CRISPR/Cas9 Knockout Studies Implicate Phenazine-1-carboxylic Acid, but Not 2-Hydroxy Phenazine, in the Biocontrol Activity of Pseudomonas chlororaphis Subsp. phenazini Strain S1Bt23 Against Pythium arrhenomanes (Drechsler)
Abstract
1. Introduction
2. Materials and Methods
2.1. Microbial Strains
2.2. In Vitro Dual Culture and Corn Seed Germination Assays
2.3. Extraction of Secondary Metabolites: TLC and LC-MS Analyses
2.4. Phenazine-1-carboxylic Acid Toxicity Assay
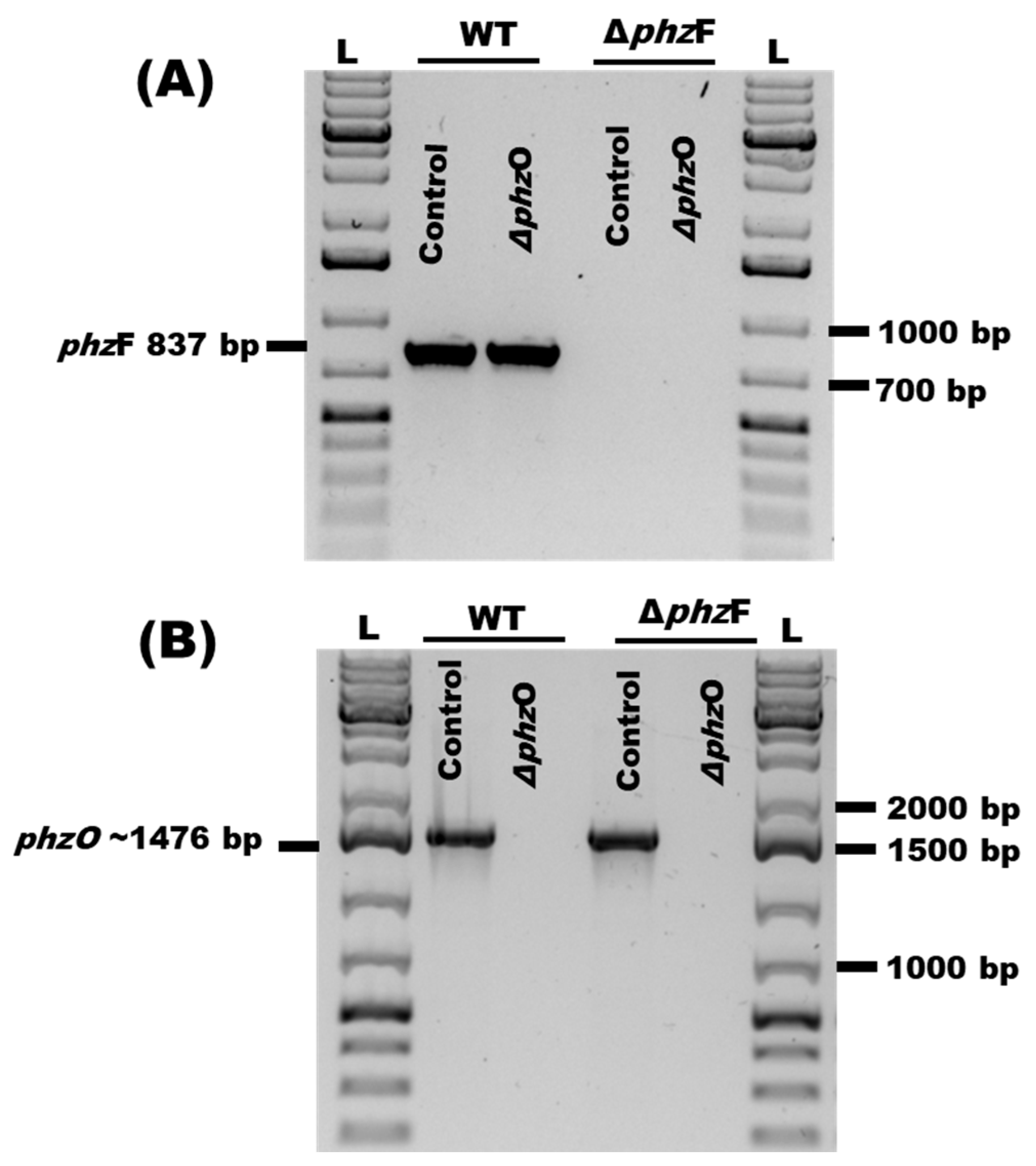
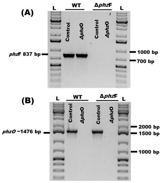
2.5. pAKanCRISPR–cas9 Deletion of phzO and prnC Genes
3. Results
3.1. PCA and 2-OH-PHZ Are the Major Phenazine Derivatives Produced by P. chlororaphis Subsp. phenazini S1Bt23
3.2. PCA Is Important for P. chlororaphis Subsp. phenazini S1Bt23 Antagonistic Activity Against P. arrhenomanes
3.3. Corn Seed Bioprotection Assay by P. chlororaphis Subsp. phenazini S1Bt23
3.4. PCA Is More Potent and Cell-Toxic than 2-OH-PHZ
4. Discussion
5. Conclusions
Supplementary Materials
Author Contributions
Funding
Institutional Review Board Statement
Informed Consent Statement
Data Availability Statement
Acknowledgments
Conflicts of Interest
Abbreviations
| PYTHAR | Pythium arrhenomanes |
| LB | Luria–Bertini |
| PCA | Phenazine-1-carboxylic acid |
| 2-OH-PHZ | 2-Hydroxylphenazine |
References
- Bauer, J.S.; Hauck, N.; Christof, L.; Mehnaz, S.; Gust, B.; Gross, H. The systematic investigation of the quorum sensing system of the biocontrol strain Pseudomonas chlororaphis subsp. aurantiaca PB-St2 Unveils aurI to Be a Biosynthetic Origin for 3-Oxo-Homoserine Lactones. PLoS ONE 2016, 11, e0167002. [Google Scholar] [CrossRef] [PubMed]
- Diggle, S.P.; Cornelis, P.; Williams, P.; Camara, M. 4-quinolone signalling in Pseudomonas aeruginosa: Old molecules, new perspectives. Int. J. Med. Microbiol. 2006, 296, 83–91. [Google Scholar] [CrossRef]
- Hayat, R.; Ali, S.; Amara, U.; Khalid, R.; Ahmed, I. Soil beneficial bacteria and their role in plant growth promotion: A review. Ann. Microbiol. 2010, 60, 579–598. [Google Scholar] [CrossRef]
- Qin, S.; Xiao, W.; Zhou, C.; Pu, Q.; Deng, X.; Lan, L.; Liang, H.; Song, X.; Wu, M. Pseudomonas aeruginosa: Pathogenesis, virulence factors, antibiotic resistance, interaction with host, technology advances and emerging therapeutics. Signal Transduct. Target. Ther. 2022, 7, 199. [Google Scholar] [CrossRef]
- Blankenfeldt, W.; Parsons, J.F. The structural biology of phenazine biosynthesis. Curr. Opin. Struct. Biol. 2014, 29, 26–33. [Google Scholar] [CrossRef]
- Laursen, J.B.; Nielsen, J. Phenazine natural products: Biosynthesis, synthetic analogues, and biological activity. Chem. Rev. 2004, 104, 1663–1686. [Google Scholar] [CrossRef]
- Moorthy, N.S.; Pratheepa, V.; Ramos, M.J.; Vasconcelos, V.; Fernandes, P.A. Fused aryl-phenazines: Scaffold for the development of bioactive molecules. Curr. Drug Targets 2014, 15, 681–688. [Google Scholar] [CrossRef]
- Mavrodi, D.V.; Blankenfeldt, W.; Thomashow, L.S. Phenazine compounds in fluorescent Pseudomonas spp. biosynthesis and regulation. Annu. Rev. Phytopathol. 2006, 44, 417–445. [Google Scholar] [CrossRef] [PubMed]
- Mavrodi, D.V.; Peever, T.L.; Mavrodi, O.V.; Parejko, J.A.; Raaijmakers, J.M.; Lemanceau, P.; Mazurier, S.; Heide, L.; Blankenfeldt, W.; Weller, D.M.; et al. Diversity and evolution of the phenazine biosynthesis pathway. Appl. Environ. Microbiol. 2010, 76, 866–879. [Google Scholar] [CrossRef] [PubMed]
