Simple Summary
Bone morphogenetic protein 2 (BMP2) is crucial in numerous biological processes including osteogenesis, adipogenesis, and myogenesis. Our previous study has demonstrated that a 12-base pair (bp) insertion/deletion (InDel) variant (namely g.14798187_14798188insTCCCTGCCCCCT) within intron 2 of the chicken BMP2 gene was significantly associated with chicken abdominal fat weight and abdominal fat percentage. However, the molecular mechanism underlying this association remains elusive. This study aimed to investigate whether the 12-bp InDel variant is a functional marker that affects the expression of the chicken BMP2 gene and potential regulatory mechanism using both a dual-luciferase reporter assay and electrophoretic mobility shift assay in vitro. The results revealed that the 12-bp InDel chicken BMP2 gene variant is a functional variant affecting fat deposition in chickens, which may also partially regulate BMP2 gene expression by affecting the binding of transcription factor NF-κB to the BMP2 gene. The findings will offer a potential functional molecular marker for improving the abdominal fat content of chickens in molecular breeding such as genome editing and genomic selection. Furthermore, the findings will also contribute to the understanding of the underlying roles of the BMP2 gene in the growth and development of chicken adipose tissues.
Abstract
In this study, we employed a dual-luciferase reporter assay and electrophoretic mobility shift analysis (EMSA) in vitro to explore whether a 12-base pair (bp) insertion/deletion (InDel) variant (namely g.14798187_14798188insTCCCTGCCCCCT) within intron 2 of the chicken BMP2 gene, which was significantly associated with chicken abdominal fat weight and abdominal fat percentage, is a functional marker and its potential regulatory mechanism. The reporter analysis demonstrated that the luciferase activity of the deletion allele was extremely significantly higher than that of the insertion allele (p < 0.01). A bioinformatics analysis revealed that compared to the deletion allele, the insertion allele created a transcription factor binding site of nuclear factor-kappa B (NF-κB), which exhibited an inhibitory effect on fat deposition. A dual-luciferase reporter assay demonstrated that the inhibitory effect of NF-κB on the deletion allele was stronger than that on the insertion allele. EMSA indicated that the binding affinity of NF-κB for the insertion allele was stronger than that for the deletion allele. In conclusion, the 12-bp InDel chicken BMP2 gene variant is a functional variant affecting fat deposition in chickens, which may partially regulate BMP2 gene expression by affecting the binding of transcription factor NF-κB to the BMP2 gene.
1. Introduction
In recent decades, continuous selective breeding has substantially increased the growth rate of broilers [1]. However, rapid growth in broilers causes excessive abdominal fat deposition [2], which not only reduces feed utilization, immunity, and reproductive performance, but also increases the fat content of chicken meat, which increases the risk of cardiovascular diseases among consumers [3,4,5,6]. In addition, chicken abdominal fat plays a decisive role in chicken carcass quality. Hence, preventing excessive fat deposition in broilers, and improving feed utilization and carcass quality of broilers are of utmost importance in the poultry industry [7,8,9,10]. The selection of low-fat and grain-saving broilers has become a pivotal goal of broiler breeding worldwide [11].
Bone morphogenetic protein 2 (BMP2) is a member of bone morphogenetic proteins that belongs to the transforming growth factor β superfamily. BMP2 is a secreted protein with a highly conserved sequence [12]. It was unexpectedly discovered in 1993 that the BMP2 gene not only differentiates pluripotent stem cells into bone cells but also differentiates them into adipocytes [13]. Subsequently, Devaney et al. reported a single nucleotide protein in the 3′ untranslated region of the human BMP2 gene and confirmed that the variant is significantly related to the formation of human subcutaneous fat [14]. Several studies have demonstrated that BMP2 can promote adipogenesis by enhancing the transcriptional activity of PPARγ [15,16].
Numerous studies have exhibited that BMP2 plays an important role in regulating lipogenesis and lipid metabolism in agricultural animals. In mammals, BMP2 promotes the differentiation of porcine preadipocytes [17,18] and regulates fat deposition in sheep tails to alter tail types [19,20,21,22]. The expression of BMP2 is high in bovine adipose tissues, and the exogenous addition of BMP2 can facilitate the proliferation of bovine preadipocytes [23]. In poultry, BMP2 affects duck abdominal fat deposition and is regulated by related long non-coding RNA [24]. In our previous study, BMP2 was highly expressed in chicken abdominal fat tissues, and a 12-base pair (bp) insertion/deletion (InDel) variant (named g.14798187_14798188insTCCCTGCCCCCT) within intron 2 of the BMP2 gene was indicated to be significantly associated with abdominal fat weight (AFW) and percentage of abdominal fat (AFP) in chickens [25,26].
This study aimed to investigate whether the 12-bp InDel is a functional variant affecting the expression of the chicken BMP2 gene and its potential regulatory mechanism employing a dual-luciferase reporter assay and electrophoretic mobility shift assay (EMSA) in vitro.
2. Materials and Methods
2.1. Statement
All animal experiments were conducted per the guidelines for the care and use of experimental animals formulated by the Ministry of Science and Technology of the People’s Republic of China (Approval number: 2006-398), and the study was approved by the Experimental Animal Management Committee of Northeast Agricultural University. The construction and transfection of plasmids were conducted per the directions of the Regulations on Safety Management of Agricultural Genetically Modified Organisms formulated by China (revised version 2017).
2.2. Experimental Animals and Sample Collection
Two broiler divergent selective lines for abdominal fat content (NEAUHLF) have been constructed at Northeast Agricultural University since 1996, using the Arbor Acres broilers as the breeding material via plasma very-low-density lipoprotein level and AFP [AFP = AFW/body weight at 7 weeks of age (BW7)] [27,28]. From the fourth generation, the difference in AFP between the two lines was extremely significant [28]. In the 23rd generation, the AFP of the fat line (6.12%) is 9.87 times higher than that of the lean line (0.62%) [7].
In the RNA experiment, we collected abdominal fat tissues from 7-week-old male chickens (fat line, n = 5; lean line, n = 5) of the 23rd generation of NEAUHLF. The samples were stored at −80 °C until they were removed for RNA extraction.
