CD8 Encephalitis in HIV: A Review of This Emerging Entity
Abstract
1. Introduction
2. Methods
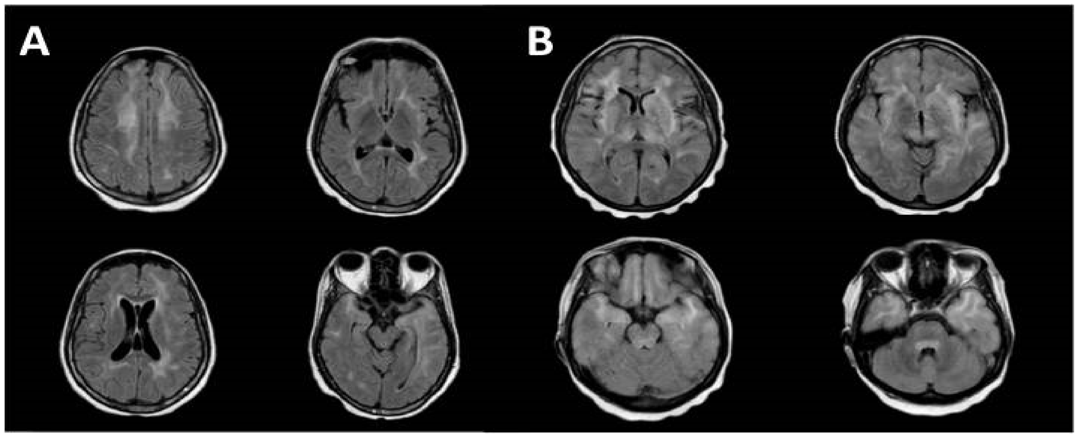
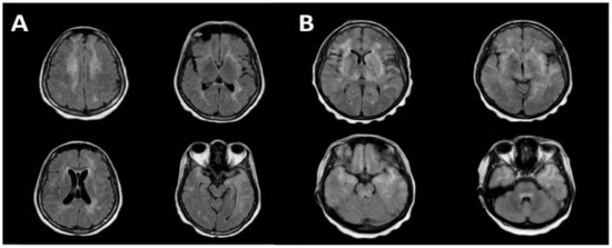
3. Results
4. Discussion
5. Conclusions
Author Contributions
Funding
Institutional Review Board Statement
Informed Consent Statement
Data Availability Statement
Acknowledgments
Conflicts of Interest
References
- Govender, R.D.; Hashim, M.J.; Khan, M.A.; Mustafa, H.; Khan, G. Global Epidemiology of HIV/AIDS: A Resurgence in North America and Europe. J. Epidemiol. Glob. Health 2021, 11, 296. [Google Scholar] [CrossRef]
- McMichael, A.J.; Rowland-Jones, S.L. Cellular immune responses to HIV. Nature 2001, 410, 980–987. [Google Scholar] [CrossRef] [PubMed]
- Ash, M.K.; Al-Harthi, L.; Schneider, J.R. HIV in the Brain: Identifying Viral Reservoirs and Addressing the Challenges of an HIV Cure. Vaccines 2021, 9, 867. [Google Scholar] [CrossRef] [PubMed]
- May, M.; Gompels, M.; Delpech, V.; Porter, K.; Post, F.; Johnson, M.; Dunn, D.; Palfreeman, A.; Gilson, R.; Gazzard, B.; et al. Impact of late diagnosis and treatment on life expectancy in people with HIV-1: UK Collaborative HIV Cohort (UK CHIC) Study. BMJ 2011, 343, d6016. [Google Scholar] [CrossRef] [PubMed]
- Holroyd, K.B.; Vishnevetsky, A.; Srinivasan, M.; Saylor, D. Neurologic Complications of Acute HIV Infection. Curr. Treat. Options Infect. Dis. 2020, 12, 227–242. [Google Scholar] [CrossRef] [PubMed]
- Brandsma, D.; Bromberg, J.E.C. Primary CNS lymphoma in HIV infection. In Handbook of Clinical Neurology; Elsevier: Amsterdam, The Netherlands, 2018; pp. 177–186. [Google Scholar]
- Baradkar, V.; Mathur, M.; De, A.; Kumar, S.; Rathi, M. Prevalence and clinical presentation of cryptococcal meningitis among HIV seropositive patients. Indian J. Sex. Transm. Dis. AIDS 2009, 30, 19. [Google Scholar]
- Kopstein, M.; Mohlman, D. HIV-1 Encephalopathy and Aids Dementia Complex; StatPearls Publishing: Treasure Island, FL, USA, 2022. [Google Scholar]
- Tunkel, A.R.; Glaser, C.A.; Bloch, K.C.; Sejvar, J.J.; Marra, C.M.; Roos, K.L.; Hartman, B.J.; Kaplan, S.L.; Scheld, W.M.; Whitley, R.J. The Management of Encephalitis: Clinical Practice Guidelines by the Infectious Diseases Society of America. Clin. Infect. Dis. 2008, 47, 303–327. [Google Scholar] [CrossRef]
- Langford, D.; Letendre, S. Editorial Commentary: Severe HIV-Associated CD8+ T-Cell Encephalitis: Is It the Tip of the Iceberg? Clin. Infect. Dis. 2013, 57, 109–111. [Google Scholar] [CrossRef]
- Miller, R.F.; Isaacson, P.G.; Hall-Craggs, M.; Lucas, S.; Gray, F.; Scaravilli, F.; An, S.F. Cerebral CD8+ lymphocytosis in HIV-1 infected patients with immune restoration induced by HAART. Acta Neuropathol. 2004, 108, 17–23. [Google Scholar] [CrossRef]
