Protective Effect of Cimicifuga racemosa (L.) Nutt Extract on Oocyte and Follicle Toxicity Induced by Doxorubicin during In Vitro Culture of Mice Ovaries
Abstract
Simple Summary
Abstract
1. Introduction
2. Material and Methods
2.1. Chemicals
2.2. Animals and Evaluation of Estrous Cycle
2.3. Experiment 1: Effects of Different Concentration of CIMI on Follicle Morphology
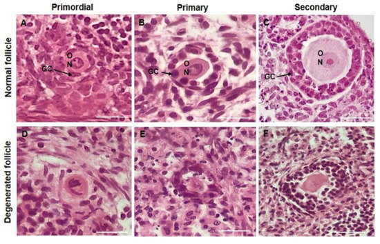
2.4. Morphological Assessment of Ovarian Follicles and Evaluation of Cell Density
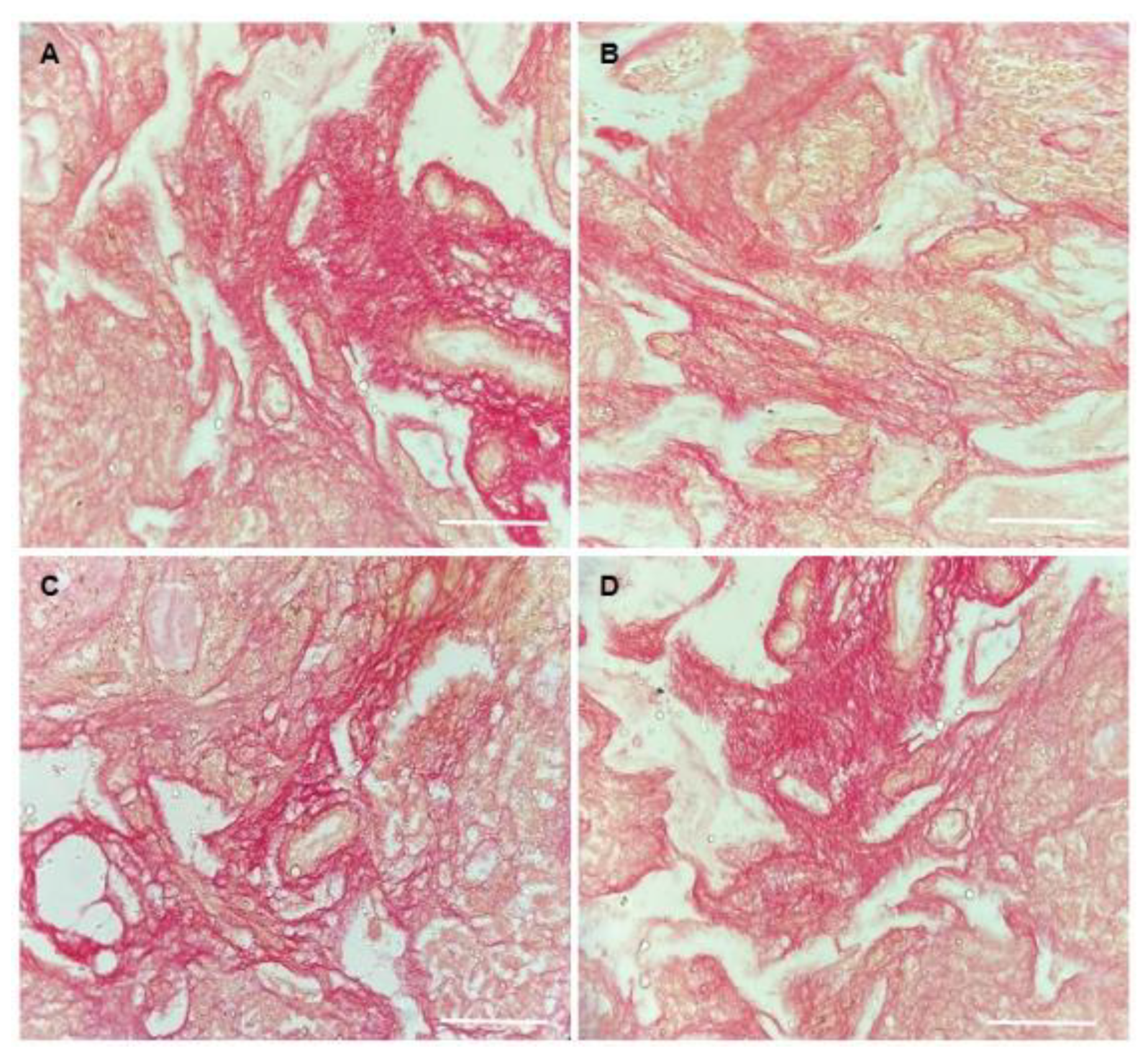
2.5. Analysis of Extracellular Matrix
2.6. Experiment 2: Effects of CIMI and DOXO on Follicle Morphology, Viability and Gene Expression
2.7. Analysis of Follicular Viability after Ovarian Culture
2.8. Immunohistochemistry
2.9. Ultrastructural Analysis
2.10. RNA Isolation and Real Time Quantitative PCR (qPCR)
2.11. Statistical Analysis
3. Results
3.1. Experiment 1: Effect of CIMI on Follicular Morphology, Activation and Development after In Vitro Culture
3.2. Evaluation of Ovarian Extracellular Matrix after In Vitro Culture
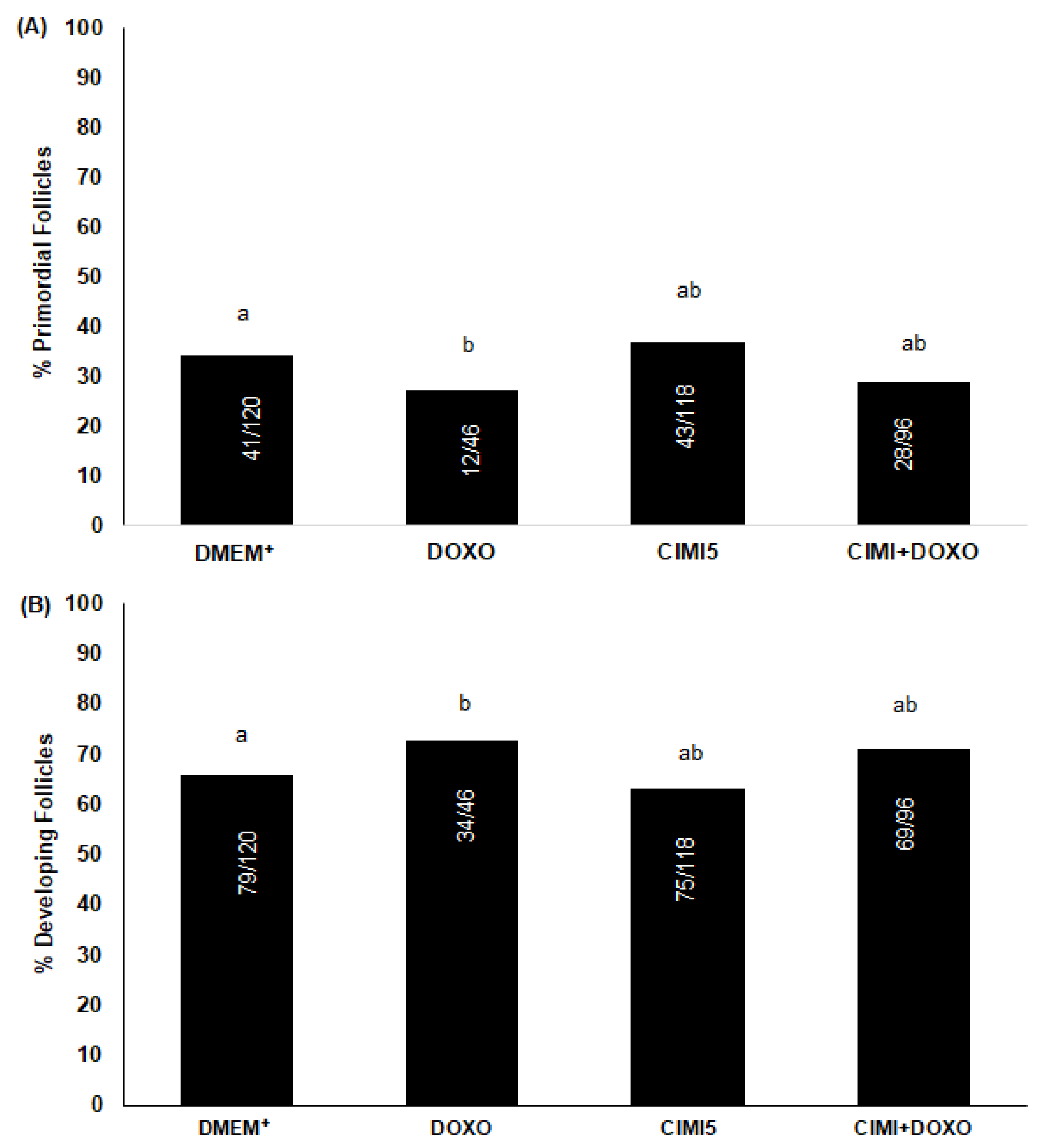
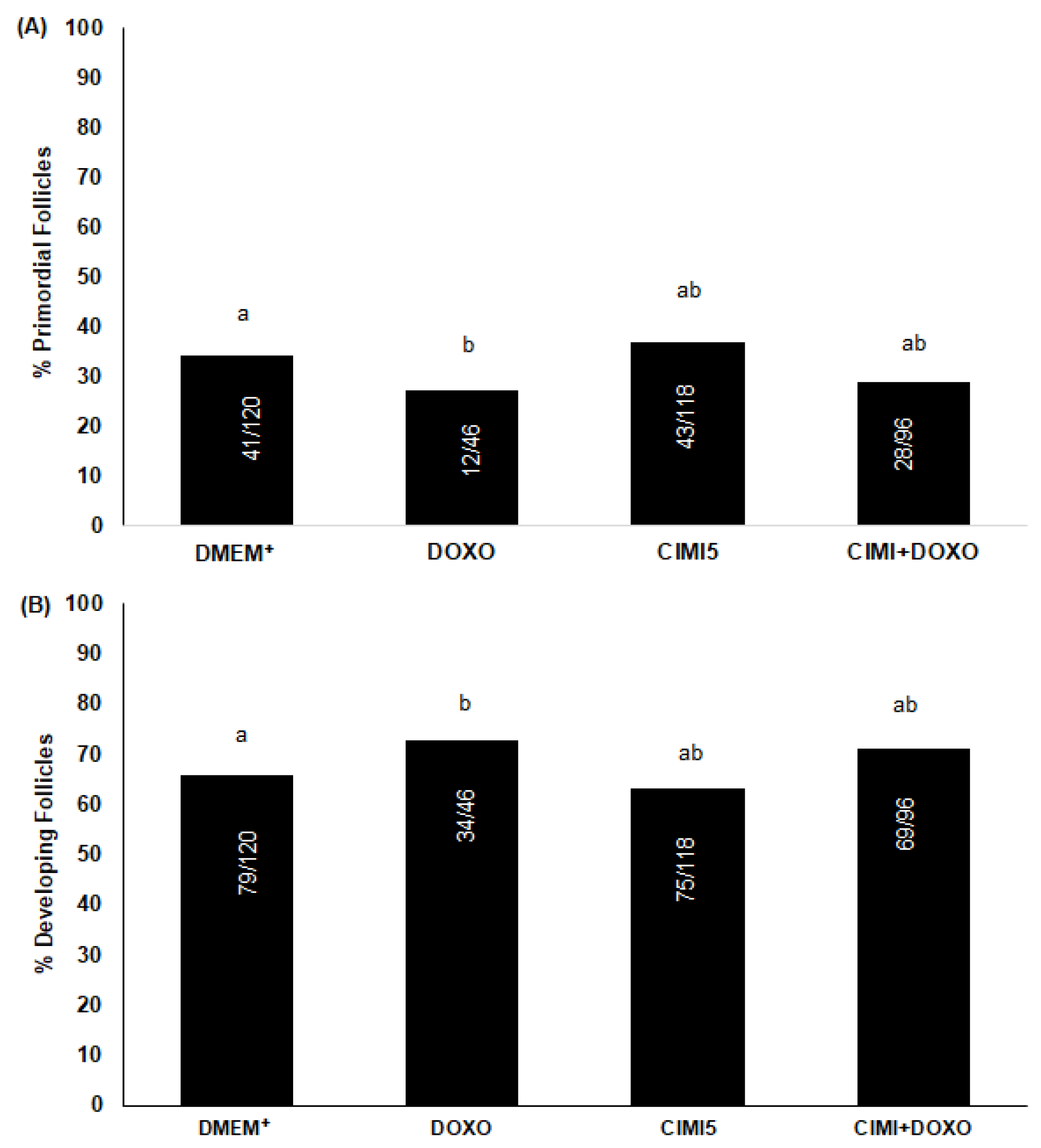
3.3. Experiment 2: Potential of CIMI to Reduce Damage Caused by DOXO on In Vitro Culture of Mouse Ovaries
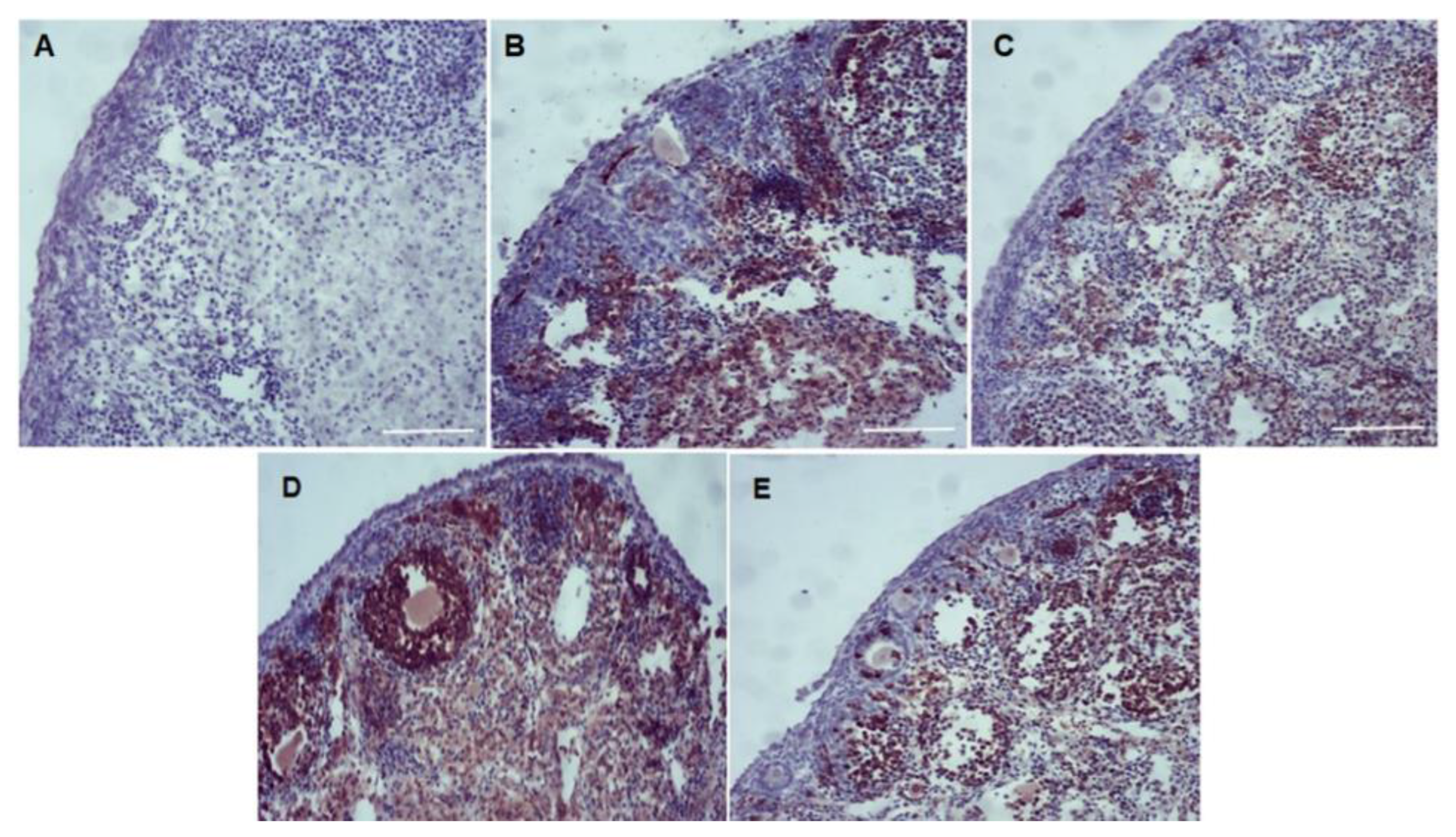
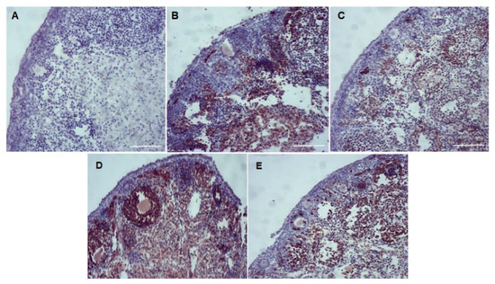
3.4. Immunohistochemical Localization of Active Caspase-3 in Mice Cultured Ovary
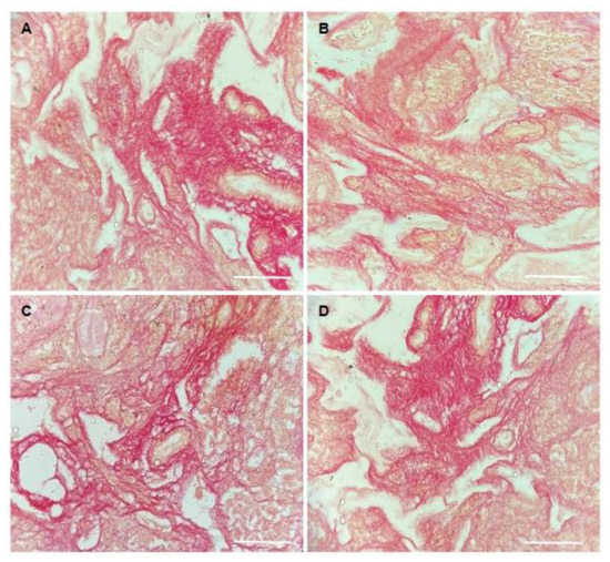
3.5. Evaluation of the Ovarian Extracellular Matrix after In Vitro Culture with CIMI and DOXO
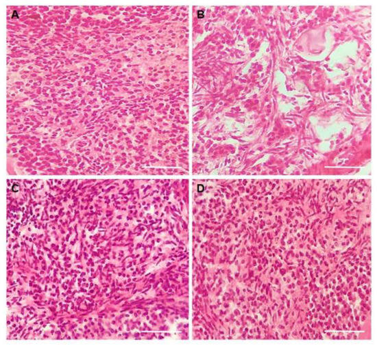
3.6. Evaluation of Stromal Cells Density after In Vitro Culture of Mice Ovaries
3.7. Viability Assessment of Follicles after Culture
3.8. Ultrastructural Analysis after In Vitro Culture of Mice Ovaries
3.9. Levels of mRNA for SOD, CAT and NRF2 in Cultured Ovaries
4. Discussion
5. Conclusions
Author Contributions
Funding
Institutional Review Board Statement
Informed Consent Statement
