Divalent HIV-1 gp120 Immunogen Exhibits Selective Avidity for Broadly Neutralizing Antibody VRC01 Precursors
Abstract
1. Introduction
2. Materials and Methods
2.1. Plasmids and DNA Synthesis
2.2. Protein Expression and Purification
2.3. Site-Specific Covalent Aptamer Conjugation to 48d ICs
2.4. Gel Shift Assay
2.5. Surface Plasmon Resonance Binding Analysis
2.6. Data Analysis
3. Results
3.1. Design of an Immune Focusing Rigid Divalent Immunogen
3.2. Design of gp120 + 48d Heavy Chain Fusion Proteins
3.3. Engineered Divalent Immunogens Bind to VRC01 with 1:1 Stoichiometry and to a Non-CD4bs Ab with 1:2 Stoichiometry
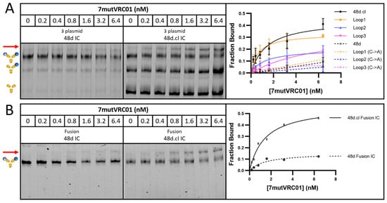
3.4. The Divalent Immunogen Binds mutVRC01 Antibodies with Higher Affinity Compared to a Flexible Control
3.5. The Divalent Immunogen Binds a VRC01 Revertant with Significantly Higher Avidity than an A32 Variant of Similar Monovalent Affinity
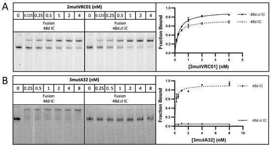
3.6. SPR Analysis Supports the Interpretation of Reduced Dissociation Rates (Koff) and Equilibrium Dissociation Constants (KD) of the Crosslinked Divalent Immunogen Binding to 2mutVRC01
3.7. SPR Data Suggests Monovalent Binding to 3mutA32 by the Crosslinked Immunogen
3.8. The Divalent Immunogen, When Combined with Germline-Targeting Mutations to gp120, Binds to Monomeric VRC01 IgM Unmutated Common Ancestor, Suggesting It Could Function as a Prime
4. Discussion
5. Conclusions
6. Patents
Supplementary Materials
Author Contributions
Funding
Institutional Review Board Statement
Informed Consent Statement
Data Availability Statement
Acknowledgments
Conflicts of Interest
Abbreviations
| Ab | antibody |
| BCR | B cell receptor |
| bnAb | broadly neutralizing antibody |
| CD4bs | CD4 binding site |
| GC | germinal center |
| HIV | Human Immunodeficiency Virus |
| IC | immune complex |
| SPR | surface plasmon resonance |
| TEM | transmission electron microscopy |
| UCA | unmutated common ancestor |
References
- World Health Organization. Hiv Data and Statistics; World Health Organization: Geneva, Switzerland, 2025. Available online: https://www.who.int/teams/global-hiv-hepatitis-and-stis-programmes/hiv/strategic-information/hiv-data-and-statistics (accessed on 6 December 2025).
- Rerks-Ngarm, S.; Pitisuttithum, P.; Nitayaphan, S.; Kaewkungwal, J.; Chiu, J.; Paris, R.; Premsri, N.; Namwat, C.; de Souza, M.; Adams, E.; et al. Vaccination with Alvac and Aidsvax to Prevent Hiv-1 Infection in Thailand. N. Engl. J. Med. 2009, 361, 2209–2220. [Google Scholar] [CrossRef] [PubMed]
- Adepoju, V.A.; Udah, D.C.; Onyezue, O.I.; Adnani, Q.E.S.; Jamil, S.; Bin Ali, M.N. Navigating the Complexities of Hiv Vaccine Development: Lessons from the Mosaico Trial and Next-Generation Development Strategies. Vaccines 2025, 13, 274. [Google Scholar] [CrossRef]
- Desrosiers, R.C. The Failure of Aids Vaccine Efficacy Trials: Where to Go from Here. J. Virol. 2023, 97, e0021123. [Google Scholar] [CrossRef] [PubMed]
