Anti-Obesity Potential of Sargassum horneri and Ulva australis Extracts: Study In Vitro and In Vivo
Abstract
1. Introduction
2. Results
2.1. Total Phenol and Flavonoid Contents
2.2. DPPH Radical Scavenging Effects
2.3. Cell Viability of 3T3-L1 Cells
2.4. Inhibition of Adipogenesis in 3T3-L1 Cells
2.5. Analysis of TG Content in 3T3-L1 Cells
2.6. Effect on Adipogenic Gene Expression in 3T3-L1 Cells
2.7. Changes in Body Weights and Food and Drink Intake of Mice
2.8. Serum Biochemical Analysis
2.9. Weight Analysis of Liver and White Adipose Tissue
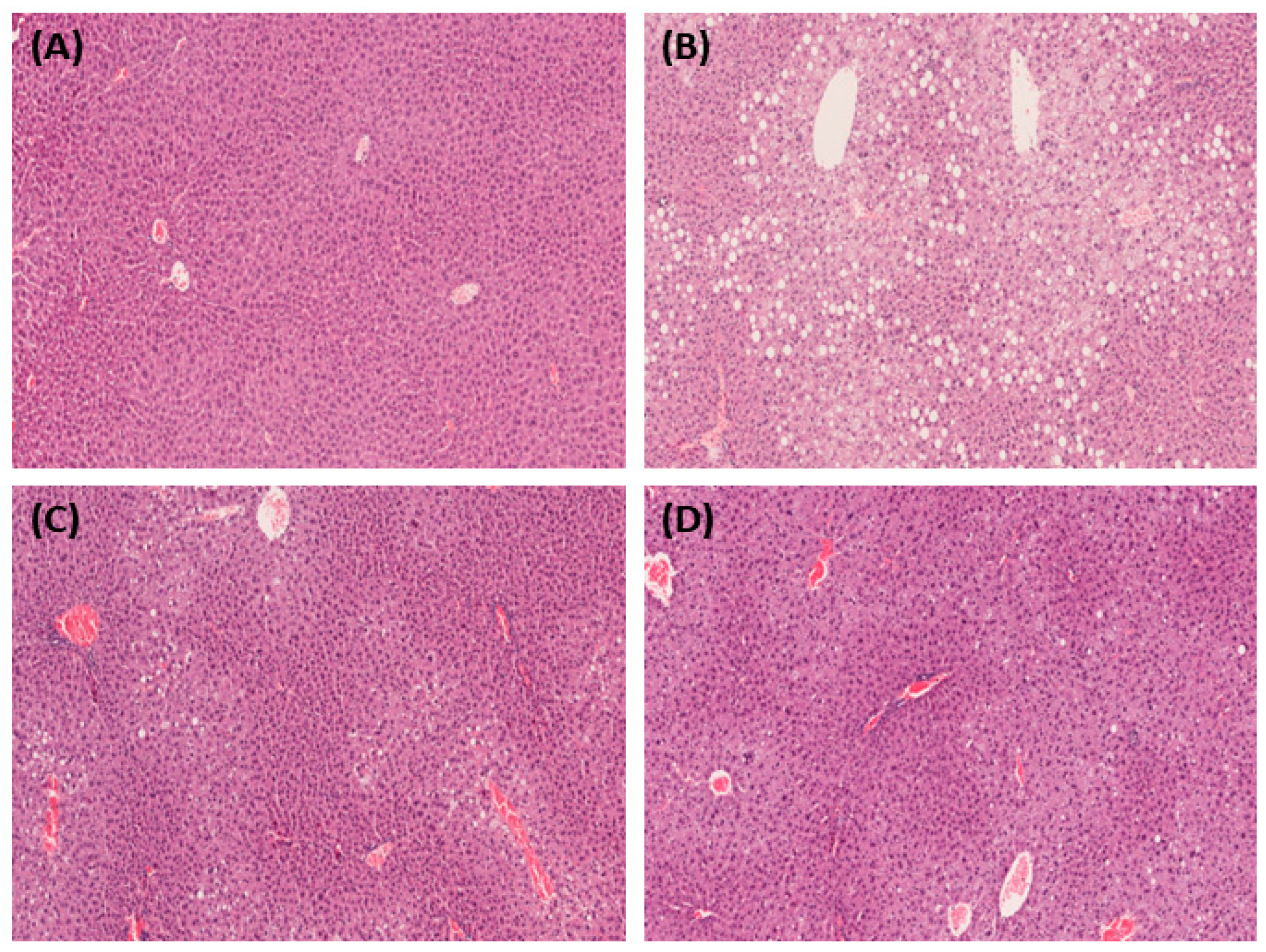
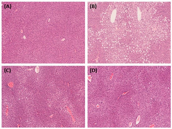
2.10. Histopathological Analysis of Liver and Adipose Tissues
2.11. Bioactive Compounds Present in the Extracts
3. Discussion
4. Materials and Methods
4.1. Materials
4.2. Preparation of S. horneri and U. australis Extracts
4.3. Analysis of Total Phenol and Flavonoid Content
4.4. DPPH Radical Scavenging Assay
4.5. Cell Culture and Differentiation of 3T3-L1 Adipocyte Cells
4.6. Cell Viability Assay
4.7. Oil Red O Staining of 3T3-L1 Adipocytes
4.8. Measurement of Intracellular Triglyceride Levels
4.9. Total RNA Extraction and Quantitative (q)RT-PCR
4.10. Animal Experiment
4.11. Analysis of Body Weight Change and Food and Drink Intake
4.12. Serum Biochemical Analysis
4.13. Organ Weight and Histopathological Analysis
4.14. Gas Chromatography–Mass Spectroscopy Analysis
4.15. Statistical Analysis
5. Conclusions
Author Contributions
Funding
Institutional Review Board Statement
Informed Consent Statement
Data Availability Statement
Conflicts of Interest
References
- Kim, H.M.; Jo, J.; Park, C.; Choi, B.J.; Lee, H.G.; Kim, K.Y. Epibionts associated with floating Sargassum horneri in the Korea Strait. Algae 2019, 34, 303–313. [Google Scholar] [CrossRef]
- Kim, H.R.; Jung, B.K.; Yeo, M.H.; Yoon, W.J.; Chang, K.S. Inhibition of lipid accumulation by the ethyl acetate fraction of Distylium racemosum in vitro and in vivo. Toxicol. Rep. 2019, 6, 215–221. [Google Scholar] [CrossRef] [PubMed]
- Wu, C.H.; Yang, M.Y.; Chan, K.C.; Chung, P.J.; Ou, T.T.; Wang, C.J. Improvement in high-fat diet-induced obesity and body fat accumulation by a Nelumbo nucifera leaf flavonoid-rich extract in mice. J. Agric. Food Chem. 2010, 58, 7075–7081. [Google Scholar] [CrossRef] [PubMed]
- Lee, H.S.; Choi, J.H.; Kim, Y.G.; Lee, C.H. Effect of dietary intake of Salicornia herbacea L. hot water extract on anti-obesity in diet-induced obese rats. J. Korean Soc. Food Sci. Nutr. 2012, 41, 950–956. [Google Scholar] [CrossRef]
