A Novel Prototype African Swine Fever Virus DIVA (Differentiation Between Infected and Vaccinated Animals) Serological Assay Based on the Detection of Antibodies Against the pEP153R, eGFP, and p72 Proteins
Abstract
1. Introduction
2. Materials and Methods
2.1. Bacterial Cells
2.2. Mammalian Cells
2.3. Sera
- Group A1: Domestic pigs infected with the parental virus Lv17/WB/Rie1. Forty-three sera were derived from 5 domestic pigs experimentally inoculated by intramuscular (IM) route, with 10 or 102 TCID50 of Lv17/WB/Rie1. The five animals were challenged at 30 days post-infection (dpi) [27,28]. Additionally, we included 72 samples from two other pigs, one inoculated with 10 TCID50 of Lv17/WB/Rie1 (PW13) and the other put in contact (PW14) with animal PW13. Then, these last two animals were put in contact with the virulent strain Lv17/WB/Zieme3 at 58 dpi. The sera analysed were collected between 0 and 126 dpi [23].
- Group A2: Domestic pigs vaccinated with three vaccine candidates. One hundred and ninety-seven serum samples were derived from 16 domestic pigs experimentally vaccinated by the IM route, with 102 TCID50 of different prototype marker vaccines (Lv17/WB/Rie1-∆EP153R, Lv17/WB/Rie1-∆CD, Lv17/WB/Rie1-∆CD/UK). All these animals were challenged at 30 or 35 dpi. The sera analysed were collected between 0 and 54 days post-vaccination (dpv) [27,28].
- Group B1: Wild boar immunised with the parental virus Lv17/WB/Rie1. One hundred and seven sera were derived from 8 wild boar experimentally immunised by the oral route with 103 or 104 TCID50 of Lv17/WB/Rie1 and revaccinated with the same dose at 18 days post-prime vaccination. The samples were collected between 0 and 89 dpi. All the animals were challenged at 42 dpi [24].
- Group B2: Wild boar vaccinated with the vaccine candidate Lv17/WB/Rie1-ΔCD. Ninety-six sera were derived from 8 wild boar experimentally vaccinated by the oral route. Four out of these eight animals were vaccinated with 102 TCID50 of Lv17/WB/Rie1-ΔCD, boosted 30 days later with 104 TCID50 of the same vaccine candidate, and challenged 14 days after the booster. On the other hand, the other 4 animals were vaccinated with 104 TCID50 of Lv17/WB/Rie1-ΔCD and challenged at 30 dpv. Sera were collected between 0 and 62 dpv [27].