- Alizon, S.; Fraser, C. Within-Host and between-Host Evolutionary Rates across the Hiv-1 Genome. Retrovirology 2013, 10, 49. [Google Scholar] [CrossRef] [PubMed]
- Mansky, L.M. Retrovirus Mutation Rates and Their Role in Genetic Variation. J. Gen. Virol. 1998, 79, 1337–1345. [Google Scholar] [CrossRef]
- Menendez-Arias, L. Mutation Rates and Intrinsic Fidelity of Retroviral Reverse Transcriptases. Viruses 2009, 1, 1137–1165. [Google Scholar] [CrossRef]
- Kwong, P.D.; Mascola, J.R. Hiv-1 Vaccines Based on Antibody Identification, B Cell Ontogeny, and Epitope Structure. Immunity 2018, 48, 855–871. [Google Scholar] [CrossRef]
- Burton, D.R.; Hangartner, L. Broadly Neutralizing Antibodies to Hiv and Their Role in Vaccine Design. Annu. Rev. Immunol. 2016, 34, 635–659. [Google Scholar] [CrossRef]
- Sadanand, S.; Suscovich, T.J.; Alter, G. Broadly Neutralizing Antibodies against Hiv: New Insights to Inform Vaccine Design. Annu. Rev. Med. 2016, 67, 185–200. [Google Scholar] [CrossRef]
- Wu, X.; Yang, Z.Y.; Li, Y.; Hogerkorp, C.M.; Schief, W.R.; Seaman, M.S.; Zhou, T.; Schmidt, S.D.; Wu, L.; Xu, L.; et al. Rational Design of Envelope Identifies Broadly Neutralizing Human Monoclonal Antibodies to Hiv-1. Science 2010, 329, 856–861. [Google Scholar] [CrossRef]
- Scheid, J.F.; Mouquet, H.; Ueberheide, B.; Diskin, R.; Klein, F.; Oliveira, T.Y.; Pietzsch, J.; Fenyo, D.; Abadir, A.; Velinzon, K.; et al. Sequence and Structural Convergence of Broad and Potent Hiv Antibodies That Mimic Cd4 Binding. Science 2011, 333, 1633–1637. [Google Scholar] [CrossRef]
- Wu, X.; Zhou, T.; Zhu, J.; Zhang, B.; Georgiev, I.; Wang, C.; Chen, X.; Longo, N.S.; Louder, M.; McKee, K.; et al. Focused Evolution of Hiv-1 Neutralizing Antibodies Revealed by Structures and Deep Sequencing. Science 2011, 333, 1593–1602. [Google Scholar] [CrossRef] [PubMed]
- Zhou, T.; Zhu, J.; Wu, X.; Moquin, S.; Zhang, B.; Acharya, P.; Georgiev, I.S.; Altae-Tran, H.R.; Chuang, G.Y.; Joyce, M.G.; et al. Multidonor Analysis Reveals Structural Elements, Genetic Determinants, and Maturation Pathway for Hiv-1 Neutralization by Vrc01-Class Antibodies. Immunity 2013, 39, 245–258. [Google Scholar] [CrossRef]
- Corey, L.; Gilbert, P.B.; Juraska, M.; Montefiori, D.C.; Morris, L.; Karuna, S.T.; Edupuganti, S.; Mgodi, N.M.; deCamp, A.C.; Rudnicki, E.; et al. Two Randomized Trials of Neutralizing Antibodies to Prevent Hiv-1 Acquisition. N. Engl. J. Med. 2021, 384, 1003–1014. [Google Scholar] [CrossRef]
- Xiao, X.; Chen, W.; Feng, Y.; Zhu, Z.; Prabakaran, P.; Wang, Y.; Zhang, M.Y.; Longo, N.S.; Dimitrov, D.S. Germline-Like Predecessors of Broadly Neutralizing Antibodies Lack Measurable Binding to Hiv-1 Envelope Glycoproteins: Implications for Evasion of Immune Responses and Design of Vaccine Immunogens. Biochem. Biophys. Res. Commun. 2009, 390, 404–409. [Google Scholar] [CrossRef]
- Steichen, J.M.; Kulp, D.W.; Tokatlian, T.; Escolano, A.; Dosenovic, P.; Stanfield, R.L.; McCoy, L.E.; Ozorowski, G.; Hu, X.; Kalyuzhniy, O.; et al. Hiv Vaccine Design to Target Germline Precursors of Glycan-Dependent Broadly Neutralizing Antibodies. Immunity 2016, 45, 483–496. [Google Scholar] [CrossRef]
