A Low Body Mass Index Is Associated with Unsuccessful Treatment in Patients with Mycobacterium avium Complex Pulmonary Disease
Abstract
1. Introduction
2. Materials and Methods
2.1. Study Design and Patients
2.2. Definition of Low BMI
2.3. Sputum Examination
2.4. Radiological Evaluation
2.5. Definition of Laboratory Data
2.6. Definition of Treatment Outcomes
2.7. Ethical Approval
2.8. Statistical Analysis
3. Results
3.1. Patient Selection
3.2. Patient Characteristics
3.3. Characteristics of the MAC-PD Patients Who Received Treatment
3.4. Treatment Outcomes
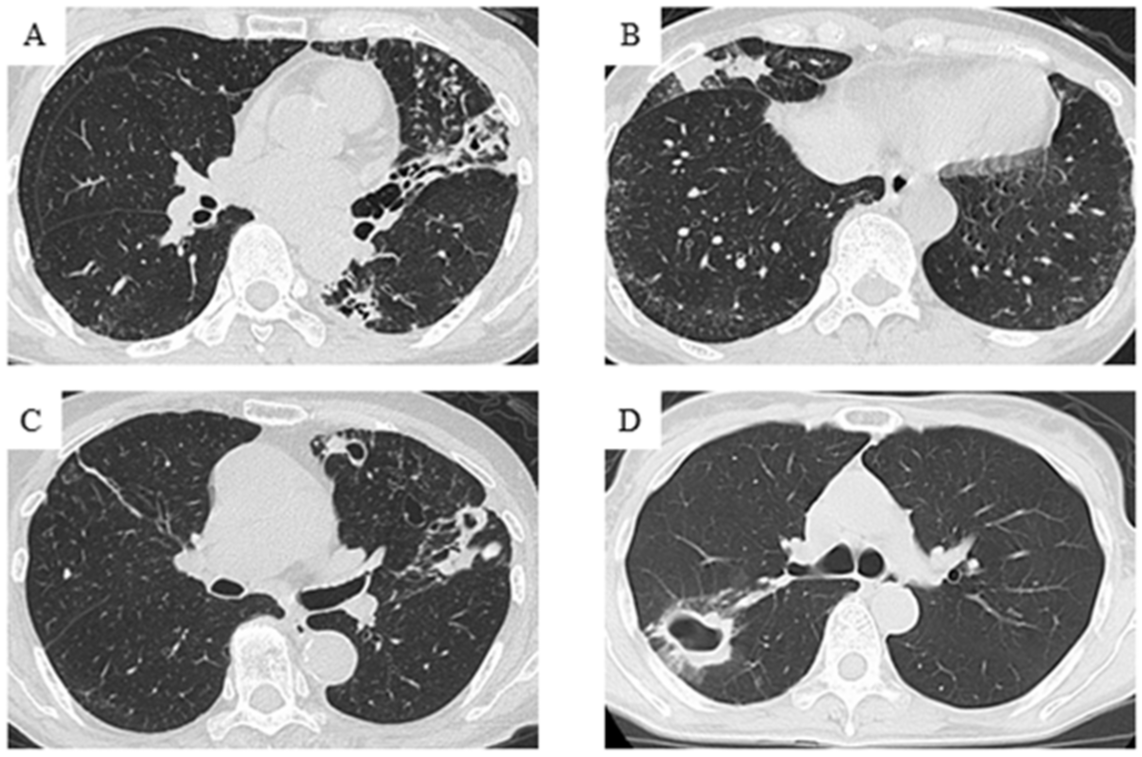
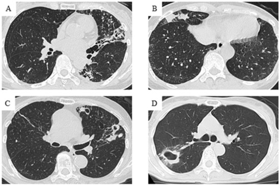
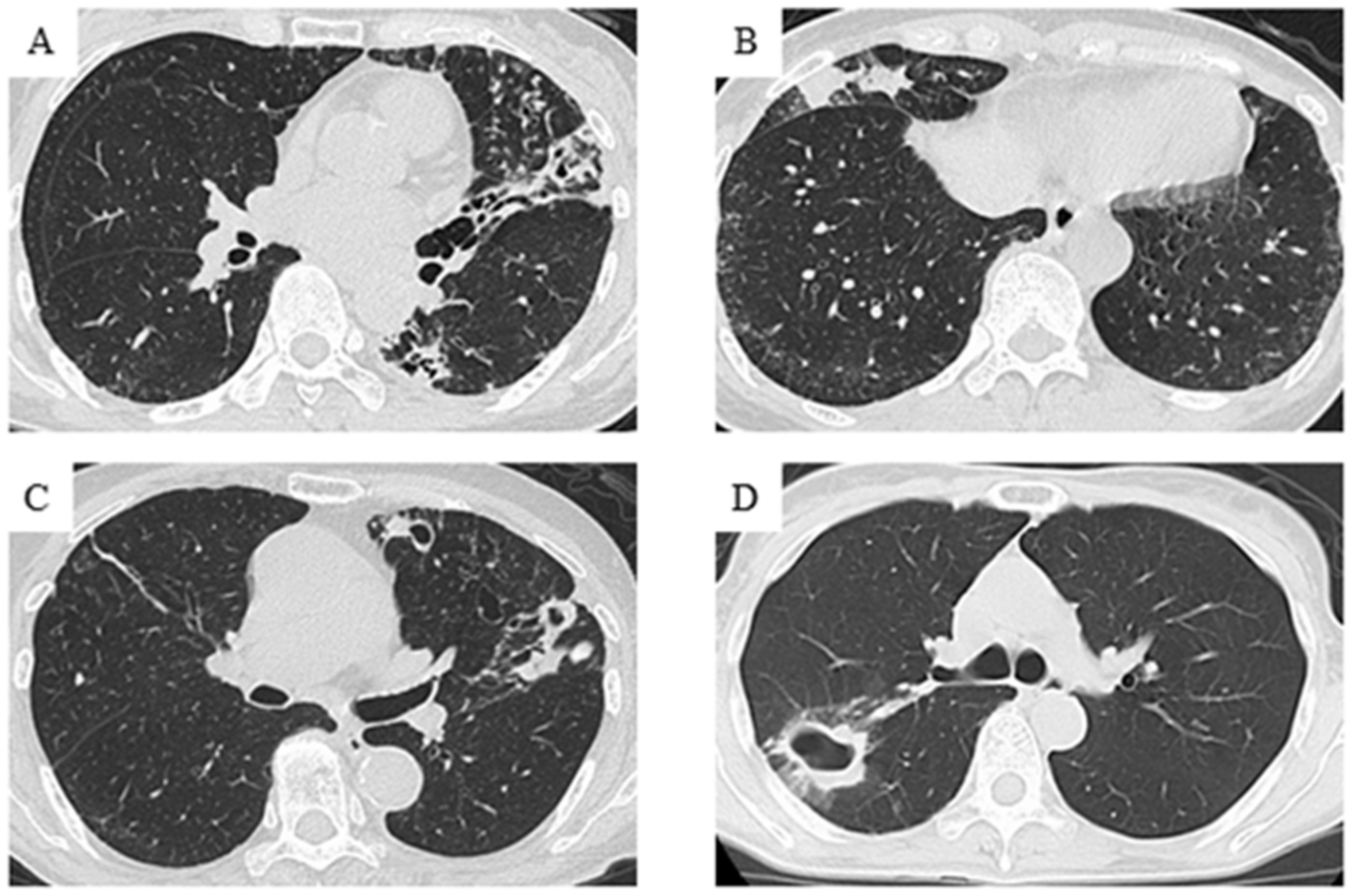
3.5. Figures and Tables
4. Discussion
5. Conclusions
Author Contributions
Funding
Institutional Review Board Statement
Informed Consent Statement
Data Availability Statement
Conflicts of Interest
References
- Prevots, D.R.; Marras, T.K. Epidemiology of human pulmonary infection with nontuberculous mycobacteria: A review. Clin. Chest Med. 2015, 36, 13–34. [Google Scholar] [CrossRef]
- Namkoong, H.; Kurashima, A.; Morimoto, K.; Hoshino, Y.; Hasegawa, N.; Ato, M.; Mitarai, S. Epidemiology of Pulmonary Nontuberculous Mycobacterial Disease, Japan. Emerg. Infect. Dis. 2016, 22, 1116–1117. [Google Scholar] [CrossRef] [PubMed]