- Patil, S.; Nikam, M.; Patil, H.; Anokhina, T.S.; Kochetkov, V.V.; Chaudhari, A. Bioactive pigment production by Pseudomonas spp. MCC 3145: Statistical media optimization, biochemical characterization, fungicidal and DNA intercalation-based cytostatic activity. Process Biochem. 2017, 58, 298–305. [Google Scholar] [CrossRef]
- Yan, J.; Liu, W.; Cai, J.; Wang, Y.; Li, D.; Hua, H.; Cao, H. Advances in phenazines over the past decade: Review of Their pharmacological activities, mechanisms of action, biosynthetic pathways and synthetic strategies. Mar. Drugs 2021, 19, 610. [Google Scholar] [CrossRef]
- Chi, S.I.; Akuma, M.; Xu, R.; Plante, V.; Hadinezhad, M.; Tambong, J.T. Phenazines are involved in the antagonism of a novel subspecies of Pseudomonas chlororaphis strain S1Bt23 against Pythium ultimum. Sci. Rep. 2024, 14, 20517. [Google Scholar] [CrossRef] [PubMed]
- Delaney, S.M.; Mavrodi, D.V.; Bonsall, R.F.; Thomashow, L.S. phzO, a gene for biosynthesis of 2-hydroxylated phenazine compounds in Pseudomonas aureofaciens 30-84. J. Bacteriol. 2001, 183, 318–327. [Google Scholar] [CrossRef]
- Chin, A.W.T.F.; Thomas-Oates, J.E.; Lugtenberg, B.J.; Bloemberg, G.V. Introduction of the phzH gene of Pseudomonas chlororaphis PCL1391 extends the range of biocontrol ability of phenazine-1-carboxylic acid-producing Pseudomonas spp. strains. Mol. Plant Microbe Interact. 2001, 14, 1006–1015. [Google Scholar] [CrossRef]
- Parsons, J.F.; Greenhagen, B.T.; Shi, K.; Calabrese, K.; Robinson, H.; Ladner, J.E. Structural and functional analysis of the pyocyanin biosynthetic protein PhzM from Pseudomonas aeruginosa. Biochemistry 2007, 46, 1821–1828. [Google Scholar] [CrossRef]
- Greenhagen, B.T.; Shi, K.; Robinson, H.; Gamage, S.; Bera, A.K.; Ladner, J.E.; Parsons, J.F. Crystal structure of the pyocyanin biosynthetic protein PhzS. Biochemistry 2008, 47, 5281–5289. [Google Scholar] [CrossRef] [PubMed]
- Mavrodi, D.V.; Bonsall, R.F.; Delaney, S.M.; Soule, M.J.; Phillips, G.; Thomashow, L.S. Functional analysis of genes for biosynthesis of pyocyanin and phenazine-1-carboxamide from Pseudomonas aeruginosa PAO1. J. Bacteriol. 2001, 183, 6454–6465. [Google Scholar] [CrossRef] [PubMed]
- Jin, K.; Zhou, L.; Jiang, H.; Sun, S.; Fang, Y.; Liu, J.; Zhang, X.; He, Y.W. Engineering the central biosynthetic and secondary metabolic pathways of Pseudomonas aeruginosa strain PA1201 to improve phenazine-1-carboxylic acid production. Metab. Eng. 2015, 32, 30–38. [Google Scholar] [CrossRef]
- Allen, L.; Dockrell, D.H.; Pattery, T.; Lee, D.G.; Cornelis, P.; Hellewell, P.G.; Whyte, M.K. Pyocyanin production by Pseudomonas aeruginosa induces neutrophil apoptosis and impairs neutrophil-mediated host defenses in vivo. J. Immunol. 2005, 174, 3643–3649. [Google Scholar] [CrossRef]
- Usher, L.R.; Lawson, R.A.; Geary, I.; Taylor, C.J.; Bingle, C.D.; Taylor, G.W.; Whyte, M.K. Induction of neutrophil apoptosis by the Pseudomonas aeruginosa exotoxin pyocyanin: A potential mechanism of persistent infection. J. Immunol. 2002, 168, 1861–1868. [Google Scholar] [CrossRef]
- Wilson, R.; Pitt, T.; Taylor, G.; Watson, D.; MacDermot, J.; Sykes, D.; Roberts, D.; Cole, P. Pyocyanin and 1-hydroxyphenazine produced by Pseudomonas aeruginosa inhibit the beating of human respiratory cilia in vitro. J. Clin. Investig. 1987, 79, 221–229. [Google Scholar] [CrossRef]
