Sign in to use this feature.

Years

Between: -

Subjects

remove_circle_outline
remove_circle_outline
remove_circle_outline
remove_circle_outline
remove_circle_outline
remove_circle_outline
remove_circle_outline
remove_circle_outline
remove_circle_outline

Journals

remove_circle_outline
remove_circle_outline
remove_circle_outline
remove_circle_outline
remove_circle_outline
remove_circle_outline
remove_circle_outline
remove_circle_outline
remove_circle_outline

Article Types

Countries / Regions

remove_circle_outline
remove_circle_outline
remove_circle_outline
remove_circle_outline
remove_circle_outline

Search Results (786)

Search Parameters:
Keywords = quadriceps

Order results
Result details
Results per page
Select all
Export citation of selected articles as:
20 pages, 743 KB  
Review
Patellar Maltracking in Total Knee Arthroplasty: Mechanisms, Prevention and Treatment
by Michał Krupa, Joachim Pachucki, Iga Wiak, Rafał Zabłoński, Paweł Kasprzak, Łukasz Pulik and Paweł Łęgosz
Prosthesis 2026, 8(4), 38; https://doi.org/10.3390/prosthesis8040038 - 10 Apr 2026
Viewed by 175
Abstract
Patellar maltracking is among the most common causes of anterior knee pain after total knee arthroplasty (TKA), underscoring the need for accurate prevention and treatment. Therefore, the purpose of this narrative review is to provide a comprehensive overview of current evidence on post-TKA [...] Read more.
Patellar maltracking is among the most common causes of anterior knee pain after total knee arthroplasty (TKA), underscoring the need for accurate prevention and treatment. Therefore, the purpose of this narrative review is to provide a comprehensive overview of current evidence on post-TKA tracking, focusing on component alignment, preoperative patient assessment, and revision treatment options. A PubMed database search was performed, leveraging the literature from the last 20 years, and the results were qualitatively synthesized. According to current studies, several precautions should be taken to prevent patellofemoral stress and, consequently, patellar maltracking, such as avoiding internal rotation, valgus alignment, and excessive flexion of the femoral component and internal rotation of the tibial component. Regarding alignment strategies, kinematic alignment appears to offer potential benefits over mechanical alignment in certain functional outcomes and patient satisfaction scores. However, these differences should be interpreted cautiously as they may not always exceed the minimal clinically important difference. Furthermore, recent evidence indicates that quadriceps biomechanics influence TKA outcomes, potentially suggesting that conventional surgical approaches may need to be individualized, though these preliminary findings require prospective validation. Currently, robotic-assisted surgery represents a developmental direction for patient-tailored interventions and offers great promise for better prosthesis customization to the individual patient. Integration of imaging data with dynamic soft-tissue assessment enables more predictable reconstruction of joint kinematics. Regarding surgical treatment, the selection of specific methods requires a prior clinical and radiographic assessment. Indications range from patellar maltracking direction and component malrotation to patient preferences and rehabilitation potential. Ultimately, the future of TKA relies on personalized interventions to prevent complications and improve patient outcomes. This evolution is driven by the shift from mechanical alignment to kinematic alignment, alongside quadriceps tendon assessment and intraoperative robotic-assisted measurement, all aimed at optimizing the accuracy of implant positioning. Full article
(This article belongs to the Section Orthopedics and Rehabilitation)
13 pages, 235 KB  
Article
Assessing Strength Asymmetries with Rotational Inertial Technology: Exercise-Specific Patterns and Temporal Changes in Professional Male Soccer Players
by Alvaro Murillo-Ortiz, Javier Raya-Gonzalez, Moises Falces-Prieto, Samuel Lopez-Mariscal, Francisco Javier Iglesias-Garcia and Luis Manuel Martinez-Aranda
Sports 2026, 14(4), 145; https://doi.org/10.3390/sports14040145 - 9 Apr 2026
Viewed by 318
Abstract
Inter-limb asymmetries are common in soccer players and are frequently monitored in high-performance settings; however, their expression across different flywheel-based strength exercises, movement phases, and over time remains unclear. This study aimed to (i) compare inter-limb power asymmetry magnitudes across multiple unilateral flywheel [...] Read more.
Inter-limb asymmetries are common in soccer players and are frequently monitored in high-performance settings; however, their expression across different flywheel-based strength exercises, movement phases, and over time remains unclear. This study aimed to (i) compare inter-limb power asymmetry magnitudes across multiple unilateral flywheel exercises and between concentric (CON) and eccentric (ECC) phases, and (ii) describe changes in these asymmetries over an 8-week period of routine soccer training, stratified by baseline asymmetry magnitude. The present study was designed as an observational and descriptive study. Twenty-one professional male soccer players completed two testing sessions separated by eight weeks. Players performed six unilateral flywheel exercises targeting hip- and knee-dominant quadriceps (Qhip, Qknee), hip- and knee-dominant hamstrings (Hhip, Hknee), adductors (ADD), and abductors (ABD). For each exercise and limb, the repetition with the highest CON mean power and its consecutive ECC phase were selected for analysis. Inter-limb asymmetry (%) was calculated for mean and peak power in both phases. Across exercises, ECC asymmetries were generally greater than CON asymmetries, with the largest values observed for Qknee peak power (CON: 12.86 ± 11.04%; ECC: 27.60 ± 13.65%) and Hknee peak power (CON: 10.45 ± 11.26%; ECC: 24.01 ± 20.46%). Exercise-specific patterns were evident, with generally weak associations between asymmetries across tasks. Over time, players classified with higher baseline asymmetry (≥10%) presented lower values at follow-up in several outcomes (particularly ECC-related measures), whereas players with lower baseline asymmetry (<10%) showed small increases or remained stable; These between-group patterns should be interpreted cautiously, as they may be more strongly influenced by regression to the mean and measurement variability than by underlying physiological changes. Overall, inter-limb power asymmetries assessed with flywheel technology were phase- and exercise-specific in this professional soccer sample. These descriptive findings may help contextualize phase-specific and multi-exercise asymmetry monitoring in professional soccer settings. Full article
8 pages, 1375 KB  
Article
Effectiveness of Dynamic Brace in Posterior Tibial Translation in Acute PCL Lesion: A Pilot, Single Center Exploratory Study
by Giorgio Zappalà, Michelangelo Delmedico, Davide Ciclamini, Nicholas Trapella, Carlo Pasquali, Camilla Crespi and Mario Ronga
Healthcare 2026, 14(7), 953; https://doi.org/10.3390/healthcare14070953 - 5 Apr 2026
Viewed by 253
Abstract
Background: Acute posterior cruciate ligament (PCL) injuries are uncommon and often challenging to treat. While conservative treatment is frequently proposed in the acute phase, conventional rigid bracing may lead to complications such as joint stiffness and quadriceps atrophy. Dynamic braces applying posterior [...] Read more.
Background: Acute posterior cruciate ligament (PCL) injuries are uncommon and often challenging to treat. While conservative treatment is frequently proposed in the acute phase, conventional rigid bracing may lead to complications such as joint stiffness and quadriceps atrophy. Dynamic braces applying posterior to anterior force during flexion have been proposed as a more functional alternative. Purpose: To evaluate the biomechanical efficacy of a dynamic PCL brace in reducing posterior tibial translation during the acute post-traumatic phase using standardized stress radiographs. Methods: The study was conducted on 11 patients with acute PCL injuries (four isolated, seven multiligamentous) treated within 15 days from trauma. Posterior tibial translation was measured with X-rays at 90° of flexion under four conditions: static (resting), stress (150 N), brace unloaded, and brace loaded (50 N posterior force). Three blinded orthopedic surgeons performed all measurements independently. Results: The dynamic brace significantly reduced posterior tibial translation across all conditions. Translation under stress was reduced from a mean of 7.1 mm to 2.68 mm with the loaded brace (p < 0.001). Conclusions: The study demonstrates that dynamic bracing provides effective biomechanical control of posterior tibial translation in the acute PCL injury. These findings support the potential role of dynamic bracing in conservative treatment protocols. Full article
(This article belongs to the Special Issue Sports Trauma: From Prevention to Surgery and Return to Sport)
Show Figures