- Jiao, X.; Wang, Y.; Lin, Y.; Lang, Y.; Li, E.; Zhang, X.; Zhang, Q.; Feng, Y.; Meng, X.; Li, B. Blueberry polyphenols extract as a potential prebiotic with anti-obesity effects on C57BL/6J mice by modulating the gut microbiota. J. Nutr. Biochem. 2019, 64, 88–100. [Google Scholar] [CrossRef]
- Park, J.H.; Guo, L.; Kang, H.M.; Son, B.G.; Kang, J.S.; Lee, Y.J.; Park, Y.H.; Je, B.I.; Choi, Y.W. Leaves of Cudrania tricuspidata on the shoot positional sequence show different inhibition of adipogenesis activity in 3T3-L1 cells. J. Life Sci. 2021, 31, 209–218. [Google Scholar]
- Lee, Y.S.; Seo, Y.H.; Kim, J.Y. Antiobesity effect of radish leaf extracts on high fat diet-induced obesity in mice. Korean J. Food Sci. Technol. 2022, 54, 297–305. [Google Scholar]
- Greenberg, A.S.; Obin, M.S. Obesity and the role of adipose tissue in inflammation and metabolism. Am. J. Clin. Nutr. 2006, 83, 461S–465S. [Google Scholar] [CrossRef]
- Pagliassotti, M.J.; Kim, P.Y.; Estrada, A.L.; Stewart, C.M.; Gentile, C.L. Endoplasmic reticulum stress in obesity and obesity-related disorders: An expanded view. Metabolism 2016, 65, 1238–1246. [Google Scholar] [CrossRef]
- Kim, H.S.; Han, E.J.; Fernando, I.P.S.; Sanjeewa, K.K.A.; Jayawardena, T.U.; Kim, H.J.; Jee, Y.; Kang, S.; Jang, J.; Jang, J.; et al. Anti-allergy effect of mojabanchromanol isolated from Sargassum horneri in bone marrow-derived cultured mast cells. Algal Res. 2020, 48, 101898. [Google Scholar] [CrossRef]
- Choi, Y.H.; Lee, O.H.; Zheng, Y.; Kang, I.J. Erigeron annuus (L.) Pers. extract inhibits reactive oxygen species (ROS) production and fat accumulation in 3T3-L1 cells by activating an AMP-dependent kinase signaling pathway. Antioxidants 2019, 8, 139. [Google Scholar] [CrossRef] [PubMed]
- Ho, J.N.; Choi, J.W.; Lim, W.C.; Kim, M.K.; Lee, I.Y.; Cho, H.Y. Kefir inhibits 3T3-L1 adipocyte differentiation through down-regulation of adipogenic transcription factor expression. J. Sci. Food Agric. 2013, 93, 485–490. [Google Scholar] [CrossRef] [PubMed]
- Choi, R.Y.; Lee, H.I.; Yun, K.W.; Ham, J.R.; Lee, M.K. Inhibitory Effects of Aralia elata Sprout Hot-Water Extract on Adipocyte Differentiation and Triglyceride Synthesis in 3T3-L1 cells. J. Korean Soc. Food Sci. Nutr. 2020, 49, 631–637. [Google Scholar] [CrossRef]
- Cha, J.Y.; Nepali, S.; Lee, H.Y.; Hwang, S.W.; Choi, S.Y.; Yeon, J.M.; Song, B.J.; Kim, D.K.; Lee, Y.M. Chrysanthemum indicum L. ethanol extract reduces high-fat diet-induced obesity in mice. Exp. Ther. Med. 2018, 15, 5070–5076. [Google Scholar] [CrossRef]