- Group C: Domestic pigs infected with other ASFV isolates, belonging to genotype II and different from the parental virus. One hundred and two sera were derived from 4 domestic pigs experimentally inoculated by the IM route. Two out of the four were infected with 10 TCID50/mL Pol18/WB/Case1794, and the other two with the same dose of the Lv17/WB/Rie14/Tukuma5. Sera were collected between 0 and 121 dpi [unpublished EURL data].
2.4. Production and Characterisation of the Recombinant Proteins
2.5. ELISA
2.6. Statistical Analysis
3. Results
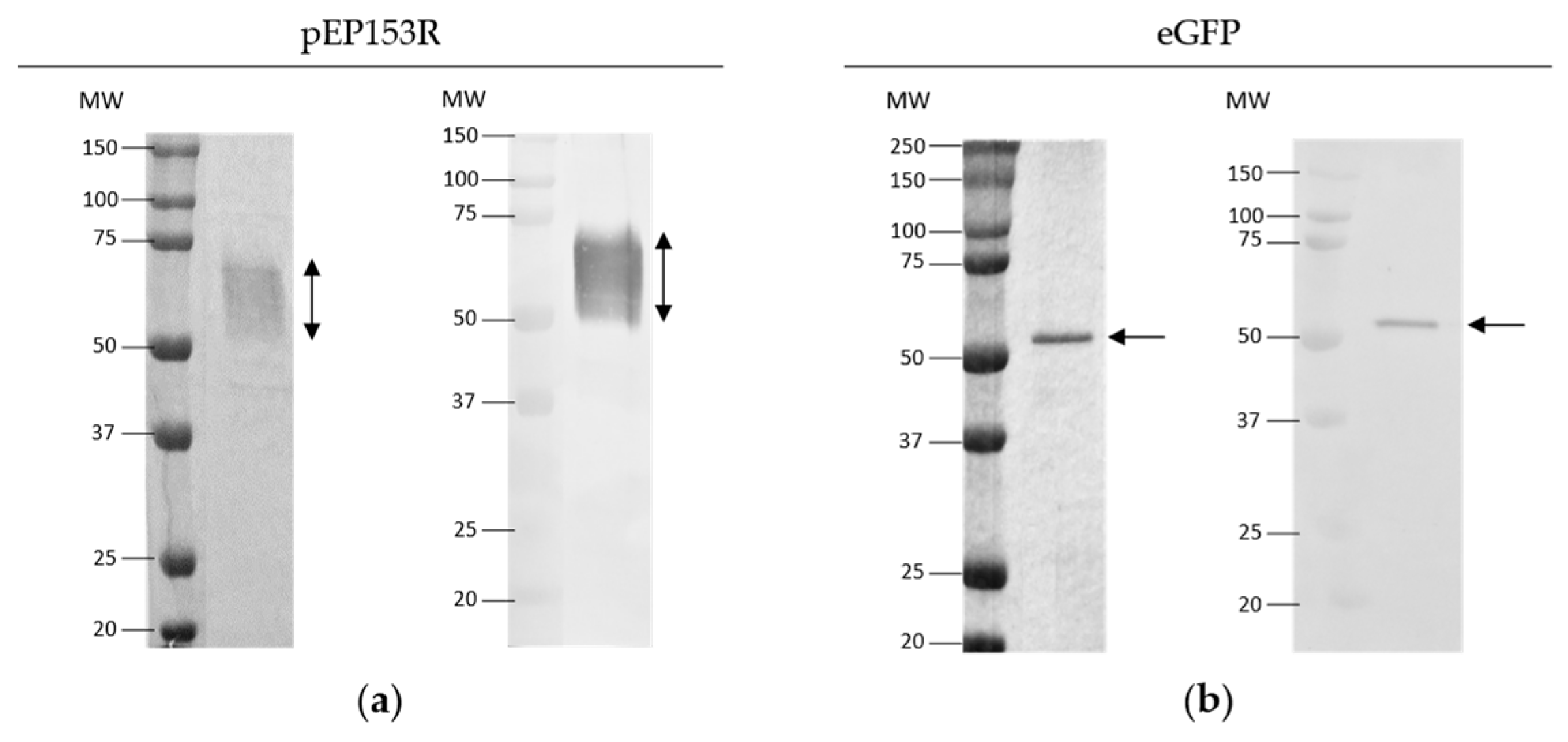
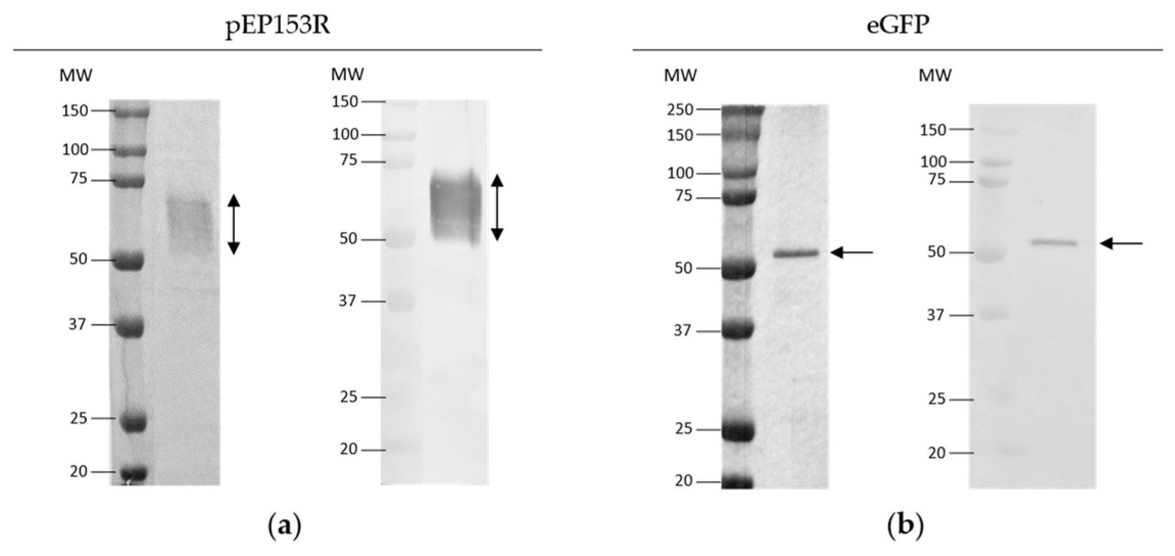
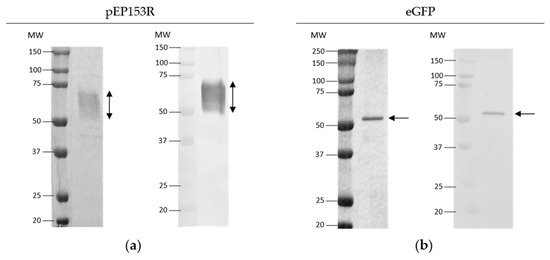
3.1. Production and Characterisation of the Recombinant Proteins
3.2. Prototype Indirect ELISAs
3.2.1. Analysis of Sera from Domestic Pigs Experimentally Immunized with Lv17/WB/Rie1 or the Candidate Vaccines Lv17/WB/Rie1-∆EP153R, Lv17/WB/Rie1-∆CD, Lv17/WB/Rie1-∆CD/UK
3.2.2. Analysis of Sera from Wild Boar Experimentally Immunised with Lv17/WB/Rie1 or the Candidate Vaccine Lv17/WB/Rie1-∆CD
3.2.3. Sera from Field Animals
3.2.4. Sera from Domestic Pigs Experimentally Infected with Other Genotype II ASFV Isolates
4. Discussion
5. Conclusions
6. Patents
Author Contributions
Funding
Institutional Review Board Statement
Informed Consent Statement
Data Availability Statement
Acknowledgments
Conflicts of Interest
References
- Rowlands, R.J.; Michaud, V.; Heath, L.; Hutchings, G.; Oura, C.; Vosloo, W.; Dwarka, R.; Onashvili, T.; Albina, E.; Dixon, L.K. African Swine Fever Virus Isolate, Georgia, 2007. Emerg. Infect. Dis. 2008, 14, 1870–1874. [Google Scholar] [CrossRef] [PubMed]
- Sánchez-Vizcaíno, J.M.; Mur, L.; Martínez-López, B. African Swine Fever (ASF): Five Years around Europe. Vet. Microbiol. 2013, 165, 45–50. [Google Scholar] [CrossRef] [PubMed]
- Zhou, X.; Li, N.; Luo, Y.; Liu, Y.; Miao, F.; Chen, T.; Zhang, S.; Cao, P.; Li, X.; Tian, K.; et al. Emergence of African Swine Fever in China, 2018. Transbound. Emerg. Dis. 2018, 65, 1482–1484. [Google Scholar] [CrossRef]
- Barnes, T.S.; Morais, O.; Cargill, C.; Parke, C.R.; Urlings, A. First Steps in Managing the Challenge of African Swine Fever in Timor-Leste. One Health 2020, 10, 100151. [Google Scholar] [CrossRef]
- Gonzales, W.; Moreno, C.; Duran, U.; Henao, N.; Bencosme, M.; Lora, P.; Reyes, R.; Núñez, R.; De Gracia, A.; Perez, A.M. African Swine Fever in the Dominican Republic. Transbound. Emerg. Dis. 2021, 68, 3018–3019. [Google Scholar] [CrossRef] [PubMed]
