Biodiversity of Ligilactobacillus salivarius Strains from Poultry and Domestic Pigeons
Abstract
Simple Summary
Abstract
1. Introduction
2. Materials and Methods
2.1. Bacterial Strains and Culture Conditions
2.2. Identification of L. salivarius
2.3. Morphology and Growth Features
2.4. Fermentation Assay
2.5. Detection of repE, Abp118 Bacteriocin Genes and Genes Associated with Sugar Metabolism
2.6. Phylogenetic Analysis
2.7. Bile Tolerance Test
2.8. Biofilm Formation
2.9. Measurement of Bacterial Hydrophobicity
2.10. Phenotypic and Genotypic Profiles of Antimicrobial Resistance
2.11. Statistical Analysis
3. Results
3.1. Identification of L. salivarius Strains
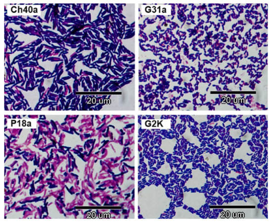
3.2. Morphology and Growth Characteristics
3.3. Fermentation Assay
3.4. Presence of repE, abp118β + abp118α and Genes Determining Carbohydrate Utilization
3.5. Phylogenetic Analysis
3.6. Tolerance to Bile
3.7. Hydrophobicity
3.8. Phenotypic and Genotypic Profiles of Antimicrobial Resistance
4. Discussion
5. Conclusions
Author Contributions
Funding
Institutional Review Board Statement
Data Availability Statement
Conflicts of Interest
Appendix A
| Strain | Identification by MALDI-TOF MS | Identification Based on Sequence Analysis of the groEL Gene | Analysis of 16S rDNA or 16S-23S rDNA | |||
|---|---|---|---|---|---|---|
| groEL Acc. No. | Two Best Matches; GenBank Accesion Number | Query Cover [%] | Identity [%] | |||
| P2a | L. salivarius 2.393 | MT862777 | Ligilactobacillus salivarius strain 2D; CP047412.1 | 100 | 99.94 | ND |
| Lactobacillus salivarius str. Ren Select; CP011403.1 | 100 | 99.87 | ||||
| P3a | L. salivarius 2.362 | MT862778 | Lactobacillus salivarius CECT 5713; CP002034.1 | 100 | 99.81 | ND |
| Lactobacillus salivarius strain NCIMB702343 groEL; DQ444339.1 | 99 | 99.81 | ||||
| P8a | L. salivarius 2.050 | MT862779 | Lactobacillus salivarius CECT 5713; CP002034.1 | 100 | 99.94 | ND |
| Lactobacillus salivarius strain NCIMB702343 groEL; DQ444339.1 | 99 | 99.94 | ||||
| P16a | L. salivarius 2.367 | MT862780 | Lactobacillus salivarius CECT 5713; CP002034.1 | 100 | 99.94 | ND |
| Lactobacillus salivarius strain NCIMB702343 groEL; DQ444339.1 | 100 | 99.94 | ||||
| P18a | L. salivarius 2.228 | MT862781 | Ligilactobacillus salivarius strain BCRC 14759; CP024067.1 | 100 | 99.94 | ND |
| Ligilactobacillus salivarius strain ZLS006; CP020858.1 | 100 | 99.94 | ||||
| P21a | L. salivarius 2.023 | MT862782 | Lactobacillus salivarius CECT 5713; CP002034.1 | 100 | 99.94 | ND |
| Lactobacillus salivarius strain NCIMB702343 groEL; DQ444339.1 | 99 | 99.94 | ||||
| P23a | L. salivarius 2.322 | MT862783 | Lactobacillus salivarius CECT 5713; CP002034.1 | 100 | 99.81 | ND |
| Lactobacillus salivarius strain NCIMB702343 groEL; DQ444339.1 | 99 | 99.81 | ||||
| Ch4a | L. salivarius 2.118 | MT862784 | Lactobacillus salivarius strain CCUG44481 groEL; DQ444352.1 | 100 | 99.75 | ND |
| Ligilactobacillus salivarius strain CICC 23174; CP017107.1 | 100 | 99.68 | ||||
| Ch8b | L. salivarius 2.168 | MT862785 | Lactobacillus salivarius strain CCUG44481 groEL; DQ444352.1 | 100 | 99.81 | L. salivarius [3,28] |
| Ligilactobacillus salivarius strain CICC 23174; CP017107.1 | 100 | 99.75 | ||||
| Ch9b | L. salivarius 2.264 | MT862786 | Lactobacillus salivarius strain CCUG44481 groEL; DQ444352.1 | 100 | 99.87 | ND |
| Ligilactobacillus salivarius strain CICC 23174; CP017107.1 | 100 | 99.81 | ||||
| Ch10a | L. salivarius 2.006 | MT862787 | Lactobacillus salivarius strain CCUG44481 groEL; DQ444352.1 | 100 | 99.87 | ND |
| Ligilactobacillus salivarius strain CICC 23174; CP017107.1 | 100 | 99.81 | ||||
| Ch10d | L. salivarius 2.249 | MT862788 | Lactobacillus salivarius strain CCUG44481 groEL; DQ444352.1 | 100 | 98.66 | L. salivarius [3,28] |
| Ligilactobacillus salivarius strain CICC 23174; CP017107.1 | 100 | 98.60 | ||||
| Ch24b | L. salivarius 2.080 | MT862789 | Lactobacillus salivarius strain CCUG44481 groEL; DQ444352.1 | 100 | 99.68 | L. salivarius [3,28] |
| Ligilactobacillus salivarius strain CICC 23174; CP017107.1 | 100 | 99.62 | ||||
| Ch37b | L. salivarius 2.324 | MT862790 | Lactobacillus salivarius strain CCUG44481 groEL; DQ444352.1 | 100 | 99.43 | ND |
| Ligilactobacillus salivarius strain CICC 23174; CP017107.1 | 100 | 99.43 | ||||
| Ch40a | L. salivarius 2.001 | MT920907 | Lactobacillus salivarius strain CCUG44481 groEL; DQ444352.1 | 100 | 99.62 | ND |
| Ligilactobacillus salivarius strain CICC 23174; CP017107.1 | 100 | 99.55 | ||||
| Ch50b | L. salivarius 2.241 | MT862791 | Ligilactobacillus salivarius strain 2D; CP047412.1 | 100 | 100 | L. salivarius [3,28] |
| Lactobacillus salivarius str. Ren Select; CP011403.1 | 100 | 99.94 | ||||
| Ch50d | L. salivarius 2.124 | MT862792 | Lactobacillus salivarius strain CCUG44481 groEL; DQ444352.1 | 100 | 99.75 | ND |
