Neuroimaging Features of GRIN-Related Epilepsies
Abstract
Featured Application
Abstract
1. Introduction
2. Materials and Methods
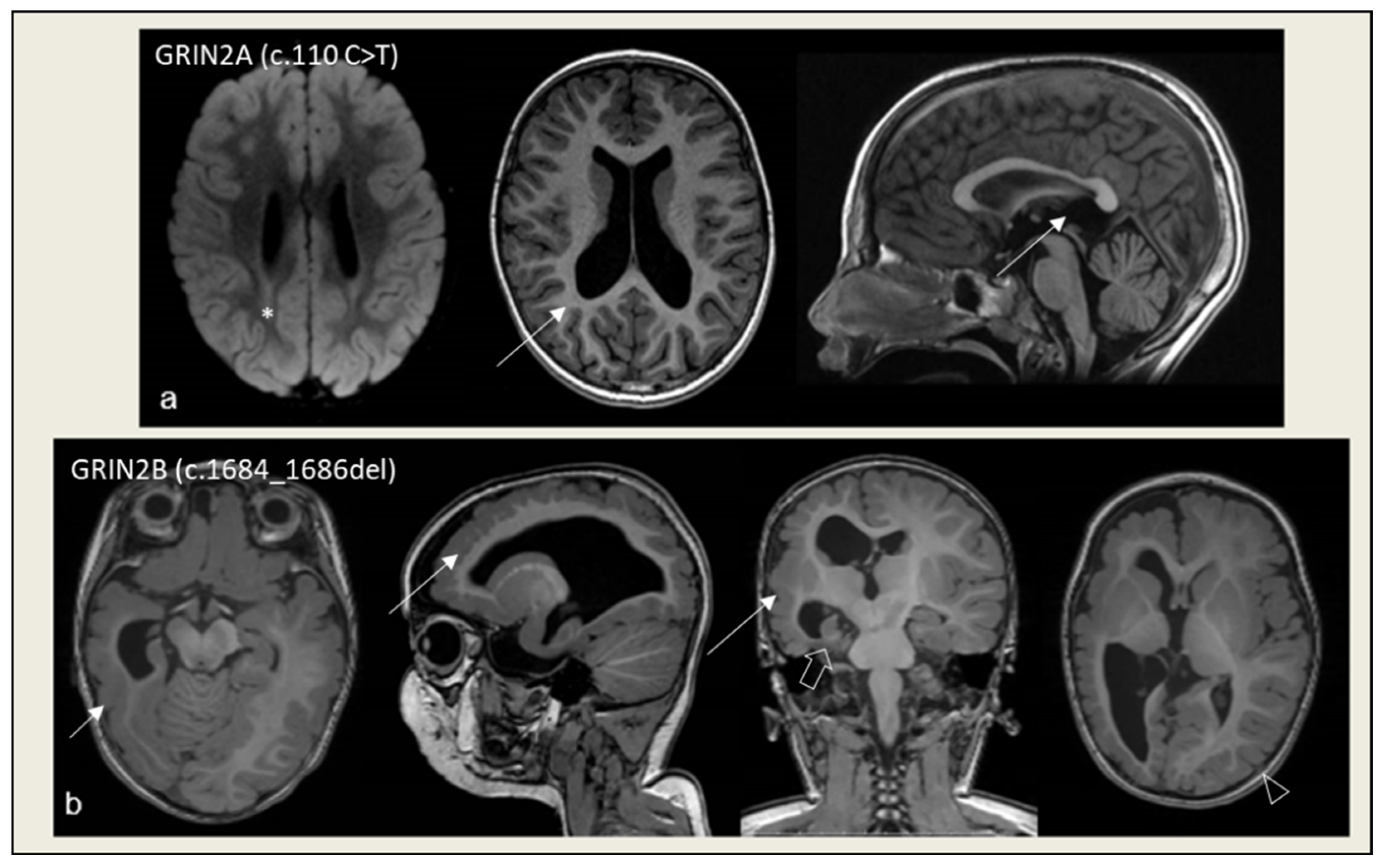
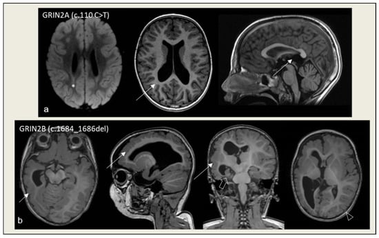
3. Results
4. Discussion
5. Limitations
6. Conclusions
Author Contributions
Funding
Institutional Review Board Statement
Informed Consent Statement
Data Availability Statement
Conflicts of Interest
References
- Korinek, M.; Candelas Serra, M.; Abdel Rahman, F.; Dobrovolski, M.; Kuchtiak, V.; Abramova, V.; Fili, K.; Tomovic, E.; Hrcka Krausova, B.; Krusek, J.; et al. Disease-Associated Variants in GRIN1, GRIN2A and GRIN2B Genes: Insights into NMDA Receptor Structure, Function, and Pathophysiology. Physiol. Res. 2024, 73, S413–S434. [Google Scholar] [CrossRef]
- Liu, L.; Wong, T.P.; Pozza, M.F.; Lingenhoehl, K.; Wang, Y.; Sheng, M.; Auberson, Y.P.; Wang, Y.T. Role of NMDA Receptor Subtypes in Governing the Direction of Hippocampal Synaptic Plasticity. Science 2004, 304, 1021–1024. [Google Scholar] [CrossRef]
- Hansen, K.B.; Wollmuth, L.P.; Bowie, D.; Furukawa, H.; Menniti, F.S.; Sobolevsky, A.I.; Swanson, G.T.; Swanger, S.A.; Greger, I.H.; Nakagawa, T.; et al. Structure, Function, and Pharmacology of Glutamate Receptor Ion Channels. Pharmacol. Rev. 2021, 73, 298–487. [Google Scholar] [CrossRef] [PubMed]
- Luo, J.; Wang, Y.; Yasuda, R.P.; Dunah, A.W.; Wolfe, B.B. The Majority of N-Methyl-D-Aspartate Receptor Complexes in Adult Rat Cerebral Cortex Contain at Least Three Different Subunits (NR1/NR2A/NR2B). Mol. Pharmacol. 1997, 51, 79–86. [Google Scholar] [CrossRef] [PubMed]
- Jansson, L.C.; Åkerman, K.E. The Role of Glutamate and Its Receptors in the Proliferation, Migration, Differentiation and Survival of Neural Progenitor Cells. J. Neural Transm. 2014, 121, 819–836. [Google Scholar] [CrossRef] [PubMed]