2.3. Construction of Luciferase Reporter Vector
Based on the chicken BMP2 gene (NC_052533.1) in GenBank, we synthesized DNA fragments with and without 12-bp sequence for the InDel variant by GENEWIZ (Suzhou, China) and separately cloned the DNA fragment into the upstream of SV40 promoter of pGL3-promoter vector. The pGL3-promoter vectors containing deletion and insertion alleles were named pGL3-BMP2-DD and pGL3-BMP2-II, respectively.
2.4. Bioinformatics Analysis
To investigate the potential molecular mechanism of the 12-bp InDel variant of the BMP2 gene with abdominal fat deposition, we analyzed the transcription factor binding site within the 24-bp centered on the variant using Alibaba (http://gene-regulation.com accessed on 5 November 2022).
2.5. Designing of Primers
Primer Premier 5.0 software (Premier, Palo Alto, CA, USA) was used to design primers for nuclear factor-kappa B (NF-κB) and β-actin, based on their GenBank accession numbers (Table 1). The primer of NF-κB was used to construct a eukaryotic expression vector, and β-actin was used in Western blotting as a load control.
Table 1.
Primers used in this study.
2.6. Cell Culture
Two cell lines were used in this experiment: one was the DF1 cell line, which is widely used in chicken cell and molecular research [29,30], and the other was immortalized chicken preadipocyte cell line (ICP-1) [31]. The DF1 cell line was used in a dual-luciferase reporter assay, Western blot, and EMSA. The ICP-1 cell line was used in a dual-luciferase reporter assay. Cells were cultured in DMEM/F12 medium (Gibco, New York, NY, USA) supplemented with 10% fetal bovine serum (Gibco), 100 U/mL penicillin, and 100 mg/mL streptomycin (Beyotime Institute of Biotechnology, Shanghai, China) and incubated in an incubator at 37 °C with 90% relative humidity and 5% CO2.
2.7. Construction and Validation of Eukaryotic Expression Vector
The total RNA was extracted from chicken abdominal fat tissues using the Trizol method (Invitrogen, Carlsbad, CA, USA) and reverse-transcribed into complementary DNA (cDNA) (Takara, Dalian, China). Using mixed cDNA as a template, the coding sequence (CDS) fragment of NF-κB was amplified by PCR with Phanta® Max Super-Fidelity DNA Polymerase (Vazyme biotech Co., Ltd., Nanjing, China) and the primers, which are provided in Table 1. NF-κB expression plasmid was constructed by cloning the CDS fragment into pCMV-HA vector (Promega, Madison, WI, USA) using Cloning and Expression II one-step cloning kit (Vazyme Biotech Co, Ltd.). Following double digestion with EcoRI and XhoI (Takara), the recombinant plasmid was named pCMV-NF-κB.
To verify whether the NF-κB eukaryotic expression vector can be expressed normally, pCMV-NF-κB and pCMV-HA were separately transferred into chicken DF1 cells, and the total cell proteins was extracted 48 h later. The total cell proteins and 6× denaturing loading buffer were mixed and boiled for 5 min. Subsequently, the mixture was separated using 12% sodium dodecyl sulfate-polyacrylamide gel electrophoresis and transferred to a nitrocellulose filter membrane (Biosharp, Hefei, China). Western blotting was conducted by an antibody that recognizes HA-tag (1:1000; ZSGB-BIO, Beijing, China), and a secondary horseradish peroxide-conjugated antibody was added to enhance chemiluminescence (ZSGB-BIO).
2.8. Luciferase Reporter Assay
DF1 and ICP-1 cells were inoculated in 12-well plates, respectively, to transfect the luciferase report plasmids. After washing with phosphate-buffered saline at 70–80% confluence, different allele vectors (pGL3-BMP2-II and pGL3-BMP2-DD) or the pGL3-promoter vector, and the pRL-TK Renilla luciferase vector (Promega) were co-transfected into the cells using Lipofectamine 2000 (Invitrogen). DF1 and ICP-1 cells were inoculated in 24-well plates to detect the effect of NF-κB on the activity of pGL3-BMP2-II and pGL3-BMP2-DD reporter vectors, respectively. When the fusion rate reached 70–80%, pGL3-BMP2-II or pGL3-BMP2-DD, pCMV-NF-κB expression vector or pCMV-HA, and pRL-TK Renilla luciferase vector were co-transfected into cells using Lipofectamine 2000. The pRL-TK Renilla luciferase vector was used as an internal control. Following transfection, the cells were cultured in Opti-MEM® for 6 h and further replaced with DMEM/F12 medium supplemented with 10% fetal bovine serum. Following 48 h of transfection, cells were collected, and the activities of Renilla luciferase (internal reference) and firefly luciferase were measured per the instructions of the dual-luciferase reporter assay system (Promega) [32]. Firefly luciferase activity was normalized to that of Renilla luciferase [33]. The reporter gene activity of different alleles was analyzed and compared.
2.9. Electrophoretic Mobility Shift Analysis
Biotin-labeled probes were prepared as indicated in Table 2. pCMV-NF-κB was transferred into DF1 cells to prepare the nuclear extracts interacting with the biotin probes. After 48 h, the nuclear extracts were collected using NE-PER nuclear and cytoplamic extraction reagents (Thermo, Waltham, MA, USA). The nuclear extracts and biotin-labeled DNA probes were incubated at room temperature for 20 min and then separated by electrophoresis on a 5% non-denaturing polyacrylamide gel with 0.5× Tris-borate ethylenediaminetetraacetic acid running buffer (Beyotime Institute of Biotechnology). DNA–protein complexes were transferred to the positively charged nylon film (Beyotime Institute of Biotechnology) and further cross-linked with a UV cross-linker agent for 1 min. The signal was detected following the manufacturer’s instructions provided with the LightShift chemiluminescence EMSA kit (Thermo). For the competition assay, the nuclear extracts and unlabeled probes were incubated at room temperature for 10 min prior to the addition of biotin-labeled oligonucleotides. The EMSA experiment was repeated twice.
Table 2.
Probes used in this study.
2.10. Statistical Analysis
The experimental data were expressed as mean ± standard deviation (SD). JMP 11.0 (SAS Inst. Inc., Cary, NC, USA) was employed to compare the differences between the two groups using Student’s t-test. p < 0.05 or p < 0.01 was considered statistically significant or extremely significant, respectively.