- Denning, G.M.; Iyer, S.S.; Reszka, K.J.; O’Malley, Y.; Rasmussen, G.T.; Britigan, B.E. Phenazine-1-carboxylic acid, a secondary metabolite of Pseudomonas aeruginosa, alters expression of immunomodulatory proteins by human airway epithelial cells. Am. J. Physiol. Lung Cell Mol. Physiol. 2003, 285, L584–L592. [Google Scholar] [CrossRef]
- Cha, J.W.; Lee, S.I.; Kim, M.C.; Thida, M.; Lee, J.W.; Park, J.S.; Kwon, H.C. Pontemazines A and B, phenazine derivatives containing a methylamine linkage from Streptomyces sp. UT1123 and their protective effect to HT-22 neuronal cells. Bioorg. Med. Chem. Lett. 2015, 25, 5083–5086. [Google Scholar] [CrossRef] [PubMed]
- Huigens, R.W., 3rd; Abouelhassan, Y.; Yang, H. Phenazine antibiotic-inspired discovery of bacterial biofilm-eradicating agents. Chembiochem 2019, 20, 2885–2902. [Google Scholar] [CrossRef] [PubMed]
- Krishnaiah, M.; de Almeida, N.R.; Udumula, V.; Song, Z.; Chhonker, Y.S.; Abdelmoaty, M.M.; do Nascimento, V.A.; Murry, D.J.; Conda-Sheridan, M. Synthesis, biological evaluation, and metabolic stability of phenazine derivatives as antibacterial agents. Eur. J. Med. Chem. 2018, 143, 936–947. [Google Scholar] [CrossRef]
- Pierson, L.S., 3rd; Pierson, E.A. Metabolism and function of phenazines in bacteria: Impacts on the behavior of bacteria in the environment and biotechnological processes. Appl. Microbiol. Biotechnol. 2010, 86, 1659–1670. [Google Scholar] [CrossRef]
- Lavaggi, M.L.; Aguirre, G.; Boiani, L.; Orelli, L.; Garcia, B.; Cerecetto, H.; Gonzalez, M. Pyrimido[1,2-a]quinoxaline 6-oxide and phenazine 5,10-dioxide derivatives and related compounds as growth inhibitors of Trypanosoma cruzi. Eur. J. Med. Chem. 2008, 43, 1737–1741. [Google Scholar] [CrossRef] [PubMed]
- Pachon, O.G.; Azqueta, A.; Lavaggi, M.L.; Lopez de Cerain, A.; Creppy, E.; Collins, A.; Cerecetto, H.; Gonzalez, M.; Centelles, J.J.; Cascante, M. Antitumoral effect of phenazine N5,N10-dioxide derivatives on Caco-2 cells. Chem. Res. Toxicol. 2008, 21, 1578–1585. [Google Scholar] [CrossRef]
- Cezairliyan, B.; Vinayavekhin, N.; Grenfell-Lee, D.; Yuen, G.J.; Saghatelian, A.; Ausubel, F.M. Identification of Pseudomonas aeruginosa phenazines that kill Caenorhabditis elegans. PLoS Pathog. 2013, 9, e1003101. [Google Scholar] [CrossRef]
- Zhou, L.; Jiang, H.X.; Sun, S.; Yang, D.D.; Jin, K.M.; Zhang, W.; He, Y.W. Biotechnological potential of a rhizosphere Pseudomonas aeruginosa strain producing phenazine-1-carboxylic acid and phenazine-1-carboxamide. World J. Microbiol. Biotechnol. 2016, 32, 50. [Google Scholar] [CrossRef]
- Briard, B.; Bomme, P.; Lechner, B.E.; Mislin, G.L.; Lair, V.; Prevost, M.C.; Latge, J.P.; Haas, H.; Beauvais, A. Pseudomonas aeruginosa manipulates redox and iron homeostasis of its microbiota partner Aspergillus fumigatus via phenazines. Sci. Rep. 2015, 5, 8220. [Google Scholar] [CrossRef]
- Puopolo, G.; Masi, M.; Raio, A.; Andolfi, A.; Zoina, A.; Cimmino, A.; Evidente, A. Insights on the susceptibility of plant pathogenic fungi to phenazine-1-carboxylic acid and its chemical derivatives. Nat. Prod. Res. 2013, 27, 956–966. [Google Scholar] [CrossRef]
- Selin, C.; Habibian, R.; Poritsanos, N.; Athukorala, S.N.; Fernando, D.; de Kievit, T.R. Phenazines are not essential for Pseudomonas chlororaphis PA23 biocontrol of Sclerotinia sclerotiorum, but do play a role in biofilm formation. FEMS Microbiol. Ecol. 2010, 71, 73–83. [Google Scholar] [CrossRef] [PubMed]