- WOAH. African Swine Fever (ASF)—Situation Report 11. 2022. Available online: https://www.woah.org/app/uploads/2022/06/asf-report11.pdf (accessed on 1 November 2023).
- WOAH. World Animal Health Information System (WAHIS). Available online: https://wahis.woah.org/#/home (accessed on 1 November 2024).
- Sánchez-Cordón, P.J.; Vidaña, B.; Neimanis, A.; Núñez, A.; Wikstrom, E.; Gavier-Widén, D. Pathology of African Swine Fever. In Understanding and Combatting African Swine Fever: A European Perspective; Brill|Wageningen Academic: Wageningen, The Netherlands, 2021; pp. 87–132. ISBN 978-90-8686-910-7. [Google Scholar]
- Salguero, F.J. Comparative Pathology and Pathogenesis of African Swine Fever Infection in Swine. Front. Vet. Sci. 2020, 7, 282. [Google Scholar] [CrossRef] [PubMed]
- Sánchez-Cordón, P.J.; Chapman, D.; Jabbar, T.; Reis, A.L.; Goatley, L.; Netherton, C.L.; Taylor, G.; Montoya, M.; Dixon, L. Different Routes and Doses Influence Protection in Pigs Immunised with the Naturally Attenuated African Swine Fever Virus Isolate OURT88/3. Antivir. Res. 2017, 138, 1–8. [Google Scholar] [CrossRef] [PubMed]
- Vlasov, M.; Sindryakova, I.; Kudryashov, D.; Morgunov, S.; Kolbasova, O.; Lyska, V.; Zhivoderov, S.; Pivova, E.; Balyshev, V.; Namsrayn, S.; et al. Administration Routes and Doses of the Attenuated African Swine Fever Virus Strain PSA-1NH Influence Cross-Protection of Pigs against Heterologous Challenge. Animals 2024, 14, 1277. [Google Scholar] [CrossRef] [PubMed]
- Ståhl, K.; Sternberg-Lewerin, S.; Blome, S.; Viltrop, A.; Penrith, M.-L.; Chenais, E. Lack of Evidence for Long Term Carriers of African Swine Fever Virus—A Systematic Review. Virus Res. 2019, 272, 197725. [Google Scholar] [CrossRef] [PubMed]
- Lai, D.C.; Oh, T.; Nguyen, H.T.; Do, D.T. The Study of Antigen Carrying and Lesions Observed in Pigs That Survived Post African Swine Fever Virus Infection. Trop. Anim. Health Prod. 2022, 54, 264. [Google Scholar] [CrossRef] [PubMed]
- Urbano, A.C.; Ferreira, F. African Swine Fever Control and Prevention: An Update on Vaccine Development. Emerg. Microbes Infect. 2022, 11, 2021–2033. [Google Scholar] [CrossRef] [PubMed]
- European Commission. Guidelines on Surveillance and Control of African Swine Fever in Feral Pigs and Preventive Measures for Pig Holdings 2014. Available online: https://food.ec.europa.eu/system/files/2016-10/ad_control-measures_asf_wrk-doc-sanco-2013-7138.pdf (accessed on 19 December 2023).
