Evaluation of the Wachtel Healing Index and Its Correlation with Early Implantation Success or Failured at Two Months
Abstract
Featured Application
Abstract
1. Introduction
- Tobacco use (<10 cigarettes/day)
- Diabetes
- Other systemic diseases
- Ingestion of painkillers
- Inflammation
- Pain
- Guided bone regeneration (GBR) technique
2. Materials and Methods
2.1. Patients
2.1.1. Inclusion Criteria
- Age above 18 years
- Agreement to participate in the study
- Loss of at least one tooth
- Teeth adjacent to the edentulous area
- A smoking history of fewer than 10 cigarettes a day (including no smoking history)
- No known history of illegal substance abuse
- Plaque index < 2
- Bleeding index < 2 [8]
2.1.2. Exclusion Criteria
- Pregnancy
- Lactation
- Inability to comply with the study needs
- Administration of analgesics or antibiotics before surgery (at least 2 weeks prior)
- Treatment with anticoagulants
- Treatment with corticosteroids
- Poorly controlled diabetes (Hb1Ac > 7%)
- Immunosuppression
- Refusal to continue with the study
2.2. Technique
2.3. Implants
2.4. Pain Scale
2.5. Evaluation Criteria
2.6. Final Appointment
2.7. Methods
Data Recording
2.8. Approval by the Ethics Committee of the University of Murcia
2.9. Statistical Analyses
2.10. P Statistical Parameters
- Number of tails = 2
- Significance level = 95% (α = 0.05).
- Effect size (d) = 10 mm VAS
- Variance = 1.77 (previous study)
- Calculated β value = 0.10
- Obtained power = 1 − β = 1 − 0.10 = 0.90.
- Sample size (n) = 37
- Sample size adjusted for a potential 15% dropout = 44
- Final size included in the study = 50 patients
2.11. Index
3. Results
Sample Description
4. Discussion
4.1. Healing Indices
4.1.1. Landry Index
4.1.2. Huang et al. [13] Index
4.1.3. Marini Index
4.1.4. Hamzani and Chaushu [4] Index
4.2. Factors That May Influence Early Healing
4.2.1. Anti-inflammatory Use
4.2.2. Diabetes
4.2.3. Tobacco Use
4.2.4. Age and Sex
4.2.5. Guided Bone Regeneration (GBR)
4.3. Limitations of the Present Study
5. Conclusions
- The Wachtel healing indices of the patients revealed that initial healing after implant placement occurred with few alterations.
- The Wachtel index did not predict osseointegration at two months and one week.
- None of the surrogate variables significantly predicted the outcome of early failure.
Author Contributions
Funding
Institutional Review Board Statement
Informed Consent Statement
Data Availability Statement
Acknowledgments
Conflicts of Interest
References
- Schwarz, F.; Ramanauskaite, A. It is all about peri-implant tissue health. Periodontology 2000 2022, 88, 9–12. [Google Scholar] [CrossRef] [PubMed]
- Kullar, A.S.; Miller, C.S. Are there contraindications for placing dental implants? Dent. Clin. N. Am. 2019, 63, 345–362. [Google Scholar] [CrossRef] [PubMed]