Figure 1

17 pages, 667 KB  
Article
Vastus Lateralis Cross-Sectional Area Is Associated with Squat Strength and Power in Young Female Acrobatic Gymnasts
by Ángel Delgado-Hernando, Irene Rodríguez-Gómez, Marcos A. Soriano, Sebastian Medina, Julian Alcazar, Ángel Buendía-Romero, Luis M. Alegre and Amelia Guadalupe-Grau
Appl. Sci. 2026, 16(7), 3472; https://doi.org/10.3390/app16073472 - 2 Apr 2026
Viewed by 329
Abstract
Muscle size and architecture’s contribution to force and power production in young female acrobatic gymnasts (ACROs) remains unclear. This cross-sectional study examined the associations between quadriceps muscle size and architecture and strength–power performance in young elite female ACROs. Twenty base athletes (12–18 years) [...] Read more.
Muscle size and architecture’s contribution to force and power production in young female acrobatic gymnasts (ACROs) remains unclear. This cross-sectional study examined the associations between quadriceps muscle size and architecture and strength–power performance in young elite female ACROs. Twenty base athletes (12–18 years) underwent ultrasound assessment of rectus femoris (RF) and vastus lateralis (VL) cross-sectional area (CSA), VL muscle volume, VL fascicle length, and VL pennation angle. Participants were additionally classified as pre/mid-pubertal (Tanner stages 1–3) and post-pubertal (Tanner stages 4–5) for descriptive analyses. Performance testing included one-repetition maximum (1RM) squat and hang power clean (HHPC), squat power (Pmax), and countermovement jump (CMJ). In adjusted (Tanner stage and height) linear regression models, VL CSA at 35% and 50% of femur length was positively associated with 1RM squat (β = 2.38–2.31 kg·cm−2; p = 0.031–0.011) and Pmax (β = 45.75–38.43 W·cm−2; p < 0.001). No associations were observed for CMJ, HHPC, or RF variables. Mid-thigh VL size appears to be an independent predictor of squat strength and power in ACRO. Full article
(This article belongs to the Special Issue Neuromuscular Performance Analysis in Sports)
Show Figures