- Hoefsloot, W.; van Ingen, J.; Andrejak, C.; Angeby, K.; Bauriaud, R.; Bemer, P.; Beylis, N.; Boeree, M.J.; Cacho, J.; Chihota, V.; et al. The geographic diversity of nontuberculous mycobacteria isolated from pulmonary samples: An NTM-NET collaborative study. Eur. Respir. J. 2013, 42, 1604–1613. [Google Scholar] [CrossRef]
- Hayashi, M.; Takayanagi, N.; Kanauchi, T.; Miyahara, Y.; Yanagisawa, T.; Sugita, Y. Prognostic factors of 634 HIV-negative patients with Mycobacterium avium complex lung disease. Am. J. Respir. Crit. Care Med. 2012, 185, 575–583. [Google Scholar] [CrossRef]
- Gochi, M.; Takayanagi, N.; Kanauchi, T.; Ishiguro, T.; Yanagisawa, T.; Sugita, Y. Retrospective study of the predictors of mortality and radiographic deterioration in 782 patients with nodular/bronchiectatic Mycobacterium avium complex lung disease. BMJ Open 2015, 5, e008058. [Google Scholar] [CrossRef] [PubMed]
- Hwang, J.A.; Kim, S.; Jo, K.W.; Shim, T.S. Natural history of Mycobacterium avium complex lung disease in untreated patients with stable course. Eur. Respir. J. 2017, 49, 1600537. [Google Scholar] [CrossRef]