| Ligilactobacillus salivarius strain CICC 23174; CP017107.1 | 100 | 99.55 | ||||
| T2a | L. salivarius 2.010 | MT862793 | Lactobacillus salivarius strain CCUG44481 groEL; DQ444352.1 | 100 | 99.81 | ND |
| Ligilactobacillus salivarius strain CICC 23174; CP017107.1 | 100 | 99.75 | ||||
| T3a | L. salivarius 2.164 | MT862794 | Lactobacillus salivarius strain CCUG44481 groEL; DQ444352.1 | 100 | 99.81 | ND |
| Ligilactobacillus salivarius strain CICC 23174; CP017107.1 | 100 | 99.75 | ||||
| T7c | L. salivarius 2.002 | MT862795 | Lactobacillus salivarius strain CCUG44481 groEL; DQ444352.1 | 100 | 99.75 | ND |
| Ligilactobacillus salivarius strain CICC 23174; CP017107.1 | 100 | 99.68 | ||||
| T17f | L. salivarius 2.311 | MT862796 | Ligilactobacillus salivarius strain CICC 23174; CP017107.1 | 100 | 99.81 | ND |
| Lactobacillus salivarius strain CCUG44481 groEL; DQ444352.1 | 100 | 99.75 | ||||
| T18a | L. salivarius 2.390 | MT862797 | Lactobacillus salivarius strain CCUG44481 groEL; DQ444352.1 | 100 | 99.81 | ND |
| Ligilactobacillus salivarius strain CICC 23174; CP017107.1 | 100 | 99.75 | ||||
| T21a | L. salivarius 2.003 | MT862798 | Lactobacillus salivarius strain CCUG44481 groEL; DQ444352.1 | 100 | 99.49 | ND |
| Ligilactobacillus salivarius strain CICC 23174; CP017107.1 | 100 | 99.43 | ||||
| T22a | L. salivarius 2.136 | MT862799 | Lactobacillus salivarius strain CCUG44481 groEL; DQ444352.1 | 100 | 99.81 | ND |
| Ligilactobacillus salivarius strain CICC 23174; CP017107.1 | 100 | 99.75 | ||||
| T27 | L. salivarius 2.400 | MT862800 | Lactobacillus salivarius strain CCUG44481 groEL; DQ444352.1 | 100 | 99.75 | ND |
| Ligilactobacillus salivarius strain CICC 23174; CP017107.1 | 100 | 99.68 | ||||
| T31a | L. salivarius 2.241 | MT862801 | Lactobacillus salivarius strain CCUG44481 groEL; DQ444352.1 | 100 | 99.68 | ND |
| Ligilactobacillus salivarius strain CICC 23174; CP017107.1 | 100 | 99.62 | ||||
| G2K | L. salivarius 2.106 | MT862802 | Lactobacillus salivarius strain JCM1230 groEL; DQ444335.1 | 100 | 99.55 | L. salivarius [3,28] |
| Lactobacillus salivarius isolate LPM01 genome; LT604074.1 | 100 | 99.49 | ||||
| G19a | L. salivarius 2.139 | MT862803 | Ligilactobacillus salivarius strain 2D; CP047412.1 | 100 | 100 | L. salivarius [3,28] |
| Lactobacillus salivarius str. Ren Select; CP011403.1 | 100 | 99.94 | ||||
| G24a | L. salivarius 2.273 | MT862804 | Lactobacillus salivarius strain CCUG44481 groEL; DQ444352.1 | 100 | 99.68 | L. salivarius [3] |
| Ligilactobacillus salivarius strain CICC 23174; CP017107.1 | 100 | 99.62 | ||||
| G24b | L. salivarius 2.305 | MT862805 | Lactobacillus salivarius strain CCUG44481 groEL; DQ444352.1 | 100 | 99.87 | L. salivarius [3] |
| Ligilactobacillus salivarius strain CICC 23174; CP017107.1 | 100 | 99.81 | ||||
| G31a | L. salivarius 2.211 | MT862806 | Ligilactobacillus salivarius strain 2D; CP047412.1 | 100 | 100 | L. salivarius [3] |
| Lactobacillus salivarius str. Ren Select; CP011403.1 | 100 | 99.94 | ||||
| G39a | L. salivarius 2.029 | MT862807 | Lactobacillus salivarius strain CCUG44481 groEL; DQ444352.1 | 100 | 99.81 | L. salivarius [3] |
| Ligilactobacillus salivarius strain CICC 23174; CP017107.1 | 100 | 99.75 | ||||
| G50b | L. salivarius 2.135 | MT862808 | Lactobacillus salivarius strain CCUG44481 groEL; DQ444352.1 | 100 | 99.75 | L. salivarius [3] |
| Ligilactobacillus salivarius strain CICC 23174; CP017107.1 | 100 | 99.68 |
| Pentoses | Hexoses | 6-Deoxy Hexoses | Sugar Alcohols | Disaccharides | Trisaccharides | ||||||||||||||||||||
|---|---|---|---|---|---|---|---|---|---|---|---|---|---|---|---|---|---|---|---|---|---|---|---|---|---|
| Carbohydrate► | ARA | RIB | XYL | GAL | GLU | FRU | MNE | FUC | RHA | XLT | MAN | SOR | NAG | AMY | SAL | CEL | MAL | LAC | MEL | SAC | TRE | INU | MLZ | RAF | |
| Ref. | LMG9476 | −−− | −−− | −−− | +++ | +++ | +++ | +++ | −−− | −−− | −−− | +++ | +++ | +++ | −−− | +++ | −−− | +++ | +++ | +++ | +++ | +++ | −−− | −−− | +++ |
| LMG9477 | −−− | −−− | −−− | +++ | +++ | +++ | +++ | −−− | +++ | −−− | +++ | +++ | +++ | −−− | −−− | −−− | +++ | +++ | +++ | +++ | +++ | −−− | −−− | +++ | |
| pigeons | P2a | −−− | −−− | −−− | +++ | +++ | +++ | +++ | −−− | +++ | −−− | +++ | −−− | +++ | −−− | −−− | −−− | +++ | +++ | +++ | +++ | +++ | −−− | −−− | +++ |
| P3a | −−− | −−− | −−− | +++ | +++ | +++ | +++ | −−− | +++ | −−− | +++ | −−− | +++ | −−− | −−− | −−− | +++ | +++ | +++ | +++ | +++ | +++ | −−− | +++ | |
| P 8a | −−− | −−− | −−− | +++ | +++ | +++ | +++ | −−− | ±++ | −−− | +++ | −−− | ±++ | −−− | −−− | −−− | +++ | +++ | +++ | +++ | −−− | +++ | −−− | +++ | |
| P 16a | −−− | −−− | −−− | +++ | +++ | +++ | +++ | −−− | ±++ | −−− | +++ | ±++ | +++ | −−− | −−− | −−− | +++ | +++ | +++ | +++ | −−+ | +++ | −−− | +++ | |
