Abstract
Rectus femoris muscle strains are one of the most common injuries occurring in sports such as soccer. The purpose of this study was to describe the safety and feasibility of a combination of percutaneous needle electrolysis (PNE) and a specific rehab and reconditioning program (RRP) following an injury to the rectus femoris in professional soccer players. Thirteen professional soccer players received PNE treatment 48 h after a grade II rectus femoris muscle injury, followed by a the RRP 24 h later. Assessment of recovery from injury was done by registering the days taken to return to train (RTT), return to play (RTP), and structural and functional progress of the injured muscle was registered through ultrasound imaging and match-GPS parameters. Also, adverse events and reinjuries were recorded in the follow up period of twenty weeks. The RTT registered was 15.62 ± 1.80 days and RTP was 20.15 ± 2.79 days. After fourteen days, the ultrasound image showed optimal repair. Match-GPS parameters were similar before and after injury. There were no relapses nor were any serious adverse effects reported during the 20-week follow-up after the RTP. A combination of PNE and a specific RRP facilitated a faster RTP in previously injured professional soccer players enabling them to sustain performance and avoid reinjuries.
1. Introduction
Professional soccer players face significant mechanical, metabolic, and physiological demands as a result of their participation in the sport [1]. Regarding to these demands, scientific evidence shows, for example, that elite soccer players cover total distances of 11,173 ± 524 m [2], with 600–831 m ran at speeds exceeding 7 m·s−1 [3] and over 160 accelerations between 1.5–2 m·s−2 [4]. Given these demands, soccer has a high risk of injury [5,6]; in fact, at the elite level, up to two injuries per player per season occur [7]. Muscle strains are among the most frequent non-contact injuries [8], and 81–92% of all muscle injuries in professional soccer affect four muscle groups: the hamstrings, the adductors, the quadriceps, and the calf muscles, with the quadriceps being the most affected after the hamstrings and the adductors [9,10]. The biggest muscle among the quadriceps, the rectus femoris, is the anatomical area that is most affected during a tear in the quadriceps [10,11], representing 19% of all non-contact muscle injuries [10,12]. Among all rectus femoris injuries, 46.1% are grade I injuries (representing an edema during MRI evaluation), 37.3% are grade II (representing a partial tear during MRI evaluation) and 4.9% are grade III (representing a complete tear during MRI evaluation) [10].
The rectus femoris is composed of fast-twitch type II fibers [13] and is vulnerable to an injury because of its biarticular nature spanning over the hip and knee joint [12]. It has an important relationship with the iliopsoas helping in the flexion of the hip [14,15], and previous research has shown that a weak or an under-active psoas can result in the rectus femoris generating a greater hip flexion force, resulting in a rectus femoris strain [14,15,16]. It is mainly injured during kicking or sprinting [15]. In kicking, the rectus femoris plays an important role where it is subjected to changes in muscular length during the reduction of moment of inertia at the knee in the leg cocking phase (when the hip and knee both flex) to the subsequent increase in knee extension velocity in the leg acceleration phase [15,17]. Similarly, in sprinting, specifically during acceleration and deceleration, the quadriceps absorb a large amount of energy [15,17] when they are activated eccentrically as knee extensors while the hip flexes simultaneously. In such a scenario, the adoption of a correct posture is key in order to maintain stability and facilitate force transmission across the lower-limb joints, thereby avoiding compensation generated by an absence of coordination of the lumbopelvic complex [14,15,17].
Moreover, its high recurrence rate in the weeks following return to play (RTP) is a cause of concern in professional soccer [18,19,20]. Its recurrence rate is between 5% and 6.4% in the short-term (the first week following RTP) [21,22], between 50% and 77% in the medium-term (between the first and second month after RTP), and 15% in the long term (between 5–6 months after RTP) [22]. For these reasons, a successful management of these injuries constitutes a challenge for clinicians in order to define specific protocols of treatment that integrate biological stimulus [23,24,25] and reconditioning programs adapted for elite competition [17].
Ultrasound (US)-guided percutaneous needle electrolysis (PNE) is a minimally invasive technique that consists of the application of a galvanic current through an acupuncture needle under direct ultrasound visualization [26]. PNE stimulates a local inflammatory response leading to increased cellular activity and repair of the affected area [27]. It has proven to be effective in injuries such as tendinosis (for example, in patellar tendonitis [28], lateral epicondylitis [29], subacromial pain syndrome [30], etc.), and plantar heel pain [31]. The histological and functional evidence observed in an animal model of muscle lesion [32,33] demonstrates that the application of PNE during muscle regeneration induces a decrease in pro-inflammatory mediators (TNF-α and IL-1β), and an increase in the expression of anti-inflammatory proteins (PPAR-γ) and vascular endothelial growth factor (VEGF). The recovery time of the damaged muscle tissue is also reduced. However, such studies in humans are limited to case studies analyzing acute muscle injury [34,35]. Previous studies [36] have used different strength programs in participants with previous injuries to the rectus femoris in order to assess the effectiveness of the program. A review on the rectus femoris injuries has stressed the need to propose interventions through criteria-based reconditioning programs for this injury in order to ensure an optimal RTP scenario to sustain performance and prevent reinjuries [37]. Such criteria-based reconditioning interventions have been shown to be successful in the case of hamstring injuries [38,39].
The identification of elimination of potential risk factors for an injury can be aided by following a cohort of players in a single center over a large span of time. If the same rehabilitation program is applied to all players of the cohort, this also allows the evaluation of a particular program and helps look at the medium to large term development of the players. This has been seen in the case of hamstring injuries, where following a cohort of professional and youth players helped discarding isokinetic strength (of the hamstrings and quadriceps) [40] and flexibility [41] as weak indicators for a potential hamstring injury. In terms of medium to long-term evaluation of the program, the application of a criteria based reconditioning program showed the absence of reinjuries in a span of twenty-four weeks following injury [38] and the players actually managed to improve their performance as a result of individualized training they underwent [39]. However, to the best of the authors’ knowledge, such programs following an injury to rectus femoris have not been described in the literature.
