DNA-Protective, Antioxidant and Anti-Carcinogenic Potential of Meadowsweet (Filipendula ulmaria) Dry Tincture
Abstract
1. Introduction
2. Materials and Methods
2.1. Chemicals, Reagents and Cells Lines
2.2. Plant Material Collection and Identification
2.3. Preparation of the Plant Extract (Dry Tincture, DT)
2.4. Determination of Total Polyphenols and HPLC Phenolic Profile
2.5. Determination of Antioxidant Activities
2.5.1. DPPH (1,1-diphenyl-2-picrylhydrazyl) Method
2.5.2. ABTS (2,2′-azinobis (3-ethylbenzothiazoline-6-sulphonic acid) Method
2.5.3. FRAP (Ferric Reducing Antioxidant Power) Method
2.5.4. CUPRAC (Cupric Ion Reducing Antioxidant Capacity) Method
2.6. In Vitro Method for DNA Nicking Protective Activity
2.7. In Vitro Method for Antiproliferative Activity
2.8. Statistical Methods
3. Results
3.1. HPLC Phenolic Profile of the Dry Tincture
3.2. In Vitro Tests for Biological Activities
3.2.1. Antioxidant Activities
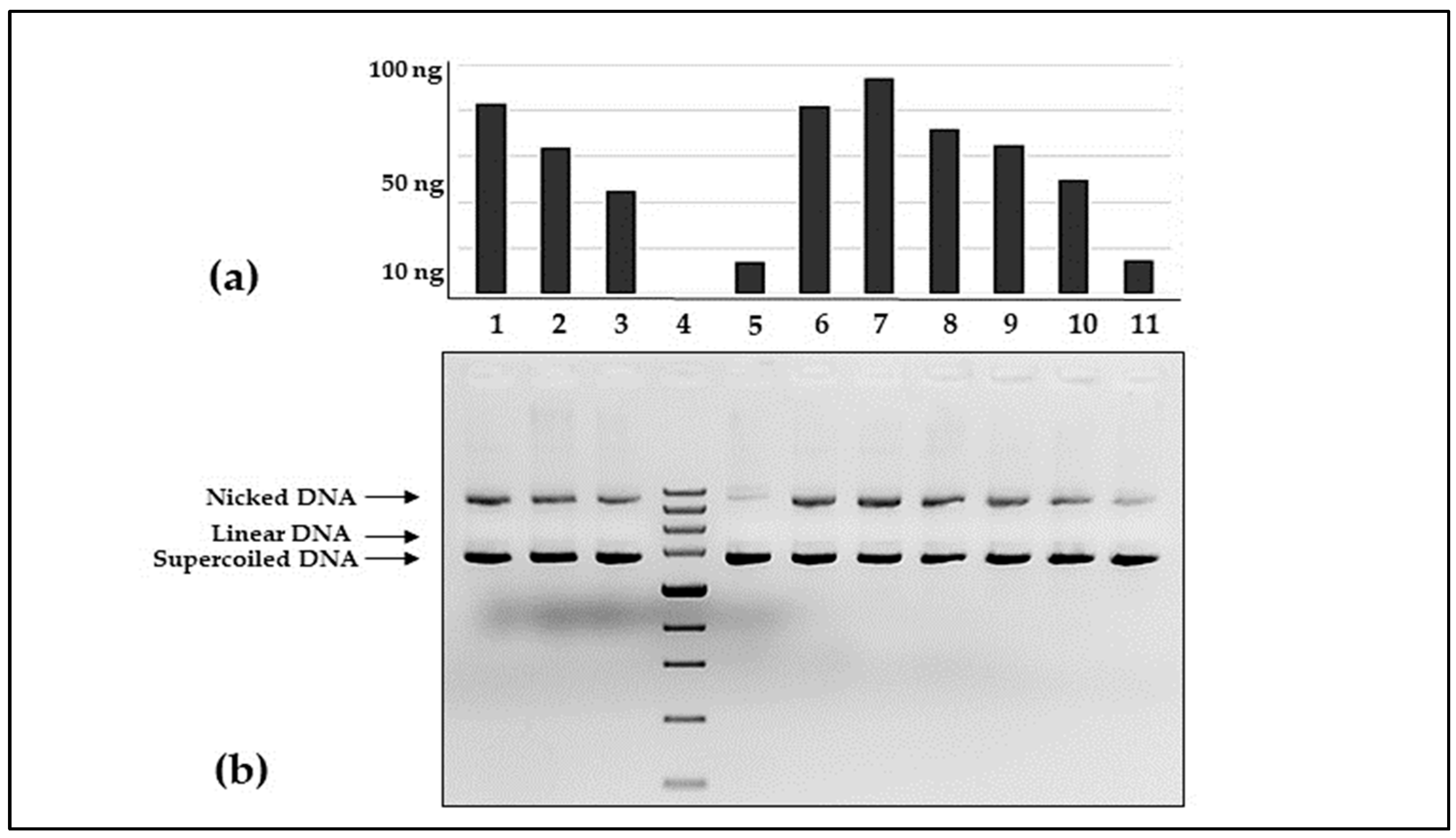
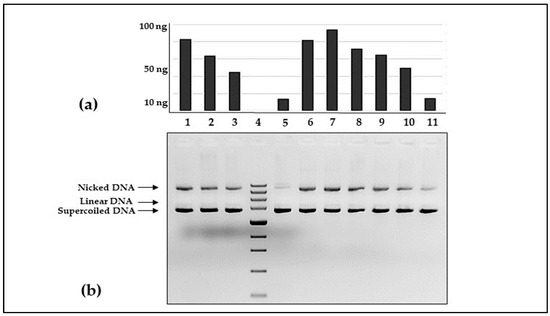
3.2.2. In Vitro DNA Protective Capacity
3.2.3. In Vitro Antiproliferative Activity
4. Discussion
5. Conclusions
Supplementary Materials
Author Contributions
Funding
Institutional Review Board Statement
Informed Consent Statement
Data Availability Statement
Conflicts of Interest
References
- Korać, R.; Khambholja, K. Potential of Herbs in Skin Protection from Ultraviolet Radiation. Phcog. Rev. 2011, 5, 164. [Google Scholar] [CrossRef]
- Kouassi, M.-C.; Grisel, M.; Gore, E. Multifunctional Active Ingredient-Based Delivery Systems for Skincare Formulations: A Review. Colloids Surf. B Biointerfaces 2022, 217, 112676. [Google Scholar] [CrossRef] [PubMed]
- Zafar, F.; Asif, H.M.; Shaheen, G.; Ghauri, A.O.; Rajpoot, S.R.; Tasleem, M.W.; Shamim, T.; Hadi, F.; Noor, R.; Ali, T.; et al. A Comprehensive Review on Medicinal Plants Possessing Antioxidant Potential. Clin. Exp. Pharma Physiol. 2023, 50, 205–217. [Google Scholar] [CrossRef] [PubMed]
- Fratta Pasini, A.M.; Cominacini, L. Potential Benefits of Antioxidant Phytochemicals on Endogenous Antioxidants Defences in Chronic Diseases. Antioxidants 2023, 12, 890. [Google Scholar] [CrossRef] [PubMed]
- Mohamed, A.A.; Alotaibi, B.M. Essential Oils of Some Medicinal Plants and Their Biological Activities: A Mini Review. J. Umm Al-Qura Univ. Appl. Sci. 2023, 9, 40–49. [Google Scholar] [CrossRef]
- Tutin, T.G.; Heywood, V.H.; Burges, N.A.; Moore, D.M.; Valentine, D.H.; Walters, S.M.; Europaea, F. Rosaceae to Umbelliferae; Cambridge University Press: Cambridge, UK, 1968; Volume 2, p. 499. [Google Scholar]
