Unveiling a Salmonella Enteritidis Outbreak in an Italian Meat Rabbit Farm: Histopathological Features and Epidemiological Investigation
Simple Summary
Abstract
1. Introduction
2. Materials and Methods
2.1. Background
2.2. Microbiological Investigation
2.3. Post-Mortem Examination and Histopathology
2.4. Epidemiological Investigation and Control Measures
3. Results
3.1. Microbiological Investigation
| Sample Type | Date | Number of Samples Analyzed | Number of SE-Positive Samples (%) | Pen Sampled (SE-Positive Pen; Organ) | Other Bacteria Isolated (Pen) |
|---|---|---|---|---|---|
| Carcasses (first detection) | 5 March 2024 | 16 | 16 (100) | 5 (5; liver, brain, spleen) | Pasteurella multocida in lungs (5) |
| Carcasses | 18 March 2024 | 20 | 5 (25) | 5, 6, 7, 8 (5; liver, brain, spleen) | Pasteurella multocida in lungs (7) |
| Rectal swabs (pooled) | 20 | 1 (5) | 5, 6, 7, 8 (7) | n.a. * | |
| Carcasses | 19 March 2024 | 20 | 0 (0) | 1, 2, 3, 4 (n.a.) | Systemic E. coli (2); P. multocida in lungs and liver (4) |
| Rectal swabs (pooled) | 20 | 0 (0) | 1, 2, 3, 4 (n.a.) | n.a. | |
| Carcasses | 9 April 2024 | 5 | 0 (0) | 7 (n.a.) | n.a. |
| Rectal swabs (pooled) | 5 | 0 (0) | 7 (n.a.) | n.a. | |
| Environmental samples (C&D) A | 26 April 2024 | 5 | 0 (0) | 5 (n.a.) | n.a. |
| Carcasses | 10 May 2024 | 5 | 0 (0) | 5 (n.a.) | n.a. |
| Rectal swabs (pooled) | 5 | 3 (60) | 5 (5; n.a.) | n.a. | |
| Rectal swabs (pooled) | 29 May 2024 | 10 | 0 (0) | 5, 7 (n.a.) | n.a. |
| Environmental samples (C&D) | 13 June 2024 | 5 | 0 (0) | 7 (n.a.) | n.a. |
| Carcasses | 22 August 2024 | 17 | 7 (41.2) | 5, 7 (5; spleen and liver) | Systemic P. multocida (7) |
| Carcasses | 3 September 2024 | 38 | 18 (47.4) | 1, 2, 3, 4, 5, 6, 7, 8 (1; liver, brain, spleen; 5; intestine; 6; intestine; 7; liver, brain, spleen) | Staphylococcus spp. in kidneys, liver and lungs, (1); systemic E. coli (2, 3, 5); P. multocida in lungs (2). |
| Rectal swabs (pooled) | 40 | 7 (17.5) | 1, 2, 3, 4, 5, 6, 7, 8 (1, 5, 6) | n.a. | |
| Environmental samples (Con) B | 11 September 2024 | 25 | 18 (72) | 1, 2, 3, 4, 5, 6, 7, 8 (1, 2, 5, 6, 7) | n.a. |
| Carcasses | 27 September 2024 | 5 | 0 (0) | 5 (n.a.) | n.a. |
| Rectal swabs (pooled) | 5 | 0 (0) | 5 (n.a.) | n.a. | |
| Carcasses | 18 October 2024 | 5 | 0 (0) | 7 (n.a.) | n.a. |
| Rectal swabs (pooled) | 10 | 0 (0) | 7 (n.a.) | n.a. | |
| Carcasses | 6 November 2024 | 5 | 5 (100) | 6 (6, intestine) | n.a. |
| Rectal swabs (pooled) | 5 | 0 (0) | 6 (6) | n.a. | |
| Carcasses | 21 November 2024 | 10 | 10 (100) | 1, 2 (1, intestine; 2, intestine) | P. multocida in lungs (1, 2) |