3. Results
3.1. Luciferase Reporter Assay
Dual-luciferase reporter plasmids with different alleles (pGL3-BMP2-DD and pGL3-BMP2-II) were constructed to determine whether the 12-bp InDel variant of the chicken BMP2 gene is functional. Further, pGL3-BMP2-DD and pGL3-BMP2-II were transfected into chicken DF1 and ICP-1 cells, respectively. The results demonstrated a significant difference in the dual-luciferase reporter activity of different alleles in two cell lines, and the activity of pGL3-BMP2-DD was extremely significantly higher than that of pGL3-BMP2-II (p < 0.01, Figure 1).
Figure 1.
Luciferase activity of different alleles of Bone morphogenetic protein 2 (BMP2) gene 12-base pair (bp) insertion/deletion (InDel) in DF1 and ICP-1 cells. (A) luciferase activity assay in DF1 cells. (B) luciferase activity assay in ICP-1 cells. Following 48 h of transfection, cells were collected, and the activities of Renilla luciferase (internal reference) and firefly luciferase were measured per the instructions of the dual-luciferase reporter assay system (Promega) [32]. The difference in values of relative luminous units (RLUs) was compared between different alleles of the 12-bp InDel and the pGL3-promoter vector. Results are demonstrated as fold change over pGL3-promoter activity. Values are indicated as the mean ± SD (n = 3). Note: ** indicates an extremely significant difference (p < 0.01).
3.2. Bioinformatics Analysis
We predicted the impact of the 12-bp InDel variant of the BMP2 gene on transcription factor binding sites using Alibaba online software (http://gene-regulation.com accessed on 5 November 2022). The results demonstrated that there were many transcription factor binding sites for different alleles, such as c-Rel, GATA binding protein-1, Octamer transcription factor 1 (Oct-1), Specific protein 1 (Sp1), Early growth response protein 2 (Krox-20), etc., (Figure 2). Compared with the deletion allele, the insertion allele not only created a transcription factor binding site of NF-κB but also increased the number of transcription factor binding sites such as Krox-20 and Sp1. A great deal of evidence indicates that NF-κB plays an inhibitory role in fat deposition [33,34,35,36] and that Krox-20 and Sp1 promote adipogenesis [37,38,39,40,41]. Additionally, studies on the activity of different alleles implied that the insertion allele may bind to the inhibitory transcription factor to reduce activity (Figure 1). Consequently, we hypothesized that transcription factor NF-κB created by the 12-bp InDel variant may regulate BMP2 gene expression. To confirm this speculation, we subsequently conducted a reporter assay and EMSA in vitro.
Figure 2.
Changes in transcription factor binding sites at the 12-bp InDel variant of BMP2 gene. (A) the insertion allele. (B) the deletion allele. Inserted sequence is indicated in yellow. Increased number of transcription factors are indicated in red. Created transcription factors are indicated in green.
3.3. Construction of Transcription factor NF-κB Eukaryotic Expression Vector
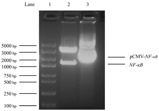
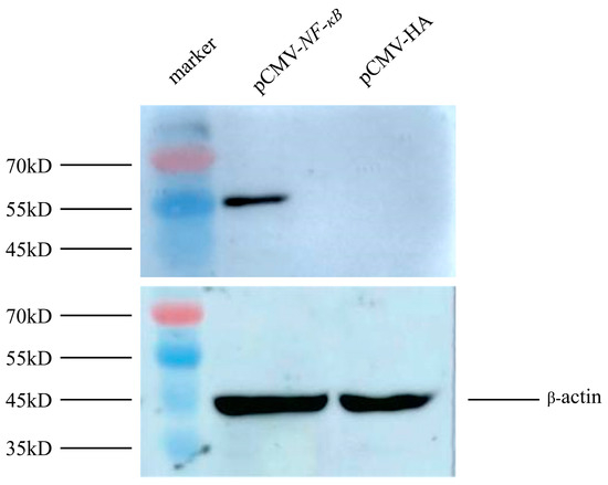
To detect the impact of NF-κB on the BMP2 gene, the eukaryotic expression plasmid pCMV-NF-κB was first constructed and verified using double-restriction enzyme digestion (Figure 3). Further, pCMV-NF-κB and pCMV-HA vectors were transferred into DF1 cells, respectively, and the total protein of cells was collected after 48 h. The HA-labeled antibody was used as the main antibody, and β-actin was used as an internal reference. The expression effect of NF-κB in cells was analyzed using Western blot. The results revealed that DF1 cells transfected with pCMV-NF-κB expressed a specific protein with a size similar to that of the expected target protein, whereas DF1 cells transfected with pCMV-HA did not express any proteins, suggesting that NF-κB can be overexpressed in DF1 cells (Figure 4).
Figure 3.
Identification of pCMV-nuclear factor-kappa B (NF-κB) plasmid by restriction enzyme digestion via EcoRI and XhoI double enzyme digestion. Lane 1: Marke. Lane 2: pCMV-NF-κB plasmid was digested with EcoRI and XhoI double enzymes. Lane 3: pCMV-NF-κB plasmid that was not digested with EcoRI and XhoI double enzymes.
Figure 4.
Western blot used to confirm the protein expression of pCMV-NF-κB eukaryotic expression vector in DF1 cells.
3.4. Transcription Factor NF-κB Regulates the Expression of BMP2 Gene via the 12-bp InDel Variation
We co-transfected pCMV-NF-κB or pCMV-HA, pGL3-BMP2-II or pGL3-BMP2-DD, and the pRL-TK Renilla luciferase vector into DF1 and ICP-1 cells to further examine the effect of NF-κB on the transcriptional activity of different alleles of the BMP2 gene. The results demonstrated that the transcription factor NF-κB significantly inhibited the activity of pGL3-BMP2-II and pGL3-BMP2-DD luciferase reporter vectors in DF1 and ICP-1 cells (p < 0.05), and the inhibitory effect on pGL3-BMP2-DD was stronger than that on pGL3-BMP2-II (Figure 5).
Figure 5.
Regulation of NF-κB on BMP2 gene 12-bp InDel variant in DF1 cells and ICP-1 cells. (A) DF1 cells were co-transfected with pGL3-BMP2-II or pGL3-BMP2-DD luciferase reporter vector and NF-κB eukaryotic expression vector. The transfection of pGL3-BMP2-II or pGL3-BMP2-DD luciferase reporter vector and pCMV-HA empty vector were used as control. (B) co-transfection of ICP-1 cells. Values are indicated as the mean ± SD (n = 6). Note: * indicates a significant difference (p < 0.05); ** indicates an extremely significant difference (p < 0.01).
