Myoprotective Role of Quercus acuta Thunb. Fruit Extract Through IGF-1–Akt–FOXO Axis Modulation in Dexamethasone-Induced Sarcopenia
Featured Application
Abstract
1. Introduction
2. Materials and Methods
2.1. Preparation of Quercus acuta Thunb. Fruit Extract
2.2. Cell Culture and In Vitro Experiments
2.3. Cell Viability Assay
2.4. Animal Experiments
2.5. Histological Analysis
2.6. Western Blot Analysis
2.7. Immunofluorescence Microscopy
2.8. ELISA Analysis
2.9. Statistical Analysis
3. Results
3.1. QA Maintains C2C12 Myoblast Viability and Does Not Exhibit Cytotoxicity
3.2. QA Suppresses Dexamethasone-Induced Expression of Atrophy-Related E3 Ubiquitin Ligases
3.3. QA Attenuates FOXO1 Nuclear Enrichment and Reduces Catabolic Gene Expression
3.4. QA Enhances Myogenic Differentiation Markers in C2C12 Myotubes
3.5. QA Preserves Muscle Mass and Fiber Cross-Sectional Area in Dexamethasone-Treated Mice
3.6. QA Modulates Serum Biomarkers of Muscle Homeostasis
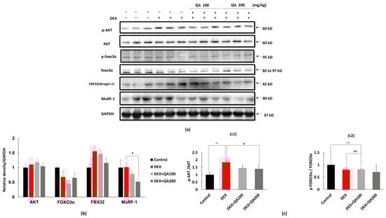
3.7. QA Restores IGF-1/Akt-FOXO3α Signaling in Dexamethasone-Treated Mice
4. Discussion
5. Conclusions
Supplementary Materials
Author Contributions
Funding
Institutional Review Board Statement
Informed Consent Statement
Data Availability Statement
Acknowledgments
Conflicts of Interest
References
- Cruz-Jentoft, A.J.; Bahat, G.; Bauer, J.; Boirie, Y.; Bruyère, O.; Cederholm, T.; Cooper, C.; Landi, F.; Rolland, Y.; Sayer, A.A.; et al. Sarcopenia: Revised European consensus on definition and diagnosis. Age Ageing 2019, 48, 16–31. [Google Scholar] [CrossRef]
- Beaudart, C.; Zaaria, M.; Pasleau, F.; Reginster, J.Y.; Bruyère, O. Health outcomes of sarcopenia: A systematic review and meta-analysis. PLoS ONE 2017, 12, e0169548. [Google Scholar] [CrossRef] [PubMed]
- Shimizu, K.; Genma, R.; Gotou, Y.; Nagasaka, S.; Fukada, S.I. Three-Dimensional Culture Model of Skeletal Muscle Tissue with Atrophy Induced by Dexamethasone. Bioengineering 2017, 4, 56. [Google Scholar] [CrossRef] [PubMed]
- Umeki, D.; Ohnuki, Y.; Mototani, Y.; Shiozawa, K.; Suita, K.; Fujita, T.; Nakamura, Y.; Saeki, Y.; Okumura, S.; Ishikawa, Y. Protective Effects of Clenbuterol against Dexamethasone-Induced Masseter Muscle Atrophy and Myosin Heavy Chain Transition. PLoS ONE 2015, 10, e0128263. [Google Scholar] [CrossRef] [PubMed]
- Bodine, S.C.; Stitt, T.N.; Gonzalez, M.; Kline, W.O.; Stover, G.L.; Bauerlein, R.; Zlotchenko, E.; Scrimgeour, A.; Lawrence, J.C.; Glass, D.J.; et al. Akt/mTOR pathway is a crucial regulator of skeletal muscle hypertrophy and can prevent muscle atrophy in vivo. Nat. Cell Biol. 2001, 3, 1014–1019. [Google Scholar] [CrossRef]
- Sandri, M.; Sandri, C.; Gilbert, A.; Skurk, C.; Calabria, E.; Picard, A.; Walsh, K.; Schiaffino, S.; Lecker, S.H.; Goldberg, A.L. Foxo transcription factors induce the atrophy-related ubiquitin ligase atrogin-1 and cause skeletal muscle atrophy. Cell 2004, 117, 399–412. [Google Scholar] [CrossRef]
- Stitt, T.N.; Drujan, D.; Clarke, B.A.; Panaro, F.; Timofeyva, Y.; Kline, W.O.; Gonzalez, M.; Yancopoulos, G.D.; Glass, D.J. The IGF-1/PI3K/Akt pathway prevents expression of muscle atrophy-induced ubiquitin ligases by inhibiting FOXO transcription factors. Mol. Cell 2004, 14, 395–403. [Google Scholar] [CrossRef]
