Development of PCR-Based Detection System for Soft Rot Pectobacteriaceae Pathogens Using Molecular Signatures
Abstract
1. Introduction
2. Materials and Methods
2.1. Bacterial Strains, Media, and Growth Conditions
2.2. Genomic DNA Extraction
2.3. Primer Design and Optimization
2.4. End Point PCR Conditions
2.5. DNA Quantification and Plotting of Standard Curves by qPCR
2.6. Phylogenetic Analysis
3. Results
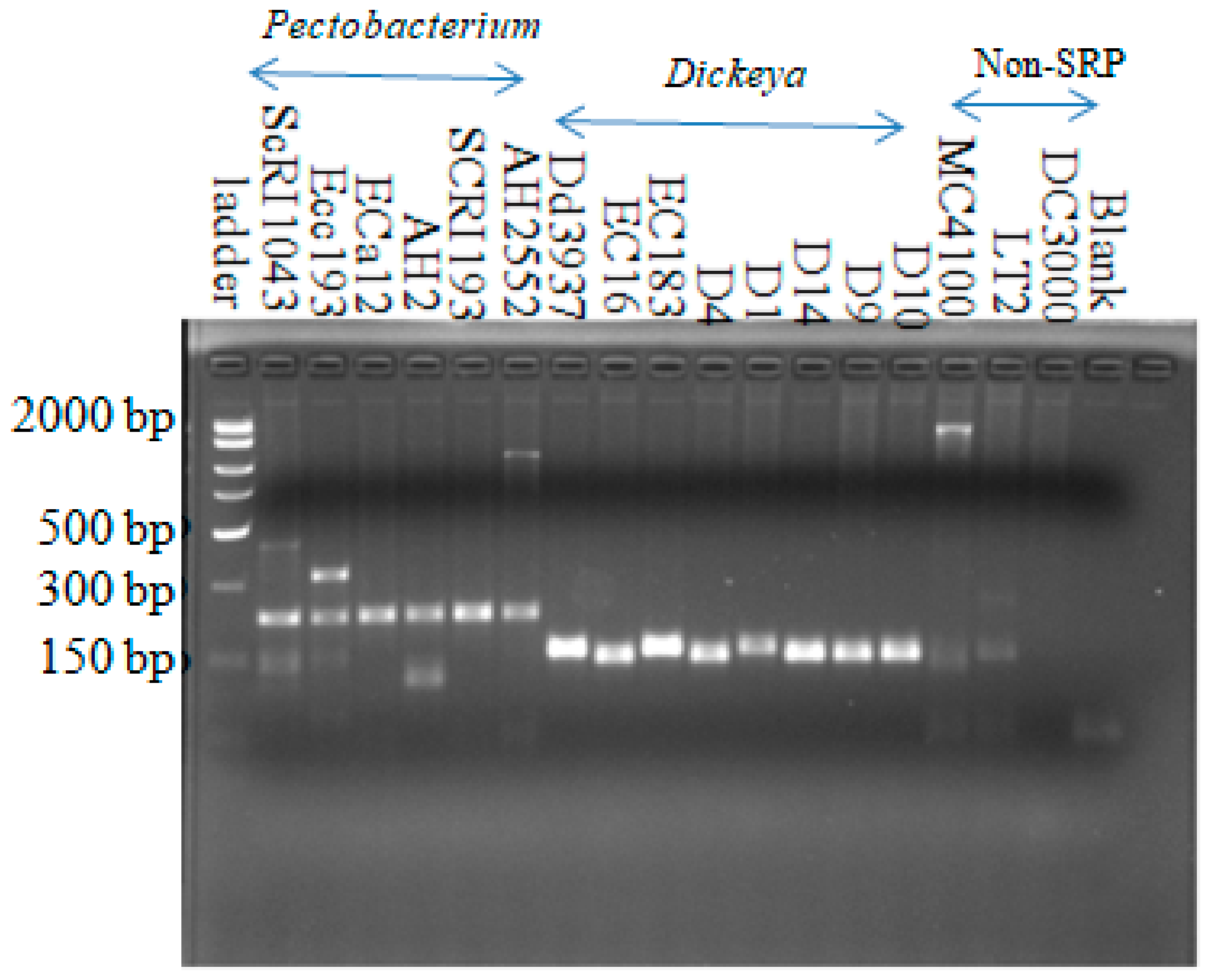
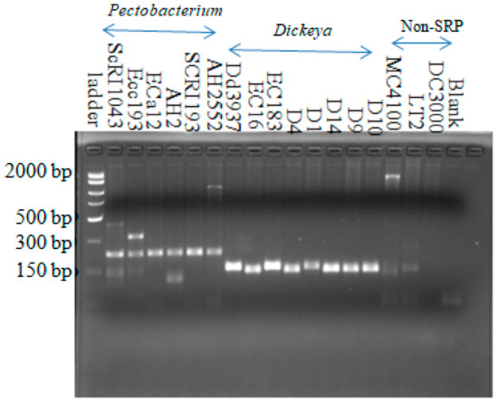
3.1. Polymerase Chain Reaction Assay
3.2. Sensitivity of the Polymerase Chain Reaction Assay
3.3. Phylogenetic Analysis Based on Regulatory Protein, RsmC
4. Discussion
5. Conclusions
Supplementary Materials
Author Contributions
Funding
Acknowledgments
Conflicts of Interest
References
- Adeolu, M.; Alnajar, S.; Naushad, S.; Gupta, S.R. Genome-based phylogeny and taxonomy of the ‘Enterobacteriales’: Proposal for Enterobacterales ord. nov. divided into the families Enterobacteriaceae, Erwiniaceae fam. nov., Pectobacteriaceae fam. nov., Yersiniaceae fam.nov., Hafniaceae fam. nov., Morganellaceae fam. nov., and Budviciaceae fam. nov. Int. J. Syst. Evol. Microbiol. 2016, 66, 5575–5599. [Google Scholar] [PubMed]
- Bhat, K.A.; Masood, S.D.; Bhat, N.A.; Bhat, M.A.; Razvi, S.M.; Mir, M.R.; Akhtar, S.; Wani, N.; Habib, M. Current Status of Post Harvest Soft Rot in Vegetables: A Review. Asian J. Plant Sci. 2010, 9, 200–208. [Google Scholar] [CrossRef]
- Mansfield, J.; Genin, S.; Magori, S.; Citovsky, V.; Sriariyanum., M.; Ronald, P.; Dow, M.; Verdier, V.; Beer, S.V.; Machado, M.A.; et al. Top 10 plant pathogenic bacteria in molecular plant pathology. Mol. Plant Pathol. 2012, 13, 614–629. [Google Scholar] [CrossRef] [PubMed]
- Czajkowski, R.; Pérombelon, M.C.M.; van Veen, J.A.; van der Wolf, J.M. Control of blackleg and tuber soft rot of potato caused by Pectobacterium and Dickeya species: A review. Plant Pathol. 2011, 60, 999–1013. [Google Scholar] [CrossRef]
- Perombelon, M.C.M.; Kelman, A. Ecology of the soft rot Pectobacterium. Ann. Rev. Phytopathol. 1980, 18, 316–387. [Google Scholar] [CrossRef]
- Pérombelon, M.C.M. Potato diseases caused by soft rot Erwinias: An overview of pathogenesis. Plant Pathol. 2002, 51, 1–12. [Google Scholar] [CrossRef]
- Ma, B.; Hibbing, M.E.; Kim, H.S.; Reedy, R.M.; Yedidia, I.; Breuer, J.; Breuer, J.; Glasner, J.D.; Perna, N.T.; Kelman, A.; et al. Host range and molecular phylogenies of the soft rot enterobacterial genera Pectobacterium and Dickeya. Phytopathol 2007, 97, 1150–1163. [Google Scholar] [CrossRef]
- Charkowski, A.O.; Lind, J.; Rubio-salazar, I. Genomics of Plant-Associated Bacteria; Springer: Berlin/Heidelberg, Germany, 2014; pp. 37–59. [Google Scholar] [CrossRef]