- Katanić, J.; Boroja, T.; Mihailović, V.; Nikles, S.; Pan, S.-P.; Rosić, G.; Selaković, D.; Joksimović, J.; Mitrović, S.; Bauer, R. In Vitro and in Vivo Assessment of Meadowsweet (Filipendula ulmaria) as Anti-Inflammatory Agent. J. Ethnopharmacol. 2016, 193, 627–636. [Google Scholar] [CrossRef]
- Bokov, D.O.; Kovaleva, T.Y.; Ermakova, V.A.; Trashchenkova, D.A.; Dorovskih, E.A.; Shilova, I.V.; Samylina, I.A. Comparative Study of the Biologically Active Substances Composition and Content in Meadowsweet (Filipendula ulmaria (L.) Maxim) Crude Herbal Drugs (Herb, Leafs, Flowers) of Russian Origin. IJPQA 2018, 9, 277–280. [Google Scholar] [CrossRef]
- Ložienė, K.; Būdienė, J.; Vaitiekūnaitė, U.; Pašakinskienė, I. Variations in Yield, Essential Oil, and Salicylates of Filipendula ulmaria Inflorescences at Different Blooming Stages. Plants 2023, 12, 300. [Google Scholar] [CrossRef]
- Baranenko, D.; Bespalov, V.; Nadtochii, L.; Shestopalova, I.; Chechetkina, A.; Lepeshkin, A.; Ilina, V. Development of Encapsulated Extracts on the Basis of Meadowsweet (Filipendula ulmaria) in the Composition of Functional Foods with Oncoprotective Properties. Agron. Res. 2019, 17, 1829–1838. [Google Scholar] [CrossRef]
- Birinci Yildirim, A.; Cimen, A.; Baba, Y.; Turker, A. Natural- and in Vitro-Grown Filipendula ulmaria (L.) Maxim: Evaluation of Pharmaceutical Potential (Antibacterial, Antioxidant and Toxicity) and Phenolic Profiles. Prosp. Pharm. Sci. 2024, 22, 1–10. [Google Scholar] [CrossRef]
- Van Der Auwera, A.; Peeters, L.; Foubert, K.; Piazza, S.; Vanden Berghe, W.; Hermans, N.; Pieters, L. In Vitro Biotransformation and Anti-Inflammatory Activity of Constituents and Metabolites of Filipendula ulmaria. Pharmaceutics 2023, 15, 1291. [Google Scholar] [CrossRef] [PubMed]
- European Pharmacopoeia, 8.0th ed.; Directorate for the Quality of Medicines and Health Care of the Council of Europe (EDQM): Strasbourg, France, 2013; Volume 1, Monographs on herbal drugs and herbal drug preparations; pp. 1316–1317.
- European Medicines Agency. Assessment Report on Filipendula ulmaria (L.) Maxim., Herba and Filipendula ulmaria (L.) Maxim., Flos. Available online: https://www.ema.europa.eu/en/medicines/herbal/filipendulae-ulmariae-flos (accessed on 29 September 2024).
- Katanić, J.; Boroja, T.; Stanković, N.; Mihailović, V.; Mladenović, M.; Kreft, S.; Vrvić, M.M. Bioactivity, stability and phenolic characterization of Filipendula ulmaria (L.) Maxim. Food Funct. 2015, 6, 1164–1175. [Google Scholar] [CrossRef] [PubMed]
