The Fourth Cervical Vertebra Anterior and Posterior Body Height Projections (Vba) for the Assessment of Pubertal Growth Spurt
Abstract
Featured Application
Abstract
1. Introduction
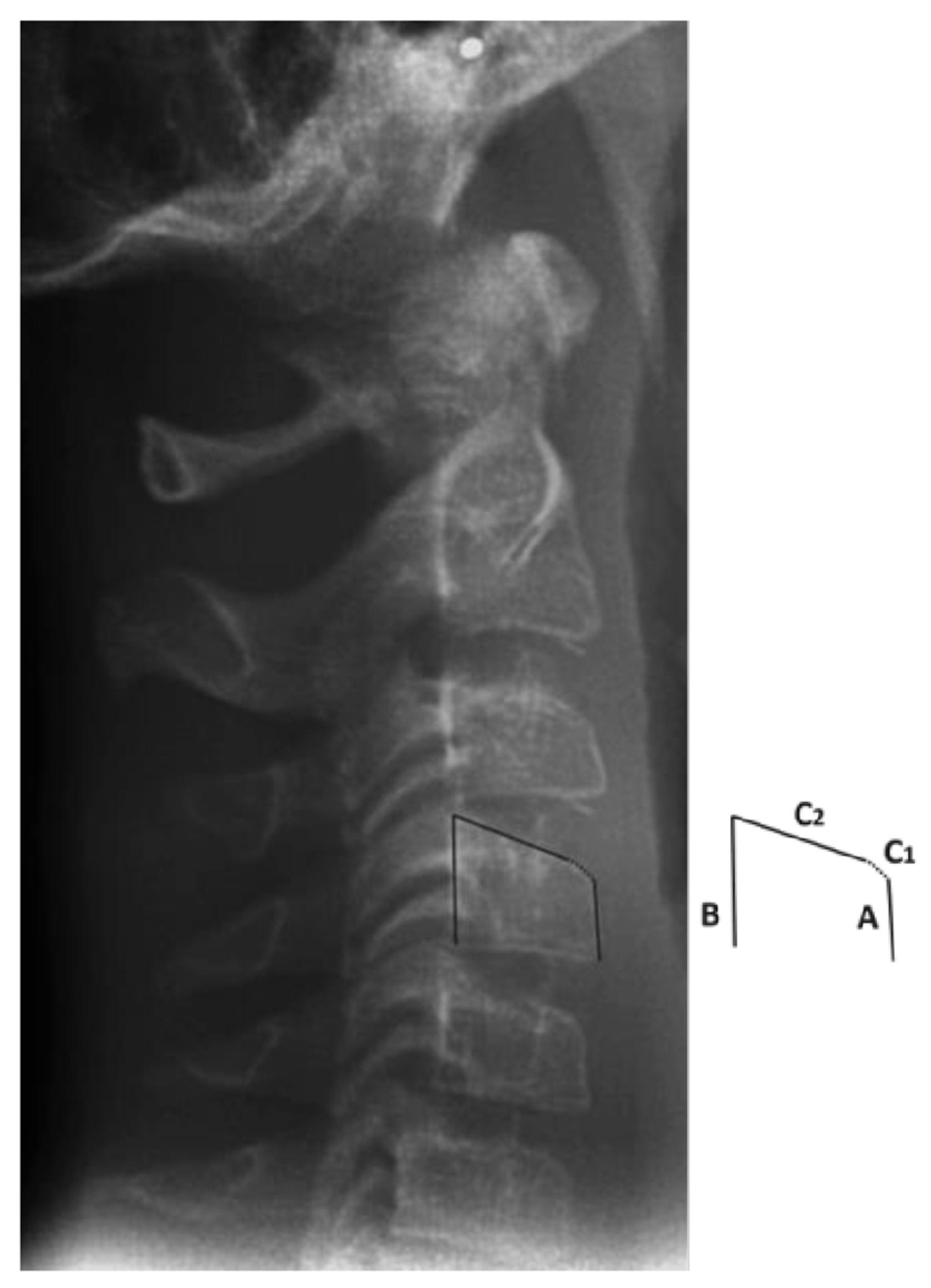
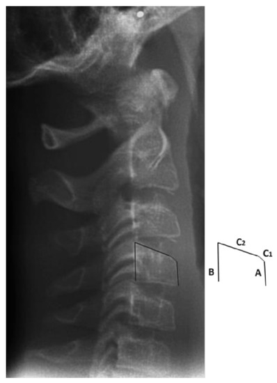
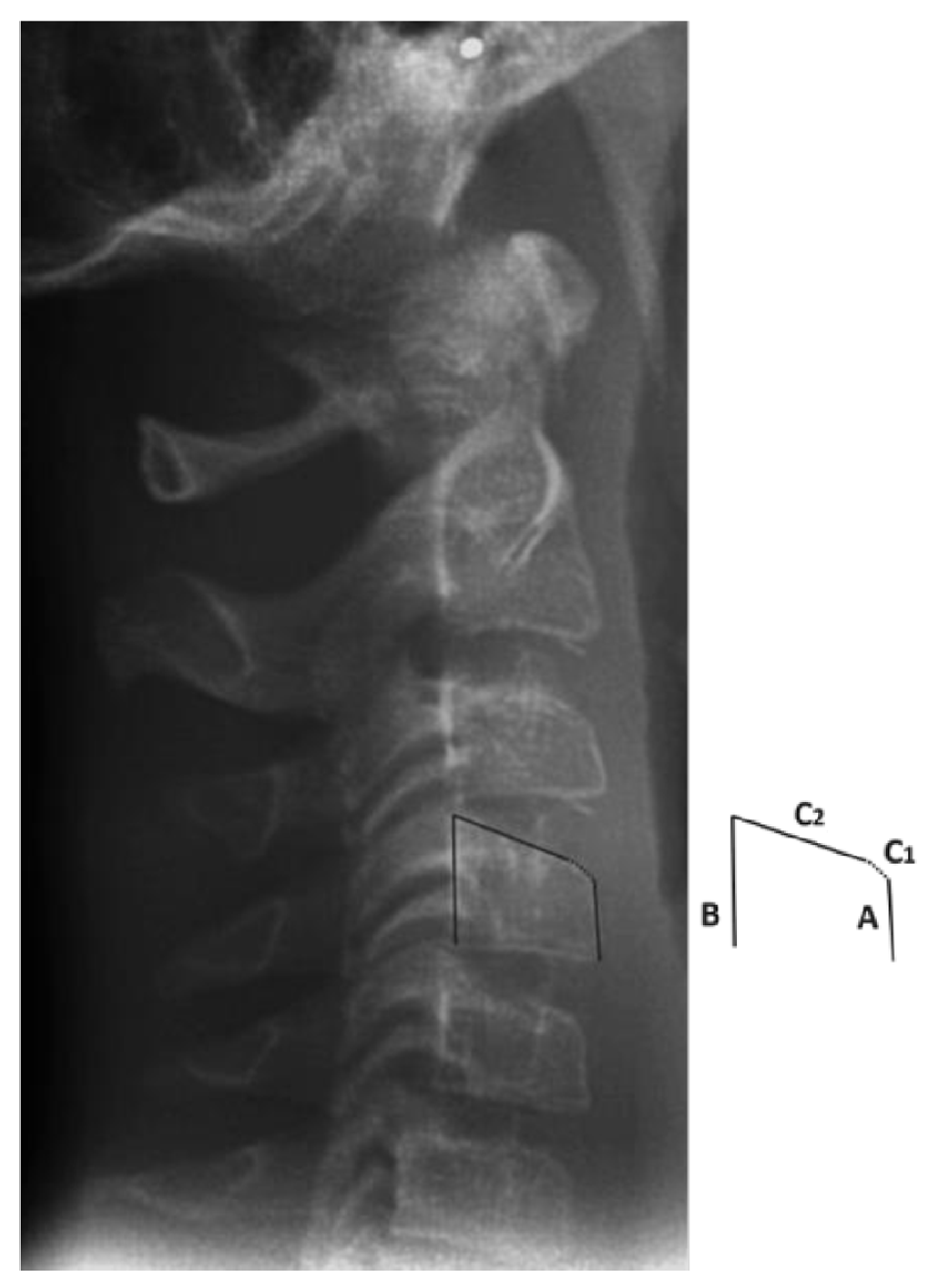
2. Materials and Methods
Statistical Analysis
3. Results
4. Discussion
5. Conclusions
Author Contributions
Funding
Institutional Review Board Statement
Informed Consent Statement
Conflicts of Interest
References
- Baccetti, T.; Franchi, L.; McNamara, J.A., Jr. An improved version of the cervical vertebral maturation (CVM) method for the assessment of mandibular growth. Angle Orthod. 2002, 72, 316–323. [Google Scholar] [CrossRef] [PubMed]
- Baccetti, T.; Franchi, L.; McNamara, J.A., Jr. Treatment and posttreatment craniofacial changes after rapid maxillary expansion and facemask therapy. Am. J. Orthod. Dentofac. Orthop. 2000, 118, 404–413. [Google Scholar] [CrossRef] [PubMed]
- Ball, G.; Woodside, D.; Tompson, B.; Hunter, W.S.; Posluns, J. Relationship between cervical vertebral maturation and mandibular growth. Am. J. Orthod. Dentofac. Orthop. 2011, 139, e455–e461. [Google Scholar] [CrossRef]
- Björk, A.; Krebs, A.; Solow, B. A method for epidemiological registration of malocclusion. Acta Odontol. Scand. 1964, 22, 27–41. [Google Scholar] [CrossRef] [PubMed]
- O’Reilly, M.T.; Yanniello, G.J. Mandibular growth changes and maturation of cervical vertebrae—A longitudinal cephalometric study. Angle Orthod. 1988, 58, 179–184. [Google Scholar] [CrossRef]
- So, L.L. Skeletal maturation of the hand and wrist and its correlation with dental development. Aust. Orthod. J. 1997, 15, 1–9. [Google Scholar]
- Yuan, J.T.; Furdock, R.J.; Benedick, A.; Liu, R.W. Estimating Skeletal Maturity by Segmented Linear Modeling of Key AP Knee Radiographic Parameters. J. Pediatr. Orthop. 2022, 42, 169–173. [Google Scholar] [CrossRef] [PubMed]
- Sahin, R.; Kazadal, C. The Relationship Between Ossification in Metacarpophalangeal Sesamoids of the Thumb and the Period of Puberty: A Radiographic Study. Medeni. Med. J. 2022, 37, 300–305. [Google Scholar] [CrossRef]
- Paschoini, V.L.; Nunes, D.C.; Matias, M.; Nahás-Scocate, A.C.R.; Feres, M.F.N. Accuracy of dental calcification stages for the identification of craniofacial pubertal growth spurt: Proposal of referral parameters. Eur. Arch. Paediatr. Dent. 2022, 1–9. [Google Scholar] [CrossRef] [PubMed]