| P 18a | −−− | −−− | −−− | +++ | +++ | +++ | +++ | −−− | ±++ | −−− | +++ | ±++ | ±++ | −−− | −−− | −−− | +++ | +++ | +++ | +++ | +++ | −−− | −−− | +++ | |
| P 21a | −−− | −−− | −−− | +++ | +++ | +++ | +++ | −−− | ±++ | −−− | ±++ | −−− | ±++ | −−− | −−− | −−− | +++ | +++ | +++ | +++ | +++ | +++ | −−− | +++ | |
| P 23a | −−− | −−− | −−− | +++ | +++ | +++ | +++ | −−− | −−− | −−− | +++ | +++ | +++ | −−− | −−− | −−− | +++ | +++ | +++ | +++ | +++ | +++ | −−− | +++ | |
| Total [%] | 0 | 0 | 0 | 100 | 100 | 100 | 100 | 0 | 86 | 0 | 100 | 43 | 100 | 0 | 0 | 0 | 100 | 100 | 100 | 100 | 86 | 71 | 0 | 100 | |
| chicken | Ch 4a | −−− | −−− | −−− | +++ | +++ | +++ | +++ | −−− | −−− | −−− | −++ | −−− | −++ | −−− | −−− | −−− | −−− | −++ | −++ | −++ | −−− | −−− | −−− | −++ |
| Ch 8b | −−− | −−− | −−− | −++ | +++ | +++ | +++ | −−− | −−− | −−− | ±++ | −−− | +++ | −−− | −−− | −−− | +++ | +++ | +++ | +++ | −−− | −−− | −−− | +++ | |
| Ch 9b | −−− | −−− | −−− | +++ | +++ | +++ | +++ | −−− | −−− | −−− | +++ | −−− | +++ | −−− | −−− | −−− | +++ | +++ | +++ | +++ | +++ | −−− | −−− | +++ | |
| Ch 10a | −−− | −−− | −−− | +++ | +++ | +++ | +++ | −−− | −−− | −−− | +++ | +++ | +++ | −−− | −−− | −−− | +++ | +++ | +++ | +++ | −−− | −−− | −−− | +++ | |
| Ch10d | −−− | −−− | −−− | +++ | +++ | +++ | +++ | −−− | −−− | −−− | +++ | +++ | +++ | −−− | −−− | −−− | +++ | +++ | +++ | +++ | −−− | −−− | −−− | +++ | |
| Ch 24b | −−− | −−− | −−− | +++ | +++ | +++ | +++ | −−− | −−− | −−− | +++ | −−± | +++ | −−− | −−− | −−− | +++ | +++ | +++ | +++ | +++ | −−− | −−− | +++ | |
| Ch 37b | −−− | −−− | −−− | +++ | +++ | +++ | +++ | −−− | −−− | −−− | +++ | +++ | +++ | −−− | −−− | −−− | +++ | +++ | +++ | +++ | +++ | −−− | −−− | +++ | |
| Ch 40a | −−− | −−− | −−− | +++ | +++ | +++ | +++ | −−− | −−− | −−− | +++ | +++ | +++ | −−− | −−− | −−− | +++ | +++ | +++ | +++ | +++ | −−− | −−− | +++ | |
| Ch 50b | −−− | −−− | −−− | +++ | +++ | +++ | +++ | −−− | ±++ | −−− | +++ | −−− | +++ | −−− | +++ | −−− | +++ | +++ | +++ | +++ | +++ | −−− | −−− | +++ | |
| Ch 50d | −−− | −−− | −−− | +++ | +++ | +++ | +++ | −−− | −−− | −−− | +++ | −−± | +++ | −−− | −−− | −−− | +++ | +++ | +++ | +++ | +++ | −−− | −−− | +++ | |
| Total: [%] | 0 | 0 | 0 | 100 | 100 | 100 | 100 | 0 | 10 | 0 | 100 | 50 | 100 | 0 | 10 | 0 | 90 | 100 | 100 | 100 | 60 | 0 | 0 | 100 | |
| turkey | T 2a | −−− | −−− | −−− | +++ | +++ | +++ | +++ | −−− | −−− | −−− | +++ | −−± | +++ | −−− | −−− | −−− | +++ | +++ | +++ | +++ | +++ | −−− | −−− | +++ |
| T 3a | −−− | −−− | −−− | +++ | +++ | +++ | +++ | −−− | −−− | −−− | −++ | −−− | −++ | −−− | −−− | −−− | −++ | −++ | −++ | −++ | −−− | −−− | −−− | −++ | |
| T 7c | −−− | −−− | −−− | +++ | +++ | +++ | +++ | −−− | −−− | −−− | +++ | −−− | −−− | −−− | −−− | −−− | +++ | +++ | +++ | +++ | −−− | −−− | −−− | +++ | |
| T 17f | −−− | −−− | −−− | +++ | +++ | +++ | +++ | −−− | −−− | −−− | +++ | −−− | −−− | −−− | −−− | −−− | +++ | +++ | +++ | +++ | −−− | −−− | −−− | +++ | |
| T 18a | −−− | −−− | −−− | +++ | +++ | +++ | +++ | −−− | −−− | −−− | +++ | +++ | −−− | −−− | −−− | −−− | +++ | +++ | +++ | +++ | −−− | −−− | −−− | +++ | |
| T 21a | −−− | −−− | −−− | +++ | +++ | +++ | +++ | −−− | −−− | −−− | −−± | −−− | −−± | −−− | −−− | −−− | +++ | ±±+ | +++ | +++ | −−− | −−− | −−− | +++ | |
| T 22a | −−− | −−− | −−− | +++ | +++ | +++ | +++ | −−− | −−− | −−− | +++ | −−− | −−− | −−− | −−− | −−− | ±++ | −++ | −++ | +++ | −−− | −−− | −−− | −−− | |
| T 27 | −−− | −−− | −−− | +++ | +++ | +++ | +++ | −−− | −−− | −−− | +++ | −−− | +++ | −−− | −−− | −−− | +++ | +++ | +++ | +++ | −−− | −−− | −−− | +++ | |
| T 31a | −−− | −−− | −−− | +++ | +++ | +++ | +++ | −−− | −−− | −−− | +++ | +++ | −−− | −−− | −−− | −−− | −−± | +++ | +++ | +++ | −−− | −−− | −−− | +++ | |
| Total: [%] | 0 | 0 | 0 | 100 | 100 | 100 | 100 | 0 | 0 | 0 | 89 | 22 | 33 | 0 | 0 | 0 | 89 | 100 | 100 | 100 | 11 | 0 | 0 | 89 | |
| gees | G 2K | −−− | −−− | −−− | +++ | +++ | +++ | +++ | −−− | −−− | −−− | +++ | +++ | +++ | +++ | +++ | +++ | +++ | −−± | −++ | +++ | +++ | −−− | +++ | −−− |
| G 19a | −−− | −−− | −−− | +++ | +++ | +++ | +++ | −−− | +++ | −−− | +++ | −−± | +++ | −−− | −−− | −−− | +++ | +++ | ±++ | +++ | +++ | −−− | −−− | +++ | |
| G 24a | −−− | −−− | −−− | +++ | +++ | +++ | +++ | −−− | −−− | −−− | +++ | +++ | +++ | −−± | −−− | −−− | +++ | +++ | +++ | +++ | +++ | −−− | −−− | +++ | |
| G 24b | −−− | −−− | −−− | +++ | +++ | +++ | +++ | −−− | −−− | −−− | +++ | +++ | +++ | −−+ | +++ | −−− | +++ | +++ | +++ | +++ | +++ | −−− | −−− | +++ | |
| G 31a | −−− | −−− | −−− | +++ | +++ | +++ | +++ | −−− | −−− | −−− | +++ | +++ | +++ | −−− | −−− | −−− | +++ | +++ | +++ | +++ | +++ | −−− | −−− | +++ | |
| G 39a | −−− | −−− | −−− | +++ | +++ | +++ | +++ | −−− | −−− | −−− | +++ | +++ | +++ | −−− | −−− | −−− | +++ | +++ | +++ | +++ | +++ | −−− | −−− | +++ | |
| G 50b | −−− | −−− | −−− | +++ | +++ | +++ | +++ | −−− | −−− | −−− | +++ | +++ | +++ | −−− | +++ | −−− | +++ | +++ | +++ | +++ | +++ | −−− | −−− | +++ | |