- Chen, X.; Zhou, T.; Schmidt, S.D.; Duan, H.; Cheng, C.; Chuang, G.Y.; Gu, Y.; Louder, M.K.; Lin, B.C.; Shen, C.H.; et al. Vaccination Induces Maturation in a Mouse Model of Diverse Unmutated Vrc01-Class Precursors to Hiv-Neutralizing Antibodies with >50% Breadth. Immunity 2021, 54, 324–339.e8. [Google Scholar] [CrossRef]
- Jardine, J.G.; Kulp, D.W.; Havenar-Daughton, C.; Sarkar, A.; Briney, B.; Sok, D.; Sesterhenn, F.; Ereno-Orbea, J.; Kalyuzhniy, O.; Deresa, I.; et al. Hiv-1 Broadly Neutralizing Antibody Precursor B Cells Revealed by Germline-Targeting Immunogen. Science 2016, 351, 1458–1463. [Google Scholar] [CrossRef]
- McGuire, A.T.; Hoot, S.; Dreyer, A.M.; Lippy, A.; Stuart, A.; Cohen, K.W.; Jardine, J.; Menis, S.; Scheid, J.F.; West, A.P.; et al. Engineering Hiv Envelope Protein to Activate Germline B Cell Receptors of Broadly Neutralizing Anti-Cd4 Binding Site Antibodies. J. Exp. Med. 2013, 210, 655–663. [Google Scholar] [CrossRef] [PubMed]
- Kwong, P.D.; Mascola, J.R. Human Antibodies That Neutralize Hiv-1: Identification, Structures, and B Cell Ontogenies. Immunity 2012, 37, 412–425. [Google Scholar] [CrossRef] [PubMed]
- Willis, J.R.; Prabhakaran, M.; Muthui, M.; Naidoo, A.; Sincomb, T.; Wu, W.; Cottrell, C.A.; Landais, E.; deCamp, A.C.; Keshavarzi, N.R.; et al. Vaccination with Mrna-Encoded Nanoparticles Drives Early Maturation of Hiv Bnab Precursors in Humans. Science 2025, 389, eadr8382. [Google Scholar] [CrossRef]
- Leggat, D.J.; Cohen, K.W.; Willis, J.R.; Fulp, W.J.; deCamp, A.C.; Kalyuzhniy, O.; Cottrell, C.A.; Menis, S.; Finak, G.; Ballweber-Fleming, L.; et al. Vaccination Induces Hiv Broadly Neutralizing Antibody Precursors in Humans. Science 2022, 378, eadd6502. [Google Scholar] [CrossRef] [PubMed]
- Jardine, J.; Julien, J.P.; Menis, S.; Ota, T.; Kalyuzhniy, O.; McGuire, A.; Sok, D.; Huang, P.S.; MacPherson, S.; Jones, M.; et al. Rational Hiv Immunogen Design to Target Specific Germline B Cell Receptors. Science 2013, 340, 711–716. [Google Scholar] [CrossRef]
- Caniels, T.G.; Prabhakaran, M.; Ozorowski, G.; MacPhee, K.J.; Wu, W.; van der Straten, K.; Agrawal, S.; Derking, R.; Reiss, E.; Millard, K.; et al. Precise Targeting of Hiv Broadly Neutralizing Antibody Precursors in Humans. Science 2025, 389, eadv5572. [Google Scholar] [CrossRef] [PubMed]
- Tian, M.; Cheng, C.; Chen, X.; Duan, H.; Cheng, H.L.; Dao, M.; Sheng, Z.; Kimble, M.; Wang, L.; Lin, S.; et al. Induction of Hiv Neutralizing Antibody Lineages in Mice with Diverse Precursor Repertoires. Cell 2016, 166, 1471–1484.e18. [Google Scholar] [CrossRef]
- Briney, B.; Sok, D.; Jardine, J.G.; Kulp, D.W.; Skog, P.; Menis, S.; Jacak, R.; Kalyuzhniy, O.; de Val, N.; Sesterhenn, F.; et al. Tailored Immunogens Direct Affinity Maturation toward Hiv Neutralizing Antibodies. Cell 2016, 166, 1459–1470.e11. [Google Scholar] [CrossRef] [PubMed]