- Zarkali, A.; Gorgoraptis, N.; Miller, R.; John, L.; Merve, A.; Thust, S.; Jager, R.; Kullmann, D.; Swayne, O. CD8+ encephalitis: A severe but treatable HIV-related acute encephalopathy. Pract. Neurol. 2017, 17, 42–46. [Google Scholar] [CrossRef]
- Lucas, S.B.; Wong, K.T.; Nightingale, S.; Miller, R.F. HIV-Associated CD8 Encephalitis: A UK Case Series and Review of Histopathologically Confirmed Cases. Front. Neurol. 2021, 12, 628296. [Google Scholar] [CrossRef] [PubMed]
- Cheema, A.; Mathias, K.; Bui, C.; Dunham, S.R.; Goodman, J.C.; el Sahly, H.M. CD8 Encephalitis in a Treatment-Naive and a Virologically Suppressed Patient with HIV. Can. J. Neurol. Sci. 2019, 46, 773–775. [Google Scholar] [CrossRef] [PubMed]
- Morioka, H.; Yanagisawa, N.; Sasaki, S.; Sekiya, N.; Suganuma, A.; Imamura, A.; Ajisawa, A.; Kishida, S. CD8 Encephalitis Caused by Persistently Detectable Drug-resistant HIV. Intern. Med. 2016, 55, 1383–1386. [Google Scholar] [CrossRef] [PubMed]
- Moulignier, A.; Lescure, F.X.; Savatovsky, J.; Campa, P. CD8 transverse myelitis in a patient with HIV-1 infection. Case Rep. 2014, 2014, bcr–2013–201073. [Google Scholar] [CrossRef]
- Moulignier, A.; Savatovsky, J.; Polivka, M.; Boutboul, D.; Depaz, R.; Lescure, F.X. CD8 T lymphocytes encephalitis mimicking brain tumor in HIV-1 infection. J. Neurovirol. 2013, 19, 606–609. [Google Scholar] [CrossRef]
- Lescure, F.X.; Moulignier, A.; Savatovsky, J.; Amiel, C.; Carcelain, G.; Molina, J.M.; Gallien, S.; Pacanovski, J.; Pialoux, G.; Adle-Biassette, H.; et al. CD8 Encephalitis in HIV-Infected Patients Receiving cART: A Treatable Entity. Clin. Infect. Dis. 2013, 57, 101–108. [Google Scholar] [CrossRef]
- Kerr, C.; Adle-Biassette, H.; Moloney, P.B.; Hutchinson, S.; Cryan, J.B.; Clarke, S.; Mulcahy, F.; Devitt, E. CD8 encephalitis with CSF EBV viraemia and HIV drug resistance, a case series. Brain Behav. Immun. Health 2020, 9, 100164. [Google Scholar] [CrossRef]
- Ishiguro, M.; Ueno, Y.; Ishiguro, Y.; Takanashi, M.; Murai, K.; Taieb, G.; Daida, K.; Suda, A.; Yokoyama, K.; Naito, T.; et al. CD8+ T-cell encephalitis mimicking PRES in AIDS: A case report. BMC Neurol. 2020, 20, 179. [Google Scholar] [CrossRef]
- Salam, S.; Mihalova, T.; Ustianowski, A.; McKee, D.; Siripurapu, R. Relapsing CD8+ encephalitis—Looking for a solution. BMJ Case Rep. 2016, 2016, bcr2016214961. [Google Scholar] [CrossRef]
- Thom, M.; Warner, G.; Williamson, M.; Limb, S.; Sheaff, M.; Patodia, S.; Somani, A.; Kumar, A.; Gaulard, P.; Adle-Biassette, H. Progressive hemispheric atrophy in HIV: A Rasmussen’s-like variant of CD8 encephalitis? Neuropathol. Appl. Neurobiol. 2022, 48, e12794. [Google Scholar] [CrossRef]