- Tarasova, N.; Gorshkov, V.; Petrova, O.; Gogolev, Y. Potato signal molecules that activate pectate lyase synthesis in Pectobacterium atrosepticum SCRI1043. World J. Microbiol. Biotechnol. 2013, 29, 1189–1196. [Google Scholar] [CrossRef]
- Hauben, L.; Moore, E.R.; Vauterin, L.; Steenackers, M.; Mergaert, J.; Verdonck, L.; Swings, J. Phylogenetic position of phytopathogens within the Enterobacteriaceae. Syst. Appl. Microbiol. 1998, 21, 384–397. [Google Scholar] [CrossRef]
- Samson, R.; Legendre, J.B.; Christen, R.; Fischer-Le Saux, M.; Achouak, W.; Garden, L. Transfer of Pectobacterium chrysanthemi and Brenneria paradisiaca to the genus Dickeya gen. nov. as Dickeya chrysanthemi comb. nov. and Dickeya paradisiaca comb. nov. and delineation of four novel species, Dick. Int. J. Syst. Evol. Microbiol. 2005, 55, 1415–1427. [Google Scholar] [CrossRef]
- Czajkowski, R.; Pérombelon, M.C.M.; Jafra, S.; Lojkowska, E.; Potrykus, M.; van der Wolf, J.M.; Sledz, W. Detection, identification and differentiation of Pectobacterium and Dickeya species causing potato blackleg and tuber soft rot: A review. Ann. Appl. Biol. 2015, 166, 18–38. [Google Scholar] [CrossRef] [PubMed]
- Gardan, L.; Gouy, C.; Christen, R.; Samson, R. Elevation of three subspecies of Pectobacterium carotovorum to species level: Pectobacterium atrosepticum sp. nov., Pectobacterium betavasculorum sp. nov. and Pectobacterium wasabiae sp. nov. Int. J. Syst. Evol. Microbiol. 2003, 53, 381–391. [Google Scholar] [CrossRef] [PubMed]
- Nabhan, S.; De Boer, S.H.; Maiss, E.; Wydra, K. Pectobacterium aroidearum sp. nov., a soft rot pathogen with preference for monocotyledonous plants. Int. J. Syst. Evol. Microbiol. 2013, 61, 498–508. [Google Scholar] [CrossRef] [PubMed]
- Khayi, S.; Cigna, J.; Chong, T.M.; Quetu-Laurent, A.; Chan, K.G.; Helias, V.; Faure, D. Transfer of the potato plant isolates of Pectobacterium wasabiae to Pectobacterium parmentieri sp. nov. Int. J. Syst. Evol. Microbiol. 2016, 66, 5379–5383. [Google Scholar] [CrossRef] [PubMed]
- Waleron, M.; Waleron, K.; Lojkowska, E. Characterization of Pectobacterium carotovorum subsp odoriferum causing soft rot of stored vegetables. Eur. J. Plant Pathol. 2014, 139, 457–469. [Google Scholar]
- Zaczek-Moczydłowska, M.A.; Fleming, C.C.; Young, G.K.; Campbell, K.; O’Hanlon, R. Pectobacterium and Dickeya species detected in vegetables in Northern Ireland. Eur. J. Plant Pathol. 2019, 154, 635–647. [Google Scholar] [CrossRef]
- Dees, M.W.; Lysoe, E.; Rossmann, S.; Perminow, J.; Brurberg, M.B. Pectobacterium polaris sp. nov., isolated from potato (Solanum tuberosum). Int. J. Syst. Evol. Microbiol 2017, 67, 5222–5229. [Google Scholar] [CrossRef]
