Ultrasound Extraction Mediated Recovery of Nutrients and Antioxidant Bioactive Compounds from Phaeodactylum tricornutum Microalgae
Abstract
1. Introduction
2. Materials and Methods
2.1. Chemicals and Reagents
2.2. Samples
2.3. Ultrasound-Assisted Extraction (UAE) Technology
2.4. Total Protein Content and Profile by SDS-PAGE Electrophoresis
2.5. Carbohydrate Determination
2.6. Antioxidant Capacity and Compounds
2.7. Experimental Design and Statistical Analyses
3. Results
3.1. Impact of Extraction Time, Temperature and pH on the Selective Extraction of Nutrients and Antioxidants
3.1.1. Nutrients (Proteins and Carbohydrates)
3.1.2. Antioxidant Capacity and Compounds
3.1.3. Optimization
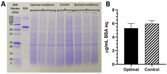
3.2. Influence of the Extraction Method on the Protein Profile and Molecular Weight Distribution
4. Conclusions
Author Contributions
Funding
Institutional Review Board Statement
Informed Consent Statement
Data Availability Statement
Acknowledgments
Conflicts of Interest
References
- Gullón, B.; Gagaoua, M.; Barba, F.J.; Gullón, P.; Zhang, W.; Lorenzo, J.M. Seaweeds as promising resource of bioactive compounds: Overview of novel extraction strategies and design of tailored meat products. Trends Food Sci. Technol. 2020, 100, 1–18. [Google Scholar] [CrossRef]
- Jalilian, N.; Najafpour, G.D.; Khajouei, M. Macro and micro algae in pollution control and biofuel production—A review. ChemBioEng Rev. 2020, 7, 18–33. [Google Scholar] [CrossRef]
- De Jesus Raposo, M.F.; De Morais, R.M.S.C.; De Morais, A.M.M.B. Health applications of bioactive compounds from marine microalgae. Life Sci. 2013, 93, 479–486. [Google Scholar] [CrossRef] [PubMed]
- Chauton, M.S.; Olsen, Y.; Vadstein, O. Biomass production from the microalga Phaeodactylum tricornutum: Nutrient stress and chemical composition in exponential fed-batch cultures. Biomass Bioenergy 2013, 58, 87–94. [Google Scholar] [CrossRef]
- Schmitt, D.; Müller, A.; Csögör, Z.; Frimmel, F.H.; Posten, C. The adsorption kinetics of metal ions onto different microalgae and siliceous earth. Water Res. 2001, 35, 779–785. [Google Scholar] [CrossRef]
- Yang, Y.-H.; Du, L.; Hosokawa, M.; Miyashita, K.; Kokubun, Y.; Arai, H.; Taroda, H. Fatty acid and lipid class composition of the microalga Phaeodactylum tricornutum. J. Oleo Sci. 2017, 66, 363–368. [Google Scholar] [CrossRef]
- Hualian, W.; Tao, L.; Guanghua, W.; Shikun, D.; Hui, H.; Wenzhou, X. A comparative analysis of fatty acid composition and fucoxanthin content in six Phaeodactylum tricornutum strains from different origins. Chin. J. Oceanol. Limnol. 2016, 34, 391–398. [Google Scholar]
- Barba, F.J.; Grimi, N.; Vorobiev, E. New approaches for the use of non-conventional cell disruption technologies to extract po-tential food additives and nutraceuticals from microalgae. Food Eng. Rev. 2014, 7, 45–62. [Google Scholar] [CrossRef]
- Michalak, I.; Chojnacka, K. Algal extracts: Technology and advances. Eng. Life Sci. 2014, 14, 581–591. [Google Scholar] [CrossRef]