- Mirgh, S.P.; Mishra, V.A.; Harbada, R.K.; Sorabjee, J.S. Knowing the unknown—CD8 encephalitis: A novel form of HIV-associated neurocognitive disorder. Neurol India 2019, 67, 261–264. [Google Scholar] [PubMed]
- Peluso, M.J.; Ferretti, F.; Peterson, J.; Lee, E.; Fuchs, D.; Boschini, A.; Gisslén, M.; Angoff, N.; Price, R.W.C.; Cinque, P.; et al. Cerebrospinal fluid HIV escape associated with progressive neurologic dysfunction in patients on antiretroviral therapy with well controlled plasma viral load. AIDS 2012, 26, 1765–1774. [Google Scholar] [CrossRef] [PubMed]
- Costello, D.J.; Gonzalez, R.G.; Frosch, M.P. Case 18-2011. N. Engl. J. Med. 2011, 364, 2343–2352. [Google Scholar] [CrossRef] [PubMed]
- Venkataramana, A.; Pardo, C.A.; McArthur, J.C.; Kerr, D.A.; Irani, D.N.; Griffin, J.W.; Burger, P.; Reich, D.S.; Calabresi, P.A.; Nath, A. Immune reconstitution inflammatory syndrome in the CNS of HIV-infected patients. Neurology 2006, 67, 383–388. [Google Scholar] [CrossRef] [PubMed]
- McCombe, J.A.; Auer, R.N.; Maingat, F.G.; Houston, S.; Gill, M.J.; Power, C. Neurologic immune reconstitution inflammatory syndrome in HIV/AIDS: Outcome and epidemiology. Neurology 2009, 72, 835–841. [Google Scholar] [CrossRef] [PubMed]
- Oelschlaeger, C.; Dziewas, R.; Reichelt, D.; Minnerup, J.; Niederstadt, T.; Ringelstein, E.B.; Husstedt, I.W. Severe leukoencephalopathy with fulminant cerebral edema reflecting immune reconstitution inflammatory syndrome during HIV infection: A case report. J. Med. Case Rep. 2010, 4, 214. [Google Scholar] [CrossRef]
- Manesh, A.; Barnabas, R.; Mani, S.; Karthik, R.; Abraham, O.C.; Chacko, G.; Kannangai, R.; Varghese, G.M. Symptomatic HIV CNS viral escape among patients on effective cART. Int. J. Infect. Dis. 2019, 84, 39–43. [Google Scholar] [CrossRef]
- Wood, A.C.; Parker, R.; Allinson, K.; Scoffings, D. CD8 encephalitis presenting as autoimmune encephalitis in HIV-1 infection. BMJ Case Rep. 2022, 15, e246290. [Google Scholar] [CrossRef]
- Ellul, M.; Solomon, T. Acute encephalitis—Diagnosis and management. Clin. Med. 2018, 18, 155–159. [Google Scholar] [CrossRef]
- Heaton, R.K.; Clifford, D.B.; Franklin, D.R.; Woods, S.P.; Ake, C.; Vaida, F.; Ellis, R.J.; Letendre, S.L.; Marcotte, T.D.; Atkinson, J.H.; et al. HIV-associated neurocognitive disorders persist in the era of potent antiretroviral therapy: CHARTER Study. Neurology 2010, 75, 2087–2096. [Google Scholar] [CrossRef]
- Simioni, S.; Cavassini, M.; Annoni, J.M.; Rimbault, A.A.; Bourquin, I.; Schiffer, V.; Calmy, A.; Chave, J.-P.; Giacobini, E.; Hirschel, B.; et al. Cognitive dysfunction in HIV patients despite long-standing suppression of viremia. AIDS 2010, 24, 1243–1250. [Google Scholar] [CrossRef] [PubMed]
