Pericardial Sarcoma of Uncertain Origin in a Young Cat: A Case Report Highlighting Diagnostic Challenges and Thoracic Drainage in Palliative Management
Simple Summary
Abstract
1. Introduction
2. Case Presentation
2.1. Initial Presentation and Clinical Findings
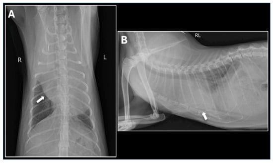
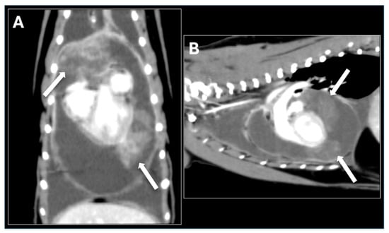
2.2. Referral and Diagnostic Evaluation
2.3. Surgical Management and Intraoperative Findings
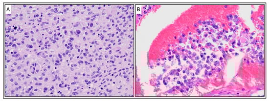
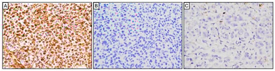
2.4. Histopathology and Immunohistochemistry
2.5. Follow-Up and Outcome
2.6. Necropsy Findings
3. Discussion
4. Conclusions
Author Contributions
Funding
Institutional Review Board Statement
Informed Consent Statement
Data Availability Statement
Acknowledgments
Conflicts of Interest
References
- Thway, K.; Fisher, C. Undifferentiated and Dedifferentiated Soft Tissue Neoplasms: Immunohistochemical Surrogates for Differential Diagnosis. Semin. Diagn. Pathol. 2021, 38, 170–186. [Google Scholar] [CrossRef]
- Vaitiekiene, A.; Vaitiekus, D.; Urbonaite, L.; Jankauskas, A.; Portacenko, J.; Lapinskas, T.; Benetis, R.; Siudikas, A.; Veikutiene, A.; Poskiene, L. Multidisciplinary Approach to Rare Primary Cardiac Sarcoma: A Case Report and Review. BMC Cancer 2019, 19, 529. [Google Scholar] [CrossRef] [PubMed]
- Bonazzi, I.; Morabito, S.; Brunetti, B.; Nicoli, S.; Valenti, P. Primary Diaphragmatic Undifferentiated Pleomorphic Sarcoma in a Cat. J. Feline Med. Surg. Open Rep. 2021, 7, 20551169211018990. [Google Scholar] [CrossRef] [PubMed]
- Wheatley, M.A.; Shamoun, J.; Maggi, R.; Breitschwerdt, E.B.; Sommer, S.L.; Cullen, J.M.; Stowe, D.M. Eosinophilic Pericardial Effusion and Pericarditis in a Cat. J. Feline Med. Surg. Open Rep. 2023, 9, 20551169231213496. [Google Scholar] [CrossRef] [PubMed]
- Davidson, B.J.; Paling, A.C.; Lahmers, S.L.; Nelson, O.L. Disease Association and Clinical Assessment of Feline Pericardial Effusion. J. Am. Anim. Hosp. Assoc. 2008, 44, 5–9. [Google Scholar] [CrossRef] [PubMed]
- Hall, D.J.; Shofer, F.; Meier, C.K.; Sleeper, M.M. Pericardial Effusion in Cats: A Retrospective Study of Clinical Findings and Outcome in 146 Cats. J. Vet. Intern. Med. 2007, 21, 1002–1007. [Google Scholar] [CrossRef]
- Treggiari, E.; Pedro, B.; Dukes-McEwan, J.; Gelzer, A.R.; Blackwood, L. A Descriptive Review of Cardiac Tumours in Dogs and Cats. Vet. Comp. Oncol. 2017, 15, 273–288. [Google Scholar] [CrossRef] [PubMed]
- Aupperle, H.; März, I.; Ellenberger, C.; Buschatz, S.; Reischauer, A.; Schoon, H.-A. Primary and Secondary Heart Tumours in Dogs and Cats. J. Comp. Pathol. 2007, 136, 18–26. [Google Scholar] [CrossRef] [PubMed]
- Stone, M.D.; Davies, R.K.; Kridel, H.A. Pericardial Effusion Secondary to Epicardial Undifferentiated Pleomorphic Sarcoma in a Young Cat. J. Feline Med. Surg. Open Rep. 2023, 9, 20551169231162484. [Google Scholar] [CrossRef] [PubMed]
- Gatt, R.; Casingena, L.; Pisani, D.; Agius, R.; Cassar, N. Undifferentiated Pleomorphic Sarcoma of the Spleen: A Case Report and Literature Review. Surg. Case Rep. 2023, 9, 166. [Google Scholar] [CrossRef] [PubMed]
- Herrold, E.J.; Donovan, T.A.; Hohenhaus, A.E.; Fox, P.R. Giant Pericardial-Occupying Compressive Primary Cardiac Hemangiosarcoma in a Cat. J. Vet. Cardiol. 2020, 29, 54–59. [Google Scholar] [CrossRef] [PubMed]
- Moeri-Schimmel, R.; Pras, E.; Desar, I.; Krol, S.; Braam, P. Primary Sarcoma of the Heart: Case Report and Literature Review. J. Cardiothorac. Surg. 2020, 15, 104. [Google Scholar] [CrossRef] [PubMed]
- Wiedner, E.B.; Isaza, R.; Lindsay, W.A.; Case, A.L.; Decker, J.; Roberts, J. Pericardial Mesothelioma in a Bengal Tiger (Panthera tigris). J. Zoo Wildl. Med. 2008, 39, 121–123. [Google Scholar] [CrossRef]
- Amati, M.; Venco, L.; Roccabianca, P.; Santagostino, S.F.; Bertazzolo, W. Pericardial Lymphoma in Seven Cats. J. Feline Med. Surg. 2014, 16, 507–512. [Google Scholar] [CrossRef] [PubMed]
