Bright-Field Multiplex Immunohistochemistry in Swine PCV2 and PRRSV Lymphadenopathies
Simple Summary
Abstract
1. Introduction
2. Materials and Methods
2.1. Caseload
2.2. Triple Immunohistochemical Stain
2.3. Image Analysis
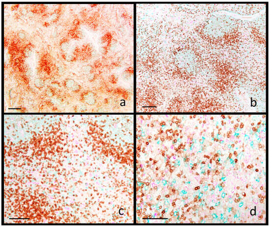
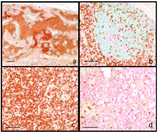
3. Results
4. Discussion
5. Conclusions
Supplementary Materials
Author Contributions
Funding
Institutional Review Board Statement
Informed Consent Statement
Data Availability Statement
Conflicts of Interest
Abbreviations
| sIHC | Single-label immunohistochemistry |
| mIHC | Multiplex immunohistochemistry |
| PCV2 | Porcine circovirus type 2 |
| PRRSV | Porcine reproductive and respiratory syndrome virus |
| PCV2-SD | Porcine circovirus type 2-systemic disease |
| FFPE | Formalin-fixed paraffin-embedded |
References
- Shi, S.R.; Shi, Y.; Taylor, C.R. Antigen retrieval immunohistochemistry: Review and future prospects in research and diagnosis over two decades. J. Histochem. Cytochem. 2011, 59, 13–32. [Google Scholar] [CrossRef] [PubMed]
- Sun, A.K.; Fan, S.; Choi, S.W. Exploring Multiplex Immunohistochemistry (mIHC) techniques and Histopathology image analysis: Current practice and potential for clinical incorporation. Cancer Med. 2025, 14, e70523. [Google Scholar] [CrossRef] [PubMed]
- Dubreil, L.; Ledevin, M.; Hervet, C.; Menard, D.; Philippe, C.; Michel, F.J.; Larcher, T.; Meurens, F.; Bertho, N. The Internal Conduit System of the Swine Inverted Lymph Node. Front. Immunol. 2022, 13, 869384. [Google Scholar] [CrossRef]
- D’Annunzio, G.; Ostanello, F.; Muscatello, L.V.; Orioles, M.; Jacumin, N.; Tommasini, N.; Leotti, G.; Luppi, A.; Mandrioli, L.; Sarli, G. Porcine circovirus type 2 and porcine reproductive and respiratory syndrome virus alone or associated are frequent intralesional detected viruses in porcine respiratory disease complex cases in Northern Italy. Front. Vet. Sci. 2023, 10, 1234779. [Google Scholar] [CrossRef]
- Sarli, G.; Mandrioli, L.; Laurenti, M.; Sidoli, L.; Cerati, C.; Rolla, G.; Marcato, P.S. Immunohistochemical characterisation of the lymph node reaction in pig post-weaning multisystemic wasting syndrome (PMWS). Vet. Immunol. immunopathol. 2001, 83, 53–67. [Google Scholar] [CrossRef]
- Lin, C.M.; Jeng, C.R.; Hsiao, S.H.; Liu, J.P.; Chang, C.C.; Chiou, M.T.; Tsai, Y.C.; Chia, M.Y.; Pang, V.F. Immunopathological characterization of porcine circovirus type 2 infection-associated follicular changes in inguinal lymph nodes using high-throughput tissue microarray. Vet. Microbiol. 2011, 149, 72–84. [Google Scholar] [CrossRef]
- Darwich, L.; Mateu, E. Immunology of porcine circovirus type 2 (PCV2). Virus Res. 2012, 164, 61–77. [Google Scholar] [CrossRef] [PubMed]
- Chianini, F.; Majó, N.; Segalés, J.; Domínguez, J.; Domingo, M. Immunohistochemical characterisation of PCV2 associate lesions in lymphoid and non-lymphoid tissues of pigs with natural postweaning multisystemic wasting syndrome (PMWS). Vet. Immunol. Immunopathol. 2003, 15, 63–75. [Google Scholar] [CrossRef]
- Caswell, J.F.; Williams, K.J. Chapter 5 Respiratory system. In Jubb, Kennedy and Palmer’s Pathology of Domestic Animals, 6th ed.; Elsevier: Saint Louis, MO, USA, 2016; Volume 2, pp. 465–591. [Google Scholar]