3.5. Electrophoretic Mobility Shift Analysis
To ascertain whether the transcription factor NF-κB specifically binds to the transcription factor binding site on the chicken BMP2 gene, biotin 5′ labeled single-stranded oligonucleotide probes at the NF-κB binding site were synthesized (Table 2). The single-stranded oligonucleotide probe was annealed to generate a double-stranded probe. The eukaryotic expression vector pCMV-NF-κB was transfected into DF1 cells, and the nuclear protein was extracted following 48 h for EMSA. The results demonstrated that biotin-labeled probes with the insertion allele and the DF1 nuclear protein overexpressing NF-κB produced a DNA-protein complex band (Figure 6; Lane 2). DNA-protein complex bands were weakened when 50-fold unlabeled insertion allele and deletion allele probes were added, respectively. However, the DNA-protein complex band with the 50-fold unlabeled insertion allele probes was more attenuated than the DNA-protein complex band with the 50-fold unlabeled deletion allele probes (Figure 6; Lanes 3, 4). Therefore, compared with the deletion allele, the insertion allele demonstrated stronger binding affinity with nuclear extracts rich in NF-κB. EMSA indicated that NF-κB can specifically bind to the variant.
Figure 6.
Analysis of binding of different alleles of BMP2 gene with NF-κB using EMSA. Only biotin-labeled insertion allele probes were available (lane 1); binding of the biotin-labeled insertion allele probes to NF-κB nuclear protein (lane 2); 50-fold unlabeled insertion allele probes competed with biotin-labeled insertion allele probes (lane 3); 50-fold unlabeled deletion allele probes competed with biotin-labeled insertion allele probes (lane 4).
4. Discussion
BMP2 is widely involved in biological processes such as osteogenesis [42,43,44], adipogenesis [45,46], and myogenesis [47,48,49]. Our previous studies have demonstrated that the chicken BMP2 gene is highly expressed in abdominal fat tissues, and a 12-bp InDel within intron 2 of the chicken BMP2 gene was significantly associated with AFW and AFP, indicating that the BMP2 gene may impact chicken abdominal fat deposition through the 12-bp InDel variant [25,26]. To investigate whether the variant is functional, we performed a luciferase reporter assay in vitro. Our study showed that in both DF1 and ICP-1 cells, the luciferase activity of the deletion allele was significantly higher than that of the insertion allele (p < 0.01, Figure 1), indicating that the variant may be functional and can regulate the BMP2 gene expression in vitro. Notably, the luciferase reporter assay was performed in two different cell types (DF1 and ICP-1), which validated the reliability of the results.
A non-coding sequence, called an intron, can be transcribed into heterogeneous nuclear RNA (hnRNA) in eukaryotic DNA, albeit it is removed by splicing during the production of mRNA. Intronic variants of genes have been reported to regulate gene transcription by modifying transcription factor binding sites [33,50,51,52]. For instance, Meyer et al. discovered that two SNPs within intron 2 of the fibroblast growth factor receptor 2 (FGFR2) gene regulate FGFR2 gene expression by impacting the binding affinity of transcription factors Oct-1/Runt-related transcription factor 2 and CCAAT enhancer binding proteins, and thereby influence the risk of human breast cancer [53]. In addition, it has been reported that a G-to-A variant within intron 3 of the insulin-like growth factor II (IGF2) gene elevates IGF2 expression in skeletal muscle and lean meat yield by affecting the transcription factor binding site of Zinc finger, BED-type containing 6 [54,55,56]. Transcription factors, which operate as transacting factors, are the primary regulators of gene expression. They regulate the transcription of target genes by binding with DNA [57,58]. We used bioinformatics analysis to explore the molecular mechanism of the 12-bp InDel variant, which demonstrated that the insertion allele in intron 2 of chicken BMP2 can generate transcription factor binding sites of NF-κB, Krox-20, and Sp1 (Figure 2). NF-κB is a transcription factor that regulates the expression of various genes [33,59]. It is retained in the cytoplasm by interacting with inhibitory proteins of the inhibitory factor kappa (IκB) family and is present in many different types of cells [33,60,61]. Some studies have indicated that NF-κB exhibits an inhibitory effect on fat deposition in mouse [34], humans [35,36], and chickens [33]. This implies that NF-κB may inhibit BMP2 transcriptional activity by binding to the insertion allele, which is consistent with the fact that the insertion allele’s activity was lower than that of the deletion allele (Figure 1). Hence, we hypothesized that the variant affects BMP2 gene transcription by altering the binding ability of the BMP2 gene to the transcription factor NF-κB, thus regulating abdominal fat deposition in chicken.
In this study, we confirmed that NF-κB significantly inhibited the transcriptional efficiency of different alleles in vitro, and the inhibitory effect for the deletion allele was stronger than that for the insertion allele (Figure 5). EMSA revealed that NF-κB specifically bound to the BMP2 gene and that the binding affinity of NF-κB for the insertion allele was stronger than that for the deletion allele (Figure 6), which indicated that the 12-bp InDel variant may regulate BMP2 gene expression by altering the binding ability of BMP2 to the transcription factor NF-κB, thereby regulating abdominal fat deposition in chickens. However, it should be noted that the EMSA results suggested that the inhibitory effect of NF-κB on the insertion allele is stronger than that on the deletion allele, which is inconsistent with the findings demonstrating the impact of NF-κB on the activity of different alleles (Figure 5). The discrepancy may be attributed to the following three reasons: First, transcription factors can regulate gene expression not only directly by interacting with regulatory elements but also indirectly by interacting with other regulators [62,63]. Thus, we hypothesized that even though the deletion allele does not have a binding site for NF-κB, it plays an indirect role in the regulation of different allele activities via its interaction with other unknown factors, thus inhibiting the activity of the deletion allele. Second, a bioinformatics analysis indicated that the insertion allele creates transcription factor NF-κB binding sites while increasing the number of transcription factor binding sites such as Krox-20 and Sp1 (Figure 2). NF-κB is involved in the negative regulation of fat deposition [33,34,35,36], whereas Krox-20 and Sp1 have a positive impact on adipogenesis [37,38,39,40]. Hence, the possibility that Krox-20 and/or Sp1 may also be involved in the regulation of the transcriptional activity of the insertion allele is not ruled out, causing less reduction in the activity of the insertion allele compared to the deletion allele (Figure 5). Third, the 12-bp InDel variant is located in intron 2, close to the exon, and therefore, it may affect the expression of the BMP2 gene by altering the splicing site of the mRNA [64,65,66,67,68]. Altogether, further investigation is needed to completely unveil the regulatory mechanism of the 12-bp InDel variant of BMP2 from two facets such as determining more transcription factors and alternative splicing.