- Szemraj-Folmer, A.; Wojtaszek-Słomińska, A.; Racka-Pilszak, B.; Kuc-Michalska, M. Assessment of the duration of the pubertal growth spurt in patients with skeletal open bite: A cross-sectional study. J. Orofac. Orthop. 2021, 82, 92–98. [Google Scholar] [CrossRef]
- Al Khal, H.A.; Wong, R.W.; Rabie, A.B. Elimination of hand-wrist radiographs for maturity assessment in children needing orthodontic therapy. Skelet. Radiol. 2008, 37, 195–200. [Google Scholar] [CrossRef]
- Hagg, U.; Taranger, J. Skeletal stages of the hand and wrist as indicators of the pubertal growth spurt. Acta Odontol. Scand. 1980, 38, 187–200. [Google Scholar] [CrossRef] [PubMed]
- Dahlberg, P.S.; Mosdol, A.; Ding, Y.; Bleka, O.; Rolseth, V.; Straumann, G.H.; Skjerven-Martinsen, M.; Delaveris, G.J.M.; Vist, G.E. A systematic review of the agreement between chronological age and skeletal age based on the Greulich and Pyle atlas. Eur. Radiol. 2019, 29, 2936–2948. [Google Scholar] [CrossRef]
- Bjork, A.; Helm, S. Prediction of the age of maximum puberal growth in body height. Angle Orthod. 1967, 37, 134–143. [Google Scholar] [CrossRef]
- Fekonja, A. Evaluation of the eruption of permanent teeth and their association with malocclusion. Clin. Exp. Dent. Res. 2022, 8, 836–842. [Google Scholar] [CrossRef] [PubMed]
- Fishman, L.S. Maturational patterns and prediction during adolescence. Angle Orthod. 1987, 57, 178–193. [Google Scholar] [CrossRef] [PubMed]
- Lamparski, D.G. Skeletal age assessment utilizing cervical vertebrae. Am. J. Orthod. 1975, 67, 458–459. [Google Scholar] [CrossRef]
- Hassel, B.; Farman, A.G. Skeletal maturation evaluation using cervical vertebrae. Am. J. Orthod. Dentofac. Orthop. 1995, 107, 58–66. [Google Scholar] [CrossRef]
- Franchi, L.; Baccetti, T.; McNamara, J.A., Jr. Mandibular growth as related to cervical vertebral maturation and body height. Am. J. Orthod. Dentofac. Orthop. 2000, 118, 335–340. [Google Scholar] [CrossRef]
- Thomas, L.A.; Thomas, L.R.; Balla, S.B.; Gopalaiah, H.; Kanaparthi, A.; Sai Sravanthi, G.; Palla, A.; Galic, I. Above or below 14 years? An orthopantomographic study based on chronological course of eruption of mandibular premolars and second molars in a sample of south Indian children. Leg. Med. 2021, 48, 101814. [Google Scholar] [CrossRef] [PubMed]
- Kelmendi, J.; Cameriere, R.; Kocani, F.; Galic, I.; Mehmeti, B.; Vodanovic, M. The third molar maturity index in indicating the legal adult age in Kosovar population. Int. J. Leg. Med. 2018, 132, 1151–1159. [Google Scholar] [CrossRef]