- Glass, D.J. Signaling pathways perturbing muscle mass. Curr. Opin. Clin. Nutr. Metab. Care 2010, 13, 225–229. [Google Scholar] [CrossRef]
- Gomes, M.D.; Lecker, S.H.; Jagoe, R.T.; Navon, A.; Goldberg, A.L. Atrogin-1, a muscle-specific F-box protein highly expressed during muscle atrophy. Proc. Natl. Acad. Sci. USA 2001, 98, 14440–14445. [Google Scholar] [CrossRef]
- Bodine, S.C.; Latres, E.; Baumhueter, S.; Lai, V.K.; Nunez, L.; Clarke, B.A.; Poueymirou, W.T.; Panaro, F.J.; Na, E.; Dharmarajan, K.; et al. Identification of ubiquitin ligases required for skeletal muscle atrophy. Science 2001, 294, 1704–1708. [Google Scholar] [CrossRef]
- Wang, P.; Kang, S.Y.; Kim, S.J.; Huynh, D.T.N.; Park, S.K.; Noh, K.; Kang, C.; Suh, J.W.; Park, S. Monotropein Improves Dexamethasone-Induced Muscle Atrophy via the AKT/mTOR/FOXO3a Signaling Pathways. Nutrients 2022, 14, 1859. [Google Scholar] [CrossRef]
- Hah, Y.S.; Lee, W.K.; Lee, S.; Kim, J.H.; Hwang, D.H.; Kang, H.G.; Lee, D.H.; Han, J.H.; Lim, Y.C.; Kim, Y.M. β-Sitosterol Attenuates Dexamethasone-Induced Muscle Atrophy via Regulating FoxO1-Dependent Signaling in C2C12 Cell and Mice Model. Nutrients 2022, 14, 2894. [Google Scholar] [CrossRef] [PubMed]
- Otsuka, Y.; Egawa, K.; Kanzaki, N.; Izumo, T.; Rogi, T.; Shibata, H. Quercetin glycosides prevent dexamethasone-induced muscle atrophy in mice. Biochem. Biophys. Rep. 2019, 18, 100618. [Google Scholar] [CrossRef] [PubMed]
- Kim, M.H.; Park, D.H.; Bae, M.S.; Song, S.H.; Seo, H.J.; Han, D.G.; Oh, D.S.; Jung, S.T.; Cho, Y.C.; Park, K.M.; et al. Analysis of the Active Constituents and Evaluation of the Biological Effects of Quercus acuta Thunb. (Fagaceae) Extracts. Molecules 2018, 23, 1772. [Google Scholar] [CrossRef] [PubMed]
- Oh, M.H.; Park, K.H.; Kim, M.; Kim, H.H.; Kim, S.R.; Park, K.J.; Heo, J.H.; Lee, M.W. Anti-Oxidative and Anti- Inflammatory Effects of Phenolic Compounds from the Stems of Quercus acuta Thunberg. Asian J. Chem. 2014, 26, 3803–3808. [Google Scholar] [CrossRef]
- Yoon, I.S.; Park, D.H.; Bae, M.S.; Oh, D.S.; Kwon, N.H.; Kim, J.E.; Choi, C.; Cho, S.S. In Vitro and In Vivo Studies on Quercus acuta Thunb. (Fagaceae) Extract: Active Constituents, Serum Uric Acid Suppression, and Xanthine Oxidase Inhibitory Activity. Evid. Based Complement. Alternat. Med. 2017, 2017, 4097195. [Google Scholar] [CrossRef]
- Kim, J.K.; Yang, H.J.; Go, Y. Quercus acuta Thunb. suppresses LPS-induced neuroinflammation in BV2 microglial cells via regulating MAPK/NF-κB and Nrf2/HO-1 pathway. Antioxidants 2022, 11, 1851. [Google Scholar] [CrossRef]
- Hong, J.A.; Bae, D.; Oh, K.N.; Oh, D.R.; Kim, Y.; Kim, Y.; Jeong, I.S.; Choi, E.J.; Lee, S.G.; Kim, M.; et al. Protective effects of Quercus acuta Thunb. fruit extract against UVB-induced photoaging through ERK/AP-1 signaling modulation in human keratinocytes. BMC Complement. Med. Ther. 2022, 22, 6. [Google Scholar] [CrossRef]
- Yaffe, D.; Saxel, O. Serial passaging and differentiation of myogenic cells isolated from dystrophic mouse muscle. Nature 1977, 270, 725–727. [Google Scholar] [CrossRef]
- Blau, H.M.; Pavlath, G.K.; Hardeman, E.C.; Chiu, C.P.; Silberstein, L.; Webster, S.G.; Miller, S.C.; Webster, C. Plasticity of the differentiated state. Science 1985, 230, 758–766. [Google Scholar] [CrossRef]