Data Availability Statement
Acknowledgments
Conflicts of Interest
References
- Spears, N.; Lopes, F.; Stefansdottir, A.; Rossi, V.; De Felici, M.; Anderson, R.A.; Klinger, F.G. Ovarian damage from chemotherapy and current approaches to its protection. Hum. Reprod. Update 2019, 25, 673–693. [Google Scholar] [CrossRef] [PubMed]
- Roberts, J.; Ronn, R.; Tallon, N.; Holzer, H. Fertility preservation in reproductive-age women facing gonadotoxic treatments. Curr. Oncol. 2015, 22, 294–304. [Google Scholar] [CrossRef] [PubMed][Green Version]
- Tokarska-Schlattner, M.; Zaugg, M.; Zuppinger, C.; Wallimann, T.; Schlattner, U. New insights into doxorubicin-induced cardiotoxicity: The critical role of cellular energetics. J. Mol. Cell. Cardiol. 2006, 41, 389–405. [Google Scholar] [CrossRef] [PubMed]
- Xiang, C.; Yan, Y.; Zhang, D. Alleviation of the doxorubicin-induced nephrotoxicity by fasudil in vivo and in vitro. J. Pharmacol. Sci. 2021, 145, 6–15. [Google Scholar] [CrossRef]
- Wang, Y.; Liu, M.; Johnson, S.B.; Yuan, G.; Arriba, A.K.; Zubizarreta, M.E.; Chatterjee, S.; Nagarkatti, M.; Nagarkatti, P.; Xiao, S. Doxorubicin obliterates mouse ovarian reserve through both primordial follicle atresia and overactivation. Toxicol. Appl. Pharmacol. 2019, 381, 114714. [Google Scholar] [CrossRef]
- Xiao, S.; Zhang, J.; Liu, M.; Iwahata, H.; Rogers, H.B.; Woodruff, T.K. Doxorubicin has dose-dependent toxicity on mouse ovarian follicle development, hormone secretion, and oocyte maturation. Toxicol. Sci. 2017, 157, 320–329. [Google Scholar] [CrossRef]
- Lopategui, D.M.; Yechieli, R.; Ramasamy, R. Oncofertility in sarcoma patients. Transl. Androl. Urol. 2017, 6, 951–958. [Google Scholar] [CrossRef]
- Park, S.H.; Kim, M.; Lee, S.; Jung, W.; Kim, B. Therapeutic potential of natural products in treatment of cervical cancer: A review. Nutrients 2021, 13, 154. [Google Scholar] [CrossRef]
