Isolation of a Highly Efficient Antigenic-Protein-Degrading Bacillus amyloliquefaciens and Assessment of Its Safety
Simple Summary
Abstract
1. Introduction
2. Materials and Methods
2.1. Isolation of Bacterial Strain
2.2. SBM and Medium Preparation
2.3. Solid State Fermentation
2.4. Chemical Composition of FSBM
2.5. Protein Extract and SDS-PAGE
2.6. Biochemical Characteristics and Molecular Identification of the Candidate Strain
2.7. In vitro Digestibility
2.8. Safety Assessment of the Candidate Strain
2.9. Statistical Analysis
3. Results
3.1. Screening Strains for SBM Fermentation
3.2. Identification of Candidate Strain
3.3. Effect of Fermentation with B. amyloliquefaciens on the Amino Acid Composition of SBM
3.4. Effect of Fermentation with B. amyloliquefaciens on In Vitro Digestibility of SBM
3.5. Effect of Administration of B. amyloliquefaciens on Bodyweight and Organ Indices of Mice
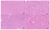
3.6. Effect of Oral Administration of B. amyloliquefaciens on Intestinal Morphological Structure and Hispathology of Mice
4. Discussion
5. Conclusions
Supplementary Materials
Author Contributions
Funding
Conflicts of Interest
References
- Yang, A.-S.; Zuo, L.-L.; Cheng, Y.-F.; Wu, Z.; Li, X.; Tong, P.; Chen, H. Degradation of major allergens and allergenicity reduction of soybean meal through solid-state fermentation with microorganisms. Food Funct. 2018, 9, 1899–1909. [Google Scholar] [CrossRef] [PubMed]
- Perez-Maldonado, R.-A.; Mannion, P.-F.; Farrell, D.-J. Effects of heat treatment on the nutritional value of raw soybean selected for low trypsin inhibitor activity. Br. Poult. Sci. 2003, 44, 299–308. [Google Scholar] [CrossRef] [PubMed]
- Batal, A.-B.; Parsons, C.-M. Utilization of different soy products as affected by age in chicks. Poult. Sci. 2003, 82, 454–462. [Google Scholar] [CrossRef] [PubMed]
- Dunsford, B.R.; Knabe, D.A.; Haensly, W.E. Effect of dietary soybean meal on the microscopic anatomy of the small intestine in the early-weaned pig. J. Anim. Sci. 1989, 67, 1855–1864. [Google Scholar] [CrossRef]
- Maruyama, N.; Sato, R.; Wada, Y.; Matsumura, Y.; Goto, H.; Okuda, E.; Nakagawa, S.; Utsumi, S. Structure-physicochemical function relationships of soybean β-conglycinin constituent subunits. J. Agric. Food Chem. 1999, 47, 5278–5284. [Google Scholar] [CrossRef]
- Zhao, Y.; Qin, G.; Sun, Z.; Zhang, X.; Bao, N.; Wang, T.; Zhang, B.; Zhang, B.; Zhu, D.; Sun, L. Disappearance of immunoreactive glycinin and beta-conglycinin in the digestive tract of piglets. Arch. Anim. Nutr. 2008, 62, 322–330. [Google Scholar] [CrossRef]
- Zhao, Y.; Qin, G.; Sun, Z.; Wang, T.; Zhang, B. Effects of glycinin and β-conglycinin on enterocyte apoptosis, proliferation and migration of piglets. Food Agric. Immunol. 2010, 21, 209–218. [Google Scholar] [CrossRef]
- Li, D.-F.; Nelssen, J.-L.; Reddy, P.-G.; Blecha, F.; Klemm, R.; Goodband, R.-D. Interrelationship between hypersensitivity to soybean proteins and growth performance in early-weaned pigs. J. Anim. Sci. 1991, 69, 4062–4069. [Google Scholar] [CrossRef]