- Chemat, F.; Vian, M.A.; Fabiano-Tixier, A.-S.; Nutrizio, M.; Jambrak, A.R.; Munekata, P.E.S.; Lorenzo, J.M.; Barba, F.J.; Binello, A.; Cravotto, G. A review of sustainable and intensified techniques for extraction of food and natural products. Green Chem. 2020, 22, 2325–2353. [Google Scholar] [CrossRef]
- Vernès, L.; Abert-Vian, M.; El Maâtaoui, M.; Tao, Y.; Bornard, I.; Chemat, F. Application of ultrasound for green extraction of proteins from spirulina. Mechanism, optimization, modeling, and industrial prospects. Ultrason. Sonochemistry 2019, 54, 48–60. [Google Scholar] [CrossRef]
- Parniakov, O.; Barba, F.J.; Grimi, N.; Marchal, L.; Jubeau, S.; Lebovka, N.; Vorobiev, E. Pulsed electric field and pH assisted selective extraction of intracellular components from microalgae nannochloropsis. Algal Res. 2015, 8, 128–134. [Google Scholar] [CrossRef]
- Pasquet, V.; Chérouvrier, J.-R.; Farhat, F.; Thiéry, V.; Piot, J.-M.; Bérard, J.-B.; Kaas, R.; Serive, B.; Patrice, T.; Cadoret, J.-P.; et al. Study on the microalgal pigments extraction process: Performance of microwave assisted extraction. Process. Biochem. 2011, 46, 59–67. [Google Scholar] [CrossRef]
- Pieber, S.; Schober, S.; Mittelbach, M. Pressurized fluid extraction of polyunsaturated fatty acids from the microalga Nanno-chloropsis oculata. Biomass Bioenergy 2012, 47, 474–482. [Google Scholar] [CrossRef]
- Kokkali, M.; Martí-Quijal, F.J.; Taroncher, M.; Ruiz, M.-J.; Kousoulaki, K.; Barba, F.J. Improved extraction efficiency of anti-oxidant bioactive compounds from Tetraselmis chuii and Phaedoactylum tricornutum using pulsed electric fields. Molecules 2020, 25, 3921. [Google Scholar] [CrossRef] [PubMed]
- Poojary, M.; Barba, F.; Aliakbarian, B.; Donsì, F.; Pataro, G.; Dias, D.; Juliano, P. Innovative alternative technologies to extract carotenoids from microalgae and seaweeds. Mar. Drugs 2016, 14, 214. [Google Scholar] [CrossRef]
- Parniakov, O.; Apicella, E.; Koubaa, M.; Barba, F.J.; Grimi, N.; Lebovka, N.; Pataro, G.; Ferrari, G.; Vorobiev, E. Ultrasound-assisted green solvent extraction of high-added value compounds from microalgae Nannochloropsis spp. Bioresour. Technol. 2015, 198, 262–267. [Google Scholar] [CrossRef]
- Adam, F.; Abert-Vian, M.; Peltier, G.; Chemat, F. “Solvent-free” ultrasound-assisted extraction of lipids from fresh microalgae cells: A green, clean and scalable process. Bioresour. Technol. 2012, 114, 457–465. [Google Scholar] [CrossRef]
- Hildebrand, G.; Poojary, M.M.; O’Donnell, C.; Lund, M.N.; Garcia-Vaquero, M.; Tiwari, B.K. Ultrasound-assisted processing of Chlorella vulgaris for enhanced protein extraction. J. Appl. Phycol 2020, 32, 1709–1718. [Google Scholar] [CrossRef]
- Knorr, D.; Froehling, A.; Jaeger, H.; Reineke, K.; Schlueter, O.; Schoessler, K. Emerging technologies in food processing. Annu. Rev. Food Sci. Technol. 2011, 2, 203–235. [Google Scholar] [CrossRef]
- Gavahian, M.; Pallares, N.; Al Khawli, F.; Ferrer, E.; Barba, F.J. Recent advances in the application of innovative food processing technologies for mycotoxins and pesticide reduction in foods. Trends Food Sci. Technol. 2020, 106, 209–218. [Google Scholar] [CrossRef]