- Lins, T.L.B.G.; Gouveia, B.B.; Barberino, R.S.; Silva, R.L.S.; Monte, A.P.O.; Pinto, J.G.C.; Campinho, D.S.P.; Palheta, R.C.; Matos, M.H.T. Rutin prevents cisplatin-induced ovarian damage via antioxidant activity and regulation of PTEN and FOXO3a phosphorylation in mouse model. Reprod. Toxicol. 2020, 98, 209–217. [Google Scholar] [CrossRef]
- Rad, P.; Safari, F.; Mohammadi, J.; Delaviz, H. Preserved ovarian function after toxicity with doxorrubicin in rats: Protective effect of nasturtium officinale extract. Iran. J. Toxicol. 2021, 15, 57–64. [Google Scholar] [CrossRef]
- Pkhaladze, L.; Davidova, N.; Khomasuridze, A.; Shengelia, R.; Panossian, A.G. Actaea racemosa L. is more effective in combination with Rhodiola rosea L. for relief of menopausal symptoms: A randomized, double-blind, placebo-controlled study. Pharmaceuticals 2020, 13, 102. [Google Scholar] [CrossRef] [PubMed]
- Guo, Y.; Yin, T.; Wang, X.; Zhang, F.; Pan, G.; Lv, H.; Wang, X.; Owoicho Orgah, J.; Zhu, Y.; Wu, H. Traditional uses, phytochemistry, pharmacology and toxicology of the genus Cimicifuga: A review. J. Ethnopharmacol 2017, 209, 264–282. [Google Scholar] [CrossRef] [PubMed]
- Azouz, A.A.; Ali, S.E.; Abd-Elsalam, R.M.; Emam, S.R.; Galal, M.K.; Elmosalamy, S.H.; Alsherbiny, M.A.; Hassan, B.B.; Li, C.G.; El Badawy, S.A. Modulation of steroidogenesis by Actaea racemosa and vitamin C combination, in letrozole induced polycystic ovarian syndrome rat model: Promising activity without the risk of hepatic adverse effect. Chin. Med. 2021, 16, 36. [Google Scholar] [CrossRef] [PubMed]
- Rabenau, M.; Unger, M.; Drewe, J.; Culmsee, C. Metabolic switch induced by Cimicifuga racemosa extract prevents mitochondrial damage and oxidative cell death. Phytomedicine 2019, 52, 107–116. [Google Scholar] [CrossRef]
- Marcondes, F.K.; Bianchi, F.J.; Tanno, A.P. Determination of the estrous cycle phases of rats: Some helpful considerations. Braz. J. Biol. 2002, 62, 609–614. [Google Scholar] [CrossRef]
