Clinical Mastitis in Small Ruminants Referred to a Veterinary Teaching Hospital: 23 Cases
Abstract
1. Introduction
2. Materials and Methods
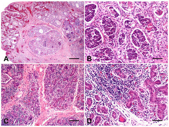
3. Results
4. Discussion
5. Conclusions
Author Contributions
Funding
Institutional Review Board Statement
Informed Consent Statement
Data Availability Statement
Conflicts of Interest
References
- Attili, A.R.; Preziuso, S.; Ngwa, V.N.; Cantalamessaa, A.; Moriconi, M. Clinical evaluation of the use of enrofloxacin against Staphylococcus aureus clinical mastitis in sheep. Small Rum. Res. 2016, 136, 72–77. [Google Scholar] [CrossRef]
- Marogna, G.; Roselu, S.; Lollai, S.; Tola, S.; Leori, G. Clinical findings in sheep farms affected by recurrent bacterial mastitis. Small Rum. Res. 2010, 88, 119–125. [Google Scholar] [CrossRef]
- Moura, G.S.; Mota, R.A.; Marques, M.F.S.; Abad, A.C.A.; Costa, L.B.B.C.; Souza, F.N.; Almeida, V.M.; Silva-Filho, G.B.; Bom, H.A.S.C.; Klaumann, F.; et al. Gangrenous mastitis in sheep caused by multidrug-resistant Staphylococcus haemolyticus. Pesq. Vet. Bras. 2020, 40, 947–954. [Google Scholar] [CrossRef]
- El-Zamkan, M.A.; Mohamed, H.M.A. Antimicrobial resistance, virulence genes and biofilm formation in Enterococcus species isolated from milk of sheep and goat with subclinical mastitis. PLoS ONE 2021, 16, e0259584. [Google Scholar] [CrossRef] [PubMed]
- Cvetnić, L.; Samardžija, M.; Sukalić, T.; Lukačević, D.; Lolić, M.; Kompes, G.; Habrun, B.; Bagarić, A.; Cvetnić, Z.; Benić, M. Mastitis pathogens in goats and sheep in the Republic of Croatia and their sensitivity to antimicrobials. Vet. Stanica. 2025, 56, 697–707. [Google Scholar] [CrossRef]
- Zafalon, L.F.; Santana, R.C.; Pilon, L.E.; Júnior, G.A. Diagnosis of subclinical mastitis in Santa Inês and Morada Nova sheep in Southeastern Brazil. Trop. Anim. Health Prod. 2016, 48, 967–972. [Google Scholar] [CrossRef] [PubMed]
- Smistad, M.; Inglingstad, R.A.; Vatne, M.K.; Franklin, F.V.; Hansen, B.H.; Skeie, S.; Porcellato, D. Somatic cell count in dairy goats II: Udder health monitoring at goat and herd level. BMC Vet. Res. 2025, 21, 157. [Google Scholar] [CrossRef] [PubMed]
- Arteche-Villasol, N.; Fernández, M.; Gutiérrez-Exposito, D.; Pérez, V. Pathology of the mammary gland in sheep and goats. J. Comp. Path. 2022, 193, 37–49. [Google Scholar] [CrossRef] [PubMed]
- Garcia, S.N.; Osburn, B.I.; Cullor, J. A one health perspective on dairy production and dairy food safety. One Health 2019, 7, 100086. [Google Scholar] [CrossRef] [PubMed]
- Quinn, P.J.; Markey, B.K.; Donnelly, W.J.; Leonard, F.C.; Fanning, S.; Maguire, D. (Eds.) Laboratory diagnosis of bacterial disease. In Veterinary Microbiology and Microbial Disease, 2nd ed.; John Wiley & Sons: Hoboken, NJ, USA, 2011; pp. 143–149. [Google Scholar]
- Clinical and Laboratory Standards Institute—CLSI. Performance Standards for Antimicrobial Disk and Dilution Susceptibility Test for Bacteria Isolated from Animals (CLSI VET 015), 5th ed.; Clinical and Laboratory Standards Institute—CLSI: Wayne, PA, USA, 2020. [Google Scholar]
