Conservative Decompression Management with Functional Appliance in Pediatric Plexiform Ameloblastoma
Abstract
1. Introduction
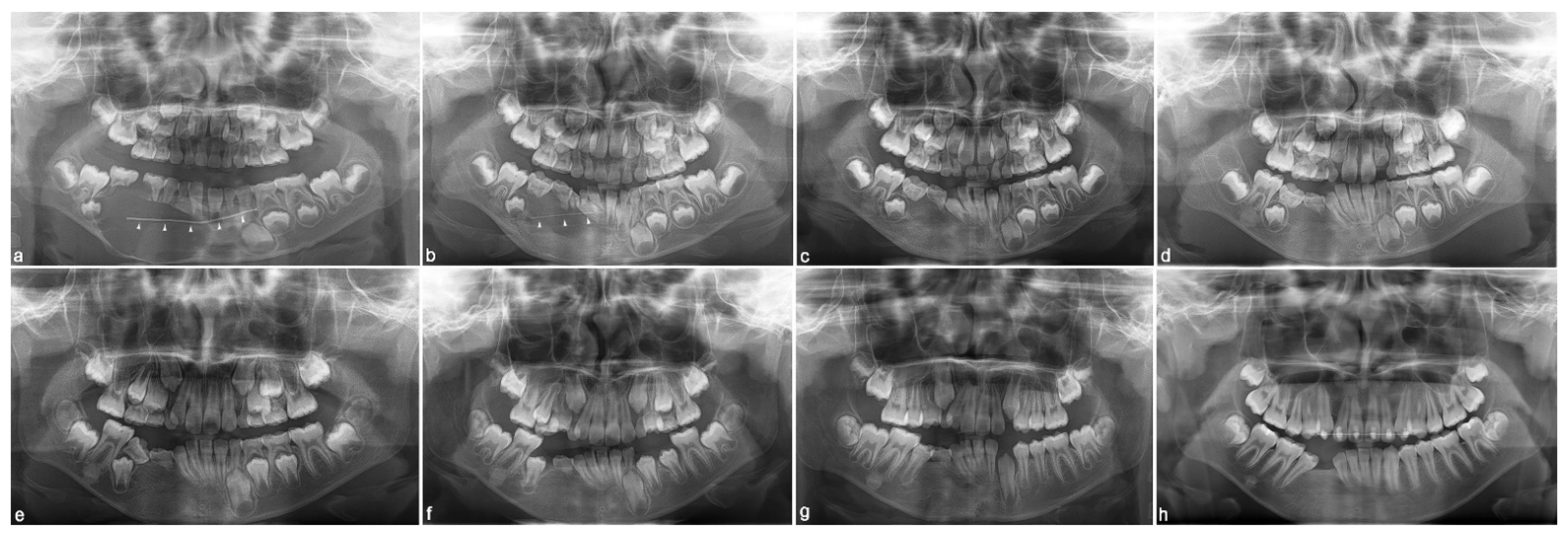
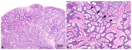
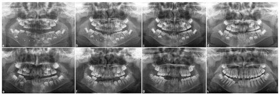
2. Case Report
3. Discussion
4. Conclusions
Author Contributions
Funding
Institutional Review Board Statement
Informed Consent Statement
Data Availability Statement
Acknowledgments
Conflicts of Interest
References
- Rikhotso, R.E.; Premviyasa, V. Conservative treatment of ameloblastoma in a pediatric patient: A case report. J. Oral Maxillofac. Surg. 2019, 77, 1643–1649. [Google Scholar] [CrossRef]
- McClary, A.C.; West, R.B.; McClary, A.C.; Pollack, J.R.; Fischbein, N.J.; Holsinger, C.F.; Sunwoo, J.; Colevas, A.D.; Sirjani, D. Ameloblastoma: A clinical review and trends in management. Eur. Arch. Otorhinolaryngol. 2016, 273, 1649–1661. [Google Scholar] [CrossRef]
- Sheela, S.; Singer, S.R.; Braidy, H.F.; Alhatem, A.; Creanga, A.G. Maxillary ameloblastoma in an 8-year-old child: A case report with a review of the literature. Imaging Sci. Dent. 2019, 49, 241–249. [Google Scholar] [CrossRef]
- Laborde, A.; Nicot, R.; Wojcik, T.; Ferri, J.; Raoul, G. Ameloblastoma of the jaws: Management and recurrence rate. Eur. Ann. Otorhinolaryngol. Head Neck Dis. 2017, 134, 7–11. [Google Scholar] [CrossRef]
- Soluk-Tekkeşin, M.; Wright, J.M. The world health organization classification of odontogenic lesions: A summary of the changes of the 2017 (4th) edition. Turk. J. Pathol 2018, 34, 1–18. [Google Scholar] [CrossRef] [PubMed]
- Thompson, L.D.R. World health organization classification of tumours: Pathology and genetics of head and neck tumours. Ear Nose Throat J. 2006, 85, 74. [Google Scholar] [CrossRef] [PubMed]
- Muddana, K.; Prakash Pasupula, A.; Reddy Dorankula, S.P.; Rao Thokala, M.; Krishna Muppalla, J.N. Pediatric odontogenic tumor of the jaw—A case report. J. Clin. Diagn. Res. 2014, 8, 250–252. [Google Scholar] [CrossRef]
- Pathology Outlines—Ameloblastoma. Available online: https://www.pathologyoutlines.com/topic/mandiblemaxillaameloblastoma.html (accessed on 7 January 2021).
