M-Mode Ultrasound Behavior of Rectus Femoris and Vastus Intermedius during Contraction with Anthropometric Correlations: Cross-Sectional Study
Abstract
1. Introduction
2. Materials and Methods
2.1. Study Design
2.2. Participants
2.3. Ethical Considerations
2.4. Clinical Measurements
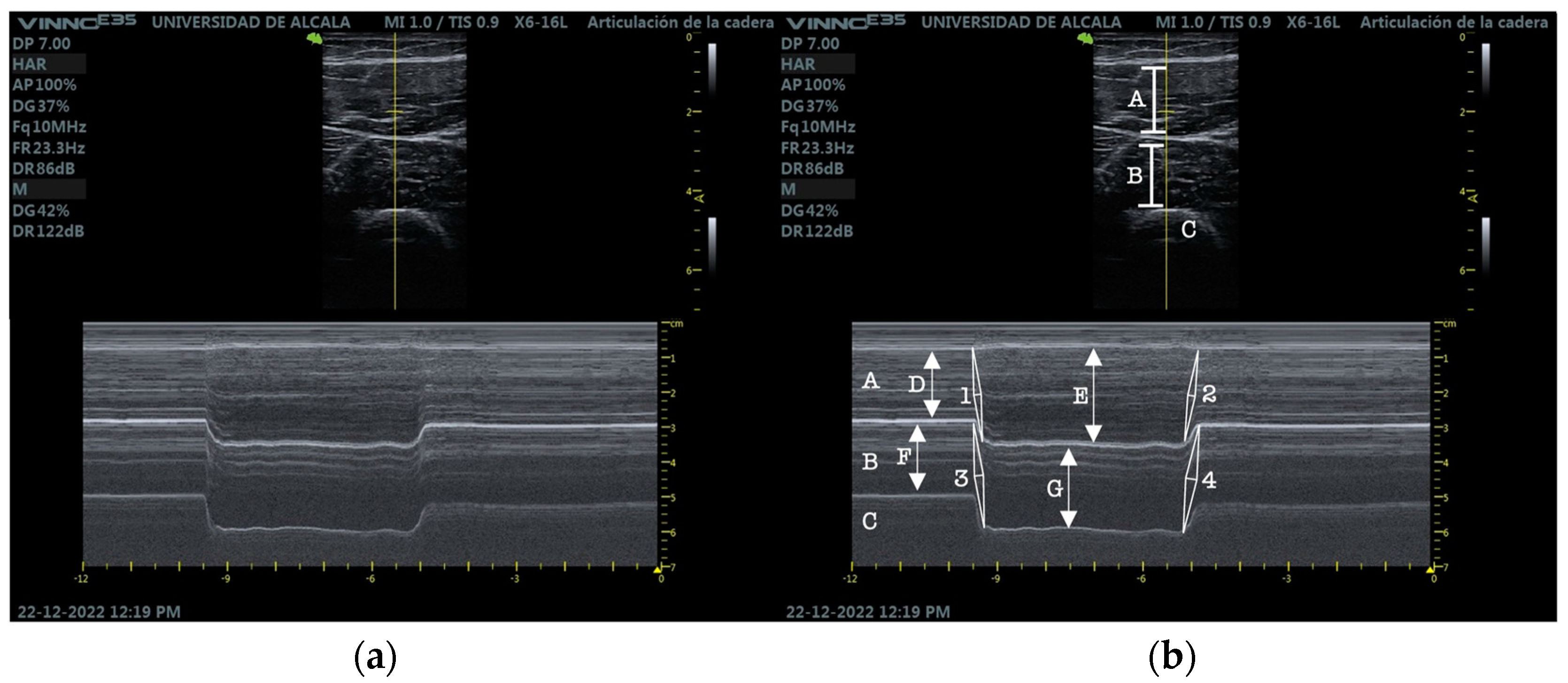
2.5. RUSI Measures
2.6. Measurement Procedure
2.7. Statistical Analysis
3. Results
4. Discussion
Limitations
5. Conclusions
Supplementary Materials
Author Contributions
Funding
Institutional Review Board Statement
Informed Consent Statement
Data Availability Statement
Conflicts of Interest
References
- Waligora, A.C.; Johanson, N.A.; Hirsch, B.E. Clinical Anatomy of the Quadriceps Femoris and Extensor Apparatus of the Knee. Clin. Orthop. Relat. Res. 2009, 467, 3297–3306. Available online: https://link.springer.com/article/10.1007/s11999-009-1052-y (accessed on 19 December 2022). [CrossRef] [PubMed]
- Franchi, T. Tensor vastus intermedius: A review of its discovery, morphology and clinical importance. Folia Morphol. 2021, 80, 792–798. Available online: https://pubmed.ncbi.nlm.nih.gov/33084009/ (accessed on 22 December 2022). [CrossRef] [PubMed]
- Zhang, L.Q.; Wang, G.; Number, G.W.; Press, J.M.; Koh, J.L. In vivo load sharing among the quadriceps components. J. Orthop. Res. 2003, 21, 571. Available online: https://www.ncbi.nlm.nih.gov/www.elsevier.com/locatelorthres (accessed on 8 February 2023). [CrossRef] [PubMed]
- Pincivero, D.M.; Gandhi, V.; Timmons, M.K.; Coelho, A.J. Quadriceps femoris electromyogram during concentric, isometric and eccentric phases of fatiguing dynamic knee extensions. J. Biomech. 2006, 39, 246–254. Available online: https://pubmed.ncbi.nlm.nih.gov/16321626/ (accessed on 8 February 2023). [CrossRef]
- Oda, T.; Malis, V.; Finni, T.; Kinugasa, R.; Sinha, S. Dynamics of Quadriceps Muscles during Isometric Contractions: Velocity-Encoded Phase Contrast MRI Study. Diagnostics 2021, 11, 2280. Available online: https://pubmed.ncbi.nlm.nih.gov/34943517/ (accessed on 8 February 2023). [CrossRef]
- Maniar, N.; Cole, M.H.; Bryant, A.L.; Opar, D.A. Muscle Force Contributions to Anterior Cruciate Ligament Loading. Sports Med. 2022, 52, 1737–1750. Available online: https://link.springer.com/article/10.1007/s40279-022-01674-3 (accessed on 19 December 2022). [CrossRef]
- Werner, S. Anterior knee pain: An update of physical therapy. Knee Surg. Sports Traumatol. Arthrosc. 2014, 22, 2286–2294. Available online: https://link.springer.com/article/10.1007/s00167-014-3150-y (accessed on 19 December 2022). [CrossRef]
- Majewski, M.; Susanne, H.; Klaus, S. Epidemiology of athletic knee injuries: A 10-year study. Knee 2006, 13, 184–188. [Google Scholar] [CrossRef]
- Chia, L.; Silva, D.D.O.; Whalan, M.; McKay, M.J.; Sullivan, J.; Fuller, C.W.; Pappas, E. Non-contact Anterior Cruciate Ligament Injury Epidemiology in Team-Ball Sports: A Systematic Review with Meta-analysis by Sex, Age, Sport, Participation Level, and Exposure Type. Sports Med. 2022, 52, 2447–2467. [Google Scholar] [CrossRef]