- Smith, P.; Krohn, R.; Hermanson, G.; Mallia, A.; Gartner, F.; Provenzano, M.; Fujimoto, E.; Goeke, N.; Olson, B.; Klenk, D. Measurement of protein using bicinchoninic acid. Anal. Biochem. 1985, 150, 76–85. [Google Scholar] [CrossRef]
- Parniakov, O.; Barba, F.J.; Grimi, N.; Marchal, L.; Jubeau, S.; Lebovka, N.; Vorobiev, E. Pulsed electric field assisted extraction of nutritionally valuable compounds from microalgae Nannochloropsis spp. using the binary mixture of organic solvents and water. Innov. Food Sci. Emerg. Technol. 2015, 27, 79–85. [Google Scholar] [CrossRef]
- Martí-Quijal, F.J.; Tornos, A.; Príncep, A.; Luz, C.; Meca, G.; Tedeschi, P.; Ruiz, M.-J.; Barba, F.J. Impact of fermentation on the recovery of antioxidant bioactive compounds from sea bass byproducts. Antioxidants 2020, 9, 239. [Google Scholar] [CrossRef]
- Zavřel, T.; Očenášová, P.; Sinetova, M.A.; Červený, J. No title determination of storage (starch/glycogen) and total saccharides content in algae and cyanobacteria by a phenol-sulfuric acid method. Bio Protoc. 2018, 8, 1–13. [Google Scholar] [CrossRef]
- De la Fuente, B.; López-García, G.; Máñez, V.; Alegría, A.; Barberá, R.; Cilla, A. Evaluation of the bioaccessibility of antioxidant bioactive compounds and minerals of four genotypes of Brassicaceae microgreens. Foods 2019, 8, 1–16. [Google Scholar] [CrossRef] [PubMed]
- Roselló-Soto, E.; Martí-Quijal, F.J.; Cilla, A.; Munekata, P.E.S.; Lorenzo, J.M.; Remize, F.; Barba, F.J. Influence of temperature, solvent and pH on the selective extraction of phenolic compounds from tiger nuts by-products: Triple-TOF-LC-MS-MS characterization. Molecules 2019, 4, 797. [Google Scholar] [CrossRef]
- Lupatini, A.L.; de Oliviera Bispo, L.; Colla, L.M.; Costa, J.A.V.; Canan, C.; Colla, E. Protein and carbohydrate extraction from S. platensis biomass by ultrasound and mechanical agitation. Food Res. Int. 2017, 99, 1028–1035. [Google Scholar] [CrossRef] [PubMed]
- Sánchez-Zurano, A.; Morillas-España, A.; González-López, C.V.; Lafarga, T. Optimisation of protein recovery from Arthrospira platensis by ultrasound-assisted isoelectric solubilisation/precipitation. Processes 2020, 8, 1586. [Google Scholar] [CrossRef]
- Gilbert-López, B.; Barranco, A.; Herrero, M.; Cifuentes, A.; Ibáñez, E. Development of new green processes for the recovery of bioactives from Phaeodactylum tricornutum. Food Res. Int. 2017, 99, 1056–1065. [Google Scholar] [CrossRef]
- Martínez-Sanz, M.; Garrido-Fernández, A.; Mijlkovic, A.; Krona, A.; Martínez-Abad, A.; Coll-Marqués, J.M.; López-Rubio, A.; Lopez-Sanchez, P. Composition and rheological properties of microalgae suspensions: Impact of ultrasound processing. Algal Res. 2020, 49, 101960. [Google Scholar] [CrossRef]
- Yucetepe, A.; Saroglu, O.; Bildik, F.; Ozcelik, B.; Daskaya-Dikmen, C.; Aysun, Y.; Oznur, S.; Ceren, D.-D.; Fatih, B.; Beraat, Ö. Optimisation of ultrasound-assisted extraction of protein from Spirulina platensis using RSM. Czech J. Food Sci. 2018, 36, 98–108. [Google Scholar] [CrossRef]
- Banskota, A.H.; Sperker, S.; Stefanova, R.; McGinn, P.J.; O’Leary, S.J.B. Antioxidant properties and lipid composition of selected microalgae. J. Appl. Phycol. 2018, 31, 309–318. [Google Scholar] [CrossRef]