- Jhun, B.W.; Moon, S.M.; Jeon, K.; Kwon, O.J.; Yoo, H.; Carriere, K.C.; Huh, H.J.; Lee, N.Y.; Shin, S.J.; Daley, C.L.; et al. Prognostic factors associated with long-term mortality in 1445 patients with nontuberculous mycobacterial pulmonary disease: A 15-year follow-up study. Eur. Respir. J. 2020, 55, 1900798. [Google Scholar] [CrossRef] [PubMed]
- Fukushima, K.; Kitada, S.; Komukai, S.; Kuge, T.; Matsuki, T.; Kagawa, H.; Tsujino, K.; Miki, M.; Miki, K.; Kida, H. First line treatment selection modifies disease course and long-term clinical outcomes in Mycobacterium avium complex pulmonary disease. Sci. Rep. 2021, 11, 1178. [Google Scholar] [CrossRef] [PubMed]
- Oshitani, Y.; Kitada, S.; Edahiro, R.; Tsujino, K.; Kagawa, H.; Yoshimura, K.; Miki, K.; Miki, M.; Kida, H. Characteristic chest CT findings for progressive cavities in Mycobacterium avium complex pulmonary disease: A retrospective cohort study. Respir. Res. 2020, 21, 10. [Google Scholar] [CrossRef]
- Obesity: Preventing and Managing the Global Epidemic. Report of a WHO Consultation; World Health Organization Technical Report Series I-xii; WHO: Geneva, Switzerland, 2000; Volume 894, pp. 1–253.