- Katanić, J.; Matić, S.; Pferschy-Wenzig, E.-M.; Kretschmer, N.; Boroja, T.; Mihailović, V.; Stanković, V.; Stanković, N.; Mladenović, M.; Stanić, S.; et al. Filipendula ulmaria Extracts Attenuate Cisplatin-Induced Liver and Kidney Oxidative Stress in Rats: In Vivo Investigation and LC-MS Analysis. Food Chem. Toxicol. 2017, 99, 86–102. [Google Scholar] [CrossRef] [PubMed]
- Farzaneh, A.; Hadjiakhoondi, A.; Khanavi, M.; Manayi, A.; Bahram Soltani, R.; Kalkhorani, M. Filipendula ulmaria (L.) Maxim. (Meadowsweet): A Review of Traditional Uses, Phytochemistry and Pharmacology. Res. J. Pharmacogn. 2022, 9, 85–106. [Google Scholar] [CrossRef]
- Olennikov, D.N.; Kruglova, M.Y. A New Quercetin Glycoside and Other Phenolic Compounds from the Genus Filipendula. Chem. Nat. Compd. 2013, 49, 610–616. [Google Scholar] [CrossRef]
- Bijttebier, S.; Van Der Auwera, A.; Voorspoels, S.; Noten, B.; Hermans, N.; Pieters, L.; Apers, S. A First Step in the Quest for the Active Constituents in Filipendula ulmaria (Meadowsweet): Comprehensive Phytochemical Identification by Liquid Chromatography Coupled to Quadrupole-Orbitrap Mass Spectrometry. Planta Med. 2016, 82, 559–572. [Google Scholar] [CrossRef] [PubMed]
- Shilova, I.V.; Krasnov, E.A.; Korotkova, E.I.; Nagaev, M.G.; Lukina, A.N. Antioxidant Properties of Extracts from the Above-Ground Parts of Filipendula ulmaria. Pharm. Chem. J. 2006, 40, 660–662. [Google Scholar] [CrossRef]
- Sokolova, E.; Krol, T.; Adamov, G.; Minyazeva, Y.; Baleev, D.; Sidelnikov, N. Total Content and Composition of Phenolic Compounds from Filipendula Genus Plants and Their Potential Health-Promoting Properties. Molecules 2024, 29, 2013. [Google Scholar] [CrossRef]
- Pemp, E.; Reznicek, G.; Krenn, L. Fast Quantification of Flavonoids in Filipendulae ulmariae Flos by HPLC/ESI-MS Using a Nonporous Stationary Phase. J. Anal. Chem. 2007, 62, 669–673. [Google Scholar] [CrossRef]
- Samardžić, S.; Tomić, M.; Pecikoza, U.; Stepanović-Petrović, R.; Maksimović, Z. Antihyperalgesic Activity of Filipendula ulmaria (L.) Maxim. and Filipendula vulgaris Moench in a Rat Model of Inflammation. J. Ethnopharmacol. 2016, 193, 652–656. [Google Scholar] [CrossRef]
- Neagu, E.; Paun, G.; Albu, C.; Radu, G.-L. Assessment of Acetylcholinesterase and Tyrosinase Inhibitory and Antioxidant Activity of Alchemilla Vulgaris and Filipendula ulmaria Extracts. J. Taiwan Inst. Chem. Eng. 2015, 52, 1–6. [Google Scholar] [CrossRef]