- Spitzer, N.C. Electrical Activity in Early Neuronal Development. Nature 2006, 444, 707–712. [Google Scholar] [CrossRef]
- Jantzie, L.L.; Talos, D.M.; Jackson, M.C.; Park, H.-K.; Graham, D.A.; Lechpammer, M.; Folkerth, R.D.; Volpe, J.J.; Jensen, F.E. Developmental Expression of N-Methyl-d-Aspartate (NMDA) Receptor Subunits in Human White and Gray Matter: Potential Mechanism of Increased Vulnerability in the Immature Brain. Cereb. Cortex 2015, 25, 482–495. [Google Scholar] [CrossRef]
- Henson, M.A.; Roberts, A.C.; Salimi, K.; Vadlamudi, S.; Hamer, R.M.; Gilmore, J.H.; Jarskog, L.F.; Philpot, B.D. Developmental Regulation of the NMDA Receptor Subunits, NR3A and NR1, in Human Prefrontal Cortex. Cereb. Cortex 2008, 18, 2560–2573. [Google Scholar] [CrossRef]
- Bagasrawala, I.; Memi, F.V.; Radonjić, N.; Zecevic, N. N-Methyl d-Aspartate Receptor Expression Patterns in the Human Fetal Cerebral Cortex. Cereb. Cortex 2017, 27, 5041–5053. [Google Scholar] [CrossRef]
- Paoletti, P.; Bellone, C.; Zhou, Q. NMDA Receptor Subunit Diversity: Impact on Receptor Properties, Synaptic Plasticity and Disease. Nat. Rev. Neurosci. 2013, 14, 383–400. [Google Scholar] [CrossRef]
- Bagasrawala, I.; Zecevic, N.; Radonjić, N.V. N-Methyl D-Aspartate Receptor Antagonist Kynurenic Acid Affects Human Cortical Development. Front. Neurosci. 2016, 10, 435. [Google Scholar] [CrossRef]
- Reiprich, P.; Kilb, W.; Luhmann, H.J. Neonatal NMDA Receptor Blockade Disturbs Neuronal Migration in Rat Somatosensory Cortex In Vivo. Cereb. Cortex 2005, 15, 349–358. [Google Scholar] [CrossRef]