- Muñoz-Pérez, C.; Jurado, C.; Sánchez-Vizcaíno, J.M. African Swine Fever Vaccine: Turning a Dream into Reality. Transbound. Emerg. Dis. 2021, 68, 2657–2668. [Google Scholar] [CrossRef] [PubMed]
- Coelho Cruz, B.; Toussaint, B.; Munoz Pinero, A.; Mėhn, D.; Ruiz Moreno, A.; Van Den Eede, G. JRC Technical Report: African Swine Fever (ASF) Vaccine Development: Progress and Challenges 2023; Publications Office of the European Union: Luxembourg, 2023; p. JRC134431. [Google Scholar] [CrossRef]
- Bosch-Camós, L.; López, E.; Rodriguez, F. African Swine Fever Vaccines: A Promising Work Still in Progress. Porc. Health Manag. 2020, 6, 17. [Google Scholar] [CrossRef]
- AVAC. AVAC ASF LIVE. Available online: http://www.avac.com.vn/en/products-for-pigs/avac-asf-live/ (accessed on 1 December 2023).
- Borca, M.V.; Ramirez-Medina, E.; Silva, E.; Vuono, E.; Rai, A.; Pruitt, S.; Espinoza, N.; Velazquez-Salinas, L.; Gay, C.G.; Gladue, D.P. ASFV-G-∆I177L as an Effective Oral Nasal Vaccine against the Eurasia Strain of Africa Swine Fever. Viruses 2021, 13, 765. [Google Scholar] [CrossRef] [PubMed]
- Ramirez-Medina, E.; Vuono, E.; Rai, A.; Pruitt, S.; Espinoza, N.; Velazquez-Salinas, L.; Pina-Pedrero, S.; Zhu, J.; Rodriguez, F.; Borca, M.V.; et al. Deletion of E184L, a Putative DIVA Target from the Pandemic Strain of African Swine Fever Virus, Produces a Reduction in Virulence and Protection against Virulent Challenge. J. Virol. 2022, 96, e01419-21. [Google Scholar] [CrossRef]
- Ramirez-Medina, E.; Vuono, E.; Silva, E.; Rai, A.; Valladares, A.; Pruitt, S.; Espinoza, N.; Velazquez-Salinas, L.; Borca, M.V.; Gladue, D.P. Evaluation of the Deletion of MGF110-5L-6L on Swine Virulence from the Pandemic Strain of African Swine Fever Virus and Use as a DIVA Marker in Vaccine Candidate ASFV-G-ΔI177L. J. Virol. 2022, 96, e00597-22. [Google Scholar] [CrossRef]
- Gallardo, C.; Soler, A.; Rodze, I.; Nieto, R.; Cano-Gómez, C.; Fernandez-Pinero, J.; Arias, M. Attenuated and Non-haemadsorbing (Non-HAD ) Genotype II African Swine Fever Virus (ASFV) Isolated in Europe, Latvia 2017. Transbound. Emerg. Dis. 2019, 66, 1399–1404. [Google Scholar] [CrossRef] [PubMed]
- Barasona, J.A.; Gallardo, C.; Cadenas-Fernández, E.; Jurado, C.; Rivera, B.; Rodríguez-Bertos, A.; Arias, M.; Sánchez-Vizcaíno, J.M. First Oral Vaccination of Eurasian Wild Boar Against African Swine Fever Virus Genotype II. Front. Vet. Sci. 2019, 6, 137. [Google Scholar] [CrossRef] [PubMed]
- Tamás, V.; Righi, C.; Mészáros, I.; D’Errico, F.; Olasz, F.; Casciari, C.; Zádori, Z.; Magyar, T.; Petrini, S.; Feliziani, F. Involvement of the MGF 110-11L Gene in the African Swine Fever Replication and Virulence. Vaccines 2023, 11, 846. [Google Scholar] [CrossRef] [PubMed]
- Petrini, S.; Righi, C.; Mészáros, I.; D’Errico, F.; Tamás, V.; Pela, M.; Olasz, F.; Gallardo, C.; Fernandez-Pinero, J.; Göltl, E.; et al. The Production of Recombinant African Swine Fever Virus Lv17/WB/Rie1 Strains and Their In Vitro and In Vivo Characterizations. Vaccines 2023, 11, 1860. [Google Scholar] [CrossRef] [PubMed]
- Van den Born, E.; Arias Neira, M.L.; Gallardo Frontaura, C.; Fernández Piñero, J.; Zádori, Z.; Mészáros, I.; Olasz, F.; Sánchez-Vizcaíno, J.M.; Barroso Arévalo, S.; Barasona García-Arévalo, J.Á.; et al. Attenuated African Swine Fever Virus and Use Thereof in Vaccine Compositions. European Patent Office Application No. PCT/EP2023/082518, 22 November 2022. not yet published. [Google Scholar]