- O’Brien, M.J.; Pendola, J.K.; Eppig, J.J. A revised protocol for in vitro development of mouse oocytes from primordial follicles dramatically improves their developmental competence. Biol. Reprod. 2003, 68, 1682–1686. [Google Scholar] [CrossRef] [PubMed]
- Gouveia, B.B.; Barberino, R.S.; Dos Santos Silva, R.L.; Lins, T.L.B.G.; da Silva Guimarães, V.; do Monte, A.P.O.; Palheta, R.C., Jr.; de Matos, M.H.T. Involvement of PTEN and FOXO3a Proteins in the protective activity of protocatechuic acid against cisplatin-induced ovarian toxicity in mice. Reprod. Sci. 2021, 28, 865–876. [Google Scholar] [CrossRef]
- Cavalcante, B.N.; Matos-Brito, B.G.; Paulino, L.R.F.M.; Silva, B.R.; Aguiar, A.W.M.; de Almeida, E.F.M.; Souza, A.L.P.; Vasconcelos, G.L.; De Assis, E.I.T.; Silva, A.W.B.; et al. Effects of melatonin on morphology and development of primordial follicles during in vitro culture of bovine ovarian tissue. Reprod. Domest. Anim. 2019, 54, 1567–1573. [Google Scholar] [CrossRef]
- Rittié, L. Method for picrosirius red-polarization detection of collagen fibers in tissue sections. Methods Mol. Biol. 2017, 1627, 395–407. [Google Scholar] [CrossRef]
- Silva, A.W.B.; Ribeiro, R.P.; Menezes, V.G.; Barberino, R.S.; Passos, J.R.S.; Dau, A.M.P.; Costa, J.J.N.; Melo, L.R.F.; Bezerra, F.T.G.; Donato, M.A.M.; et al. Expression of TNF-α system members in bovine ovarian follicles and the effects of TNF-α or dexamethasone on preantral follicle survival, development and ultrastructure in vitro. Anim. Reprod. Sci. 2017, 182, 56–68. [Google Scholar] [CrossRef]
- Barberino, R.S.; Menezes, V.G.; Ribeiro, A.E.A.S.; Palheta, R.C., Jr.; Jiang, X.; Smitz, J.E.J.; Matos, M.H.T. Melatonin protects against cisplatin-induced ovarian damage in mice via the MT1 receptor and antioxidant activity. Biol. Reprod. 2017, 96, 1244–1255. [Google Scholar] [CrossRef] [PubMed]
- Khalil, M.N.A.; Choucry, M.A.; El Senousy, A.S.; Hassan, A.; El-Marasy, S.A.; El Awdan, S.A.; Omar, F.A. Ambrosin, a potent NF-κβ inhibitor, ameliorates lipopolysaccharide induced memory impairment, comparison to curcumin. PLoS ONE 2019, 14, e0219378. [Google Scholar] [CrossRef] [PubMed]