5. Conclusions
The g.14798187_14798188insTCCCTGCCCCCT within intron 2 of the chicken BMP2 gene is a functional variant which may at least partially regulate the expression of the BMP2 gene by affecting the binding of transcription factor NF-κB to the BMP2 gene. Our findings will provide a potential functional molecular marker for improving the abdominal fat content of chickens in molecular breeding such as genome editing and genomic selection. At the same time, our findings maybe contribute to the understanding of the underlying roles of the BMP2 gene in the growth and development of chicken adipose tissues.
Author Contributions
Conceptualization, S.W., L.L. and H.L.; Methodology, M.Y. and Z.L.; Investigation, M.Y., X.L., M.W. and Z.L.; Data curation, M.Y.; Funding acquisition, S.W. and H.L.; Supervision, S.W.; Writing—original draft, M.Y.; Writing—review and editing, M.Y., X.L., M.W., L.L. and S.W.; Formal analysis, M.Y.; Project administration, S.W.; Resources, H.L. and S.W.; Validation, M.Y. and X.L. All authors have read and agreed to the published version of the manuscript.
Funding
This research was funded by the earmarked fund for CARS-41, the National Natural Science Foundation of China (No. 31572394), and the Joint Guidance Project of Heilongjiang Natural Science Foundation (No. LH2021C036).
Institutional Review Board Statement
With the approval of the Experimental Animal Management Committee of Northeast Agricultural University, all animal experiments were performed following the guideline for the care and use of experimental animals formulated by the Ministry of science and technology of the people’s Republic of China (Approval number: 2006-398, date of approval 9 February 2021).
Informed Consent Statement
Not applicable.
Data Availability Statement
Not applicable.
Acknowledgments
The authors thank the members of our Poultry Breeding Group at the Northeast Agricultural University for their assistance with managing the birds, and also thank Fan Xiao and Pingtao Luo for providing us with important information about broiler breeding. At the same time, the authors thank all the reviewers who participated in the review for its linguistic assistance during the preparation of this manuscript.
Conflicts of Interest
The authors declare no conflict of interest.
References
- Chen, L.; Zhang, T.; Zhang, S.; Huang, J.; Zhang, G.; Xie, K.; Wang, J.; Wu, H.; Dai, G. Identification of long non-coding RNA-associated competing endogenous RNA network in the differentiation of chicken preadipocytes. Genes 2019, 10, 795. [Google Scholar] [CrossRef]
- Moreira, G.C.M.; Boschiero, C.; Cesar, A.S.M.; Reecy, J.M.; Godoy, T.F.; Pértille, F.; Ledur, M.C.; Moura, A.S.A.M.T.; Garrick, D.J.; Coutinho, L.L. Integration of genome wide association studies and whole genome sequencing provides novel insights into fat deposition in chicken. Sci. Rep. 2018, 8, 16222. [Google Scholar] [CrossRef]
- Moreira, G.C.M.; Boschiero, C.; Cesar, A.S.M.; Reecy, J.M.; Godoy, T.F.; Trevisoli, P.A.; Cantão, M.E.; Ledur, M.C.; Ibelli, A.M.G.; Peixoto, J.D.O.; et al. A genome-wide association study reveals novel genomic regions and positional candidate cenes for fat deposition in broiler chickens. BMC Genom. 2018, 19, 374. [Google Scholar]
- Zhang, X.Y.; Wu, M.Q.; Wang, S.Z.; Zhang, H.; Du, Z.Q.; Li, Y.M.; Cao, Z.P.; Luan, P.; Leng, L.; Li, H. Genetic selection on abdominal fat content alters the reproductive performance of broilers. Animal 2018, 12, 1232–1241. [Google Scholar] [CrossRef]
- Guo, Y.; Wang, Y.; Liu, Z.; Guo, X.; Deng, Y.; Ouyang, Q.; Liu, H.; Hu, S.; Hu, B.; Li, L.; et al. Effects of rearing systems on production performance, antioxidant capacity and immune status of meat ducks at different ages. Animal 2021, 15, 100199. [Google Scholar] [CrossRef]
- Milićević, D.; Vranić, D.; Mašić, Z.; Parunović, N.; Trbović, D.; Nedeljković-Trailović, J.; Petrović, Z. The role of total fats, saturated/unsaturated fatty acids and cholesterol content in chicken meat as cardiovascular risk factors. Lipids Health Dis. 2014, 13, 42. [Google Scholar]
- Chen, C.; Su, Z.Y.; Li, Y.M.; Luan, P.; Wang, S.Z.; Zhang, H.; Xiao, F.; Guo, H.S.; Cao, Z.P.; Li, H.; et al. Estimation of the genetic parameters of traits relevant to feed efficiency: Result from broiler lines divergent for high or low abdominal fat content. Poult. Sci. 2021, 100, 461–466. [Google Scholar] [CrossRef]
- Willems, O.W.; Miller, S.P.; Wood, B.J. Aspects of selection for feed efficiency in meat producing poultry. Worlds Poult. Sci. J. 2013, 69, 77–88. [Google Scholar] [CrossRef]
- Fu, Q.H.; Wang, P.; Zhang, Y.R.; Wu, T.; Huang, J.P.; Song, Z.Y. Effects of dietary inclusion of asiaticoside on growth performance, lipid metabolism, and gut microbiota in Yellow-Feathered Chickens. Animals 2023, 13, 2653. [Google Scholar]