- Gallardo, C.; Mészáros, I.; Soler, A.; Fernandez-Pinero, J.; van den Born, E.; Simón, A.; Casado, N.; Nieto, R.; Perez, C.; Aldea, I.; et al. Double Deletion of EP402R and EP153R in the Attenuated Lv17/WB/Rie1 African Swine Fever Virus (ASFV) Enhances Safety, Provides DIVA Compatibility, and Confers Complete Protection Against Genotype II Virulent Strain. Vaccines 2024, 12, 1406. [Google Scholar] [CrossRef] [PubMed]
- Malogolovkin, A.; Burmakina, G.; Tulman, E.R.; Delhon, G.; Diel, D.G.; Salnikov, N.; Kutish, G.F.; Kolbasov, D.; Rock, D.L. African Swine Fever Virus CD2v and C-Type Lectin Gene Loci Mediate Serological Specificity. J. Gen. Virol. 2015, 96, 866–873. [Google Scholar] [CrossRef]
- Burmakina, G.; Malogolovkin, A.; Tulman, E.R.; Xu, W.; Delhon, G.; Kolbasov, D.; Rock, D.L. Identification of T-Cell Epitopes in African Swine Fever Virus CD2v and C-Type Lectin Proteins. J. Gen. Virol. 2019, 100, 259–265. [Google Scholar] [CrossRef] [PubMed]
- Galindo, I.; Almazán, F.; Bustos, M.J.; Viñuela, E.; Carrascosa, A.L. African Swine Fever Virus EP153R Open Reading Frame Encodes a Glycoprotein Involved in the Hemadsorption of Infected Cells. Virology 2000, 266, 340–351. [Google Scholar] [CrossRef] [PubMed]
- Alejo, A.; Matamoros, T.; Guerra, M.; Andrés, G. A Proteomic Atlas of the African Swine Fever Virus Particle. J. Virol. 2018, 92, e01293-18. [Google Scholar] [CrossRef] [PubMed]
- Pei, Y.; Hodgins, D.C.; Wu, J.; Welch, S.-K.W.; Calvert, J.G.; Li, G.; Du, Y.; Song, C.; Yoo, D. Porcine Reproductive and Respiratory Syndrome Virus as a Vector: Immunogenicity of Green Fluorescent Protein and Porcine Circovirus Type 2 Capsid Expressed from Dedicated Subgenomic RNAs. Virology 2009, 389, 91–99. [Google Scholar] [CrossRef] [PubMed]
- Kumari, S.; Chaudhari, J.; Huang, Q.; Gauger, P.; De Almeida, M.N.; Liang, Y.; Ly, H.; Vu, H.L.X. Immunogenicity and Protective Efficacy of a Recombinant Pichinde Viral-Vectored Vaccine Expressing Influenza Virus Hemagglutinin Antigen in Pigs. Vaccines 2022, 10, 1400. [Google Scholar] [CrossRef]
- Gladue, D.P.; O’Donnell, V.; Ramirez-Medina, E.; Rai, A.; Pruitt, S.; Vuono, E.A.; Silva, E.; Velazquez-Salinas, L.; Borca, M.V. Deletion of CD2-Like (CD2v) and C-Type Lectin-Like (EP153R) Genes from African Swine Fever Virus Georgia-∆9GL Abrogates Its Effectiveness as an Experimental Vaccine. Viruses 2020, 12, 1185. [Google Scholar] [CrossRef] [PubMed]
- Lopez, E.; Bosch-Camós, L.; Ramirez-Medina, E.; Vuono, E.; Navas, M.J.; Muñoz, M.; Accensi, F.; Zhang, J.; Alonso, U.; Argilaguet, J.; et al. Deletion Mutants of the Attenuated Recombinant ASF Virus, BA71ΔCD2, Show Decreased Vaccine Efficacy. Viruses 2021, 13, 1678. [Google Scholar] [CrossRef]
- Petrovan, V.; Rathakrishnan, A.; Islam, M.; Goatley, L.C.; Moffat, K.; Sanchez-Cordon, P.J.; Reis, A.L.; Dixon, L.K. Role of African Swine Fever Virus Proteins EP153R and EP402R in Reducing Viral Persistence in Blood and Virulence in Pigs Infected with BeninΔDP148R. J. Virol. 2022, 96, e01340-21. [Google Scholar] [CrossRef]
- Borca, M.V.; O’Donnell, V.; Holinka, L.G.; Sanford, B.; Azzinaro, P.A.; Risatti, G.R.; Gladue, D.P. Development of a Fluorescent ASFV Strain That Retains the Ability to Cause Disease in Swine. Sci. Rep. 2017, 7, 46747. [Google Scholar] [CrossRef]
- Huang, L.; Liu, H.; Ye, G.; Liu, X.; Chen, W.; Wang, Z.; Zhao, D.; Zhang, Z.; Feng, C.; Hu, L.; et al. Deletion of African Swine Fever Virus (ASFV) H240R Gene Attenuates the Virulence of ASFV by Enhancing NLRP3-Mediated Inflammatory Responses. J. Virol. 2023, 97, e01227-22. [Google Scholar] [CrossRef] [PubMed]