- Burattini, S.; Ferri, P.; Battistelli, M.; Curci, R.; Luchetti, F.; Falcieri, E. C2C12 murine myoblasts as a model of skeletal muscle development: Morpho-functional characterization. Eur. J. Histochem. 2004, 48, 223–233. [Google Scholar] [PubMed]
- Charge, S.B.; Rudnicki, M.A. Cellular and molecular regulation of muscle regeneration. Physiol. Rev. 2004, 84, 209–238. [Google Scholar] [CrossRef] [PubMed]
- Kim, S.H.; Choi, S.Y.; Lee, H.I.; Choi, J.H.; Kim, K.W.; Lee, M.K. Yuja peel hot water extract protects against dexamethasone-induced skeletal muscle atrophy through the PI3K-Akt-mTOR/FoxO3α signaling pathway. Nutr. Res. Pract. 2025, 19, 511–525. [Google Scholar] [CrossRef] [PubMed]
- Cheon, Y.H.; Kim, H.S.; Yeo, J.H.; Shin, D.W.; Kim, N.; Park, S.C.; Lim, S.T.; Kwon, T.K.; Kim, Y.M. Vigeo (Fermented Cordyceps militaris and Lentinula edodes) Alleviates Dexamethasone-Induced Muscle Atrophy through the Akt/mTOR/FoxO3a Signaling Pathway. Nutrients 2024, 16, 1169. [Google Scholar]
- Lecker, S.H.; Jagoe, R.T.; Gilbert, A.; Gomes, M.; Baracos, V.; Bailey, J.; Price, S.R.; Mitch, W.E.; Goldberg, A.L. Multiple types of skeletal muscle atrophy involve a common program of changes in gene expression. FASEB J. 2004, 18, 39–51. [Google Scholar] [CrossRef]
- Sacheck, J.M.; Hyatt, J.P.; Raffaello, A.; Jagoe, R.T.; Roy, R.R.; Edgerton, V.R.; Lecker, S.H.; Goldberg, A.L. Rapid disuse and denervation atrophy involve transcriptional changes similar to those of muscle wasting during systemic diseases. FASEB J. 2007, 21, 140–155. [Google Scholar] [CrossRef]
- Kamei, Y.; Miura, S.; Suzuki, M.; Kai, Y.; Mizukami, J.; Taniguchi, T.; Mochida, K.; Hata, T.; Matsuda, J.; Aburatani, H.; et al. Skeletal muscle FOXO1 (FKHR) transgenic mice have less skeletal muscle mass, down- regulated Type I (slow twitch/red muscle) fiber genes, and impaired glycemic control. J. Biol. Chem. 2004, 279, 41114–41123. [Google Scholar] [CrossRef]
- Reed, S.A.; Sandesara, P.B.; Senf, S.M.; Judge, A.R. Inhibition of FoxO transcriptional activity prevents muscle fiber atrophy during cachexia and induces hypertrophy. FASEB J. 2012, 26, 987–1000. [Google Scholar] [CrossRef]
- Braun, T.; Gautel, M. Transcriptional mechanisms regulating skeletal muscle differentiation, growth and homeostasis. Nat. Rev. Mol. Cell Biol. 2011, 12, 349–361. [Google Scholar] [CrossRef]
- Buckingham, M.; Rigby, P.W. Gene regulatory networks and transcriptional mechanisms that control myogenesis. Dev. Cell 2014, 28, 225–238. [Google Scholar] [CrossRef]
- Nakao, R.; Yamamoto, S.; Yasumoto, Y.; Kadota, K.; Oishi, K. Dosing schedule-dependent attenuation of dexamethasone-induced muscle atrophy in mice. Chronobiol. Int. 2014, 31, 506–514. [Google Scholar] [CrossRef]
- Schakman, O.; Kalista, S.; Bertrand, L.; Lause, P.; Verniers, J.; Ketelslegers, J.M.; Thissen, J.P. Role of Akt/GSK-3β/β-catenin transduction pathway in the muscle anti-atrophy action of insulin-like growth factor-I in glucocorticoid-treated rats. Endocrinology 2008, 149, 3900–3908. [Google Scholar] [CrossRef] [PubMed]
- McPherron, A.C.; Lawler, A.M.; Lee, S.J. Regulation of skeletal muscle mass in mice by a new TGF-beta superfamily member. Nature 1997, 387, 83–90. [Google Scholar] [CrossRef] [PubMed]