- Derosa, G.; Cicero, A.F.; Murdolo, G.; Piccinni, M.N.; Fogari, E.; Bertone, G.; Ciccarelli, L.; Fogari, R. Efficacy and safety comparative evaluation of orlistat and sibutramine treatment in hypertensive obese patients. Diabetes Obes. Metab. 2005, 7, 47–55. [Google Scholar] [CrossRef] [PubMed]
- Goktas, Z.; Zu, Y.; Abbasi, M.; Galyean, S.; Wu, D.; Fan, Z.; Wang, S. Recent advances in nanoencapsulation of phytochemicals to combat obesity and its comorbidities. J. Agric. Food Chem. 2020, 68, 8119–8131. [Google Scholar] [CrossRef]
- Byeon, S.Y.; Oh, H.J.; Kim, S.; Yun, S.H.; Kang, J.H.; Park, S.R.; Lee, H.J. The origin and population genetic structure of the “golden tide” seaweeds, Sargassum horneri Korean Waters. Sci. Rep. 2019, 9, 7757. [Google Scholar] [CrossRef]
- Dias, M.K.H.M.; Madusanka, D.M.D.; Han, E.J.; Kim, M.J.; Jeon, Y.J.; Kim, H.; Fernando, I.P.S.; Ahn, G. (−)-Loliolide Isolated from Sargassum horneri Protects against Fine Dust-Induced Oxidative Stress in Human Keratinocytes. Antioxidants 2020, 9, 474. [Google Scholar] [CrossRef]
- Han, J.G.; Ha, J.H.; Choi, Y.B.; Go, J.L.; Kang, D.H.; Lee, H.Y. The comparison of extraction process for enhancement of immunomodulating activities of Ulva pertusa kjellman. Korean J. Food Sci. Technol. 2009, 41, 380–385. [Google Scholar]
- Ko, H.J.; Kim, G.B.; Lee, D.H.; Lee, G.S.; Pyo, H.B. The effect of hydrolyzed Jeju Ulva pertusa on the proliferation and type I collagen synthesis in replicative senescent fibroblasts. J. Soc Cosmet. Sci. Korea. 2013, 39, 177–186. [Google Scholar]
- Qi, H.; Huang, L.; Liu, X.; Liu, D.; Zhang, Q.; Liu, S. Antihyperlipidemic activity of high sulfate content derivative of polysaccharide extracted from Ulva pertusa (Chlorophyta). Carbohydr. Polym. 2012, 87, 1637–1640. [Google Scholar] [CrossRef]
- Boo, H.J.; Moon, H.S.; Jee, Y.; Jeon, Y.J.; Chun, J.Y. Appearance characteristics and antioxidant activity of Jeju coast Sargassum horneri according to collecting time. J. Korean Soc. Food Sci. Nutr. 2020, 49, 485–492. [Google Scholar] [CrossRef]
- Kim, D.S.; Sung, N.Y.; Park, S.Y.; Kim, G.; Eom, J.; Yoo, J.G.; Seo, I.; Han, I.; Cho, Y.; Kim, K. Immunomodulating activity of Sargassum horneri extracts in RAW 264.7 macrophages. J. Nutr. Health 2018, 51, 507–514. [Google Scholar] [CrossRef]
- Kim, J.S.; Kim, B.G.; Kwak, H.S. Simultaneous application of chemicals and temperature for the effective control of trouble seaweed Ulva australis. Weed Turf Sci. 2018, 7, 35–45. [Google Scholar]