- Zhu, J.; Gao, M.; Zhang, R.; Sun, Z.; Wang, C.; Yang, F.; Huang, T.; Qu, S.; Zhao, L.; Li, Y.; et al. Effects of soybean meal fermented by L. plantarum, B. subtilis and S. cerevisieae on growth, immune function and intestinal morphology in weaned piglets. Microb. Cell Fact. 2017, 16, 191. [Google Scholar] [CrossRef]
- Chen, F.; Hao, Y.; Piao, X.-S.; Ma, X.; Wu, G.-Y.; Qiao, S.-Y.; Li, D.-F.; Wang, J.-J. Soybean-derived beta-conglycinin affects proteome expression in pig intestinal cells in vivo and in vitro. J. Anim. Sci. 2011, 89, 188–202. [Google Scholar] [CrossRef]
- Li, J.; Zhou, R.; Ren, Z.; Fan, Y.; Hu, S.; Zhuo, C.; Deng, Z. Improvement of protein quality and degradation of allergen in soybean meal fermented by Neurospora crassa. LWT 2019, 101, 220–228. [Google Scholar] [CrossRef]
- Hamidoghli, A.; Won, S.; Farris, N.-W.; Bae, J.; Choi, W.; Yun, H.; Bai, S.-C. Solid state fermented plant protein sources as fish meal replacers in whiteleg shrimp Litopaeneus vannamei. Anim. Feed Sci. Tech. 2020, 264, 114474. [Google Scholar] [CrossRef]
- Jeong, J.-S.; Park, J.-W.; Lee, S.-I.; Kim, I.-H. Apparent ileal digestibility of nutrients and amino acids in soybean meal, fish meal, spray-dried plasma protein and fermented soybean meal to weaned pigs. Anim. Sci. J. 2016, 87, 697–702. [Google Scholar] [CrossRef] [PubMed]
- Gu, S.; Zhao, L.; Wu, Y.; Li, S.; Sun, J.; Huang, J.; Li, D. Potential probiotic attributes of a new strain of Bacillus coagulans CGMCC 9951 isolated from healthy piglet feces. World J. Microb. Biot. 2015, 31, 851–863. [Google Scholar] [CrossRef] [PubMed]
- Mukherjee, R.; Chakraborty, R.; Dutta, A. Role of fermentation in improving nutritional quality of soybean meal—A review. Asian Austral. J. Anim. 2016, 29, 1523–1529. [Google Scholar] [CrossRef]
- Seo, S.; Cho, S. Changes in allergenic and antinutritional protein profiles of soybean meal during solid-state fermentation with Bacillus subtilis. LWT 2016, 70, 208–212. [Google Scholar] [CrossRef]
- Teng, D.; Gao, M.; Yang, Y.; Liu, B.; Tian, Z.; Wang, J. Bio-modification of soybean meal with Bacillus subtilis or Aspergillus oryzae. Biocatal. Agric. Biotechnol. 2012, 1, 32–38. [Google Scholar] [CrossRef]
- Chi, C.; Cho, S. Improvement of bioactivity of soybean meal by solid-state fermentation with Bacillus amyloliquefaciens versus Lactobacillus spp. and Saccharomyces cerevisiae. LWT Food Sci. Technol. 2016, 68, 619–625. [Google Scholar] [CrossRef]
- Tukur, H.-M.; Lallès, J.-P.; Mathis, C.; Caugant, I.; Toullec, R. Digestion of soybean globulins, glycinin, α-conglycinin and β-conglycinin in the preruminant and the ruminant calf. Can. J. Anim. Sci. 1993, 73, 891–905. [Google Scholar] [CrossRef]
- Mir, P.-S.; Burton, J.H.; Wilkie, B.N.; van de Voort, F.-R. Reduction of β-conglycinin antigenicity and rate of acid-pepsin proteolysis of proteins in extruded or rumen fluid-treated soybean meal. Can. J. Anim. Sci. 1989, 69, 727–734. [Google Scholar] [CrossRef]
- Cotta, M.-A.; Hespell, R.-B. Proteolytic activity of the ruminal bacterium butyrivibrio fibrisolvens. Appl. Environ. Microbiol. 1986, 52, 51–58. [Google Scholar] [CrossRef]