- Pannakal, S.T.; Eilstein, J.; Hubert, J.; Kotland, A.; Prasad, A.; Gueguiniat-Prevot, A.; Juchaux, F.; Beaumard, F.; Seru, G.; John, S.; et al. Rapid Chemical Profiling of Filipendula ulmaria Using CPC Fractionation, 2-D Mapping of 13C NMR Data, and High-Resolution LC–MS. Molecules 2023, 28, 6349. [Google Scholar] [CrossRef]
- Savina, T.; Lisun, V.; Feduraev, P.; Skrypnik, L. Variation in Phenolic Compounds, Antioxidant and Antibacterial Activities of Extracts from Different Plant Organs of Meadowsweet (Filipendula ulmaria (L.) Maxim.). Molecules 2023, 28, 3512. [Google Scholar] [CrossRef]
- Pukalskienė, M.; Venskutonis, P.R.; Pukalskas, A. Phytochemical Characterization of Filipendula ulmaria by UPLC/Q-TOF-MS and Evaluation of Antioxidant Activity. Rec. Nat. Prod. 2015, 9, 451–455. [Google Scholar]
- Sukhikh, S.; Ivanova, S.; Skrypnik, L.; Bakhtiyarova, A.; Larina, V.; Krol, O.; Prosekov, A.; Frolov, A.; Povydysh, M.; Babich, O. Study of the Antioxidant Properties of Filipendula ulmaria and Alnus Glutinosa. Plants 2022, 11, 2415. [Google Scholar] [CrossRef] [PubMed]
- Gurita, V.G.; Pavel, I.Z.; Poenaru, M.; Moaca, E.A.; Florescu, S.; Danciu, C.; Dumitrascu, V.; Imbrea, I.; Pop, G. Assessment of the Antioxidant Effect of Ethanolic Extracts Obtained from Agrimonia eupatoria L., Filipendula ulmaria (L.) Maxim. and Filipendula vulgaris Moench Collected from the Estern Part of Romania. Rev. Chim. 2018, 69, 2385–2390. [Google Scholar] [CrossRef]
- Bespalov, V.G.; Alexandrov, V.A.; Semenov, A.L.; Vysochina, G.I.; Kostikova, V.A.; Baranenko, D.A. The Inhibitory Effect of Filipendula ulmaria (L.) Maxim. on Colorectal Carcinogenesis Induced in Rats by Methylnitrosourea. J. Ethnopharmacol. 2018, 227, 1–7. [Google Scholar] [CrossRef] [PubMed]
- Lima, M.J.; Sousa, D.; Lima, R.T.; Carvalho, A.M.; Ferreira, I.C.F.R.; Vasconcelos, M.H. Flower Extracts of Filipendula ulmaria (L.) Maxim Inhibit the Proliferation of the NCI-H460 Tumour Cell Line. Ind. Crops Prod. 2014, 59, 149–153. [Google Scholar] [CrossRef]
- Amosova, E.N.; Shilova, I.V.; Kiseleva, E.A.; Vetshev, F.P.; Zueva, E.P. Assessment of the Influences of Filipendula ulmaria Extracts Prepared by Two Methods on the Efficacy of Cytostatic Therapy. Pharm. Chem. J. 2023, 57, 1029–1034. [Google Scholar] [CrossRef]
- European Pharmacopoeia, 10.0th ed.; European Directorate for the Quality of Medicines & Health Care of the Council of Europe (EDQM): Strasbourg, France, 2019; Volume 1, General monografs; p. 867.