- Smith, H.C.; Vacek, P.; Johnson, R.J.; Slauterbeck, J.R.; Hashemi, J.; Shultz, S.; Beynnon, B.D. Risk Factors for Anterior Cruciate Ligament Injury: A Review of the Literature—Part 1: Neuromuscular and Anatomic Risk. Sport Health 2012, 4, 69–78. Available online: https://www.ncbi.nlm.nih.gov/pmc/articles/PMC3435896/ (accessed on 8 December 2022). [CrossRef]
- Anderson, A.F.; Dome, D.C.; Gautam, S.; Awh, M.H.; Rennirt, G.W. Correlation of Anthropometric Measurements, Strength, Anterior Cruciate Ligament Size, and Intercondylar Notch Characteristics to Sex Differences in Anterior Cruciate Ligament Tear Rates. Am. J. Sports Med. 2001, 29, 58–66. Available online: https://journals.sagepub.com/doi/10.1177/03635465010290011501?url_ver=Z39.88-2003&rfr_id=ori%3Arid%3Acrossref.org&rfr_dat=cr_pub++0pubmed (accessed on 7 February 2023). [CrossRef] [PubMed]
- Hasani, S.; Feller, J.A.; Webster, K.E. Familial Predisposition to Anterior Cruciate Ligament Injury: A Systematic Review with Meta-analysis. Sports Med. 2022, 52, 2657–2668. [Google Scholar] [CrossRef] [PubMed]
- Smith, H.C.; Vacek, P.; Johnson, R.J.; Slauterbeck, J.R.; Hashemi, J.; Shultz, S.; Beynnon, B.D. Risk Factors for Anterior Cruciate Ligament Injury: A Review of the Literature—Part 2: Hormonal, Genetic, Cognitive Function, Previous Injury, and Extrinsic Risk Factors. Sports Health 2012, 4, 155–161. Available online: https://www.ncbi.nlm.nih.gov/pmc/articles/PMC3435909/ (accessed on 7 February 2023). [CrossRef] [PubMed]
- Gans, I.; Retzky, J.S.; Jones, L.C.; Tanaka, M.J. Epidemiology of Recurrent Anterior Cruciate Ligament Injuries in National Collegiate Athletic Association Sports: The Injury Surveillance Program, 2004-2014. Orthop. J. Sports Med. 2018, 6, 2325967118777823. Available online: https://www.ncbi.nlm.nih.gov/pmc/articles/PMC6024527/ (accessed on 7 February 2023). [CrossRef] [PubMed]
- Salmon, L.; Russell, V.; Musgrove, T.; Pinczewski, L.; Refshauge, K. Incidence and risk factors for graft rupture and contralateral rupture after anterior cruciate ligament reconstruction. Arthroscopy 2005, 21, 948–957. Available online: https://pubmed.ncbi.nlm.nih.gov/16084292/ (accessed on 7 February 2023). [CrossRef] [PubMed]
- Deng, M.; Mansfield, M. Association between Body Weight and Body Mass Index and Patellar Tendinopathy in Elite Basketball and Volleyball Players, a Systematic Review and Meta-Analysis. Healthcare 2022, 10, 1928. Available online: https://www.ncbi.nlm.nih.gov/pmc/articles/PMC9601617/ (accessed on 8 December 2022). [CrossRef]
- Sanghi, D.; Srivastava, R.N.; Singh, A.; Kumari, R.; Mishra, R.; Mishra, A. The association of anthropometric measures and osteoarthritis knee in non-obese subjects: A cross sectional study. Clinics 2011, 66, 275–279. Available online: https://www.elsevier.es/en-revista-clinics-22-articulo-the-association-anthropometric-measures-osteoarthritis-S1807593222015289 (accessed on 8 December 2022). [CrossRef]
- Hart, J.M.; Pietrosimone, B.; Hertel, J.; Ingersoll, C.D. Quadriceps Activation Following Knee Injuries: A Systematic Review. J. Athl. Train. 2010, 45, 87–97. [Google Scholar] [CrossRef]
- Casartelli, N.C.; Item-Glatthorn, J.F.; Friesenbichler, B.; Bizzini, M.; Salzmann, G.M.; Maffiuletti, N.A. Clinical Medicine Quadriceps Neuromuscular Impairments after Arthroscopic Knee Surgery: Comparison between Procedures. J. Clin. Med. 2019, 8, 1881. Available online: www.mdpi.com/journal/jcm (accessed on 8 December 2022). [CrossRef]