Hence, the aim of this study was to assess the safety and feasibility of a combination of percutaneous needle electrolysis and a specific rehab and reconditioning program (RRP) in professional soccer players with an acute muscle injury to the rectus femoris. A secondary aim of the study was to analyze possible reinjuries following RTP in the short, medium and long term. Based on previous research, the hypothesis was that the PNE and RRP program would reduce the layoff time, but the players’ physical performance at RTP would be at a lower level as compared to the pre-injury levels.
2. Methods
2.1. Study Design
A single exposure cohort study design was used where a single group of players was followed over the course of three seasons. In case of sustaining an injury to the rectus femoris, their rehabilitation and performance was monitored in the short, medium, and long term.
2.2. Participants
Players from a single club playing in the top professional soccer division of the Spanish soccer league system, commonly known as LaLiga were followed over three seasons, i.e., the 2017–2018, 2018–2019, and 2019–2020 seasons. To be eligible for the study, participants were required to meet the inclusion criteria of being professional male soccer players, over 18 years of age and having suffered the acute onset of anterior thigh pain, confirmed via ultrasound imaging [42,43,44,45] as a grade II [46] injury to the rectus femoris muscle located at the myotendinous junction. The sports medicine physician confirmed the diagnosis 48 h after the injury incidence. Additional eligibility criteria are described in Table 1.
Table 1.
Inclusion and exclusion criteria.
Thirteen soccer players (age = 27.92 ± 3.17 years; height = 180.92 ± 3.42 cm; mass = 74.07 ± 3.42 Kg; 61.5% of whom were injured while kicking) (Table 2) were finally included in the cohort and volunteered to participate in the study. All participants provided written informed consent, and procedures were conducted under the guidance of the technical and medical staff of the team, always adhering to the ethical principles for medical research involving human subjects under the Declaration of Helsinki.
Table 2.
Profile of professional soccer players.
3. Intervention Protocol
3.1. US-Guided Percutaneous Needle Electrolysis (PNE)
The PNE technique was performed under ultrasound guidance on the muscle injury using an intensity of 1.5–2 mA during 3 s, five times (1.5–2:3:5), according to the protocol by Valera-Garrido and Minaya-Muñoz [47], 48 h after the injury because electromyographic recovery of endplate noise in muscles treated percutaneously with galvanic current is relatively quick (72 h), coinciding with the inflammatory reaction [47]. A specifically developed medically certified device (Physio Invasiva®, PRIM Physio, Spain) was used (Figure 1). The device produced a continuous galvanic current through the cathode (modified electrosurgical scalpel with the needle) while the patient held the anode (handheld electrode). A GE® LOGIQ™ E9 ultrasound machine with a ML6–15 linear transducer (GE Healthcare®, Wisconsin, USA) was used. During the PNE technique, the player was placed in the supine position on a reclining bed at an elevation of 45 degrees with both legs flat resting on the bed. Prior to inserting a needle, the underlying skin was cleaned with isopropyl alcohol and chlorhexidine (Lainco® 2%). The transducer, enclosed in a non-sterile rolled latex covered over non-sterile ultrasound gel, was placed on the target area. Subsequently, an acupuncture needle 0.30 mm × 30 mm (Physio Invasiva® needles, PRIM Physio, Spain; uncoated steel needle with rigid metal handle with guide, Korean type) was inserted using a short-axis approach at a 80-degree angle with skin and advanced toward the muscle injury according to the technique described by Valera-Garrido and Minaya-Muñoz [47] (Figure 2). A physiotherapist with more than 10 years of experience in ultrasound evaluation and over fifteen years of experience in invasive therapy applied the PNE technique. Oral paracetamol was used when necessary for the purpose of pain relief in the first 24 h after PNE intervention.
Figure 1.
Medically certified device (Physio Invasiva®, PRIM Physio, Spain). (A) Device; (B) cathode (modified electrosurgical scalpel with the needle); (C) needle holder; (D) needle; (E) anode (handheld electrode).
Figure 2.
Percutaneous needle electrolysis (PNE) technique for rectus femoris muscle injury. (A) Graphic scheme in transverse plane. Short-axis approach at an 80-degree angle into the area of muscle injury (dark red part). (B) B-mode ultrasound image of PNE technique in which arrowhead represents the tip of the needle in a short-axis approach in area of muscle injury. (C) B-mode ultrasound image of PNE technique in which the white area represents the hydrogen gas released during the electrolysis. RF: rectus femoris; VM: vastus medialis; VL: vastus lateralis; VI: vastus intermedius; IT: intramuscular tendon of RF muscle.
3.2. Rehab and Reconditioning Program (RRP)
The rehab and reconditioning program was divided into two parts: an indoor rehab (IR) program and an on-field reconditioning (OFR) program. The IR program, focused on restoring the athlete’s neuromuscular function [48], had a duration of approximately 8–9 days post-PNE. This program was further divided into two phases. The initial phase (Phase 1, Table 3) was based on the optimization of range of motion (ROM) and strength. Progressive muscular tensions at different ROMs and movement velocities [49] were prescribed to protect it against future demands and promote connective tissue repair (48 h, 72 h & 96 h post-PNE-Table 3). Hip, pelvic and thoracic spine mobility, single leg strength training, and dynamic tasks that combined isometric activation with stretch-shortening cycle of the lower limb muscles were included in this initial phase. The second phase (Phase 2, Table 4) began 5–7 days post-PNE and focused on tasks based on the absorption and production of force in different planes. This acted as a link toward the progression of movement skills in order to optimize lineal and multidirectional movements [38,39,50]. Players were instructed to perform the included exercises within a pain score of 2 on a numerical rating scale from 0 to 10, where 0 represented no pain and 10 was the most extreme pain possible. Players were encouraged to increase the load with minor pain corresponding to 2 of 10; that is, if pain was ≤1 of 10, they were encouraged to increase the load, and if pain was ≥3 of 10, the load was reduced [51].