- Zhang, Y.; Shi, C.-Y.; Wang, C.; Lu, Z.-Q.; Wang, F.-Q.; Feng, J.; Wang, Y.-Z. Effect of soybean meal fermented with Bacillus subtilis BS12 on growth performance and small intestinal immune status of piglets. Food Agric. Immunol. 2018, 29, 133–146. [Google Scholar] [CrossRef]
- Wongputtisin, P.; Khanongnuch, C.; Khongbantad, W.; Niamsup, P.; Lumyong, S. Screening and selection of Bacillus spp. For fermented corticate soybean meal production. J. Appl. Microbiol. 2012, 113, 798–806. [Google Scholar] [CrossRef]
- Medeiros, S.; Xie, J.; Dyce, P.-W.; Cai, H.-Y.; DeLange, K.; Zhang, H.; Li, J. Isolation of bacteria from fermented food and grass carp intestine and their efficiencies in improving nutrient value of soybean meal in solid state fermentation. J. Anim. Sci. Biotechnol. 2018, 9, 29. [Google Scholar] [CrossRef]
- Liu, J.; Fang, C.; Jiang, Y.; Yan, R. Characterization of a Hemolysin Gene ytjA from Bacillus subtilis. Curr. Microbiol. 2009, 58, 642–647. [Google Scholar] [CrossRef]
- AlGburi, A.; Volski, A.; Cugini, C.; Walsh, E.-M.; Chistyakov, V.-A.; Mazanko, M.-S.; Bren, A.-B.; Dicks, L.-M.-T.; Chikindas, M.-L. Safety properties and probiotic potential of Bacillus subtilis KATMIRA1933 and Bacillus amyloliquefaciens B-1895. Adv. Microbiol. 2016, 06, 432–452. [Google Scholar] [CrossRef]
- Chantawannakul, P.; Oncharoen, A.; Klanbut, K.; Chukeatiroteb, E.; Lumyonga, S. Characterization of proteases of Bacillus subtilis strain 38 isolated from traditionally fermented soybean in Northern Thailand. Sci. Asia 2002, 28, 241–245. [Google Scholar] [CrossRef]
- Liu, C.; Wang, H.; Cui, Z.; He, X.; Wang, X.; Zeng, X.; Ma, H. Optimization of extraction and isolation for 11S and 7S globulins of soybean seed storage protein. Food Chem. 2007, 102, 1310–1316. [Google Scholar] [CrossRef]
- Deak, N.-A.; Murphy, P.-A.; Johnson, L.-A. Effects of NaCl Concentration on Salting-in and Dilution During Salting-out on Soy Protein Fractionation. J. Food Sci. 2006, 71, C247–C254. [Google Scholar] [CrossRef]
- Chen, L.; Gao, L.-X.; Huang, Q.-H.; Lu, Q.-P.; Sa, R.-N.; Zhang, H.-F. Prediction of digestible energy of feed ingredients for growing pigs using a computer-controlled simulated digestion system1. J. Anim. Sci. 2014, 92, 3887–3894. [Google Scholar] [CrossRef]
- Zhao, F.; Ren, L.-Q.; Mi, B.-M.; Tan, H.-Z.; Zhao, J.-T.; Li, H.; Zhang, H.-F.; Zhang, Z.-Y. Developing a computer-controlled simulated digestion system to predict the concentration of metabolizable energy of feedstuffs for rooster1. J. Anim. Sci. 2014, 92, 1537–1547. [Google Scholar] [CrossRef] [PubMed]
- Chen, D.; Liu, X.; Li, C.; Tian, W.; Shen, Q.; Shen, B. Isolation of Bacillus amyloliquefaciens S20 and its application in control of eggplant bacterial wilt. J. Environ. Manag. 2014, 137, 120–127. [Google Scholar] [CrossRef] [PubMed]
- Lee, A.; Cheng, K.; Liu, J. Isolation and characterization of a Bacillus amyloliquefaciens strain with zearalenone removal ability and its probiotic potential. PLoS ONE 2017, 12, e0182220. [Google Scholar] [CrossRef]
- Dai, Z.; Cui, L.; Li, J.; Wang, B.; Guo, L.; Wu, Z.; Zhu, W.; Wu, G. Fermentation techniques in feed production. Anim. Agric. 2020, 407–429. [Google Scholar] [CrossRef]