- Vanegas, J.C.; Landinez, N.S.; Garzón-Alvarado, D.A. Generalidades de la interfase hueso-implante dental. Rev. Cuba. Investig. Bioméd. 2009, 28, 130–146. [Google Scholar]
- Hamzani, Y.; Chaushu, G. Evaluation of early wound healing scales/indexes in oral surgery: A literature review. Clin. Implant Dent. Relat. Res. 2018, 20, 1030–1035. [Google Scholar] [CrossRef] [PubMed]
- Farina, R.; Simonelli, A.; Rizzi, A.; Pramstraller, M.; Cucchi, A.; Trombelli, L. Early postoperative healing following buccal single flap approach to access intraosseous periodontal defects. Clin. Oral Investig. 2013, 17, 1573–1583. [Google Scholar] [CrossRef]
- Guo, S.; Dipietro, L.A. Factors affecting wound healing. J. Dent. Res. 2010, 89, 219–229. [Google Scholar] [CrossRef]
- Marini, L.; Rojas, M.A.; Sahrmann, P.; Aghazada, R.; Pilloni, A. Early wound healing score: A system to evaluate the early healing of periodontal soft tissue wounds. J. Periodontal Implant Sci. 2018, 48, 274–283. [Google Scholar] [CrossRef]
- Löe, H. The gingival index, the plaque index and the retention index systems. J. Periodontol. 1967, 38, 610–616. [Google Scholar] [CrossRef]
- Albrektsson, T.; Zarb, G.; Worthington, P.; Eriksson, A.R. The long-term efficacy of currently used dental implants: A review and proposed criteria of success. Int. J. Oral Maxillofac. Implants 1986, 1, 11–25. [Google Scholar]
- Wachtel, H.; Schenk, G.; Böhm, S.; Weng, D.; Zuhr, O.; Hürzeler, M.B. Microsurgical access flap and enamel matrix derivative for the treatment of periodontal intrabony defects: A controlled clinical study. J. Clin. Periodontol. 2003, 30, 496–504. [Google Scholar] [CrossRef]
- Wachtel, H.C.; Langford, A.; Bernimoulin, J.P.; Reichart, P. Guided bone regeneration next to osseointegrated implants in humans. Int. J. Oral Maxillofac. Implants 1991, 6, 127–135. [Google Scholar] [PubMed]
- Landry, R.; Turnbull, R.; Howley, T. Effectiveness of benzydamine HC1 in the treatment of periodontal post-surgical patients. Res. Clin. Forums 1988, 10, 105–118. [Google Scholar]
- Huang, L.H.; Neiva, R.E.; Wang, H.L. Factors affecting the outcomes of coronally advanced flap root coverage procedure. J. Periodontol. 2005, 76, 1729–1734. [Google Scholar] [CrossRef] [PubMed]
- Yahya, B.H.; Chaushu, G.; Hamzani, Y. Evaluation of wound healing following surgical extractions using the IPR Scale. Int. Dent. J. 2021, 71, 133–139. [Google Scholar] [CrossRef]
- Winnett, B.; Tenenbaum, H.C.; Ganss, B.; Jokstad, A. Perioperative use of non-steroidal anti-inflammatory drugs might impair dental implant osseointegration. Clin. Oral Implants Res. 2016, 27, e1–e7. [Google Scholar] [CrossRef]
- Etikala, A.; Tattan, M.; Askar, H.; Wang, H.L. Effects of NSAIDs on periodontal and dental implant therapy. Compend. Contin. Educ. Dent. 2019, 40, e1–e9. [Google Scholar]