- Chen, Y.; Akhtar, M.; Ma, Z.Y.; Hu, T.W.; Liu, Q.Y.; Pan, H.; Zhang, X.L.; Nafady, A.A.; Ansari, A.R.; Abdel-Kafy, E.-S.M.; et al. Chicken cecal microbiota reduces abdominal fat deposition by regulating fat metabolism. NPJ Biofilms Microbiomes 2023, 9, 28. [Google Scholar]
- Zerehdaran, S.; Vereijken, A.L.J.; Van Arendonk, J.A.M.; Van Der Waaijt, E.H. Estimation of genetic parameters for fat deposition and carcass traits in broilers. Poult. Sci. 2004, 83, 521–525. [Google Scholar] [CrossRef] [PubMed]
- Urist, M.R. Bone: Formation by autoinduction. Science 1965, 150, 893–899. [Google Scholar] [CrossRef] [PubMed]
- Ahrens, M.; Ankenbauer, T.; Schröder, D.; Hollnagel, A.; Mayer, H.; Gross, G. Expression of human Bone morphogenetic proteins-2 or -4 in murine mesenchymal progenitor C3H10T½ cells induces differentiation into distinct mesenchymal cell lineages. DNA Cell Biol. 1993, 12, 871–880. [Google Scholar] [PubMed]
- Devaney, J.M.; Tosi, L.L.; Fritz, D.T.; Gordish-Dressman, H.A.; Jiang, S.; Orkunoglu-Suer, F.E.; Gordon, A.H.; Harmon, B.T.; Thompson, P.D.; Clarkson, P.M.; et al. Differences in fat and muscle mass associated with a functional human polymorphism in a post-transcriptional BMP2 gene regulatory element. J. Cell. Biochem. 2009, 107, 1073–1082. [Google Scholar]
- Hata, K.; Nishimura, R.; Ikeda, F.; Yamashita, K.; Matsubara, T.; Nokubi, T.; Yoneda, T. Differential roles of Smad1 and P38 kinase in regulation of peroxisome proliferator-activating receptor γ during bone morphogenetic protein 2-induced adipogenesis. Mol. Biol. Cell. 2003, 14, 545–555. [Google Scholar]
- Denton, N.F.; Eghleilib, M.; Al-Sharifi, S.; Todorčević, M.; Neville, M.J.; Loh, N.; Drakesmith, A.; Karpe, F.; Pinnick, K.E. Bone morphogenetic protein 2 is a depot-specific regulator of human adipogenesis. Int. J. Obes. 2019, 43, 2458–2468. [Google Scholar]
- Wang, S.B.; Zhou, G.X.; Shu, G.; Wang, L.N.; Zhu, X.T.; Gao, P.; Xi, Q.Y.; Zhang, Y.L.; Yuan, L.; Jiang, Q.Y. Glucose utilization, lipid metabolism and BMP-Smad signaling pathway of porcine intramuscular preadipocytes compared with subcutaneous preadipocytes. Cell. Physiol. Biochem. 2013, 31, 981–996. [Google Scholar] [CrossRef]
- Li, S.; Chen, C.Z.; Chai, M.L.; Wang, J.W.; Yuan, B.; Gao, Y.; Jiang, H.; Zhang, J.B. Identification and analysis of lncRNAs by whole-transcriptome sequencing in porcine preadipocytes induced by BMP2. Cytogenet. Genome Res. 2019, 158, 133–144. [Google Scholar] [CrossRef]
- Yuan, Z.; Liu, E.; Liu, Z.; Kijas, J.W.; Zhu, C.; Hu, S.; Ma, X.; Zhang, L.; Du, L.; Wang, H.; et al. Selection signature analysis reveals genes associated with tail type in Chinese indigenous sheep. Anim. Genet. 2017, 48, 55–66. [Google Scholar]
- Wang, X.L.; Zhou, G.X.; Xu, X.C.; Geng, R.Q.; Zhou, J.P.; Yang, Y.X.; Yang, Z.X.; Chen, Y.L. Transcriptome profile analysis of adipose tissues from fat and short-tailed sheep. Gene 2014, 549, 252–257. [Google Scholar]
- Lu, Z.K.; Liu, J.B.; Han, J.L.; Yang, B.H. Association between BMP2 functional polymorphisms and sheep tail type. Animals 2020, 10, 739. [Google Scholar] [PubMed]
- Pan, Z.Y.; Li, S.D.; Liu, Q.Y.; Wang, Z.; Zhou, Z.K.; Di, R.; An, X.J.; Miao, B.P.; Wang, X.Y.; Hu, W.P.; et al. Rapid evolution of a retro-transposable hotspot of ovine genome underlies the alteration of BMP2 expression and development of fat tails. BMC Genom. 2019, 20, 261. [Google Scholar]
- Yang, L.; Hao, W.G.; Wang, H.Z.; Ren, W.P.; Yan, P.S.; Wei, S.J. BMP2 increases hyperplasia and hypertrophy of bovine subcutaneous preadipocytes via BMP/SMAD signaling. In Vitro Cell. Dev. Biol. Anim. 2022, 58, 210–219. [Google Scholar] [PubMed]
- Yang, C.Y.; Wang, Z.X.; Song, Q.Q.; Dong, B.Q.; Bi, Y.L.; Bai, H.; Jiang, Y.; Chang, G.B.; Chen, G.H. Transcriptome sequencing to identify important genes and lncRNAs regulating abdominal fat deposition in ducks. Animals 2022, 12, 1256. [Google Scholar] [PubMed]
- He, L.Z.; Leng, L.; Li, H. Tissue expression characteristics of BMP2 gene and its difference in adipose tissue of different chicken strains, Safe and quality poultry production. In Proceedings of the 15th National Poultry Symposium, Guangzhou, China, 1 November 2011; pp. 162–165. [Google Scholar]
- Leng, L.; Wang, Q.G.; Wang, S.Z.; Li, H. Tissue expression of BMP-2 gene in chicken and its correlation with body fat and bone traits, Advances in animal genetics and breeding in China. In Proceedings of the 15th National Symposium on Animal Genetics and Breeding, Xianyang, China, 10 October 2009; p. 433. [Google Scholar]
- Guo, L.; Sun, B.; Shang, Z.; Leng, L.; Wang, Y.; Wang, N.; Li, H. Comparison of adipose tissue cellularity in chicken lines divergently selected for fatness. Poult. Sci. 2011, 90, 2024–2034. [Google Scholar] [PubMed]
- Leng, L.; Wang, S.; Li, Z.; Wang, Q.; Li, H. A polymorphism in the 3′-Flanking Region of insulin-like growth factor binding protein 2 gene associated with abdominal fat in chickens. Poult. Sci. 2009, 88, 938–942. [Google Scholar] [CrossRef]