Table 3.
Indoor rehab program—Phase 1.
Table 4.
Indoor rehab program—Phase 2.
The OFR program (Phase 3, Table 5) focused on an optimal reconditioning to prepare the player for the competition demands through technical and coordination drills (OF-1, OF-2, OF-3, and OF-4), which were increased in terms of complexity and demands of decision making [38,52]. In addition, global positioning system (GPS) and accelerometer data were used to training load monitoring during the OFR program. When the player successfully completed all item of the RRP and progression criteria, they were declared fit to train with the team.
Table 5.
On-field reconditioning program—Phase 3.
4. Variables and Data Analysis
4.1. Return to Training and Return to Play
The number of days between the injury and the return to training (RTT), return to play (RTP 1), and following match (RTP 2) were counted.
4.2. Ultrasound
Ultrasound scanning of the injured area was performed every three days with the help of Compare Assistant LOGIQ™ software (GE Healthcare®, Milwaukee, WI, USA) to compare prior examinations with the current one for confidence.
4.3. GPS Match Variables
GPS data (WIMU PRO™, Real Track Systems®, Almeria, Spain) was collected for all players from all matches in which they participated before (PRE: PRE 1 and PRE 2) and after (RTP: RTP 1 and RTP 2) injury. This pre-injury data would serve as a control group for this cohort, as it would permit the comparison with the aim of evaluating the effects of the intervention, on the performance of the injured player. This could only be registered on 10 players, since three players were injured in the preseason, and there were no data from official competitions prior to the injury.
The variables used to compare the performance represented actions where the quadriceps are known to be the most active: in accelerations, high intensity runs, and sub-maximal and maximal sprints [53]. The variables measured were (a) total distance covered in m (as a reference value); (b) distance covered at high intensities (between 18.1–21.0 Km∙h−1) in m; (c) distance covered at very high intensities (21.1–24.0 Km∙h−1) in m; (d) distance covered at sprint velocities (above 24.0 Km∙h−1) in m; (e) the peak speed registered in Km∙h−1; (f) the peak acceleration registered in m∙s−2; and (g) the explosive distance (i.e., the distance covered when the acceleration exceeded 1.2 m∙s−2) in m∙min−1.
4.4. Statistical Analysis
The GPS data recorded were compared, pre-injury vs. post-injury values, using a repeated measures ANOVA. Post-hoc corrections were made with Bonferroni corrections considering the following analyses only: PRE 2 vs. RTP 1, PRE 2 vs. RTP 2, PRE 1 vs. RTP 1, and PRE 1 vs. RTP 2. All calculations were carried out with Jamovi 1.2.17 (version 1.2) with α = 0.05.
4.5. Adverse Events
The soccer players were asked to report any adverse events that they experienced during or after the PNE technique and RRP. Adverse events can be defined as sequelae of medium to long term in duration, with moderate to severe symptoms, perceived as distressing and unacceptable and requiring further treatment [54].
4.6. Follow-Up
After RTP, the players were followed up in the short term (1 week), medium term (8 weeks) and long term (20 weeks) to assess a possible re-injury and adverse effects.
5. Results
Participants returned to full team training (RTT) in 15.62 ± 1.80 days and returned to play (RTP 1) in 20.15 ± 2.79 days and played a total of 94.6 ± 1.20 min. The following match (RTP 2) was in 29.62 ± 3.95 days following the index injury with a match time 95.1 ± 1.14 min.
5.1. Ultrasound
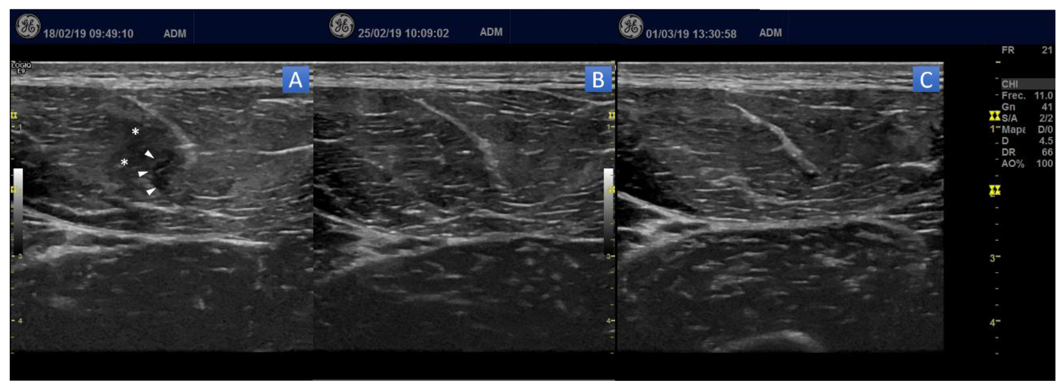
Initially, all players presented images showing a fibrillar defect in the myotendinous junction of rectus femoris muscle with surrounding edema, without fluid collection/hematoma drainable, consistent with a grade II strain injury (Figure 3A). In 92.3% of the cases, the ultrasound examination in the day 7 post-PNE showed a significant change in the extent of edema and fiber disruption (Figure 3B). One player needed one additional session of PNE (7 days post-PNE-1). Ultrasound follow-up at 14 days showed an almost complete disappearance of the injury pattern of the muscle in all players in the ultrasound image (Figure 3C).
Figure 3.