- Carrascosa, A.L.; Bustos, M.J.; De Leon, P. Methods for Growing and Titrating African Swine Fever Virus: Field and Laboratory Samples. CP Cell Biol. 2011, 53, 26.14.1–26.14.25. [Google Scholar] [CrossRef] [PubMed]
- Gallardo, C.; Sánchez, E.G.; Pérez-Núñez, D.; Nogal, M.; De León, P.; Carrascosa, Á.L.; Nieto, R.; Soler, A.; Arias, M.L.; Revilla, Y. African Swine Fever Virus (ASFV) Protection Mediated by NH/P68 and NH/P68 Recombinant Live-Attenuated Viruses. Vaccine 2018, 36, 2694–2704. [Google Scholar] [CrossRef]
- Fresco-Taboada, A.; García-Durán, M.; Aira, C.; López, L.; Sastre, P.; Van Der Hoek, L.; Van Gils, M.J.; Brouwer, P.J.M.; Sanders, R.W.; Holzer, B.; et al. Diagnostic Performance of Two Serological Assays for the Detection of SARS-CoV-2 Specific Antibodies: Surveillance after Vaccination. Diagn. Microbiol. Infect. Dis. 2022, 102, 115650. [Google Scholar] [CrossRef] [PubMed]
- Villalba, M.; Lopez, L.; Redrado, M.; Ruiz, T.; de Aberasturi, A.L.; de la Roja, N.; Garcia, D.; Exposito, F.; de Andrea, C.; Alvarez-Fernandez, E.; et al. Development of Biological Tools to Assess the Role of TMPRSS4 and Identification of Novel Tumor Types with High Expression of This Prometastatic Protein. Histol. Histopathol. 2017, 32, 929–940. [Google Scholar] [CrossRef] [PubMed]
- WOAH. Terrestrial Animal Health Code 2024. Available online: https://www.woah.org/en/what-we-do/standards/codes-and-manuals/terrestrial-code-online-access (accessed on 1 December 2024).
- Zhao, K.; Shi, K.; Zhou, Q.; Xiong, C.; Mo, S.; Zhou, H.; Long, F.; Wei, H.; Hu, L.; Mo, M. The Development of a Multiplex Real-Time Quantitative PCR Assay for the Differential Detection of the Wild-Type Strain and the MGF505-2R, EP402R and I177L Gene-Deleted Strain of the African Swine Fever Virus. Animals 2022, 12, 1754. [Google Scholar] [CrossRef]
- Velazquez-Salinas, L.; Ramirez-Medina, E.; Rai, A.; Pruitt, S.; Vuono, E.A.; Espinoza, N.; Gladue, D.P.; Borca, M.V. Development Real-Time PCR Assays to Genetically Differentiate Vaccinated Pigs From Infected Pigs With the Eurasian Strain of African Swine Fever Virus. Front. Vet. Sci. 2021, 8, 768869. [Google Scholar] [CrossRef]
- Gladue, D.P.; Borca, M.V. Recombinant ASF Live Attenuated Virus Strains as Experimental Vaccine Candidates. Viruses 2022, 14, 878. [Google Scholar] [CrossRef]
- Borca, M.V.; Ramirez-Medina, E.; Espinoza, N.; Rai, A.; Spinard, E.; Velazquez-Salinas, L.; Valladares, A.; Silva, E.; Burton, L.; Meyers, A.; et al. Deletion of the EP402R Gene from the Genome of African Swine Fever Vaccine Strain ASFV-G-∆I177L Provides the Potential Capability of Differentiating between Infected and Vaccinated Animals. Viruses 2024, 16, 376. [Google Scholar] [CrossRef] [PubMed]
- Wang, L.; Fu, D.; Tesfagaber, W.; Li, F.; Chen, W.; Zhu, Y.; Sun, E.; Wang, W.; He, X.; Guo, Y.; et al. Development of an ELISA Method to Differentiate Animals Infected with Wild-Type African Swine Fever Viruses and Attenuated HLJ/18-7GD Vaccine Candidate. Viruses 2022, 14, 1731. [Google Scholar] [CrossRef] [PubMed]
- Muñoz, A.L.; Tabarés, E. Characteristics of the Major Structural Proteins of African Swine Fever Virus: Role as Antigens in the Induction of Neutralizing Antibodies. A Review. Virology 2022, 571, 46–51. [Google Scholar] [CrossRef]