| Total: [%] | 0 | 0 | 0 | 100 | 100 | 100 | 100 | 0 | 14 | 0 | 100 | 86 | 100 | 14 | 43 | 14 | 100 | 86 | 100 | 100 | 100 | 0 | 14 | 86 | |
| Total: [%] | 0 | 0 | 0 | 100 | 100 | 100 | 100 | 0 | 24 | 0 | 97 | 48 | 82 | 3 | 12 | 3 | 94 | 97 | 100 | 100 | 61 | 15 | 3 | 94 | |
![]() |
| Isolate | Host Source | 1% Bile | 1% Bile | 2% Bile | 2% Bile |
|---|---|---|---|---|---|
| 24 h | 48 h | 24 h | 48 h | ||
| LMG 9476 | human | <3% | 5% | <3% | 6% |
| LMG 9477 | human | <3% | 5% | <3% | 4% |
| P2a | pigeon | 9% | 9% | 9% | 11% |
| P3a | pigeon | 8% | 9% | 8% | 9% |
| P8a | pigeon | 4% | 8% | <3% | 7% |
| P16a | pigeon | 7% | 8% | 4% | 12% |
| P18a | pigeon | 9% | 7% | 8% | 8% |
| P21a | pigeon | <3% | 6% | <3% | 6% |
| P23a | pigeon | 6% | 6% | 6% | 6% |
| Ch4a | chicken | 4% | 7% | <3% | 5% |
| Ch8b | chicken | <3% | <3% | <3% | <3% |
| Ch9b | chicken | <3% | <3% | <3% | <3% |
| Ch10a | chicken | <3% | <3% | <3% | <3% |
| Ch10d | chicken | <3% | <3% | <3% | <3% |
| Ch24b | chicken | <3% | <3% | <3% | <3% |
| Ch37b | chicken | 4.5% | 13% | 3.5% | 12% |
| Ch40a | chicken | 26% | 38% | 24% | 37% |
| Ch50b | chicken | <3% | 10% | 5% | 10% |
| Ch50d | chicken | 8% | 6% | 5% | 4.5% |
| T2a | turkey | 5% | 4.5% | 4% | 4% |
| T3a | turkey | 14% | 6% | 8% | 6% |
| T7c | turkey | <3% | <3% | <3% | <3% |
| T17f | turkey | <3% | 4% | <3% | <3% |
| T18a | turkey | <3% | <3% | <3% | <3% |
| T21a | turkey | <3% | <3% | <3% | <3% |
| T22a | turkey | <3% | <3% | <3% | <3% |
| T27 | turkey | <3% | 10% | <3% | 3.5% |
| T31a | turkey | 5.5% | 10% | <3% | 6% |
| G2K | goose | 100% | 100% | 100% | 100% |
| G19a | goose | 13% | 13% | 13% | 17% |
| G24a | goose | 13% | 15% | 13% | 16% |
| G24b | goose | 11% | 11% | 9% | 10% |
| G31a | goose | 14.5% | 17% | 13% | 17% |
| G39a | goose | 4.5% | 6% | <3% | 7% |
| G 50b | goose | 8% | 11% | 7% | 13% |
References
- Rogosa, M.; Wiseman, R.F.; Mitchell, J.A.; Disraely, M.N.; Beaman, A.J. Species differentiation of oral lactobacilli from man including description of Lactobacillus salivarius nov. spec. and Lactobacillus cellobiosus nov. spec. J. Bacteriol. 1953, 65, 681–699. [Google Scholar] [CrossRef]
- Zheng, J.; Wittouck, S.; Salvetti, E.; Franz, C.M.A.P.; Harris, H.M.B.; Mattarelli, P.; O’Toole, P.W.; Pot, B.; Vandamme, P.; Walter, J.; et al. A taxonomic note on the genus Lactobacillus: Description of 23 novel genera, emended description of the genus Lactobacillus Beijerinck 1901, and union of Lactobacillaceae and Leuconostocaceae. Int. J. Syst. Evol. Microbiol. 2020, 70, 2782–2858. [Google Scholar] [CrossRef] [PubMed]
- Dec, M.; Urban-Chmiel, R.; Gnat, S.; Puchalski, A.; Wernicki, A. Identification of Lactobacillus strains of goose origin using MALDI-TOF mass spectrometry and 16S-23S rDNA intergenic spacer PCR analysis. Res. Microbiol. 2014, 165, 190–201. [Google Scholar] [CrossRef] [PubMed]
- Dec, M.; Puchalski, A.; Nowaczek, A.; Wernicki, A. Antimicrobial activity of Lactobacillus strains of chicken origin against bacterial pathogens. Int. Microbiol. 2016, 19, 57–67. [Google Scholar]
- Dec, M.; Nowaczek, A.; Stepień-Pyśniak, D.; Wawrzykowski, J.; Urban-Chmiel, R. Identification and antibiotic susceptibility of lactobacilli isolated from turkeys. BMC Microbiol. 2018, 18, 168. [Google Scholar] [CrossRef]
- Dec, M.; Stępień-Pyśniak, D.; Nowaczek, A.; Puchalski, A.; Urban-Chmiel, R. Phenotypic and genotypic antimicrobial resistance profiles of fecal lactobacilli from domesticated pigeons in Poland. Anaerobe 2020, 65, 102251. [Google Scholar] [CrossRef]
- Ehrmann, M.A.; Kurzak, P.; Bauer, J.; Vogel, R.F. Characterization of lactobacilli towards their use as probiotic adjuncts in poultry. J. Appl. Microbiol. 2002, 92, 966–975. [Google Scholar] [CrossRef]
- Lee, J.Y.; Han, G.G.; Kim, E.B.; Choi, Y.J. Comparative genomics of Lactobacillus salivarius strains focusing on their host adaptation. Microbiol. Res. 2017, 205, 48–58. [Google Scholar] [CrossRef]
- Adetoye, A.; Pinloche, E.; Adeniyi, B.A.; Ayeni, F.A. Characterization and anti-salmonella activities of lactic acid bacteria isolated from cattle faeces. BMC Microbiol. 2018, 18, 96. [Google Scholar] [CrossRef] [PubMed]
- Lin, W.C.; Ptak, C.P.; Chang, C.Y.; Ian, M.K.; Chia, M.Y.; Chen, T.H.; Kuo, C.J. Autochthonous Lactic Acid Bacteria Isolated from Dairy Cow Feces Exhibiting Promising Probiotic Properties and in vitro Antibacterial Activity Against Foodborne Pathogens in Cattle. Front. Vet. Sci. 2020, 7, 239. [Google Scholar] [CrossRef]
- Obata, J.; Takeshita, T.; Shibata, Y.; Yamanaka, W.; Unemori, M.; Akamine, A.; Yamashita, Y. Identification of the microbiota in carious dentin lesions using 16S rRNA gene sequencing. PLoS ONE 2014, 9, e103712. [Google Scholar] [CrossRef] [PubMed]