| Rectal swabs (pooled) | 10 | 2 (20) | 1, 2 (2) | n.a. | |
| Carcasses | 25 November 2024 | 4 | 0 (0) | 6 (n.a.) | n.a. |
| Rectal swabs (pooled) | 5 | 0 (0) | 6 (n.a.) | n.a. | |
| Carcasses | 29 November 2024 | 5 | 0 (0) | 8 (n.a.) | P. multocida in lungs (8) |
| Rectal swabs (pooled) | 5 | 0 (0) | 8 (n.a.) | n.a. | |
| Environmental samples (C&D) | 4 December 2024 | 25 | 0 (0) | 3, 5, 6, 7, 8 (0) | n.a. |
| Carcasses | 11 December 2024 | 8 | 0 (0) | 1, 4 (n.a.) | n.a. |
| Rectal swabs (pooled) | 10 | 0 (0) | 1, 4 (n.a.) | n.a. | |
| Carcasses | 19 December 2024 | 5 | 0 (0) | 2 (n.a.) | P. multocida in lungs (2) |
| Rectal swabs (pooled) | 5 | 0 (0) | 2 (n.a.) | n.a. |
3.2. Post-Mortem Examination
3.2.1. Gross Pathology
| Gross Lesions Observed | Number of SE-Positive Individuals | Number of SE-Negative Individuals | Other Bacteria Isolated |
|---|---|---|---|
| Catarrhal enterocolitis | 35 | 57 | P. multocida, E. coli |
| Hemorrhagic enteritis | 15 | 10 | E. coli |
| Splenomegaly | 10 | 35 | P. multocida, E. coli |
| Fibrinous perisplenitis | 7 | 10 | P. multocida |
| Hepatomegaly | 23 | 40 | P. multocida, E. coli |
| Hepatic congestion | 5 | 0 | E. coli |
| Pulmonary edema | 0 | 20 | P. multocida, E. coli |
| Pulmonary hemorrhages | 12 | 40 | P. multocida, E. coli |
| Suppurative penumonia | 5 | 10 | P. multocida |
| Fibrinosuppurative pleuropneumonia | 5 | 13 | P. multocida |
| Tracheal hyperemia | 7 | 15 | P. multocida |
| Cardiomegaly | 0 | 2 | n.a. * |
| Pericardial effusion | 0 | 1 | n.a. |
| Epicardial hemorrhages | 0 | 10 | E. coli |
| Interstitial nephritis | 0 | 1 | Staphylococcus spp. |
| Suppurative glomerulonephritis | 1 | 0 | n.a. |

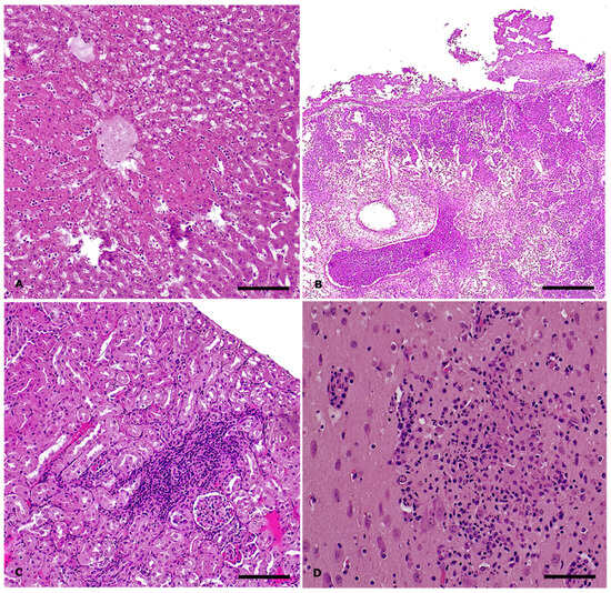
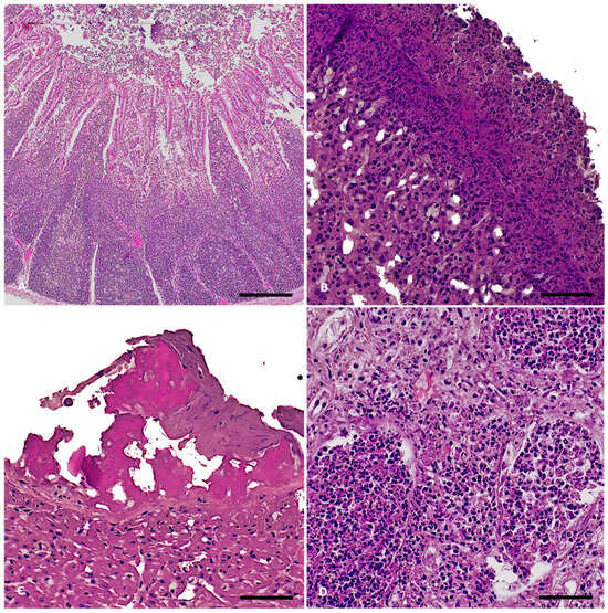
3.2.2. Histopathology


3.3. Epidemiological Investigation and Control Measures
| Biosecurity Measure | Actions in Place |
|---|---|
| Feed and water | A total of 16 silos were used for feed storage; they remained sealed and showed no signs of breaches. The water was sourced from the aqueduct and was monitored annually for microbiological quality. |
| Management of manure and carcasses | Rabbit manure was regularly removed from pens and temporarily stored on the farm premises before being transported to an external biogas production facility. Animal carcasses were collected daily and stored in a dedicated freezer located in a separate room within farm premises. A licensed rendering company accessed the farm to retrieve the carcasses for proper disposal. |