- Wang, G.; Song, T.; Yu, Y.; Liu, Y.; Shi, W.; Wang, S.; Rong, F.; Dong, J.; Liu, H.; Cai, X.; et al. Immune responses in piglets infected with highly pathogenic porcine reproductive and respiratory syndrome virus. Vet. Immunol. Immunopathol. 2011, 142, 170–178. [Google Scholar] [CrossRef]
- He, Y.; Wang, G.; Liu, Y.; Shi, W.; Han, Z.; Wu, J.; Jiang, C.; Wang, S.; Hu, S.; Wen, H.; et al. Characterization of thymus atrophy in piglets infected with highly pathogenic porcine reproductive and respiratory syndrome virus. Vet. Microbiol. 2012, 160, 455–462. [Google Scholar] [CrossRef]
- Valli, V.E.O.; Kiupel, M.; Bienzie, D.; Wood, R.D. Chapter 2 Hematopoietic system. In Jubb, Kennedy and Palmer’s Pathology of Domestic Animals, 6th ed.; Elsevier: Saint Louis, MO, USA, 2016; Volume 2, pp. 102–268. [Google Scholar]
- Brockmeier, S.L.; Loving, C.L.; Palmer, M.V.; Spear, A.; Nicholson, T.L.; Faaberg, K.S.; Lager, K.M. Comparison of Asian porcine high fever disease isolates of porcine reproductive and respiratory syndrome virus to United States isolates for their ability to cause disease and secondary bacterial infection in swine. Vet. Microbiol. 2017, 203, 6–17. [Google Scholar] [CrossRef] [PubMed]
- Pol, J.M.; van-Dijk, J.E.; Wensvoort, G.; Terpstra, C. Pathological, ultrastructural, and immunohistochemical changes caused by Lelystad virus in experimentally induced infections of mystery swine disease (synonm: Porcine epidemic abortion and respiratory syndrome (PEARS)). Vet. Q. 1991, 13, 137–143. [Google Scholar] [CrossRef] [PubMed]
- Halbur, P.G.; Paul, P.S.; Frey, M.L.; Landgraf, J.; Eernisse, K.; Meng, X.J.; Lum, M.A.; Andrews, J.J.; Rathje, J.A. Comparison of the pathogenicity of two US porcine reproductive and respiratory syndrome virus isolates with that of the lelystad virus. Vet. Pathol. 1995, 33, 159–170. [Google Scholar] [CrossRef] [PubMed]
- Lemke, C.D.; Haynes, J.S.; Spaete, R.; Adolphson, D.; Vorwald, A.; Lager, K.; Butler, J.E. Lymphoid hyperplasia resulting in immune dysregulation is caused by porcine reproductive and respiratory syndrome virus infection in neonatal pigs. J. Immunol. 2004, 172, 1916–1925. [Google Scholar] [CrossRef] [PubMed]
- Jung, J.-Y.; Kim, J.-H. Pathologic studies in lymph nodes of pigs infected with porcine circovirus type 2, porcine reproductive and respiratory syndrome virus. Korean J. Vet. Res. 2013, 53, 245–251. [Google Scholar] [CrossRef]
- Yaeger, M.J. The diagnostic sensitivity of immunohistochemistry for the detection of porcine reproductive and respiratory syndrome virus in the lung of vaccinated and unvaccinated swine. J. Vet. Diagn. Investig. 2002, 14, 15–19. [Google Scholar] [CrossRef]
- Evenson, D.; Gerber, P.F.; Xiao, C.T.; Halbur, P.G.; Wang, C.; Tian, D.; Ni, Y.Y.; Meng, X.J.; Opriessnig, T. A porcine reproductive and respiratory syndrome virus candidate vaccine based on the synthetic attenuated virus engineering approach is attenuated and effective in protecting against homologous virus challenge. Vaccine 2016, 34, 5546–5553. [Google Scholar] [CrossRef]
- Guarneri, F.; Tresoldi, E.T.; Sarli, G.; Boniotti, M.B.; Lelli, D.; Barbieri, I.; Bacci, B.; D’Annunzio, G.; Amadori, M. Protective immunity in swine induced by Porcine Circovirus 2b inactivated vaccines with different antigen payload. Vet. Microbiol. 2021, 252, 108887. [Google Scholar] [CrossRef]