- Rozylo-Kalinowska, I.; Kalinowski, P.; Kozek, M.; Galic, I.; Cameriere, R. Validity of the third molar maturity index I(3M) for indicating the adult age in the Polish population. Forensic Sci. Int. 2018, 290, 352.e1–352.e6. [Google Scholar] [CrossRef] [PubMed]
- Balla, S.B.; Banda, T.R.; Galic, I.; Naga, N.M.; Naishadham, P.P. Validation of Cameriere’s third molar maturity index alone and in combination with apical maturity of permanent mandibular second molar for indicating legal age of 14 years in a sample of South Indian children. Forensic Sci. Int. 2019, 297, 243–248. [Google Scholar] [CrossRef] [PubMed]
- Balla, S.B.; Chinni, S.S.; Galic, I.; Alwala, A.M.; Machani, P.; Cameriere, R. A cut-off value of third molar maturity index for indicating a minimum age of criminal responsibility: Older or younger than 16 years? J. Forensic Leg. Med. 2019, 65, 108–112. [Google Scholar] [CrossRef] [PubMed]
- da Luz, L.C.P.; Anzulovic, D.; Benedicto, E.N.; Galic, I.; Brkic, H.; Biazevic, M.G.H. Accuracy of four dental age estimation methodologies in Brazilian and Croatian children. Sci. Justice 2019, 59, 442–447. [Google Scholar] [CrossRef] [PubMed]
- Galic, I.; Pacifici, A.; Carbone, D.; Pacifici, L.; Jeroncic, A.; Cameriere, R. Age estimation by the Cameriere’s normalized measurements (CNM) of the single permanent mandibular tooth on a panoramic radiograph. Leg. Med. 2017, 26, 65–72. [Google Scholar] [CrossRef]
- Brkic, H.; Galic, I.; Vodanovic, M.; Dumancic, J.; Mehdi, F.; Anic Milosevic, S. The Cameriere, Haavikko, Demirjian, and Willems methods for the assessment of dental age in Croatian children. Int. J. Leg. Med. 2022, 136, 1685–1696. [Google Scholar] [CrossRef] [PubMed]
- Galic, I.; Vodanovic, M.; Jankovic, S.; Mihanovic, F.; Nakas, E.; Prohic, S.; Galic, E.; Brkic, H. Dental age estimation on Bosnian-Herzegovinian children aged 6–14 years: Evaluation of Chaillet’s international maturity standards. J. Forensic Leg. Med. 2013, 20, 40–45. [Google Scholar] [CrossRef] [PubMed]
- Galic, I.; Vodanovic, M.; Cameriere, R.; Nakas, E.; Galic, E.; Selimovic, E.; Brkic, H. Accuracy of Cameriere, Haavikko, and Willems radiographic methods on age estimation on Bosnian-Herzegovian children age groups 6–13. Int. J. Leg. Med. 2011, 125, 315–321. [Google Scholar] [CrossRef] [PubMed]
- Dadgar, S.; Hadian, H.; Ghobadi, M.; Sobouti, F.; Rakhshan, V. Correlations among chronological age, cervical vertebral maturation index, and Demirjian developmental stage of the maxillary and mandibular canines and second molars. Surg. Radiol. Anat. 2021, 43, 131–143. [Google Scholar] [CrossRef]