| Management of equipment | Equipment, including tools for cleaning and disinfection, and artificial insemination, was used across multiple pens, without any record of its movements. |
| Visitors and farmworkers | Access by unauthorized individuals was restricted through a physical barrier installed at the farm entrance. A visitor logbook was maintained, and personal protective equipment (PPE) was provided to all external visitors. Farm personnel were partially shared with other rabbit production units under the same ownership. Upon entry, workers were required to change into farm-specific clothing. No hygiene locks or disinfection stations were present at the farm entrance or at pen entry points, and footbaths were not implemented at pen access areas. |
| Pest control | A rodent control program was implemented and documented through a written operating procedure. Bait stations were routinely monitored to assess consumption levels. However, systematic review of program outcomes and a formal procedure for periodic updates were not established. |
| Cleaning and disinfection | Written operating procedures for pen cleaning and disinfection were not established. However, cages were cleaned and disinfected after being vacated and prior to the introduction of a new rabbit batch. An automated vehicle disinfection system, consisting of a disinfection arch for trucks, was installed and operational at the farm entrance. |
| Presence of other animals | A dog owned by the farm manager was present within the farm premises. Feral cats were observed on site, and pigeons were frequently sighted by farm personnel. |
4. Discussion
5. Conclusions
Author Contributions
Funding
Institutional Review Board Statement
Informed Consent Statement
Data Availability Statement
Conflicts of Interest
References
- FAOSTAT. The Statistics Division of the FAO. Available online: https://www.fao.org/faostat/en/#data (accessed on 21 January 2024).
- Cullere, M.; Dalle Zotte, A. Rabbit meat production and consumption: State of knowledge and future perspectives. Meat Sci. 2018, 143, 137–146. [Google Scholar] [CrossRef]
- Dalle Zotte, A. Rabbit farming for meat purposes. Anim. Front. 2014, 4, 62–67. [Google Scholar] [CrossRef]
- Istituto di Servizi per il Mercato Agricolo Alimentare. Tendenze e Dinamiche Recenti—Cunicolo—Ottobre 2024. Available online: https://www.ismeamercati.it/flex/cm/pages/ServeBLOB.php/L/IT/IDPagina/13269#:~:text=Le%20principali%20dinamiche&text=Nel%20primo%20semestre%202024%20le,a%20recuperare%20spazi%20di%20mercato (accessed on 24 October 2025).