- Gam, D.; Hong, J.; Jeon, S.; Baek, D.; Kim, J. Development of ultrasound-assisted extraction for production of bioactive compounds with whitening and antiwrinkle effects from Sargassum horneri. Korean Soc. Bioeng. J. 2020, 35, 294–302. [Google Scholar]
- Murakami, S.; Hirazawa, C.; Ohya, T.; Yoshikawa, R.; Mizutani, T.; Ma, N.; Moriyama, M.; Ito, T.; Matsuzaki, C. The edible brown seaweed Sargassum horneri (Turner) C. Agardh ameliorates high-fat diet-induced obesity, diabetes, and hepatic steatosis in mice. Nutrients 2021, 13, 551. [Google Scholar] [CrossRef]
- Kang, S.Y.; Kim, K.H.; Yook, H.S. Antioxidant activities of fermented Ulva pertusa Kjellman. J. Korean Soc. Food Sci. Nutr. 2020, 49, 940–945. [Google Scholar] [CrossRef]
- Kim, M.J.; Kim, M.J.; Kim, K.B.W.R.; Park, S.H.; Choi, H.D.; Park, S.Y.; Jang, M.R.; Im, M.H.; Ahn, D.H. Anti-inflammatory effects of ethanol extracts from Ulva pertusa Kjellman on LPS-induced RAW 264.7 cells and mouse model. Microbiol. Biotechnol. Lett. 2016, 44, 479–487. [Google Scholar] [CrossRef]
- Choi, W.Y.; Lee, C.G.; Ahn, J.H.; Seo, Y.C.; Lee, S.E.; Jung, K.H.; Kang, D.; Cho, J.; Choi, G.; Lee, H. Enhancement of saccharification yield of Ulva pertusa Kjellman by high pressure homogenization process for bioethanol production. KSBB J. 2011, 26, 400–406. [Google Scholar] [CrossRef]
- Kang, I.S.; Hwang, K.Y.; Choi, A.; Roh, K.; Choi, J.H.; Sim, Y.; Park, Y.; Oh, M.S. Anti-obesity effects of herbal extract YY312 in C57BL/6 mice fed a high-fat diet and 3T3-L1 cells. Korea J. Herbol. 2013, 28, 23–31. [Google Scholar] [CrossRef]
- Chai, H.Y.; Sin, J.S.; Kwon, W.; Choi, E.K.; Cho, Y.M.; Zhang, H.S.; Hwang, S.Y.; Song, H.B.; Kim, Y.B.; Kang, J.K. Effect of BNs-3 and BNs-7, Extracts of Citrous Orange Peel, on the Obesity Induced by ad libitum Feeding a cholesterol-Containing Diet in Rats. J. Toxicol. Pub. Health 2003, 19, 189–195. [Google Scholar]
- Lee, J.S.; Kang, Y.H.; Kim, K.K.; Yun, Y.K.; Lim, J.G.; Kim, T.W.; Kim, D.J.; Won, S.Y.; Bae, M.H.; Choi, H.S.; et al. Exploration of optimum conditions for production of saccharogenic mixed grain beverages and assessment of anti-diabetic activity. J. Nutr. Health 2014, 47, 12–22. [Google Scholar] [CrossRef]
- Lee, S.J.; Kim, W.I.; Kang, K.H. Inhibitory effects of Bojungchiseub-tang on adipocyte differentiation and adipogenesis in 3T3-L1 preadipocytes. Korean J. Orient. Physiol. Pathol. 2014, 28, 288–295. [Google Scholar] [CrossRef]
