Identification of the Ovine Keratin-Associated Protein 21-1 Gene and Its Association with Variation in Wool Traits
Simple Summary
Abstract
1. Introduction
2. Materials and Methods
2.1. Sheep Blood and Wool Samples
2.2. PCR Primers and Amplification
2.3. Screening for Sequence Variation
2.4. Sequencing of the Variants and Sequence Analysis
2.5. Statistical Analyses
3. Results
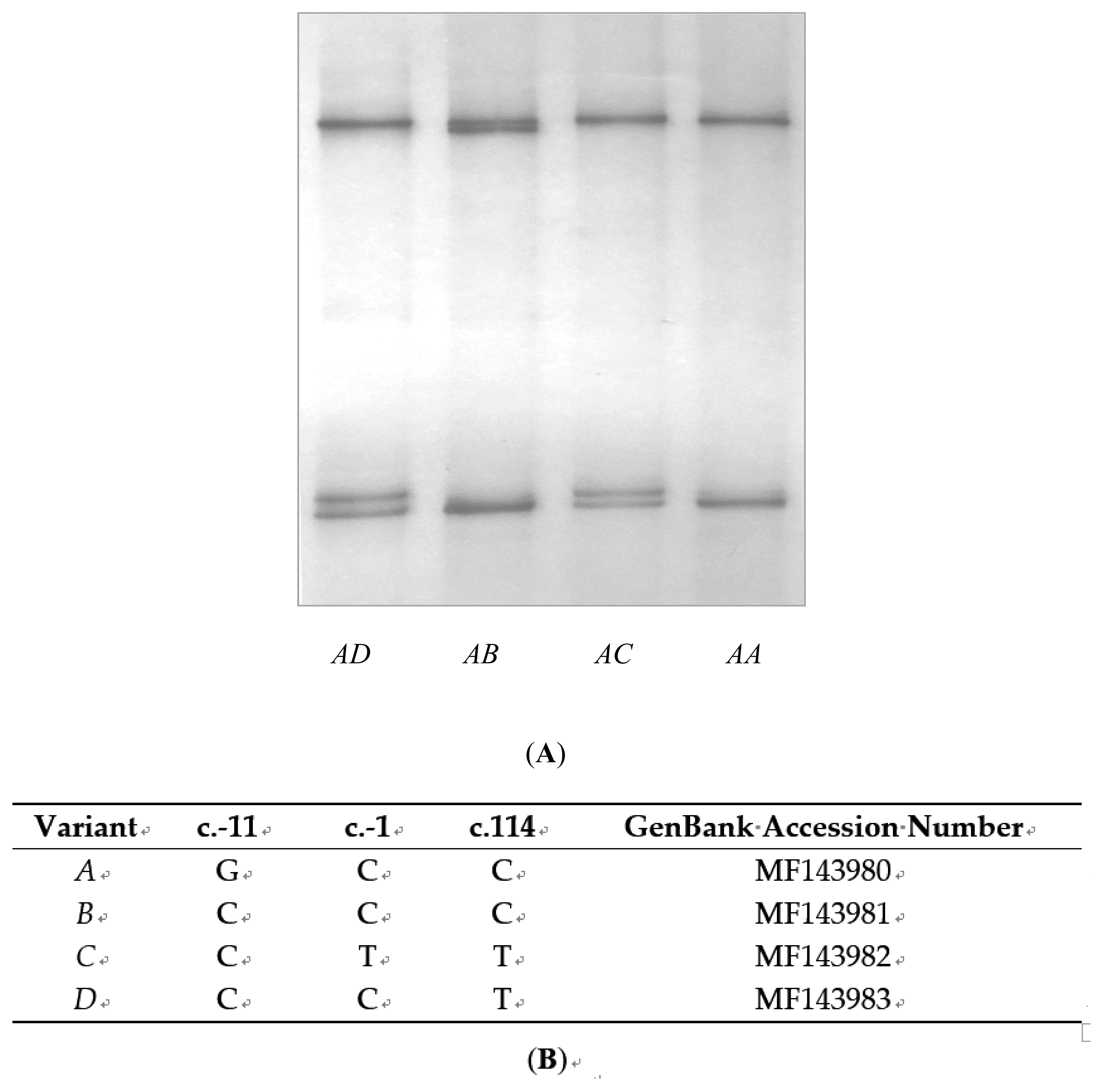
3.1. Identification of Ovine KRTAP21-1
3.2. Association of KRTAP21-1 Genotypes and Wool Traits
4. Discussion
5. Conclusions
Author Contributions
Acknowledgments
Conflicts of Interest
References
- Powell, B.C.; Rogers, G.E. The role of keratin proteins and their genes in the growth, structure and properties of hair. In Formation and Structure of Human Hair; Jollès, P., Zahn, H., Höcker, H., Eds.; Birkhäuser Verlag: Basel, Switzerland, 1997; pp. 59–148. [Google Scholar]
- Gong, H.; Zhou, H.; Forrest, R.H.J.; Li, S.; Wang, J.; Dyer, J.M.; Luo, Y.; Hickford, J.G. Wool Keratin-Associated Protein Genes in Sheep—A Review. Genes 2016, 7, 24. [Google Scholar] [CrossRef] [PubMed]
- Gillespie, J.M. The proteins of hair and other hard a-keratins. In Cellular and Molecular Biology of Intermediate Filaments; Goldman, R.D., Steinert, P.M., Eds.; Plenum Press: New York, NY, USA, 1990; pp. 95–128. [Google Scholar]
- Li, S.W.; Ouyang, H.S.; Rogers, G.E.; Bawden, C.S. Characterization of the structural and molecular defects in fibres and follicles of the merino felting lustre mutant. Exp. Dermatol. 2009, 18, 134–142. [Google Scholar] [CrossRef] [PubMed]
- Rogers, M.A.; Langbein, L.; Winter, H.; Ehmann, C.; Praetzel, S.; Schweizer, J. Characterization of a first domain of human high glycine-tyrosine and high sulfur keratin-associated protein (KAP) genes on chromosome 21q22.1. J. Biol. Chem. 2002, 277, 48993–49002. [Google Scholar] [CrossRef] [PubMed]
- Almeida, A.M.; Plowman, J.E.; Harland, D.P.; Thomas, A.; Kilminster, T.; Scanlon, T.; Milton, J.; Greef, J.; Oldham, C.; Clerens, S. Influence of feed restriction on the wool proteome: A combined iTRAQ and fiber structural study. J. Proteom. 2014, 103, 170–177. [Google Scholar] [CrossRef] [PubMed]
- Bai, L.; Gong, H.; Zhou, H.; Tao, J.; Hickford, J.G.H. A nucleotide substitution in the ovine KAP20-2 gene leads to a premature stop codon that affects wool fibre curvature. Anim. Genet. 2018, 49, 357–358. [Google Scholar] [CrossRef] [PubMed]