- Meyer, D.J.; Harvey, J.W. Veterinary Laboratory Medicine: Interpretation and Diagnosis, 2nd ed.; Saunders: Philadelphia, PA, USA, 2004; 351p. [Google Scholar]
- Kaneko, J.J.; Harvey, J.; Bruss, M. (Eds.) Clinical Biochemistry of Domestic Animals, 6th ed.; Academic Press: San Diego, CA, USA, 2008; 928p. [Google Scholar]
- Smith, M.C.; Sherman, D.M. Mammary gland and milk production. In Goat Medicine, 3rd ed.; Wiley-Blackwell: Hoboken, NJ, USA, 2023; pp. 728–780. [Google Scholar]
- Menzies, P. Udder health for dairy goats. Vet. Clin. N. Am. Food Anim. Pract. 2021, 37, 149–174. [Google Scholar] [CrossRef] [PubMed]
- Dzidic, A.; Rovai, M.; Poulet, J.L.; Leclerc, M.; Marnet, P.G. Review: Milking routines and cluster detachment levels in small ruminants. Animal 2019, 13 (Suppl. S1), s86–s93. [Google Scholar] [CrossRef] [PubMed]
- Osterbur, K.; Mann, F.A.; Kuroki, K.; Declue, A. Multiple organ dysfunction syndrome in humans and animals. J. Vet. Intern. Med. 2014, 28, 1141–1151. [Google Scholar] [CrossRef] [PubMed]
- Krebs, I.; Zhang, Y.; Wente, N.; Leimbach, S.; Kromker, V. Bacteremia in severe mastitis of dairy cows. Microorganisms 2023, 11, 1639. [Google Scholar] [CrossRef] [PubMed]
- Plummer, P.J.; Brooks, K.M.S.; Edmondson, M.A. Diseases of the mammary gland. In Sheep, Goat and Cervid Medicine, 3rd ed.; Pugh, D.G., Baird, A.N., Edmonson, M., Passler, T., Eds.; Elsevier: Philadelphia, PA, USA, 2021; pp. 385–404. [Google Scholar]
- Hermida, J.A.; Baird, A.N.; Hawkins, J.F.; Moore, G.E. Mastectomy in 25 small ruminants (2002–2019). Vet. Surg. 2021, 50, 104–110. [Google Scholar] [CrossRef] [PubMed]
- Michael, C.K.; Lianou, D.T.; Vasileiou, N.G.C.; Tsilipounidaki, K.; Katsafadou, A.I.; Politis, A.P.; Kordalis, N.G.; Ioannidi, K.S.; Gougoulis, D.A.; Trikalinou, C.; et al. Association of staphylococcal populations on teatcups of milking parlours with vaccination against staphylococcal mastitis in sheep and goat farms. Pathogens 2021, 10, 385. [Google Scholar] [CrossRef] [PubMed]
- Roșu, R.-D.; Morar, A.; Ban-Cucerzan, A.; Imre, M.; Sallam, K.I.; Maha, A.-A.A.; Abd-Elghany, S.M.; Popa, S.A.; Pătrînjan, R.-T.; Morar, D.; et al. The microbiological quality of raw ovine milk in the Banat region of romania with a focus on Escherichia coli and its pathogenic potential and antimicrobial resistance. Vet. Sci. 2024, 11, 562. [Google Scholar] [CrossRef] [PubMed]
- Zaitoun, A.M.A.; Khalifa, F.A.; Mokhtar, A.; Mazeed, A.M.; Yousef, A.M.E. Conventional and molecular detection of the common etiologic agents of incurable mastitis of goats at various villages of South Egypt. J. Vet. Med. Res. 2025, 32, 47–54. [Google Scholar] [CrossRef]
- Castilho-Júnior, R.E.; Almeida, C.A.S.; Santos, V.M.; Amorim, A.T.; Gaeta, N.C.; Souza, I.R.; Santos, M.B.; Campos, G.B.; Souza, L.E.B.; Cruz, J.F.; et al. Detecting Mollicutes by PCR in goats in southwestern Bahia, Brazil. Braz. J. Microbiol. 2021, 52, 1589–1595. [Google Scholar] [CrossRef] [PubMed]