Transverse B-Mode ultrasound images of the evolution of the injured muscle. (A) Initial. 48 h post-injury. Ultrasound imaging shows muscle fiber discontinuity at the level of tear (arrowhead), with surrounding echogenic muscle edema (asterisk). (B) Ultrasound imaging at seven days post-PNE. (C) Ultrasound imaging at 14 days post-PNE.
5.2. GPS Parameters
On comparing the data from the GPS data (Figure 4), there were significant differences between the GPS recorded distances at high intensities (F (3,27) = 4.67, p = 0.009, η² = 0.087) and distances covered at sprint speeds (F (3,27) = 2.98, p = 0.049, η² = 0.108) but no significant differences for distances covered at very high intensities (F (3,27) = 0.699, p = 0.561, η² = 0.010). Post-hoc comparisons showed a significant decrease between PRE-1 and RTP 1 in distances covered at high intensities (p = 0.007). All other post-hoc comparisons between PRE and RTP data showed no significant differences between data registered at PRE and POST. A comparison of the total distance run showed significant differences between the matches, with the distances run during RTP 2 being significantly higher than PRE-2 (p < 0.001) and PRE-1 (p < 0.001); and the distance run at RTP 1 was higher than that at PRE-2 (p = 0.007).
Figure 4.
Absolute total distance and absolute distances run in different velocity ranges by the participants in matches before (PRE) and after (POST) a rectus femoris injury. * indicates a significant difference between instances at p < 0.05. ** indicates a significant difference between instances at p < 0.001.
The variation in peak speed (Figure 5) was not significant between the different instances (F (3,27) = 2.49, p =0.136, η² = 0.126). However, a significant difference was observed for the peak acceleration registered (F (3,27) = 4.74, p = 0.009, η² = 0.257), although post-hoc comparisons showed no significant differences between the different instances. The explosive distance showed significant differences between the instances (F (3,27) = 13.4, p < 0.001, η² = 0.481), and post-hoc comparisons showed significantly higher values for RTP 2 compared to PRE-2 (p < 0.001) and PRE-1 compared to RTP 1 (p < 0.001).
Figure 5.
Peak speed, peak acceleration, and explosive distance covered by the participants in matches before (PRE) and after (POST) a rectus femoris injury. ** indicates a significant difference between instances at p < 0.001.
5.3. Adverse Events
There were no serious adverse events reported, whereas minor adverse events were common. It included pain during PNE (100%) and local soreness after treatment (23.1%) that resolved spontaneously within 24–48 h without any intervention.
5.4. Follow-Up
No player suffered a reinjury 20 weeks following RTP. Also, there were no dropouts during the development of the study.
6. Discussions
This study describes the intervention of percutaneous needle electrolysis treatment along with a rehab and reconditioning program following an injury to the rectus femoris in professional soccer players. Ultrasound images during the reconditioning and performance parameters after return to play were registered to assess the effectiveness of the intervention. A short-term, medium-term, and long-term follow-up was also carried out, and the results showed that the injured muscle recovered completely and were no reinjuries or adverse effects reported in the 20 weeks following the index injury.
The apparent success of the program was highlighted by the relatively short times for RTT and RTP and similar physical performance parameters before and after injury. The duration for RTT (mean: 15.62 days, median: 14 days) and RTP (mean: 20.15 days, median: 19 days) was lower than previous studies, which reported a mean layoff duration of 33 (median: 22 days) [10] to 46.8 days [55] for a grade II rectus femoris injuries, although these results must be taken with caution, given the lack of a control group in the study. When comparing physical match parameters before and after injury, the distances covered at the different speed thresholds were similar, and so were the peak values of speed and acceleration registered, suggesting that the participant not only recovered from the previous injury but also did not suffer a substantial loss in terms of their conditioning. Moreover, the gradual improvements in the variable of explosive distance suggests an optimal evolution in the ability to continue competing without a risk of reinjury. Given that the match schedule and opponents were not under the control of the researchers, nor the fact whether the player would go on to play the full 90 min, the similarity in values indicate a successful short-term recovery of the participant. Such a type of follow-up with GPS data has been previously reported to indicate the success of the rehabilitation applied [56]. This positive progress of the players appears to have been facilitated by the structural and functional changes noted during the injury reconditioning process.
Considering the structural data, important changes in terms of the extent of edema and fiber disruption were noted in all cases presented in this study early in the muscle healing process. Different authors [32,33] have evaluated the effect of the application of PNE such as on a model of muscle injury in animal tissue such as the rat, reproducing a physiological environment very similar to that in humans. They concluded that the application of PNE in an animal model of muscle injury reduces the recovery time of the damaged muscle tissue because of the galvanic current facilitates the inflammatory reaction and muscle irrigation, thereby, helping muscular regeneration and, simultaneously, improving the recovery of the injured muscle tissue at an earlier time (from 72 h to seven days post-PNE). The PNE protocol applied was similar in this study, and the results obtained are comparable and evident from the ultrasound scans. This regeneration of injured muscle is a crucial feature enabling the progression on to the functional tasks described in the RRP.
The RRP was designed in such a manner that it followed and complemented the PNE applied 48 h earlier. The early start of the RRP (Table 2) showed a promising advantage when compared other interventions [55], where the rehabilitation and reconditioning program for rectus femoris consisted initially of absolute rest for the first week with the application of ice, compression and non-steroidal anti-inflammatory medication. Furthermore, in this study, the progression criteria were defined based on previous research that has stated the importance of reestablishment neuromuscular function from the initial phases to reduce the layoff period and the risk of re-injury, and thereby, avoiding the loss of training capacity [48,57]. Mobility, core stability, and strength training exercises were prescribed from the first days after PNE for this reason. Due to the biarticular function of the rectus femoris, eccentric-quasi-isometric (EQI) strength training for the muscle at different ranges of movement and movement speeds were used to stimulate damaged fibers, thereby obtaining different ranges of muscular tension in the muscle healing process [49]. In the final phase of the indoor rehab program, the rate of force development and the improvement of movement skills in different planes were key, specifically in acceleration and deceleration patterns where the rectus femoris is highly involved [37]. Previous research has shown that such tasks help restore coordinated movement patterns that are essential for athletic success in the future [58].