- Waleron, M.; Misztak, A.; Waleron, M.; Franczuk, M.; Wielgomas, B.; Waleron, K. Transfer of Pectobacterium carotovorum subsp. carotovorumstrains isolated from potatoes grown at high altitudes to Pectobacterium peruviense sp. nov. Syst. Appl. Microbiol. 2017, 41, 85–93. [Google Scholar] [CrossRef]
- Sarfraz, S.; Riaz, K.; Oulghazi, S.; Cigna, J.; Sahi, S.T.; Khan, S.H.; Faure, D. Pectobacterium punjabense sp. nov., isolated from blackleg symptoms of potato plants in Pakistan. Int. J. Syst. Evol. Microbiol. 2018, 68, 3551–3556. [Google Scholar] [CrossRef]
- Shirshikov, F.V.; Korzhenkov, A.A.; Miroshnikov, K.K.; Kabanova, A.P.; Barannik, A.P.; Ignatov, A.N. Draft genome sequences of new genomospecies “Candidatus Pectobacterium maceratum” strains, which cause soft rot in plants. Genome Announc. 2018, 6, 218–260. [Google Scholar] [CrossRef]
- Portier, P.; Pédron, J.; Taghouti, G.; Fischer-Le Saux, M.; Caullireau, E.; Bertrand, C.; Laurent, A.; Chawki, K.; Oulgazi, S.; Moumni, M.; et al. Elevation of Pectobacterium carotovorum subsp. odoriferum to species level as Pectobacterium odoriferum sp. nov., proposal of Pectobacterium brasiliense sp. nov. and Pectobacterium actinidiae sp. nov., emended description of Pectobacterium carotovorum and description of Pectobacterium versatile sp. nov., isolated from streams and symptoms on diverse plants. Int. J. Syst. Evol. Microbiol. 2019, 69, 3207–3216. [Google Scholar]
- Brady, C.L.; Cleenwerck, I.; Denman, S.; Venter, S.N.; Rodríguez-Palenzuela, P.; Coutinho, T.A.; De Vos, P. Proposal to reclassify Brenneria quercina (Hildebrand & Schroth 1967) Hauben 1999 into a novel genus, Lonsdalea gen. nov., as Lonsdalea quercina comb. nov., descriptions of Lonsdalea quercina subsp. quercina comb. nov., Lonsdalea quercina subsp. iberica subsp. nov. and Lonsdalea quercina subsp. britannica subsp. nov., emendation of the description of the genus Brenneria, reclassification of Dickeya dieffenbachiae as Dickeya dadantii subsp. dieffenbachiae comb. nov., and emendation of the description of Dickeya dadantii. Int. J. Syst. Evol. Microbiol. 2012, 62, 1592–1602. [Google Scholar] [PubMed]
- Parkinson, N.; DeVos, P.; Pirhonen, M.; Elphinstone, J. Dickeya aquatica sp. nov., isolated from waterways. Int. J. Syst. Evol. Microbiol. 2014, 64, 2264–2266. [Google Scholar] [CrossRef] [PubMed]
- van derWolf, J.M.; Nijhuis, E.H.; Kowalewska, M.J.; Saddler, G.S.; Parkinson, N.; Elphinstone, J.G.; Pritchard, L.; Toth, I.K.; Łojkowska, E.; Potrykus, M.; et al. Dickeya solani sp. nov., a pectinolytic plant pathogenic bacterium isolated from potato (Solanum tuberosum). Int. J. Syst. Evol. Microbiol. 2014, 64, 768–774. [Google Scholar] [CrossRef]
- Tian, Y.; Zhao, Y.; Yuan, X.; Yi, J.; Fan, J.; Xu, Z.; Hu, B.; De Boer, S.H.; Li, X. Dickeya fangzhongdai sp. nov., a plant-pathogenic bacterium isolated from pear trees (Pyrus pyrifolia). Int. J. Syst. Evol. Microbiol. 2016, 66, 2831–2835. [Google Scholar] [CrossRef]