- Roullet, E. Opportunistic infections of the central nervous system during HIV-1 infection (emphasis on cytomegalovirus disease). J Neurol. 1999, 246, 237–243. [Google Scholar] [CrossRef] [PubMed]
- Thapa, S.; Shrestha, U. Immune Reconstitution Inflammatory Syndrome; StatPearls Publishing: Treasure Island, FL, USA, 2022. [Google Scholar]
- Shah, A.; Gangwani, M.R.; Chaudhari, N.S.; Glazyrin, A.; Bhat, H.K.; Kumar, A. Neurotoxicity in the Post-HAART Era: Caution for the Antiretroviral Therapeutics. Neurotox. Res. 2016, 30, 677–697. [Google Scholar] [CrossRef] [PubMed]
- Eggers, C.; Arendt, G.; Hahn, K.; Husstedt, I.W.; Maschke, M.; Neuen-Jacob, E.; Obermann, M.; Rosenkranz, T.; Schielke, E.; Straube, E.; et al. HIV-1-associated neurocognitive disorder: Epidemiology, pathogenesis, diagnosis, and treatment. J. Neurol. 2017, 264, 1715–1727. [Google Scholar] [CrossRef]
- Saylor, D.; Dickens, A.M.; Sacktor, N.; Haughey, N.; Slusher, B.; Pletnikov, M.; Mankowski, J.L.; Brown, A.; Volsky, D.J.; McArthur, D.; et al. HIV-associated neurocognitive disorder—Pathogenesis and prospects for treatment. Nat. Rev. Neurol. 2016, 12, 234–248. [Google Scholar] [CrossRef]
- Ellis, R.J.; Badiee, J.; Vaida, F.; Letendre, S.; Heaton, R.K.; Clifford, D.; Collier, A.C.; Gelman, B.; McArthur, J.; Morgello, S.; et al. CD4 nadir is a predictor of HIV neurocognitive impairment in the era of combination antiretroviral therapy. AIDS 2011, 25, 1747–1751. [Google Scholar] [CrossRef]
- Mastrangelo, A.; Turrini, F.; de Zan, V.; Caccia, R.; Gerevini, S.; Cinque, P. Symptomatic cerebrospinal fluid escape. AIDS 2019, 33 (Suppl. S2), S159–S169. [Google Scholar] [CrossRef]
- Motta, I.; Allice, T.; Romito, A.; Ferrara, M.; Ecclesia, S.; Imperiale, D.; Ghisetti, V.; Di Perri, G.; Bonora, S.; Calcagno, A. Cerebrospinal Fluid Viral Load and Neopterin in HIV-Positive Patients with Undetectable Viraemia. Antivir. Ther. 2017, 22, 539–543. [Google Scholar] [CrossRef] [PubMed]
- Nordstrom, S.; Andersson, B.; Malmestrom, C. Cerebrospianl fluid CD4+/CD8+ ratio in diagnosing neurosarcoidosis. Acta Neurol. Scand. 2020, 142, 480–485. [Google Scholar] [CrossRef]
- Muller, K.M.I.; Taskinen, E.; Livanainen, M. Eleveated cerebsorpinal fluid CD4+/CD8+ T cell ratio in myasthenia gravis. J. Neuroimmunol. 1990, 30, 219–227. [Google Scholar] [CrossRef]
- Lee, G.H.; Kim, J.; Kim, H.W.; Cho, J.W. Clinical significance of Epstein-Barr virus in the cerebrospinal fluid of immunocompetent patients. Clin. Neurol. Neurosurg. 2021, 202, 106507. [Google Scholar]