During the on-field reconditioning program, drills with repeated sprints [59], multidirectional drills, and soccer-specific technical skills were included, with special emphasis in kicking drills [37]. The load and decision-making progressively increased in order to optimize the functions of the rectus femoris and reconditioning the players in order to prepare them for the demands of competition and training [38,52]. The constant monitoring of the evolution of the repair of injured tissue through ultrasound, provided the researchers with important progression criteria to be taken into account in the progress of the RRP.
An important part of the study was that the participants did not suffer any re-injury or serious adverse effects in 20 weeks following RTP. Epidemiological research has reported that the recurrence rate of a reinjury to the rectus femoris in the weeks following the RTP varied between 5% [21] and 6.4% [22]. As in previous studies, only post-needling soreness was reported, which is a frequent effect after PNE, usually lasting less than 48 h [60]. These results reinforce the medium and long-term success of the PNE + RRP, the progression of which is based on criteria and not time, and this in turn not only might reduce the reinjury risk, but also prepare the athletes for what they would be exposed to during the season.
However, given the small sample size, the results of this study, although promising, must be taken with caution. The absence of a control group is one of the main limitations of the present study. But it is important to highlight that in an elite professional environment is very difficult establish control or placebo group. The reason of choosing a single exposure cohort [61] was to reflect the practical realities in an elite, professional environment where all injured players were exposed to the same PNE and RRP program as per the decision taken by the club’s medical and technical staff team. Nevertheless, in this paper, the results were compared to those obtained in the few previous studies that reported on rectus femoris injuries and showed faster mean and median recovery times.
Another limitation to this study was the use of a combination of qualitative and quantitative criteria to determine progress, although this is, to the authors’ knowledge, the first study to detail progression criteria in scientific literature on rectus femoris injuries. There was an absence of a purely objective, biomechanical test that could measure the functional capacity of the rectus femoris during or after the rehabilitation and reconditioning process. On such an occasion, tests such as electromyographic evaluation could not be conducted due to decisions beyond the control of the researchers when working with elite athletes. Incorporating such testing could probably help reinforce the complete rehabilitation of the rectus femoris muscle. Although ultrasound was used for injury diagnosis and is a valid tool for the evaluation and monitoring of muscle injury in future studies, it was used qualitatively, and decisions were made based on the operator’s experience. Objective quantification of these images could be carried out in future studies, and this could be complemented with the information provided by magnetic resonance imaging. Also, such a study could be implemented in the case of non-elite participants, where the possibility of a randomized clinical study could explain the findings of this study with more detail.
7. Conclusions
An early intervention with PNE and RRP in soccer players with injuries to rectus femoris appeared to allow a safe return to training and to competition without re-injuries in the short, medium, and long term. Assessment of the evolution of the injured tissue through a combination of ultrasound imaging and functional criteria give the impression that they were crucial to make better decisions during the process. In addition, the use of GPS provided information about the athlete’s performance after the injury, where the injured player reached similar values when compared to those pre-injury, which possibly indicated the importance of the intervention.
Author Contributions
Conceptualization, F.V.-G., F.M.-M., S.J.-R., J.L.E.-R.; Methodology, F.V.-G., F.M.-M., S.J.-R., J.L.E.-R., A.N.; Validation, A.N.; Formal Analysis, A.N.; Investigation, F.V.-G. and S.J.-R.; Writing—Original Draft Preparation, F.V.-G., F.M.-M., S.J.-R., J.L.E.-R., A.N.; Writing—Review & Editing, F.V.-G., F.M.-M., S.J.-R., J.L.E.-R., A.N. All authors have read and agreed to the published version of the manuscript.
Funding
This research received no external funding.
Acknowledgments
Our thanks to the players who participated in the study. The authors also wish to express their gratitude to Javier Vidal Deltell for his involvement, dedication and active participation in the process of returning players to competition. Without him the results would not have been the same.
Conflicts of Interest
The authors declare no conflict of interest.