- Tim-Yun Ong, M.; Fu, S.C.; Mok, S.W.; Franco-Obregón, A.; Lok-Sze Yam, S.; Shu-Hang Yung, P. Persistent quadriceps muscle atrophy after anterior cruciate ligament reconstruction is associated with alterations in exercise-induced myokine production. Asia Pac. J. Sports Med. Arthrosc. Rehabil. Technol. 2022, 29, 35–42. [Google Scholar] [CrossRef]
- Rustani, K.; Kundisova, L.; Capecchi, P.L.; Nante, N.; Bicchi, M. Ultrasound measurement of rectus femoris muscle thickness as a quick screening test for sarcopenia assessment. Arch. Gerontol. Geriatr. 2019, 83, 151–154. [Google Scholar] [CrossRef] [PubMed]
- Dutaillis, B.; Maniar, N.; Opar, D.A.; Hickey, J.T.; Timmins, R.G. Lower Limb Muscle Size after Anterior Cruciate Ligament Injury: A Systematic Review and Meta-Analysis. Sports Med. 2021, 51, 1209–1226. Available online: https://link.springer.com/article/10.1007/s40279-020-01419-0 (accessed on 8 December 2022). [CrossRef] [PubMed]
- Lee, H.-J.; Lee, K.-W.; Takeshi, K.; Lee, Y.-W.; Kim, H.-J. Correlation analysis between lower limb muscle architectures and cycling power via ultrasonography. Sci. Rep. 2021, 11, 5362. [Google Scholar] [CrossRef] [PubMed]
- Suchomel, T.J.; Nimphius, S.; Stone, M.H. The Importance of Muscular Strength in Athletic Performance. Sports Med. 2016, 46, 1419–1449. Available online: https://link.springer.com/article/10.1007/s40279-016-0486-0 (accessed on 9 December 2022). [CrossRef] [PubMed]
- Schmitt, L.C.; Paterno, M.V.; Hewett, T.E. The Impact of Quadriceps Femoris Strength Asymmetry on Functional Performance at Return to Sport Following Anterior Cruciate Ligament Reconstruction. J. Orthop. Sports Phys. Ther. 2012, 42, 750–759. Available online: https://www.jospt.org/doi/10.2519/jospt.2012.4194 (accessed on 8 December 2022). [CrossRef] [PubMed]
- Laudisio, A.; Giovannini, S.; Finamore, P.; Loreti, C.; Vannetti, F.; Coraci, D.; Incalzi, R.A.; Zuccal, G.; Macchi, C.; Padua, L.; et al. Muscle strength is related to mental and physical quality of life in the oldest old. Arch. Gerontol. Geriatr. 2020, 89, 104109. [Google Scholar] [CrossRef]
- Matta, T.T.; Nascimento, F.X.; Trajano, G.S.; Simão, R.; Willardson, J.M.; Oliveira, L.F. Selective hypertrophy of the quadriceps musculature after 14 weeks of isokinetic and conventional resistance training. Clin. Physiol. Funct. Imaging 2017, 37, 137–142. Available online: https://pubmed.ncbi.nlm.nih.gov/26184103/ (accessed on 8 December 2022). [CrossRef]
- Worsley, P.R.; Kitsell, F.; Samuel, D.; Stokes, M. Validity of measuring distal vastus medialis muscle using rehabilitative ultrasound imaging versus magnetic resonance imaging. Man. Ther. 2014, 19, 259–263. [Google Scholar] [CrossRef]
- Balshaw, T.G.; Fry, A.; Maden-Wilkinson, T.M.; Kong, P.W.; Folland, J.P. Reliability of quadriceps surface electromyography measurements is improved by two vs. single site recordings. Eur. J. Appl. Physiol. 2017, 117, 1085–1094. Available online: https://www.ncbi.nlm.nih.gov/pmc/articles/PMC5427161/ (accessed on 11 December 2022). [CrossRef]
- Wang, F.-Z.; Sun, H.; Zhou, J.; Sun, L.-L.; Pan, S.-N. Reliability and Validity of Abdominal Skeletal Muscle Area Measurement Using Magnetic Resonance Imaging. Acad. Radiol. 2021, 28, 1692–1698. [Google Scholar] [CrossRef]
