Evolution of Rheumatoid-Arthritis-Associated Interstitial Lung Disease in Patients Treated with JAK Inhibitors: A Retrospective Exploratory Study
Abstract
1. Introduction
2. Material and Methods
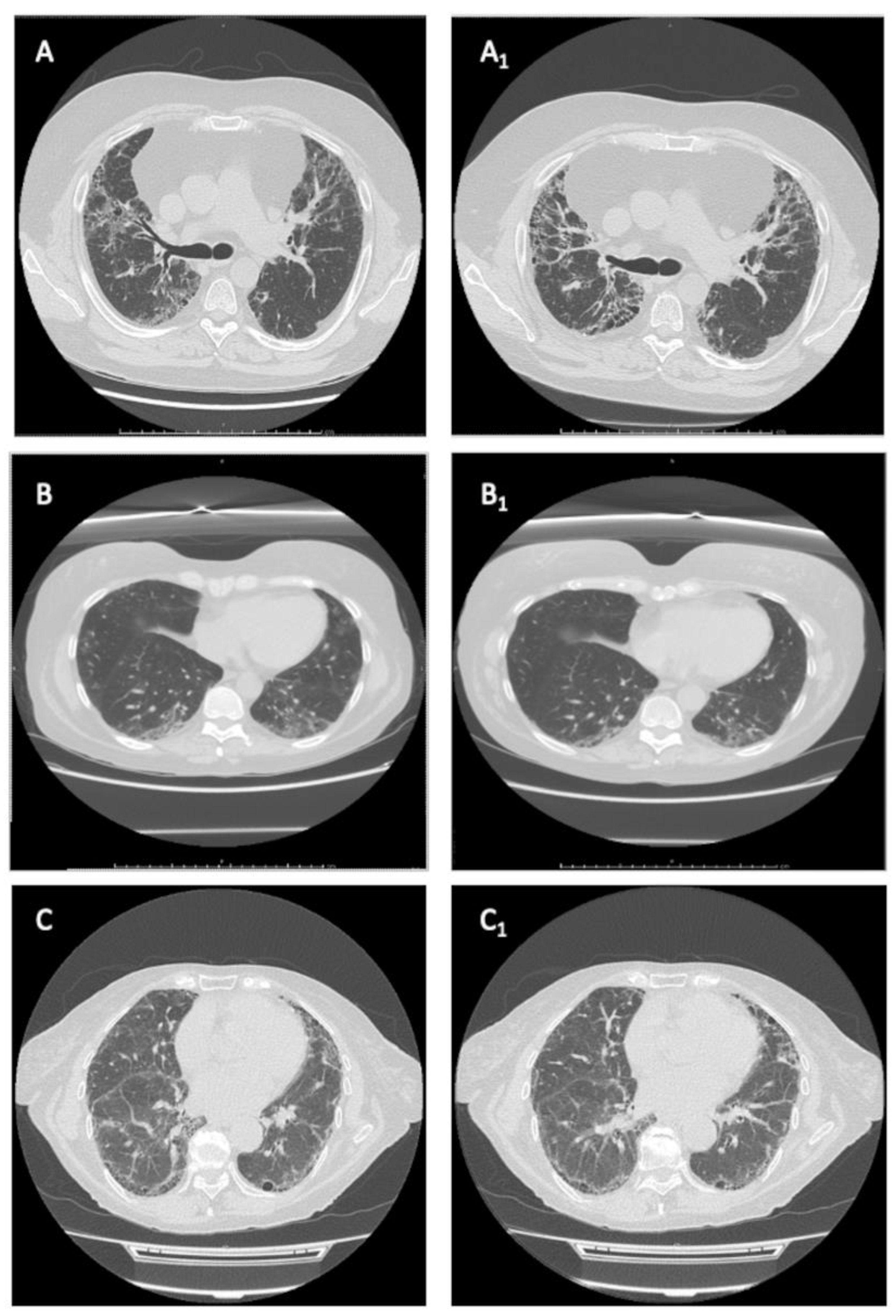
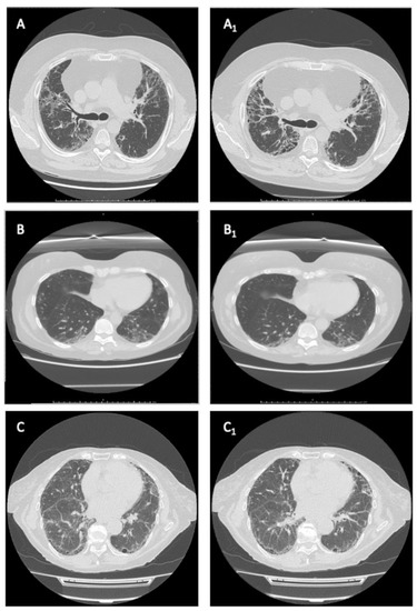
3. Results
4. Discussion
5. Conclusions
Author Contributions
Funding
Institutional Review Board Statement
Informed Consent Statement
Data Availability Statement
Conflicts of Interest
References
- Aletaha, D.; Neogi, T.; Silman, A.J.; Funovits, J.; Felson, D.T.; Bingham, C.O.; Birnbaum, N.S.; Burmester, G.R.; Bykerk, V.P.; Cohen, M.D.; et al. 2010 Rheumatoid arthritis classification criteria: An American College of Rheumatology/European League against rheumatism collaborative initiative. Arthritis Rheum. 2010, 62, 2569–2581. [Google Scholar] [CrossRef] [PubMed]
- Venerito, V.; Angelini, O.; Fornaro, M.; Cacciapaglia, F.; Lopalco, G.; Iannone, F. A machine learning approach for predicting sustained remission in rheumatoid arthritis patients on biologic agents. J. Clin. Rheumatol. 2022, 28, e334–e339. [Google Scholar] [CrossRef]
- Manfredi, A.; Cassone, G.; Luppi, F.; Atienza-Mateo, B.; Cavazza, A.; Sverzellati, N.; González-Gay, M.A.; Salvarani, C.; Sebastiani, M. Rheumatoid arthritis related interstitial lung disease. Expert Rev. Clin. Immunol. 2021, 17, 485–497. [Google Scholar] [CrossRef] [PubMed]
- Holroyd, C.R.; Seth, R.; Bukhari, M.; Malaviya, A.; Holmes, C.; Curtis, E.; Chan, C.; Yusuf, M.A.; Litwic, A.; Smolen, S.; et al. The British society for rheumatology biologic DMARD safety guidelines in inflammatory arthritis. Rheumatology 2019, 58, e3–e42. [Google Scholar] [CrossRef] [PubMed]
- Venerito, V.; Lopalco, G.; Cacciapaglia, F.; Fornaro, M.; Iannone, F. A bayesian mixed treatment comparison of efficacy of biologics and small molecules in early rheumatoid arthritis. Clin. Rheumatol. 2019, 38, 1309–1317. [Google Scholar] [CrossRef]
- Cassone, G.; Manfredi, A.; Atzeni, F.; Venerito, V.; Vacchi, C.; Picerno, V.; Furini, F.; Erre, G.L.; Tomietto, P.; Fedele, A.L.; et al. Safety of abatacept in Italian patients with rheumatoid arthritis and interstitial lung disease: A multicenter retrospective study. J. Clin. Med. 2020, 9, 277. [Google Scholar] [CrossRef]
- Manfredi, A.; Cassone, G.; Furini, F.; Gremese, E.; Venerito, V.; Atzeni, F.; Arrigoni, E.; Della Casa, G.; Cerri, S.; Govoni, M.; et al. Tocilizumab therapy in rheumatoid arthritis with interstitial lung disease: A multicentre retrospective study. Intern. Med. J. 2020, 50, 1085–1090. [Google Scholar] [CrossRef]