- Jeon, H.J.; Yu, S.N.; Kim, S.H.; Park, S.K.; Choi, H.D.; Kim, K.Y.; Lee, S.Y.; Chun, S.S.; Ahn, S.C. Antiobesity effect of citrus peel extract fermented with Aspergillus oryzae. J. Life Sci. 2014, 24, 827–836. [Google Scholar] [CrossRef][Green Version]
- Jun, J.Y.; Lee, S.Y.; Kim, B.M.; Jeong, I.H. Effect of lactic acid extracts of Sargassum horneri on bone formation in female sprage-dawley rats. Korean J. Fish Aquat. Sci. 2011, 44, 25–30. [Google Scholar]
- Lee, S.H.; Jang, M.; Kim, G.H. Antioxidative effects of extracts from different parts of Epimedium koreanum Nakai. J. Korean Soc. Food Sci. Nutr. 2016, 45, 188–193. [Google Scholar] [CrossRef]
- Kim, E.J.; Choi, J.Y.; Yu, M.R.; Kim, M.Y.; Lee, S.H.; Lee, B.H. Total polyphenols, total flavonoid contents, and antioxidant activity of Korean natural and medicinal plants. Korean J. Food Sci. Technol. 2012, 44, 337–342. [Google Scholar] [CrossRef]
- Hwang, J.S.; Lee, B.H.; An, X.; Jeong, H.R.; Kim, Y.E.; Lee, I.; Lee, H.; Kim, D. Total phenolics, total flavonoids, and antioxidant capacity in the leaves, bulbs, and roots of Allium hookeri. Korean J. Food Sci. Technol. 2015, 47, 261–266. [Google Scholar] [CrossRef]
- Ahn, S.M.; Hong, Y.K.; Kwon, G.S.; Sohn, H.Y. Evaluation of in-vitro anticoagulation activity of 35 different seaweed extracts. J. Life Sci. 2010, 20, 1640–1647. [Google Scholar] [CrossRef]
- Frayn, K.N.; Karpe, F.; Fielding, B.A.; Macdonald, I.A.; Coppack, S.W. Integrative physiology of human adipose tissue. Int. J. Obes. Relat. Metab. Disord. 2003, 27, 875–888. [Google Scholar] [CrossRef]
- Kwon, D.H.; Choi, Y.H.; Kim, B.W.; Hwang, H.J. Effects of ethanol extract of Sargassum horneri on adipocyte differentiation and adipogenesis in 3T3-L1 preadipocytes. J. Life Sci. 2019, 29, 209–214. [Google Scholar]
- Lee, H.Y.; Kang, R.H.; Yoon, Y.S. SH21B, an anti-obesity herbal composition, inhibits fat accumulation in 3T3-L1 adipocytes and high fat diet-induced obese mice through the modulation of the adipogenesis pathway. J. Ethnopharmacol. 2010, 127, 709–717. [Google Scholar] [CrossRef] [PubMed]
- Seo, J.B.; Park, S.W.; Choe, S.S.; Jeong, H.W.; Park, J.Y.; Choi, E.W.; Seen, D.S.; Jeong, J.Y.; Lee, T.G. Foenumoside B from Lysimachia foenum-Graecum inhibits adipocyte differentiation and obesity induced by high-fat diet. Biochem. Biophys. Res. Commun. 2012, 417, 800–806. [Google Scholar] [CrossRef]