- van der Sluis, M.; van Zeeland, Y.R.A.; de Greef, K.H. Digestive problems in rabbit production: Moving in the wrong direction? Front. Vet. Sci. 2024, 11, 1354651. [Google Scholar] [CrossRef]
- Majowicz, S.E.; Musto, J.; Scallan, E.; Angulo, F.J.; Kirk, M.; O’Brien, S.J.; Jones, T.F.; Fazil, A.; Hoekstra, R.M. The global burden of nontyphoidal Salmonella gastroenteritis. Clin. Infect. Dis. 2010, 50, 882–889. [Google Scholar] [CrossRef]
- Kumar, G.; Kumar, S.; Jangid, H.; Dutta, J.; Shidiki, A. The rise of non-typhoidal Salmonella: An emerging global public health concern. Front. Microbiol. 2025, 16, 1524287. [Google Scholar] [CrossRef]
- Balasubramanian, R.; Im, J.; Lee, J.S.; Jeon, H.J.; Mogeni, O.D.; Kim, J.H.; Rakotozandrindrainy, R.; Baker, S.; Marks, F. The global burden and epidemiology of invasive non-typhoidal Salmonella infections. Hum. Vaccin. Immunother. 2019, 15, 1421–1426. [Google Scholar] [CrossRef] [PubMed]
- European Food Safety Authority; European Centre for Disease Prevention and Control. The European Union One Health 2022 Zoonoses Report. EFSA J. 2023, 21, e8442. [Google Scholar] [CrossRef]
- Georganas, A.; Graziosi, G.; Catelli, E.; Lupini, C. Salmonella enterica Serovar Infantis in Broiler Chickens: A Systematic Review and Meta-Analysis. Animals 2024, 14, 3453. [Google Scholar] [CrossRef] [PubMed]
- European Centre for Disease Prevention and Control. Salmonellosis—Annual Epidemiological Report for 2023. Available online: https://www.ecdc.europa.eu/sites/default/files/documents/samonellosis-annual-epidmeiological-report-2023.pdf (accessed on 27 October 2025).
- Hoelzer, K.; Moreno Switt, A.I.; Wiedmann, M. Animal contact as a source of human non-typhoidal salmonellosis. Vet. Res. 2011, 42, 34. [Google Scholar] [CrossRef] [PubMed]
- Hohmann, E.L. Nontyphoidal salmonellosis. Clincal Infect. Dis. 2001, 32, 263–269. [Google Scholar] [CrossRef]
- Mermin, J.; Hutwagner, L.; Vugia, D.; Shallow, S.; Daily, P.; Bender, J.; Koehler, J.; Marcus, R.; Angulo, F.J. Reptiles, amphibians, and human Salmonella infection: A population-based, case-control study. Clincal Infect. Dis. 2004, 38, S253–S261. [Google Scholar] [CrossRef]
- Braden, C.R. Salmonella enterica serotype Enteritidis and eggs: A national epidemic in the United States. Clincal Infect. Dis. 2006, 43, 512–517. [Google Scholar] [CrossRef]
- Sima, C.M.; Buzilă, E.R.; Trofin, F.; Păduraru, D.; Luncă, C.; Duhaniuc, A.; Dorneanu, O.S.; Nastase, E.V. Emerging Strategies against Non-Typhoidal Salmonella: From Pathogenesis to Treatment. Curr. Issues Mol. Biol. 2024, 46, 7447–7472. [Google Scholar] [CrossRef]
- Rostagno, M.H.; Wesley, I.V.; Trampel, D.W.; Hurd, H.S. Salmonella prevalence in market-age turkeys on-farm and at slaughter. Poult. Sci. 2006, 85, 1838–1842. [Google Scholar] [CrossRef] [PubMed]
- Busani, L.; Graziani, C.; Battisti, A.; Franco, A.; Ricci, A.; Vio, D.; Digiannatale, E.; Paterlini, F.; D’Incau, M.; Owczarek, S.; et al. Antibiotic resistance in Salmonella enterica serotypes Typhimurium, Enteritidis and Infantis from human infections, foodstuffs and farm animals in Italy. Epidemiol. Infect. 2004, 132, 245–251. [Google Scholar] [CrossRef]
- Borrelli, L.; Fioretti, A.; Ruggiero, V.; Santaniello, A.; Cringoli, G.; Ricci, A.; Barco, L.; Menna, L.F.; Dipineto, L. Salmonella typhimurium DT104 in farmed rabbits. J. Vet. Med. Sci. 2011, 73, 385–387. [Google Scholar] [CrossRef]
- Graziani, C.; Busani, L.; Dionisi, A.M.; Lucarelli, C.; Owczarek, S.; Ricci, A.; Mancin, M.; Caprioli, A.; Luzzi, I. Antimicrobial resistance in Salmonella enterica serovar Typhimurium from human and animal sources in Italy. Vet. Microbiol. 2008, 128, 414–418. [Google Scholar] [CrossRef]
- Camarda, A.; Pupillo, A.; Pugliese, N.; Circella, E.; Dionisi, A.M.; Ricci, A.; Pazzani, C. Phenotypic and genetic traits of Salmonella enterica subsp. serovar Typhimurium strains causing salmonellosis foci in rabbit farms from Southern Italy in 1999-2003. Res. Vet. Sci. 2013, 94, 394–398. [Google Scholar] [CrossRef]
- ISO 6579:2002/Amd 1:2007; Microbiology of Food and Animal Feeding Stuffs—Horizontal Method for the Detection of Salmonella spp.—Amendment 1: Annex D: Detection of Salmonella spp. in Animal Faeces and in Environmental Samples from the Primary Production Stage. Guidelines of Salmonella spp. International Organization for Standardization: Geneva, Switzerland, 2002.