- Tardella, M.; Di Carlo, M.; Carotti, M.; Ceccarelli, L.; Giovagnoni, A.; Salaffi, F. A retrospective study of the efficacy of JAK inhibitors or abatacept on rheumatoid arthritis-interstitial lung disease. Inflame Pharmacol. 2022, 30, 705–712. [Google Scholar] [CrossRef]
- Sendo, S.; Saegusa, J.; Yamada, H.; Nishimura, K.; Morinobu, A. Tofacitinib facilitates the expansion of myeloid-derived suppressor cells and ameliorates interstitial lung disease in SKG mice. Arthritis Res. Ther. 2019, 21, 184. [Google Scholar] [CrossRef]
- Travis, W.D.; Costabel, U.; Hansell, D.M.; King, T.E.; Lynch, D.A.; Nicholson, A.G.; Ryerson, C.J.; Ryu, J.H.; Selman, M.; Wells, A.U.; et al. An official American Thoracic Society/European Respiratory Society statement: Update of the International multidisciplinary classification of the idiopathic interstitial pneumonias. Am. J. Respir. Crit. Care. Med. 2013, 188, 733–748. [Google Scholar] [CrossRef]
- Laria, A.; Lurati, A.M.; Zizzo, G.; Zaccara, E.; Mazzocchi, D.; Re, K.A.; Marrazza, M.; Faggioli, P.; Mazzone, A. Interstitial lung disease in rheumatoid arthritis: A practical review. Front. Med. 2022, 9, 837133. [Google Scholar] [CrossRef] [PubMed]
- Dixon, W.G.; Hyrich, K.L.; Watson, K.D.; Lunt, M.; BSRBR Control Centre Consortium; Symmons, D.P.M.; British Society for Rheumatology Biologics Register. Influence of anti-TNF therapy on mortality in patients with rheumatoid arthritis-associated interstitial lung disease: Results from the British society for rheumatology biologics register. Ann. Rheum. Dis. 2010, 69, 1086–1091. [Google Scholar] [CrossRef] [PubMed]
- Perez-Alvarez, R.; Perez-de-Lis, M.; Diaz-Lagares, C.; Pego-Reigosa, J.M.; Retamozo, S.; Bove, A.; Brito-Zeron, P.; Bosch, X.; Ramos-Casals, M. Interstitial lung disease induced or exacerbated by TNF-targeted therapies: Analysis of 122 cases. Semin. Arthritis Rheum. 2011, 41, 256–264. [Google Scholar] [CrossRef] [PubMed]
- Ledingham, J.; Deighton, C.; on behalf of the British Society for Rheumatology Standards, G. and AWG (SGAWG). Update on the British society for rheumatology guidelines for prescribing TNFα blockers in adults with rheumatoid arthritis (update of previous guidelines of April 2001). Rheumatology 2005, 44, 157–163. [Google Scholar] [CrossRef] [PubMed]