- Duprey, A.; Taib, N.; Leonard, S.; Garin, T.; Flandrois, J.P.; Nasser, W.; Brochier-Armanet, C.; Reverchon, S. The phytopathogenic nature of Dickeya aquatica 174/2 and the dynamic early evolution of Dickeya pathogenicity. Environmen. Microbiol 2019, 21, 2809–2835. [Google Scholar] [CrossRef]
- Hugouvieux-Cotte-Pattat, N.; Jacot-des-Combes, C.; Briolay, J. Dickeya lacustris sp. nov., a water-living pectinolytic bacterium isolated from lakes in France. Int. J. Syst. Evol. Microbiol. 2019, 69, 721–726. [Google Scholar] [CrossRef]
- Oulghazi, S.; Pédron, J.; Cigna, J.; Lau, Y.Y.; Moumni, M.; Van Gijsegem, F.; Chan, K.G.; Faure, D. Dickeya undicola sp. nov., a novel species for pectinolytic isolates from surface waters in Europe and Asia. Int. J. Syst. Evol. Microbiol. 2019, 69, 2440–2444. [Google Scholar] [CrossRef]
- Nunes Leite, L.; de Haan, E.G.; Krijger, M.; Kastelein, P.; van der Zouwen, P.S.; van den Bovenkamp, G.W.; Tebaldi, N.D.; van der Wolf, J.M. First report of potato blackleg caused by Pectobacterium carotovorum subsp. brasiliensis in the Netherlands. New Dis. Rep. 2014, 29, 24. [Google Scholar] [CrossRef]
- De Werra, P.; Bussereau, F.; Keiser, A. First report of potato blackleg caused by Pectobacterium carotovorum subsp. brasiliense in Switzerland. Plant Disease. 2015, 99, 551. [Google Scholar] [CrossRef]
- Toth, I.K.; van der Wolf, J.M.; Saddler, G.; Lojkowska, E.; Hélias, V.; Pirhonen, M.; Tsror Lahkim, L.; Elphinstone, J.G. Dickeya species: An emerging problem for potato production in Europe. J. Plant Pathol. 2011, 60, 385–399. [Google Scholar] [CrossRef]
- Van der Wolf, J.M.; de Haan, E.G.; Kastelein, P.; Krijger, M.; de Haas, B.H.; Velvis, H.; Mendes, O.; Kooman-Gersmann, M.; van der Zouwen, P.S. Virulence of Pectobacterium carotovorum subsp. brasiliense on potato compared with that of other. Pectobacterium and Dickeya species under climatic conditions prevailing in the Netherlands. Plant Pathol. 2017, 66, 571–583. [Google Scholar] [CrossRef]
- De Boer, S.H.; Li, X.; Ward, L. Pectobacterium spp. associated with bacterial stem rot syndrome of potato in Canada. Phytopathol. 2012, 102, 937–947. [Google Scholar] [CrossRef] [PubMed][Green Version]
- Dees, M.W.; Lebecka, R.; Perminow, J.I.; Czajkowski, R.; Grupa, A.; Motyka, A.; Zoledowska, S.; Śliwka, J.; Łojkowska, E.; Brurberg, M.B. Characterization of Dickeya and Pectobacterium strains obtained from diseased potato plants in different climatic conditions of Norway and Poland. Eur. J. Plant Pathol. 148, 839–851. [CrossRef]
- Waleron, M.; Waleron, K.; Łojkowska, E. Occurrence of Pectobacterium wasabiae in potato field samples. Eur. J. Plant Pathol. 2013, 137, 149–158. [Google Scholar] [CrossRef][Green Version]