- Platzer, K.; Yuan, H.; Schütz, H.; Winschel, A.; Chen, W.; Hu, C.; Kusumoto, H.; Heyne, H.O.; Helbig, K.L.; Tang, S.; et al. GRIN2B Encephalopathy: Novel Findings on Phenotype, Variant Clustering, Functional Consequences and Treatment Aspects. J. Med. Genet. 2017, 54, 460–470. [Google Scholar] [CrossRef] [PubMed]
- Lemke, J.R.; Geider, K.; Helbig, K.L.; Heyne, H.O.; Schütz, H.; Hentschel, J.; Courage, C.; Depienne, C.; Nava, C.; Heron, D.; et al. Delineating the GRIN1 Phenotypic Spectrum: A Distinct Genetic NMDA Receptor Encephalopathy. Neurology 2016, 86, 2171–2178. [Google Scholar] [CrossRef] [PubMed]
- Ohba, C.; Shiina, M.; Tohyama, J.; Haginoya, K.; Lerman-Sagie, T.; Okamoto, N.; Blumkin, L.; Lev, D.; Mukaida, S.; Nozaki, F.; et al. GRIN1 Mutations Cause Encephalopathy with Infantile-Onset Epilepsy, and Hyperkinetic and Stereotyped Movement Disorders. Epilepsia 2015, 56, 841–848. [Google Scholar] [CrossRef] [PubMed]
- Pierson, T.M.; Yuan, H.; Marsh, E.D.; Fuentes-Fajardo, K.; Adams, D.R.; Markello, T.; Golas, G.; Simeonov, D.R.; Holloman, C.; Tankovic, A.; et al. GRIN2A Mutation and Early-Onset Epileptic Encephalopathy: Personalized Therapy with Memantine. Ann. Clin. Transl. Neurol. 2014, 1, 190–198. [Google Scholar] [CrossRef]
- Endele, S.; Rosenberger, G.; Geider, K.; Popp, B.; Tamer, C.; Stefanova, I.; Milh, M.; Kortüm, F.; Fritsch, A.; Pientka, F.K.; et al. Mutations in GRIN2A and GRIN2B Encoding Regulatory Subunits of NMDA Receptors Cause Variable Neurodevelopmental Phenotypes. Nat. Genet. 2010, 42, 1021–1026. [Google Scholar] [CrossRef]
- Platzer, K.; Krey, I.; Lemke, J.R. GRIN2D-Related Developmental and Epileptic Encephalopathy. In GeneReviews® [Internet]; Adam, M.P., Feldman, J., Mirzaa, G.M., Pagon, R.A., Wallace, S.E., Amemiya, A., Eds.; University of Washington: Seattle, WA, USA, 2022; pp. 1993–2025. Available online: https://www.ncbi.nlm.nih.gov/books/NBK582335/ (accessed on 1 April 2025).
