-D, 0–21) | ||||
| Exercise | 3.0 ± 2.8 (1.9, 4.1) | 2.7 ± 2.7 (1.2, 4.2) | 2.3 ± 3.0 (0.9, 3.7) | 2.1 ± 2.7 (0.7, 3.5) |
| PENS + Exercise | 3.3 ± 2.4 (2.2, 4.4) | 3.0 ± 2.7 (1.7, 4.3) | 2.8 ± 2.7 (1.6, 4.0) | 2.8 ± 2.8 (1.6, 4.0) |
| Placebo PENS + Exercise | 4.8 ± 2.6 (3.6, 6.0) | 3.4 ± 2.5 (2.0, 4.8) | 3.6 ± 3.0 (2.3, 4.9) | 3.4 ± 3.0 (2.2, 4.6) |
| Pittsburgh Sleep Quality Index (PSQI, 0–21) | ||||
| Exercise | 9.3 ± 3.8 (7.5, 11.1) | 8.5 ± 4.0 (6.8, 10.2) | 8.1 ± 4.0 (6.4, 9.8) | 7.7 ± 3.7 (6.2, 9.2) |
| PENS + Exercise | 8.5 ± 3.2 (7.1, 9.9) | 8.2 ± 2.8 (6.8, 9.6) | 7.0 ± 2.5 (5.6, 8.4) | 7.1 ± 2.2 (5.9, 8.3) |
| Placebo PENS + Exercise | 9.3 ± 3.3 (7.8, 10.8) | 8.4 ± 3.0 (7.0, 9.8) | 7.4 ± 3.3 (5.9, 8.9) | 7.1 ± 2.8 (5.8, 8.4) |
Disclaimer/Publisher’s Note: The statements, opinions and data contained in all publications are solely those of the individual author(s) and contributor(s) and not of MDPI and/or the editor(s). MDPI and/or the editor(s) disclaim responsibility for any injury to people or property resulting from any ideas, methods, instructions or products referred to in the content. |
© 2024 by the authors. Licensee MDPI, Basel, Switzerland. This article is an open access article distributed under the terms and conditions of the Creative Commons Attribution (CC BY) license (https://creativecommons.org/licenses/by/4.0/).
Share and Cite
Valenzuela-Rios, C.; Arias-Buría, J.L.; Rodríguez-Jiménez, J.; Palacios-Ceña, M.; Fernández-de-las-Peñas, C. Effects of Adding Four Sessions of Ultrasound-Guided Percutaneous Electrical Nerve Stimulation to an Exercise Program in Patients with Shoulder Pain: A Randomized Controlled Trial. J. Clin. Med. 2024, 13, 3171. https://doi.org/10.3390/jcm13113171
Valenzuela-Rios C, Arias-Buría JL, Rodríguez-Jiménez J, Palacios-Ceña M, Fernández-de-las-Peñas C. Effects of Adding Four Sessions of Ultrasound-Guided Percutaneous Electrical Nerve Stimulation to an Exercise Program in Patients with Shoulder Pain: A Randomized Controlled Trial. Journal of Clinical Medicine. 2024; 13(11):3171. https://doi.org/10.3390/jcm13113171
Chicago/Turabian StyleValenzuela-Rios, Claudia, José L. Arias-Buría, Jorge Rodríguez-Jiménez, María Palacios-Ceña, and César Fernández-de-las-Peñas. 2024. "Effects of Adding Four Sessions of Ultrasound-Guided Percutaneous Electrical Nerve Stimulation to an Exercise Program in Patients with Shoulder Pain: A Randomized Controlled Trial" Journal of Clinical Medicine 13, no. 11: 3171. https://doi.org/10.3390/jcm13113171
APA StyleValenzuela-Rios, C., Arias-Buría, J. L., Rodríguez-Jiménez, J., Palacios-Ceña, M., & Fernández-de-las-Peñas, C. (2024). Effects of Adding Four Sessions of Ultrasound-Guided Percutaneous Electrical Nerve Stimulation to an Exercise Program in Patients with Shoulder Pain: A Randomized Controlled Trial. Journal of Clinical Medicine, 13(11), 3171. https://doi.org/10.3390/jcm13113171