- Li, S.B.; Zhou, H.T.; Gong, H.; Zhao, F.F.; Wang, J.Q.; Liu, X.; Luo, Y.Z.; Hickford, J.G.H. Identification of the ovine keratin-associated protein 22-1 (KAP22-1) gene and its effect on wool traits. Genes 2017, 8, 27. [Google Scholar] [CrossRef] [PubMed]
- Gong, H.; Zhou, H.; Dyer, J.; Hickford, J.G.H. The sheep KAP 8-2 gene, a new KAP8 family member that is absent in humans. SpringerPlus 2014, 3, 528. [Google Scholar] [CrossRef] [PubMed]
- Zhou, H.; Gong, H.; Wang, J.; Dyer, J.M.; Luo, Y.; Hickford, J.G.H. Identification of four new gene members of the KAP6 gene family in sheep. Sci. Rep. 2016, 6, 24074. [Google Scholar] [CrossRef] [PubMed]
- Zhou, H.; Hickford, J.G.H.; Fang, Q. A two-step procedure for extracting genomic DNA from dried blood spots on filter paper for polymerase chain reaction amplification. Anal. Biochem. 2006, 354, 159–161. [Google Scholar] [CrossRef] [PubMed]
- Byun, S.O.; Fang, Q.; Zhou, H.; Hickford, J.G.H. An effective method for silver-staining DNA in large numbers of polyacrylamide gels. Anal. Biochem. 2009, 385, 174–175. [Google Scholar] [CrossRef] [PubMed]
- Gong, H.; Zhou, H.; Hickford, J.G. Diversity of the glycine/tyrosine-rich keratin-associated protein 6 gene (KAP6) family in sheep. Mol. Biol. Rep. 2011, 38, 31–35. [Google Scholar] [CrossRef] [PubMed]
- Gong, H.; Zhou, H.; Plowman, J.; Dyer, J.; Hickford, J.G.H. Analysis of variation in the ovine ultra-high sulphur keratin-associated protein KAP5-4 gene using PCR-SSCP technique. Electrophoresis 2010, 31, 3545–3547. [Google Scholar] [CrossRef] [PubMed]
- Gong, H.; Zhou, H.; Bai, L.; Li, W.; Li, S.; Luo, Y.; Hickford, J.G.H. Associations between variation in the ovine high glycine-tyrosine keratin-associated protein gene KRTAP20-1 and wool traits. J. Anim. Sci. 2019, 97, 587–595. [Google Scholar] [CrossRef] [PubMed]
- Horio, M.; Kondo, T. Crimping of wool fibres. Text. Res. J. 1953, 23, 373–386. [Google Scholar] [CrossRef]
- Rogers, G.E. Biology of the wool follicle: An excursion into a unique tissue interaction system waiting to be re-discovered. Exp. Dermatol. 2006, 15, 931–949. [Google Scholar] [CrossRef] [PubMed]
- Jacobson, G.N.; Clark, P.L. Quality over quantity: Optimizing co-translational protein folding with non-‘optimal’synonymous codons. Curr. Opin. Chem. Biol. 2016, 38, 102–110. [Google Scholar] [CrossRef] [PubMed]
- Li, W.; Gong, H.; Zhou, H.; Wang, J.; Liu, X.; Li, S.; Luo, Y.; Hickford, J.G.H. Variation in the ovine keratin-associated protein 15-1 gene affects wool yield. J. Agric. Sci. 2018, 156, 922–928. [Google Scholar] [CrossRef]