- ISO 11133:2014; Microbiology of Food, Animal Feed and Water. Preparation, Production, Storage and Performance Testing of Culture Media. International Organization for Standardization: Geneva, Switzerland, 2014.
- ISO 6579-3:2014; Microbiology of the Food Chain—Horizontal Method for the Detection, Enumeration and Serotyping of Salmonella—Part 3: Guidelines for Serotyping of Salmonella spp. International Organization for Standardization: Geneva, Switzerland, 2014.
- Slaoui, M.; Bauchet, A.-L.; Fiette, L. Tissue sampling and processing for histopathology evaluation. In Drug Safety Evaluation: Methods and Protocols; Methods in Molecular Biology; Springer Protocols: Clifton, NJ, USA, 2017; Volume 1641, pp. 101–114. [Google Scholar]
- Ministero della Salute; Direzione Generale della Sanità Animale e dei Farmaci Animali. Piano Nazionale di Controllo Delle Salmonellosi 2022–2024. Available online: https://www.fnovi.it/sites/default/files/Piano_nazionale_di_controllo_delle_Salmonellosi_negli_avicoli_2022-2024.pdf (accessed on 24 October 2025).
- Agnoletti, F. Update on rabbit enteric diseases: Despite improved diagnostic capacity, where does disease control and prevention stand. In Proceedings of the 10th World Rabbit Congress, World Rabbit Science Association, Sharm El-Sheikh, Egypt, 3–6 September 2012; pp. 1113–1127. [Google Scholar]
- Rosell, J.M.; De la Fuente, L.F.; Badiola, J.I.; Fernández de Luco, D.; Casal, J.; Saco, M. Study of urgent visits to commercial rabbit farms in Spain and Portugal during 1997–2007. World Rabbit Sci. 2009, 17, 127–136. [Google Scholar] [CrossRef][Green Version]
- Solans, L.; Arnal, J.L.; Sanz, C.; Benito, A.; Chacón, G.; Alzuguren, O.; Fernández, A.B. Rabbit Enteropathies on Commercial Farms in the Iberian Peninsula: Etiological Agents Identified in 2018–2019. Animals 2019, 9, 1142. [Google Scholar] [CrossRef]
- Suelam, I.; Reda, L. Isolation and identification of Salmonella enterica Typhimurium from rabbits. Egypt. J. Rabbit Sci. 2015, 25, 137–148. [Google Scholar] [CrossRef]
- Abd El Tawab, A.A.; El-Hofy, F.I.; Selim, A.O.; Elmenyawy, L.A. Isolation of Salmonella species in freshly dead rabbit samples in Qalubiya Governorate, Egypt. Benha Vet. Med. J. 2021, 40, 159–163. [Google Scholar] [CrossRef]
- Schädler, J.; Schwarz, J.; Peter-Egli, J.; Schüpbach-Regula, G.; Wiederkehr, D.; Albini, S. Survey of Salmonellae occurrence in meat-producing rabbitries in Switzerlan. Vet. Rec. Open 2022, 9, e24. [Google Scholar] [CrossRef]
- Belli, P.; Fontana, E.; Sommariva, M.; Scarpelli, L.; Ricci, C.; Luzi, F.; Haddad, B. The Tunisian traditional rabbit breeding system versus the commercial system: An epidemiological perspective. World Rabbit Sci. 2008, 16, 221–228. [Google Scholar] [CrossRef][Green Version]
- Saco, M.; Pérez de Rozas, A.; Aloy, N.; González, J.; Rosell, J.; Badiola, J. Salmonellosis in rabbits. Field and laboratory results during 1999–2011. In Proceedings of the 10th World Rabbit Congress, Sharm El-Sheikh, Egypt, 3–6 September 2012; pp. 1165–1168. [Google Scholar]