Figure 1

5 pages, 175 KB  
Case Report
Bilateral Continuous Femoral Nerve Blocks as an Opioid-Sparing Strategy for Refractory Lower Extremity Pain in Adult Sickle Cell Crisis: A Case Report
by Thomas Renfrew, Thomas Oh, Derek Chung, Yuri C. Martins and Hamed Sadeghipour
Reports 2026, 9(2), 110; https://doi.org/10.3390/reports9020110 - 2 Apr 2026
Viewed by 301
Abstract
Background and Clinical Significance: Sickle cell vaso-occlusive crisis (VOC) may present with severe refractory pain that is difficult to control despite guideline-directed multimodal therapy and high-dose opioids. Case Presentation: We report an adult with VOC and severe, opioid-refractory anterior thigh and leg pain [...] Read more.
Background and Clinical Significance: Sickle cell vaso-occlusive crisis (VOC) may present with severe refractory pain that is difficult to control despite guideline-directed multimodal therapy and high-dose opioids. Case Presentation: We report an adult with VOC and severe, opioid-refractory anterior thigh and leg pain who was treated with bilateral, ultrasound-guided continuous femoral nerve catheters (0.5% bupivacaine bolus per side followed by infusion of 0.2% ropivacaine at 5 mL/h each). Twenty-four-hour opioid use decreased by 76% from 44 mg intravenous hydromorphone (880 MME) before block placement to 10.4 mg (208 MME) after catheter initiation. Pain scores declined significantly from 10/10 to 3/10, facilitating mobilization and expediting discharge of the patient. No local anesthetic systemic toxicity occurred, and transient quadriceps weakness was managed with fall-risk precautions. IRB approval for this case report was waived per our institution policy. Conclusions: In select adults with VOC and predominant anterior thigh/leg pain, bilateral continuous femoral nerve catheters may provide rapid analgesia and substantial opioid-sparing benefits as part of multidisciplinary care. These findings are hypothesis-generating and support prospective evaluation of continuous peripheral nerve block strategies in VOC. Full article
(This article belongs to the Section Anaesthesia)
8 pages, 2530 KB  
Case Report
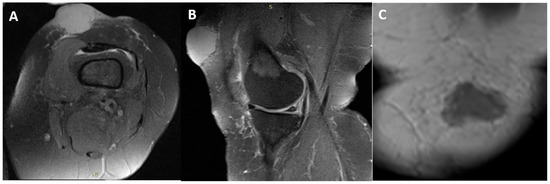
Merkel Cell Carcinoma of the Thigh Presenting as a Hemorrhagic Mass: A Rare Case Report and Literature Review
by Hüseyin Emre Tepedelenlioğlu, Özlem Orhan, Şefik Murat Arıkan and Güldal Esendağlı
Curr. Oncol. 2026, 33(4), 204; https://doi.org/10.3390/curroncol33040204 - 1 Apr 2026
Viewed by 258
Abstract
Background: Merkel cell carcinoma (MCC) is a rare, aggressive primary cutaneous neuroendocrine carcinoma with a marked propensity for early regional lymph node metastasis. Although MCC most often arises on sun-exposed head and neck skin in older adults, tumors of the lower extremity are [...] Read more.
Background: Merkel cell carcinoma (MCC) is a rare, aggressive primary cutaneous neuroendocrine carcinoma with a marked propensity for early regional lymph node metastasis. Although MCC most often arises on sun-exposed head and neck skin in older adults, tumors of the lower extremity are uncommon and may be mistaken for benign hemorrhagic lesions. Case presentation: A 54-year-old woman developed a rapidly enlarging, hemorrhagic mass in the left suprapatellar thigh. Magnetic resonance imaging demonstrated an extracompartmental subcutaneous soft-tissue mass without quadriceps muscle invasion. Wide local excision including the quadriceps fascia was performed. Histopathologic examination showed a dermal/subcutaneous small blue round cell neoplasm with brisk mitotic activity. Immunohistochemistry demonstrated diffuse cytoplasmic synaptophysin positivity, paranuclear dot-like CK20 reactivity, chromogranin A positivity, and negative MCPyV staining; TTF-1, S100, melan-A, HMB-45, and hematolymphoid markers were negative. Staging positron emission tomography/computed tomography identified ipsilateral inguinal nodal involvement. Therapeutic inguinal lymph node dissection revealed metastatic MCC in one of four lymph nodes without extranodal extension. The final stage was pT3 pN1b cM0 (AJCC 8th edition), corresponding to stage IIIB disease. Adjuvant radiotherapy (57 Gy in 20 fractions) was delivered to the primary bed and ipsilateral inguinal basin. The patient remains disease-free at 5-year follow-up. Conclusions: Lower-extremity MCC can mimic hemorrhagic or post-traumatic lesions, contributing to diagnostic delay. Persistent or rapidly enlarging “hematoma-like” lesions warrant early biopsy, and timely pathologic nodal staging is essential. Multimodal management can achieve durable control even in node-positive disease Full article
(This article belongs to the Section Dermato-Oncology)
Show Figures