- Machida, N.; Hirakawa, A.; Kanno, N.; Hori, Y. Cardiac Inflammatory Myofibroblastic Tumours in Three Young Adult Cats. J. Comp. Pathol. 2022, 199, 99–108. [Google Scholar] [CrossRef]
- Kharbush, R.J.; Hohenhaus, A.E.; Donovan, T.A.; Fox, P.R. B-Cell Lymphoma Invading and Compressing the Heart Base and Pericardium in a Cat. J. Vet. Cardiol. 2021, 35, 84–89. [Google Scholar] [CrossRef] [PubMed]
- Meuten, D.J. Tumors in Domestic Animals; John Wiley & Sons: Hoboken, NJ, USA, 2020; ISBN 0813821797. [Google Scholar]
- Dobromylskyj, M. Feline Soft Tissue Sarcomas: A Review of the Classification and Histological Grading, with Comparison to Human and Canine. Animals 2022, 12, 2736. [Google Scholar] [CrossRef] [PubMed]
- Hames-Fathi, S.; Nottley, S.W.G.; Pillay, N. Unravelling Undifferentiated Soft Tissue Sarcomas: Insights from Genomics. Histopathology 2022, 80, 109–121. [Google Scholar] [CrossRef] [PubMed]
- Kasahara, M.; Takahashi, T.; Nishimura, R.; Mochizuki, M.; Matsunaga, S.; Sasaki, N. Intracavity Chemotherapy for Two Dogs with Malignant Mesothelioma. Jpn. J. Vet. Anesth. Surg. 1999, 30, 43–48. [Google Scholar] [CrossRef]
- Ward, L.L.; Swanson, E. Pericardiectomy in the Canine Patient with Pericardial Effusion; College of Veterinary Medicine: Jacksonville, FL, USA, 2017. [Google Scholar]
- Case, J.B.; Maxwell, M.; Aman, A.; Monnet, E.L. Outcome Evaluation of a Thoracoscopic Pericardial Window Procedure or Subtotal Pericardectomy via Thoracotomy for the Treatment of Pericardial Effusion in Dogs. J. Am. Vet. Med. Assoc. 2013, 242, 493–498. [Google Scholar] [CrossRef]








| Parameters | Measurement |
|---|---|
| IVSd (mm) | 4.8 |
| LVIDd (mm) | 9.0 |
| LVPWd (mm) | 7.1 |
| IVSs (mm) | 5.9 |
| LVIDs (mm) | 4.0 |
| LVPWs (mm) | 8.8 |
| FS (%) | 56.1 |
| RVOTv (cm/s) | 58.0 |
| LVOTv (cm/s) | 65.5 |
| Ev (cm/s) | 91.0 |
| E/A | 1.80 |
| s’sep (cm/s) | 5.3 |
| e’sep (cm/s) | 6.5 |
| E/e’sep | 13.92 |
| s’lat (cm/s) | 4.8 |
| e’lat (cm/s) | 4.5 |
| E/e’ lat | 20.25 |
Disclaimer/Publisher’s Note: The statements, opinions and data contained in all publications are solely those of the individual author(s) and contributor(s) and not of MDPI and/or the editor(s). MDPI and/or the editor(s) disclaim responsibility for any injury to people or property resulting from any ideas, methods, instructions or products referred to in the content. |
© 2025 by the authors. Licensee MDPI, Basel, Switzerland. This article is an open access article distributed under the terms and conditions of the Creative Commons Attribution (CC BY) license (https://creativecommons.org/licenses/by/4.0/).
Share and Cite
Hirose, M.; Shimada, K.; Takeuchi, A.; Terai, K.; Yokoi, A.; Farag, A.; Hatanaka, A.; Hayashi, R.; Hosoki, M.; Azakami, D.; et al. Pericardial Sarcoma of Uncertain Origin in a Young Cat: A Case Report Highlighting Diagnostic Challenges and Thoracic Drainage in Palliative Management. Animals 2025, 15, 3486. https://doi.org/10.3390/ani15233486
Hirose M, Shimada K, Takeuchi A, Terai K, Yokoi A, Farag A, Hatanaka A, Hayashi R, Hosoki M, Azakami D, et al. Pericardial Sarcoma of Uncertain Origin in a Young Cat: A Case Report Highlighting Diagnostic Challenges and Thoracic Drainage in Palliative Management. Animals. 2025; 15(23):3486. https://doi.org/10.3390/ani15233486
Chicago/Turabian StyleHirose, Miki, Kazumi Shimada, Aki Takeuchi, Kazuyuki Terai, Aimi Yokoi, Ahmed Farag, Akari Hatanaka, Rio Hayashi, Marino Hosoki, Daigo Azakami, and et al. 2025. "Pericardial Sarcoma of Uncertain Origin in a Young Cat: A Case Report Highlighting Diagnostic Challenges and Thoracic Drainage in Palliative Management" Animals 15, no. 23: 3486. https://doi.org/10.3390/ani15233486
APA StyleHirose, M., Shimada, K., Takeuchi, A., Terai, K., Yokoi, A., Farag, A., Hatanaka, A., Hayashi, R., Hosoki, M., Azakami, D., Nabeta, R., Mitsui, I., Hamabe, L., & Tanaka, R. (2025). Pericardial Sarcoma of Uncertain Origin in a Young Cat: A Case Report Highlighting Diagnostic Challenges and Thoracic Drainage in Palliative Management. Animals, 15(23), 3486. https://doi.org/10.3390/ani15233486