- Elphistone, J. Blackleg Survey-English and Welsh Seed Crops 2013−2015. Final Report. 2016. Available online: https://potatoes.ahdb.org.uk/sites/default/files/publication_upload/R475%20Final%20Report%20for%20publication.pdf (accessed on 10 February 2020).
- Elphistone, J. Blackleg Survey Samples. Final Report. 2016. Available online: http://potatoes.ahdb.org.uk/sites/default/files/publication_upload/2016%20monitoring%20stocks%20of%20a%20single%20variety.pdf (accessed on 10 February 2020).
- Potrykus, M.; Sledz, W.; Golanowska, M.; Slawiak, M.; Binek, A.; Motyka, A.; Zoledowska, S.; Czajkowski, R.; Lojkowska, E. Simultaneous detection of major blackleg and soft rot bacterial pathogens in potato by multiplex polymerase chain reaction. Ann. Appl. Biol. 2014, 165, 474–487. [Google Scholar] [CrossRef]
- Barras, F.; van Gijsegem, F.; Chatterjee, A.K. Extracellular Enzymes and Pathogenesis of Soft-Rot Erwinia. Annu. Rev. Phytopathol. 1994, 32, 201–234. [Google Scholar] [CrossRef]
- Hauben, L.; Steenackers, M.; Swings, J. PCR-Based detection of the causal agent of watermark disease in willows (Salix spp.). Appl. Environ. Microbiol. 1998, 64, 3966–3971. [Google Scholar] [CrossRef]
- De Boer, S.H. Characterization of pectolytic erwinias as highly sophisticated pathogens of plants. Eur. J. Plant Pathol. 2003, 109, 893–899. [Google Scholar] [CrossRef]
- Charkowski, A.; Blanco, C.; Condemine, G.; Expert, T.; Franza, T.; Hayes, C.; Hugouvieux-Cotte-Pattat, N.; López Solanilla, E.; Low, D.; Moleleki, L.; et al. The role of secretion systems and small molecules in soft-rot Enterobacteriaceae pathogenicity. Annu. Rev. Phytopathol. 2012, 50, 425–449. [Google Scholar] [CrossRef]
- Yasuhara-Bell, J.; Marrero, G.; De Silva, A.; Alvarez, A.M. Specific detection of Pectobacterium carotovorum by loop-mediated isothermal amplification. Mol. Plant Pathol. 2016, 17, 1499–1505. [Google Scholar] [CrossRef] [PubMed]
- Naushad, H.S.; Lee, B.; Gupta, R.S. Conserved signature indels and signature proteins as novel tools for understanding microbial phylogeny and systematics: Identification of molecular signatures that are specific for the phytopathogenic genera Dickeya, Pectobacterium and Brenneria. Int. J. Syst. Evol. Microbiol. 2014, 64, 366–383. [Google Scholar] [CrossRef] [PubMed]
- Li, X.; Nie, J.; Ward, L.J.; Nickerson, J.; De Boer, S.H. Development and evaluation of a loop-mediated isothermal amplification assay for rapid detection and identification of Pectobacterium atrosepticum. Can. J. Plant Pathol. 2011, 33, 447–457. [Google Scholar] [CrossRef]