- Donato, M.A.; Ribeiro, E.L.; Torres, D.O.; Soares e Silva, A.K.; Dos Santos Gomes, F.O.; Santos e Silva, B.; Rocha, S.W.; Peixoto, C.A. Chronic treatment with Sildenafil has no effect on folliculogenesis or fertility in C57BL/6 and C57BL/6 knockout for iNOS mice. Tissue Cell 2015, 5, 515–525. [Google Scholar] [CrossRef] [PubMed]
- Burdette, J.E.; Chen, S.N.; Lu, Z.Z.; Xu, H.; White, B.E.; Fabricant, D.S.; Liu, J.; Fong, H.H.; Farnsworth, N.R.; Constantinou, A.I.; et al. Black cohosh (Cimicifuga racemosa L.) protects against menadione-induced DNA damage through scavenging of reactive oxygen species: Bioassay-directed isolation and characterization of active principles. J. Agric. Food Chem. 2002, 50, 7022–7028. [Google Scholar] [CrossRef] [PubMed]
- Nikolić, D.; Lankin, D.C.; Cisowska, T.; Chen, S.N.; Pauli, G.F.; Van Breemen, R.B. Nitrogen-containing constituents of black cohosh: Chemistry, structure elucidation, and biological activities. Recent Adv. Phytochem. 2015, 45, 31–75. [Google Scholar] [CrossRef] [PubMed]
- Suh, K.S.; Chon, S.; Choi, E.M. Actein protects against methylglyoxal-induced oxidative damage in osteoblastic MC3T3-E1 cells. J. Sci. Food Agric. 2017, 97, 207–214. [Google Scholar] [CrossRef]
- Sahin, N.; Orhan, C.; Tuzcu, M.; Juturu, V.; Sahin, K. Capsaicinoids improve egg production by regulating ovary nuclear transcription factors against heat stress in quail. Br. Poult. Sci. 2017, 58, 177–183. [Google Scholar] [CrossRef]
- Saber, S.M.; Abd El-Rahman, H.A. Liraglutide treatment effects on rat ovarian and uterine tissues. Reprod. Biol. 2019, 19, 237–244. [Google Scholar] [CrossRef]
- Cui, L.; Bao, H.; Liu, Z.; Man, X.; Liu, H.; Hou, Y.; Luo, Q.; Wang, S.; Fu, Q. hUMSCs regulate the differentiation of ovarian stromal cells via TGF-β1/Smad3 signaling pathway to inhibit ovarian fibrosis to repair ovarian function in POI rats. Stem Cell Res. Ther. 2020, 11, 386. [Google Scholar] [CrossRef]