- Fernández Carnero, S.; Arias Buria, J.L.; Cuenca Zaldívar, J.N.; Leal Quiñones, A.; Calvo-Lobo, C.; Martin Saborido, C. Rehabilitative Ultrasound Imaging Evaluation in Physiotherapy: Piloting a Systematic Review. Appl. Sci. 2019, 9, 181. Available online: www.mdpi.com/journal/applsci (accessed on 11 December 2022). [CrossRef]
- Teyhen, D.; Koppenhaver, S. Rehabilitative ultrasound imaging. J. Physiother. 2011, 57, 196. Available online: https://pubmed.ncbi.nlm.nih.gov/21843838/ (accessed on 11 December 2022). [CrossRef] [PubMed]
- Fernández-Carnero, S.; Calvo-Lobo, C.; Garrido-Marin, A.; Arias-Buría, J.L. 2nd Rehabilitative Ultrasound Imaging Symposium in Physical Therapy, Madrid, Spain, 3–5 June 2016. Br. J. Sports Med. 2018, 52 (Suppl. S2), A1–A4. Available online: https://bjsm.bmj.com/content/52/Suppl_2/A1 (accessed on 11 December 2022).
- Mendis, M.D.; Wilson, S.J.; Stanton, W.; Hides, J.A. Validity of Real-Time Ultrasound Imaging to Measure Anterior Hip Muscle Size: A Comparison With Magnetic Resonance Imaging. J. Orthop. Sports Phys. Ther. 2010, 40, 577–581. Available online: https://pubmed.ncbi.nlm.nih.gov/20479536/ (accessed on 10 December 2022). [CrossRef] [PubMed]
- Mechelli, F.; Arendt-Nielsen, L.; Stokes, M.; Agyapong-Badu, S. Validity of Ultrasound Imaging Versus Magnetic Resonance Imaging for Measuring Anterior Thigh Muscle, Subcutaneous Fat, and Fascia Thickness. Methods Protoc. 2019, 2, 58. Available online: https://pubmed.ncbi.nlm.nih.gov/31295936/ (accessed on 10 December 2022). [CrossRef]
- Giles, L.S.; Webster, K.E.; McClelland, J.A.; Cook, J. Can ultrasound measurements of muscle thickness be used to measure the size of individual quadriceps muscles in people with patellofemoral pain? Phys. Ther. Sport. 2015, 16, 45–52. Available online: https://pubmed.ncbi.nlm.nih.gov/24894764/ (accessed on 10 December 2022). [CrossRef]
- Miyachi, R.; Yamazaki, T.; Ohno, N.; Miyati, T. Relationship between Muscle Cross-Sectional Area by MRI and Muscle Thickness by Ultrasonography of the Triceps Surae in the Sitting Position. Healthcare 2020, 8, 166. Available online: https://pubmed.ncbi.nlm.nih.gov/32532123/ (accessed on 10 December 2022). [CrossRef]
- Högelin, E.R.; Thulin, K.; von Walden, F.; Fornander, L.; Michno, P.; Alkner, B. Reliability and Validity of an Ultrasound-Based Protocol for Measurement of Quadriceps Muscle Thickness in Children. Front. Physiol. 2022, 13, 1268. [Google Scholar] [CrossRef]
- El-Ansary, D.; Marshall, C.J.; Farragher, J.; Annoni, R.; Schwank, A.; McFarlane, J.; Bryant, A.; Han, J.; Webster, M.; Zito, G.; et al. Architectural anatomy of the quadriceps and the relationship with muscle strength: An observational study utilising real-time ultrasound in healthy adults. J. Anat. 2021, 239, 847–855. Available online: https://onlinelibrary.wiley.com/doi/10.1111/joa.13497 (accessed on 12 December 2022). [CrossRef]
- Chauhan, B.; A Hamzeh, M.; I Cuesta-Vargas, A. Prediction of muscular architecture of the rectus femoris and vastus lateralis from EMG during isometric contractions in soccer players. Springerplus 2013, 2, 548. Available online: https://link.springer.com/articles/10.1186/2193-1801-2-548 (accessed on 10 December 2022). [CrossRef]