- Bittencourt, M.V.; Cericato, G.; Franco, A.; Girão, R.; Lima, A.P.B.; Paranhos, L. Accuracy of dental development for estimating the pubertal growth spurt in comparison to skeletal development: A systematic review and meta-analysis. Dentomaxillofac. Radiol. 2018, 47, 20170362. [Google Scholar] [CrossRef] [PubMed]
- Wittschieber, D.; Vieth, V.; Wierer, T.; Pfeiffer, H.; Schmeling, A. Cameriere’s approach modified for pelvic radiographs: A novel method to assess apophyseal iliac crest ossification for the purpose of forensic age diagnostics. Int. J. Leg. Med. 2013, 127, 825–829. [Google Scholar] [CrossRef]
- Cameriere, R.; Brogi, G.; Ferrante, L.; Mirtella, D.; Vultaggio, C.; Cingolani, M.; Fornaciari, G. Reliability in age determination by pulp/tooth ratio in upper canines in skeletal remains. J. Forensic Sci. 2006, 51, 861–864. [Google Scholar] [CrossRef]
- Cameriere, R.; Cingolani, M.; Giuliodori, A.; De Luca, S.; Ferrante, L. Radiographic analysis of epiphyseal fusion at knee joint to assess likelihood of having attained 18 years of age. Int. J. Leg. Med. 2012, 126, 889–899. [Google Scholar] [CrossRef] [PubMed]
- Cameriere, R.; Cunha, E.; Wasterlain, S.N.; De Luca, S.; Sassaroli, E.; Pagliara, F.; Nuzzolese, E.; Cingolani, M.; Ferrante, L. Age estimation by pulp/tooth ratio in lateral and central incisors by peri-apical X-ray. J. Forensic Leg. Med. 2013, 20, 530–536. [Google Scholar] [CrossRef] [PubMed]
- Cameriere, R.; De Angelis, D.; Ferrante, L.; Scarpino, F.; Cingolani, M. Age estimation in children by measurement of open apices in teeth: A European formula. Int. J. Leg. Med. 2007, 121, 449–453. [Google Scholar] [CrossRef]
- Cameriere, R.; Ferrante, L.; Cingolani, M. Age estimation in children by measurement of open apices in teeth. Int. J. Leg. Med. 2006, 120, 49–52. [Google Scholar] [CrossRef]
- Cameriere, R.; Ferrante, L.; De Angelis, D.; Scarpino, F.; Galli, F. The comparison between measurement of open apices of third molars and Demirjian stages to test chronological age of over 18 year olds in living subjects. Int. J. Leg. Med. 2008, 122, 493–497. [Google Scholar] [CrossRef]
- Cameriere, R.; Ferrante, L.; Mirtella, D.; Cingolani, M. Carpals and epiphyses of radius and ulna as age indicators. Int. J. Leg. Med. 2006, 120, 143–146. [Google Scholar] [CrossRef] [PubMed]
- Cameriere, R.; Giuliodori, A.; Zampi, M.; Galic, I.; Cingolani, M.; Pagliara, F.; Ferrante, L. Age estimation in children and young adolescents for forensic purposes using fourth cervical vertebra (C4). Int. J. Leg. Med. 2015, 129, 347–355. [Google Scholar] [CrossRef]