- Mannstadt, M.; Bertrand, G.; Muresan, M.; Weryha, G.; Leheup, B.; Pulusani, S.R.; Grandchamp, B.; Jüppner, H.; Silve, C. Dominant-negative GCMB mutations cause an autosomal dominant form of hypoparathyroidism. J. Clin. Endocrinol. Metab. 2008, 93, 3568–3576. [Google Scholar]
- Wang, Y.S.; Ouyang, W.O.; Pan, Q.X.; Wang, X.L.; Xia, X.X.; Bi, Z.W.; Wang, Y.Q.; Wang, X.M. Overexpression of microRNA gga-miR-21 in chicken fibroblasts suppresses replication of infectious bursal disease virus through inhibiting VP1 translation. Antiviral Res. 2013, 100, 196–201. [Google Scholar] [CrossRef]
- Wang, W.; Zhang, T.M.; Wu, C.Y.; Wang, S.S.; Wang, Y.X.; Li, H.; Wang, N. Immortalization of chicken preadipocytes by retroviral transduction of chicken TERT and TR. PLoS ONE 2017, 12, e0177348. [Google Scholar]
- Sherf, B.A.; Navarro, S.L.; Hannah, R.R.; Wood, K.V. Dual-luciferase reporter assay: An advanced co-reporter technology integrating firefly and Renilla luciferase assays. Promega Notes 1996, 57, 2–8. [Google Scholar]
- Cheng, B.H.; Zhang, H.; Liu, C.; Chen, X.; Chen, Y.F.; Sun, Y.H.; Leng, L.; Li, Y.M.; Luan, P.; Li, H. Functional intronic variant in the retinoblastoma 1 gene underlies broiler chicken adiposity by altering nuclear factor-kB and SRY-related HMG box protein 2 binding sites. J. Agric. Food Chem. 2019, 67, 9727–9737. [Google Scholar] [CrossRef]
- Tang, T.Y.; Zhang, J.; Yin, J.; Staszkiewicz, J.; Gawronska-Kozak, B.; Jung, D.Y.; Ko, H.J.; Ong, H.; Kim, J.K.; Mynatt, R.; et al. Uncoupling of inflammation and insulin resistance by NF-kappaB in transgenic mice through elevated energy expenditure. J. Biol. Chem. 2010, 285, 4637–4644. [Google Scholar] [CrossRef]
- Ruan, H.; Pownall, H.J.; Lodish, H.F. Troglitazone antagonizes tumor necrosis factor-alpha-induced reprogramming of adipocyte gene expression by inhibiting the transcriptional regulatory functions of NF-kappaB. J. Biol. Chem. 2003, 278, 28181–28192. [Google Scholar] [CrossRef]
- Guilherme, A.; Virbasius, J.V.; Puri, V.; Czech, M.P. Adipocyte dysfunctions linking obesity to insulin resistance and type 2 diabetes. Nat. Rev. Mol. Cell Biol. 2008, 9, 367–377. [Google Scholar] [CrossRef]
- Chen, Z.; Torrens, J.I.; Anand, A.; Spiegelman, B.M.; Friedman, J.M. Krox20 stimulates adipogenesis via C/EBPβ-dependent and -independent mechanisms. Cell Metab. 2005, 1, 93–106. [Google Scholar] [CrossRef]
- Gonzalez, F.J. Getting fat: Two new players in molecular adipogenesis. Cell Metab. 2005, 1, 85–86. [Google Scholar] [CrossRef]
- Schreiber, R.; Xie, H.; Schweiger, M. Of mice and men: The physiological role of adipose triglyceride lipase (ATGL). Biochim. Biophys. Acta Mol. Cell Biol. Lipids 2019, 1864, 880–899. [Google Scholar]
- Chen, S.; Hu, Z.G.; He, H.; Liu, X.L. Fatty acid elongase7 is regulated via SP1 and is involved in lipid accumulation in bovine mammary epithelial cells. J. Cell. Physiol. 2018, 233, 4715–4725. [Google Scholar] [CrossRef]
- Zhu, J.J.; Sun, Y.T.; Luo, J.; Wu, M.; Li, J.H.; Cao, Y.H. Specificity protein 1 regulates gene expression related to fatty acid metabolism in goat mammary epithelial cells. Int. J. Mass. Spectrom. 2015, 16, 1806–1820. [Google Scholar] [CrossRef]
- Katagiri, T. Bone morphogenetic protein-2 converts the differentiation pathway of C2C12 myoblasts into the osteoblast lineage. J. Cell Biol. 1994, 127, 1755–1766. [Google Scholar] [CrossRef]
- Zhou, N.; Li, Q.; Lin, X.; Hu, N.; Liao, J.-Y.; Lin, L.B.; Zhao, C.; Hu, Z.M.; Liang, X.; Xu, W.; et al. BMP2 induces chondrogenic differentiation, osteogenic differentiation and endochondral ossification in stem cells. Cell Tissue Res. 2016, 366, 101–111. [Google Scholar] [CrossRef]
- Salazar, V.S.; Gamer, L.W.; Rosen, V. BMP signalling in skeletal development, disease and repair. Nat. Rev. Endocrinol. 2016, 12, 203–221. [Google Scholar]
- Guiu-Jurado, E.; Unthan, M.; Böhler, N.; Kern, M.; Landgraf, K.; Dietrich, A.; Schleinitz, D.; Ruschke, K.; Klöting, N.; Faßhauer, M.; et al. Bone morphogenetic protein 2 (BMP2) may contribute to partition of energy storage into visceral and subcutaneous fat depots. Obesity 2016, 24, 2092–2100. [Google Scholar]
- Sottile, V.; Seuwen, K. Bone morphogenetic protein-2 stimulates adipogenic differentiation of mesenchymal precursor cells in synergy with BRL 49653 (rosiglitazone). FEBS Lett. 2000, 475, 201–204. [Google Scholar]
- Katagiri, T.; Akiyama, S.; Namiki, M.; Komaki, M.; Yamaguchi, A.; Rosen, V.; Wozney, J.M.; Fujisawa-Sehara, A.; Suda, T. Bone morphogenetic protein-2 inhibits terminal differentiation of myogenic cells by suppressing the transcriptional activity of MyoD and myogenin. Exp. Cell Res. 1997, 230, 342–351. [Google Scholar]
- Lv, Y.; Gao, C.W.; Liu, B.; Wang, H.Y.; Wang, H.P. BMP-2 combined with salvianolic acid B promotes cardiomyocyte differentiation of rat bone marrow mesenchymal stem cells. Kaohsiung J. Med. Sci. 2017, 33, 477–485. [Google Scholar]