- Fui, A.; Bergantini, L.; Selvi, E.; Mazzei, M.A.; Bennett, D.; Pieroni, M.G.; Rottoli, P.; Bargagli, E. Rituximab therapy in interstitial lung disease associated with rheumatoid arthritis. Intern. Med. J. 2020, 50, 330–336. [Google Scholar] [CrossRef] [PubMed]
- Vadillo, C.; Nieto, M.A.; Romero-Bueno, F.; Leon, L.; Sanchez-Pernaute, O.; Rodriguez-Nieto, M.J.; Freites, D.; Jover, J.A.; Álvarez-Sala, J.L.; Abasolo, L. Efficacy of rituximab in slowing down progression of rheumatoid arthritis-related interstitial lung disease: Data from the NEREA registry. Rheumatology 2020, 59, 2099–2108. [Google Scholar] [CrossRef]
- Vacchi, C.; Manfredi, A.; Cassone, G.; Cerri, S.; Della Casa, G.; Andrisani, D.; Salvarani, C.; Sebastiani, M. Tofacitinib for the treatment of severe interstitial lung disease related to rheumatoid arthritis. Case Rep. Med. 2021, 2021, 6652845. [Google Scholar] [CrossRef]
- Citera, G.; Mysler, E.; Madariaga, H.; Cardiel, M.H.; Castañeda, O.; Fischer, A.; Richette, P.; Chartrand, S.; Park, J.K.; Strengholt, S.; et al. Incidence rates of interstitial lung disease events in tofacitinib-treated rheumatoid arthritis patients: Post hoc analysis from 21 clinical trials. J. Clin. Rheumatol. 2021, 27, e482–e490. [Google Scholar] [CrossRef]
- Juge, P.A.; Lee, J.S.; Lau, J.; Kawano-Dourado, L.; Rojas Serrano, J.; Sebastiani, M.; Koduri, G.; Matteson, E.; Bonfiglioli, K.; Sawamura, M.; et al. Methotrexate and rheumatoid arthritis associated interstitial lung disease. Eur. Respir. J. 2021, 57, 2000337. [Google Scholar] [CrossRef]
- Fraenkel, L.; Bathon, J.M.; England, B.R.; St Clair, E.W.; Arayssi, T.; Carandang, K.; Deane, K.D.; Genovese, M.; Huston, K.K.; Kerr, G.; et al. 2021 American College of Rheumatology guideline for the treatment of rheumatoid arthritis. Arthritis Care. Res. 2021, 73, 924–939. [Google Scholar] [CrossRef]
- Kalyoncu, U.; Bilgin, E.; Erden, A.; Satış, H.; Tufan, A.; Tekgöz, E.; Ateş, A.; Coşkun, B.N.; Yağız, B.; Küçükşahin, O.; et al. Efficacy and safety of tofacitinib in rheumatoid arthritis-associated interstitial lung disease: TReasure real-life data. Clin. Exp. Rheumatol. 2022, 40, 2071–2077. [Google Scholar] [CrossRef] [PubMed]
- Luppi, F.; Sebastiani, M.; Salvarani, C.; Bendstrup, E.; Manfredi, A. Acute exacerbation of interstitial lung disease associated with rheumatic disease. Nat. Rev. Rheumatol. 2022, 18, 85–96. [Google Scholar] [CrossRef]