- Gao, S.; Pan, L.; Zhang, M. Screening of bacterial strains from the gut of Pacific White Shrimp (Litopenaeus vannamei) and their efficiencies in improving the fermentation of soybean meal. FEMS Microbiol. Lett. 2020, 367. [Google Scholar] [CrossRef] [PubMed]
- Larsen, N.; Thorsen, L.; Kpikpi, E.-N.; Stuer-Lauridsen, B.; Cantor, M.-D.; Nielsen, B.; Brockmann, E.; Derkx, P.-M.-F.; Jespersen, L. Characterization of Bacillus spp. Strains for use as probiotic additives in pig feed. Appl. Microbiol. Biot. 2014, 98, 1105–1118. [Google Scholar] [CrossRef]
- Zhu, J.; Gao, M.; Song, X.; Zhao, L.; Li, Y.; Hao, Z. Changes in bacterial diversity and composition in the faeces and colon of weaned piglets after feeding fermented soybean meal. J. Med. Microbiol. 2018, 67, 1181–1190. [Google Scholar] [CrossRef]
- Zhang, Y.; Chen, S.; Zong, X.; Wang, C.; Shi, C.; Wang, F.; Wang, Y.; Lu, Z. Peptides derived from fermented soybean meal suppresses intestinal inflammation and enhances epithelial barrier function in piglets. Food Agric. Immunol. 2020, 31, 120–135. [Google Scholar] [CrossRef]
- Roh, S.; Carroll, J.-A.; Kim, S.-W. Effects of fermented soybean meal on innate immunity-related gene expressions in nursery pigs acutely challenged with lipopolysaccharides. Anim. Sci. J. 2015, 86, 508–516. [Google Scholar] [CrossRef]
- Zheng, L.; Li, D.; Li, Z.-L.; Kang, L.-N.; Jiang, Y.-Y.; Liu, X.-Y.; Chi, Y.-P.; Li, Y.-Q.; Wang, J.-H. Effects of Bacillus fermentation on the protein microstructure and anti-nutritional factors of soybean meal. Lett. Appl. Microbiol. 2017, 65, 520–526. [Google Scholar] [CrossRef] [PubMed]
- Swain, B.-K.; Johri, T.-S. Effect of supplemental methionine, choline and their combinations on the performance and immune response of broilers. Br. Poult. Sci. 2000, 41, 83–88. [Google Scholar] [CrossRef] [PubMed]
- Huyghebaert, G.; Pack, M. Effects of dietary protein content, addition of nonessential amino acids and dietary methionine to cysteine balance on responses to dietary sulphur-containing amino acids in broilers. Br. Poult. Sci. 1996, 37, 623–639. [Google Scholar] [CrossRef] [PubMed]
- Edmonds, M.S.; Gonyou, H.W.; Baker, D.H. Effect of excess levels of methionine, tryptophan, arginine, lysine or threonine on growth and dietary choice in the pig. J. Anim. Sci. 1987, 65, 179–185. [Google Scholar] [CrossRef] [PubMed]
- Hassaan, M.-S.; Soltan, M.-A.; Abdel-Moez, A.-M. Nutritive value of soybean meal after solid state fermentation with Saccharomyces cerevisiae for Nile tilapia, Oreochromis niloticus. Anim. Feed Sci. Tech. 2015, 201, 89–98. [Google Scholar] [CrossRef]
- Lim, J.; Park, B.; Kim, M.; Rhee, M.; Park, S.; Yun, H. Acute Oral Toxicity and Pathogenicity of a Potential Probiotic Bacillus sp. A9184 Isolated from Soybean Paste. Toxicol. Res. 2004, 20, 359–363. [Google Scholar]
- Nithya, V.; Muthukumar, S.-P.; Halami, P.-M. Safety Assessment of Bacillus licheniformis Me1 Isolated from Milk for Probiotic Application. Int. J. Toxicol. 2012, 31, 228–237. [Google Scholar] [CrossRef]
