Wire Arc Additive Manufacturing of Complex-Shaped Capsules for HIP Sintering of Powder
Featured Application
Abstract
1. Introduction
- -
- Development of a slicer that can provide directly the robot program (sequence of instructions) in KRL format (case of KUKA robots) from the CAD design of the part to be printed;
- -
- Ilustration of the capabilities of the developed program (slicer/robot trajectories) through presentation of two examples, including the corresponding printed parts.
2. Materials and Methods
2.1. Slicing Software Development
2.2. WAAM Cell and Deposition Parameters
2.3. Characterization Techniques
2.3.1. Ferrite Content Analysis
2.3.2. Mechanical Testing
2.4. Hot Isostatic Pressing of Powder with a WAAM Capsule
- -
- Filling the AISI 316L capsule with AISI 316L powder on a vibrating plate;
- -
- Positioning a filter (to avoid suction of the powder);
- -
- Vacuum draw, and heating at 300 °C;
- -
- Pinching the filling tube, and welding;
- -
- HIP sintering with the following parameters:
- -
- Two cycles of vacuum draw/argon filling of the chamber.
- -
- Pressurization at 10 MPa.
- -
- Heating up to 1200 °C, 102 MPa, with two speeds (10 °C/min, and then 5).
- -
- 4h sintering at 1200 °C/102 MPa.
- -
- Natural cooling, and decompression from 150 °C.
3. Results and Discussions
3.1. Slicing Results and Typical Structure of the Robot Programs
3.2. Wire Arc Additive Manufacuring of Capsules
3.2.1. Printing of Complex Shape Capsules with the Slicing Method
- -
- The starting point of a polygon at the opposite side to the previous one;
- -
- The inversion of the rotation direction for each layer.
3.2.2. Printing of Simple Cylindrical Capsules with Direct Programming (No Slicing)
3.3. Characterization of Materials’ Properties
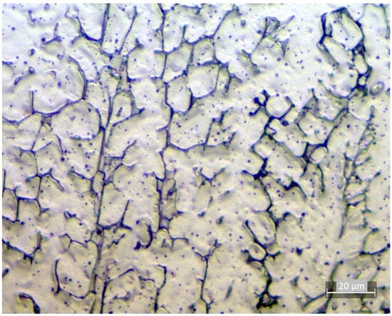
3.3.1. Microstructure and Ferrite Content of WAAM Samples
3.3.2. Mechanical Properties of WAAM Parts
- -
- A bilinear model with a Yield stress, and tangent modulus;
- -
- The Hollomon law, commonly used to predict the strain hardening behavior.
3.4. HIP of Powder with a Capsule Manufacured by WAAM
4. Conclusions
Supplementary Materials
Author Contributions
Funding
Institutional Review Board Statement
Informed Consent Statement
Data Availability Statement
Conflicts of Interest
Abbreviations
| WAAM | Wire Arc Additive Manufacturing |
| HIP | Hot Isostatic Pressing |
| UTS | Ultimate Tensile Strength |
| CAD | Computer-Aided Design |
| SMR | Small Modular Reactor |
| LPBF | Laser Powder Bed Fusion |
| EB-PBF | Electron Beam Powder Bed Fusion |
| CMT | Cold Metal Transfer |
| SMEs | Small- and Medium-Sized Enterprises |
| GMAW | Gas Metal Arc Welding |
| OLP | Offline Programming |
| STL | Standard Triangle (or Tesselation) Language |
| KRL | KUKA Robot Language |
| TCP | Tool Center Point |
References
- Bernard, F.; Château-Cornu, J.-P.; Bolot, R.; Mathieu, A.; Lamesle, P.; Frayssines, P.-É.; Lemarquis, L. Une application thermo-industrielle du futur au Creusot «Métallurgie des Poudres et Compression Isostatique à Chaud»: La plateforme EquipeX+/CALHIPSO. In Chaleur, Énergie, Thermodynamique, Le Message de Carnot Aujourd’hui… 200 Ans Après; Ed Éditions Universitaires de Dijon: Dijon Cedex, France, 2025. [Google Scholar]
- Horgar, A.; Fostervoll, H.; Nyhus, B.; Ren, X.; Eriksson, M.; Akselsen, O.M. Additive manufacturing using WAAM with AA5183 wire. J. Mater. Process. Technol. 2018, 259, 68–74. [Google Scholar] [CrossRef]
- Fuchs, C.; Baier, D.; Semm, T.; Zaeh, M.F. Determining the machining allowance for WAAM parts. Prod. Eng. 2020, 14, 629–637. [Google Scholar] [CrossRef]
- Rodrigues, T.A.; Duarte, V.R.; Miranda, R.M.; Santos, T.G.; Oliveira, J.P. Ultracold-Wire and arc additive manufacturing (UC-WAAM). J. Mater. Process. Technol. 2021, 296, 117196. [Google Scholar] [CrossRef]