- Griffith, D.E.; Aksamit, T.; Brown-Elliott, B.A.; Catanzaro, A.; Daley, C.; Gordin, F.; Holland, S.M.; Horsburgh, R.; Huitt, G.; Iademarco, M.F.; et al. An official ATS/IDSA statement: Diagnosis, treatment, and prevention of nontuberculous mycobacterial diseases. Am. J. Respir. Crit. Care Med. 2007, 175, 367–416. [Google Scholar] [CrossRef]
- Daley, C.L.; Iaccarino, J.M.; Lange, C.; Cambau, E.; Wallace, R.J., Jr.; Andrejak, C.; Bottger, E.C.; Brozek, J.; Griffith, D.E.; Guglielmetti, L.; et al. Treatment of nontuberculous mycobacterial pulmonary disease: An official ATS/ERS/ESCMID/IDSA clinical practice guideline. Eur. Respir. J. 2020, 56, 2000535. [Google Scholar] [CrossRef]
- Zahorec, R. Ratio of neutrophil to lymphocyte counts—Rapid and simple parameter of systemic inflammation and stress in critically ill. Bratisl. Lek. Listy 2001, 102, 5–14. [Google Scholar]
- Shimada, H.; Takiguchi, N.; Kainuma, O.; Soda, H.; Ikeda, A.; Cho, A.; Miyazaki, A.; Gunji, H.; Yamamoto, H.; Nagata, M. High preoperative neutrophil-lymphocyte ratio predicts poor survival in patients with gastric cancer. Gastric Cancer 2010, 13, 170–176. [Google Scholar] [CrossRef]
- Chiang, S.F.; Hung, H.Y.; Tang, R.; Changchien, C.R.; Chen, J.S.; You, Y.T.; Chiang, J.M.; Lin, J.R. Can neutrophil-to-lymphocyte ratio predict the survival of colorectal cancer patients who have received curative surgery electively? Int. J. Colorectal Dis. 2012, 27, 1347–1357. [Google Scholar] [CrossRef]
- Onodera, T.; Goseki, N.; Kosaki, G. Prognostic nutritional index in gastrointestinal surgery of malnourished cancer patients. Nihon Geka Gakkai Zasshi 1984, 85, 1001–1005. [Google Scholar]
- Kanda, M.; Fujii, T.; Kodera, Y.; Nagai, S.; Takeda, S.; Nakao, A. Nutritional predictors of postoperative outcome in pancreatic cancer. Br. J. Surg. 2011, 98, 268–274. [Google Scholar] [CrossRef] [PubMed]
- Nozoe, T.; Kohno, M.; Iguchi, T.; Mori, E.; Maeda, T.; Matsukuma, A.; Ezaki, T. The prognostic nutritional index can be a prognostic indicator in colorectal carcinoma. Surg. Today 2012, 42, 532–535. [Google Scholar] [CrossRef]
- Pinato, D.J.; North, B.V.; Sharma, R. A novel, externally validated inflammation-based prognostic algorithm in hepatocellular carcinoma: The prognostic nutritional index (PNI). Br. J. Cancer 2012, 106, 1439–1445. [Google Scholar] [CrossRef] [PubMed]
- Yang, Y.; Gao, P.; Chen, X.; Song, Y.; Shi, J.; Zhao, J.; Sun, J.; Xu, Y.; Wang, Z. Prognostic significance of preoperative prognostic nutritional index in colorectal cancer: Results from a retrospective cohort study and a meta-analysis. Oncotarget 2016, 7, 58543–58552. [Google Scholar] [CrossRef] [PubMed]