- Cameriere, R.; Scendoni, R.; Ferrante, L.; Mirtella, D.; Oncini, L.; Cingolani, M. An Effective Model for Estimating Age in Unaccompanied Minors under the Italian Legal System. Healthcare 2023, 11, 224. [Google Scholar] [CrossRef]
- Zolotenkova, G.V.; Rogachev, A.I.; Pigolkin, Y.I.; Edelev, I.S.; Borshchevskaya, V.N.; Cameriere, R. Age Classification in Forensic Medicine Using Machine Learning Techniques. Sovrem. Tekhnol. V Meditsine 2022, 14, 15–22. [Google Scholar] [CrossRef]
- Spinas, E.; Melis, G.; Zerman, N.; De Luca, S.; Cameriere, R. Age Assessment in Children and Adolescents by Measuring the Open Apices in Teeth: A New Sardinian Formula. Dent. J. 2022, 10, 50. [Google Scholar] [CrossRef]
- Scendoni, R.; Ribeiro, I.L.A.; Cingolani, M.; Giovagnoni, A.; Curzi, M.; Fedeli, P.; Cameriere, R. A new analytical cut-off point for determining 18 years of age using MRI on medial clavicular epiphysis. Leg. Med. 2022, 54, 102010. [Google Scholar] [CrossRef]
- Pereira, C.P.; Belo, C.; Sardinha, J.; Santos, R.; Salvado, F.; Cameriere, R. Quantitative and Qualitative Approaches for Dental Age Assessment in Sub Adult Portuguese Population: European Regression Formula and Demirjian Stages. Acta Stomatol. Croat. 2022, 56, 288–298. [Google Scholar] [CrossRef] [PubMed]
- Kihara, E.; Galic, I.; Nyamunga, D.; Mehdi, F.; Velandia Palacio, L.A.; Cameriere, R. Validation of the Italian, European, North German, Malaysian, and South African black formulas on Cameriere method using panoramic radiographs in Kenyan children. Int. J. Leg. Med. 2022, 136, 1495–1506. [Google Scholar] [CrossRef]
- Angelakopoulos, N.; De Luca, S.; Oliveira-Santos, I.; Ribeiro, I.L.A.; Bianchi, I.; Balla, S.B.; Kis, H.C.; Jimenez, L.G.; Zolotenkova, G.; Yusof, M.Y.P.; et al. Third molar maturity index (I(3M)) assessment according to different geographical zones: A large multi-ethnic study sample. Int. J. Leg. Med. 2022. [Google Scholar] [CrossRef] [PubMed]
- Palmela Pereira, C.; Rodrigues, A.; Santos, A.; Salvado, F.; Santos, R.; Cameriere, R. Cut-off for the legal ages in the Portuguese Population by Third Maturity Index: Measures of Accuracy. Arch. Oral Biol. 2021, 125, 105089. [Google Scholar] [CrossRef]
- Angelakopoulos, N.; Galic, I.; Balla, S.B.; Kis, H.C.; Gomez Jimenez, L.; Zolotenkova, G.; Mohd Yusof, M.Y.P.; Hadzic Selmanagic, A.; Pandey, H.; Palmela Pereira, C.; et al. Comparison of the third molar maturity index (I(3M)) between left and right lower third molars to assess the age of majority: A multi-ethnic study sample. Int. J. Leg. Med. 2021, 135, 2423–2436. [Google Scholar] [CrossRef]