- Upadhyay, A.; Srivastava, S. Phenazine-1-carboxylic acid is a more important contributor to biocontrol Fusarium oxysporum than pyrrolnitrin in Pseudomonas fluorescens strain Psd. Microbiol. Res. 2011, 166, 323–335. [Google Scholar] [CrossRef] [PubMed]
- Maddula, V.S.; Pierson, E.A.; Pierson, L.S., 3rd. Altering the ratio of phenazines in Pseudomonas chlororaphis (aureofaciens) strain 30–84: Effects on biofilm formation and pathogen inhibition. J. Bacteriol. 2008, 190, 2759–2766. [Google Scholar] [CrossRef] [PubMed] [PubMed Central]
- Meirelles, L.A.; Newman, D.K. Both toxic and beneficial effects of pyocyanin contribute to the lifecycle of Pseudomonas aeruginosa. Mol. Microbiol. 2018, 110, 995–1010. [Google Scholar] [CrossRef] [PubMed]
- Boie, W.; Schemmel, M.; Ye, W.; Hasler, M.; Goll, M.; Verreet, J.A.; Cai, D. An assessment of the species diversity and disease potential of Pythium communities in Europe. Nat. Commun. 2024, 15, 8369. [Google Scholar] [CrossRef]
- Cother, E.J.; Gilbert, R.L. Comparative pathogenicity of Pythium species associated with poor seedling establishment of rice in Southern Australia. Plant Pathol. 1993, 42, 151–157. [Google Scholar] [CrossRef]
- Reyes-Tena, A.R.; Vallejo-González, R.; Santillán-Mendoza, R.; Rodríguez-Alvarado, G.; Larsen, J.; Fernández-Pavía, S.P. Pythium arrhenomanes causal agent of root rot on yellow maize in Mexico. Australas. Plant Dis. Notes 2018, 13, 6. [Google Scholar] [CrossRef]
- Hoy, J.W.; Schneider, R.W. Role of Pythium in sugarcane stubble decline: Effects on plant growth in field soil. Phytopathology 1988, 78, 1692–1996. [Google Scholar] [CrossRef]
- Tu, C.K.; Wang, P.H.; Lee, M.H. Endophytic bacterium Lysobacter firmicutimachus Strain 5-7 is a promising biocontrol agent against rice seedling disease caused by Pythium arrhenomanes in Nursery Trays. Plant Dis. 2023, 107, 1075–1086. [Google Scholar] [CrossRef]
- Pimentao, A.R.; Ribeiro, R.; Silva, B.A.; Cuco, A.P.; Castro, B.B. Ecological impacts of agrochemical and pharmaceutical antifungals on a non-target aquatic host-parasite model. Aquat. Toxicol. 2025, 284, 107356. [Google Scholar] [CrossRef] [PubMed]
- Wan, N.F.; Fu, L.; Dainese, M.; Kiaer, L.P.; Hu, Y.Q.; Xin, F.; Goulson, D.; Woodcock, B.A.; Vanbergen, A.J.; Spurgeon, D.J.; et al. Pesticides have negative effects on non-target organisms. Nat. Commun. 2025, 16, 1360. [Google Scholar] [CrossRef] [PubMed]
- Tchagang, C.F.; Xu, R.; Overy, D.; Blackwell, B.; Chabot, D.; Hubbard, K.; Doumbou, C.L.; Bromfield, E.S.P.; Tambong, J.T. Diversity of bacteria associated with corn roots inoculated with Canadian woodland soils, and description of Pseudomonas aylmerense sp. nov. Heliyon 2018, 4, e00761. [Google Scholar] [CrossRef]
- Tambong, J.T.; Höfte, M. Phenazines are Involved in Biocontrol of Pythium myriotylum on Cocoyam by Pseudomonas aeruginosa PNA1. Eur. J. Plant Pathol. 2001, 511–521. [Google Scholar] [CrossRef]
- Mehnaz, S.; Baig, D.N.; Jamil, F.; Weselowski, B.; Lazarovits, G. Characterization of a phenazine and hexanoyl homoserine lactone producing Pseudomonas aurantiaca strain PB-St2, isolated from sugarcane stem. J. Microbiol. Biotechnol. 2009, 19, 1688–1694. [Google Scholar] [CrossRef]
- de Souza, J.T.; Raaijmakers, J.M. Polymorphisms within the prnD and pltC genes from pyrrolnitrin and pyoluteorin-producing Pseudomonas and Burkholderia spp. FEMS Microbiol. Ecol. 2003, 43, 21–34. [Google Scholar] [CrossRef]