- Agnoletti, F.; Lenarduzzi, M.; Ricci, A.; Marotta, A. Isolation of Salmonella spp. from Italian commercial rabbitries. In Proceedings of the International Conference on Rabbit Production in Hot Climates, Zaragoza, Spain, 7–9 September 1999; pp. 189–193. [Google Scholar]
- Panda, A.; Tatarov, I.; Masek, B.J.; Hardick, J.; Crusan, A.; Wakefield, T.; Carroll, K.; Yang, S.; Hsieh, Y.H.; Lipsky, M.M.; et al. A rabbit model of non-typhoidal Salmonella bacteremia. Comp. Immunol. Microbiol. Infect. Dis. 2014, 37, 211–220. [Google Scholar] [CrossRef]
- Hanes, D.E.; Robl, M.G.; Schneider, C.M.; Burr, D.H. New Zealand white rabbit as a nonsurgical experimental model for Salmonella enterica gastroenteritis. Infect. Immun. 2001, 69, 6523–6526. [Google Scholar] [CrossRef]
- Mohamed, F.M.; El Hendy, A.H.M.; El Shehedi, M.A. Weanling Rabbit Mortalities Caused by Enteropathogenic Bacteria: Bacteriological and Pathological Investigation. J. Appl. Vet. Sci. 2019, 4, 18–29. [Google Scholar] [CrossRef]
- Liu, H.; Whitehouse, C.A.; Li, B. Presence and Persistence of Salmonella in Water: The Impact on Microbial Quality of Water and Food Safety. Front. Public Health 2018, 6, 159. [Google Scholar] [CrossRef]
- Davies, R.; Wales, A. Investigations into Salmonella contamination in poultry feedmills in the United Kingdom. J. Appl. Microbiol. 2010, 109, 1430–1440. [Google Scholar] [CrossRef]
- Maciorowski, K.; Herrera, P.; Kundinger, M.; Ricke, S. Animal feed production and contamination by foodborne Salmonella. J. Für Verbraucherschutz Und Leb. 2006, 1, 197–209. [Google Scholar] [CrossRef]
- Winfield, M.D.; Groisman, E.A. Role of nonhost environments in the lifestyles of Salmonella and Escherichia coli. Appl. Environ. Microbiol. 2003, 69, 3687–3694. [Google Scholar] [CrossRef]
- Shaji, S.; Selvaraj, R.K.; Shanmugasundaram, R. Salmonella Infection in Poultry: A Review on the Pathogen and Control Strategies. Microorganisms 2023, 11, 2814. [Google Scholar] [CrossRef]
- Kylie, J.; Brash, M.; Whiteman, A.; Tapscott, B.; Slavic, D.; Weese, J.S.; Turner, P.V. Biosecurity practices and causes of enteritis on Ontario meat rabbit farms. Can. Vet. J. 2017, 58, 571–578. [Google Scholar]
- Arnold, M.; Mueller-Doblies, D.; Carrique-Mas, J.; Davies, R. The estimation of pooled-sample sensitivity for detection of Salmonella in turkey flocks. J. Appl. Microbiol. 2009, 107, 936–943. [Google Scholar] [CrossRef]
- Sanderson, M.; Sargeant, J.; Nagaraja, T. Effect of pooling bovine fecal samples on the sensitivity of detection of E. coli O157: H7. Vet. Microbiol. 2005, 110, 125–130. [Google Scholar] [CrossRef] [PubMed]
- Muñoz-Zanzi, C.; Thurmond, M.; Hietala, S.; Johnson, W. Factors affecting sensitivity and specificity of pooled-sample testing for diagnosis of low prevalence infections. Prev. Vet. Med. 2006, 74, 309–322. [Google Scholar] [CrossRef] [PubMed]