- Hong, H.-A.; Huang, J.-M.; Khaneja, R.; Hiep, L.-V.; Urdaci, M.-C.; Cutting, S.-M. The safety of Bacillus subtilis and Bacillus indicus as food probiotics. J. Appl. Microbiol. 2008, 105, 510–520. [Google Scholar] [CrossRef]
- Lakshmi, S.-G.; Jayanthi, N.; Saravanan, M.; Ratna, M.-S. Safety assesment of Bacillus clausii UBBC07, a spore forming probiotic. Toxicol. Rep. 2017, 4, 62–71. [Google Scholar] [CrossRef] [PubMed]
- WHO; FAO. Joint FAO/WHO (Food and Agriculture Organization/World Health Organization) Working Group Report on Drafting Guidelines for the Evaluation of Probiotics in Food. WHO and FAO: London, ON, Canada, 2002. [Google Scholar]
- Sudha, R.-M.; Sunita, M.; Sekhar, B.-M. Safety studies of Bacillus coagulans Unique IS-2 in rats: Morphological, biochemical and clinical evaluations. Int. J. Probiotics Prebiotics 2011, 6, 43–48. [Google Scholar]
- Yang, P.; Zhu, X.; Cao, L.; Cheng, J.; Zheng, Z.; Jiang, S. Safety evaluation of Bacillus cereus isolated from smelly mandarin fish. J. Food Meas. Charact. 2017, 11, 726–735. [Google Scholar] [CrossRef]




| Strain | Protease a | Protease b | Amylase | Xylanase | ||||||||
|---|---|---|---|---|---|---|---|---|---|---|---|---|
| HD c (cm) | CD d (cm) | HD/CD | HD (cm) | CD (cm) | HD/CD | HD (cm) | CD (cm) | HD/CD | HD (cm) | CD (cm) | HD/CD | |
| GYL6 | 2.70 | 1.00 | 2.70 | 2.70 | 1.10 | 2.45 | 2.00 | 1.10 | 1.82 | 1.73 | 1.23 | 1.41 |
| GYL5 | 2.83 | 2.30 | 1.21 | 2.43 | 1.47 | 1.66 | 2.73 | 2.43 | 1.12 | 2.73 | 2.42 | 1.12 |
| 21237 | - | - | - | 1.13 | 0.57 | 2.00 | 1.27 | 0.67 | 1.9 | - | - | - |
| BSD2 | 1.70 | 0.60 | 2.83 | 1.47 | 0.60 | 2.44 | - | - | - | - | - | - |
| GYL4 | - | - | - | - | - | - | 1.13 | 0.87 | 1.31 | - | - | - |
| GYL3 | 1.67 | 0.53 | 3.13 | 1.43 | 0.53 | 2.53 | - | - | - | - | - | - |
| GYL2 | 1.63 | 0.53 | 3.06 | 1.37 | 0.53 | 2.56 | - | - | - | - | - | - |
| GYL1 | - | - | - | - | - | - | - | - | - | - | - | - |
| Items | TCA-SP, % | Crude Protein, % | Glycinin | β-Conglycinin | ||
|---|---|---|---|---|---|---|
| Content, mg/g | Degradation 1, % | Content, mg/g | Degradation, % | |||
| SBM | 1.95 g | 46.92 c | 179.43 a | - | 135.83 a | - |
| GYL6 2 | 21.39 a | 55.15 a | 13.78 e | 92.32 | 20.30 e | 85.05 |
| GYL5 | 10.12 d | 54.55 a,b | 131.95 b | 26.46 | 56.46 b | 58.43 |
| 21237 | 8.34 e | 53.05 b | 147.83 b | 17.61 | 61.81 b | 54.49 |
| BSD2 | 17.24 b | 54.29 ab | 32.92 d | 81.65 | 31.55 d | 76.77 |
| GYL4 | 11.78 c | 53.95 b | 116.40 c | 35.13 | 51.52 c | 62.07 |
| GYL3 | 18.53 b | 53.45 b | 29.89 d | 83.34 | 28.89 d | 78.73 |
| GYL2 | 18.05 b | 53.74 b | 27.21 d | 84.83 | 27.65 d | 79.64 |
| GYL1 | 6.77 f | 53.64 b | 139.24 b | 22.39 | 58.95 b | 56.60 |
| SEM | 1.27 | 0.52 | 7.89 | - | 7.12 | - |
| p-value | <0.01 | <0.01 | <0.01 | - | <0.01 | - |
| Items | GYL6 | B. amyloliquefaciens S20a [32] | B. amyloliquefaciens LN2b [33] |
|---|---|---|---|
| Cell shape | Rod | Rod | Rod |
| Gram staining | + | + | + |
| D-Glucose | + | + | + |
| D-Xylose | + | + | + |
| L-Rhamnose | − | No detected | − |
| D-Mannitol | + | + | + |
| L-Arabinose | + | No detected | + |
| Maltose | + | + | + |
| Sucrose | + | + | + |
| Lactose | + | No detected | + |
| Malonate | − | No detected | No detected |
| Starch | + | + | + |