- Akuma, M.; Chi, S.I.; Xu, R.; Thapa, I.; Blackwell, B.; Tambong, J.T. Plasmid pPNptGreen expression of green fluorescent protein in Pseudomonas chlororaphis strain S1Bt23 abrogates biocontrol activity against Pythium ultimum. Environ. Microbiol. Rep. 2025, 17, e70083. [Google Scholar] [CrossRef]
- Brauer, E.K.; Bosnich, W.; Holy, K.; Thapa, I.; Krishnan, S.; Moatter, S.; Bredow, M.; Sproule, A.; Power, M.; Johnston, A.; et al. A cyclic lipopeptide from Fusarium graminearum targets plant membranes to promote virulence. Cell Rep. 2024, 43, 114384. [Google Scholar] [CrossRef]
- Choi, K.H.; Kumar, A.; Schweizer, H.P. A 10-min method for preparation of highly electrocompetent Pseudomonas aeruginosa cells: Application for DNA fragment transfer between chromosomes and plasmid transformation. J. Microbiol. Methods 2006, 64, 391–397. [Google Scholar] [CrossRef]
- Arakere, U.C.; Jagannath, S.; Krishnamurthy, S.; Chowdappa, S.; Konappa, N. Chapter 12—Microbial bio-pesticide as sustainable solution for management of pests: Achievements and prospects. In Biopesticides; Rakshit, A., Meena, V.S., Abhilash, P.C., Sarma, B.K., Singh, H.B., Fraceto, L., Parihar, M., Singh, A.S., Eds.; Woodhead Publishing (Elsevier): Cambridge, UK, 2022; pp. 183–200. [Google Scholar]
- Chin, A.W.T.F.C.; Bloemberg, G.V.; Lugtenberg, B.J.J. Phenazines and their role in biocontrol by Pseudomonas bacteria. New Phytol. 2003, 157, 503–523. [Google Scholar] [CrossRef]
- Serafim, B.; Bernardino, A.R.; Freitas, F.; Torres, C.A.V. Recent developments in the biological activities, bioproduction, and applications of Pseudomonas spp. phenazines. Molecules 2023, 28, 1368. [Google Scholar] [CrossRef]
- McDonald, M.; Mavrodi, D.V.; Thomashow, L.S.; Floss, H.G. Phenazine biosynthesis in Pseudomonas fluorescens: Branchpoint from the primary shikimate biosynthetic pathway and role of phenazine-1,6-dicarboxylic acid. J. Am. Chem. Soc. 2001, 123, 9459–9460. [Google Scholar] [CrossRef]
- Morales, D.K.; Grahl, N.; Okegbe, C.; Dietrich, L.E.; Jacobs, N.J.; Hogan, D.A. Control of Candida albicans metabolism and biofilm formation by Pseudomonas aeruginosa phenazines. mBio 2013, 4, e00526-12. [Google Scholar] [CrossRef]
- Rada, B.; Leto, T.L. Pyocyanin effects on respiratory epithelium: Relevance in Pseudomonas aeruginosa airway infections. Trends Microbiol. 2013, 21, 73–81. [Google Scholar] [CrossRef] [PubMed]
- Zhang, L.; Tian, X.; Kuang, S.; Liu, G.; Zhang, C.; Sun, C. Antagonistic activity and mode of action of phenazine-1-carboxylic acid, produced by marine bacterium Pseudomonas aeruginosa PA31x, against Vibrio anguillarum in vitro and in a zebrafish in vivo model. Front. Microbiol. 2017, 8, 289. [Google Scholar] [CrossRef]
- Zhu, X.; Zeng, Y.; Zhao, X.; Zou, S.; He, Y.W.; Liang, Y. A genetic screen in combination with biochemical analysis in Saccharomyces cerevisiae indicates that phenazine-1-carboxylic acid is harmful to vesicular trafficking and autophagy. Sci. Rep. 2017, 7, 1967. [Google Scholar] [CrossRef]
- Huang, R.; Feng, Z.; Chi, X.; Sun, X.; Lu, Y.; Zhang, B.; Lu, R.; Luo, W.; Wang, Y.; Miao, J.; et al. Pyrrolnitrin is more essential than phenazines for Pseudomonas chlororaphis G05 in its suppression of Fusarium graminearum. Microbiol. Res. 2018, 215, 55–64. [Google Scholar] [CrossRef]
- Whistler, C.A.; Pierson, L.S., 3rd. Repression of phenazine antibiotic production in Pseudomonas aureofaciens strain 30-84 by RpeA. J. Bacteriol. 2003, 185, 3718–3725. [Google Scholar] [CrossRef] [PubMed]