- Hoover, K.; Higginbotham, K. Epstein Barr Virus; StatPearls Publishing: Treasure Island, FL, USA, 2022. [Google Scholar]
- Martelius, T.; Lappalainen, M.; Palomäki, M.; Anttila, V.J. Clinical characteristics of patients with Epstein Barr virus in cerebrospinal fluid. BMC Infect. Dis. 2011, 11, 281. [Google Scholar] [CrossRef] [PubMed]
- Hansen, M.A.; Samannodi, M.S.; Castelblanco, R.L.; Hasbun, R. Clinical Epidemiology, Risk Factors, and Outcomes of Encephalitis in Older Adults. Clin. Infect. Dis. 2020, 70, 2377–2385. [Google Scholar] [CrossRef]
- Lee, A.M.; Bai, H.X.; Zou, Y.; Qiu, D.; Zhou, J.; Martinez-Lage, A.M.; Alvarez, M.M.-L.; Zhang, P.; Tao, Y.; Tang, X.; et al. Safety and diagnostic value of brain biopsy in HIV patients: A case series and meta-analysis of 1209 patients. J. Neurol. Neurosurg. Psychiatry 2016, 87, 722–733. [Google Scholar] [CrossRef]
- Mathon, B.; Pineton de Chambrun, M.; Bielle, F.; Amelot, A.; le Joncour, A. Encephalitis of Unknown Etiology? Not Until the Results of a Brain Biopsy! Clin. Infect. Dis. 2021, 72, e432. [Google Scholar] [CrossRef] [PubMed]
- Jayaraman, K.; Rangasami, R.; Chandrasekharan, A. Magnetic Resonance Imaging Findings in Viral Encephalitis: A Pictorial Essay. J. Neurosci. Rural. Pract. 2018, 9, 556–560. [Google Scholar] [CrossRef]
- Su, T.; Wit, F.W.N.M.; Caan, M.W.A.; Schouten, J.; Prins, M.; Geurtsen, G.J.; Cole, J.; Sharp, D.J.; Richard, E.; Reneman, L.; et al. White matter hyperintensities in relation to cognition in HIV-infected men with sustained suppressed viral load on combination antiretroviral therapy. AIDS 2016, 30, 2329–2339. [Google Scholar] [CrossRef]
- Sakai, M.; Higashi, M.; Fujiwara, T.; Uehira, T.; Shirasaka, T.; Nakanishi, K.; Kashiwagi, N.; Tanaka, H.; Terada, H.; Tomiyama, N. MRI imaging features of HIV-related central nervous system diseases: Diagnosis by pattern recognition in daily practice. Jpn. J. Radiol. 2021, 39, 1023–1038. [Google Scholar] [CrossRef]
- Engsig, F.N.; Hansen, A.-B.E.; Omland, L.H.; Kronborg, G.; Gerstoft, J.; Laursen, A.L.; Pedersen, C.; Mogensen, C.B.; Nielsen, L.; Obel, N. Incidence, Clinical Presentation, and Outcome of Progressive Multifocal Leukoencephalopathy in HIV-Infected Patients during the Highly Active Antiretroviral Therapy Era: A Nationwide Cohort Study. J. Infect. Dis. 2009, 199, 77–83. [Google Scholar] [CrossRef]
- Cinque, P.; Koralnik, I.J.; Gerevini, S.; Miro, J.M.; Price, R.W. Progressive multifocal leukoencephalopathy in HIV-1 infection. Lancet Infect. Dis. 2009, 9, 625–636. [Google Scholar] [CrossRef]
- Tenembaum, S.; Chamoles, N.; Fejerman, N. Acute disseminated encephalomyelitis: A long-term follow-up study of 84 pediatric patients. Neurology 2002, 59, 1224–1231. [Google Scholar] [CrossRef] [PubMed]