- Kollnberger, S.D.; Gutierrez-Castañeda, B.; Foster-Cuevas, M.; Corteyn, A.; Parkhouse, R.M.E. Identification of the Principal Serological Immunodeterminants of African Swine Fever Virus by Screening a Virus cDNA Library with Antibody. J. Gen. Virol. 2002, 83, 1331–1342. [Google Scholar] [CrossRef]
- Lopera-Madrid, J.; Osorio, J.E.; He, Y.; Xiang, Z.; Adams, L.G.; Laughlin, R.C.; Mwangi, W.; Subramanya, S.; Neilan, J.; Brake, D.; et al. Safety and Immunogenicity of Mammalian Cell Derived and Modified Vaccinia Ankara Vectored African Swine Fever Subunit Antigens in Swine. Vet. Immunol. Immunopathol. 2017, 185, 20–33. [Google Scholar] [CrossRef] [PubMed]
- Jancovich, J.K.; Chapman, D.; Hansen, D.T.; Robida, M.D.; Loskutov, A.; Craciunescu, F.; Borovkov, A.; Kibler, K.; Goatley, L.; King, K.; et al. Immunization of Pigs by DNA Prime and Recombinant Vaccinia Virus Boost To Identify and Rank African Swine Fever Virus Immunogenic and Protective Proteins. J. Virol. 2018, 92, e02219-17. [Google Scholar] [CrossRef]
- Sauter-Louis, C.; Conraths, F.J.; Probst, C.; Blohm, U.; Schulz, K.; Sehl, J.; Fischer, M.; Forth, J.H.; Zani, L.; Depner, K.; et al. African Swine Fever in Wild Boar in Europe—A Review. Viruses 2021, 13, 1717. [Google Scholar] [CrossRef] [PubMed]
- Zhang, Y.; Wang, Q.; Zhu, Z.; Wang, S.; Tu, S.; Zhang, Y.; Zou, Y.; Liu, Y.; Liu, C.; Ren, W.; et al. Tracing the Origin of Genotype II African Swine Fever Virus in China by Genomic Epidemiology Analysis. Transbound. Emerg. Dis. 2023, 2023, 4820809. [Google Scholar] [CrossRef]
- Gallardo, C.; Fernández-Pinero, J.; Arias, M. African Swine Fever (ASF) Diagnosis, an Essential Tool in the Epidemiological Investigation. Virus Res. 2019, 271, 197676. [Google Scholar] [CrossRef] [PubMed]
- Rueda Pérez, P.; Sastre Antoranz, P.; Venteo Moreno, Á.; González García, G.; Arias Neira, M.L.; Gallardo, C.; Fernández Piñero, J.; Zádori, Z.; Mészáros, I.; Olasz, F.; et al. Method for Differentiating ASFV Infected from ASFV Vaccinated Animals. European Patent Office Application No. PCT/EP2023/082521, 22 November 2022. Not yet published.
- Gallardo, M.C.; de la Torre Reoyo, A.; Fernández-Pinero, J.; Iglesias, I.; Muñoz, M.J.; Arias, M.L. African Swine Fever: A Global View of the Current Challenge. Porc. Health Manag. 2015, 1, 21. [Google Scholar] [CrossRef] [PubMed]
- Martínez Avilés, M.; Bosch, J.; Ivorra, B.; Ramos, Á.M.; Ito, S.; Barasona, J.Á.; Sánchez-Vizcaíno, J.M. Epidemiological Impacts of Attenuated African Swine Fever Virus Circulating in Wild Boar Populations. Res. Vet. Sci. 2023, 162, 104964. [Google Scholar] [CrossRef]






| Sample Group | ASFV Strain or Vaccine | Type of Animal | Route | Dose (TCID50) | Nº of Samples | Nº of Animals | dpi/ dpv | Sampling Interval * |
|---|---|---|---|---|---|---|---|---|
| A1 | Lv17/WB/Rie1 | DP | IM | 102 | 43 | 5 | 0–54 | 7 days |
| IM | 10 | 36 | 1 | 0–126 | 3–4 days | |||
| ICP | - | 36 | 1 | 0–126 | 3–4 days | |||
| A2 | Lv17/WB/Rie1-ΔEP153R | DP | IM | 102 | 77 | 6 | 0–54 | 7 days |
| Lv17/WB/Rie1-ΔCD | 102 | 60 | 5 | 0–54 | 7 days | |||
| Lv17/WB/Rie1-ΔCD/UK | 102 | 60 | 5 | 0–54 | 7 days | |||
| B1 | Lv17/WB/Rie1 | WB | Oral | 103 + 103 | 62 | 5 | 0–89 | 7 days |
| 104 + 104 | 45 | 3 | 0–89 | 7 days | ||||
| B2 | Lv17/WB/Rie1-ΔCD | WB | Oral | 102 + 104 | 52 | 4 | 0–62 | 7 days |
| 104 | 44 | 4 | 0–61 | 7 days | ||||
| C | Pol18/WB/Case1794 | DP | IM | 10 | 40 | 2 | 0–66 | 3–4 days |
| Lv17/WB/Rie14/Tukuma5 | 10 | 62 | 2 | 0–121 | 3–4 days |
| Forward 1 | Reverse 1 | |
|---|---|---|
| pEP153R | 5’ TTGGCGCGCCaataaataaacccatatgt | 5’CCGCTCGAGACCTTGGAAATAGAGATTTTCcttgctgcatatgtagagcaa |