- Lima, D.M.D.; Santos, A.L.O.; Melo, M.R.S.D.; Tavares, D.C.; Martins, C.H.G.; Sousa, R.M.F. Cosmetic Preservative Potential and Chemical Composition of Lafoensia Replicata Pohl. Leaves. Plants 2024, 13, 2011. [Google Scholar] [CrossRef]
- Kukhtenko, H.; Bevz, N.; Konechnyi, Y.; Kukhtenko, O.; Jasicka-Misiak, I. Spectrophotometric and Chromatographic Assessment of Total Polyphenol and Flavonoid Content in Rhododendron Tomentosum Extracts and Their Antioxidant and Antimicrobial Activity. Molecules 2024, 29, 1095. [Google Scholar] [CrossRef] [PubMed]
- Krasteva, G. Effect of Basal Medium on Growth and Polyphenols Accumulation by Gardenia Jasminoides Ellis Cell Suspension. BIO Web. Conf. 2022, 45, 02006. [Google Scholar] [CrossRef]
- Andonova, T.; Muhovski, Y.; Vrancheva, R.; Slavov, I.; Apostolova, E.; Naimov, S.; Pavlov, A.; Dimitrova-Dyulgerova, I. Antioxidant and DNA-Protective Potentials, Main Phenolic Compounds, and Microscopic Features of Koelreuteria Paniculata Aerial Parts. Antioxidants 2022, 11, 1154. [Google Scholar] [CrossRef] [PubMed]
- Rajiv, C.; Roy, S.S.; Tamreihao, K.; Kshetri, P.; Singh, T.S.; Sanjita Devi, H.; Sharma, S.K.; Ansari, M.A.; Devi, E.D.; Devi, A.K.; et al. Anticarcinogenic and Antioxidant Action of an Edible Aquatic Flora Jussiaea repens L. Using In Vitro Bioassays and In Vivo Zebrafish Model. Molecules 2021, 26, 2291. [Google Scholar] [CrossRef] [PubMed]
- Sulikovska, I.; Ivanova, E.; Ivanov, I.; Tasheva, D.; Dimitrova, M.; Nikolova, B.; Iliev, I. Study on the Phototoxicity and Antitumor Activity of Plant Extracts from Tanacetum vulgare L., Epilobium parviflorum Schreb. and Geranium sanguineum L. Int. J. Bioautomation 2023, 27, 39–50. [Google Scholar] [CrossRef]
- Rodrigues, R.M.; Stinckens, M.; Ates, G.; Vanhaecke, T. Neutral Red Uptake Assay to Assess Cytotoxicity In Vitro. In Cell Viability Assays; Friedrich, O., Gilbert, D.F., Eds.; Methods in Molecular Biology; Springer: New York, NY, USA, 2023; Volume 2644, pp. 237–245. ISBN 978-1-07-163051-8. [Google Scholar]
- Statistics Kingdom. One-Way ANOVA Calculator and Tukey HSD. 2017. Available online: https://www.statskingdom.com/180Anova1way.html (accessed on 9 August 2024).