- Abboud, Z.; Galuppo, L.; Tolone, M.; Vitale, M.; Puleio, R.; Osman, M.; Loria, G.R.; Hamze, M. Molecular characterization of antimicrobial resistance and virulence genes of bacterial pathogens from bovine and caprine mastitis in Northern Lebanon. Microorganisms 2021, 9, 1148. [Google Scholar] [CrossRef] [PubMed]



| Case | Specie | Breed | Age | Rearing System | Milking Method | Clinical Evolution | Affected Mammary Gland | Type of Mastitis | Treatment | Hospitalization Days | Outcome | Sequelae |
|---|---|---|---|---|---|---|---|---|---|---|---|---|
| 1 | Goat | Crossbred | 4 y | Intensive | Manual | 48 h | Right | Hyperacute | Clinical | 9 | Discharged | Rigid MG |
| 2 | Sheep | Crossbred | 4 y | Extensive | None | 45 days | Both | Chronic | Surgical | 15 | Discharged | None |
| 3 | Goat | Saanen | 2 y | Intensive | Mechanical | 24 h | Both | Hyperacute | Clinical | 2 | Death | - |
| 4 | Goat | Saanen | 1 y | Intensive | Mechanical | 24 h | Left | Hyperacute | Clinical | 1 | Death | - |
| 5 | Goat | Saanen | NAD | Intensive | Mechanical | 24 h | Right | Hyperacute | Clinical | 1 | Death | - |
| 6 | Sheep | Crossbred | 2 y | Extensive | None | 37 days | Both | Chronic | Clinical | 4 | Euthanasia | - |
| 7 | Sheep | Crossbred | NAD | Extensive | None | 8 days | Both | Chronic | Clinical | 4 | Euthanasia | - |
| 8 | Sheep | Crossbred | 3 y | Extensive | None | 96 h | Both | Acute | Surgical | 60 | Discharged | None |
| 9 | Sheep | Crossbred | 2 y | Extensive | None | 96 h | Both | Acute | Clinical | 38 | Discharged | Rigid MG |
| 10 | Goat | Saanen | 5 y | Intensive | Manual | 153 days | Both | Chronic | Surgical | 58 | Discharged | None |
| 11 | Goat | Saanen | 4 y | Intensive | Mechanical | 24 h | Both | Hyperacute | Clinical | 1 | Death | - |
| 12 | Goat | Saanen | 6 y | Intensive | Mechanical | 12 h | Right | Hyperacute | Clinical | 8 | Discharged | None |
| 13 | Goat | Saanen | 3 y | Intensive | Mechanical | 12 h | Both | Hyperacute | Clinical | 10 | Discharged | NAD |
| 14 | Sheep | Crossbred | 5 y | Extensive | None | 61 days | Both | Chronic | Surgical | 22 | Discharged | None |
| 15 | Sheep | Crossbred | NAD | Extensive | None | 158 days | Left | Chronic | Clinical | 69 | Discharged | Rigid MG |
| 16 | Goat | Crossbred | 5 y | Intensive | Mechanical | 12 h | Both | Hyperacute | Clinical | 5 | Discharged | None |
| 17 | Goat | Saanen | 3 y | Intensive | Mechanical | 48 h | Left | Hyperacute | Clinical | 7 | Discharged | NAD |
| 18 | Goat | Saanen | 3 y | Intensive | Mechanical | 96 h | Right | Acute | Clinical | 7 | Discharged | None |
| 19 | Goat | Saanen | 5 y | Intensive | Mechanical | 15 days | Left | Chronic | Clinical | 7 | Discharged | Rigid MG |
| 20 | Goat | Crossbred | 3 y | Intensive | Manual | 24 h | Right | Hyperacute | Clinical | 7 | Discharged | Rigid MG |
| 21 | Goat | Saanen | 2 y | Intensive | Mechanical | 36 h | Right | Hyperacute | Surgical | 30 | Discharged | None |
| 22 | Goat | Saanen | 5 y | Intensive | Manual | 65 days | Both | Chronic | Surgical | 87 | Discharged | None |
| 23 | Goat | Saanen | 6 y | Intensive | Manual | 45 days | Both | Chronic | Surgical | 62 | Discharged | None |