- Pizano, L.F.L.; Sridar, S.; De Vecchis, R.R.; Wang, X.; Biddlecom, J.; Pataky, G.J.; Sudbrack, C.; Xiong, W. Recrystallization behavior and mechanical properties of Haynes 282 fabricated by wire-arc additive manufacturing with post-heat treatment. J. Manuf. Process. 2024, 119, 781–789. [Google Scholar] [CrossRef]
- Mclean, N.; Bermingham, M.J.; Colegrove, P.; Sales, A.; Soro, N.; Ng, C.H.; Dargusch, M.S. Effect of Hot Isostatic Pressing and heat treatments on porosity of Wire Arc Additive Manufactured Al 2319. J. Mater. Process. Technol. 2022, 310, 117769. [Google Scholar] [CrossRef]
- Shiyas, K.A.; Ramanujam, R. A review on post processing techniques of additively manufactured metal parts for improving the material properties. Mater. Today-Proc. 2021, 46, 1429–1436. [Google Scholar] [CrossRef]
- Motallebi, R.; Savaedi, Z.; Mirzadeh, H. Post-processing heat treatment of lightweight magnesium alloys fabricated by additive manufacturing: A review. J. Mater. Res. Technol. 2022, 20, 1873–1892. [Google Scholar] [CrossRef]
- Teixeira, R.D.S.; Oliveira, R.V.D.; Rodrigues, P.F.; Mascarenhas, J.; Neves, F.C.F.P.; Paula, A.D.S. Microwave versus Conventional Sintering of NiTi Alloys Processed by Mechanical Alloying. Materials 2022, 15, 5506. [Google Scholar] [CrossRef]
- Gurčík, T.; Kovanda, K. Waam technology optimized by off-line 3d robot simulation. Acta Polytech. 2019, 59, 312–321. [Google Scholar] [CrossRef]
- Schmitz, M.; Wiartalla, J.; Gelfgren, M.; Mann, S.; Corves, B.; Hüsing, M. A Robot-Centered Path-Planning Algorithm for Multidirectional Additive Manufacturing for WAAM Processes and Pure Object Manipulation. Appl. Sci. 2021, 11, 5759. [Google Scholar] [CrossRef]
- He, H.L.; Lu, C.L.; Ren, J.H.; Dhar, J.; Saunders, G.; Wason, J.; Samuel, J.; Julius, A.; Wen, J.T. Open-source software architecture for multi-robot Wire Arc Additive Manufacturing (WAAM). Appl. Eng. Sci. 2025, 22, 100204. [Google Scholar] [CrossRef]
- Baccomo, A.; Chanal, H.; Duc, E.; Limousin, M. A method for analyzing the kinematic influence of a robot on the WAAM process. Int. J. Adv. Manuf. Technol. 2025, 136, 4239–4255. [Google Scholar] [CrossRef]
- Riehm, S.; Kaletsch, A.; Broeckmann, C.; Friederici, V.; Wieland, S.; Petzoldt, F. Tailor-Made Net-Shape Composite Components by Combining Additive Manufacturing and Hot Isostatic Pressing. In Hot Isostatic Pressing: Hip’17 (Materials Research Proceedings); Materials Research Forum LLC: Millersville, PA, USA, 2019; Volume 10, pp. 203–209. [Google Scholar]
- Riehm, S.; Friederici, V.; Wiel, S.; Deng, Y.; Herzog, S.; Kaletsch, A.; Broeckmann, C. Tailor-made functional composite components using additive manufacturing and hot isostatic pressing. Powder Metall. 2021, 64, 295–307. [Google Scholar] [CrossRef]
- Bieske, J.; Franke, M.; Schloffer, M.; Körner, C. Microstructure and properties of TiAl processed via an electron beam powder bed fusion capsule technology. Intermetallics 2020, 126, 106929. [Google Scholar] [CrossRef]
- Farkoush, H.B.; Marchese, G.; Bassini, E.; Aversa, A.; Biamino, S. Microstructure of TiAl Capsules Processed by Electron Beam Powder Bed Fusion Followed by Post-Hot Isostatic Pressing. Materials 2023, 16, 5510. [Google Scholar]
- Ding, D.; Pan, Z.; Cuiuri, D.; Li, H.; Larkin, N.; van Duin, S. Multi-direction slicing of STL models for robotic wire-feed additive manufacturing. In Solid Freeform Fabrication Symposium; The University of Texas at Austin: Austin, TX, USA, 2015; pp. 1059–1069. [Google Scholar]
- Schmitz, M.; Weidemann, C.; Corves, B.; Hüsing, M. Trajectory Planning Strategy for Multidirectional Wire-Arc Additive Manufacturing. In ROMANSY 23—Robot Design, Dynamics and Control; Springer: Berlin/Heidelberg, Germany, 2020; pp. 467–475. [Google Scholar]