- Ahn, H.Y.; Song, M.H.; Yu, J.W.; Lee, J.H.; Park, G.W.; Shin, J.W.; Lee, J.Y.; Son, H.J.; Choi, E.S.; Lee, J.H.; et al. Comparative metabolomic analysis of Botrytis cinerea treated with pyrrolnitrin and phenylpyrrole fungicides. J. Agric. Food Chem. 2025, 73, 14891–14900. [Google Scholar] [CrossRef]
- Kirner, S.; Hammer, P.E.; Hill, D.S.; Altmann, A.; Fischer, I.; Weislo, L.J.; Lanahan, M.; van Pee, K.H.; Ligon, J.M. Functions encoded by pyrrolnitrin biosynthetic genes from Pseudomonas fluorescens. J. Bacteriol. 1998, 180, 1939–1943. [Google Scholar] [CrossRef]
- Park, J.Y.; Oh, S.A.; Anderson, A.J.; Neiswender, J.; Kim, J.C.; Kim, Y.C. Production of the antifungal compounds phenazine and pyrrolnitrin from Pseudomonas chlororaphis O6 is differentially regulated by glucose. Lett. Appl. Microbiol. 2011, 52, 532–537. [Google Scholar] [CrossRef]
- Yoshihisa, H.; Zenji, S.; Fukushi, H.; Katsuhiro, K.; Haruhisa, S.; Takahito, S. Production of antibiotics by Pseudomonas cepacia as an agent for biological control of soilborne plant pathogens. Soil. Biol. Biochem. 1989, 21, 723–728. [Google Scholar] [CrossRef]
- Zhang, L.; Xie, G. Diversity and distribution of Burkholderia cepacia complex in the rhizosphere of rice and maize. FEMS Microbiol. Lett. 2007, 266, 231–235. [Google Scholar] [CrossRef]
- Moon, H.; Min, K.; Winarto, J.; Shin, S.; Jeon, H.; Song, D.G.; Son, H. Proteomic analysis of cell wall proteins with various linkages in Fusarium graminearum. J. Agric. Food Chem. 2024, 72, 6028–6039. [Google Scholar] [CrossRef] [PubMed]
- Schoffelmeer, E.A.; Klis, F.M.; Sietsma, J.H.; Cornelissen, B.J. The cell wall of Fusarium oxysporum. Fungal Genet. Biol. 1999, 27, 275–282. [Google Scholar] [CrossRef] [PubMed]
- Blaschek, W.; Kasbauer, J.; Kraus, J.; Franz, G. Pythium aphanidermatum: Culture, cell-wall composition, and isolation and structure of antitumour storage and solubilised cell-wall (1→3),(1→6)-beta-D-glucans. Carbohydr. Res. 1992, 231, 293–307. [Google Scholar] [CrossRef]
- Chérif, M.; Benhamou, N.; Bélanger, R.R. Occurrence of cellulose and chitin in the hyphal walls of Pythium ultimum: A comparative study with other plant pathogenic fungi. Can. J. Microbiol. 1993, 39, 213–222. [Google Scholar] [CrossRef]
- Doudna, J.A.; Charpentier, E. Genome editing. The new frontier of genome engineering with CRISPR-Cas9. Science 2014, 346, 1258096. [Google Scholar] [CrossRef]
- Barrangou, R.; Doudna, J.A. Applications of CRISPR technologies in research and beyond. Nat. Biotechnol. 2016, 34, 933–941. [Google Scholar] [CrossRef]
- Jinek, M.; Chylinski, K.; Fonfara, I.; Hauer, M.; Doudna, J.A.; Charpentier, E. A programmable dual-RNA-guided DNA endonuclease in adaptive bacterial immunity. Science 2012, 337, 816–821. [Google Scholar] [CrossRef]
- Ran, F.A.; Hsu, P.D.; Wright, J.; Agarwala, V.; Scott, D.A.; Zhang, F. Genome engineering using the CRISPR-Cas9 system. Nat. Protoc. 2013, 8, 2281–2308. [Google Scholar] [CrossRef]
- Jiang, W.; Bikard, D.; Cox, D.; Zhang, F.; Marraffini, L.A. RNA-guided editing of bacterial genomes using CRISPR-Cas systems. Nat. Biotechnol. 2013, 31, 233–239. [Google Scholar] [CrossRef]
- Cho, S.; Choe, D.; Lee, E.; Kim, S.C.; Palsson, B.; Cho, B.K. High-level dCas9 expression induces abnormal cell morphology in Escherichia coli. ACS Synth. Biol. 2018, 7, 1085–1094. [Google Scholar] [CrossRef]
- Chen, J.; Su, S.; Pickar-Oliver, A.; Chiarella, A.M.; Hahn, Q.; Goldfarb, D.; Cloer, E.W.; Small, G.W.; Sivashankar, S.; Ramsden, D.A.; et al. Engineered Cas9 variants bypass Keap1-mediated degradation in human cells and enhance epigenome editing efficiency. Nucleic Acids Res. 2024, 52, 11536–11551. [Google Scholar] [CrossRef]