Figure 1

13 pages, 256 KB  
Article
Relationship Between Quadriceps Muscle Strength Asymmetry and Lower Limb Biomechanical Asymmetry During Running in Patients Who Underwent Anterior Cruciate Ligament Reconstruction
by Xialin Ge, Mingxuan Gao, Yiming Tao, Longting Suo, Shuang Ren and Yingfang Ao
Bioengineering 2026, 13(4), 400; https://doi.org/10.3390/bioengineering13040400 - 30 Mar 2026
Viewed by 423
Abstract
(1) Background: Postoperative anterior cruciate ligament reconstruction often involves quadriceps strength asymmetry, leading to abnormal lower limb biomechanics during running. While previous studies have examined the relationship between isokinetic strength and walking or jumping, the association between running, a key criterion for return [...] Read more.
(1) Background: Postoperative anterior cruciate ligament reconstruction often involves quadriceps strength asymmetry, leading to abnormal lower limb biomechanics during running. While previous studies have examined the relationship between isokinetic strength and walking or jumping, the association between running, a key criterion for return to sport, and lower limb biomechanics remains unclear, particularly regarding isokinetic strength asymmetry at different angular velocities. (2) Methods: Isokinetic quadriceps strength, running kinematic, and kinetic data were collected from 39 ACLR individuals. Paired t-tests compared bilateral differences, and Pearson correlation analysis assessed associations between biomechanical parameters and muscle strength. (3) Results: The injured leg showed significantly weaker Qc at 60°/s, 180°/s, and 300°/s (p < 0.05). Compared to the uninjured leg, the injured leg demonstrated a significantly greater hip flexion angle at initial contact (p < 0.05); the injured leg exhibited significantly reduced knee flexion angle at the time of peak vertical ground reaction force and peak knee flexion angle (p < 0.05); the injured leg exhibited significantly reduced knee flexion moment at PVGRF, peak knee flexion moment, peak knee extension moment (p < 0.05). Both the 60°/s Qc and Qe showed moderate negative correlations with knee flexion angles, and 180°/s Qc correlated with knee flexion moment at PVGRF (p < 0.05). (4) Conclusions: ACLR patients show quadriceps strength asymmetry and abnormal sagittal knee and hip biomechanics during running. Strength symmetry moderately correlates with knee kinematics and kinetics in a velocity-dependent manner. Rehabilitation should focus on multi-speed and eccentric training with neuromuscular and hip–knee coordination exercises to optimize movement and support safe return to sports. Full article
(This article belongs to the Section Biomechanics and Sports Medicine)
19 pages, 1451 KB  
Article
Circadian Phase Shapes Muscle-Derived Extracellular Vesicle microRNA Profiles with Context-Dependent Modulation by Exercise in High-Fat-Diet-Fed Mice
by Shuo Wang, Noriaki Kawanishi, Cong Wu, Haruki Kobori and Katsuhiko Suzuki
Nutrients 2026, 18(7), 1076; https://doi.org/10.3390/nu18071076 - 27 Mar 2026
Viewed by 367
Abstract
Background: Extracellular vesicles (EVs) released from skeletal muscle mediate metabolic communication via microRNAs (miRNAs). While both circadian rhythms and exercise influence metabolism, the joint modulation of the muscle-derived EV miRNA landscape by circadian rhythms and chronic exercise remains undefined, particularly under the metabolic [...] Read more.
Background: Extracellular vesicles (EVs) released from skeletal muscle mediate metabolic communication via microRNAs (miRNAs). While both circadian rhythms and exercise influence metabolism, the joint modulation of the muscle-derived EV miRNA landscape by circadian rhythms and chronic exercise remains undefined, particularly under the metabolic stress of obesity. Methods: Employing a 2 × 2 factorial design (Phase: ZT3 vs. ZT15; Condition: sedentary vs. exercise; ZT, Zeitgeber Time), EV-enriched fractions were isolated from ex vivo quadriceps muscle (QUA) cultures of high-fat diet-fed mice following an 8-week treadmill training regimen using polymer-based precipitation, and comprehensive miRNA profiling was performed by small RNA sequencing. Results: Principal component analysis (PCA) revealed that circadian phase accounted for a greater proportion of global variance in EV miRNA profiles than exercise. Differential expression analysis identified miR-1a-3p and miR-1b-5p as upregulated across both composite phase and exercise contrasts; however, condition-specific analyses indicated that this signal was primarily driven by the sedentary-phase comparison (ZT15-sed vs. ZT3-sed), in which the miR-29 family was also prominently co-upregulated, rather than constituting independent phase and exercise effects; this phase-associated signature was absent in the corresponding exercise-condition comparison. Exploratory functional enrichment of experimentally validated targets revealed phase-preferential association with metabolic and iron–heme pathways, whereas exercise-associated miRNAs mapped to signaling, inflammatory, and transcription-related networks. Conclusions: Circadian phase was the dominant contributor to global variance in muscle-derived EV-enriched miRNA profiles in obesity, as reflected by the phase-associated separation along principal component 1 (PC1, 33.47% of total variance), with exercise introducing context-dependent adaptive modulation. This study provides a foundational basis for investigating the temporal regulation of muscle secretome dynamics under high-fat diet conditions, highlighting temporal specificity as a key dimension in EV-mediated exercise physiology research. Full article
(This article belongs to the Special Issue Gene–Diet Interactions and Obesity)
Show Figures