- Pino, A.; Bartolo, E.; Caggia, C.; Cianci, A.; Randazzo, C.L. Detection of vaginal lactobacilli as probiotic candidates. Sci. Rep. 2019, 9, 3355. [Google Scholar] [CrossRef]
- Soto, A.; Martín, V.; Jiménez, E.; Mader, I.; Rodríguez, J.M.; Fernández, L. Lactobacilli and bifidobacteria in human breast milk: Influence of antibiotherapy and other host and clinical factors. J. Pediatr. Gastroenterol. Nutr. 2014, 59, 78–88. [Google Scholar] [CrossRef]
- Audisio, M.C.; Albarracín, L.; Torres, M.J.; Saavedra, L.; Hebert, E.M.; Villena, J. Draft genome sequences of Lactobacillus salivarius A3iob and Lactobacillus johnsonii CRL1647, novel potential probiotic strains for honeybees (Apis mellifera L.). Microbiol. Resour. Announc. 2018, 7, e00975-18. [Google Scholar] [CrossRef]
- Kačániová, M.; Hleba, L.; Pochop, J.; Kádasi-Horáková, M.; Fikselová, M.; Rovná, K. Determination of wine microbiota using classical method, polymerase chain method and Step One Real-Time PCR during fermentation process. J. Environ. Sci. Health B 2012, 47, 571–578. [Google Scholar] [CrossRef]
- Luo, Z.; Gasasira, V.; Huang, Y.; Liu, D.; Yang, X.; Jiang, S.; Hu, W. Effect of Lactobacillus salivarius H strain isolated from Chinese dry-cured ham on the color stability of fresh pork. Food Sci. Hum. Wellness 2013, 2, 139–145. [Google Scholar] [CrossRef]
- Public Databases for Molecular Typing and Microbial Genome Diversity (PubMLST). Available online: https://pubmlst.org/ (accessed on 3 March 2021).
- Li, Y.; Raftis, E.; Canchaya, C.; Fitzgerald, G.F.; van Sinderen, D.; O’Toole, P.W. Polyphasic analysis indicates that Lactobacillus salivarius subsp. salivarius and Lactobacillus salivarius subsp. salicinius do not merit separate subspecies status. Int. J. Sys. Evol. Microbiol. 2006, 56, 2397–2403. [Google Scholar]
- Sun, Z.; Yu, J.; Dan, T.; Zhang, W.; Zhang, H. Phylogenesis and evolution of lactic acid bacteria. In Lactic Acid Bacteria. Fundamentals and Practice; Zhang, H., Cai, Y., Eds.; Springer Science + Business Media: Dordrecht, The Netherlands, 2014; pp. 1–101. [Google Scholar]
- Harris, H.M.B.; Bourin, M.J.B.; Claesson, M.J.; O’Toole, P.W. Phylogenomics and comparative genomics of Lactobacillus salivarius, a mammalian gut commensal. Microb. Genom. 2017, 3, e000115. [Google Scholar] [CrossRef] [PubMed]
- EFSA. Update of the list of QPS-recommended biological agents intentionally added to food or feed as notified to EFSA 10: Suitability of taxonomic units notified to EFSA until March. EFSA J. 2019, 17, 5753. [Google Scholar]
- Messaoudi, S.; Manai, M.; Kergourlay, G.; Prévost, H.; Connil, N.; Chobert, J.-M.; Dousset, X. Lactobacillus salivarius: Bacteriocin and probiotic activity. Food Microbiol. 2013, 36, 296–304. [Google Scholar] [PubMed]
- Dec, M.; Nowaczek, A.; Urban-Chmiel, R.; Stępień-Pyśniak, D.; Wernicki, A. Probiotic potential of Lactobacillus isolates of chicken origin with anti-Campylobacter activity. J. Vet. Med. Sci. 2018, 80, 1195–1203. [Google Scholar] [CrossRef]
- Dec, M.; Puchalski, A.; Urban-Chmiel, R.; Wernicki, A. Screening of Lactobacillus strains of domestic goose origin against bacterial poultry pathogens for use as probiotics. Poult. Sci. 2014, 93, 2464–2472. [Google Scholar] [CrossRef]
- Pascual, M.; Hugas, M.; Badiola, J.I.; Monfort, J.M.; Garriga, M. Lactobacillus salivarius CTC2197 prevents Salmonella enteritidis colonization in chickens. Appl. Environ. Microbiol. 1999, 65, 4981–4986. [Google Scholar] [CrossRef]
- Neville, B.A.; O’Toole, P.W. Probiotic properties of Lactobacillus salivarius and closely related Lactobacillus species. Future Microbiol. 2010, 5, 759–774. [Google Scholar] [CrossRef]
- Dudzic, A.; Urban-Chmiel, R.; Stępień-Pyśniak, D.; Dec, M.; Puchalski, A.; Wernicki, A. Isolation, identification and antibiotic resistance of Campylobacter strains isolated from domestic and free-living pigeons. Br. Poult. Sci. 2016, 57, 172–178. [Google Scholar] [CrossRef]
- Dec, M.; Puchalski, A.; Urban-Chmiel, R.; Wernicki, A. 16S-ARDRA and MALDI-TOF mass spectrometry as tools for identification of Lactobacillus bacteria isolated from poultry. BMC Microbiol. 2016, 16, 105. [Google Scholar] [CrossRef]
- Hedberg, M.; Hasslöf, P.; Sjöström, I.; Twetman, S.; Stecksén-Blicks, C. Sugar fermentation in probiotic bacteria—An in vitro study. Oral Microbiol. Immunol. 2008, 23, 482–485. [Google Scholar] [CrossRef]
- Li, Y.; Canchaya, C.; Fang, F.; Raftis, E.; Ryan, K.A.; van Pijkeren, J.P.; van Sinderen, D.; O’Toole, P.W. Distribution of megaplasmids in Lactobacillus salivarius and other lactobacilli. J. Bacteriol. 2007, 189, 6128–6139. [Google Scholar] [CrossRef]
- Open Reading Frame Finder (ORFinder). Available online: https://www.ncbi.nlm.nih.gov/orffinder/ (accessed on 3 March 2021).
- GenBank. Available online: https://www.ncbi.nlm.nih.gov/genbank/ (accessed on 3 March 2021).