- Gulsahi, A.; Cehreli, S.B.; Galic, I.; Ferrante, L.; Cameriere, R. Age estimation in Turkish children and young adolescents using fourth cervical vertebra. Int. J. Leg. Med. 2020, 134, 1823–1829. [Google Scholar] [CrossRef] [PubMed]
- World Medical, A. World Medical Association Declaration of Helsinki: Ethical principles for medical research involving human subjects. JAMA 2013, 310, 2191–2194. [Google Scholar] [CrossRef]
- Ferrante, L.; Cameriere, R. Statistical methods to assess the reliability of measurements in the procedures for forensic age estimation. Int. J. Leg. Med. 2009, 123, 277–283. [Google Scholar] [CrossRef]
- Muggeo, V.M. Estimating regression models with unknown break-points. Stat. Med. 2003, 22, 3055–3071. [Google Scholar] [CrossRef]
- R Core Team R. R: A Language and Environment for Statistical Computing; R Core Team R.: Vienna, Austria, 2020. [Google Scholar]
- Sodeifian, G.; Ansari, K. Optimization of Ferulago Angulata oil extraction with supercritical carbon dioxide. J. Supercrit. Fluids 2011, 57, 38–43. [Google Scholar] [CrossRef]
- Sodeifian, G.; Ardestani, N.S.; Sajadian, S.A.; Ghorbandoost, S. Application of supercritical carbon dioxide to extract essential oil from Cleome coluteoides Boiss: Experimental, response surface and grey wolf optimization methodology. J. Supercrit. Fluids 2016, 114, 55–63. [Google Scholar] [CrossRef]
- Faragalli, A.; Skrami, E.; Bucci, A.; Gesuita, R.; Cameriere, R.; Carle, F.; Ferrante, L. Combining Bayesian Calibration and Copula Models for Age Estimation. Int. J. Environ. Res. Public Health 2023, 20, 1201. [Google Scholar] [CrossRef]
- Cameriere, R.; De Luca, S.; Soriano Vazquez, I.; Kis, H.C.; Pigolkin, Y.; Kumagai, A.; Ferrante, L. A full Bayesian calibration model for assessing age in adults by means of pulp/tooth area ratio in periapical radiography. Int. J. Leg. Med. 2021, 135, 677–685. [Google Scholar] [CrossRef] [PubMed]
- Ferrante, L.; Skrami, E.; Gesuita, R.; Cameriere, R. Bayesian calibration for forensic age estimation. Stat. Med. 2015, 34, 1779–1790. [Google Scholar] [CrossRef]
- Nestman, T.S.; Marshall, S.D.; Qian, F.; Holton, N.; Franciscus, R.G.; Southard, T.E. Cervical vertebrae maturation method morphologic criteria: Poor reproducibility. Am. J. Orthod. Dentofac. Orthop. 2011, 140, 182–188. [Google Scholar] [CrossRef]