- Maruyama, H.; Kiyono, S.; Kondo, T.; Sekimoto, T.; Yokosuka, O. Palmitate-induced regulation of PPARγ via PGC1α: A mechanism for lipid accumulation in the liver in nonalcoholic fatty liver disease. Int. J. Med. Sci. 2016, 13, 169–178. [Google Scholar] [CrossRef] [PubMed]
- Desai, M.; Han, G.; Ferelli, M.; Kallichanda, N.; Lane, R.H. Programmed upregulation of adipogenic transcription factors in intrauterine growth-restricted offspring. Reprod. Sci. 2008, 15, 785–796. [Google Scholar] [CrossRef]
- Moseti, D.; Regassa, A.; Kim, W.K. Molecular regulation of adipogenesis and potential anti-adipogenic bioactive molecules. Int. J. Mol. Sci. 2016, 17, 124. [Google Scholar] [CrossRef]
- Shon, M.S.; Shin, Y.J.; Lee, S.C.; Kim, G.N. Anti-obese activities of kaki-tannins prepared from various persimmons through inhibition of 3T3-L1 adipogenesis. Kor J. Aesthet. Cosmetol. 2014, 12, 539–546. [Google Scholar]
- Kang, M.C.; Kang, N.; Ko, S.C.; Kim, Y.B.; Jeon, Y.J. Anti-obesity effects of seaweeds of Jeju Island on the differentiation of 3T3-L1 preadipocytes and obese mice fed a high-fat diet. Food Chem. Toxicol. 2016, 90, 36–44. [Google Scholar] [CrossRef]
- Samuel Wu, Y.H.S.; Chiu, C.H.; Yang, D.J.; Lin, Y.L.; Tseng, J.K.; Chen, Y.C. Inhibitory effects of litchi (Litchi chinensis Sonn.) flower-water extracts on lipase activity and diet-induced obesity. J. Funct. Foods 2013, 5, 923–929. [Google Scholar] [CrossRef]
- Terasaki, M.; Hirose, A.; Narayan, B.; Baba, Y.; Kawagoe, C.; Yasui, H.; Saga, N.; Hosokawa, M.; Miyashita, K. Evaluation of recoverable functional lipid components of several brown seaweeds (Phaeophyta) from Japan with special reference to fucoxanthin and fucosterol contents. J. Phycol. 2009, 45, 974–980. [Google Scholar] [CrossRef]
- Gammone, M.A.; D’Orazio, N. Anti-obesity activity of the marine carotenoid fucoxanthin. Mar. Drugs 2015, 13, 2196–2214. [Google Scholar] [CrossRef] [PubMed]
- Gonzalez-Rivera, M.L.; Barragan-Galvez, J.C.; Gasca-Martínez, D.; Hidalgo-Figueroa, S.; Isiordia-Espinoza, M.; Alonso-Castro, A.J. In Vivo Neuropharmacological Effects of Neophytadiene. Molecules 2023, 28, 3457. [Google Scholar] [CrossRef] [PubMed]
- Siswadi, S.; Saragih, G.S. Phytochemical analysis of bioactive compounds in ethanolic extract of Sterculia quadrifida R.Br. AIP Conf. Proc. 2021, 2353, 030098. [Google Scholar]
- Olofinsan, K.A.; Salau, V.F.; Erukainure, O.L.; Islam, M.S. Senna petersiana (Bolle) leaf extract modulates glycemic homeostasis and improves dysregulated enzyme activities in fructose-fed streptozotocin-induced diabetic rats. J. Ethnopharmacol. 2023, 303, 115998. [Google Scholar] [CrossRef] [PubMed]