- Diallo, S.; Latou, R.X.; Groboillot, A.; Smadja, B.; Copin, P.; Orange, N.; Feuilloley, M.G.J.; Chevalier, S. Simultaneous and selective detection of two major soft rot pathogens of potato: Pectobacterium atrosepticum (Erwinia carotovora subsp atrosepticum) and Dickeya spp. (Erwinia chrysanthemi). Eur. J. Plant Pathol. 2009, 125, 349–354. [Google Scholar] [CrossRef]
- Park, D.S.; Shim, J.K.; Kim, J.S.; Kim, B.Y.; Kang, M.J.; Seol, Y.J.; Hahn, J.H.; Sherstha, R.; Lim, C.K.; Go, S.J.; et al. PCR-based sensitive and specific detection of Pectobacterium atrosepticum using primers based on Rhs family gene sequences. Plant Pathol. 2006, 55, 625–629. [Google Scholar] [CrossRef]
- Frechon, D.; Exbrayat, P.; Helias, V.; Hyman, L.J.; Jouan, B.; Llop, P.; Lopez, M.M.; Payet, N.; Perombelon, M.C.M.; Toth, I.K.; et al. Evaluation of a PCR kit for the detection of Erwinia carotovora subsp. atroseptica on potato tubers. Potato Res. 1998, 41, 163–173. [Google Scholar] [CrossRef]
- Nassar, A.; Darrasse, A.; Lemattre, M.; Kotoujansky, A.; Dervin, C.; Vedel, R.; Bertheau, Y. Characterization of Erwinia chrysanthemi by pectinolytic isozyme polymorphism and restriction fragment length polymorphism analysis of PCR-amplified fragments of pel genes. Appl. Environ. Microbiol. 1996, 62, 2228–2235. [Google Scholar] [CrossRef]
- Darrasse, A.; Priou, S.; Kotoujansky, A.; Bertheau, Y. PCR and restriction fragment length polymorphism of a pel gene as a tool to identify Erwinia carotovora in relation to potato diseases. Appl. Environ. Microbiol. 1994, 60, 1437–1443. [Google Scholar] [CrossRef]
- Cui, Y.; Mukherjee, A.; Dumenyo, C.K.; Liu, Y.; Chatterjee, A.K. rsmC of the soft-rotting bacterium Erwinia carotovora subsp. carotovora negatively controls extracellular enzyme and harpin(Ecc) production and virulence by modulating levels of regulatory RNA (rsmB) and RNA-binding protein (RsmA). J. Bacteriol. 1999, 181, 6042–6052. [Google Scholar] [CrossRef]
- Tamura, K.; Peterson, D.; Peterson, N.; Stecher, G.; Nei, M.; Kumar, S. MEGA5: Molecular Evolutionary Genetics Analysis using Maximum Likelihood, Evolutionary Distance, and Maximum Parsimony Methods. Mol Biol Evol. 2011, 28, 2731–2739. [Google Scholar] [CrossRef]
- Saitou, N.; Nei, M. The neighbor-joining method: A new method for reconstructing phylogenetic trees. Mol Biol Evol. 1987, 4, 406–425. [Google Scholar] [PubMed]
- Larkin, M.A.; Blackshields, G.; Brown, N.P.; Chenna, R.; McGettigan, P.A.; McWilliam, H.; Valentin, F.; Awllace, I.M.; Wilm, A.; Lopez, R.; et al. Clustal W and Clustal X version 2.0. Bioinformatics 2007, 23, 2947–2948. [Google Scholar] [PubMed]
- De Boer, S.H.; Elphinstone, J.G.; Saddler, G.S. Molecular detection strategies for phytopathogenic bacteria. Biotechnol. Plant Dis. Manag. 2007, 165–194. [Google Scholar]