- Li, S.; Zhou, H.; Gong, H.; Zhao, F.; Wang, J.; Luo, Y.; Hickford, J.G.H. Variation in the ovine KAP6-3 gene (KRTAP6-3) is associated with variation in mean fibre diameter-associated wool traits. Genes 2017, 8, 204. [Google Scholar] [CrossRef] [PubMed]
- Li, S.; Zhou, H.; Gong, H.; Zhao, F.; Hu, J.; Luo, Y.; Hickford, J.G.H. Identification of the ovine keratin-associated protein 26-1 gene and its association with variation in wool traits. Genes 2017, 8, 225. [Google Scholar] [CrossRef] [PubMed]



| Trait 1 | Mean ± SE 2 | p | |
|---|---|---|---|
| AA (n = 169) | AC (n = 99) | ||
| GFW (kg) | 2.33 ± 0.04 | 2.42 ± 0.04 | 0.078 |
| CFW (kg) | 1.71 ± 0.03 | 1.73 ± 0.04 | 0.656 |
| Yield (%) | 72.6 ± 0.49 | 70.9 ± 0.59 | 0.014 |
| MSL (mm) | 84.3 ± 1.72 | 85.4 ± 1.94 | 0.462 |
| MSS (N/ktex) | 21.6 ± 1.13 | 21.1 ± 1.28 | 0.557 |
| MFD (µm) | 19.3 ± 0.27 | 19.6 ± 0.31 | 0.361 |
| FDSD (µm) | 4.14 ± 0.09 | 4.15 ± 0.10 | 0.882 |
| CVFD (%) | 21.3 ± 0.34 | 21.1 ± 0.38 | 0.768 |
| MFC (o/mm) | 88.6 ± 2.28 | 89.2 ± 2.57 | 0.768 |
| PF (%) | 2.50 ± 0.50 | 2.86 ± 0.56 | 0.405 |
© 2019 by the authors. Licensee MDPI, Basel, Switzerland. This article is an open access article distributed under the terms and conditions of the Creative Commons Attribution (CC BY) license (http://creativecommons.org/licenses/by/4.0/).
Share and Cite
Li, S.; Zhou, H.; Gong, H.; Zhao, F.; Wang, J.; Liu, X.; Hu, J.; Luo, Y.; Hickford, J.G.H. Identification of the Ovine Keratin-Associated Protein 21-1 Gene and Its Association with Variation in Wool Traits. Animals 2019, 9, 450. https://doi.org/10.3390/ani9070450
Li S, Zhou H, Gong H, Zhao F, Wang J, Liu X, Hu J, Luo Y, Hickford JGH. Identification of the Ovine Keratin-Associated Protein 21-1 Gene and Its Association with Variation in Wool Traits. Animals. 2019; 9(7):450. https://doi.org/10.3390/ani9070450
Chicago/Turabian StyleLi, Shaobin, Huitong Zhou, Hua Gong, Fangfang Zhao, Jiqing Wang, Xiu Liu, Jiang Hu, Yuzhu Luo, and Jon G.H. Hickford. 2019. "Identification of the Ovine Keratin-Associated Protein 21-1 Gene and Its Association with Variation in Wool Traits" Animals 9, no. 7: 450. https://doi.org/10.3390/ani9070450
APA StyleLi, S., Zhou, H., Gong, H., Zhao, F., Wang, J., Liu, X., Hu, J., Luo, Y., & Hickford, J. G. H. (2019). Identification of the Ovine Keratin-Associated Protein 21-1 Gene and Its Association with Variation in Wool Traits. Animals, 9(7), 450. https://doi.org/10.3390/ani9070450