Figure 1

18 pages, 1575 KB  
Article
Association Between Calcaneal Inclination Angle and Spinal and Lower Limb Alignment: A Retrospective Radiographic Analysis
by Yunhee Han, Seojae Jeon, Hyeonjun Woo, Wonbae Ha, Tae-Yong Park, Jin-Hyun Lee and Junghan Lee
Diagnostics 2026, 16(6), 921; https://doi.org/10.3390/diagnostics16060921 - 19 Mar 2026
Viewed by 490
Abstract
Background/Objectives: This study aimed to clinically investigate how variations in foot morphology influence spinal and lower limb alignment, based on the concept of an ascending kinetic chain. Methods: We analyzed the medical records of 100 patients who met the inclusion criteria. The X-ray [...] Read more.
Background/Objectives: This study aimed to clinically investigate how variations in foot morphology influence spinal and lower limb alignment, based on the concept of an ascending kinetic chain. Methods: We analyzed the medical records of 100 patients who met the inclusion criteria. The X-ray image data used in the analysis included weight-bearing lateral views of both feet, whole-spine anteroposterior (AP) and lateral views, and full-length standing AP scanograms of the lower legs. In the obtained X-ray images, Calcaneal Inclination Angle (CIA), Tibiotalar Tilt Angle (TTA), Tibiotalar Angle (TA), Quadriceps Angle (Q-angle), Pelvic Incidence (PI), Pelvic Tilt (PT), Sacral Slope (SS), and L1–S1 Lordosis (LL) were measured. Participants were categorized into subgroups based on their CIA values: Pes Planus, Normal, and Pes Cavus. These subgroups were analyzed by foot orientation (right and left) using one-way analysis of variance (ANOVA) and Pearson correlation coefficient analysis. Results: The one-way ANOVA identified significant differences in mean right foot PT values among subgroups. Correlation analysis shows moderate associations between foot CIA and Q-angle of the knee, as well as pelvic parameters including PI, PT, SS, and LL. Conclusions: Analysis of the correlation between foot parameters and body alignment, in the context of diagnostic and evaluative aspects of Chuna manual medicine (CMM), revealed moderate correlations among the foot, ankle, knee, pelvis, and lumbosacral regions. These findings suggest that foot morphology may play a clinically relevant role in posture-related disorders and could contribute to preventive and corrective strategies for musculoskeletal alignment. Full article
(This article belongs to the Special Issue Musculoskeletal Imaging 2025, 2nd Edition)
Show Figures