- Salipante, S.J.; SenGupta, D.J.; Cummings, L.A.; Land, T.A.; Hoogestraat, D.R.; Cookson, B.T. Application of whole-genome sequencing for bacterial strain typing in molecular epidemiology. J. Clin. Microbiol. 2015, 53, 1072–1079. [Google Scholar] [CrossRef] [PubMed]
- Sabat, A.J.; Budimir, A.; Nashev, D.; Sá-Leão, R.; van Dijl, J.M.; Laurent, F.; Grundmann, H.; Friedrich, A.W. Overview of molecular typing methods for outbreak detection and epidemiological surveillance. Eurosurveillance 2013, 18, 17–30. [Google Scholar] [CrossRef]
- Barbagli, E.; Tassinato, C.; Cibin, V.; Cento, G.; Petrin, S.; Tiengo, A.; Barco, L. Enter-Vet—Report 2022. Available online: https://www.izsvenezie.it/documenti/temi/salmonellosi/enter-vet/entervet-report-2022.pdf (accessed on 25 October 2025).
- Rodríguez-Calleja, J.M.; García-López, I.; García-López, M.L.; Santos, J.A.; Otero, A. Rabbit meat as a source of bacterial foodborne pathogens. J. Food Prot. 2006, 69, 1106–1112. [Google Scholar] [CrossRef]
Disclaimer/Publisher’s Note: The statements, opinions and data contained in all publications are solely those of the individual author(s) and contributor(s) and not of MDPI and/or the editor(s). MDPI and/or the editor(s) disclaim responsibility for any injury to people or property resulting from any ideas, methods, instructions or products referred to in the content. |
© 2025 by the authors. Licensee MDPI, Basel, Switzerland. This article is an open access article distributed under the terms and conditions of the Creative Commons Attribution (CC BY) license (https://creativecommons.org/licenses/by/4.0/).
Share and Cite
Graziosi, G.; Cirasella, L.; Lupini, C.; D’Annunzio, G.; Catelli, E.; Romboli, C.; Siclari, C.; Perulli, S.; Fiorentini, L.; Tosi, G.; et al. Unveiling a Salmonella Enteritidis Outbreak in an Italian Meat Rabbit Farm: Histopathological Features and Epidemiological Investigation. Animals 2025, 15, 3642. https://doi.org/10.3390/ani15243642
Graziosi G, Cirasella L, Lupini C, D’Annunzio G, Catelli E, Romboli C, Siclari C, Perulli S, Fiorentini L, Tosi G, et al. Unveiling a Salmonella Enteritidis Outbreak in an Italian Meat Rabbit Farm: Histopathological Features and Epidemiological Investigation. Animals. 2025; 15(24):3642. https://doi.org/10.3390/ani15243642
Chicago/Turabian StyleGraziosi, Giulia, Letizia Cirasella, Caterina Lupini, Giulia D’Annunzio, Elena Catelli, Claudio Romboli, Caterina Siclari, Simona Perulli, Laura Fiorentini, Giovanni Tosi, and et al. 2025. "Unveiling a Salmonella Enteritidis Outbreak in an Italian Meat Rabbit Farm: Histopathological Features and Epidemiological Investigation" Animals 15, no. 24: 3642. https://doi.org/10.3390/ani15243642
APA StyleGraziosi, G., Cirasella, L., Lupini, C., D’Annunzio, G., Catelli, E., Romboli, C., Siclari, C., Perulli, S., Fiorentini, L., Tosi, G., Bassi, P., & Mescolini, G. (2025). Unveiling a Salmonella Enteritidis Outbreak in an Italian Meat Rabbit Farm: Histopathological Features and Epidemiological Investigation. Animals, 15(24), 3642. https://doi.org/10.3390/ani15243642