- Schiaffino, S.; Mammucari, C. Regulation of skeletal muscle growth by the IGF1-Akt/PKB pathway: Insights from genetic models. Skelet Muscle 2011, 1, 4. [Google Scholar] [CrossRef] [PubMed]
- Rommel, C.; Bodine, S.C.; Clarke, B.A.; Rossman, R.; Nunez, L.; Stitt, T.N.; Yancopoulos, G.D.; Glass, D.J. Mediation of IGF-1-induced skeletal myotube hypertrophy by PI(3)K/Akt/mTOR and PI(3)K/Akt/GSK3 pathways. Nat. Cell Biol. 2001, 3, 1009–1013. [Google Scholar] [CrossRef]
- Mishra, S.; Cosentino, C.; Tamta, A.K.; Khan, D.; Srinivasan, S.; Gavin, M.; Tian, R.; Willette, A.A.; Kapoor, A.; Kumar, A.; et al. Sirtuin 6 inhibition protects against glucocorticoid-induced skeletal muscle atrophy by regulating IGF/PI3K/AKT signaling. Nat. Commun. 2022, 13, 5415. [Google Scholar] [CrossRef]
- Schiaffino, S.; Dyar, K.A.; Ciciliot, S.; Blaauw, B.; Sandri, M. Mechanisms regulating skeletal muscle growth and atrophy. FEBS J. 2013, 280, 4294–4314. [Google Scholar] [CrossRef]
- Egerman, M.A.; Glass, D.J. Signaling pathways controlling skeletal muscle mass. Crit. Rev. Biochem. Mol. Biol. 2014, 49, 59–68. [Google Scholar] [CrossRef]
- Manning, B.D.; Toker, A. AKT/PKB Signaling: Navigating the Network. Cell 2017, 169, 381–405. [Google Scholar] [CrossRef]
- Brunet, A.; Bonni, A.; Zigmond, M.J.; Lin, M.Z.; Juo, P.; Hu, L.S.; Anderson, M.J.; Arden, K.C.; Blenis, J.; Greenberg, M.E. Akt promotes cell survival by phosphorylating and inhibiting a Forkhead transcription factor. Cell 1999, 96, 857–868. [Google Scholar] [CrossRef]
- Zhao, J.; Brault, J.J.; Schild, A.; Cao, P.; Sandri, M.; Schiaffino, S.; Lecker, S.H.; Goldberg, A.L. FoxO3 coordinately activates protein degradation by the autophagic/lysosomal and proteasomal pathways in atrophying muscle cells. Cell Metab. 2007, 6, 472–483. [Google Scholar] [CrossRef] [PubMed]
- Milan, G.; Romanello, V.; Pescatore, F.; Armani, A.; Paik, J.H.; Frasson, L.; Seydel, A.; Zhao, J.; Abraham, R.; Goldberg, A.L.; et al. Regulation of autophagy and the ubiquitin-proteasome system by the FoxO transcriptional network during muscle atrophy. Nat. Commun. 2015, 6, 6670. [Google Scholar] [CrossRef] [PubMed]
- Laplante, M.; Sabatini, D.M. mTOR signaling in growth control and disease. Cell 2012, 149, 274–293. [Google Scholar] [CrossRef] [PubMed]
- Saxton, R.A.; Sabatini, D.M. mTOR Signaling in Growth, Metabolism, and Disease. Cell 2017, 168, 960–976. [Google Scholar] [CrossRef]
- Lee, S.J. Regulation of muscle mass by myostatin. Annu. Rev. Cell Dev. Biol. 2004, 20, 61–86. [Google Scholar] [CrossRef]
- Zimmers, T.A.; Davies, M.V.; Koniaris, L.G.; Haynes, P.; Esquela, A.F.; Tomkinson, K.N.; McPherron, A.C.; Wolfman, N.M.; Lee, S.J. Induction of cachexia in mice by systemically administered myostatin. Science 2002, 296, 1486–1488. [Google Scholar] [CrossRef]
- Schakman, O.; Dehoux, M.; Dogné, S.; Kalista, S.; Bertrand, L.; Lause, P.; Verniers, J.; Underwood, L.E.; Ketelslegers, J.M.; Thissen, J.P. Role of IGF-I and the TNFα/NF-κB pathway in the induction of muscle atrogenes by acute inflammation. Am. J. Physiol. Endocrinol. Metab. 2012, 303, E729–E739. [Google Scholar] [CrossRef]
- Pereira, R.M.; Freire de Carvalho, J. Glucocorticoid-induced myopathy. Jt. Bone Spine 2011, 78, 41–44. [Google Scholar] [CrossRef]