Figure 1

14 pages, 1215 KB  
Article
Comparative Effects of an Acute Bout of Self-Myofascial Release on the Plantar Fascia Using Auramat® Versus Traditional Warm-Up on Quadriceps Function and Flexibility
by Danilo Gaias, Antonio Martínez-Serrano, Manuel Sanz-Matesanz, David Blanco-Luengo and Luis Manuel Martínez-Aranda
Healthcare 2026, 14(6), 757; https://doi.org/10.3390/healthcare14060757 - 18 Mar 2026
Viewed by 320
Abstract
Background: Self-myofascial release (SMFR) is a treatment whose main benefits are enhanced recovery and increased flexibility without impairing athletic performance. Previous research has often targeted the posterior myofascial chain (superficial back line, SBL), which runs from the plantar fascia to the posterior [...] Read more.
Background: Self-myofascial release (SMFR) is a treatment whose main benefits are enhanced recovery and increased flexibility without impairing athletic performance. Previous research has often targeted the posterior myofascial chain (superficial back line, SBL), which runs from the plantar fascia to the posterior cranium and is commonly linked to hamstring-related outcomes. However, its potential influence on knee extensor force production remains unclear and would likely be indirect. Many SMFR tools have entered the market in recent years, with Auramat® being one of them, yet it has not been investigated to date. Therefore, this study aimed to determine the effects of Auramat® (AUR) on posterior-chain flexibility and knee extensor (KE) function and to compare them with those of a traditional warm-up (TW). Methods: This study was a randomised, counterbalanced, cross-over design where 20 recreationally active participants (12 males, 8 females; age = 27.20 ± 4.98 years) attended the laboratory 3 times over a 2-week period. The first week consisted of a familiarisation session during which participants performed several tests. In the second week, the groups that were randomly assigned at AUR or TW conditions performed the two intervention protocols separated by 48 h. The pre-post ratings of perceived exertion (RPE), maximal voluntary isometric contraction (MVIC), straight leg raise test (SLRT) and rate of force development (RFD) were measured. All tests were performed on the dominant limb. Results: There was no significant difference in RFD and MVIC for conditions (p = 0.91), time (p = 0.24), or condition × time (p = 0.41). Both conditions improved posterior chain flexibility (p ≤ 0.01) with a larger effect in TW (d = 2.03; ↑ 7.81%) compared to the AUR condition (d = 0.89; ↑ 3.69%). RPE for TW showed significant higher RPE values compared to the AUR condition (p ≤ 0.01; ES = 2.32; TW = 4.3 ± 1.45 vs. AUR = 1.55 ± 0.82). Conclusions: Both SMFR with AUR and TW increased flexibility without any significant reduction in KE force production. Practitioners may use TW in a session where the aim is an increase in flexibility and AUR when the time is limited and the increase in fatigue can be relevant, due to the lower RPE reported. In any case, these results should be taken with caution since even the AUR was more time-efficient; the findings are preliminary owing to the small sample and absence of a control condition. Full article
(This article belongs to the Special Issue Innovations in Sports Injury Prevention and Physical Rehabilitation)
Show Figures

Figure 1

19 pages, 1022 KB  
Review
Clearance Criteria for Determining Eligibility for Force Plate Testing After Anterior Cruciate Ligament Reconstruction: A Scoping Review
by Landon Christoffel, Lauren Beaupre, Stephanie Nathanail, Wasim Labban, Mark Sommerfeldt, Lindsey Westover and Gail M. Thornton
Medicina 2026, 62(3), 503; https://doi.org/10.3390/medicina62030503 - 9 Mar 2026
Viewed by 546
Abstract
Background and Objectives: Throughout the return-to-play process after anterior cruciate ligament reconstruction (ACLR), clearance criteria and limb symmetry indices (LSI) play an important role in clinical decision-making by helping evaluate patient readiness and informing safe activity progressions, with the goal of reducing [...] Read more.
Background and Objectives: Throughout the return-to-play process after anterior cruciate ligament reconstruction (ACLR), clearance criteria and limb symmetry indices (LSI) play an important role in clinical decision-making by helping evaluate patient readiness and informing safe activity progressions, with the goal of reducing re-injury risk. How clearance criteria are implemented in research studies to evaluate patient readiness, specifically in force plate jumping studies, is currently unknown. This scoping review was a focused examination of clearance criteria and limb symmetry indices in studies performing force plate-based jumping assessments with ACLR patients. The research questions guiding this scoping review were as follows: (1) What clearance criteria are reported in studies involving primary ACLR patients who participate in jumping assessments on force plates? (2) What LSI are reported in force plate studies, and what level of symmetry is deemed acceptable to allow for safe participation of ACLR patients who participate in jumping assessments of force plates? Materials and Methods: Nine databases were searched on 7 or 8 September 2024 for three concepts: ACLR, force plates, and movement properties. Inclusion criteria were as follows: (a) primary ACLR patients at least 6 months post-surgery; (b) performing a countermovement or drop jump; (c) collecting at least one kinetic parameter using a force plate. Clearance criteria was operationally defined as a time from surgery boundary, functional or performance-based testing criteria, medical evaluation, or completion/participation in a rehabilitation program. Results: Thirty-five studies were included. Time from surgery was the most frequently reported clearance criteria (26/35; 74.3%), followed by medical evaluation (18/35; 51.4%), and completion of rehabilitation (10/35; 28.6%). Use of LSI as clearance criteria was limited (5/35; 14.3%). Minimum required LSI ranged from 85 to 90% in quadriceps strength and hop testing. Conclusions: Clearance criteria varied by jump type and post-surgical time frame when the participant was tested. Standardized rehabilitation was common prior to 2 years post-surgery, whereas medical clearance was common after 2 years post-surgery. Single leg jumps typically required 2–3 clearance criteria, whereas double leg jumps required 1–2 clearance criteria. Limb symmetry indices were used in combination with two other clearance criteria in studies with single-leg countermovement or drop jumps. Improvements in clearance criteria and adverse event reporting may help improve patient safety and interpretation of findings across studies. Full article
(This article belongs to the Special Issue Anterior Cruciate Ligament (ACL) Injury)
Show Figures