| eGFP | 5′atggtgagcaaaggtgaagaactg | 5′ttatttgtacagttcatccatacctaag |
| Domestic Pigs | Group A1 | Group A2 | ||||||
|---|---|---|---|---|---|---|---|---|
| dpi/dpv | [0–10) | [10–20) | [20–30) | ≥30 | [0–10) | [10–20) | [20–30) | ≥30 |
| Animal No. | 7 | 7 | 5 | 5 | 16 | 16 | 14 | 14 |
| Sample No. | 16 | 12 | 12 | 75 | 44 | 28 | 32 | 93 |
| Wild Boar | Group B1 | Group B2 | ||||||||
|---|---|---|---|---|---|---|---|---|---|---|
| dpi/dpv | [0–10) | [10–20) | [20–30) | [30–40) | ≥40 | [0–10) | [10–20) | [20–30) | [30–40) | ≥40 |
| Animal No. | 7 | 8 | 8 | 7 | 8 | 8 | 8 | 7 | 7 | 8 |
| Sample No. | 13 | 15 | 9 | 14 | 56 | 20 | 19 | 19 | 10 | 28 |
| Interpretation | ELISA Results Against Each Target Protein | ||
| p72 | pEP153R | eGFP | |
| Vaccinated * | P | N | P |
| Infected with a genotype II ASFV strain | P | P | N |
| Infected with a ASFV strain belonging to other genotype different from II or the time frame between p72 and pEP153R/eGFP antibody responses | P | N | N |
| ASFV non-infected or an early stage of the infection | N | N | N |
Disclaimer/Publisher’s Note: The statements, opinions and data contained in all publications are solely those of the individual author(s) and contributor(s) and not of MDPI and/or the editor(s). MDPI and/or the editor(s) disclaim responsibility for any injury to people or property resulting from any ideas, methods, instructions or products referred to in the content. |
© 2025 by the authors. Licensee MDPI, Basel, Switzerland. This article is an open access article distributed under the terms and conditions of the Creative Commons Attribution (CC BY) license (https://creativecommons.org/licenses/by/4.0/).
Share and Cite
González-García, G.; Gallardo, C.; Montón, M.; Barroso-Arévalo, S.; Casado, N.; Barasona, J.Á.; Sánchez-Vizcaíno, J.M.; Venteo, Á.; Sastre, P.; Rueda, P. A Novel Prototype African Swine Fever Virus DIVA (Differentiation Between Infected and Vaccinated Animals) Serological Assay Based on the Detection of Antibodies Against the pEP153R, eGFP, and p72 Proteins. Vaccines 2025, 13, 211. https://doi.org/10.3390/vaccines13030211
González-García G, Gallardo C, Montón M, Barroso-Arévalo S, Casado N, Barasona JÁ, Sánchez-Vizcaíno JM, Venteo Á, Sastre P, Rueda P. A Novel Prototype African Swine Fever Virus DIVA (Differentiation Between Infected and Vaccinated Animals) Serological Assay Based on the Detection of Antibodies Against the pEP153R, eGFP, and p72 Proteins. Vaccines. 2025; 13(3):211. https://doi.org/10.3390/vaccines13030211
Chicago/Turabian StyleGonzález-García, Gabriela, Carmina Gallardo, Mercedes Montón, Sandra Barroso-Arévalo, Nadia Casado, José Ángel Barasona, José Manuel Sánchez-Vizcaíno, Ángel Venteo, Patricia Sastre, and Paloma Rueda. 2025. "A Novel Prototype African Swine Fever Virus DIVA (Differentiation Between Infected and Vaccinated Animals) Serological Assay Based on the Detection of Antibodies Against the pEP153R, eGFP, and p72 Proteins" Vaccines 13, no. 3: 211. https://doi.org/10.3390/vaccines13030211
APA StyleGonzález-García, G., Gallardo, C., Montón, M., Barroso-Arévalo, S., Casado, N., Barasona, J. Á., Sánchez-Vizcaíno, J. M., Venteo, Á., Sastre, P., & Rueda, P. (2025). A Novel Prototype African Swine Fever Virus DIVA (Differentiation Between Infected and Vaccinated Animals) Serological Assay Based on the Detection of Antibodies Against the pEP153R, eGFP, and p72 Proteins. Vaccines, 13(3), 211. https://doi.org/10.3390/vaccines13030211