- Manfredi, A.; Sebastiani, M.; Cerri, S.; Vacchi, C.; Tonelli, R.; Della Casa, G.; Cassone, G.; Spinella, A.; Fabrizio, P.; Luppi, F.; et al. Acute exacerbation of interstitial lung diseases secondary to systemic rheumatic diseases: A prospective study and review of the literature. J. Thorac. Dis. 2019, 11, 1621–1628. [Google Scholar] [CrossRef] [PubMed]
- Ytterberg, S.R.; Bhatt, D.L.; Mikuls, T.R.; Koch, G.G.; Fleischmann, R.; Rivas, J.L.; Germino, R.; Menon, S.; Sun, Y.; Wang, C.; et al. Cardiovascular and cancer risk with tofacitinib in rheumatoid arthritis. N. Engl. J. Med. 2022, 386, 316–326. [Google Scholar] [CrossRef] [PubMed]



| Av Obs. | Baseline | |
|---|---|---|
| Age, years, median (IQR) | 43 | 68.87 (61.46–75.78) |
| Male, n (%) | 43 | 23 (53.48) |
| Disease Duration, years, median (IQR) | 43 | 12.66 (7.61) |
| ILD duration, years, median (IQR) | 43 | 5.55 (5.13) |
| Follow-up, months, median (IQR) | 43 | 19.1 (14.92) |
| Rheumatoid factor positivity, n (%) | 43 | 38 (88.37) |
| ACPA positivity, n (%) | 43 | 35 (81.40) |
| HRCT pattern, n (%) | 43 | |
| UIP | 25 (58.14) | |
| NSIP | 5 (11.62) | |
| LIP | 2 (4.65) | |
| CPFE | 1 (2.33) | |
| Indeterminate | 10 (23.26) | |
| Baseline DLCO, mean (SD) | 27 | 65.81 (16.92) |
| Baseline FVC, mean (SD) | 30 | 88.76 (24.03) |
| Prescribed JAKi, n/%) | 43 | |
| Baricitinib | 28 (65.12) | |
| Filgotinib | 3 (6.98) | |
| Tofacitinib | 9 (20.93) | |
| Upadacitinib | 3 (6.98) | |
| Use of DMARD before JAKi, n (%) | 43 | |
| Methotrexate | 32 (74.41) | |
| Leflunomide | 3 (6.97) | |
| TNFalpha inhibitors | 19 (44.19) | |
| Rituximab | 12 (27.91) | |
| Abatacept | 16 (38.10) | |
| Tocilizumab | 13 (30.23) | |
| JAKi + Methotrexate, n (%) | 43 | 16 (37.21) |
| Glucorticoids n (%) | 43 | 26 (60.47) |
| Outcome n (Column%; Row%) | Baricitinib (n.28) | Tofacitinib (n.9) | Filgotinib (n.3) | Upadacitinib (n.3) | Total (n.43) |
|---|---|---|---|---|---|
| Improved | 2 (7.14; 100) | 0 | 0 | 0 | 2 (4.65; 100) |
| Stable | 23 (82.14; 62.16) | 8 (88.89; 21.62) | 3 (100; 8.11) | 3 (100; 8.11) | 37 (86.05; 100) |
| Worsened | 2 (10.71; 75) | 1 (11.11; 25) | 0 | 0 | 4 (9.30; 100) |
| Total | 28 (100; 68.12) | 9 (100; 20.93) | 3 (100; 6.98) | 3 (100; 6.98) | 43 (100; 100) |
| Available Observations | ||
|---|---|---|
| Treatment Discontinuations, n (%) | 43 | 21 (48.84) |
| Acute Exacerbations, n (%) | 21 | 2 (9.52) |