Figure 1

18 pages, 465 KB  
Article
The Role of Muscle Strength, Physical Activity, Perceived Stress, and Sleep Quality in Patients with Hypertension
by Veronica Potosi-Moya, Ronnie Paredes-Gómez, Shulianna Burgos-Vera and Samantha Báez-Narváez
J. Funct. Morphol. Kinesiol. 2026, 11(1), 112; https://doi.org/10.3390/jfmk11010112 - 6 Mar 2026
Viewed by 517
Abstract
Background: Hypertension is a multifactorial condition influenced by physiological, behavioral, and psychosocial factors. Muscle strength, physical activity, sleep quality, and perceived stress may contribute to blood pressure variability, although their relative influence remains unclear. This study examined associations between systolic blood pressure (SBP) [...] Read more.
Background: Hypertension is a multifactorial condition influenced by physiological, behavioral, and psychosocial factors. Muscle strength, physical activity, sleep quality, and perceived stress may contribute to blood pressure variability, although their relative influence remains unclear. This study examined associations between systolic blood pressure (SBP) and demographic, anthropometric, neuromuscular, behavioral, and psychosocial variables in adults with primary hypertension, with secondary analyses for diastolic blood pressure (DBP) and sex differences. Methods: A cross-sectional study was conducted in 391 adults with hypertension (165 men, 226 women). Predictors included age, body mass index, lower-limb muscle strength, physical activity (GPAQ), sleep quality (PSQI), and perceived stress. Associations were analyzed using correlation analyses and sex-stratified multivariable regression models. Results: In men, SBP correlated positively with age and negatively with lower-limb strength. In women, SBP showed associations with physical activity and perceived stress. Regression analyses indicated that sleep quality and perceived stress were independently associated with SBP in women (adjusted R2 = 0.13), whereas hamstring strength was associated with DBP in men with low explanatory capacity (R2 = 0.05). Moderate-to-high collinearity was observed among strength variables. Conclusions: Blood pressure variability was associated with neuromuscular and psychosocial factors with sex-specific patterns; however, the modest explained variance suggests these factors act as complementary rather than primary determinants. Longitudinal studies are needed to clarify causal relationships. Full article
Show Figures

Figure 1

13 pages, 3192 KB  
Review
Anterior Knee Pain and Excessive External Tibial Torsion in Female Patients: Rationale and Outcomes of Rotational Tibial Osteotomy
by Vicente Sanchis-Alfonso, Jesus Castellano-Curado, Erik Montesinos-Berry, Santiago Ferrer-Piquer and Robert A. Teitge
J. Clin. Med. 2026, 15(5), 2015; https://doi.org/10.3390/jcm15052015 - 6 Mar 2026
Viewed by 448
Abstract
Excessive external tibial torsion (ETT) is a recognized cause of anterior knee pain (AKP). In patients with excessive ETT, placing the foot forward during gait causes the knee joint to point inward, increasing the Q-angle and the lateral quadriceps vector. In appropriately selected [...] Read more.
Excessive external tibial torsion (ETT) is a recognized cause of anterior knee pain (AKP). In patients with excessive ETT, placing the foot forward during gait causes the knee joint to point inward, increasing the Q-angle and the lateral quadriceps vector. In appropriately selected cases, internal rotational tibial osteotomy is a reliable treatment option for symptomatic excessive ETT, yielding favorable outcomes with minimal complications. Nevertheless, no universally accepted torsion threshold exists to guide surgical decision-making, and evidence remains limited regarding the optimal anatomic level for performing the osteotomy. Full article
(This article belongs to the Section Orthopedics)
Show Figures