- Caniels, T.G.; Medina-Ramirez, M.; Zhang, J.; Sarkar, A.; Kumar, S.; LaBranche, A.; Derking, R.; Allen, J.D.; Snitselaar, J.L.; Capella-Pujol, J.; et al. Germline-Targeting Hiv-1 Env Vaccination Induces Vrc01-Class Antibodies with Rare Insertions. Cell Rep. Med. 2023, 4, 101003. [Google Scholar] [CrossRef]
- Gristick, H.B.; Hartweger, H.; Loewe, M.; van Schooten, J.; Ramos, V.; Oliveira, T.Y.; Nishimura, Y.; Koranda, N.S.; Wall, A.; Yao, K.H.; et al. Cd4 Binding Site Immunogens Elicit Heterologous Anti-Hiv-1 Neutralizing Antibodies in Transgenic and Wild-Type Animals. Sci. Immunol. 2023, 8, eade6364. [Google Scholar] [CrossRef]
- Willis, J.R.; Berndsen, Z.T.; Ma, K.M.; Steichen, J.M.; Schiffner, T.; Landais, E.; Liguori, A.; Kalyuzhniy, O.; Allen, J.D.; Baboo, S.; et al. Human Immunoglobulin Repertoire Analysis Guides Design of Vaccine Priming Immunogens Targeting Hiv V2-Apex Broadly Neutralizing Antibody Precursors. Immunity 2022, 55, 2149–2167.e9. [Google Scholar] [CrossRef]
- Kaufman, E.N.; Jain, R.K. Effect of Bivalent Interaction Upon Apparent Antibody Affinity: Experimental Confirmation of Theory Using Fluorescence Photobleaching and Implications for Antibody Binding Assays. Cancer Res. 1992, 52, 4157–4167. [Google Scholar] [PubMed]
- Yang, T.; Baryshnikova, O.K.; Mao, H.; Holden, M.A.; Cremer, P.S. Investigations of Bivalent Antibody Binding on Fluid-Supported Phospholipid Membranes: The Effect of Hapten Density. J. Am. Chem. Soc. 2003, 125, 4779–4784. [Google Scholar] [CrossRef]
- Shaw, A.; Hoffecker, I.T.; Smyrlaki, I.; Rosa, J.; Grevys, A.; Bratlie, D.; Sandlie, I.; Michaelsen, T.E.; Andersen, J.T.; Hogberg, B. Binding to Nanopatterned Antigens Is Dominated by the Spatial Tolerance of Antibodies. Nat. Nanotechnol. 2019, 14, 184–190. [Google Scholar] [CrossRef]
- Jendroszek, A.; Kjaergaard, M. Nanoscale Spatial Dependence of Avidity in an Igg1 Antibody. Sci. Rep. 2021, 11, 12663. [Google Scholar] [CrossRef]
- MacPherson, I.S.; Kirubakaran, S.; Gorla, S.K.; Riera, T.V.; D’Aquino, J.A.; Zhang, M.; Cuny, G.D.; Hedstrom, L. The Structural Basis of Cryptosporidium -Specific Imp Dehydrogenase Inhibitor Selectivity. J. Am. Chem. Soc. 2010, 132, 1230–1231. [Google Scholar] [CrossRef]
- Kwong, P.D.; Wyatt, R.; Robinson, J.; Sweet, R.W.; Sodroski, J.; Hendrickson, W.A. Structure of an Hiv Gp120 Envelope Glycoprotein in Complex with the Cd4 Receptor and a Neutralizing Human Antibody. Nature 1998, 393, 648–659. [Google Scholar] [CrossRef] [PubMed]
- Pancera, M.; Majeed, S.; Ban, Y.E.; Chen, L.; Huang, C.C.; Kong, L.; Kwon, Y.D.; Stuckey, J.; Zhou, T.; Robinson, J.E.; et al. Structure of Hiv-1 Gp120 with Gp41-Interactive Region Reveals Layered Envelope Architecture and Basis of Conformational Mobility. Proc. Natl. Acad. Sci. USA 2010, 107, 1166–1171. [Google Scholar] [CrossRef]
- Craig, D.B.; Dombkowski, A.A. Disulfide by Design 2.0: A Web-Based Tool for Disulfide Engineering in Proteins. BMC Bioinform. 2013, 14, 346. [Google Scholar] [CrossRef] [PubMed]
- Polizzi, N. Colabpaint, Version V1; Zenodo. 2024. Available online: https://github.com/polizzilab/design_tools (accessed on 6 December 2025).