- Dieterich, A.V.; Pickard, C.M.; Deshon, L.E.; Strauss, G.R.; Gibson, W.; Davey, P.; McKay, J. M-mode ultrasound used to detect the onset of deep muscle activity. J. Electromyogr. Kinesiol. 2015, 25, 224–231. [Google Scholar] [CrossRef] [PubMed]
- Dieterich, A.; Deshon, L.; Strauss, G.R.; McKay, J.; Pickard, C.M. M-mode ultrasound reveals earlier gluteus minimus activity in individuals with chronic hip pain during a step-down task. J. Orthop. Sport. Phys. Ther. 2016, 46, 277–285. [Google Scholar] [CrossRef] [PubMed]
- Romero-Morales, C.; Calvo-Lobo, C.; Navarro-Flores, E.; Mazoteras-Pardo, V.; García-Bermejo, P.; López-López, D.; Martínez-Jiménez, E.M.; De-la-Cruz-Torres, B. M-Mode Ultrasound Examination of Soleus Muscle in Healthy Subjects: Intra- and Inter-Rater Reliability Study. Healthcare 2020, 8, 555. Available online: https://pubmed.ncbi.nlm.nih.gov/33322505/ (accessed on 12 December 2022). [CrossRef] [PubMed]
- Hernández-Socorro, C.R.; Saavedra, P.; López-Fernández, J.C.; Ruiz-Santana, S. Assessment of Muscle Wasting in Long-Stay ICU Patients Using a New Ultrasound Protocol. Nutrients 2018, 10, 1849. Available online: https://www.ncbi.nlm.nih.gov/pmc/articles/PMC6316061/ (accessed on 11 December 2022). [CrossRef]
- Ma, A.J.T.; Tenan, M.S.; Haynes, C.A. Differences in muscle contraction onset as determined by ultrasound and electromyography. Muscle Nerve 2019, 59, 494–500. Available online: https://pubmed.ncbi.nlm.nih.gov/30536792/ (accessed on 11 December 2022).
- Petraş, A.; Drăgoi, R.G.; Pupazan, V.; Drăgoi, M.; Popa, D.; Neagu, A. Using portable ultrasound to monitor the neuromuscular reactivity to low-frequency electrical stimulation. Diagnostics 2021, 11, 65. Available online: https://www.researchgate.net/publication/348202327_Using_Portable_Ultrasound_to_Monitor_the_Neuromuscular_Reactivity_to_Low-Frequency_Electrical_Stimulation (accessed on 11 December 2022). [CrossRef]
- Buelga-Suarez, J.; Alba-Martin, P.; Cuenca-Zaldívar, N.; García-Escudero, M.; Bierge-Sanclemente, P.; Almazán-Polo, J.; Fernández-Carnero, S.; Pecos-Martín, D. Test-Retest Reliability of Ultrasonographic Measurements from the Rectus Femoris Muscle 1–5 Years after Anterior Cruciate Ligament Reconstruction in the Ipsilateral and Contralateral Legs: An Observational, Case-Control Study. J. Clin. Med. 2022, 11, 1867. Available online: https://www.mdpi.com/2077-0383/11/7/1867/htm (accessed on 5 December 2022). [CrossRef]
- Neelly, K.; Wallmann, H.W.; Backus, C.J. Validity of measuring leg length with a tape measure compared to a computed tomography scan. Physiother. Theory Pract. 2013, 29, 487–492. Available online: https://www.researchgate.net/publication/234068603_Validity_of_measuring_leg_length_with_a_tape_measure_compared_to_a_computed_tomography_scan (accessed on 22 December 2022). [CrossRef]
- Kesemenli, C.C.; Sarman, H.; Baran, T.; Memisoglu, K.; Binbir, I.; Savas, Y.; Isik, C.; Boyraz, I.; Koc, B. A new isometric quadriceps-strengthening exercise using EMG-biofeedback. Int. J. Clin. Exp. Med. 2014, 7, 2651–2655. Available online: https://www.ncbi.nlm.nih.gov/pmc/articles/PMC4211772/ (accessed on 22 December 2022).