- Akyıl, S.; Ilter, I.; Koç, M.; Demirel, Z.; Erdoğan, A.; Dalay, M.C.; Ertekin, F.K. Effects of extraction methods and conditions on bioactive compounds extracted from Phaeodactylum tricornutum. Acta Chim. Slov. 2020, 67, 1250–1261. [Google Scholar] [CrossRef]
- German-Báez, L.J.; Valdez-Flores, M.A.; Félix-Medina, J.V.; Norzagaray-Valenzuela, C.D.; Santos-Ballardo, D.U.; Reyes-Moreno, C.; Shelton, L.M.; Valdez-Ortiz, A. Chemical composition and physicochemical properties of Phaeodactylum tricor-nutum microalgal residual biomass. Food Sci. Technol. Int. 2017, 23, 681–689. [Google Scholar] [CrossRef] [PubMed]
- Stack, J.; Le Gouic, A.V.; Tobin, P.R.; Guihéneuf, F.; Stengel, D.B.; Fitzgerald, R.J. Protein extraction and bioactive hydrolysate generation from two microalgae, Porphyridium purpureum and Phaeodactylum tricornutum. J. Food Bioact. 2018, 1, 153–165. [Google Scholar] [CrossRef]
- Chia, S.R.; Chew, K.W.; Leong, H.Y.; Manickam, S.; Show, P.L.; Nguyen, T.H.P. Sonoprocessing-assisted solvent extraction for the recovery of pigment-protein complex from Spirulina platensis. Chem. Eng. J. 2020, 398, 125613. [Google Scholar] [CrossRef]
- Veith, T.; Büchel, C. The monomeric photosystem I-complex of the diatom Phaeodactylum tricornutum binds specific fucoxanthin chlorophyll proteins (FCPs) as light-harvesting complexes. Biochim. Biophys. Acta Bioenerg. 2007, 1767, 1428–1435. [Google Scholar] [CrossRef] [PubMed]
- Gelzinis, A.; Butkus, V.; Songaila, E.; Augulis, R.; Gall, A.; Büchel, C.; Robert, B.; Abramavicius, D.; Zigmantas, D.; Valkunas, L. Mapping energy transfer channels in fucoxanthin–chlorophyll protein complex. Biochim. Biophys. Acta Bioenerg. 2015, 1847, 241–247. [Google Scholar] [CrossRef]









| Run # | Time of Extraction (min) | Temperature ( °C) | pH |
|---|---|---|---|
| 1 | 15 | 20 | 7 |
| 2 | 30 | 20 | 8.5 |
| 3 | 30 | 20 | 5.5 |
| 4 | 0.5 | 20 | 8.5 |
| 5 | 0.5 | 20 | 5.5 |
| 6 | 15 | 35 | 7 |
| 7 | 15 | 35 | 7 |
| 8 | 15 | 35 | 8.5 |
| 9 | 15 | 35 | 5.5 |
| 10 | 30 | 35 | 7 |
| 11 | 0.5 | 35 | 7 |
| 12 | 15 | 50 | 7 |
| 13 | 30 | 50 | 8.5 |
| 14 | 30 | 50 | 5.5 |
| 15 | 0.5 | 50 | 8.5 |
| 16 | 0.5 | 50 | 5.5 |
| Run # | Time of Extraction (min) | Temperature ( °C) | pH | Proteins (g/100 g Dry Matter) | Carbohydrates (g/100 g Dry Matter) |
|---|---|---|---|---|---|
| 1 | 15 | 20 | 7 | 5.19 | 1.48 |
| 2 | 30 | 20 | 8.5 | 6.10 | 1.56 |
| 3 | 30 | 20 | 5.5 | 5.37 | 1.79 |
| 4 | 0.5 | 20 | 8.5 | 4.74 | 1.39 |
| 5 | 0.5 | 20 | 5.5 | 5.47 | 2.16 |
| 6 | 15 | 35 | 7 | 5.03 | 2.13 |
| 7 | 15 | 35 | 7 | 4.80 | 2.01 |
| 8 | 15 | 35 | 8.5 | 5.14 | 2.33 |
| 9 | 15 | 35 | 5.5 | 5.40 | 2.03 |
| 10 | 30 | 35 | 7 | 4.28 | 1.90 |
| 11 | 0.5 | 35 | 7 | 4.71 | 1.91 |
| 12 | 15 | 50 | 7 | 5.34 | 2.10 |
| 13 | 30 | 50 | 8.5 | 5.23 | 2.52 |
| 14 | 30 | 50 | 5.5 | 4.69 | 2.03 |
| 15 | 0.5 | 50 | 8.5 | 4.14 | 1.84 |
| 16 | 0.5 | 50 | 5.5 | 4.95 | 2.22 |
| Run # | Time of Extraction (min) | Temperature ( °C) | pH | Chlorophyll A (mg/100 g Dry Matter) | Carotenoids (mg/100 g Dry Matter) | TPC (mg GAE/100 g Dry Matter) |
|---|---|---|---|---|---|---|
| 1 | 15 | 20 | 7 | 27.44 | 1.91 | 731.00 |
| 2 | 30 | 20 | 8.5 | 37.95 | 4.93 | 761.55 |