- De Sousa, I.P.; Sousa Teixeira, M.V.; Jacometti Cardoso Furtado, N.A. An overview of biotransformation and toxicity of diterpenes. Molecules 2018, 23, 1387. [Google Scholar] [CrossRef] [PubMed]
- Brand-Williams, W.; Cuvelier, M.E.; Berset, C. Use of a free radical method to evaluate antioxidant activity. Lebensm. Wiss. Technol. 1995, 28, 25–30. [Google Scholar] [CrossRef]
- Blois, M.S. Antioxidant determinations by the use of a stable free radical. Nature 1958, 181, 1199–1200. [Google Scholar] [CrossRef]
- Um, H.J.; Kim, G.H. Studies on the flavonoid compositions of Elsholtzia spp. Korean. J. Food Nutr. 2007, 20, 103–107. [Google Scholar]







| S. horneri | U. australis | |
|---|---|---|
| Total phenolic content (mg GAE/g extract) | 95.5 ± 1.4 | 62.4 ± 1.8 |
| Total flavonoid content (mg QE/g extract) | 19.4 ± 1.0 | 20.9 ± 1.2 |
| S. horneri | U. australis | Ascorbic Acid | |
|---|---|---|---|
| DPPH (IC50 mg/mL) | 0.64 ± 0.29 | 1.58 ± 0.17 | 0.03 ± 0.00 |
| Groups | Food Intake (g/Day) | Drink Intake (mL/Day) |
|---|---|---|
| ND | 2.5 ± 0.3 | 4.9 ± 0.6 |
| HFD | 2.3 ± 0.1 | 5.2 ± 0.5 |
| HFD+SH | 2.3 ± 0.1 | 4.9 ± 0.6 |
| HFD+UA | 2.2 ± 0.1 | 5.0 ± 0.4 |
| ND | HFD | HFD+SH | HFD+UA | |
|---|---|---|---|---|
| AST (U/L) | 211.4 ± 16.0 | 312.8 ± 15.7 # | 244.7 ± 16.5 * | 217.2 ± 11.1 * |
| ALT (U/L) | 55.4 ± 8.1 | 138.5 ± 15.4 # | 114.2 ± 12.1 * | 89.8 ± 8.8 * |
| GGT (U/L) | 0.8 ± 0.6 | 0.5 ± 0.5 | 0.6 ± 0.4 | 0.7 ± 0.4 |
| CHO (mg/dL) | 113.3 ± 6.3 | 193.7 ± 11.3 # | 142.4 ± 6.6 * | 156.3 ± 9.7 * |
| TG (mg/dL) | 34.1 ± 5.1 | 50.9 ± 6.0 # | 32.6 ± 6.1 * | 39.0 ± 5.1 * |
| HDL-C (mg/dL) | 71.0 ± 3.7 | 111.8 ± 8.9 # | 95.0 ± 9.3 | 107.7 ± 10.2 # |
| LDL-C (mg/dL) | 35.1 ± 7.4 | 71.9 ± 4.2 # | 40.7 ± 4.4 * | 40.8 ± 3.1 * |
| GLU (mg/dL) | 204.8 ± 5.9 | 281.2 ± 9.3 # | 231.2 ± 8.1 * | 223.7 ± 6.9 * |
| ND | HFD | HFD+SH | HFD+UA | |
|---|---|---|---|---|
| Liver | 1.12 ± 0.07 | 1.80 ± 0.18 # | 1.54 ± 0.29 | 1.44 ± 0.27 |
| Epididymal | 0.59 ± 0.13 | 3.01 ± 0.42 # | 2.25 ± 0.24 * | 2.32 ± 0.17 * |
| Mesenteric | 0.59 ± 0.06 | 2.00 ± 0.29 # | 1.66 ± 0.46 | 1.40 ± 0.45 |
| Retroperitoneal | 0.24 ± 0.08 | 1.83 ± 0.26 # | 1.54 ± 0.20 | 1.48 ± 0.19 |
| Extracts | RT | Name of Compounds (Molecular Formula) | Area (%) |
|---|---|---|---|
| S. horneri | 22.8 | Neophytadiene (C20H38) | 25.3 |
| 23.1 | 3,7,11,15-Tetramethyl-2-hexadecen-1-ol (C20H40O) | 14.0 | |
| 24.4 | Hexadecanoic acid, ethyl ester (C18H36O2) | 24.6 | |