- Ben-Aharon, I.; Bar-Joseph, H.; Tzarfaty, G.; Kuchinsky, L.; Rizel, S.; Stemmer, S.M.; Shalgi, R. Doxorubicin-induced ovarian toxicity. Reprod. Biol. Endocrinol. 2010, 8, 20. [Google Scholar] [CrossRef]
- Lopes, F.; Tholeti, P.; Adiga, S.K.; Anderson, R.A.; Mitchell, R.T.; Spears, N. Chemotherapy induced damage to spermatogonial stem cells in prepubertal mouse in vitro impairs long-term spermatogenesis. Toxicol. Rep. 2020, 8, 114–123. [Google Scholar] [CrossRef] [PubMed]
- Eldutar, E.; Kandemir, F.M.; Kucukler, S.; Caglayan, C. Restorative effects of chrysin pretreatment on oxidan-antioxidant status, inflammatory cytokine production, apoptotic and autophagic markers in acute paracetamol-induced hepatotoxicity in rats: Experimental and biochemical a study. J. Biochem. Mol. Toxicol. 2017, 31, 21960. [Google Scholar] [CrossRef] [PubMed]
- Kaygusuzoglu, E.; Caglayan, C.; Kandemir, F.M.; Yıldırım, S.; Kucukler, S.; Kılınc, M.A.; Saglam, Y.S. Zingerone ameliorates cisplatin-induced ovarian and uterine toxicity via suppression of sex hormone imbalances, oxidative stress, inflammation and apoptosis in female wistar rats. Biomed. Pharmacother. 2018, 102, 517–530. [Google Scholar] [CrossRef] [PubMed]
- Oktem, O.; Oktay, K. Quantitative assessment of the impact of chemotherapy on ovarian follicle reserve and stromal function. Cancer 2007, 110, 2222–2229. [Google Scholar] [CrossRef]
- Kusano, A.; Seyama, Y.; Nagai, M.; Shibano, M.; Kusano, G. Effects of fukinolic acid and cimicifugic acids from Cimicifuga species on collagenolytic activity. Biol. Pharm. Bull. 2001, 24, 1198–1201. [Google Scholar] [CrossRef][Green Version]
- Nisslein, T.; Freudenstein, J. Effects of an isopropanolic extract of Cimicifuga racemosa on urinary crosslinks and other parameters of bone quality in an ovariectomized rat model of osteoporosis. J. Bone Miner. Metab. 2003, 21, 370–376. [Google Scholar] [CrossRef]