- Raychaudhuri, M.; de Silva, T.; Connor, S.; Poulton, M. Haemorrhagic acute disseminated encephalomyelitis: An unusual case of blindness in an HIV-infected patient. Int. J. STD AIDS 2006, 17, 495–497. [Google Scholar] [CrossRef] [PubMed]
- Khong, P.L.; Ho, H.K.; Cheng, P.W.; Wong, V.C.; Goh, W.; Chan, F.L. Childhood acute disseminated encephalomyelitis: The role of brain and spinal cord MRI. Pediatr. Radiol. 2002, 32, 59–66. [Google Scholar] [CrossRef]
- Wiesner, D.L.; Moskalenko, O.; Corcoran, J.M.; McDonald, T.; Rolfes, M.A.; Meya, D.B.; Kajumbula, H.; Kambugu, A.; Bohjanen, P.R.; Knight, J.F.; et al. Cryptococcal Genotype Influences Immunologic Response and Human Clinical Outcome after Meningitis. mBio 2012, 3, e00196-12. [Google Scholar] [CrossRef] [PubMed]
- Oksenhendler, E.; Charreau, I.; Tournerie, C.; Azihary, M.; Carbon, C.; Aboulker, J.P. Toxoplasma gondii infection in advanced HIV infection. AIDS 1994, 8, 483–488. [Google Scholar] [CrossRef] [PubMed]




| Age (Yrs) | Gender | Serum Analysis | Imaging | CSF Analysis | Died | Brain Biopsy | On ART | EEG Findings | ||||
|---|---|---|---|---|---|---|---|---|---|---|---|---|
| CD4+ (c/µL) | CD8+ (c/µL) | pVL (c/mL) | Cells (c/µL) | Protein (g/L) | VL (c/mL) | |||||||
| 32 | F | 95 | NA | 291 | Typical | 12 | 0.4 | NA | Yes | No | Stopped | NA |
| 40 | M | 543 | NA | 21,359 | Typical | 17 | 1.35 | NA | Yes | No | No | NA |
| 28 | F | 876 | 2001 | <50 | Typical | 20 | NA | NA | Yes | No | Yes | NA |
| 46 | F | 170 | 960 | 86,800 | NA | NA | NA | NA | Yes | No | Stopped | NA |
| 40 | M | 315 | 306 | <50 | Typical | NA | NA | NA | Yes | No | Yes | NA |
| 36 | M | >400 | NA | 3568 | Typical | NA | NA | NA | Yes | No | Yes | NA |
| 43 | F | 240 | 1290 | <50 | Typical | 8 | 0.68 | NA | Yes | No | Yes | NA |
| 47 | F | 824 | 1755 | 238 | Typical | NA | >0.8 | NA | Yes | No | Yes | NA |
| 49 | F | 374 | 970 | 12,062 | Typical | NA | NA | NA | No | Yes | Yes | NA |
| 29 | F | 560 | 960 | <50 | Typical | NA | NA | NA | Yes | No | Yes | NA |
| 41 | F | 266 | NA | 439 | NA | NA | NA | NA | No | No | Yes | NA |
| 44 | M | 233 | 896 | <50 | Typical | 80 | 1.2 | <50 | Yes | No | Yes | NA |
| 37 | F | 353 | 880 | 8759 | Typical | NA | NA | NA | Yes | No | Stopped | NA |
| 19 | M | 64 | NA | 600 | Typical | NA | NA | NA | No | Yes | No | NA |
| 33 | F | 200 | 1340 | 8300 | NA | NA | NA | NA | Yes | No | Yes | NA |
| 51 | F | NA | NA | NA | Typical | NA | NA | NA | Yes | No | Yes | NA |
| 52 | F | 220 | 360 | <50 | Typical | NA | NA | 1100 | No | Yes | Yes | NA |
| 33 | F | 384 | 741 | 3300 | Typical | NA | NA | 7700 | Yes | No | Yes | NA |