- Segalés, J.; Domingo, M.; Chianini, F.; Majó, N.; Domínguez, J.; Darwich, L.; Mateu, E. Immunosuppression in postweaning multisystemic wasting syndrome affected pigs. Vet. Microbiol. 2004, 98, 151–158. [Google Scholar] [CrossRef]
- Lee, Y.; Lin, C.M.; Jeng, C.R.; Chang, H.W.; Chang, C.C.; Pang, V.F. The pathogenic role of torque teno sus virus 1 and 2 and their correlations with various viral pathogens and host immunocytes in wasting pigs. Vet. Microbiol. 2015, 180, 186–195. [Google Scholar] [CrossRef]
- Opriessnig, T.; Madson, D.M.; Roof, M.; Layton, S.M.; Ramamoorthy, S.; Meng, X.J.; Halbur, P.G. Experimental reproduction of Porcine Circovirus Type 2 (PCV2)-associated enteritis in pigs infected with PCV2 alone or concurrently with Lawsonia intracellularis or Salmonella typhimurium. J. Comp. Pathol. 2011, 145, 261–270. [Google Scholar] [CrossRef]
- Segalés, J.; Sibila, M. Revisiting Porcine Circovirus Disease Diagnostic Criteria in the Current Porcine Circovirus 2 Epidemiological Context. Vet. Sci. 2022, 9, 110. [Google Scholar] [CrossRef] [PubMed]
- Segalés, J. Porcine circovirus type 2 (PCV2) infections: Clinical signs, pathology and laboratory diagnosis. Virus Res. 2012, 164, 10–19. [Google Scholar] [CrossRef]
- Haines, D.M.; West, K.H. Immunohistochemistry: Forging the links between immunology and pathology. Vet. Immunol. Immunopathol. 2005, 108, 151–156. [Google Scholar] [CrossRef]
- Gupta, E.; Bhalla, P.; Khurana, N.; Singh, T. Histopathology for the diagnosis of infectious diseases. Indian. J. Med. Microbiol. 2009, 27, 100–106. [Google Scholar] [CrossRef] [PubMed]
- Hofman, P.; Lucas, S.; Jouvion, G.; Tauziède-Espariat, A.; Chrétien, F.; Cathomas, G. Pathology of infectious diseases: What does the future hold? Virchows Arch. 2017, 470, 483–492. [Google Scholar] [CrossRef] [PubMed]
- Grau-Roma, L.; Segalés, J. Detection of porcine reproductive and respiratory syndrome virus, porcine circovirus type 2, swine influenza virus and Aujeszky’s disease virus in cases of porcine proliferative and necrotizing pneumonia (PNP) in Spain. Vet. Microbiol. 2007, 119, 144–151. [Google Scholar] [CrossRef] [PubMed]
- Hansen, M.S.; Pors, S.E.; Bille-Hansen, V.; Kjerulff, S.K.J.; Nielsen, O.L. Occurrence and tissue distribution of porcine circovirus type 2 identified by immunohistochemistry in danish finishing pigs at slaughter. J. Comp. Pathol. 2010, 142, 109–121. [Google Scholar] [CrossRef]
- Hansen, M.S.; Pors, S.E.; Jensen, H.E.; Bille-Hansen, V.; Bisgaard, M.; Flachs, E.M.; Nielsen, O.L. An investigation of the pathology and pathogens associated with porcine respiratory disease complex in Denmark. J. Comp. Pathol. 2010, 143, 120–131. [Google Scholar] [CrossRef]
- Trang, N.T.; Hirai, T.; Yamamoto, T.; Matsuda, M.; Okumura, N.; Giang, N.T.H.; Lan, N.T.; Yamaguchi, R. Detection of porcine reproductive and respiratory syndrome virus in oral fluid from naturally infected pigs in a breeding herd. J. Vet. Sci. 2014, 15, 361–367. [Google Scholar] [CrossRef]
- Opriessnig, T.; Thacker, E.L.; Yu, S.; Fenaux, M.; Meng, X.J.; Halbur, P.G. Experimental reproduction of postweaning multisystemic wasting syndrome in pigs by dual infection with Mycoplasma hyopneumoniae and porcine circovirus type 2. Vet. Pathol. 2004, 41, 624–640. [Google Scholar] [CrossRef]