- Alissa, R.; Sakka, S.; Oliver, R.; Horner, K.; Esposito, M.; Worthington, H.V.; Coulthard, P. Influence of ibuprofen on bone healing around dental implants: A randomised double-blind placebo-controlled clinical study. Eur. J. Oral Implantol. 2009, 2, 185–199. [Google Scholar] [PubMed]
- Urdaneta, R.A.; Daher, S.; Lery, J.; Emanuel, K.; Chuang, S.K. Factors associated with crestal bone gain on single-tooth locking-taper implants: The effect of nonsteroidal anti-inflammatory drugs. Int. J. Oral Maxillofac. Implants 2011, 26, 1063–1078. [Google Scholar]
- Krischak, G.D.; Augat, P.; Claes, L.; Kinzl, L.; Beck, A. The effects of non-steroidal anti-inflammatory drug application on incisional wound healing in rats. J. Wound Care 2007, 16, 76–78. [Google Scholar] [CrossRef]
- Pablos, A.B.; Ramalho, S.A.; König, B., Jr.; Furuse, C.; de Araújo, V.C.; Cury, P.R. Effect of meloxicam and diclofenac sodium on peri-implant bone healing in rats. J. Periodontol. 2008, 79, 300–306. [Google Scholar] [CrossRef]
- Mellado-Valero, A.; García, J.C.F.; Ballester, A.H.; Rueda, C.L. Effects of diabetes on the osseointegration of dental implants. Med. Oral Patol. Oral Cir. Bucal 2007, 12, E38–E43. [Google Scholar] [PubMed]
- Romero, J.L.R.; García, I.O.; Guerra, A.J.; Garrido, N.M.; López, A.E.; Guil, L.M.; Ortega, E.V. Tratamiento de implantes en pacientes con diabetes. Un estudio comparativo a los 7 años. Av. Odontoestomatol. 2020, 36, 81–88. [Google Scholar] [CrossRef]
- McCracken, M.; Lemons, J.E.; Rahemtulla, F.; Prince, C.W.; Feldman, D. Bone response to titanium alloy implants placed in diabetic rats. Int. J. Oral Maxillofac. Implants 2000, 15, 345–354. [Google Scholar]
- Le, N.N.; Rose, M.B.; Levinson, H.; Klitzman, B. Implant healing in experimental animal models of diabetes. J. Diabetes Sci. Technol. 2011, 5, 605–618. [Google Scholar] [CrossRef] [PubMed]
- Hadadi, A.A.; Mezied, M.S. Evidence-based analysis of the effect of smoking on osseointegrated implant outcome. Natl. J. Maxillofac. Surg. 2021, 12, 133–138. [Google Scholar] [CrossRef]
- Sánchez-Pérez, A.; Moya-Villaescusa, M.J.; Caffesse, R.G. Tobacco as a risk factor for survival of dental implants. J. Periodontol. 2007, 78, 351–359. [Google Scholar] [CrossRef]
- Twito, D.; Sade, P. The effect of cigarette smoking habits on the outcome of dental implant treatment. PeerJ 2014, 2, e546. [Google Scholar] [CrossRef] [PubMed][Green Version]
- Padrón, A.P.; Quiñones, J.A.P.; Rodriguez, M.d.C.C.; Martell, Y.D.; Carvajal, T.S.; Martí, C.D.G. Causes and consequences of failures of the dental implantology. Matanzas. Rev. Méd. Electrón. 2018, 40, 1023–1031. [Google Scholar]
- Becker, W.; Becker, B.E.; Handlesman, M.; Celletti, R.; Ochsenbein, C.; Hardwick, R.; Langer, B. Bone formation at dehisced dental implant sites treated with implant augmentation material: A pilot study in dogs. Int. J. Periodontics Restor. Dent. 1990, 10, 92–101. [Google Scholar]