| 35 | F | 487 | 703 | 125,893 | Typical | NA | NA | NA | No | Yes | Stopped | NA |
| 52 | F | NA | NA | NA | Typical | NA | NA | NA | Yes | No | Yes | NA |
| 45 | M | 320 | NA | 4000 | Typical | 23 | 1.15 | NA | Yes | No | Yes | NA |
| 45 | M | NA | NA | NA | NA | NA | NA | NA | Yes | No | Yes | NA |
| 69 | M | 460 | 820 | <50 | Typical | 26 | 0.56 | <50 | Yes | No | Yes | NA |
| 54 | F | 336 | NA | 16,700 | Typical | 45 | 0.93 | NA | No | Yes | No | NA |
| 58 | M | NA | NA | NA | Typical | 2 | 0.76 | NA | No | Yes | Yes | NA |
| 52 | M | 632 | NA | 660 | Semi- Typical | 18 | 1.29 | 1050 | No | No | Yes | NA |
| 27 | F | 103 | 782 | <20 | Typical | NA | NA | NA | No | Yes | Yes | NA |
| 46 | M | 121 | NA | 4500 | Typical | 100 | 1.47 | NA | Yes | Yes | Yes | NA |
| 41 | M | 120 | NA | 35,561 | Typical | 9 | 1.1 | NA | No | Yes | Stopped | NA |
| 36 | M | 93 | NA | 0 | Typical | 40 | 0.63 | 0 | No | Yes | Yes | NA |
| 47 | F | 275 | NA | 692 | Typical | 80 | 0.9 | 2236 | Yes | Yes | Yes | NA |
| 39 | F | NA | NA | NA | Typical | 26 | 0.9 | 1120 | Yes | Yes | Yes | NA |
| 33 | F | 283 | NA | 2660 | Typical | 20 | 1.13 | 10,300 | Yes | Yes | Yes | NA |
| 37 | F | 495 | NA | 65,800 | Typical | 220 | 0.79 | NA | No | Yes | Yes | NA |
| 54 | F | 402 | NA | NA | Typical | 220 | 0.8 | 672 | No | Yes | No | NA |
| 33 | M | 210 | NA | 2379 | Typical | 1 | 0.42 | 1230 | No | Yes | Yes | NA |
| 43 | M | 84 | NA | 2765 | Typical | 46 | 1.1 | 36,242 | No | Yes | Yes | NA |
| 35 | M | 214 | NA | 21,700 | Typical | 80 | 0.8 | 1200 | No | No | Yes | NA |
| 59 | F | NA | NA | NA | Typical | 30 | 0.52 | NA | Yes | No | Yes | NA |
| 49 | M | 114 | NA | 200 | Typical | 19 | 1.57 | 3200 | No | No | Yes | NA |
| 39 | M | 742 | NA | 201 | Typical | 26 | 1.1 | 3294 | No | No | Yes | NA |
| 52 | F | 409 | 1807 | 7500 | Semi- Typical | 200 | 0.62 | 72 | No | Yes | No | NA |
| 39 | F | 125 | NA | <40 | Semi- Typical | 42 | 1.21 | NA | No | Yes | Yes | Diffuse generalised slowing |
| 33 | F | 71 | NA | 609,000 | Semi- Typical | 39 | 1.14 | NA | No | Yes | No | None |
| 42 | F | 234 | NA | 0 | Semi- Typical | 33 | 2.19 | 1240 | No | No | Yes | Bilateral slowing |
| 37 | F | 140 | NA | 330,000 | Typical | NA | NA | NA | No | Yes | No | None |
| 34 | F | NA | NA | NA | Semi- Typical | NA | NA | NA | No | No | Yes | No |
| 52 | F | 220 | 360 | 0 | Typical | 5 | 0.44 | 1100 | No | Yes | Yes | Generalised slowing, right frontal sharp waves |
| 50 | F | 172 | NA | 308 | Semi- Typical | NA | NA | <60 | No | No | Yes | Nil seen |
| 55 | M | 525 | NA | 200 | Typical | 30 | 0.91 | 11,157 | No | No | Yes | No |
| 51 | M | 588 | NA | <50 | Semi- Typical | 6 | 0.89 | 378 | NA | No | Yes | No |