- Ramamoorthy, S.; Opriessnig, T.; Pal, N.; Huang, F.F.; Meng, X.J. Effect of an interferon-stimulated response element (ISRE) mutant of porcine circovirus type 2 (PCV2) on PCV2-induced pathological lesions in a porcine reproductive and respiratory syndrome virus (PRRSV) co-infection model. Vet. Microbiol. 2011, 147, 49–58. [Google Scholar] [CrossRef]
- Park, C.; Seo, H.W.; Park, S.J.; Han, K.; Chae, C. Comparison of porcine circovirus type 2 (PCV2)-associated lesions produced by co-infection between two genotypes of PCV2 and two genotypes of porcine reproductive and respiratory syndrome virus. J. Gen. Virol. 2014, 95, 2486–2494. [Google Scholar] [CrossRef]
- Ober, R.A.; Thissen, J.B.; Jaing, C.J.; Cino-Ozuna, A.G.; Rowland, R.R.R.; Niederwerder, M.C. Increased microbiome diversity at the time of infection is associated with improved growth rates of pigs after co-infection with porcine reproductive and respiratory syndrome virus (PRRSV) and porcine circovirus type 2 (PCV2). Vet. Microbiol. 2017, 208, 203–211. [Google Scholar] [CrossRef]
- Tan, W.C.C.; Nerurkar, S.N.; Cai, H.Y.; Ng, H.H.M.; Wu, D.; Wee, Y.T.F.; Lim, J.C.T.; Yeong, J.; Lim, T.K.H. Overview of multiplex immunohistochemistry/immunofluorescence techniques in the era of cancer immunotherapy. Cancer Commun. 2020, 40, 135–153. [Google Scholar] [CrossRef] [PubMed]
- Kumar, V.; Abbas, A.K.; Aster, J.C. Diseases of the Immune System. In Robbins & Cotran Pathologic Basis of Disease, 10th ed.; Elsevier: Amsterdam, The Netherlands, 2021; Chapter 6; pp. 189–266. [Google Scholar]
- Darwich, L.; Segalés, J.; Domingo, M.; Mateu, E. Changes in CD4(+), CD8(+), CD4(+) CD8(+), and immunoglobulin M-positive peripheral blood mononuclear cells of postweaning multisystemic wasting syndrome-affected pigs and age-matched uninfected wasted and healthy pigs correlate with lesions and porcine circovirus type 2 load in lymphoid tissues. Clin. Diagn. Lab. Immunol. 2002, 9, 236–242. [Google Scholar] [PubMed]
- Tizard, I.R. Veterinary Immunology, 10th ed.; Elsevier Saunders: Philadelphia, PA, USA, 2018. [Google Scholar]
- Bankhead, P.; Loughrey, M.B.; Fernández, J.A.; Dombrowski, Y.; McArt, D.G.; Dunne, P.D.; McQuaid, S.; Gray, R.T.; Murray, L.J.; Coleman, H.G.; et al. QuPath: Open source software for digital pathology image analysis. Sci. Rep. 2017, 7, 16878. [Google Scholar] [CrossRef] [PubMed]
- Shibahara, T.; Sato, K.; Ishikawa, Y.; Kadota, K. Porcine circovirus induces B lymphocyte depletion in pigs with wasting disease syndrome. JVMS 2000, 62, 1125–1131. [Google Scholar] [CrossRef] [PubMed]
- Kick, A.R.; Amaral, A.F.; Cortes, L.M.; Fogle, J.E.; Crisci, E.; Almond, G.W.; Käser, T. The T-Cell Response to Type 2 Porcine Reproductive and Respiratory Syndrome Virus (PRRSV). Viruses 2019, 11, 796. [Google Scholar] [CrossRef]
- Lamontagne, L.; Page, C.; Larochelle, R.; Longtin, D.; Magar, R. Polyclonal activation of B cells occurs in lymphoid organs from porcine reproductive and respiratory syndrome virus (PRRSV)-infected pigs. Vet. Immunol. Immunopathol. 2001, 82, 165–182. [Google Scholar] [CrossRef]