- EFSA. Guidance on the characterisation of microorganisms used as feed additives or as production organisms. EFSA J. 2018, 16, 5206. [Google Scholar]
- Technical Library of bioMérieux. Available online: https://techlib.biomerieux.com/ (accessed on 3 March 2021).
- Alverdy, J.; Zaborina, O.; Wu, L. The impact of stress and nutrition on bacterial–host interactions at the intestinal epithelial surface. Curr. Opin. Clin. Nutr. Metab. Care 2005, 8, 205–209. [Google Scholar] [CrossRef] [PubMed]
- Hooper, L.V.; Midtvedt, T.; Gordon, J.I. How host-microbial interactions shape the nutrient environment of the mammalian intestine. Annu. Rev. Nutr. 2002, 22, 283–307. [Google Scholar] [CrossRef]
- Teng, P.Y.; Kim, W.K. Review: Roles of Prebiotics in Intestinal Ecosystem of Broilers. Front. Vet. Sci. 2018, 5, 245. [Google Scholar] [CrossRef]
- Buntin, N.; Hongpattarakere, T.; Douillard, J.R.F.P.; Paulin, L.; Boeren, S.; Shetty, S.A.; de Vos, W.M. An inducible operon is involved in inulin utilization in Lactobacillus plantarum strains, as revealed by comparative proteogenomics and metabolic profiling. Appl. Environ. Microbiol. 2016, 83, e02402-16. [Google Scholar] [CrossRef]
- Xie, M.; Pan, M.; Jiang, Y.; Liu, X.; Lu, W.; Zhao, J.; Zhang, H.; Chen, W. groEL Gene-Based Phylogenetic Analysis of Lactobacillus Species by High-Throughput Sequencing. Genes 2019, 10, 530. [Google Scholar] [CrossRef]
- Hung, W.W.; Chen, Y.H.; Tseng, S.P.; Jao, Y.T.; Teng, L.J.; Hung, W.C. Using groEL as the target for identification of Enterococcus faecium clades and 7 clinically relevant Enterococcus species. J. Microbiol. Immunol. Infect. 2019, 52, 255–264. [Google Scholar] [CrossRef] [PubMed]
- Hu, L.; Lu, W.; Wang, L.; Pan, M.; Zhang, H.; Zhao, J.; Chen, W. Assessment of Bifidobacterium Species Using groEL Gene on the Basis of Illumina MiSeq High-Throughput Sequencing. Genes 2017, 8, 336. [Google Scholar] [CrossRef]
- Alp, G.; Aslim, B. Relationship between the resistance to bile salts and low pH with exopolysaccharide (EPS) production of Bifidobacterium spp. isolated from infants feces and breast milk. Anaerobe 2010, 16, 101–105. [Google Scholar] [CrossRef]
- Caggianiello, G.; Kleerebezem, M.; Spano, G. Exopolysaccharides produced by lactic acid bacteria: From health-promoting benefits to stress tolerance mechanisms. Appl. Microbiol. Biotechnol. 2016, 100, 3877–3886. [Google Scholar] [CrossRef]
- Oleksy, M.; Klewicka, E. Exopolysaccharides produced by Lactobacillus sp.: Biosynthesis and applications. Crit. Rev. Food Sci. Nutr. 2018, 58, 450–462. [Google Scholar] [CrossRef]
- Tsuneda, S.; Aikawa, H.; Hayashi, H.; Yuasa, A.; Hirata, A. Extracellular polymeric substances responsible for bacterial adhesion onto solid surface. FEMS Microbiol. Lett. 2003, 223, 287–292. [Google Scholar] [CrossRef]
- Chapot-Chartier, M.P.; Vinogradov, E.; Sadovskaya, I.; Andre, G.; Mistou, M.Y.; Trieu-Cuot, P.; Sylviane Furlan, S.; Elena Bidnenko, E.; Courtin, P.; Péchoux, C.; et al. Cell Surface of Lactococcus lactis is covered by a protective polysaccharide pellicle. J. Biol. Chem. 2010, 285, 10464–10471. [Google Scholar] [CrossRef] [PubMed]
- Patten, D.A.; Laws, A.P. Lactobacillus-produced exopolysaccharides and their potential health benefits: A review. Benef. Microbes 2015, 6, 457–471. [Google Scholar] [CrossRef] [PubMed]
- Yilmaz, T.; Simsek, Ö. Potential health benefits of ropy exopolysaccharides produced by Lactobacillus plantarum. Molecules 2020, 25, 3293. [Google Scholar] [CrossRef]
- Terraf, M.C.; Juárez Tomás, M.S.; Nader-Macías, M.E.; Silva, C. Screening of biofilm formation by beneficial vaginal lactobacilli and influence of culture media components. J. Appl. Microbiol. 2012, 113, 1517–1529. [Google Scholar] [CrossRef]
- Trunk, T.; Khalil, H.S.; Leo, J.C. Bacterial autoaggregation. AIMS Microbiol. 2018, 4, 140–164. [Google Scholar] [CrossRef]
- Kos, B.; Susković, J.; Vuković, S.; Simpraga, M.; Frece, J.; Matosić, S. Adhesion and aggregation ability of probiotic strain Lactobacillus acidophilus M92. J. Appl. Microbiol. 2003, 94, 981–987. [Google Scholar] [CrossRef]
- Leivers, S.; Hidalgo-Cantabrana, C.; Robinson, G.; Margolles, A.; Ruas-Madiedo, P. Structure of the high molecular weight exopolysaccharide produced by Bifidobacterium animalis subsp. lactis IPLA-R1 and sequence analysis of its putative eps cluster. Carbohydr. Res. 2011, 346, 2710–2717. [Google Scholar] [CrossRef]
- Ruiz, L.; Margolles, A.; Sánchez, B. Bile resistance mechanisms in Lactobacillus and Bifidobacterium. Front. Microbiol. 2013, 4, 396. [Google Scholar] [CrossRef]
- Burns, P.; Sánchez, B.; Vinderola, G.; Ruas-Madiedo, P.; Ruiz, L.; Margolles, A.; Reinheimer, J.; de los Reyes-Gavilán, C.G. Inside the adaptation process of Lactobacillus delbrueckii subsp. lactis to bile. Int. J. Food Microbiol. 2010, 142, 132–141. [Google Scholar] [CrossRef] [PubMed]
- Barrett, E.; Hayes, M.; O’Connor, P.; Gardiner, G.; Fitzgerald, G.F.; Stanton, C.; Ross, R.P.; Hill, C. Salivaricin P, one of a family of two-component antilisterial bacteriocins produced by intestinal isolates of Lactobacillus salivarius. Appl. Environ. Microbiol. 2007, 73, 3719–3723. [Google Scholar] [CrossRef]