- Qiu, S.X.; Dan, C.; Ding, L.S.; Peng, S.; Chen, S.N.; Farnsworth, N.R.; Nolta, J.; Gross, M.L.; Zhou, P. A triterpene glycoside from black cohosh that inhibits osteoclastogenesis by modulating RANKL and TNFalpha signaling pathways. Chem. Biol. 2007, 14, 860–869. [Google Scholar] [CrossRef]
- Roti Roti, E.C.; Leisman, S.K.; Abbott, D.H.; Salih, S.M. Acute doxorubicin insult in the mouse ovary is cell- and follicle-type dependent. PLoS ONE 2012, 7, e42293. [Google Scholar] [CrossRef]
- Perez, G.I.; Knudson, C.M.; Leykin, L.; Korsmeyer, S.J.; Tilly, J.L. Apoptosis-associated signaling pathways are required for chemotherapy-mediated female germ cell destruction. Nat. Med. 1997, 3, 1228–1232. [Google Scholar] [CrossRef]
- Morgan, S.; Lopes, F.; Gourley, C.; Anderson, R.A.; Spears, N. Cisplatin and doxorubicin induce distinct mechanisms of ovarian follicle loss; imatinib provides selective protection only against cisplatin. PLoS ONE 2013, 8, e70117. [Google Scholar] [CrossRef]
- Roti Roti, E.C.; Ringelstetter, A.K.; Kropp, J.; Abbott, D.H.; Salih, S.M. Bortezomib prevents acute doxorubicin ovarian insult and follicle demise, improving the fertility window and pup birth weight in mice. PLoS ONE 2014, 9, e108174. [Google Scholar] [CrossRef] [PubMed]













| Target Gene | Primer Sequence (5′ → 3′) | Forward (F) Reverse (R) | GenBank Accession No. |
|---|---|---|---|
| GAPDH | GAACGGATTTGGCCGTATTG GTGAGTGGAGTCATACTGGAAC | F R | GU214026.1 |
| SOD | CTCGTCTTGCTCTCTCTGGTC CTTGCCTTCTGCTCGAAGTG | F R | NM_011434.2 |
| CAT | CCAATGGCAATTACCCGTCC CCTTGTGAGGCCAAACCTTG | F R | NM_009804.2 |
| NRF2 | TTGCCCTAGCCTTTTCTCCG CTAGGAGATAGCCTGCTCGC | F R | NM_010902.4 |
Disclaimer/Publisher’s Note: The statements, opinions and data contained in all publications are solely those of the individual author(s) and contributor(s) and not of MDPI and/or the editor(s). MDPI and/or the editor(s) disclaim responsibility for any injury to people or property resulting from any ideas, methods, instructions or products referred to in the content. |