- Rodríguez-Gómez, I.M.; Gómez-Laguna, J.; Carrasco, L. Impact of PRRSV on activation and viability of antigen presenting cells. World J. Virol. 2013, 2, 146–151. [Google Scholar] [CrossRef] [PubMed]
- Cai, H.; Zhang, H.; Cheng, H.; Liu, M.; Wen, S.; Ren, J. Progress in PRRSV Infection and Adaptive Immune Response Mechanisms. Viruses 2023, 15, 1442. [Google Scholar] [CrossRef] [PubMed]
- Kawashima, M.; Narita, S. Yamada Changes in macrophage and lymphocyte subpopulations of lymphoid tissues from pigs infected with the porcine K reproductive and respiratory syndrome virus (PRRSV). Vet. Immunol. Immunopathol. 1999, 71, 257–262. [Google Scholar] [CrossRef]
- Harms, P.W.; Frankel, T.L.; Moutafi, M.; Rao, A.; Rimm, D.L.; Taube, J.M.; Thomas, D.; Chan, M.P.; Pantanowitz, L. Multiplex Immunohistochemistry and Immunofluorescence: A Practical Update for Pathologists. Mod. Pathol. 2023, 36, 100197. [Google Scholar] [CrossRef] [PubMed]
- Sarli, G.; D’Annunzio, G.; Gobbo, F.; Benazzi, C.; Ostanello, F. The role of pathology in the diagnosis of swine respiratory disease. Vet. Sci. 2021, 8, 256. [Google Scholar] [CrossRef]
- Osman, T.A.; Øijordsbakken, G.; Costea, D.E.; Johannessen, A.C. Successful triple immunoenzymatic method employing primary antibodies from same species and same immunoglobulin subclass. Eur. J. Histochem. 2013, 57, e22. [Google Scholar] [CrossRef]



Disclaimer/Publisher’s Note: The statements, opinions and data contained in all publications are solely those of the individual author(s) and contributor(s) and not of MDPI and/or the editor(s). MDPI and/or the editor(s) disclaim responsibility for any injury to people or property resulting from any ideas, methods, instructions or products referred to in the content. |
© 2025 by the authors. Licensee MDPI, Basel, Switzerland. This article is an open access article distributed under the terms and conditions of the Creative Commons Attribution (CC BY) license (https://creativecommons.org/licenses/by/4.0/).
Share and Cite
D’Annunzio, G.; Muscatello, L.V.; Tugnoli, C.; Pesaro, S.; Luppi, A.; Fiorentino, M.; Franceschini, T.; Grillini, A.; Rugna, G.; Sarli, G.; et al. Bright-Field Multiplex Immunohistochemistry in Swine PCV2 and PRRSV Lymphadenopathies. Animals 2025, 15, 1682. https://doi.org/10.3390/ani15121682
D’Annunzio G, Muscatello LV, Tugnoli C, Pesaro S, Luppi A, Fiorentino M, Franceschini T, Grillini A, Rugna G, Sarli G, et al. Bright-Field Multiplex Immunohistochemistry in Swine PCV2 and PRRSV Lymphadenopathies. Animals. 2025; 15(12):1682. https://doi.org/10.3390/ani15121682
Chicago/Turabian StyleD’Annunzio, Giulia, Luisa Vera Muscatello, Chiara Tugnoli, Stefano Pesaro, Andrea Luppi, Michelangelo Fiorentino, Tania Franceschini, Alessia Grillini, Gianluca Rugna, Giuseppe Sarli, and et al. 2025. "Bright-Field Multiplex Immunohistochemistry in Swine PCV2 and PRRSV Lymphadenopathies" Animals 15, no. 12: 1682. https://doi.org/10.3390/ani15121682
APA StyleD’Annunzio, G., Muscatello, L. V., Tugnoli, C., Pesaro, S., Luppi, A., Fiorentino, M., Franceschini, T., Grillini, A., Rugna, G., Sarli, G., & Mandrioli, L. (2025). Bright-Field Multiplex Immunohistochemistry in Swine PCV2 and PRRSV Lymphadenopathies. Animals, 15(12), 1682. https://doi.org/10.3390/ani15121682