- Dec, M.; Urban-Chmiel, R.; Stępień-Pyśniak, D.; Wernicki, A. Assessment of antibiotic susceptibility in Lactobacillus isolates from chickens. Gut Pathog. 2017, 9, 54. [Google Scholar] [CrossRef] [PubMed]
- Dec, M.; Wernicki, A.; Puchalski, A.; Urban-Chmiel, R. Antibiotic susceptibility of Lactobacillus strains isolated from domestic geese. Br. Poult. Sci. 2015, 56, 416–424. [Google Scholar] [CrossRef] [PubMed]





| Gene | Encoded Protein | Primers | Annealing Temp. [°C] | PCR Product [bp] |
|---|---|---|---|---|
| repE | Hypothetical replication protein | F: ATGAAAAGTCTTACATCTCGTG R: TTAGAAACTCAATAATACGTTTAATTC | 54 | 993 |
| abp 118β + abp 118α | Abp118β + α bacteriocin peptide | F: AAGGAATTTACAGTATTGACAG R: ACGGCAACTTGTAAAACCA | 53 | 390–410 |
| rhaB | Rhamnulokinase | F: TTAGGAATTGATACTTGGGC R: ATCCGCCACCAACTATATTC | 54 | 990 |
| LSL-1894 | Sorbitol-6-phosphate 2-dehydrogenase | F: ATGAGTGAGAACTGGCTG R: TCCGCGAGATTTTCCTCC | 54 | 801 |
| mipB | Transaldolase | F: ATGGAATTTTTATTAGATACAGTTG R: CTATAAGTTATTTATATTTTTGTCAC | 52 | 681 |
| tktA | Transketolase | F: ATGTATGATCAAGTAGACC R: TTATTTTTCCAAATATTTATCAACG | 52 | 1992 |
| Isolate or Reference Strain | Isolation Host | Colony Morphology | Colony Structure | Growth on MRS Broth | Biofilm | Hydrophobicity | Growth on MRS + 2% Bile | Pentose Utilization | Rhamnose | Sorbitol | ||||||||
|---|---|---|---|---|---|---|---|---|---|---|---|---|---|---|---|---|---|---|
| Suspension | Autoaggregation | 24 h | 48 h | abp 118α + β | repE | ARA, RIB, XYL | mipB | tktA | RHA | rhaB | SOR | LSL_1894 | ||||||
| LMG 9476 | Human | convex, smooth | ND* | − | − | + | 100% | <3% | 6% | − | − | − | + | − | − | − | + | + |
| LMG 9477 | Human | convex, smooth | brittle | + | − | + | 100% | <3% | 4% | − | + | − | + | − | + | + | + | + |
| P2a | Pigeon | convex, smooth | ND | − | − | ++ | 10% | 9% | 11% | − | + | − | − | − | + | + | − | − |
| P3a | Pigeon | umbonate, smooth | sticky | ++ | − | +++ | 100% | 8% | 9% | − | + | − | − | − | + | + | − | + |
| P8a | Pigeon | convex, smooth | brittle | − | − | ++ | 100% | <3% | 7% | + | + | − | + | − | + | + | − | + |
| P16a | Pigeon | convex, smooth | ND | − | − | + | 74% | 4% | 12% | + | + | − | − | − | + | + | + | + |
| P18a | Pigeon | convex, smooth | sticky | + | − | ++ | 10% | 8% | 8% | + | + | − | + | + | + | + | + | + |
| P21a | Pigeon | umbonate, smooth | brittle | − | − | +++ | 100% | <3% | 6% | + | + | − | + | + | + | + | − | + |
| P23a | Pigeon | convex, smooth | ND | − | − | +++ | 100% | 6% | 6% | + | + | − | − | − | − | − | + | + |
| Ch4a | Chicken | convex, smooth | brittle | − | ++ | +++ | 100% | <3% | 5% | + | + | − | − | − | − | − | − | − |
| Ch8b | Chicken | convex, smooth | brittle | + | − | + | 67% | <3% | <3% | − | + | − | − | − | − | − | − | − |
| Ch9b | Chicken | convex, smooth | ND | − | − | + | 60% | <3% | <3% | − | + | − | − | − | − | + | − | − |
| Ch10a | Chicken | convex, rough, undulate | brittle | − | ++ | +++ | 100% | <3% | <3% | + | + | − | + | − | − | − | + | + |
| Ch10d | Chicken | umbonate, smooth | brittle | − | ++ | +++ | 100% | <3% | <3% | − | + | − | − | − | − | − | + | + |
| Ch24b | Chicken | umbonate, rough, undulate | brittle | − | ++ | +++ | 100% | <3% | <3% | + | + | − | − | − | − | − | − | − |
| Ch37b | Chicken | umbonate, smooth | ND | ++ | − | ++ | 100% | 3.5% | 12% | − | + | − | − | − | − | − | + | + |
| Ch40a | Chicken | umbonate, smooth | ND | + | − | + | 55% | 24% | 37% | − | + | − | + | − | − | − | + | + |
| Ch50b | Chicken | convex, smooth | sticky | − | − | + | 0% | 5% | 10% | − | + | − | + | − | + | + | + | + |
| Ch50d | Chicken | convex, smooth | brittle | − | ++ | +++ | 100% | 5% | 4.5% | − | + | − | − | + | − | − | − | − |
| T2a | Turkey | convex, rough, undulate | brittle | − | ++ | ++ | 100% | 4% | 4% | − | + | − | − | − | − | + | − | − |
| T3a | Turkey | convex, rough, undulate | brittle | − | ++ | +++ | 100% | 8% | 6% | + | + | − | − | + | − | + | − | − |
| T7c | Turkey | convex, smooth | sticky | + | − | ++ | 100% | <3% | <3% | + | + | − | − | + | − | − | − | − |
| T17f | Turkey | convex, smooth | brittle | − | + | + | 100% | <3% | <3% | − | − | − | − | − | − | − | − | − |
| T18a | Turkey | convex, rough | brittle | − | − | + | 95% | <3% | <3% | + | + | − | + | − | − | − | + | + |
| T21a | Turkey | convex, smooth | brittle | − | ++ | +++ | 100% | <3% | <3% | + | + | − | − | − | − | + | − | − |
| T22a | Turkey | convex, smooth | ND | + | − | ++ | 100 | <3% | <3% | + | + | − | − | − | − | − | − | − |
| T27 | Turkey | convex, smooth | brittle | + | − | ++ | 100 | <3% | 3.5% | + | + | − | − | − | − | − | − | − |
| T31a | Turkey | convex, smooth | ND | ++ | − | ++ | 100 | <3% | 6% | + | + | − | + | − | − | − | + | + |
| G2K | Goose | convex, smooth | sticky | ++ | − | + | 0 | 100% | 100% | − | + | − | + | − | − | − | + | + |
| G19a | Goose | convex, smooth | brittle | + | − | + | 100 | 13% | 17% | + | + | − | − | − | + | + | − | − |
| G24a | Goose | convex, smooth | brittle | + | − | + | 13 | 13% | 16% | − | + | − | + | − | − | + | + | + |
| G24b | Goose | convex, rough, undulate | brittle | − | ++ | +++ | 100 | 9% | 10% | − | − | − | + | − | − | − | + | + |