- Van Ingen, J.; Aksamit, T.; Andrejak, C.; Bottger, E.C.; Cambau, E.; Daley, C.L.; Griffith, D.E.; Guglielmetti, L.; Holland, S.M.; Huitt, G.A.; et al. Treatment outcome definitions in nontuberculous mycobacterial pulmonary disease: An NTM-NET consensus statement. Eur. Respir. J. 2018, 51, 1800170. [Google Scholar] [CrossRef] [PubMed]
- Koh, W.J.; Moon, S.M.; Kim, S.Y.; Woo, M.A.; Kim, S.; Jhun, B.W.; Park, H.Y.; Jeon, K.; Huh, H.J.; Ki, C.S.; et al. Outcomes of Mycobacterium avium complex lung disease based on clinical phenotype. Eur. Respir. J. 2017, 50, 1602503. [Google Scholar] [CrossRef]
- Gonzalez Madrono, A.; Mancha, A.; Rodriguez, F.J.; de Ulibarri, J.I.; Culebras, J. The use of biochemical and immunological parameters in nutritional screening and assessment. Nutr. Hosp. 2011, 26, 594–601. [Google Scholar] [CrossRef]
- Kanda, M.; Mizuno, A.; Tanaka, C.; Kobayashi, D.; Fujiwara, M.; Iwata, N.; Hayashi, M.; Yamada, S.; Nakayama, G.; Fujii, T.; et al. Nutritional predictors for postoperative short-term and long-term outcomes of patients with gastric cancer. Medicine 2016, 95, e3781. [Google Scholar] [CrossRef]
- Moon, S.W.; Lee, E.H.; Choi, J.S.; Leem, A.Y.; Lee, S.H.; Lee, S.H.; Kim, S.Y.; Chung, K.S.; Jung, J.Y.; Park, M.S.; et al. Impact of prognostic nutritional index on outcomes in patients with Mycobacterium avium complex pulmonary disease. PLoS ONE 2020, 15, e0232714. [Google Scholar] [CrossRef] [PubMed]
- Nakao, M.; Muramatsu, H.; Arakawa, S.; Sakai, Y.; Suzuki, Y.; Fujita, K.; Sato, H. Immunonutritional status and pulmonary cavitation in patients with tuberculosis: A revisit with an assessment of neutrophil/lymphocyte ratio. Respir. Investig. 2019, 57, 60–66. [Google Scholar] [CrossRef] [PubMed]
- Fukushima, K.; Kitada, S.; Abe, Y.; Yamamoto, Y.; Matsuki, T.; Kagawa, H.; Oshitani, Y.; Tsujino, K.; Yoshimura, K.; Miki, M.; et al. Long-Term Treatment Outcome of Progressive Mycobacterium Avium Complex Pulmonary Disease. J. Clin. Med. 2020, 9, 1315. [Google Scholar] [CrossRef] [PubMed]


| Total | BMI < 18.5 | BMI ≥ 18.5 | p-Value | |
|---|---|---|---|---|
| Subjects, n (%) | 144 | 62 (43.1) | 82 (56.9) | |
| Age (years) | 70.9 ± 10.0 | 70.8 ± 10.1 | 70.8 ± 10.0 | 0.64 |
| Sex (male/female) | 36/108 | 13/49 | 23/59 | 0.33 |
| BMI (kg/m2) | 19.4 ± 3.0 | 16.8 ± 1.3 | 21.4 ± 2.4 | |
| Non-smokers | 94 (75.8) | 38 (76.0) | 56 (75.7) | 0.97 |
| Sputum smear-positive | 83 (57.6) | 42 (67.7) | 41 (50.0) | <0.05 |