- Eberle, K.N.; Kiess, A.S. Phenotypic and genotypic methods for typing Campylobacter jejuni and Campylobacter coli in poultry. Poult. Sci. 2012, 91, 255–264. [Google Scholar] [CrossRef] [PubMed]
- Alvarez, A.M. Integrated approaches for detection of plant pathogenic bacteria and diagnosis of bacterial diseases. Annu. Rev. Phytopathol. 2004, 42, 339–366. [Google Scholar] [CrossRef] [PubMed]
- López, M.M.; Bertolini, E.; Olmos, A.; Caruso, P.; Gorris, M.T.; Llop, P.; Penyalver, R.; Cambra, M. Innovative tools for detection of plant pathogenic viruses and bacteria. Int. Microbiol. 2003, 6, 233–243. [Google Scholar] [CrossRef] [PubMed]
- Aslam, S.; Tahir, A.; Aslam, M.F.; Alam, M.W.; Shedayi, A.A.; Sadia, S. Recent advances in molecular techniques for the identification of phytopathogenic fungi–a mini review. J. Plant Interact. 2017, 12, 493–504. [Google Scholar] [CrossRef]
- Scala, V.; Pucci, N.; Loreti, S. The diagnosis of plant pathogenic bacteria: A state of art. Front. Biosci. 2018, 10, 449–460. [Google Scholar] [CrossRef]
- Kang, H.W.; Kwon, S.W.; Go, S.J. PCR-based specific and sensitive detection of Pectobacterium carotovorum ssp. carotovorum by primers generated from a URP-PCR fingerprinting-derived polymorphic band. Plant Pathol. 2003, 52, 127–133. [Google Scholar] [CrossRef]
- Smit, M.L.; Giesendorf, B.J.; Vet, J.M.; Trijbels, F.J.M.; Blom, H.J. Semiautomated DNA mutation analysis using a robotic workstation and molecular beacons. Clin. Chem. 2001, 47, 739–744. [Google Scholar] [CrossRef]
- Duarte, V.; de Boer, S.H.; Ward, L.J.; de Oliveira, A.M. Characterization of atypical Erwinia carotovora strains causing blackleg of potato in Brazil. J. Appl. Microbiol. 2004, 96, 535–545. [Google Scholar] [CrossRef] [PubMed]
- Tamura, K.; Nei, M.; Kumar, S. Prospects for inferring very large phylogenies by using the neighbor-joining method. Proc. Natl. Acad. Sci. USA 2004, 101, 11030–11035. [Google Scholar] [CrossRef] [PubMed]
- Kerremans, J.J.; Verboom, P.; Stiphen, T.; Hakkaart van Roijen, L.; Goessens, W.; Verburgh, H.A.; Vos, M.C. Rapid identification and antimicrobial susceptibility testing reduce antibiotic use accelerate pathogen-directed antibiotic use. J. Antimicrob. Chemother. 2008, 61, 428–435. [Google Scholar] [CrossRef] [PubMed]




| Gene | Primer Name | Sequence | Annealing Temp (°C) | Product Size (bp) |
|---|---|---|---|---|
| Dd586_0685 global regulatory protein (RsmC) | SR1F | 5′ATGAGTCTGATATTTGG 3′ | 44.9 | 299 |
| SR1R1 | 5′AGCGTMCTRADMRGMTTTTT 3′ | 44.9 | ||
| Dd586_2255 hypothetical protein | SR2F | 5′ATGGGGCAATCAGTTGTTTT 3′ | 50 | 240 |
| SR2R | 5′ATYACGCAAACCTCCTTTA 3′ | 50 | ||
| Pecwa_1592 hypothetical protein | Pcc3F | 5′GGGATTCGAAAAATTACTGGCTG 3′ | 49.9 | 177 |
| Pcc3R | 5′GCTTTTCTTTCATCAACCA 3′ | 49.9 | ||
| Pecwa_3132 hypothetical protein | Pcc1F | 5′ GACMGRATGAATGCCAATCTGA 3′ | 53.1 | 391 |