- Mukaka, M.M. Statistics corner: A guide to appropriate use of correlation coefficient in medical research. Malawi Med. J. 2012, 24, 69–71. Available online: https://www.ncbi.nlm.nih.gov/pmc/articles/PMC3576830/ (accessed on 23 December 2022).
- Takahashi, Y.; Fujino, Y.; Miura, K.; Toida, A.; Matsuda, T.; Makita, S. Intra- and inter-rater reliability of rectus femoris muscle thickness measured using ultrasonography in healthy individuals. Ultrasound J. 2021, 13, 21. [Google Scholar] [CrossRef] [PubMed]
- Filippo, M.; Lars, A.-N.; Maria, S.; Sandra, A.-B. Inter-rater and intra-rater reliability of ultrasound imaging for measuring quadriceps muscle and non-contractile tissue thickness of the anterior thigh. Biomed. Phys. Eng. Express 2019, 5, 037002. Available online: https://iopscience.iop.org/article/10.1088/2057-1976/ab102f (accessed on 27 December 2022). [CrossRef]
- Strasser, E.M.; Draskovits, T.; Praschak, M.; Quittan, M.; Graf, A. Association between ultrasound measurements of muscle thickness, pennation angle, echogenicity and skeletal muscle strength in the elderly. Age 2013, 35, 2377–2388. Available online: https://pubmed.ncbi.nlm.nih.gov/23456136/ (accessed on 27 December 2022). [CrossRef] [PubMed]
- Lee, J.H.; Cheon, S.; Jun, H.P.; Huang, Y.L.; Chang, E. Bilateral Comparisons of Quadriceps Thickness after Anterior Cruciate Ligament Reconstruction. Medicina 2020, 56, 335. Available online: https://www.mdpi.com/1648-9144/56/7/335/htm (accessed on 7 February 2023). [CrossRef] [PubMed]
- Sicilia-Gomez, C.; Fernández-Carnero, S.; Martin-Perez, A.; Cuenca-Zaldívar, N.; Naranjo-Cinto, F.; Pecos-Martín, D.; Cervera-Cano, M.; Nunez-Nagy, S. Abdominal and Pelvic Floor Activity Related to Respiratory Diaphragmatic Activity in Subjects with and without Non-Specific Low Back Pain. Diagnostics 2022, 12, 2530. [Google Scholar] [CrossRef]
- Calvo-Lobo, C.; Almazán-Polo, J.; Becerro-de-Bengoa-Vallejo, R.; Losa-Iglesias, M.E.; Palomo-López, P.; Rodrí-guez-Sanz, D.; López-López, D. Ultrasonography comparison of diaphragm thickness and excursion between athletes with and without lumbopelvic pain. Phys. Ther. Sport 2019, 37, 128–137. Available online: https://pubmed.ncbi.nlm.nih.gov/30954705/ (accessed on 27 December 2022). [CrossRef]
- Silva, S.B.; De Abreu, L.C.; Valenti, V.E.; Nogueira, D.V.; Moraes, É.R.; Natividade, V.; Gallo, P.R.; Gallo, D.; Zacaro, P. Verbal and visual stimulation effects on rectus femoris and biceps femoris muscles during isometric and concentric. Int. Arch. Med. 2013, 6, 38. Available online: https://intarchmed.biomedcentral.com/articles/10.1186/1755-7682-6-38 (accessed on 27 December 2022). [CrossRef]
- Johansson, C.A.; Kent, B.E.; Shepard, K.F. Relationship Between Verbal Command Volume and Magnitude of Muscle Contraction. Phys. Ther. 1983, 63, 1260–1265. Available online: https://academic.oup.com/ptj/article/63/8/1260/2727605 (accessed on 27 December 2022). [CrossRef]
- Ema, R.; Wakahara, T.; Mogi, Y.; Miyamoto, N.; Komatsu, T.; Kanehisa, H.; Kawakami, Y. In vivo measurement of human rectus femoris architecture by ultrasonography: Validity and applicability. Clin. Physiol. Funct. Imaging 2013, 33, 267–273. Available online: https://pubmed.ncbi.nlm.nih.gov/23692615/ (accessed on 28 December 2022). [CrossRef]
- Akima, H.; Saito, A. Activation of quadriceps femoris including vastus intermedius during fatiguing dynamic knee extensions. Eur. J. Appl. Physiol. 2013, 113, 2829–2840. [Google Scholar] [CrossRef]