- Hertog, D.; Bloemena, E.; Aartman, I.H.A.; van-der-Waal, I. Histopathology of ameloblastoma of the jaws; some critical observations based on a 40 years single institution experience. Med. Oral Patol. Oral Cir. Bucal. 2012, 17, e76–e82. [Google Scholar] [CrossRef]
- Wato, M.; Chen, Y.; Fang, Y.-R.; He, Z.-X.; Wu, L.-Y.; Bamba, Y.; Hida, T.; Hayashi, H.; Ueda, M.; Tanaka, A. Immunohistochemical expression of various cytokeratins in ameloblastomas. Oral Med. Pathol. 2006, 11, 67–74. [Google Scholar] [CrossRef][Green Version]
- Yasuoka, S.; Kato, T. Histopathological and immunohistochemical characteristics of the progressive front of ameloblastoma. Int. J. Oral-Med. Sci. 2015, 13, 110–119. [Google Scholar] [CrossRef]
- Huang, I.Y.; Lai, S.T.; Chen, C.H.; Chen, C.M.; Wu, C.W.; Shen, Y.H. Surgical management of ameloblastoma in children. Oral Surg. Oral Med. Oral Pathol. Oral Radiol. Endodontol. 2007, 104, 478–485. [Google Scholar] [CrossRef]
- Gardner, D.G. A pathologist’s approach to the treatment of ameloblastoma. J. Oral Maxillofac. Surg. 1984, 42, 161–166. [Google Scholar] [CrossRef]
- Troulis, M.J.; Williams, W.B.; Kaban, L.B. Staged Protocol for Resection, Skeletal Reconstruction, and Oral Rehabilitation of Children with Jaw Tumors. J. Oral Maxillofac. Surg. 2004, 62, 335–343. [Google Scholar] [CrossRef]
- Takahashi, K.; Miyauchi, K.; Sato, K. Treatment of ameloblastoma in children. Br. J. Oral Maxillofac. Surg. 1998, 36, 453–456. [Google Scholar] [CrossRef]
- Park, H.-S.; Song, I.-S.; Seo, B.-M.; Lee, J.-H.; Kim, M.-J. The effectiveness of decompression for patients with dentigerous cysts, keratocystic odontogenic tumors, and unicystic ameloblastoma. J. Korean Assoc. Oral Maxillofac. Surg. 2014, 40, 260–265. [Google Scholar] [CrossRef]
- Castro-Núñez, J. An innovative decompression device to treat odontogenic cysts. J. Craniofac. Surg. 2016, 27, 1316. [Google Scholar] [CrossRef] [PubMed]
- Gülşen, U.; Dereci, Ö.; Gülşen, E.A. Treatment of a calcifying epithelial odontogenic tumour with tube decompression: A case report. Br. J. Oral Maxillofac. Surg. 2018, 56, 979–981. [Google Scholar] [CrossRef] [PubMed]
- Zhou, Z.; Zhao, S.; Lu, Y.; Wu, J.; Li, Y.; Gao, Z.; Yang, D.; Cui, Y. Meta-analysis of efficacy and safety of continuous saline bladder irrigation compared with intravesical chemotherapy after transurethral resection of bladder tumors. World J. Urol. 2019, 37, 1075–1084. [Google Scholar] [CrossRef]
- Zhou, C.; Ren, Y.; Li, J.; Wang, K.; He, J.; Chen, W.; Liu, P. Association between irrigation fluids, washout volumes and risk of local recurrence of anterior resection for rectal cancer: A meta-analysis of 427 cases and 492 controls. PLoS ONE 2014, 9, 5–7. [Google Scholar] [CrossRef] [PubMed]
- Lodhia, K.A.; Dale, O.T.; Winter, S.C. Irrigation Solutions in Head and Neck Cancer Surgery: A Preclinical Efficacy Study. Ann. Otol. Rhinol. Laryngol. 2015, 124, 68–71. [Google Scholar] [CrossRef]
- De Molon, R.S.; Verzola, M.H.; Pires, L.C.; Mascarenhas, V.I.; Da Silva, R.B.; Cirelli, J.A.; Barbeiro, R.H. Five years follow-up of a keratocyst odontogenic tumor treated by marsupialization and enucleation: A case report and literature review. Contemp. Clin. Dent. 2015, 6, S106–S110. [Google Scholar] [CrossRef] [PubMed]
- Němec, I.; Smrčka, V.; Pokorný, J. The effect of sensory innervation on the inorganic component of bones and teeth; Experimental denervation—Review. Prague Med. Rep. 2018, 119, 137–147. [Google Scholar] [CrossRef] [PubMed]