- Strehlow, V.; Heyne, H.O.; Vlaskamp, D.R.M.; Marwick, K.F.M.; Rudolf, G.; de Bellescize, J.; Biskup, S.; Brilstra, E.H.; Brouwer, O.F.; Callenbach, P.M.C.; et al. GRIN2A-Related Disorders: Genotype and Functional Consequence Predict Phenotype. Brain 2019, 142, 80–92. [Google Scholar] [CrossRef]
- Severino, M.; Geraldo, A.F.; Utz, N.; Tortora, D.; Pogledic, I.; Klonowski, W.; Triulzi, F.; Arrigoni, F.; Mankad, K.; Leventer, R.J.; et al. Definitions and Classification of Malformations of Cortical Development: Practical Guidelines. Brain 2020, 143, 2874–2894. [Google Scholar] [CrossRef]
- Fry, A.E.; Fawcett, K.A.; Zelnik, N.; Yuan, H.; Thompson, B.A.N.; Shemer-Meiri, L.; Cushion, T.D.; Mugalaasi, H.; Sims, D.; Stoodley, N.; et al. De Novo Mutations in GRIN1 Cause Extensive Bilateral Polymicrogyria. Brain 2018, 141, 698–712. [Google Scholar] [CrossRef]
- Nishimura, N.; Kumaki, T.; Murakami, H.; Enomoto, Y.; Katsumata, K.; Toyoshima, K.; Kurosawa, K. Arthrogryposis Multiplex Congenita with Polymicrogyria and Infantile Encephalopathy Caused by a Novel GRIN1 Variant. Hum. Genome Var. 2020, 7, 29. [Google Scholar] [CrossRef]
- Platzer, K.; Lemke, J.R. GRIN2B-Related Neurodevelopmental Disorder. In GeneReviews®; Adam, M.P., Feldman, J., Mirzaa, G.M., Pagon, R.A., Wallace, S.E., Amemiya, A., Eds.; University of Washington: Seattle, WA, USA, 1993. [Google Scholar]
- Brock, S.; Laquerriere, A.; Marguet, F.; Myers, S.J.; Hongjie, Y.; Baralle, D.; Vanderhasselt, T.; Stouffs, K.; Keymolen, K.; Kim, S.; et al. Overlapping Cortical Malformations in Patients with Pathogenic Variants in GRIN1 and GRIN2B. J. Med. Genet. 2023, 60, 183–192. [Google Scholar] [CrossRef]
- Thompson-Lake, D.G.Y.; Liegeois, F.J.; Braden, R.O.; Jackson, G.D.; Turner, S.J.; Morison, L.; Hildebrand, M.; Scheffer, I.E.; Morgan, A.T. Perisylvian and Hippocampal Anomalies in Individuals with Pathogenic GRIN2A Variants. Neurol. Genet. 2024, 10, e200129. [Google Scholar] [CrossRef] [PubMed]
- Sculier, C.; Tilmant, A.-S.; De Tiège, X.; Giurgea, S.; Paquier, P.; Rudolf, G.; Lesca, G.; Van Bogaert, P. Acquired Epileptic Opercular Syndrome Related to a Heterozygous Deleterious Substitution in GRIN2A. Epileptic Disord. 2017, 19, 345–350. [Google Scholar] [CrossRef] [PubMed]
- Mangano, G.D.; Riva, A.; Fontana, A.; Salpietro, V.; Mangano, G.R.; Nobile, G.; Orsini, A.; Iacomino, M.; Battini, R.; Astrea, G.; et al. De Novo GRIN2A Variants Associated with Epilepsy and Autism and Literature Review. Epilepsy Behav. 2022, 129, 108604. [Google Scholar] [CrossRef] [PubMed]
- Smigiel, R.; Kostrzewa, G.; Kosinska, J.; Pollak, A.; Stawinski, P.; Szmida, E.; Bloch, M.; Szymanska, K.; Karpinski, P.; Sasiadek, M.M.; et al. Further Evidence for GRIN2B Mutation as the Cause of Severe Epileptic Encephalopathy. Am. J. Med. Genet. A 2016, 170, 3265–3270. [Google Scholar] [CrossRef]
- Avsenik, J.; Benedik, M.P.; Rogač, M.; Biswas, A.; Sudhakar, S.; D’Arco, F.; Löbel, U.; Mankad, K. Divergent Presentation of GRIN2B Neurodevelopmental Disorder in Monozygotic Twins: Case Report with Unique Imaging Phenotypes. Neuropediatrics 2025, 56, 269–273. [Google Scholar] [CrossRef]