- Perinetti, G.; Perillo, L.; Franchi, L.; Di Lenarda, R.; Contardo, L. Maturation of the middle phalanx of the third finger and cervical vertebrae: A comparative and diagnostic agreement study. Orthod. Craniofac. Res. 2014, 17, 270–279. [Google Scholar] [CrossRef]
- Santiago, R.C.; de Miranda Costa, L.F.; Vitral, R.W.; Fraga, M.R.; Bolognese, A.M.; Maia, L.C. Cervical vertebral maturation as a biologic indicator of skeletal maturity. Angle Orthod. 2012, 82, 1123–1131. [Google Scholar] [CrossRef]
- Perinetti, G.; Contardo, L. Reliability of Growth Indicators and Efficiency of Functional Treatment for Skeletal Class II Malocclusion: Current Evidence and Controversies. BioMed Res. Int. 2017, 2017, 1367691. [Google Scholar] [CrossRef]



| Coefficients | Males | Females | ||
|---|---|---|---|---|
| Estimate | Se | Estimate | Se | |
| β0 | 0.441 | 0.056 | 0.394 | 0.048 |
| β1 | 0.024 | 0.007 | 0.028 | 0.006 |
| β2 | 0.145 | 0.030 | 0.086 | 0.009 |
| β3 | −0.154 | 0.030 | −0.112 | 0.017 |
| cut-offs | ||||
| τ1 | 9.679 | 0.213 | 9.384 | 0.241 |
| τ2 | 11.391 | 0.235 | 13.02 | 0.247 |
| Vba | θ (%) | Δτ (Years) | Vba | θ (%) | Δτ (Years) | ||||||||
|---|---|---|---|---|---|---|---|---|---|---|---|---|---|
| Q1 | Median | Q3 | Q1 | Median | Q3 | Q1 | Median | Q3 | Q1 | Median | Q3 | ||
| Males | Females | ||||||||||||
| 0.67 | 0.95 | 0.99 | 1.00 | 1.57 | 1.81 | 2.10 | 0.65 | 0.99 | 1.00 | 1.03 | 3.55 | 3.73 | 3.92 |
| 0.69 | 0.88 | 0.93 | 0.97 | 1.47 | 1.69 | 1.97 | 0.67 | 0.94 | 0.96 | 0.98 | 3.38 | 3.55 | 3.73 |
| 0.71 | 0.81 | 0.86 | 0.91 | 1.36 | 1.57 | 1.84 | 0.69 | 0.90 | 0.92 | 0.93 | 3.21 | 3.37 | 3.55 |
| 0.73 | 0.75 | 0.80 | 0.85 | 1.25 | 1.46 | 1.71 | 0.71 | 0.85 | 0.87 | 0.88 | 3.04 | 3.19 | 3.36 |
| 0.75 | 0.68 | 0.73 | 0.78 | 1.14 | 1.34 | 1.57 | 0.73 | 0.80 | 0.82 | 0.84 | 2.86 | 3.02 | 3.18 |
| 0.77 | 0.61 | 0.67 | 0.72 | 1.03 | 1.22 | 1.44 | 0.75 | 0.75 | 0.77 | 0.79 | 2.69 | 2.84 | 2.99 |
| 0.79 | 0.55 | 0.60 | 0.66 | 0.92 | 1.10 | 1.31 | 0.77 | 0.70 | 0.72 | 0.74 | 2.52 | 2.66 | 2.81 |
| 0.81 | 0.48 | 0.54 | 0.60 | 0.81 | 0.98 | 1.18 | 0.79 | 0.66 | 0.67 | 0.69 | 2.35 | 2.48 | 2.63 |
| 0.83 | 0.41 | 0.47 | 0.53 | 0.70 | 0.87 | 1.05 | 0.81 | 0.61 | 0.63 | 0.64 | 2.18 | 2.31 | 2.44 |
| 0.85 | 0.35 | 0.41 | 0.47 | 0.59 | 0.75 | 0.93 | 0.83 | 0.56 | 0.58 | 0.60 | 2.00 | 2.13 | 2.26 |
| 0.87 | 0.28 | 0.35 | 0.41 | 0.48 | 0.63 | 0.80 | 0.85 | 0.51 | 0.53 | 0.55 | 1.83 | 1.95 | 2.08 |
| 0.89 | 0.21 | 0.28 | 0.34 | 0.37 | 0.51 | 0.67 | 0.87 | 0.46 | 0.48 | 0.50 | 1.66 | 1.77 | 1.89 |
| 0.91 | 0.15 | 0.22 | 0.28 | 0.25 | 0.39 | 0.55 | 0.89 | 0.41 | 0.43 | 0.45 | 1.49 | 1.60 | 1.71 |