- Fang, H.C.; Ong, S.K.; Nee, A.Y.C. Robot path planning optimization for welding complex joints. Int. J. Adv. Manuf. Technol. 2017, 90, 3829–3839. [Google Scholar] [CrossRef]
- Venturini, G.; Montevecchi, F.; Scippa, A.; Campatelli, G. Optimization of WAAM Deposition Patterns for T-crossing Features. Procedia CIRP 2016, 55, 95–100. [Google Scholar] [CrossRef]
- Knezovic, N.; Topic, A. Wire and Arc Additive Manufacturing (WAAM)—A New Advance in Manufacturing. New Technol. Dev. Appl. 2019, 42, 65–71. [Google Scholar]
- Ali, M.H.; Han, Y.S. Effect of Phase Transformations on Scanning Strategy in WAAM Fabrication. Materials 2021, 14, 7871. [Google Scholar] [CrossRef]
- Reisgen, U.; Sharma, R.; Mann, S.; Oster, L. Increasing the manufacturing efficiency of WAAM by advanced cooling strategies. Weld. World 2020, 64, 1409–1416. [Google Scholar] [CrossRef]
- Rodrigues, T.A.; Duarte, V.; Miranda, R.M.; Santos, T.G.; Oliveira, J.P. Current Status and Perspectives on Wire and Arc Additive Manufacturing (WAAM). Materials 2019, 12, 1121. [Google Scholar] [CrossRef] [PubMed]
- The FREECAD Team 2023, FREECAD Website. Available online: https://www.freecad.org/ (accessed on 10 October 2025).
- KUKA Roboter GmbH, KRL Reference Guide Release 4.1. Available online: http://robot.zaab.org/wp-content/uploads/2014/04/KRL-Reference-Guide-v4_1.pdf (accessed on 10 October 2025).
- Scilab, Dassault Systèmes 2023. Available online: https://www.scilab.org/ (accessed on 10 October 2025).
- Franco-Rendón, C.M.; León-Henao, H.; Bedoya-Zapata, A.D.; Santa, J.F.; Giraldo, J.E. Failure analysis of fillet welds with premature corrosion in 316L stainless steel slide gates using constitution diagrams. Rev. UIS Ing. 2020, 19, 141–148. [Google Scholar] [CrossRef]













| Material (wire) | AISI 316 L |
| Wire diameter (mm) | 0.8 |
| Wire feed rate (m/min) | 12.5 |
| Average current intensity * (A) | 128 |
| Average voltage * (V) | 16 |
| Welding gas | Argon |
| Welding mode | CMT |
| Welding speed (m/s)-(m/min) | 0.0125–0.75 |
| Bilinear Law | Hollomon Law | |||||
|---|---|---|---|---|---|---|
| Orientation | UTS (MPa) | Max Strain (%) | Ys (MPa) | (GPa) | (MPa) | |
| H direction | 540 | 40 | 334 | 1.5 | 995 | 0.287 |
| V direction | 585 | 34 | 368 | 1.7 | 1048 | 0.277 |
Disclaimer/Publisher’s Note: The statements, opinions and data contained in all publications are solely those of the individual author(s) and contributor(s) and not of MDPI and/or the editor(s). MDPI and/or the editor(s) disclaim responsibility for any injury to people or property resulting from any ideas, methods, instructions or products referred to in the content. |
© 2025 by the authors. Licensee MDPI, Basel, Switzerland. This article is an open access article distributed under the terms and conditions of the Creative Commons Attribution (CC BY) license.
Share and Cite
Bolot, R.; Mathieu, A.; Aberbache, H.; Karoui, M.-A.; Bernard, F. Wire Arc Additive Manufacturing of Complex-Shaped Capsules for HIP Sintering of Powder. Appl. Sci. 2026, 16, 179. https://doi.org/10.3390/app16010179
Bolot R, Mathieu A, Aberbache H, Karoui M-A, Bernard F. Wire Arc Additive Manufacturing of Complex-Shaped Capsules for HIP Sintering of Powder. Applied Sciences. 2026; 16(1):179. https://doi.org/10.3390/app16010179
Chicago/Turabian StyleBolot, Rodolphe, Alexandre Mathieu, Hichem Aberbache, Mohamed-Achref Karoui, and Frédéric Bernard. 2026. "Wire Arc Additive Manufacturing of Complex-Shaped Capsules for HIP Sintering of Powder" Applied Sciences 16, no. 1: 179. https://doi.org/10.3390/app16010179
APA StyleBolot, R., Mathieu, A., Aberbache, H., Karoui, M.-A., & Bernard, F. (2026). Wire Arc Additive Manufacturing of Complex-Shaped Capsules for HIP Sintering of Powder. Applied Sciences, 16(1), 179. https://doi.org/10.3390/app16010179