Figure 1

18 pages, 3350 KB  
Article
Physical Functional Characteristics of Elite Adolescent and Collegiate Male Soccer Athletes: A Comparative Study Using Medical Check-Ups
by Tingxu Zhang, Hanyan Yan, Ziwen Mu, Ang Ni, Haoxiang Wang, Zhiqiang Han, Kazuhiro Imai and Xiao Zhou
J. Funct. Morphol. Kinesiol. 2026, 11(1), 107; https://doi.org/10.3390/jfmk11010107 - 5 Mar 2026
Viewed by 388
Abstract
Background: Physical functional capacity plays a critical role in sports performance and changes markedly from adolescence to adulthood. This study aimed to compare the physical functional characteristics between adolescent and collegiate soccer athletes. Methods: Fifty elite male soccer athletes (30 adolescents, 20 college [...] Read more.
Background: Physical functional capacity plays a critical role in sports performance and changes markedly from adolescence to adulthood. This study aimed to compare the physical functional characteristics between adolescent and collegiate soccer athletes. Methods: Fifty elite male soccer athletes (30 adolescents, 20 college students) were assessed for joint range of motion, muscle flexibility, dynamic balance, and trunk functional capacity. Results: Adolescent athletes achieved significantly greater general joint laxity score than collegiate athletes (p = 0.01), with significantly greater hip range of motion across all planes (abduction, internal rotation, and external rotation; all p < 0.01). College athletes had significantly lower SLR degree (left: p < 0.01, right: p < 0.05) but significantly greater degrees on passive Ely’s test (p < 0.01) than adolescent athletes. Collegiate athletes delivered significantly superior dynamic balance performance in the Y-balance test, particularly in the posterolateral and posteromedial directions (all p < 0.05). Unexpectedly, trunk functional capacity was significantly lower in collegiate athletes compared with adolescents (p < 0.01). Limb asymmetry was observed in both groups: collegiate athletes showed asymmetry only in the anterior reach direction of the Y-balance test (p = 0.018), whereas adolescents exhibited asymmetry across multiple joints (ankle, hip, hamstrings, and quadriceps; all p < 0.05) and in the posterolateral direction of the Y-balance test (p < 0.01). Conclusions: Adolescent athletes demonstrated significantly superior joint range of motion and lower limb flexibility, whereas collegiate players exhibited better balance performance, indicating distinct functional profiles between the two cohorts, which may be associated with differences in training experience and developmental stages. Full article
(This article belongs to the Section Functional Anatomy and Musculoskeletal System)
Show Figures

Figure 1

20 pages, 2140 KB  
Article
Serial Changes in Knee Muscle Strength and Functional Performance After Anterior Cruciate Ligament Reconstruction: A Retrospective Cohort Study of 107 Patients
by Seung Ik Cho, Ju Won Bae, Youngwook Sim, Dhong Won Lee, Byung Sun Park, Yu Bin Lee, Hun-Young Park, Eunjoo Lee, Sang Jin Yang and Joon Kyu Lee
Medicina 2026, 62(3), 489; https://doi.org/10.3390/medicina62030489 - 5 Mar 2026
Viewed by 526
Abstract
Background and Objectives: Anterior cruciate ligament (ACL) reconstruction (ACLR) is widely performed to restore knee stability and facilitate return to activity. However, recovery of muscle strength, balance, functional performance, and patient-reported outcomes does not occur uniformly over time. The longitudinal recovery trajectory [...] Read more.
Background and Objectives: Anterior cruciate ligament (ACL) reconstruction (ACLR) is widely performed to restore knee stability and facilitate return to activity. However, recovery of muscle strength, balance, functional performance, and patient-reported outcomes does not occur uniformly over time. The longitudinal recovery trajectory across various functional areas during the first year after ACLR remains insufficiently characterized. Materials and Methods: We included 107 patients who underwent isolated unilateral ACLR using a hamstring autograft. Isokinetic knee extensor and flexor strength, postural stability, Y-Balance Test (YBT) performance, and subjective knee function scores were assessed post-injury (approximately six weeks after ACL injury and prior to ACLR) and at 3, 6, and 12 months postoperatively. All patients followed a standardized postoperative rehabilitation protocol. Results: Knee extensor strength deficit worsened at 3 months and remained present at 12 months. In contrast, knee flexor strength deficit decreased progressively and reached near-symmetrical values by 12 months. Sway path length decreased significantly over time in both limbs. In the operated limb, improvements plateaued after 6 months, and limb symmetry indices approached symmetry by 12 months. YBT limb symmetry indices demonstrated a non-linear recovery pattern. Anterior, posterolateral, and composite scores decreased at 3 months, recovered to post-injury levels by 6 months, and showed significant improvement at 12 months. Posteromedial reach did not decline at 3 months and improved significantly only at 12 months. Subjective knee function scores (Lysholm and IKDC) did not differ significantly between post-injury and 3-month assessments, but improved significantly from 6 months onward. Tegner activity scores gradually increased and returned to pre-injury levels by 12 months. Conclusions: Recovery after ACLR is prolonged and non-synchronous. Quadricep strength remains incompletely restored at 12 months, whereas hamstring strength recovers more favorably. Balance, functional performance, and subjective outcomes improve mainly after 6 months. These findings support the need for prolonged rehabilitation and serial, multidimensional functional assessments beyond time-based criteria. Full article
(This article belongs to the Special Issue Anterior Cruciate Ligament (ACL) Injury)
Show Figures

Figure 1

Back to TopTop