- Harbourne, N.; Jacquier, J.C.; O’Riordan, D. Optimisation of the Aqueous Extraction Conditions of Phenols from Meadowsweet (Filipendula ulmaria L.) for Incorporation into Beverages. Food Chem. 2009, 116, 722–727. [Google Scholar] [CrossRef]
- Harbourne, N.; Marete, E.; Jacquier, J.C.; O’Riordan, D. Effect of Drying Methods on the Phenolic Constituents of Meadowsweet (Filipendula ulmaria) and Willow (Salix Alba). LWT—Food Sci. Technol. 2009, 42, 1468–1473. [Google Scholar] [CrossRef]
- Mihailović, V.; Srećković, N.; Nedić, Z.P.; Dimitrijević, S.; Matić, M.; Obradović, A.; Selaković, D.; Rosić, G.; Katanić Stanković, J.S. Green Synthesis of Silver Nanoparticles Using Salvia Verticillata and Filipendula ulmaria Extracts: Optimization of Synthesis, Biological Activities, and Catalytic Properties. Molecules 2023, 28, 808. [Google Scholar] [CrossRef]
- Papastavropoulou, K.; Oz, E.; Oz, F.; Proestos, C. Polyphenols from Plants: Phytochemical Characterization, Antioxidant Capacity, and Antimicrobial Activity of Some Plants from Different Sites of Greece. Separations 2022, 9, 186. [Google Scholar] [CrossRef]
- Madkour, D.A.; Ahmed, M.M.; Elkirdasy, A.F.; Orabi, S.H.; Mousa, A.A. Rutin: Chemical Properties, Pharmacokinetic Properties and Biological Activities. Matrouh J. Vet. Med. 2024, 4, 26–34. [Google Scholar] [CrossRef]
- Kumar, D.; Sharma, P.K. Quercetin: A Comprehensive Review. Curr. Nutr. Food Sci. 2022, 20, 143–166. [Google Scholar] [CrossRef]
- Dias, M.C.; Pinto, D.C.G.A.; Silva, A.M.S. Plant Flavonoids: Chemical Characteristics and Biological Activity. Molecules 2021, 26, 5377. [Google Scholar] [CrossRef] [PubMed]
- Matić, S.; Katanić, J.; Stanić, S.; Mladenović, M.; Stanković, N.; Mihailović, V.; Boroja, T. In Vitro and In Vivo Assessment of the Genotoxicity and Antigenotoxicity of the Filipendula Hexapetala and Filipendula ulmaria Methanol Extracts. J. Ethnopharmacol. 2015, 174, 287–292. [Google Scholar] [CrossRef]
- Andonova, T.; Muhovski, Y.; Slavov, I.; Vrancheva, R.; Georgiev, V.; Apostolova, E.; Naimov, S.; Mladenov, R.; Pavlov, A.; Dimitrova-Dyulgerova, I. Phenolic Profile, Antioxidant and DNA-Protective Capacity, and Microscopic Characters of Ailanthus Altissima Aerial Substances. Plants 2023, 12, 920. [Google Scholar] [CrossRef]
- Poorna, C.A.; Resmi, M.S.; Soniya, E.V. In Vitro Antioxidant Analysis and the DNA Damage Protective Activity of Leaf Extract of the Excoecaria Agallocha Linn Mangrove Plant; Agricultural Chemistry; In Tech: New York, NY, USA, 2013; Volume 7, pp. 155–166. [Google Scholar]
- Wang, W.-T.; Liao, S.-F.; Wu, Z.-L.; Chang, C.-W.; Wu, J.-Y. Simultaneous Study of Antioxidant Activity, DNA Protection and Anti-Inflammatory Effect of Vernonia Amygdalina Leaves Extracts. PLoS ONE 2020, 15, e0235717. [Google Scholar] [CrossRef] [PubMed]
- Bespalov, V.G.; Baranenko, D.A.; Aleksandrov, V.A.; Semenov, A.L.; Kovan’ko, E.G.; Ivanov, S.D. Chemoprevention of Radiation-Induced Carcinogenesis Using Decoction of Meadowsweet (Filipendula ulmaria) Flowers. Pharm. Chem. J. 2019, 52, 860–862. [Google Scholar] [CrossRef]
- Amosova, E.N.; Shilova, I.V.; Zueva, E.P.; Rybalkina, O.Y. Influence of Filipendula ulmaria (L.) Maxim. Extract on Lewis Lung Carcinoma Development and Cytostatic Therapy Effectiveness in Mice. Pharm. Chem. J. 2019, 53, 458–461. [Google Scholar] [CrossRef]




| № | Compounds | Content, mg/g de * |
|---|---|---|
| Flavonoids | ||
| 1 | Rutin | 9.967 b ± 0.006 |