| G31a | Goose | convex, smooth | sticky | ++ | − | + | 100 | 13% | 17% | + | + | − | − | − | − | + | + | + |
| G39a | Goose | convex, rough | brittle | − | ++ | - | 100 | <3% | 7% | − | + | − | + | − | − | + | + | + |
| G50b | Goose | convex, smooth | sticky | − | + | +++ | 42 | 7% | 13% | − | + | − | − | − | − | − | + | + |
| Total: 33 [%] | 17 [51%] | 31 [94%] | 0 | 12 [36%] | 5 [15%] | 8 [24%] | 15 [45%] | 16 [48%] | 19 [57%] | |||||||||
| Strain | PCR Product [bp] | Length of Sequence Deposited in GenBank; Acc. No. | % of Similarity; Sequence ID (GenBank) | |
|---|---|---|---|---|
| P3a | 430 | 387 nk MW478293 |
| <1…174 nk—ABC transporter permease 191…>385 nk—bacteriocin |
| <1…195 nk—gene blp1a -putative bacteriocin subunit a 212…>387nk—gene bimlp—putative bacteriocin immunity protein | |||
| P8a & T27 | 410 | 368 nk MW478294 MW478296 |
| <1…150 nk—salivaricin CRL1328 alpha peptide 168…>368 nk—salivaricin CRL1328 beta peptide |
| <1…202 nk—abp118β—Abp118 bacteriocin β peptide 219..>368 nk—abp118a—Abp118 bacteriocin a peptide | |||
| <1…150 nk—abp118alpha gene—Abp118 alpha 168…>368 nk abp118beta gene—Abp118 beta | |||
| T18a | 390 | 344 nk (deletion of 24 nk) MW478297 |
| <1…150 nk—salivaricin CRL1328 alpha peptide 168…>368 nk- salivaricin CRL1328 beta peptide |
| <1…201 nk—abp118b—Abp118 β peptide 219...>368 nk- abp118a—Abp118 a peptide | |||
| <1…150 nk—abp118alpha -Abp118 alpha 168…>368 nk—abp118beta -Abp118 beta | |||
| Isolate | Phenotypic Antibiotic Resistance | Resistance Genes and Integrase Gene | ||||||||||||||||||
|---|---|---|---|---|---|---|---|---|---|---|---|---|---|---|---|---|---|---|---|---|
| pigeons | P2a | TET | KAN | tetL | ||||||||||||||||
| P3a | TET | KAN | STR | ENR | tetL | tetM | ||||||||||||||
| P8a | KAN | STR | tetL | |||||||||||||||||
| P16a | TET | KAN | STR | ENR | tetL | tetM | ||||||||||||||
| P18a | KAN | STR | lnuA | |||||||||||||||||
| P21a | KAN | STR | ||||||||||||||||||
| P23a | TET | KAN | CHL | ENR | LIN | ERY | tetL | tetM | lnuA | cat | ermB | |||||||||
| chickens | Ch4a | ND | STR | LIN | ermC | ant(6)-Ia | lsaE | |||||||||||||
| Ch8b | KAN | CHL | ENR | tetM | ||||||||||||||||
| Ch9b | KAN | |||||||||||||||||||
| Ch10a | TET | ND | STR | LIN | ERY | tetL | tetM | ermB | ||||||||||||
| Ch10d | TET | ND | CHL | ENR | LIN | ERY | tetL | tetM | ermB | |||||||||||
| Ch24b | TET | ND | STR | GEN | CHL | ENR | LIN | ERY | tetL | tetM | lnuA | ermB | bif | |||||||
| Ch37b | TET | ND | lnuA | ermC | ||||||||||||||||
| Ch40a | ND | ENR | LIN | ERY | lnuA | cat | ermB | |||||||||||||
| Ch50b | KAN | STR | CHL | |||||||||||||||||
| Ch50d | KAN | STR | cat | |||||||||||||||||
| turkeys | T 2a | ND | ENR | |||||||||||||||||
| T 3a | TET | ND | ENR | LIN | ERY | tetL | tetM | ermB | ermC | |||||||||||
| T 7c | ND | STR | ENR | LIN | lnuA | ant(6)-Ia | lsaE | |||||||||||||
| T 17f | AMP | TET | ND | ENR | LIN | ERY | tetL | tetM | ermB | |||||||||||
| T 18a | AMP | TET | ND | CHL | ENR | LIN | ERY | tetL | tetM | lnuA | ermB | |||||||||
| T 21a | AMP | TET | ND | CHL | ENR | LIN | ERY | tetL | tetM | |||||||||||
| T 22a | TET | ND | STR | GEN | CHL | ENR | LIN | ERY | tetL | tetM | ermB | int-Tn | ||||||||
| T 27 | ND | STR | ENR | |||||||||||||||||
| T 31a | AMP | TET | ND | ENR | tetL | tetM | ||||||||||||||
| gees | G 2K | KAN | STR | |||||||||||||||||
| G 19a | KAN | |||||||||||||||||||
| G 24a | ||||||||||||||||||||
| G 24b | ND | ND | ND | ND | ||||||||||||||||
| G 31a | ND | ND | ND | ND | ||||||||||||||||
| G 39a | KAN | STR | ||||||||||||||||||
| G 50b | KAN | STR | ||||||||||||||||||
| 12% | 42% | ND | 48% | 6% | 24% | 48% | 36% | 30% | 42% | 39% | 21% | 9% | 27% | 12% | 3% | 6% | 3% | 6% | ||
Publisher’s Note: MDPI stays neutral with regard to jurisdictional claims in published maps and institutional affiliations. |
© 2021 by the authors. Licensee MDPI, Basel, Switzerland. This article is an open access article distributed under the terms and conditions of the Creative Commons Attribution (CC BY) license (https://creativecommons.org/licenses/by/4.0/).
Share and Cite
Dec, M.; Stępień-Pyśniak, D.; Puchalski, A.; Hauschild, T.; Pietras-Ożga, D.; Ignaciuk, S.; Urban-Chmiel, R. Biodiversity of Ligilactobacillus salivarius Strains from Poultry and Domestic Pigeons. Animals 2021, 11, 972. https://doi.org/10.3390/ani11040972
Dec M, Stępień-Pyśniak D, Puchalski A, Hauschild T, Pietras-Ożga D, Ignaciuk S, Urban-Chmiel R. Biodiversity of Ligilactobacillus salivarius Strains from Poultry and Domestic Pigeons. Animals. 2021; 11(4):972. https://doi.org/10.3390/ani11040972
Chicago/Turabian StyleDec, Marta, Dagmara Stępień-Pyśniak, Andrzej Puchalski, Tomasz Hauschild, Dorota Pietras-Ożga, Szymon Ignaciuk, and Renata Urban-Chmiel. 2021. "Biodiversity of Ligilactobacillus salivarius Strains from Poultry and Domestic Pigeons" Animals 11, no. 4: 972. https://doi.org/10.3390/ani11040972
APA StyleDec, M., Stępień-Pyśniak, D., Puchalski, A., Hauschild, T., Pietras-Ożga, D., Ignaciuk, S., & Urban-Chmiel, R. (2021). Biodiversity of Ligilactobacillus salivarius Strains from Poultry and Domestic Pigeons. Animals, 11(4), 972. https://doi.org/10.3390/ani11040972