- Sharawat, I.K.; Yadav, J.; Saini, L. Novel GRIN2B Mutation: A Rare Cause of Severe Epileptic Encephalopathy. Neurol. India 2019, 67, 562–563. [Google Scholar] [CrossRef]
- Messersmith, E.K.; Feller, M.B.; Zhang, H.; Shatz, C.J. Migration of Neocortical Neurons in the Absence of Functional NMDA Receptors. Mol. Cell Neurosci. 1997, 9, 347–357. [Google Scholar] [CrossRef]
- Crino, P.B. Polymicrogyria and GRIN1 Mutations: Altered Connections, Altered Excitability. Brain 2018, 141, 622–623. [Google Scholar] [CrossRef]
- Jiang, H.; Jiang, W.; Zou, J.; Wang, B.; Yu, M.; Pan, Y.; Lin, Y.; Mao, Y.; Wang, Y. The GluN2B Subunit of N-Methy-D-Asparate Receptor Regulates the Radial Migration of Cortical Neurons In Vivo. Brain Res. 2015, 1610, 20–32. [Google Scholar] [CrossRef]
- Barkovich, A.J.; Kuzniecky, R.I.; Jackson, G.D.; Guerrini, R.; Dobyns, W.B. A Developmental and Genetic Classification for Malformations of Cortical Development. Neurology 2005, 65, 1873–1887. [Google Scholar] [CrossRef]
- Raybaud, C.; Widjaja, E. Development and Dysgenesis of the Cerebral Cortex: Malformations of Cortical Development. Neuroimaging Clin. N. Am. 2011, 21, 483–543. [Google Scholar] [CrossRef]
- Mutch, C.A.; Poduri, A.; Sahin, M.; Barry, B.; Walsh, C.A.; Barkovich, A.J. Disorders of Microtubule Function in Neurons: Imaging Correlates. AJNR Am. J. Neuroradiol. 2016, 37, 528–535. [Google Scholar] [CrossRef] [PubMed]
- D’Ambrosio, V.; Boccherini, C.; Manganaro, L.; Panici, P.B.; Cellitti, R.; Vena, F.; Pajno, C.; Corno, S.; Brunelli, R.; Giancotti, A. Hypoplasia of the Corpus Callosum: A Single Center Experience and a Concise Literature Review. Fetal Pediatr. Pathol. 2021, 40, 626–637. [Google Scholar] [CrossRef] [PubMed]
- Hofman, J.; Hutny, M.; Sztuba, K.; Paprocka, J. Corpus Callosum Agenesis: An Insight into the Etiology and Spectrum of Symptoms. Brain Sci. 2020, 10, 625. [Google Scholar] [CrossRef] [PubMed]
- Paul, L.K. Developmental Malformation of the Corpus Callosum: A Review of Typical Callosal Development and Examples of Developmental Disorders with Callosal Involvement. J. Neurodev. Disord. 2011, 3, 3–27. [Google Scholar] [CrossRef]
- Montenegro, M.A.; Kinay, D.; Cendes, F.; Bernasconi, A.; Bernasconi, N.; Coan, A.C.; Li, L.M.; Guerreiro, M.M.; Guerreiro, C.A.M.; Lopes-Cendes, I.; et al. Patterns of Hippocampal Abnormalities in Malformations of Cortical Development. J. Neurol. Neurosurg. Psychiatry 2006, 77, 367–371. [Google Scholar] [CrossRef][Green Version]
- Bahi-Buisson, N.; Poirier, K.; Fourniol, F.; Saillour, Y.; Valence, S.; Lebrun, N.; Hully, M.; Bianco, C.F.; Boddaert, N.; Elie, C.; et al. The Wide Spectrum of Tubulinopathies: What Are the Key Features for the Diagnosis? Brain 2014, 137, 1676–1700. [Google Scholar] [CrossRef]
- McGinnis, S.M.; Brickhouse, M.; Pascual, B.; Dickerson, B.C. Age-Related Changes in the Thickness of Cortical Zones in Humans. Brain Topogr. 2011, 24, 279–291. [Google Scholar] [CrossRef]
- Fjell, A.M.; Grydeland, H.; Krogsrud, S.K.; Amlien, I.; Rohani, D.A.; Ferschmann, L.; Storsve, A.B.; Tamnes, C.K.; Sala-Llonch, R.; Due-Tønnessen, P.; et al. Development and Aging of Cortical Thickness Correspond to Genetic Organization Patterns. Proc. Natl. Acad. Sci. USA 2015, 112, 15462–15467. [Google Scholar] [CrossRef]