| Etiological organism | ||||
| M. avium | 64 (44.4) | 19 (30.6) | 45 (54.9) | <0.05 |
| M. intracellulare | 84 (58.3) | 45 (72.6) | 39 (47.6) | <0.05 |
| Underlying disease | ||||
| History of tuberculosis | 11 (7.6) | 6 (9.7) | 5 (6.1) | 0.42 |
| COPD | 5 (3.5) | 2 (3.2) | 3 (3.7) | 0.89 |
| Diabetes mellitus | 19 (13.2) | 4 (6.5) | 15 (18.3) | <0.05 |
| Connective tissue diseases | 29 (20.1) | 16 (25.8) | 13 (15.9) | 0.14 |
| Malignancy | 27 (18.8) | 12 (19.4) | 15 (18.3) | 0.87 |
| Chemotherapy for malignancy | 3 (2.1) | 2 (3.2) | 1 (1.2) | 0.40 |
| Corticosteroid use | 20 (13.9) | 7 (11.3) | 13 (15.9) | 0.43 |
| Immunosuppressive drug use * | 2 (1.4) | 1 (1.6) | 1 (1.2) | 0.84 |
| Symptoms | ||||
| Fever (>37.5 °C) | 11 (7.6) | 6 (9.7) | 5 (6.1) | 0.42 |
| Cough | 90 (62.5) | 42 (67.7) | 48 (58.5) | 0.26 |
| Sputum | 77 (53.5) | 39 (62.9) | 38 (46.3) | <0.05 |
| Hemosputum | 24 (16.7) | 12 (19.4) | 12 (14.6) | 0.45 |
| Laboratory data | ||||
| WBC (/µL) | 6297 ± 1864 | 6334 ± 1863 | 6268 ± 1875 | 0.99 |
| Neutrophil (/µL) | 4244 ± 1782 | 4381 ± 1855 | 4141 ± 1731 | 0.42 |
| Lymphocyte (/µL) | 1494 ± 565 | 1381 ± 607 | 1580 ± 518 | <0.05 |
| NLR | 3.4 ± 2.5 | 3.9 ± 2.6 | 3.1 ± 2.3 | <0.05 |
| Albumin (g/dL) | 3.6 ± 0.5 | 3.6 ± 0.5 | 3.8 ± 0.5 | 0.10 |
| PNI score | 44.5 ± 7.0 | 43.2 ± 7.2 | 45.5 ± 6.7 | <0.05 |
| PNI < 45 | 65 (45.1) | 37 (59.7) | 28 (34.1) | <0.05 |
| CRP (mg/dL) | 0.8 ± 1.5 | 1.0 ± 1.7 | 0.6 ± 1.4 | 0.11 |
| Chest CT findings | ||||
| Non-cavitary NB | 102 (70.8) | 40 (64.5) | 62 (75.6) | 0.15 |
| Cavitary NB | 33 (22.9) | 18 (29.0) | 15 (18.3) | 0.13 |
| FC | 6 (4.2) | 4 (6.5) | 2 (2.4) | 0.23 |
| Unclassified | 3 (2.1) | 0 (0.0) | 3 (3.7) | 0.13 |
| Cavitary NB+FC | 39 (27.1) | 22 (35.5) | 17 (20.7) | <0.05 |
| With treatment | 66 (45.8) | 33 (53.2) | 33 (40.2) | 0.12 |
| Multivariate Analysis | |||
|---|---|---|---|
| OR or β | 95%CI | p-Value | |
| Sputum smear-positive | 1.94 | 0.97–3.90 | 0.06 |
| Etiological organism | |||
| M. avium | 0.37 | 0.17–0.76 | <0.05 |
| M. intracellulare | 2.82 | 1.34–6.13 | <0.05 |
| Underlying disease | |||
| Diabetes mellitus | 0.34 | 0.09–1.05 | 0.06 |
| Symptoms | |||
| Sputum | 1.82 | 0.92–3.64 | 0.09 |
| Laboratory data | |||
| Lymphocyte (/µL) | 0.13 | 0.02–0.88 | <0.05 |
| NLR | 9.35 | 1.16–98.94 | <0.05 |
| PNI score | 0.16 | 0.03–0.89 | <0.05 |
| PNI < 45 | 3.14 | 1.50–6.80 | <0.05 |
| Chest CT findings | |||
| Cavitary NB+FC | 2.15 | 1.02–4.63 | <0.05 |
| Total | BMI < 18.5 | BMI ≥ 18.5 | p-Value | |
|---|---|---|---|---|