| 3 | 30 | 20 | 5.5 | 22.53 | 2.76 | 659.63 |
| 4 | 0.5 | 20 | 8.5 | 21.57 | 1.91 | 474.73 |
| 5 | 0.5 | 20 | 5.5 | 35.56 | 0.00 | 645.69 |
| 6 | 15 | 35 | 7 | 26.75 | 1.67 | 689.54 |
| 7 | 15 | 35 | 7 | 22.47 | 1.95 | 680.89 |
| 8 | 15 | 35 | 8.5 | 20.90 | 2.11 | 707.85 |
| 9 | 15 | 35 | 5.5 | 33.45 | 3.22 | 672.36 |
| 10 | 30 | 35 | 7 | 21.22 | 2.16 | 461.25 |
| 11 | 0.5 | 35 | 7 | 28.34 | 0.59 | 316.76 |
| 12 | 15 | 50 | 7 | 22.94 | 1.55 | 736.82 |
| 13 | 30 | 50 | 8.5 | 35.07 | 2.64 | 599.00 |
| 14 | 30 | 50 | 5.5 | 28.35 | 0.49 | 598.96 |
| 15 | 0.5 | 50 | 8.5 | 17.99 | 1.38 | 514.40 |
| 16 | 0.5 | 50 | 5.5 | 24.16 | 1.48 | 719.68 |
| Run # | Time of Extraction (min) | Temperature ( °C) | pH | ABTS (µM TE) | ORAC (µM TE) |
|---|---|---|---|---|---|
| 1 | 15 | 20 | 7 | 658.89 | 1416.81 |
| 2 | 30 | 20 | 8.5 | 701.41 | 1842.10 |
| 3 | 30 | 20 | 5.5 | 760.11 | 1681.80 |
| 4 | 0.5 | 20 | 8.5 | 696.02 | 1766.48 |
| 5 | 0.5 | 20 | 5.5 | 698.57 | 1693.02 |
| 6 | 15 | 35 | 7 | 673.39 | 1972.92 |
| 7 | 15 | 35 | 7 | 690.40 | 1863.11 |
| 8 | 15 | 35 | 8.5 | 715.77 | 2048.95 |
| 9 | 15 | 35 | 5.5 | 700.56 | 1924.95 |
| 10 | 30 | 35 | 7 | 726.47 | 1973.97 |
| 11 | 0.5 | 35 | 7 | 563.82 | 1541.58 |
| 12 | 15 | 50 | 7 | 670.33 | 1910.16 |
| 13 | 30 | 50 | 8.5 | 721.49 | 2340.01 |
| 14 | 30 | 50 | 5.5 | 718.51 | 1892.14 |
| 15 | 0.5 | 50 | 8.5 | 638.03 | 1812.60 |
| 16 | 0.5 | 50 | 5.5 | 600.73 | 1805.78 |
| Parameter | Min | Max | Optimal |
|---|---|---|---|
| Time of extraction (min) | 0.5 | 30.0 | 30.0 |
| Temperature ( °C) | 20.0 | 50.0 | 50.0 |
| pH | 5.5 | 8.5 | 8.5 |
Publisher’s Note: MDPI stays neutral with regard to jurisdictional claims in published maps and institutional affiliations. |
© 2021 by the authors. Licensee MDPI, Basel, Switzerland. This article is an open access article distributed under the terms and conditions of the Creative Commons Attribution (CC BY) license (http://creativecommons.org/licenses/by/4.0/).
Share and Cite
Khawli, F.A.; Martí-Quijal, F.J.; Pallarés, N.; Barba, F.J.; Ferrer, E. Ultrasound Extraction Mediated Recovery of Nutrients and Antioxidant Bioactive Compounds from Phaeodactylum tricornutum Microalgae. Appl. Sci. 2021, 11, 1701. https://doi.org/10.3390/app11041701
Khawli FA, Martí-Quijal FJ, Pallarés N, Barba FJ, Ferrer E. Ultrasound Extraction Mediated Recovery of Nutrients and Antioxidant Bioactive Compounds from Phaeodactylum tricornutum Microalgae. Applied Sciences. 2021; 11(4):1701. https://doi.org/10.3390/app11041701
Chicago/Turabian StyleKhawli, Fadila Al, Francisco J. Martí-Quijal, Noelia Pallarés, Francisco J. Barba, and Emilia Ferrer. 2021. "Ultrasound Extraction Mediated Recovery of Nutrients and Antioxidant Bioactive Compounds from Phaeodactylum tricornutum Microalgae" Applied Sciences 11, no. 4: 1701. https://doi.org/10.3390/app11041701
APA StyleKhawli, F. A., Martí-Quijal, F. J., Pallarés, N., Barba, F. J., & Ferrer, E. (2021). Ultrasound Extraction Mediated Recovery of Nutrients and Antioxidant Bioactive Compounds from Phaeodactylum tricornutum Microalgae. Applied Sciences, 11(4), 1701. https://doi.org/10.3390/app11041701