- Wang, J.; Lisanza, S.; Juergens, D.; Tisher, D. Scaffolding Protein Functional Sites Using Deep Learning. Science 2022, 377, 387–394. [Google Scholar] [CrossRef] [PubMed]
- Dauparas, J.; Anishchenko, I.; Bennett, N.; Bai, H.; Ragotte, R.J.; Milles, L.F.; Wicky, B.I.M.; Courbet, A.; de Haas, R.J.; Bethel, N.; et al. Robust Deep Learning-Based Protein Sequence Design Using Proteinmpnn. Science 2022, 378, 49–56. [Google Scholar] [CrossRef]
- Jumper, J.; Evans, R.; Pritzel, A.; Green, T.; Figurnov, M.; Ronneberger, O.; Tunyasuvunakool, K.; Bates, R.; Zidek, A.; Potapenko, A.; et al. Highly Accurate Protein Structure Prediction with Alphafold. Nature 2021, 596, 583–589. [Google Scholar] [CrossRef]
- Mirdita, M.; Schutze, K.; Moriwaki, Y.; Heo, L.; Ovchinnikov, S.; Steinegger, M. Colabfold: Making Protein Folding Accessible to All. Nat. Methods 2022, 19, 679–682. [Google Scholar] [CrossRef]
- Galkin, A.; Chen, Y.; Guenaga, J.; O’Dell, S.; Acevedo, R.; Steinhardt, J.J.; Wang, Y.; Wilson, R.; Chiang, C.I.; Doria-Rose, N.; et al. Hiv-1 Gp120-Cd4-Induced Antibody Complex Elicits Cd4 Binding Site-Specific Antibody Response in Mice. J. Immunol. 2020, 204, 1543–1561. [Google Scholar] [CrossRef] [PubMed]
- Ferrari, G.; Pollara, J.; Kozink, D.; Harms, T.; Drinker, M.; Freel, S.; Moody, M.A.; Alam, S.M.; Tomaras, G.D.; Ochsenbauer, C.; et al. An Hiv-1 Gp120 Envelope Human Monoclonal Antibody That Recognizes a C1 Conformational Epitope Mediates Potent Antibody-Dependent Cellular Cytotoxicity (Adcc) Activity and Defines a Common Adcc Epitope in Human Hiv-1 Serum. J. Virol. 2011, 85, 7029–7036. [Google Scholar] [CrossRef]
- Soxpollard, N.; Strauss, S.; Jungmann, R.; MacPherson, I.S. Selection of Antibody-Binding Covalent Aptamers. Commun. Chem. 2024, 7, 174. [Google Scholar] [CrossRef]
- Zhou, T.; Georgiev, I.; Wu, X.; Yang, Z.Y.; Dai, K.; Finzi, A.; Kwon, Y.D.; Scheid, J.F.; Shi, W.; Xu, L.; et al. Structural Basis for Broad and Potent Neutralization of Hiv-1 by Antibody Vrc01. Science 2010, 329, 811–817. [Google Scholar] [CrossRef]
- Basu, S.; Gohain, N.; Kim, J.; Trinh, H.V.; Choe, M.; Joyce, M.G.; Rao, M. Determination of Binding Affinity of Antibodies to Hiv-1 Recombinant Envelope Glycoproteins, Pseudoviruses, Infectious Molecular Clones, and Cell-Expressed Trimeric Gp160 Using Microscale Thermophoresis. Cells 2023, 13, 33. [Google Scholar] [CrossRef]
- Raska, M.; Czernekova, L.; Modoveanu, Z.; Novak, J. Differential Glycosylation of Envelope Gp120 Is Associated with Differential Recognition of Hiv-1 by Virus-Specific Antibodies and Cell Infection. AIDS Res. Ther. 2014, 11, 23. [Google Scholar] [CrossRef] [PubMed]
- Su, Q.; Chen, M.; Shi, Y.; Zhang, X.; Huang, G.; Huang, B.; Liu, D.; Liu, Z.; Shi, Y. Cryo-Em Structure of the Human Igm B Cell Receptor. Science 2022, 377, 875–880. [Google Scholar] [CrossRef]
- Bonsignori, M.; Scott, E.; Wiehe, K.; Easterhoff, D.; Alam, S.M.; Hwang, K.-K.; Cooper, M.; Xia, S.-M.; Zhang, R.; Montefiori, D.C.; et al. Inference of the Hiv-1 Vrc01 Antibody Lineage Unmutated Common Ancestor Reveals Alternative Pathways to Overcome a Key Glycan Barrier. Immunity 2018, 49, 1162–1174.e8. [Google Scholar] [CrossRef] [PubMed]