| 0.93 | 0.08 | 0.15 | 0.22 | 0.14 | 0.28 | 0.42 | 0.91 | 0.37 | 0.38 | 0.40 | 1.31 | 1.42 | 1.53 |
| 0.95 | 0.01 | 0.09 | 0.16 | 0.02 | 0.16 | 0.30 | 0.93 | 0.32 | 0.34 | 0.36 | 1.14 | 1.24 | 1.35 |
| 0.95 | 0.27 | 0.29 | 0.31 | 0.96 | 1.06 | 1.16 | |||||||
| 0.97 | 0.22 | 0.24 | 0.26 | 0.79 | 0.88 | 0.98 | |||||||
| 0.99 | 0.17 | 0.19 | 0.21 | 0.61 | 0.71 | 0.80 | |||||||
| Sex | Forecast | ||
|---|---|---|---|
| C | U | I | |
| Males | 17 | 8 | 0 |
| Females | 9 | 16 | 0 |
Disclaimer/Publisher’s Note: The statements, opinions and data contained in all publications are solely those of the individual author(s) and contributor(s) and not of MDPI and/or the editor(s). MDPI and/or the editor(s) disclaim responsibility for any injury to people or property resulting from any ideas, methods, instructions or products referred to in the content. |
© 2023 by the authors. Licensee MDPI, Basel, Switzerland. This article is an open access article distributed under the terms and conditions of the Creative Commons Attribution (CC BY) license (https://creativecommons.org/licenses/by/4.0/).
Share and Cite
Cameriere, R.; Velandia Palacio, L.A.; Nakaš, E.; Galić, I.; Brkić, H.; Kalibović Govorko, D.; Jerković, D.; Jara, L.; Ferrante, L. The Fourth Cervical Vertebra Anterior and Posterior Body Height Projections (Vba) for the Assessment of Pubertal Growth Spurt. Appl. Sci. 2023, 13, 1819. https://doi.org/10.3390/app13031819
Cameriere R, Velandia Palacio LA, Nakaš E, Galić I, Brkić H, Kalibović Govorko D, Jerković D, Jara L, Ferrante L. The Fourth Cervical Vertebra Anterior and Posterior Body Height Projections (Vba) for the Assessment of Pubertal Growth Spurt. Applied Sciences. 2023; 13(3):1819. https://doi.org/10.3390/app13031819
Chicago/Turabian StyleCameriere, Roberto, Luz Andrea Velandia Palacio, Enita Nakaš, Ivan Galić, Hrvoje Brkić, Danijela Kalibović Govorko, Daniel Jerković, Liliana Jara, and Luigi Ferrante. 2023. "The Fourth Cervical Vertebra Anterior and Posterior Body Height Projections (Vba) for the Assessment of Pubertal Growth Spurt" Applied Sciences 13, no. 3: 1819. https://doi.org/10.3390/app13031819
APA StyleCameriere, R., Velandia Palacio, L. A., Nakaš, E., Galić, I., Brkić, H., Kalibović Govorko, D., Jerković, D., Jara, L., & Ferrante, L. (2023). The Fourth Cervical Vertebra Anterior and Posterior Body Height Projections (Vba) for the Assessment of Pubertal Growth Spurt. Applied Sciences, 13(3), 1819. https://doi.org/10.3390/app13031819