References
- Rivilla-García, J.; Calvo, L.C.; Jiménez-Rubio, S.; Paredes-Hernández, V.; Muñoz, A.; Van den Tillaar, R.; Navandar, A. Characteristics of very high intensity runs of soccer players in relation to their playing position and playing half in the 2013-14 Spanish La Liga Season. J. Hum. Kinet. 2019, 66, 213–222. [Google Scholar] [CrossRef]
- Dellal, A.; Chamari, K.; Wong, D.P.; Ahmaidi, S.; Keller, D.; Barros, R.; Bisciotti, G.N.; Carling, C. Comparison of physical and technical performance in European soccer match-play: FA Premier League and La Liga. Eur. J. Sport Sci. 2011, 11, 51–59. [Google Scholar] [CrossRef]
- Taylor, J.B.; Wright, A.A.; Dischiavi, S.L.; Townsend, M.A.; Marmon, A.R. Activity demands during multi-directional team sports: A systematic review. Sports Med. 2017, 47, 2533–2551. [Google Scholar] [CrossRef]
- Mallo, J.; Mena, E.; Nevado, F.; Paredes, V. Physical Demands of Top-Class Soccer Friendly Matches in Relation to a Playing Position Using Global Positioning System Technology. J. Hum. Kinet. 2015, 47, 179–188. [Google Scholar] [CrossRef] [PubMed]
- Hägglund, M.; Waldén, M.; Ekstrand, J. Previous injury as a risk factor for injury in elite football: A prospective study over two consecutive seasons. Br. J. Sports Med. 2006, 40, 767–772. [Google Scholar] [CrossRef] [PubMed]
- Van Beijsterveldt, A.; van de Port, I.G.; Vereijken, A.; Backx, F. Risk factors for hamstring injuries in male soccer players: A systematic review of prospective studies. Scand. J. Med. Sci. Sports 2013, 23, 253–262. [Google Scholar] [CrossRef] [PubMed]
- Bowen, L.; Gross, A.S.; Gimpel, M.; Bruce-Low, S.; Li, F.-X. Spikes in acute: Chronic workload ratio (ACWR) associated with a 5–7 times greater injury rate in English Premier League football players: A comprehensive 3-year study. Br. J. Sports Med. 2020, 54, 731–738. [Google Scholar] [CrossRef]
- Garrett, W.E., Jr. Muscle strain injuries. Am. J. Sports Med. 1996, 24, S2–S8. [Google Scholar] [CrossRef]
- Ekstrand, J.; Hägglund, M.; Waldén, M. Epidemiology of Muscle Injuries in Professional Football. Am. J. Sports Med. 2011, 39, 1226–1232. [Google Scholar] [CrossRef]
- Hallen, A.; Ekstrand, J. Return to play following muscle injuries in professional footballers. J. Sports Sci. 2014, 32, 1229–1236. [Google Scholar] [CrossRef]
- Hägglund, M.; Waldén, M.; Ekstrand, J. Risk Factors for Lower Extremity Muscle Injury in Professional Soccer: The UEFA Injury Study. Am. J. Sports Med. 2013, 41, 327–335. [Google Scholar] [CrossRef] [PubMed]
- Ekstrand, J.; Hagglund, M.; Walden, M. Injury incidence and injury patterns in professional football: The UEFA injury study. Br. J. Sports Med. 2011, 45, 553–558. [Google Scholar] [CrossRef] [PubMed]
- Young, A. The relative isometric strength of type I and type II muscle fibres in the human quadriceps. Clin. Physiol. 1984, 4, 23–32. [Google Scholar] [CrossRef]
- Neumann, D.A. Kinesiology of the hip: A focus on muscular actions. J. Orthop. Sports Phys. Ther. 2010, 40, 82–94. [Google Scholar] [CrossRef] [PubMed]
- Mendiguchia, J.; Alentorn-Geli, E.; Brughelli, M. Hamstring strain injuries: Are we heading in the right direction? Br. J. Sports Med. 2012, 46, 81–85. [Google Scholar] [CrossRef]
- Lewis, C.L.; Sahrmann, S.A.; Moran, D.W. Anterior hip joint force increases with hip extension, decreased gluteal force, or decreased iliopsoas force. J. Biomech. 2007, 40, 3725–3731. [Google Scholar] [CrossRef]
- Lewindon, D.; Lee, J. Muscle injuries. In Sports Injury Prevention and Rehabilitation. Integrating Medicine and Science for Performance Solutions; Joyce, D., Lewindon, D., Eds.; Routledge: Abingdon, UK, 2016; pp. 106–120. [Google Scholar]
- Svensson, K.; Eckerman, M.; Alricsson, M.; Magounakis, T.; Werner, S. Muscle injuries of the dominant or non-dominant leg in male football players at elite level. Br. J. Sports Med. 2016, 50, e4. [Google Scholar] [CrossRef]
- Ueblacker, P.; Mueller-Wohlfahrt, H.-W.; Ekstrand, J. Epidemiological and clinical outcome comparison of indirect (‘strain’) versus direct (‘contusion’) anterior and posterior thigh muscle injuries in male elite football players: UEFA Elite League study of 2287 thigh injuries (2001–2013). Br. J. Sports Med. 2015, 49, 1461–1465. [Google Scholar] [CrossRef]
- Eirale, C.; Farooq, A.; Smiley, F.A.; Tol, J.L.; Chalabi, H. Epidemiology of football injuries in Asia: A prospective study in Qatar. J. Sci. Med. Sport 2013, 16, 113–117. [Google Scholar] [CrossRef]
- Orchard, J.W.; Jomaa, M.C.; Orchard, J.J.; Rae, K.; Hoffman, D.T.; Reddin, T.; Driscoll, T. Fifteen-week window for recurrent muscle strains in football: A prospective cohort of 3600 muscle strains over 23 years in professional Australian rules football. Br. J. Sports Med. 2020, 54, 1103–1107. [Google Scholar] [CrossRef]
- Hägglund, M.; Waldén, M.; Bengtsson, H.; Ekstrand, J. Re-injuries in professional football: The UEFA Elite Club Injury Study. In Return to Play in Football; Springer: Berlin/Heidelberg, Germany, 2018; pp. 953–962. [Google Scholar]