- Xerogeanes, J.W.; Mitchell, P.M.; Karasev, P.A.; Kolesov, I.A.; Romine, S.E. Anatomic and Morphological Evaluation of the Quadriceps Tendon Using 3-Dimensional Magnetic Resonance Imaging Reconstruction. Am. J. Sports Med. 2013, 41, 2392–2399. Available online: https://journals.sagepub.com/doi/10.1177/0363546513496626?url_ver=Z39.88-2003&rfr_id=ori%3Arid%3Acrossref.org&rfr_dat=cr_pub++0pubmed (accessed on 28 December 2022). [CrossRef] [PubMed]
- Aitken, S.A. Normative Values for Femoral Length, Tibial Length, and the Femorotibial Ratio in Adults Using Standing Full-Length Radiography. Osteology 2021, 1, 86–91. Available online: https://www.researchgate.net/publication/351568076_Normative_Values_for_Femoral_Length_Tibial_Length_and_the_Femorotibial_Ratio_in_Adults_Using_Standing_Full-Length_Radiography (accessed on 27 December 2022). [CrossRef]
- Ando, R.; Saito, A.; Umemura, Y.; Akima, H. Local architecture of the vastus intermedius is a better predictor of knee extension force than that of the other quadriceps femoris muscle heads. Clin. Physiol. Funct. Imaging 2015, 35, 376–382. Available online: https://pubmed.ncbi.nlm.nih.gov/24915999/ (accessed on 28 December 2022). [CrossRef] [PubMed]
- Valera-Calero, J.A.; Fernández-De-las-peñas, C.; Varol, U.; Ortega-Santiago, R.; Gallego-Sendarrubias, G.M.; Arias-Buría, J.L. Ultrasound Imaging as a Visual Biofeedback Tool in Rehabilitation: An Updated Systematic Review. Int. J. Environ. Res. Public Health 2021, 18, 7554. Available online: https://pubmed.ncbi.nlm.nih.gov/34300002/ (accessed on 8 February 2023). [CrossRef] [PubMed]




| N | 62 | |
| Gender, n (%) | Female | 37 (59.7) | 
| Male | 25 (40.3) | |
| Age | 20.42 ± 4.97 | |
| Height (cm) | 169.81 ± 8.74 | |
| Weight (kg) | 64.01 ± 9.64 | |
| Lower limb dominance, n (%) | Left | 7 (11.3) | 
| Right | 55 (88.7) | |
| Dominant lower limb length (cm) | 86.97 ± 4.84 | |
| Rectus femoris length (cm) | 33.94 ± 2.99 | |
| Quadriceps tendon length (cm) | 7.14 ± 1.77 | |
| Distance between spines (cm) | 4.38 ± 3.32 | |
| Proximal third perimeter (cm) | 61.04 ± 5.45 | |
| Middle third perimeter (cm) | 55.79 ± 5.00 | |
| Distal third perimeter (cm) | 47.13 ± 4.28 | |
| Rectus femoris thickness at rest (cm) | 2.11 ± 0.44 | |
| Rectus femoris thickness contraction (cm) | 2.72 ± 0.52 | |
| Rectus femoris contraction ratio (%) | 0.30 ± 0.13 | |
| Vastus intermedius thickness at rest (cm) | 1.69 ± 0.40 | |
| Vastus intermedius contraction thickness (cm) | 2.11 ± 0.38 | |
| Vastus intermedius contraction ratio (%) | 0.27 ± 0.17 | |
| Rectus femoris average velocity contraction (cm/sg) | 4.42 ± 2.51 | |
| Rectus femoris average relaxation velocity (cm/sg) | 2.39 ± 0.77 | |
| Vastus intermedius average contraction velocity (cm/sg) | 7.44 ± 7.07 | |
| Vastus intermedius average relaxation velocity (cm/sg) | 3.58 ± 1.25 | 
| Rectus Femoris | Vastus Intermedius | Average Difference (95%CI) | ap Value | Effect Size (95%CI) | |
|---|---|---|---|---|---|
| Contraction ratio (%) | 0.30 ± 0.13 | 0.27 ± 0.17 | 0.34 | 0.026 (−0.028, 0.081) | 0.172 (−0.185, 0.529) ° | 
| Average velocity contraction (cm/sg) | 4.42 ± 2.51 | 7.44 ± 7.07 | <0.001 | −2.1 (−2.742, −1.588) | −0.806 (−0.856, −0.715) * | 
| Average velocity relaxation (cm/sg) | 2.39 ± 0.77 | 3.58 ± 1.25 | <0.001 | −1.122 (−1.392, −0.885) | −0.824 (−0.864, −0.774) * | 
| Odds Ratio (95%CI) | Coefficient (RSE) | Robust Z Score | ap Value | |
|---|---|---|---|---|
| (Intercept) | 0.962 (0.941, 0.984) | −0.038 (RSE = 0.011) | −3.346 | 0.001 | 
| Contraction ratio | 0.9 (0.827, 0.98) | −0.105 (RSE = 0.043) | −2.420 | 0.016 | 