| Citrate | + | + | + |
| Nitrate reduction test | + | + | No detected |
| VP-reaction | − | + | No detected |
| Items | SBM | FSBM | SEM | p-Value |
|---|---|---|---|---|
| Essential amino acid | ||||
| Arg | 3.36 | 2.95 | 0.01 | <0.01 |
| His | 1.24 | 1.44 | 0.01 | <0.01 |
| Lys | 3.10 | 3.13 | 0.02 | 0.21 |
| Met | 0.68 | 0.78 | 0.03 | 0.03 |
| Thr | 1.83 | 1.90 | 0.02 | 0.04 |
| Ile | 2.29 | 2.28 | 0.03 | 0.77 |
| Leu | 3.76 | 3.82 | 0.06 | 0.34 |
| Phe | 2.48 | 2.81 | 0.02 | <0.01 |
| Val | 2.34 | 2.59 | 0.03 | <0.01 |
| Nonessential amino acid | ||||
| Cys | 0.66 | 0.77 | 0.01 | <0.01 |
| Gly | 2.04 | 2.19 | 0.01 | <0.01 |
| Ala | 2.13 | 2.35 | 0.06 | 0.02 |
| Tyr | 1.55 | 1.73 | 0.06 | 0.06 |
| Asp | 5.51 | 5.67 | 0.01 | <0.01 |
| Ser | 2.41 | 2.13 | 0.02 | <0.01 |
| Pro | 2.43 | 2.79 | 0.03 | <0.01 |
| Glu | 8.46 | 10.17 | 0.16 | <0.01 |
| Total | 46.40 | 49.45 | 0.47 | 0.02 |
| Items | Body Weight | Organ Index of Mice (%) | Mortality Rate (%) | |||
|---|---|---|---|---|---|---|
| Initial Weight (g) | Final Weight (g) | Heart | Liver | Spleen | ||
| control group | 23.20 | 26.07 | 0.54 | 4.26 | 0.31 | 0 |
| treatment group | 23.20 | 26.73 | 0.53 | 4.15 | 0.32 | 0 |
| SEM | 0.21 | 0.30 | 0.01 | 0.05 | 0.01 | - |
| p-value | 1.00 | 0.16 | 0.45 | 0.20 | 0.47 | - |
| Items | Control Group | Experimental Group | SEM | p-Value | |
|---|---|---|---|---|---|
| Duodenum | Villus height (VH) | 381.09 | 438.77 | 12.06 | 0.01 |
| Crypt depth (CD) | 72.80 | 85.85 | 8.05 | 0.32 | |
| VH: CD ratio | 5.57 | 5.26 | 0.54 | 0.78 | |
| Jejunum | Villus height (VH) | 261.17 | 280.91 | 4.01 | 0.23 |
| Crypt depth (CD) | 94.91 | 79.27 | 5.71 | 0.04 | |
| VH: CD ratio | 2.75 | 3.61 | 0.29 | 0.03 | |
| Ileum | Villus height (VH) | 225.42 | 303.00 | 5.4 | <0.01 |
| Crypt depth (CD) | 75.66 | 83.29 | 3.28 | 0.27 | |
| VH: CD ratio | 2.97 | 3.64 | 0.11 | <0.01 | |
© 2020 by the authors. Licensee MDPI, Basel, Switzerland. This article is an open access article distributed under the terms and conditions of the Creative Commons Attribution (CC BY) license (http://creativecommons.org/licenses/by/4.0/).
Share and Cite
Li, Y.; Guo, B.; Li, C.; Wang, W.; Wu, Z.; Liu, G.; Cai, H. Isolation of a Highly Efficient Antigenic-Protein-Degrading Bacillus amyloliquefaciens and Assessment of Its Safety. Animals 2020, 10, 1144. https://doi.org/10.3390/ani10071144
Li Y, Guo B, Li C, Wang W, Wu Z, Liu G, Cai H. Isolation of a Highly Efficient Antigenic-Protein-Degrading Bacillus amyloliquefaciens and Assessment of Its Safety. Animals. 2020; 10(7):1144. https://doi.org/10.3390/ani10071144
Chicago/Turabian StyleLi, Yang, Baozhu Guo, Chong Li, Weiwei Wang, Zhengke Wu, Guohua Liu, and Huiyi Cai. 2020. "Isolation of a Highly Efficient Antigenic-Protein-Degrading Bacillus amyloliquefaciens and Assessment of Its Safety" Animals 10, no. 7: 1144. https://doi.org/10.3390/ani10071144
APA StyleLi, Y., Guo, B., Li, C., Wang, W., Wu, Z., Liu, G., & Cai, H. (2020). Isolation of a Highly Efficient Antigenic-Protein-Degrading Bacillus amyloliquefaciens and Assessment of Its Safety. Animals, 10(7), 1144. https://doi.org/10.3390/ani10071144