- Nĕmec, I.; Smrčka, V.; Mihaljevič, M.; Hill, M.; Pokorný, J. Effect of inferior alveolar nerve transection on the inorganic component of bone of rat mandible. J. Musculoskelet Neuronal Interact. 2020, 20, 272–281. [Google Scholar] [PubMed]
- Ghassemi-Tary, B.; Cua-Benward, G.B. The effect of inferior alveolar neurotomy on mandibular growth in the rat. J. Clin. Pediatr. Dent. 1992, 17, 19–23. [Google Scholar]
- Le Révérend, B.J.D.; Edelson, L.R.; Loret, C. Anatomical, functional, physiological and behavioural aspects of the development of mastication in early childhood. Br. J. Nutr. 2014, 111, 403–414. [Google Scholar] [CrossRef]
- López-Gómez, S.A.; Villalobos-Rodelo, J.J.; Ávila-Burgos, L.; Casanova-Rosado, J.F.; Vallejos-Sánchez, A.A.; Lucas-Rincón, S.E.; Patiño-Marín, N.; Medina-Solís, C.E. Relationship between premature loss of primary teeth with oral hygiene, consumption of soft drinks, dental care, and previous caries experience. Sci. Rep. 2016, 6, 1–7. [Google Scholar] [CrossRef]
- Johnson, N.C.; Sandy, J.R. Tooth position and speech—Is there a relationship? Angle Orthod. 1999, 69, 306–310. [Google Scholar] [CrossRef]
- Gianelly, A.A.; Brosnan, P.; Martignoni, M.; Bernstein, L. Mandibular growth, condyle position and Fränkel appliance therapy. Angle Orthod. 1983, 53, 131–142. [Google Scholar] [CrossRef] [PubMed]
- Alió-Sanz, J.J.; Kato, E.; Lorenzo-Pernía, J.; Iglesias-Conde, C.; Iglesias-Linares, A.; Solano-Reina, E. Study of mandibular growth in patients treated with Fränkel’s functional regulator (1b). Med. Oral Patol. Oral Cir. Bucal 2012, 17, e884–e892. [Google Scholar] [CrossRef][Green Version]
- Perillo, L.; Cannavale, R.; Ferro, F.; Franchi, L.; Masucci, C.; Chiodini, P.; Baccetti, T. Meta-analysis of skeletal mandibular changes during Fränkel appliance treatment. Eur. J. Orthod. 2011, 33, 84–92. [Google Scholar] [CrossRef]
- Silvestrini-Biavati, A.; Alberti, G.; Silvestrini-Biavati, F.; Signori, A.; Castaldo, A.; Migliorati, M. Early functional treatment in Class II division 1 subjects with mandibular retrognathia using Fränkel II appliance. A prospective controlled study. Eur. J. Paediatr. Dent. 2012, 13, 301–306. [Google Scholar] [PubMed]






Publisher’s Note: MDPI stays neutral with regard to jurisdictional claims in published maps and institutional affiliations. |
© 2021 by the authors. Licensee MDPI, Basel, Switzerland. This article is an open access article distributed under the terms and conditions of the Creative Commons Attribution (CC BY) license (https://creativecommons.org/licenses/by/4.0/).
Share and Cite
Mustakim, K.R.; Sodnom-Ish, B.; Eo, M.-Y.; Yoon, H.-J.; Myoung, H.; Kim, S.-M. Conservative Decompression Management with Functional Appliance in Pediatric Plexiform Ameloblastoma. Appl. Sci. 2021, 11, 3775. https://doi.org/10.3390/app11093775
Mustakim KR, Sodnom-Ish B, Eo M-Y, Yoon H-J, Myoung H, Kim S-M. Conservative Decompression Management with Functional Appliance in Pediatric Plexiform Ameloblastoma. Applied Sciences. 2021; 11(9):3775. https://doi.org/10.3390/app11093775
Chicago/Turabian StyleMustakim, Kezia Rachellea, Buyanbileg Sodnom-Ish, Mi-Young Eo, Hye-Jung Yoon, Hoon Myoung, and Soung-Min Kim. 2021. "Conservative Decompression Management with Functional Appliance in Pediatric Plexiform Ameloblastoma" Applied Sciences 11, no. 9: 3775. https://doi.org/10.3390/app11093775
APA StyleMustakim, K. R., Sodnom-Ish, B., Eo, M.-Y., Yoon, H.-J., Myoung, H., & Kim, S.-M. (2021). Conservative Decompression Management with Functional Appliance in Pediatric Plexiform Ameloblastoma. Applied Sciences, 11(9), 3775. https://doi.org/10.3390/app11093775