- Hoot, S.; McGuire, A.T.; Cohen, K.W.; Strong, R.K.; Hangartner, L.; Klein, F.; Diskin, R.; Scheid, J.F.; Sather, D.N.; Burton, D.R.; et al. Recombinant Hiv Envelope Proteins Fail to Engage Germline Versions of Anti-Cd4bs Bnabs. PLoS Pathog. 2013, 9, e1003106. [Google Scholar] [CrossRef]
- Medina-Ramirez, M.; Garces, F.; Escolano, A.; Skog, P.; de Taeye, S.W.; Del Moral-Sanchez, I.; McGuire, A.T.; Yasmeen, A.; Behrens, A.J.; Ozorowski, G.; et al. Design and Crystal Structure of a Native-Like Hiv-1 Envelope Trimer That Engages Multiple Broadly Neutralizing Antibody Precursors in Vivo. J. Exp. Med. 2017, 214, 2573–2590. [Google Scholar] [CrossRef]
- Chen, Y.; Wilson, R.; O’Dell, S.; Guenaga, J.; Feng, Y.; Tran, K.; Chiang, C.I.; Arendt, H.E.; DeStefano, J.; Mascola, J.R.; et al. An Hiv-1 Env-Antibody Complex Focuses Antibody Responses to Conserved Neutralizing Epitopes. J. Immunol. 2016, 197, 3982–3998. [Google Scholar] [CrossRef] [PubMed]
- Kanekiyo, M.; Joyce, M.G.; Gillespie, R.; Gallagher, J. Mosaic Nanoparticle Display of Diverse Influenza Virus Hemagglutinins Elicits Broad B Cell Responses. Nat. Immunol. 2019, 20, 362–372. [Google Scholar] [CrossRef] [PubMed]
- Cohen, A.; Doremalen, N.; Greaney, A.; Andersen, H.; Bjorkman, P.J. Mosaic Rbd Nanoparticles Protect against Challenge by Diverse Sarbecoviruses in Animal Models. Science 2022, 377, eabq0839. [Google Scholar] [CrossRef]
- Hariharan, V.; Kane, R. Glycosylation as a Tool for Rational Vaccine Design. Biotechnol. Bioeng. 2020, 117, 2556–2570. [Google Scholar] [CrossRef] [PubMed]
- Duan, H.; Chen, X.; Boyington, J.; Alt, F.; Kwong, P.; Mascola, J.R. Glycan Masking Focuses Immune Responses to the Hiv-1 Cd4-Binding Site and Enhances Elicitation of Vrc01-Class Precursor Antibodies. Immunity 2018, 49, 301–311. [Google Scholar] [CrossRef]
- Young, C.; Brink, R. The Unique Biology of Germinal Center B Cells. Immunity 2021, 54, 1652–1664. [Google Scholar] [CrossRef]
- Kwak, K.; Quizon, N.; Sohn, H.; Saniee, A.; Manzella-Lapeira, J. Intrinsic Properties of Human Germinal Center B Cells Set Antigen Affinity Threshholds. Sci. Immunol. 2018, 3, eaau6598. [Google Scholar] [CrossRef]
- Akkaya, M.; Kwak, K.; Pierce, S.K. B Cell Memory: Building Two Walls of Protection against Pathogens. Nat. Rev. Immunol. 2020, 20, 229–238. [Google Scholar] [CrossRef]
- Chen, S.T.; Oliveira, T.Y.; Gazumyan, A.; Cipolla, M.; Nussenzweig, M.C. B Cell Receptor Signaling in Germinal Centers Prolongs Survival and Primes B Cells for Selection. Immunity 2023, 56, 547–561.e7. [Google Scholar] [CrossRef]
- Schroeder, H.W., Jr.; Cavacini, L. Structure and Function of Immunoglobulins. J. Allergy Clin. Immunol. 2010, 125, S41–S52. [Google Scholar] [CrossRef]
- Chen, Q.; Menon, R.; Calder, L.J.; Tolar, P.; Rosenthal, P.B. Cryomicroscopy Reveals the Structural Basis for a Flexible Hinge Motion in the Immunoglobulin M Pentamer. Nat. Commun. 2022, 13, 6314. [Google Scholar] [CrossRef]