© 2022 by the authors. Licensee MDPI, Basel, Switzerland. This article is an open access article distributed under the terms and conditions of the Creative Commons Attribution (CC BY) license (https://creativecommons.org/licenses/by/4.0/).
Share and Cite
de Assis, E.I.T.; Azevedo, V.A.N.; De Lima Neto, M.F.; Costa, F.C.; Paulino, L.R.F.M.; Barroso, P.A.A.; Donato, M.A.M.; Peixoto, C.A.; Do Monte, A.P.O.; Matos, M.H.T.; et al. Protective Effect of Cimicifuga racemosa (L.) Nutt Extract on Oocyte and Follicle Toxicity Induced by Doxorubicin during In Vitro Culture of Mice Ovaries. Animals 2023, 13, 18. https://doi.org/10.3390/ani13010018
de Assis EIT, Azevedo VAN, De Lima Neto MF, Costa FC, Paulino LRFM, Barroso PAA, Donato MAM, Peixoto CA, Do Monte APO, Matos MHT, et al. Protective Effect of Cimicifuga racemosa (L.) Nutt Extract on Oocyte and Follicle Toxicity Induced by Doxorubicin during In Vitro Culture of Mice Ovaries. Animals. 2023; 13(1):18. https://doi.org/10.3390/ani13010018
Chicago/Turabian Stylede Assis, Ernando I. T., Venância A. N. Azevedo, Miguel F. De Lima Neto, Francisco C. Costa, Laís R. F. M. Paulino, Pedro A. A. Barroso, Mariana A. M. Donato, Christina A. Peixoto, Alane P. O. Do Monte, Maria H. T. Matos, and et al. 2023. "Protective Effect of Cimicifuga racemosa (L.) Nutt Extract on Oocyte and Follicle Toxicity Induced by Doxorubicin during In Vitro Culture of Mice Ovaries" Animals 13, no. 1: 18. https://doi.org/10.3390/ani13010018
APA Stylede Assis, E. I. T., Azevedo, V. A. N., De Lima Neto, M. F., Costa, F. C., Paulino, L. R. F. M., Barroso, P. A. A., Donato, M. A. M., Peixoto, C. A., Do Monte, A. P. O., Matos, M. H. T., Godinho, A. N., Freire, J. M. O., Batista, A. L. P. S., Silva, J. R. V., & Silva, A. W. B. (2023). Protective Effect of Cimicifuga racemosa (L.) Nutt Extract on Oocyte and Follicle Toxicity Induced by Doxorubicin during In Vitro Culture of Mice Ovaries. Animals, 13(1), 18. https://doi.org/10.3390/ani13010018