| Loss of Effectiveness on Joint Involvement, n (%) | 21 | 15 (71.42) |
| Death, n (%) | 21 | 1 (4.76) |
| Serious infection (urinary tract, n (%) | 21 | 1 (4.76) |
| Other, n (%) | 21 | 3 (12.28) |
Disclaimer/Publisher’s Note: The statements, opinions and data contained in all publications are solely those of the individual author(s) and contributor(s) and not of MDPI and/or the editor(s). MDPI and/or the editor(s) disclaim responsibility for any injury to people or property resulting from any ideas, methods, instructions or products referred to in the content. |
© 2023 by the authors. Licensee MDPI, Basel, Switzerland. This article is an open access article distributed under the terms and conditions of the Creative Commons Attribution (CC BY) license (https://creativecommons.org/licenses/by/4.0/).
Share and Cite
Venerito, V.; Manfredi, A.; Carletto, A.; Gentileschi, S.; Atzeni, F.; Guiducci, S.; Lavista, M.; La Corte, L.; Pedrollo, E.; Scardapane, A.; et al. Evolution of Rheumatoid-Arthritis-Associated Interstitial Lung Disease in Patients Treated with JAK Inhibitors: A Retrospective Exploratory Study. J. Clin. Med. 2023, 12, 957. https://doi.org/10.3390/jcm12030957
Venerito V, Manfredi A, Carletto A, Gentileschi S, Atzeni F, Guiducci S, Lavista M, La Corte L, Pedrollo E, Scardapane A, et al. Evolution of Rheumatoid-Arthritis-Associated Interstitial Lung Disease in Patients Treated with JAK Inhibitors: A Retrospective Exploratory Study. Journal of Clinical Medicine. 2023; 12(3):957. https://doi.org/10.3390/jcm12030957
Chicago/Turabian StyleVenerito, Vincenzo, Andreina Manfredi, Antonio Carletto, Stefano Gentileschi, Fabiola Atzeni, Serena Guiducci, Marlea Lavista, Laura La Corte, Elisa Pedrollo, Arnaldo Scardapane, and et al. 2023. "Evolution of Rheumatoid-Arthritis-Associated Interstitial Lung Disease in Patients Treated with JAK Inhibitors: A Retrospective Exploratory Study" Journal of Clinical Medicine 12, no. 3: 957. https://doi.org/10.3390/jcm12030957
APA StyleVenerito, V., Manfredi, A., Carletto, A., Gentileschi, S., Atzeni, F., Guiducci, S., Lavista, M., La Corte, L., Pedrollo, E., Scardapane, A., Tomassini, C., Frediani, B., Salvarani, C., Iannone, F., & Sebastiani, M. (2023). Evolution of Rheumatoid-Arthritis-Associated Interstitial Lung Disease in Patients Treated with JAK Inhibitors: A Retrospective Exploratory Study. Journal of Clinical Medicine, 12(3), 957. https://doi.org/10.3390/jcm12030957