- Miah, R.; Johannessen, M.; Kjos, M.; Lentz, C.S. A programmable, selection-free CRISPR interference system in Staphylococcus aureus for long-term host interaction studies. iScience 2025, 28, 113420. [Google Scholar] [CrossRef]
- Wang, S.W.; Gao, C.; Zheng, Y.M.; Yi, L.; Lu, J.C.; Huang, X.Y.; Cai, J.B.; Zhang, P.F.; Cui, Y.H.; Ke, A.W. Current applications and future perspective of CRISPR/Cas9 gene editing in cancer. Mol. Cancer 2022, 21, 57. [Google Scholar] [CrossRef] [PubMed]
- Blin, K.; Shaw, S.; Augustijn, H.E.; Reitz, Z.L.; Biermann, F.; Alanjary, M.; Fetter, A.; Terlouw, B.R.; Metcalf, W.W.; Helfrich, E.J.N.; et al. antiSMASH 7.0: New and improved predictions for detection, regulation, chemical structures, and visualization. Nucl. Acids Res. 2023, 51, W46–W50. [Google Scholar] [CrossRef] [PubMed]
- Skinnider, M.A.; Johnston, C.W.; Gunabalasingam, M.; Merwin, N.J.; Kieliszek, A.M.; MacLellan, R.J.; Li, H.; Ranieri, M.R.M.; Webster, A.L.H.; Cao, M.P.T.; et al. Comprehensive prediction of secondary metabolite structure and biological activity from microbial genome sequences. Nat. Commun. 2020, 11, 6058. [Google Scholar] [CrossRef]






| Strains/Plasmids/Primers | Characteristics, or Sequence 5′ → 3′ Orientation | Description | Source |
|---|---|---|---|
| Bacterial strains: | |||
| Pseudomonas chlororaphis: | |||
| S1Bt23 | wild type, PCA+, 2-OH-PHZ+, PRN+, Carr, Streptr, Kans, tets | wild type, potent antagonist of Pythium arrhenomanes | Tchagang et al. [37] |
| S1Bt23ΔphzF | mutant, ΔphzF, PCA−, 2-OH-PHZ− | S1Bt23 derivative with phzF deleted | Chi et al. [12] |
| S1Bt23ΔphzO | mutant, ΔphzO, PCA+, 2-OH-PHZ− | S1Bt23 derivative with phzO deleted | This study |
| S1Bt23ΔphzFΔphzO | mutant, ΔphzFΔphzO, PCA−, 2-OH-PHZ−, PRN+ | S1Bt23 derivative with phzF and phzO genes deleted | This study |
| S1Bt23ΔprnC | mutant, ΔprnC, PCA+, 2-OH-PHZ+, PRN− | S1Bt23 derivative with prnC gene deleted | This study |
| S1Bt23ΔphzFΔprnC | mutant, ΔphzFΔphzO, PCA−, 2-OH-PHZ−, PRN− | S1Bt23 derivative with phzF and prnC genes deleted | This study |
| Escherichia coli: | E. coli DH5alpha | Carrier of the plasmids | Addgene |
| Plasmids: | |||
| CasPA | Tetr | Expression of Cas9 nuclease and λ-Red system | Addgene # 113347 |
| pAKanCRISPR | pACRISPR plus Kanr, amps | backbone for sgRNA expression with kanamycin resistance | Chi et al. [12] |
| Oligonucleotides: | |||
| phzO CRISPR deletion: | |||
| phzO g1-F | GTGGCAAGTCTTCTTTGTTTCTAG | phzO guide RNA 1 (sgRNA1) | This study |
| phzO g1-R | AAACCTAGAAACAAAGAAGACTTG | This study | |
| phzO g2-F | GTGGCGTGTACCAATGGCTGTATG | phzO guide RNA 2 (sgRNA2) | This study |
| phzO g2-R | AAACCATACAGCCATTGGTACACG | This study | |
| phzO HR1-F | gatctgtccatacccatggtCTAGATCGCCAGAGTGAAGAACTC | To amplify the left homology arm sequence of the phzO gene | This study |
| phzO HR1-R | gcaatcaggtGGTAGCAGCCTCAGTAATG | This study | |
| phzO HR2-F | ggctgctaccACCTGATTGCCGTGTAGG | To amplify the right homology arm sequence of the phzO gene | This study |
| phzO HR2-R | tggcgggagtatgaaaagtcTCGAGGGTCTTGGGCTTTGGTATTG | This study | |
| phzO KO screening F | GAGGCTGCTACCATGCTAGAT | To amplify phzO from the genomic DNA of colonies. | This study |
| phzO KO screening R | CGGCAATCAGGTCTATTTGGC | This study | |
| prnC CRISPR deletion: | This study | ||