| 2 | Quercetin | 4.470 d ± 0.271 |
| 3 | Kaempferol | 0.728 e ± 0.043 |
| 4 | (+)-Catechin | 0.978 e ± 0.279 |
| 5 | (−)-Epicatechin | 0.496 e ± 0.012 |
| 6 | Hesperidin | nd |
| Phenolic acids | ||
| 7 | Gallic acid | 0.097 e ± 0.007 |
| 8 | Protocatehuic acid | 0.679 e ± 0.166 |
| 9 | Vanillic acid | 3.824 d ± 0.227 |
| 10 | Syringic acid | 0.252 e ± 0.027 |
| 11 | p-Coumaric acid | 6.805 c ± 0.348 |
| 12 | Salicylic acid | 18.836 a ± 0.535 |
| 13 | Rosmarinic acid | 4.009 d ± 0.194 |
| 14 | Chlorogenic acid | nd |
| 15 | Caffeic acid | nd |
| 16 | Ferulic acid | nd |
| Total phenolic content (Folin–Ciocalteu) | 343.34 ± 13.95 mg GAE/g ** | |
| Sample | Antioxidant Activity, μM TE/g * | |||
|---|---|---|---|---|
| DPPH | ABTS | FRAP | CUPRAC | |
| F. ulmaria DT | 3249.28 b ± 49.52 | 2701.31 b ± 106.64 | 3186 b ± 460.83 | 10,605.91 a ± 269.56 |
| BHT | 1620.52 c ± 166.66 | 1483.81 c ± 147.03 | 1634.22 c ± 183.53 | 3805.91 c ± 100.23 |
| L-Ascorbic acid | 5844.05 a ± 247.27 | 3749.84 a ± 166.64 | 5389.89 a ± 292.52 | 7826.27 b ± 275.02 |
| Mean IC50 ± SD (µg/mL) | ||
|---|---|---|
| Cell Lines | F. ulmaria DT | Cisplatin * |
| HaCaT | 107.54 b ± 9.01 | 2.60 ± 0.14 |
| SH-4 | 109.65 b ± 5.53 | 6.86 ± 0.47 |
| LnCap | 131.81 a ± 5.63 | 10.67 ± 0.75 |
| HepG2 | 88.16 c ± 1.51 | 5.74 ± 0.13 |
| Selective Index | ||
|---|---|---|
| Cell Lines | F. ulmaria DT | Cisplatin * |
| SH-4 | 0.98 | 0.38 |
| LnCap | 0.82 | 0.24 |
| HepG2 | 1.22 | 0.45 |
Disclaimer/Publisher’s Note: The statements, opinions and data contained in all publications are solely those of the individual author(s) and contributor(s) and not of MDPI and/or the editor(s). MDPI and/or the editor(s) disclaim responsibility for any injury to people or property resulting from any ideas, methods, instructions or products referred to in the content. |
© 2024 by the authors. Licensee MDPI, Basel, Switzerland. This article is an open access article distributed under the terms and conditions of the Creative Commons Attribution (CC BY) license (https://creativecommons.org/licenses/by/4.0/).
Share and Cite
Andonova, T.; Muhovski, Y.; Apostolova, E.; Naimov, S.; Mladenova, S.; Slavov, I.; Dincheva, I.; Georgiev, V.; Pavlov, A.; Dimitrova-Dyulgerova, I. DNA-Protective, Antioxidant and Anti-Carcinogenic Potential of Meadowsweet (Filipendula ulmaria) Dry Tincture. Antioxidants 2024, 13, 1200. https://doi.org/10.3390/antiox13101200
Andonova T, Muhovski Y, Apostolova E, Naimov S, Mladenova S, Slavov I, Dincheva I, Georgiev V, Pavlov A, Dimitrova-Dyulgerova I. DNA-Protective, Antioxidant and Anti-Carcinogenic Potential of Meadowsweet (Filipendula ulmaria) Dry Tincture. Antioxidants. 2024; 13(10):1200. https://doi.org/10.3390/antiox13101200
Chicago/Turabian StyleAndonova, Tsvetelina, Yordan Muhovski, Elena Apostolova, Samir Naimov, Silviya Mladenova, Iliya Slavov, Ivayla Dincheva, Vasil Georgiev, Atanas Pavlov, and Ivanka Dimitrova-Dyulgerova. 2024. "DNA-Protective, Antioxidant and Anti-Carcinogenic Potential of Meadowsweet (Filipendula ulmaria) Dry Tincture" Antioxidants 13, no. 10: 1200. https://doi.org/10.3390/antiox13101200
APA StyleAndonova, T., Muhovski, Y., Apostolova, E., Naimov, S., Mladenova, S., Slavov, I., Dincheva, I., Georgiev, V., Pavlov, A., & Dimitrova-Dyulgerova, I. (2024). DNA-Protective, Antioxidant and Anti-Carcinogenic Potential of Meadowsweet (Filipendula ulmaria) Dry Tincture. Antioxidants, 13(10), 1200. https://doi.org/10.3390/antiox13101200