- Shen, L.; Zhang, J.; Fan, S.; Ping, L.; Yu, H.; Xu, F.; Cheng, Y.; Xu, X.; Yang, C.; Zhou, C. Cortical Thickness Abnormalities in Autism Spectrum Disorder. Eur. Child Adolesc. Psychiatry 2024, 33, 65–77. [Google Scholar] [CrossRef]
- Kubota, M.; Miyata, J.; Yoshida, H.; Hirao, K.; Fujiwara, H.; Kawada, R.; Fujimoto, S.; Tanaka, Y.; Sasamoto, A.; Sawamoto, N.; et al. Age-Related Cortical Thinning in Schizophrenia. Schizophr. Res. 2011, 125, 21–29. [Google Scholar] [CrossRef]
- Kullmann, D.M.; Lamsa, K.P. Long-Term Synaptic Plasticity in Hippocampal Interneurons. Nat. Rev. Neurosci. 2007, 8, 687–699. [Google Scholar] [CrossRef]
- Samanta, D.; Bhatia, S.; Hunter, S.E.; Rao, C.K.; Xiong, K.; Karakas, C.; Reeders, P.C.; Erdemir, G.; Sattar, S.; Axeen, E.; et al. Current and Emerging Precision Therapies for Developmental and Epileptic Encephalopathies. Pediatr. Neurol. 2025, 168, 67–81. [Google Scholar] [CrossRef]

| PMG | Dysplasia | Other MCDs | Brain Hypoplasia/ Atrophy | Corpus Callosum Dysmorphism | Basal Ganglia Dysmorphism | Cerebellum Anomalies | Hippocampal Dysplasia/ Anomalies | Other Anomalies * | Asymmetric/ Unilateral Brain Malformations | Normal MRI | Tot | |
|---|---|---|---|---|---|---|---|---|---|---|---|---|
| GRIN1 [15,21,22,24] | 65% | - | 4% | 9% | 43% | 9% | 13% | 21% | 65% | - | - | 23 |
| GRIN2A [19,25,26,27] | - | 2% | 1% | 5% | 6% | - | 1% | 2% | 21% | 14% | 69% | 95 |
| GRIN2B [13,24,28,29,30] | 85% | - | 15% | - | 46% | 69% | - | 46% | 100% | 8% | 15% | 13 |
Disclaimer/Publisher’s Note: The statements, opinions and data contained in all publications are solely those of the individual author(s) and contributor(s) and not of MDPI and/or the editor(s). MDPI and/or the editor(s) disclaim responsibility for any injury to people or property resulting from any ideas, methods, instructions or products referred to in the content. |
© 2025 by the authors. Licensee MDPI, Basel, Switzerland. This article is an open access article distributed under the terms and conditions of the Creative Commons Attribution (CC BY) license (https://creativecommons.org/licenses/by/4.0/).
Share and Cite
Cocciante, M.; Minacapelli, I.; Almesberger, A.; Pasquariello, R.; Bartolini, E. Neuroimaging Features of GRIN-Related Epilepsies. Appl. Sci. 2025, 15, 9520. https://doi.org/10.3390/app15179520
Cocciante M, Minacapelli I, Almesberger A, Pasquariello R, Bartolini E. Neuroimaging Features of GRIN-Related Epilepsies. Applied Sciences. 2025; 15(17):9520. https://doi.org/10.3390/app15179520
Chicago/Turabian StyleCocciante, Marco, Irma Minacapelli, Azzurra Almesberger, Rosa Pasquariello, and Emanuele Bartolini. 2025. "Neuroimaging Features of GRIN-Related Epilepsies" Applied Sciences 15, no. 17: 9520. https://doi.org/10.3390/app15179520
APA StyleCocciante, M., Minacapelli, I., Almesberger, A., Pasquariello, R., & Bartolini, E. (2025). Neuroimaging Features of GRIN-Related Epilepsies. Applied Sciences, 15(17), 9520. https://doi.org/10.3390/app15179520