| prnC guide 1-F | GTGGTGAAGCGACACGGCTCTTCG | prnC guide RNA 1 (sgRNA1) | This study |
| prnC guide 1-R | AAACCGAAGAGCCGTGTCGCTTCA | This study | |
| prnC guide 2-F | GTGGCGACGCCTATCTGTTGCAAG | prnC guide RNA 2 (sgRNA2) | This study |
| prnC guide 2-R | AAACCTTGCAACAGATAGGCGTCG | This study | |
| prnC guide 3-F | GTGGAGTCGGTCACGCTCGTCTTC | prnC guide RNA 3 (sgRNA3) | This study |
| prnC guide 3-R | AAACGAAGACGAGCGTGACCGACT | This study | |
| prnC HR1-F | gatctgtccatacccatggtCTAGAAACCGATCCGAGTCGGG | To amplify the left homology arm sequence of the prnC gene | This study |
| prnC HR1-R | tgtcgttcatGGGGGCAAACTCTCCTTG | This study | |
| prnC HR2-F | gtttgcccccATGAACGACATTCAATTGGATCAAG | To amplify the right homology arm sequence of the prnC gene | This study |
| prnC HR2-R | tggcgggagtatgaaaagtcTCGAGGCGAAGTGCAGGTGCATG | This study | |
| prnC KO screening F | GTACGAAGTCGGGCAAAGC | To amplify the prnC gene in colonies to confirm knockout (KO). | This study |
| prnC KO screening R | AGGGACGCTTCTTGATGCT | This study | |
| M13/pUC-R | AGCGGATAACAATTTCACACAGG | Sequencing primer to confirm correct insertion of guide RNA and homology repair sequences into pACRISPR vector | Chi et al. [12] |
Disclaimer/Publisher’s Note: The statements, opinions and data contained in all publications are solely those of the individual author(s) and contributor(s) and not of MDPI and/or the editor(s). MDPI and/or the editor(s) disclaim responsibility for any injury to people or property resulting from any ideas, methods, instructions or products referred to in the content. |
© 2025 His Majesty the King in right of Canada as represented by the Minister of Agriculture and Agri-Food Canada. Licensee MDPI, Basel, Switzerland. This article is an open access article distributed under the terms and conditions of the Creative Commons Attribution (CC BY) license.
Share and Cite
Akuma, M.; Chi, S.I.; Xu, R.; Thapa, I.; Kebede, A.; Blackwell, B.; Tambong, J.T. CRISPR/Cas9 Knockout Studies Implicate Phenazine-1-carboxylic Acid, but Not 2-Hydroxy Phenazine, in the Biocontrol Activity of Pseudomonas chlororaphis Subsp. phenazini Strain S1Bt23 Against Pythium arrhenomanes (Drechsler). Microorganisms 2026, 14, 19. https://doi.org/10.3390/microorganisms14010019
Akuma M, Chi SI, Xu R, Thapa I, Kebede A, Blackwell B, Tambong JT. CRISPR/Cas9 Knockout Studies Implicate Phenazine-1-carboxylic Acid, but Not 2-Hydroxy Phenazine, in the Biocontrol Activity of Pseudomonas chlororaphis Subsp. phenazini Strain S1Bt23 Against Pythium arrhenomanes (Drechsler). Microorganisms. 2026; 14(1):19. https://doi.org/10.3390/microorganisms14010019
Chicago/Turabian StyleAkuma, Mercy, Sylvia Ighem Chi, Renlin Xu, Indira Thapa, Aida Kebede, Barbara Blackwell, and James Tabi Tambong. 2026. "CRISPR/Cas9 Knockout Studies Implicate Phenazine-1-carboxylic Acid, but Not 2-Hydroxy Phenazine, in the Biocontrol Activity of Pseudomonas chlororaphis Subsp. phenazini Strain S1Bt23 Against Pythium arrhenomanes (Drechsler)" Microorganisms 14, no. 1: 19. https://doi.org/10.3390/microorganisms14010019
APA StyleAkuma, M., Chi, S. I., Xu, R., Thapa, I., Kebede, A., Blackwell, B., & Tambong, J. T. (2026). CRISPR/Cas9 Knockout Studies Implicate Phenazine-1-carboxylic Acid, but Not 2-Hydroxy Phenazine, in the Biocontrol Activity of Pseudomonas chlororaphis Subsp. phenazini Strain S1Bt23 Against Pythium arrhenomanes (Drechsler). Microorganisms, 14(1), 19. https://doi.org/10.3390/microorganisms14010019