| U. australis | 23.3 | 2-Hexadecen-1-ol, 3,7,11,15-tetramethyl-,acetate, [R-[R*,R*-(E)]]-(C22H42O2) | 40.4 |
| Gene | GenBank Accession Number | Forward Primer (5′ to 3′) | Reverse Primer (5′ to 3′) | Amplicon (bp) |
|---|---|---|---|---|
| SREBP1c 1 | NM_011480.4 | GCG CTA CCG GTC TTC TAT CA | TGT GTG CAC TTC GTA GGG TC | 176 |
| PPARγ 2 | NM_011146.3 | CCG TGC AAG AGA TCA CAG AG | GGC CCT CTG AGA TGA GGA C | 159 |
| C/EBPα 3 | NM_007678.3 | GCT GGA GTT GAC CAG TGA CA | CCT TGA CCA AGG AGC TCT CA | 116 |
| FAS 4 | NM_007988.3 | CTA CCA GGC CAT CCG TAG TG | ACA ATA TCC ACT CCC TGA ATC | 157 |
| GAPDH 5 | NM_008084.3 | CCC CTC TGG AAA GCT GTG G | ACA TTG GGG GTA GGA ACA CG | 150 |
Disclaimer/Publisher’s Note: The statements, opinions and data contained in all publications are solely those of the individual author(s) and contributor(s) and not of MDPI and/or the editor(s). MDPI and/or the editor(s) disclaim responsibility for any injury to people or property resulting from any ideas, methods, instructions or products referred to in the content. |
© 2023 by the authors. Licensee MDPI, Basel, Switzerland. This article is an open access article distributed under the terms and conditions of the Creative Commons Attribution (CC BY) license (https://creativecommons.org/licenses/by/4.0/).
Share and Cite
Lee, Y.-H.; Kim, H.-R.; Yeo, M.-H.; Kim, S.C.; Hyun, H.-B.; Ham, Y.-M.; Jung, Y.-H.; Kim, H.-S.; Chang, K.-S. Anti-Obesity Potential of Sargassum horneri and Ulva australis Extracts: Study In Vitro and In Vivo. Appl. Sci. 2023, 13, 8951. https://doi.org/10.3390/app13158951
Lee Y-H, Kim H-R, Yeo M-H, Kim SC, Hyun H-B, Ham Y-M, Jung Y-H, Kim H-S, Chang K-S. Anti-Obesity Potential of Sargassum horneri and Ulva australis Extracts: Study In Vitro and In Vivo. Applied Sciences. 2023; 13(15):8951. https://doi.org/10.3390/app13158951
Chicago/Turabian StyleLee, Young-Hyeon, Hye-Ran Kim, Min-Ho Yeo, Sung Chun Kim, Ho-Bong Hyun, Young-Min Ham, Yong-Hwan Jung, Hye-Sook Kim, and Kyung-Soo Chang. 2023. "Anti-Obesity Potential of Sargassum horneri and Ulva australis Extracts: Study In Vitro and In Vivo" Applied Sciences 13, no. 15: 8951. https://doi.org/10.3390/app13158951
APA StyleLee, Y.-H., Kim, H.-R., Yeo, M.-H., Kim, S. C., Hyun, H.-B., Ham, Y.-M., Jung, Y.-H., Kim, H.-S., & Chang, K.-S. (2023). Anti-Obesity Potential of Sargassum horneri and Ulva australis Extracts: Study In Vitro and In Vivo. Applied Sciences, 13(15), 8951. https://doi.org/10.3390/app13158951