| Average velocity relaxation | 1.023 (1.016, 1.03) | 0.023 (RSE = 0.004) | 6.351 | <0.001 | 
| Comparison | Correlation Coefficient (95%CI) | ap Value | 
|---|---|---|
| Rectus femoris mean thickness at rest vs. Rectus femoris length | 0.371 (0.134, 0.568) | 0.003 | 
| Vastus intermedius mean contraction thickness vs. Distal third perimeter | 0.496 (0.281, 0.664) | <0.001 | 
| Vastus intermedius mean contraction thickness vs. Dominant lower limb length | 0.428 (0.199, 0.612) | 0.001 | 
| Vastus intermedius mean contraction thickness vs. Middle third perimeter | 0.454 (0.23, 0.632) | <0.001 | 
| Vastus intermedius mean contraction thickness vs. Rectus femoris length | 0.374 (0.137, 0.57) | 0.003 | 
| Vastus intermedius mean thickness at rest vs. Distal third perimeter | 0.412 (0.18, 0.6) | 0.001 | 
| Vastus intermedius mean thickness at rest vs. Dominant lower limb length | 0.302 (0.056, 0.513) | 0.017 | 
| Vastus intermedius mean thickness at rest vs. Middle third perimeter | 0.461 (0.239, 0.638) | <0.001 | 
| Vastus intermedius mean thickness at rest vs. Proximal third perimeter | 0.304 (0.059, 0.515) | 0.016 | 
| Vastus intermedius mean thickness at rest vs. Rectus femoris length | 0.345 (0.104, 0.548) | 0.006 | 
| Disclaimer/Publisher’s Note: The statements, opinions and data contained in all publications are solely those of the individual author(s) and contributor(s) and not of MDPI and/or the editor(s). MDPI and/or the editor(s) disclaim responsibility for any injury to people or property resulting from any ideas, methods, instructions or products referred to in the content. | 
© 2023 by the authors. Licensee MDPI, Basel, Switzerland. This article is an open access article distributed under the terms and conditions of the Creative Commons Attribution (CC BY) license (https://creativecommons.org/licenses/by/4.0/).
Share and Cite
Naranjo-Cinto, F.; Pecos-Martín, D.; Cuenca-Zaldivar, J.N.; Achalandabaso-Ochoa, A.; Quintero-Pérez, J.; Bierge-Sanclemente, P.; García-Escudero, M.; Fernández-Carnero, S. M-Mode Ultrasound Behavior of Rectus Femoris and Vastus Intermedius during Contraction with Anthropometric Correlations: Cross-Sectional Study. Appl. Sci. 2023, 13, 2589. https://doi.org/10.3390/app13042589
Naranjo-Cinto F, Pecos-Martín D, Cuenca-Zaldivar JN, Achalandabaso-Ochoa A, Quintero-Pérez J, Bierge-Sanclemente P, García-Escudero M, Fernández-Carnero S. M-Mode Ultrasound Behavior of Rectus Femoris and Vastus Intermedius during Contraction with Anthropometric Correlations: Cross-Sectional Study. Applied Sciences. 2023; 13(4):2589. https://doi.org/10.3390/app13042589
Chicago/Turabian StyleNaranjo-Cinto, Fermin, Daniel Pecos-Martín, Juan Nicolás Cuenca-Zaldivar, Alexander Achalandabaso-Ochoa, Jessica Quintero-Pérez, Pilar Bierge-Sanclemente, María García-Escudero, and Samuel Fernández-Carnero. 2023. "M-Mode Ultrasound Behavior of Rectus Femoris and Vastus Intermedius during Contraction with Anthropometric Correlations: Cross-Sectional Study" Applied Sciences 13, no. 4: 2589. https://doi.org/10.3390/app13042589
APA StyleNaranjo-Cinto, F., Pecos-Martín, D., Cuenca-Zaldivar, J. N., Achalandabaso-Ochoa, A., Quintero-Pérez, J., Bierge-Sanclemente, P., García-Escudero, M., & Fernández-Carnero, S. (2023). M-Mode Ultrasound Behavior of Rectus Femoris and Vastus Intermedius during Contraction with Anthropometric Correlations: Cross-Sectional Study. Applied Sciences, 13(4), 2589. https://doi.org/10.3390/app13042589
 
        




 
       