- Bubnov, R.; Yevseenko, V.; Semeniv, I. Ultrasound guided injections of Platelets Rich Plasma for muscle injury in professional athletes. Comparative study. Med. Ultrason. 2013, 15, 101–105. [Google Scholar] [CrossRef]
- Chellini, F.; Tani, A.; Zecchi-Orlandini, S.; Sassoli, C. Influence of Platelet-Rich and Platelet-Poor Plasma on Endogenous Mechanisms of Skeletal Muscle Repair/Regeneration. Int. J. Mol. Sci. 2019, 20, 683. [Google Scholar] [CrossRef] [PubMed]
- Mariani, E.; Pulsatelli, L. Platelet concentrates in musculoskeletal medicine. Int. J. Mol. Sci. 2020, 21, 1328. [Google Scholar] [CrossRef] [PubMed]
- Valera-Garrido, F.; Minaya-Muñoz, F. Fundamentos y principios de la electrolisis percutánea musculoesquelética. In Fisioterapia Invasiva, 2nd ed.; Elsevier: Barcelona, Spain, 2016; Chapter 16; pp. 390–391. [Google Scholar]
- Valera-Garrido, F.; Minaya-Muñoz, F.; Sánchez-Ibáñez, J.M.; García-Palencia, P.; Valderrama-Canales, F.; Medina-Mirapeix, F.; Polidori, F. Comparison of the acute inflammatory response and proliferation of dry needling and electrolysis percutaneous intratissue in healthy rat Achilles tendons. Br. J. Sports Med. 2013, 47, e2. [Google Scholar] [CrossRef]
- Abat, F.; Sánchez-Sánchez, J.L.; Martín-Nogueras, A.M.; Calvo-Arenillas, J.I.; Yajeya, J.; Méndez-Sánchez, R.; Monllau, J.C.; Gelber, P.-E. Randomized controlled trial comparing the effectiveness of the ultrasound-guided galvanic electrolysis technique (USGET) versus conventional electro-physiotherapeutic treatment on patellar tendinopathy. J. Exp. Orthop. 2016, 3, 34. [Google Scholar] [CrossRef]
- Valera-Garrido, F.; Minaya-Muñoz, F.; Medina-Mirapeix, F. Ultrasound-guided percutaneous needle electrolysis in chronic lateral epicondylitis: Short-term and long-term results. Acupunct. Med. 2014, 32, 446–454. [Google Scholar] [CrossRef]
- Rodríguez-Huguet, M.; Góngora-Rodríguez, J.; Rodríguez-Huguet, P.; Ibañez-Vera, A.J.; Rodríguez-Almagro, D.; Martín-Valero, R.; Díaz-Fernández, Á.; Lomas-Vega, R. Effectiveness of Percutaneous Electrolysis in Supraspinatus Tendinopathy: A Single-Blinded Randomized Controlled Trial. J. Clin. Med. 2020, 9, 1837. [Google Scholar] [CrossRef]
- Fernández-Rodríguez, T.; Fernández-Rolle, Á.; Truyols-Domínguez, S.; Benítez-Martínez, J.C.; Casaña-Granell, J. Prospective randomized trial of electrolysis for chronic plantar heel pain. Foot Ankle Int. 2018, 39, 1039–1046. [Google Scholar] [CrossRef]
- Abat, F.; Valles, S.-L.; Gelber, P.-E.; Polidori, F.; Jorda, A.; García-Herreros, S.; Monllau, J.-C.; Sanchez-Ibáñez, J.-M. An experimental study of muscular injury repair in a mouse model of notexin-induced lesion with EPI® technique. BMC Sports Sci. Med. Rehabil. 2015, 7, 7. [Google Scholar] [CrossRef]
- Santafé, M.; Margalef, R.; Minaya-Muñoz, F.; Valera-Garrido, F. Action of galvanic current on an experimentally generated muscle lesion: Preliminary findings. Rev. Fisioter. Invasiva 2019, 2, 108–109. [Google Scholar]
- Valera-Garrido, F.; Minaya-Muñoz, F.; Sánchez-Ibáñez, J.M. Efecto de la electrolisis percutánea en las roturas musculares agudas. Caso clínico de la lesión de “tennis leg”. In Proceedings of the II Congreso Regional de Fisioterapia de la Región de Murcia, Murcia, Spain, 3–4 May 2012. [Google Scholar]
- Jiménez-Rubio, S.; Valera-Garrido, F.; Minaya-Muñoz, F.; Navandar, A. Ultrasound-guided percutaneous needle electrolysis and rehab & reconditioning program following a hamstring injury reduces return to play time in professional soccer players: A case series. Rev. Fisioter. Invasiva 2020, 3, 2–6. [Google Scholar]
- Brughelli, M.; Nosaka, K.; Cronin, J. Application of eccentric exercise on an Australian Rules football player with recurrent hamstring injuries. Phys. Ther. Sport 2009, 10, 75–80. [Google Scholar] [CrossRef] [PubMed]
- Mendiguchia, J.; Alentorn-Geli, E.; Idoate, F.; Myer, G.D. Rectus femoris muscle injuries in football: A clinically relevant review of mechanisms of injury, risk factors and preventive strategies. Br. J. Sports Med. 2013, 47, 359–366. [Google Scholar] [CrossRef]
- Jiménez-Rubio, S.; Navandar, A.; Rivilla-García, J.; Paredes-Hernández, V. Validity of an on-Field Readaptation Program Following a Hamstring Injury in Professional Soccer. J. Sport Rehabil. 2019, 28, 1–7. [Google Scholar] [CrossRef]
- Mendiguchia, J.; Martinez-Ruiz, E.; Edouard, P.; Morin, J.B.; Martinez-Martinez, F.; Idoate, F.; Mendez-Villanueva, A. A Multifactorial, Criteria-Based Progressive Algorithm for Hamstring Injury Treatment. Med. Sci. Sports Exerc. 2017. [Google Scholar] [CrossRef]
- van Dyk, N.; Bahr, R.; Whiteley, R.; Tol, J.L.; Kumar, B.D.; Hamilton, B.; Farooq, A.; Witvrouw, E. Hamstring and Quadriceps Isokinetic Strength Deficits Are Weak Risk Factors for Hamstring Strain Injuries: A 4-Year Cohort Study. Am. J. Sports Med. 2016, 44, 1789–1795. [Google Scholar] [CrossRef]
- van Dyk, N.; Farooq, A.; Bahr, R.; Witvrouw, E. Hamstring and ankle flexibility deficits are weak risk factors for hamstring injury in professional soccer players: A prospective cohort study of 438 players including 78 injuries. Am. J. Sports Med. 2018, 46, 2203–2210. [Google Scholar] [CrossRef]