| 49 | M | 520 | NA | 184 | Semi- Typical | 14 | 0.74 | 4570 | NA | No | Yes | No |
| 35 | F | 397 | 546 | 228 | Semi- Typical | 33 | 1.02 | NA | No | No | Yes | Diffuse theta-range slowing |
| 56 | F | 474 | NA | <200 | Typical | 7 | 0.73 | 886 | No | No | Yes | Nil |
| 27 | M | 340 | NA | 67,976 | Semi- Typical | 29 | 1.33 | NA | No | No | Yes | No |
| 37 | F | 610 | NA | 120 | Typical | 36 | 1.12 | NA | Yes | No | Yes | No |
| 43 | NA | 444 | NA | 8215 | Semi- Typical | 55 | 1.79 | NA | Yes | Yes | Yes | No |
| Outcome | CSF Cells (c/µL) | CSF Protein (g/L) | CSF VL (c/mL) |
|---|---|---|---|
| Died (n = 25) | 26 | 1.12 | 4968 |
| Survived (n = 30) | 33 | 0.93 | 1100 |
| Characteristics | Data |
|---|---|
| Sex—n Male Female | 22 34 |
| Age—years Median (interquartile range) Range | 42 (35–50) 19–69 |
| On ART at presentation—n (%) | 45 (79) |
| Serum investigations (n) Median peripheral viral load—copies/mL Median presenting CD4+ cell count—cells/µL Median serum CD8+ cell count—cells/µL | 600 (49) 315 (50) 888 (18) |
| Typical radiological imaging findings, where available—n (%) Brain biopsy—n (%) | 41 (77) 23 (40) |
| Case fatality rate—n (%) | 25 (45) |
| Receipt of Corticosteroid—n (%) | 35 (64) |
| Median survival time—months (n) Median follow up—months (n) | 5.5 (10) 10 (21) |
Disclaimer/Publisher’s Note: The statements, opinions and data contained in all publications are solely those of the individual author(s) and contributor(s) and not of MDPI and/or the editor(s). MDPI and/or the editor(s) disclaim responsibility for any injury to people or property resulting from any ideas, methods, instructions or products referred to in the content. |
© 2023 by the authors. Licensee MDPI, Basel, Switzerland. This article is an open access article distributed under the terms and conditions of the Creative Commons Attribution (CC BY) license (https://creativecommons.org/licenses/by/4.0/).
Share and Cite
Shenoy, A.; Marwaha, P.K.; Worku, D.A. CD8 Encephalitis in HIV: A Review of This Emerging Entity. J. Clin. Med. 2023, 12, 770. https://doi.org/10.3390/jcm12030770
Shenoy A, Marwaha PK, Worku DA. CD8 Encephalitis in HIV: A Review of This Emerging Entity. Journal of Clinical Medicine. 2023; 12(3):770. https://doi.org/10.3390/jcm12030770
Chicago/Turabian StyleShenoy, Aniruddh, Pavan Kaur Marwaha, and Dominic Adam Worku. 2023. "CD8 Encephalitis in HIV: A Review of This Emerging Entity" Journal of Clinical Medicine 12, no. 3: 770. https://doi.org/10.3390/jcm12030770
APA StyleShenoy, A., Marwaha, P. K., & Worku, D. A. (2023). CD8 Encephalitis in HIV: A Review of This Emerging Entity. Journal of Clinical Medicine, 12(3), 770. https://doi.org/10.3390/jcm12030770