| Subjects, n (%) | 66 | 33 (50.0) | 33 (50.0) | |
| Age (years) | 69.4 ± 10.7 | 69.0 ± 9.7 | 69.8 ± 11.8 | 0.64 |
| Sex (male/female) | 17/49 | 7/26 | 10/23 | 0.40 |
| BMI (kg/m2) | 18.8 ± 2.8 | 16.6 ± 1.3 | 21.1 ± 2.0 | |
| Non-smokers | 44 (75.9) | 22 (75.9) | 22 (75.9) | 1.00 |
| Sputum smear-positive | 42 (63.6) | 25 (75.8) | 17 (51.5) | <0.05 |
| Etiological organism | ||||
| M. avium | 28 (42.4) | 12 (36.4) | 26 (48.5) | 0.32 |
| M. intracellulare | 40 (60.6) | 23 (69.7) | 17 (51.5) | 0.13 |
| Underlying disease | ||||
| History of tuberculosis | 7 (10.6) | 4 (12.1) | 3 (9.1) | 0.69 |
| COPD | 3 (4.6) | 1 (3.0) | 2 (6.1) | 0.55 |
| Diabetes mellitus | 9 (13.6) | 4 (12.1) | 5 (15.1) | 0.76 |
| Connective tissue diseases | 14 (21.2) | 8 (24.2) | 6 (18.2) | 0.55 |
| Malignancy | 8 (12.1) | 3 (9.1) | 5 (15.2) | 0.45 |
| Chemotherapy for malignancy | 0 (0.0) | 0 (0.0) | 0 (0.0) | |
| Corticosteroid use | 7 (10.6) | 2 (6.1) | 5 (15.2) | 0.23 |
| Immunosuppressive drug use * | 1 (1.5) | 1 (3.0) | 0 (0.0) | 0.31 |
| Symptoms | ||||
| Fever (>37.5 °C) | 10 (15.2) | 5 (15.2) | 5 (15.2) | 1.00 |
| Cough | 48 (72.7) | 26 (78.8) | 22 (66.7) | 0.27 |
| Sputum | 41 (62.1) | 24 (72.7) | 17 (51.5) | 0.08 |
| Hemosputum | 14 (21.2) | 11 (33.3) | 3 (9.1) | <0.05 |
| Laboratory data | ||||
| WBC (/µL) | 6417 ± 2042 | 6333 ± 1966 | 6500 ± 2142 | 0.79 |
| Neutrophil (/µL) | 4253 ± 1976 | 4288 ± 2040 | 4217 ± 1941 | 0.88 |
| Lymphocyte (/µL) | 1516 ± 510 | 1367 ± 552 | 1661 ± 424 | <0.05 |
| NLR | 3.3 ± 2.4 | 3.9 ± 2.9 | 2.8 ± 1.6 | 0.12 |
| Albumin (g/dL) | 3.7 ± 0.6 | 3.6 ± 0.5 | 3.7 ± 0.6 | 0.53 |
| PNI score | 44.2 ± 6.9 | 43.1 ± 7.2 | 45.3 ± 6.5 | 0.11 |
| PNI < 45 | 31 (47.0) | 20 (60.6) | 11 (33.3) | <0.05 |
| CRP (mg/dL) | 1.0 ± 1.8 | 1.1 ± 1.5 | 0.9 ± 2.0 | 0.69 |
| Chest CT findings | ||||
| Non-cavitary NB | 33 (50.0) | 14 (42.4) | 19 (57.6) | 0.22 |
| Cavitary NB | 27 (40.9) | 16 (48.5) | 11 (33.3) | 0.21 |
| FC | 5 (7.6) | 3 (9.1) | 2 (6.1) | 0.64 |
| Unclassified | 1 (1.5) | 0 (0.0) | 1 (3.0) | 0.31 |
| Cavitary NB+FC | 32 (48.5) | 19 (57.6) | 13 (39.4) | 0.14 |
| Total | BMI < 18.5 | BMI ≥ 18.5 | p-Value | |
|---|---|---|---|---|
| Subjects, n (%) | 66 | 33 (50.0) | 33 (50.0) | |
| Treatment content | ||||
| Treatment duration (months) | 18.6 ± 12.2 | 21.1 ± 15.6 | 15.7 ± 5.5 | 0.18 |
| CAM+RFP+EB regimen | 42 (63.6) | 24 (72.7) | 18 (54.5) | 0.12 |
| Aminoglycoside use | 10 (15.2) | 5 (15.2) | 5 (15.2) | 1.00 |
| Fluoroquinolone use | 13 (19.7) | 7 (21.2) | 6 (18.2) | 0.76 |
| After treatment | ||||