- Guillodo, Y.; Bouttier, R.; Saraux, A. Value of sonography combined with clinical assessment to evaluate muscle injury severity in athletes. J. Athl. Train. 2011, 46, 500–504. [Google Scholar] [CrossRef]
- Mohamad, H.A.S.; Ashril, Y.; Mohamed, M.A.R. Pattern of muscle injuries and predictors of return-to-play duration among Malaysian athletes. Singap. Med. J. 2013, 54, 587–591. [Google Scholar]
- Renoux, J.; Brasseur, J.-L.; Wagner, M.; Frey, A.; Folinais, D.; Dibie, C.; Maiza, D.; Crema, M.D. Ultrasound-detected connective tissue involvement in acute muscle injuries in elite athletes and return to play: The French National Institute of Sports (INSEP) study. J. Sci. Med. Sport 2019, 22, 641–646. [Google Scholar] [CrossRef]
- Hall, M.M. Return to play after thigh muscle injury: Utility of serial ultrasound in guiding clinical progression. Curr. Sports Med. Rep. 2018, 17, 296–301. [Google Scholar] [CrossRef]
- Peetrons, P. Ultrasound of muscles. Eur. Radiol. 2002, 12, 35–43. [Google Scholar] [CrossRef]
- Valera-Garrido, F.; Minaya-Muñoz, F. Aplicaciones clínicas de la electrolisis percutánea. In Fisioterapia Invasiva, 2nd ed.; Elsevier: Barcelona, Spain, 2016; Chapter 17; p. 425. [Google Scholar]
- Hegyi, A.; Gonçalves, B.A.; Finni, T.; Cronin, N.J. Individual Region-and Muscle-specific Hamstring Activity at Different Running Speeds. Med. Sci. Sports Exerc. 2019, 51, 2274–2285. [Google Scholar] [CrossRef]
- Oranchuk, D.J.; Storey, A.G.; Nelson, A.R.; Cronin, J.B. Scientific Basis for Eccentric Quasi-Isometric Resistance Training: A Narrative Review. J. Strength Cond. Res. 2019, 33, 2846–2859. [Google Scholar] [CrossRef]
- King, E.; Franklyn-Miller, A.; Richter, C.; O’Reilly, E.; Doolan, M.; Moran, K.; Strike, S.; Falvey, É. Clinical and biomechanical outcomes of rehabilitation targeting intersegmental control in athletic groin pain: Prospective cohort of 205 patients. Br. J. Sports Med. 2018, 52, 1054–1062. [Google Scholar] [CrossRef]
- Serner, A.; Weir, A.; Tol, J.L.; Thorborg, K.; Lanzinger, S.; Otten, R.; Hölmich, P. Return to Sport After Criteria-Based Rehabilitation of Acute Adductor Injuries in Male Athletes: A Prospective Cohort Study. Orthop. J. Sports Med. 2020, 8, 1–11. [Google Scholar] [CrossRef] [PubMed]
- Taberner, M.; Allen, T.; Constantine, E.; Cohen, D. From control to chaos to competition. Building a pathway for return to performance following ACL reconstruction. Aspetar Sports Med. J. 2020, 9, 84–94. [Google Scholar]
- Schache, A.G.; Dorn, T.W.; Williams, G.P.; Brown, N.A.; Pandy, M.G. Lower-limb muscular strategies for increasing running speed. J. Orthop. Sports Phys. Ther. 2014, 44, 813–824. [Google Scholar] [CrossRef]
- Carlesso, L.C.; Macdermid, J.C.; Santaguida, L.P. Standardization of adverse event terminology and reporting in orthopaedic physical therapy: Application to the cervical spine. J. Orthop. Sports Phys. Ther. 2010, 40, 455–463. [Google Scholar] [CrossRef] [PubMed]
- Balius, R.; Maestro, A.; Pedret, C.; Estruch, A.; Mota, J.; Rodriguez, L.; García, P.; Mauri, E. Central aponeurosis tears of the rectus femoris: Practical sonographic prognosis. Br. J. Sports Med. 2009, 43, 818–824. [Google Scholar] [CrossRef]
- Jiménez-Rubio, S.; Navandar, A.; Rivilla-García, J.; Paredes-Hernández, V.; Gómez-Ruano, M.Á. Improvements in Match-Related Physical Performance of Professional Soccer Players After the Application of an on-Field Training Program for Hamstring Injury Rehabilitation. J. Sport Rehabil. 2019, 1, 1. [Google Scholar] [CrossRef]
- Järvinen, T.A.; Järvinen, M.; Kalimo, H. Regeneration of injured skeletal muscle after the injury. Muscles Ligaments Tendons J. 2013, 3, 337. [Google Scholar] [CrossRef]
- Knowles, B. Reconditioning. A performance-based response to an injury. In Sports Injury Prevention and Rehabilitation Integrating Medicine and Science for Performance Solutions; Joyce, D., Lewindon, D., Eds.; Routledge: London, UK; New York, NY, USA, 2016; pp. 3–10. [Google Scholar]
- Buchheit, M.; Laursen, P.B. High-intensity interval training, solutions to the programming puzzle. Sports Med. 2013, 43, 927–954. [Google Scholar] [CrossRef]
- Valera-Garrido, F.; Minaya-Muñoz, F.; Ramírez-Martínez, P.; Medina-i-Mirapeix, F. Adverse effects associated to the application of ultrasound-guided percutaneous needle electrolysis. Rev. Fisioter. Invasiva 2019, 2, 115–116. [Google Scholar]
- Mathes, T.; Pieper, D. Clarifying the distinction between case series and cohort studies in systematic reviews of comparative studies: Potential impact on body of evidence and workload. BMC Med. Res. Methodol. 2017, 17, 107. [Google Scholar] [CrossRef]
Publisher’s Note: MDPI stays neutral with regard to jurisdictional claims in published maps and institutional affiliations. |
© 2020 by the authors. Licensee MDPI, Basel, Switzerland. This article is an open access article distributed under the terms and conditions of the Creative Commons Attribution (CC BY) license (http://creativecommons.org/licenses/by/4.0/).