| Pcc1R | 5′GCGGTGAAGATAATATCGG 3′ | 53.1 | ||
| Pecwa_0772 hypothetical protein | Pcc2F | 5′CTACTCACCTCTGCCCAAGTC 3′ | 60.4 | 112 |
| Pcc2R | 5′CATAACCAMACGGGGMCATTGCCG 3′ | 60.4 | ||
| Dd586_1497 hypothetical protein | Dda1F | 5′TGTTGGACGCAATACAGRGAAAG 3′ | 56.6 | 157 |
| Dda1R | 5′TCACTCTCCATAGGTGGCATG 3′ | 56.6 | ||
| Dd586_0422 hypothetical protein | Dda2F | 5′GCCGKAAATCCTGGGTGCGTGA 3′ | 62.1 | 245 |
| Dda2R | 5′GGCACCCACTCCGGCGTAAAC 3′ | 62.1 |
| Primers | |||
|---|---|---|---|
| SR1F–SR1R1 | Pcc3F–Pcc3R | Dda1F–Dda1R | |
| Detected Bacteria | Both Pectobacterium and Dickeya | Pectobacterium | Dickeya |
| Pectobacterium Species | |||
| Ecc71 | + | + | - |
| Ecc193 | + | + | -x |
| Ecc7 | + | + | -x |
| EC153 | + | + | - |
| AH2 | + | + | -x |
| SCRI193 | + | + | -x |
| DB61 | + | + | - |
| DB193 | + | + | -x |
| DB192 | + | + | - |
| SCRI1043 | + | + | -x |
| Eca12 | + | + | -x |
| Ecb11129 | + | + | - |
| AH2552 | + | + | - |
| Scc3193/WPP163 | + | + | - |
| Dickeya species | |||
| Dd3937 | + | - | + |
| Ec16 | + | - | + |
| Ec183 | + | - | + |
| D1 | + | - | + |
| D4 | + | - | + |
| D9 | + | - | + |
| D10 | + | - | + |
| D14 | + | -x | + |
| Erwinia tracheiphila | |||
| MISP | - | - | - |
| Pantoea stewartii | |||
| DC283 | -x | - | - |
| Escherichia coli | |||
| MC4100 | -x | - | -x |
| Pseudomonas syringae | |||
| DC3000 | - | - | - |
| Agrobacterium tumefaciens | |||
| GA012 | - | - | - |
| Salmonella enterica subsp. enterica serovar Typhimurium | |||
| LT2 | - | - | - |
© 2020 by the authors. Licensee MDPI, Basel, Switzerland. This article is an open access article distributed under the terms and conditions of the Creative Commons Attribution (CC BY) license (http://creativecommons.org/licenses/by/4.0/).
Share and Cite
Kabir, M.N.; Taheri, A.; Dumenyo, C.K. Development of PCR-Based Detection System for Soft Rot Pectobacteriaceae Pathogens Using Molecular Signatures. Microorganisms 2020, 8, 358. https://doi.org/10.3390/microorganisms8030358
Kabir MN, Taheri A, Dumenyo CK. Development of PCR-Based Detection System for Soft Rot Pectobacteriaceae Pathogens Using Molecular Signatures. Microorganisms. 2020; 8(3):358. https://doi.org/10.3390/microorganisms8030358
Chicago/Turabian StyleKabir, Md Niamul, Ali Taheri, and C. Korsi Dumenyo. 2020. "Development of PCR-Based Detection System for Soft Rot Pectobacteriaceae Pathogens Using Molecular Signatures" Microorganisms 8, no. 3: 358. https://doi.org/10.3390/microorganisms8030358
APA StyleKabir, M. N., Taheri, A., & Dumenyo, C. K. (2020). Development of PCR-Based Detection System for Soft Rot Pectobacteriaceae Pathogens Using Molecular Signatures. Microorganisms, 8(3), 358. https://doi.org/10.3390/microorganisms8030358