| CAM resistance | 9 (13.6) | 4 (12.1) | 5 (15.2) | 0.72 |
| No sputum conversion | 10 (15.2) | 8 (24.2) | 2 (6.1) | <0.05 |
| Recurrence sputum culture | 14 (21.2) | 8 (24.2) | 6 (18.2) | 0.55 |
| Refractory cases | 24 (36.4) | 16 (48.5) | 8 (24.2) | <0.05 |
| Multivariate Analysis | |||
|---|---|---|---|
| OR or β | 95%CI | p-Value | |
| Sputum smear-positive | 2.84 | 0.99–8.69 | 0.05 |
| Symptoms | |||
| Hemosputum | 5.39 | 1.36–27.92 | <0.05 |
| Laboratory data | |||
| Lymphocyte (/µL) | 0.05 | 0.00–0.63 | <0.05 |
| PNI < 45 | 4.59 | 1.42–16.53 | <0.05 |
| After treatment | |||
| No sputum conversion | 5.56 | 1.18–41.34 | <0.05 |
| Refractory cases | 2.94 | 1.02–9.06 | <0.05 |
Publisher’s Note: MDPI stays neutral with regard to jurisdictional claims in published maps and institutional affiliations. |
© 2021 by the authors. Licensee MDPI, Basel, Switzerland. This article is an open access article distributed under the terms and conditions of the Creative Commons Attribution (CC BY) license (https://creativecommons.org/licenses/by/4.0/).
Share and Cite
Sadamatsu, H.; Takahashi, K.; Tashiro, H.; Kusaba, K.; Haraguchi, T.; Kurihara, Y.; Komiya, N.; Nakashima, C.; Nakamura, T.; Kimura, S.; et al. A Low Body Mass Index Is Associated with Unsuccessful Treatment in Patients with Mycobacterium avium Complex Pulmonary Disease. J. Clin. Med. 2021, 10, 1576. https://doi.org/10.3390/jcm10081576
Sadamatsu H, Takahashi K, Tashiro H, Kusaba K, Haraguchi T, Kurihara Y, Komiya N, Nakashima C, Nakamura T, Kimura S, et al. A Low Body Mass Index Is Associated with Unsuccessful Treatment in Patients with Mycobacterium avium Complex Pulmonary Disease. Journal of Clinical Medicine. 2021; 10(8):1576. https://doi.org/10.3390/jcm10081576
Chicago/Turabian StyleSadamatsu, Hironori, Koichiro Takahashi, Hiroki Tashiro, Koji Kusaba, Tetsuro Haraguchi, Yuki Kurihara, Natsuko Komiya, Chiho Nakashima, Tomomi Nakamura, Shinya Kimura, and et al. 2021. "A Low Body Mass Index Is Associated with Unsuccessful Treatment in Patients with Mycobacterium avium Complex Pulmonary Disease" Journal of Clinical Medicine 10, no. 8: 1576. https://doi.org/10.3390/jcm10081576
APA StyleSadamatsu, H., Takahashi, K., Tashiro, H., Kusaba, K., Haraguchi, T., Kurihara, Y., Komiya, N., Nakashima, C., Nakamura, T., Kimura, S., & Sueoka-Aragane, N. (2021). A Low Body Mass Index Is Associated with Unsuccessful Treatment in Patients with Mycobacterium avium Complex Pulmonary Disease. Journal of Clinical Medicine, 10(8), 1576. https://doi.org/10.3390/jcm10081576