- Miao, Y.X.; Zhao, Y.X.; Wan, S.Q.; Mei, Q.S.; Wang, H.; Fu, C.K.; Li, X.Y.; Zhao, S.H.; Xu, X.W.; Xiang, T. Integrated analysis of genome-wide association studies and 3D epigenomic characteristics reveal the BMP2 gene regulating loin muscle depth in Yorkshire pigs. PLoS Genet. 2023, 19, e1010820. [Google Scholar]
- Li, Y.; Wang, L.; Zhou, J.W.; Li, F.G. Transcription factor organic cation transporter 1 (OCT-1) affects the expression of porcine Klotho (KL) gene. PeerJ 2016, 4, e2186. [Google Scholar]
- Fuxman Bass, J.I.; Tamburino, A.M.; Mori, A.; Beittel, N.; Weirauch, M.T.; Reece-Hoyes, J.S.; Walhout, A.J.M. Transcription factor binding to Caenorhabditis elegans first introns reveals lack of redundancy with gene promoters. Nucleic Acids Res. 2014, 42, 153–162. [Google Scholar]
- Hughes, T.R. Introduction to “a handbook of transcription factors”. Subcell. Biochem. 2011, 52, 1–6. [Google Scholar]
- Meyer, K.B.; Maia, A.-T.; O’Reilly, M.; Teschendorff, A.E.; Chin, S.-F.; Caldas, C.; Ponder, B.A.J. Allele-specific up-regulation of FGFR2 increases susceptibility to breast cancer. PLOS Biol. 2008, 6, e108. [Google Scholar] [CrossRef]
- Van Laere, A.-S.; Nguyen, M.; Braunschweig, M.; Nezer, C.; Collette, C.; Moreau, L.; Archibald, A.L.; Haley, C.S.; Buys, N.; Tally, M.; et al. A Regulatory mutation in IGF2 causes a major QTL effect on muscle growth in the pig. Nature 2003, 425, 832–836. [Google Scholar] [PubMed]
- Markljung, E.; Jiang, L.; Jaffe, J.D.; Mikkelsen, T.S.; Wallerman, O.; Larhammar, M.; Zhang, X.L.; Wang, L.; Saenz-Vash, V.; Gnirke, A.; et al. ZBED6, a novel transcription factor derived from a domesticated DNA transposon regulates IGF2 expression and muscle growth. PLOS Biol. 2009, 7, e1000256. [Google Scholar]
- Zou, H.Y.; Yu, D.W.; Yao, S.; Ding, F.R.; Li, J.L.; Li, L.; Li, X.; Zhao, S.J.; Pang, Y.W.; Hao, H.S.; et al. Efficient editing of the ZBED6-binding site in intron 3 of IGF2 in a bovine model using the CRISPR/Cas9 system. Genes 2022, 13, 1132. [Google Scholar] [PubMed]
- Shield, P.W.; Papadimos, D.J.; Walsh, M.D. GATA3: A promising marker for metastatic breast carcinoma in serous effusion specimens: GATA3 staining of serous effusions. Cancer Cytopathol. 2014, 122, 307–312. [Google Scholar]
- Zhou, W.B.; Nie, X.H. Afzelin attenuates asthma phenotypes by downregulation of GATA3 in a murine model of asthma. Mol. Med. Rep. 2015, 12, 71–76. [Google Scholar] [CrossRef]
- Sun, Z.W.; Andersson, R. NF- kappaB activation and inhibition: A review. Shock. 2002, 18, 99–106. [Google Scholar]
- Hayden, M.S.; Ghosh, S. Shared principles in NF-kappaB signaling. Cell 2008, 132, 344–362. [Google Scholar]
- Tisdale, M.J. Biology of cachexia. J. Natl. Cancer Inst. 1997, 89, 1763–1773. [Google Scholar]
- Larcombe, M.R.; Hsu, S.; Polo, J.M.; Knaupp, A.S. Indirect mechanisms of transcription factor-mediated gene regulation during cell fate changes. Adv. Genet. 2022, 3, 2200015. [Google Scholar]
- Bauer, S.; Eigenmann, J.; Zhao, Y.; Fleig, J.; Hawe, J.S.; Pan, C.; Bongiovanni, D.; Wengert, S.; Ma, A.; Lusis, A.J.; et al. Identification of the transcription factor ATF3 as a direct and indirect regulator of the LDLR. Metabolites 2022, 12, 840. [Google Scholar] [PubMed]
- Jaganathan, K.; Kyriazopoulou Panagiotopoulou, S.; McRae, J.F.; Darbandi, S.F.; Knowles, D.; Li, Y.I.; Kosmicki, J.A.; Arbelaez, J.; Cui, W.; Schwartz, G.B.; et al. Predicting splicing from primary sequence with deep learning. Cell 2019, 176, 535–548.e24. [Google Scholar] [PubMed]
- Pattison, J.M.; Posternak, V.; Cole, M.D. Transcription factor KLF5 binds a cyclin E1 polymorphic intronic enhancer to confer increased bladder cancer risk. Mol. Cancer Res. 2016, 14, 1078–1086. [Google Scholar] [PubMed]
- Fabo, T.; Khavari, P. Functional characterization of human genomic variation linked to polygenic diseases. Trends Genet. 2023, 39, 462–490. [Google Scholar] [PubMed]
- French, J.D.; Edwards, S.L. The role of noncoding variants in heritable disease. Trends Genet. 2020, 36, 880–891. [Google Scholar]
- Takata, A.; Matsumoto, N.; Kato, T. Genome-wide identification of splicing QTLs in the human brain and their enrichment among schizophrenia-associated loci. Nat. Commun. 2017, 8, 14519. [Google Scholar]
Disclaimer/Publisher’s Note: The statements, opinions and data contained in all publications are solely those of the individual author(s) and contributor(s) and not of MDPI and/or the editor(s). MDPI and/or the editor(s) disclaim responsibility for any injury to people or property resulting from any ideas, methods, instructions or products referred to in the content. |
© 2023 by the authors. Licensee MDPI, Basel, Switzerland. This article is an open access article distributed under the terms and conditions of the Creative Commons Attribution (CC BY) license (https://creativecommons.org/licenses/by/4.0/).