- Dahlin, C.; Sennerby, L.; Lekholm, U.; Linde, A.; Nyman, S. Generation of new bone around titanium implants using a membrane technique: An experimental study in rabbits. Int. J. Oral Maxillofac. Implants 1989, 4, 19–25. [Google Scholar]
- Warrer, L.; Gotfredsen, K.; Hjørting-Hansen, E.; Karring, T. Guided tissue regeneration ensures osseointegration of dental implants placed into extraction sockets. An experimental study in monkeys. Clin. Oral Implants Res. 1991, 2, 166–171. [Google Scholar] [CrossRef] [PubMed]






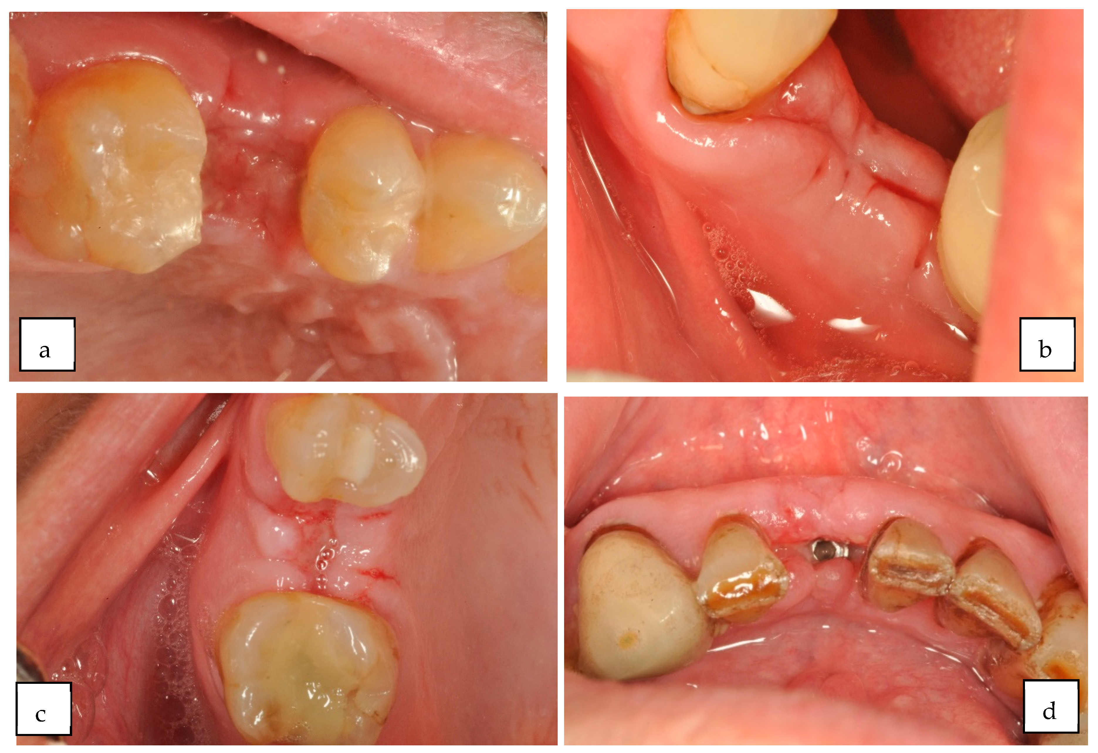
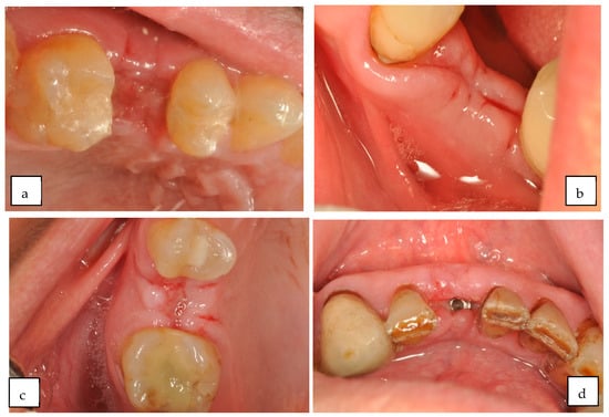
| Wachtel 2003 EHI 1–2 s | |
|---|---|
| Full closure |
|
| |
| |
| Incomplete closure |
|
| |
| INDEX | WACHTEL | LANDRY | HUANG | MARINI | HAMZANI |
|---|---|---|---|---|---|
| YEAR | 2003 | 1988 | 2005 | 2018 | 2018 |
| Time | 1st week | 1st week | 1st, 2nd and 3rd week | 24 h | 3–5 days, 14 days, and 6 weeks |
| EVALUATION |
|
|
|
|
|
| ADVANTAGES |
|
|
|
|
|
| INCONVENI ENTES |
|
|
|
|
|
Disclaimer/Publisher’s Note: The statements, opinions and data contained in all publications are solely those of the individual author(s) and contributor(s) and not of MDPI and/or the editor(s). MDPI and/or the editor(s) disclaim responsibility for any injury to people or property resulting from any ideas, methods, instructions or products referred to in the content. |
© 2024 by the authors. Licensee MDPI, Basel, Switzerland. This article is an open access article distributed under the terms and conditions of the Creative Commons Attribution (CC BY) license (https://creativecommons.org/licenses/by/4.0/).
Share and Cite
Moya-Villaescusa, M.J.; Sánchez-Pérez, A.; Lara-Hernández, N.; Jornet-García, A.; Montoya-Carralero, J.M. Evaluation of the Wachtel Healing Index and Its Correlation with Early Implantation Success or Failured at Two Months. Appl. Sci. 2024, 14, 10840. https://doi.org/10.3390/app142310840
Moya-Villaescusa MJ, Sánchez-Pérez A, Lara-Hernández N, Jornet-García A, Montoya-Carralero JM. Evaluation of the Wachtel Healing Index and Its Correlation with Early Implantation Success or Failured at Two Months. Applied Sciences. 2024; 14(23):10840. https://doi.org/10.3390/app142310840
Chicago/Turabian StyleMoya-Villaescusa, María José, Arturo Sánchez-Pérez, Nerea Lara-Hernández, Alfonso Jornet-García, and José María Montoya-Carralero. 2024. "Evaluation of the Wachtel Healing Index and Its Correlation with Early Implantation Success or Failured at Two Months" Applied Sciences 14, no. 23: 10840. https://doi.org/10.3390/app142310840
APA StyleMoya-Villaescusa, M. J., Sánchez-Pérez, A., Lara-Hernández, N., Jornet-García, A., & Montoya-Carralero, J. M. (2024). Evaluation of the Wachtel Healing Index and Its Correlation with Early Implantation Success or Failured at Two Months. Applied Sciences, 14(23), 10840. https://doi.org/10.3390/app142310840