- Yang, H.W.; Oh, S.W.; Chung, D.M.; Park, W.S.; Min, T.S.; Park, C.H.; Kim, H.R. Ishophloroglucin A, Isolated from Ishige okamurae, Alleviates Dexamethasone-Induced Muscle Atrophy through Muscle Protein Metabolism In Vivo. Mar. Drugs 2022, 20, 280. [Google Scholar] [CrossRef]
- Yun, C.E.; So, H.K.; Vuong, T.A.; Clarke, E.; Huh, Y.; Kim, J.; Choi, H.; Kim, J.H.; Park, S.K.; Shin, J.; et al. Aronia Upregulates Myogenic Differentiation and Augments Muscle Mass and Function Through Muscle Metabolism. Front. Nutr. 2021, 8, 753643. [Google Scholar] [CrossRef]






| Group | Calculated (pg/mL) | Adjusted (pg/mL × 40) | Relative Change (%) vs. Control | p-Value (vs. Control) | p-Value (vs. Dex) |
|---|---|---|---|---|---|
| Control | 620 ± 25 | 24,800 ± 1000 | 100 ± 0.0 | — | |
| Dex | 1500 ± 60 | 60,000 ± 2400 | ↑ 242% | 0.0006 *** | |
| Dex + QA 100 | 1075 ± 45 | 43,000 ± 1800 | ↓ 28% vs. Dex | 0.0014 ** | 0.007 # |
| Dex + QA 200 | 1085 ± 50 | 43,400 ± 2000 | ↓ 28% vs. Dex | 0.0007 *** | 0.013 # |
| Group | Calculated (pg/mL) | Adjusted (pg/mL × 500) | Relative Change (%) vs. Control | p-Value (vs. Control) | p-Value (vs. DEX) |
|---|---|---|---|---|---|
| Control | 625 ± 30 | 312,500 ± 15,000 | 100 ± 0.0 | — | |
| Dex | 565 ± 25 | 282,500 ± 12,500 | ↓ 10% | 0.334 | |
| Dex + QA 100 | 640 ± 35 | 282,500 ± 12,500 | ↑ 13% vs. DEX | 0.831 | 0.250 |
| Dex + QA 200 | 675 ± 30 | 337,500 ± 15,000 | ↑ 19% vs. DEX | 0.564 | 0.124 |
Disclaimer/Publisher’s Note: The statements, opinions and data contained in all publications are solely those of the individual author(s) and contributor(s) and not of MDPI and/or the editor(s). MDPI and/or the editor(s) disclaim responsibility for any injury to people or property resulting from any ideas, methods, instructions or products referred to in the content. |
© 2025 by the authors. Licensee MDPI, Basel, Switzerland. This article is an open access article distributed under the terms and conditions of the Creative Commons Attribution (CC BY) license (https://creativecommons.org/licenses/by/4.0/).
Share and Cite
Choi, D.-I.; Lee, H.; Heo, S.; Hong, J.-A.; Bae, D.; Choi, C.-Y. Myoprotective Role of Quercus acuta Thunb. Fruit Extract Through IGF-1–Akt–FOXO Axis Modulation in Dexamethasone-Induced Sarcopenia. Appl. Sci. 2025, 15, 12978. https://doi.org/10.3390/app152412978
Choi D-I, Lee H, Heo S, Hong J-A, Bae D, Choi C-Y. Myoprotective Role of Quercus acuta Thunb. Fruit Extract Through IGF-1–Akt–FOXO Axis Modulation in Dexamethasone-Induced Sarcopenia. Applied Sciences. 2025; 15(24):12978. https://doi.org/10.3390/app152412978
Chicago/Turabian StyleChoi, Da-In, HuiJun Lee, Seokhoon Heo, Ji-Ae Hong, Donghyuk Bae, and Chul-Yung Choi. 2025. "Myoprotective Role of Quercus acuta Thunb. Fruit Extract Through IGF-1–Akt–FOXO Axis Modulation in Dexamethasone-Induced Sarcopenia" Applied Sciences 15, no. 24: 12978. https://doi.org/10.3390/app152412978
APA StyleChoi, D.-I., Lee, H., Heo, S., Hong, J.-A., Bae, D., & Choi, C.-Y. (2025). Myoprotective Role of Quercus acuta Thunb. Fruit Extract Through IGF-1–Akt–FOXO Axis Modulation in Dexamethasone-Induced Sarcopenia. Applied Sciences, 15(24), 12978. https://doi.org/10.3390/app152412978