- Roux, K.H.; Strelets, L.; Brekke, O.H.; Sandlie, I.; Michaelsen, T.E. Comparisons of the Ability of Human Igg3 Hinge Mutants, Igm, Ige, and Iga2, to Form Small Immune Complexes: A Role for Flexibility and Geometry. J. Immunol. 1998, 161, 4083–4090. [Google Scholar] [CrossRef]
- Dvorscek, A.R.; McKenzie, C.I.; Stäheli, V.C.; Ding, Z.; White, J.; Fabb, S.A.; Lim, L.; O’Donnell, K.; Pitt, C.; Christ, D.; et al. Conversion of Vaccines from Low to High Immunogenicity by Antibodies with Epitope Complementarity. Immunity 2024, 57, 2433–2452.e7. [Google Scholar] [CrossRef] [PubMed]
- Watson, J.L.; Juergens, D.; Bennett, N.R.; Trippe, B.L.; Yim, J.; Eisenach, H.E.; Ahern, W.; Borst, A.J.; Ragotte, R.J.; Milles, L.F.; et al. De Novo Design of Protein Structure and Function with Rfdiffusion. Nature 2023, 620, 1089–1100. [Google Scholar] [CrossRef] [PubMed]
- Ingraham, J.B.; Baranov, M.; Costello, Z.; Barber, K.W.; Wang, W.; Ismail, A.; Frappier, V.; Lord, D.M.; Ng-Thow-Hing, C.; Van Vlack, E.R.; et al. Illuminating Protein Space with a Programmable Generative Model. Nature 2023, 623, 1070–1078. [Google Scholar] [CrossRef] [PubMed]












| Abs | KD (nM) | |
|---|---|---|
| CD4bs: | ||
| wtVRC01 | 2 ± 0.3 a | |
| 2mutVRC01 | 200 ± 17 b | |
| 7mutVRC01 | 7000 ± 1200 | |
| Non-CD4bs: | ||
| wtA32 | 0.4 ± 0.03 | |
| 3mutA32 | 200 ± 13 b | |
Disclaimer/Publisher’s Note: The statements, opinions and data contained in all publications are solely those of the individual author(s) and contributor(s) and not of MDPI and/or the editor(s). MDPI and/or the editor(s) disclaim responsibility for any injury to people or property resulting from any ideas, methods, instructions or products referred to in the content. |
© 2026 by the authors. Licensee MDPI, Basel, Switzerland. This article is an open access article distributed under the terms and conditions of the Creative Commons Attribution (CC BY) license.
Share and Cite
Bailey, R.; Kahoekapu, K.; To, A.; Mayerlen, L.I.; Kae, H.; Manninen, G.; Haun, B.K.; Berestecky, J.M.; Shikuma, C.; Lehrer, A.T.; et al. Divalent HIV-1 gp120 Immunogen Exhibits Selective Avidity for Broadly Neutralizing Antibody VRC01 Precursors. Vaccines 2026, 14, 58. https://doi.org/10.3390/vaccines14010058
Bailey R, Kahoekapu K, To A, Mayerlen LI, Kae H, Manninen G, Haun BK, Berestecky JM, Shikuma C, Lehrer AT, et al. Divalent HIV-1 gp120 Immunogen Exhibits Selective Avidity for Broadly Neutralizing Antibody VRC01 Precursors. Vaccines. 2026; 14(1):58. https://doi.org/10.3390/vaccines14010058
Chicago/Turabian StyleBailey, Ryan, Kalista Kahoekapu, Albert To, Ludwig I. Mayerlen, Helmut Kae, Gabriel Manninen, Brien K. Haun, John M. Berestecky, Cecilia Shikuma, Axel T. Lehrer, and et al. 2026. "Divalent HIV-1 gp120 Immunogen Exhibits Selective Avidity for Broadly Neutralizing Antibody VRC01 Precursors" Vaccines 14, no. 1: 58. https://doi.org/10.3390/vaccines14010058
APA StyleBailey, R., Kahoekapu, K., To, A., Mayerlen, L. I., Kae, H., Manninen, G., Haun, B. K., Berestecky, J. M., Shikuma, C., Lehrer, A. T., & MacPherson, I. S. (2026). Divalent HIV-1 gp120 Immunogen Exhibits Selective Avidity for Broadly Neutralizing Antibody VRC01 Precursors. Vaccines, 14(1), 58. https://doi.org/10.3390/vaccines14010058