| Case | Ht | RBC | Hb | Leucocytes | SEG | Bands | LYM | MON | EOS | Fibrinogen | STP | Albumin | Globulin | Urea | CR | AST | GGT |
|---|---|---|---|---|---|---|---|---|---|---|---|---|---|---|---|---|---|
| 1 | 34 | 18.8 | 11.3 | 7500 | 4275 | - | 3075 | 150 | - | 400 | 7.6 | 2.37 | 5.23 | 27 | 1.2 | 47 | 45 |
| 2 | 19 | 4.68 | 6.1 | 9100 | 7280 | 91 | 1547 | 91 | 91 | 600 | 6.4 | 1.25 | 5.15 | 30 | 1.4 | 165 | 7 |
| 3 | 40 | 18.7 | 12.2 | 2650 | 53 | - | 2518 | 53 | 27 | 400 | 5.1 | 2 | 3.1 | 130 | 2.3 | 146 | 45 |
| 4 | 35 | 13.3 | 10.9 | 3100 | 558 | - | 2201 | 310 | 31 | 1000 | 5.5 | 2 | 4.5 | 74 | 3.2 | 162 | 61 |
| 5 # | - | - | - | - | - | - | - | - | - | - | - | - | - | - | - | - | - |
| 6 | 19 | 4.9 | 5.8 | 14,850 | 10,247 | - | 3119 | 149 | 1337 | 400 | 7.4 | 1.6 | 5.8 | 16 | 1.3 | 131 | 53 |
| 7 | 14 | 3.6 | 4 | 5200 | 3744 | - | 1300 | 156 | - | 400 | 5.2 | 1.3 | 3.9 | 30 | 1.1 | 172 | 84 |
| 8 | 29 | 8.1 | 9.1 | 15,100 | 11,300 | - | 3800 | - | - | 600 | 7.4 | NP | NP | NP | NP | NP | NP |
| 9 | 15 | 4.2 | 4.8 | 8700 | 5220 | 174 | 3306 | - | - | 800 | 6.8 | NP | NP | NP | NP | NP | NP |
| 10 | 17 | 8.8 | 5.7 | 13,050 | 9135 | - | 3132 | 653 | 131 | 400 | 10.7 | 1.7 | 9 | 23 | 1.5 | 47 | - |
| 11 | 24 | 11 | 6.1 | 8200 | 4592 | - | 2542 | 164 | 902 | 600 | 7.2 | 2.1 | 5.1 | 83 | 1.2 | 94 | 53 |
| 12 | 29 | 15.3 | 6.3 | 3050 | 702 | - | 2318 | 31 | - | 400 | 6.6 | NP | NP | 24 | 1.4 | 110 | 61 |
| 13 | 31 | 11.9 | 9.5 | 1800 | 612 | - | 1044 | - | 36 | 400 | 6 | 3.5 | 2.5 | 13 | 1.4 | 71 | 50 |
| 14 | 25 | 5,65 | 8 | 11,600 | 6264 | - | 1160 | 696 | 3480 | 200 | 7 | 2.8 | 4.2 | 34 | 0.7 | 109 | 72 |
| 15 | 29 | 7.9 | 6.4 | 7150 | 4219 | - | 1716 | 429 | 787 | 400 | 7.2 | NP | NP | 23 | 1.4 | 104 | NP |
| 16 | 22 | 10 | 7.1 | 13,210 | 10,701 | 133 | 2114 | 133 | 133 | 400 | 6.9 | 3.1 | 3.8 | 20 | 0.9 | 67 | 38 |
| 17 | 32 | 12.8 | 9 | 8650 | 6488 | - | 1990 | 173 | - | 1200 | 6.2 | 2.4 | 3.8 | 51 | 1.5 | 47 | 38 |
| 18 | 29 | 13.3 | 8.9 | 7000 | 3710 | - | 3080 | 140 | 70 | 400 | 6.4 | 2.9 | 3.5 | 23 | 1.3 | 89 | 30 |
| 19 | 20 | 12.3 | 7.2 | 8950 | 3849 | - | 4833 | 269 | - | 600 | 6 | 2.3 | 3.7 | 26 | 0.7 | 78 | 48 |
| 20 | 25 | 11.6 | 7.5 | 17,500 | 15,400 | - | 1925 | - | - | 200 | 6.2 | 1.7 | 4.5 | 49 | 1.1 | 115 | 122 |
| 21 | 34 | 16 | 10.8 | 3100 | 341 | 2449 | 279 | 31 | 800 | 5.5 | 2 | 3.5 | 67 | 1.7 | 178 | 30 | |
| 22 | 24 | 10.9 | 7.7 | 5000 | 1300 | - | 2750 | 200 | 250 | 400 | 8.7 | 2.7 | 6 | 46 | 1.1 | 110 | NP |
| 23 | 30 | 12.9 | 9.7 | 8650 | 5709 | - | 2422 | 260 | 260 | 400 | 6.2 | 2.4 | 3.8 | 30 | 1.5 | 157 | NP |
| X ± SD Goats | 28.4 ± 6.2 | 13.1 ± 2.9 | 8.6 ± 2 | 7427 ± 4548 | 4495 ± 4453 | 133 ± 0 | 2559 ± 824 | 216 ± 155 | 187 ± 266 | 533 ± 269 | 6.7 ± 1.4 | 2.3 ± 0.5 | 4.4 ± 1.6 | 45.7 ± 31.6 | 1.4 ± 0.6 | 101.2 ± 43.6 | 51.7 ± 24.3 |
| X ± SD Sheep | 21.4 ± 6.2 | 5.5 ± 1.9 | 6.3 ± 1.7 | 8123 ± 4783 | 5433 ± 3471 | 132.5 ± 58.6 | 1833 ± 1305 | 304.2 ± 255.2 | 1423 ± 1462 | 485.7 ± 195.1 | 6.7 ± 0.7 | 1.7 ± 0.7 | 4.7 ± 0.8 | 26.6 ± 7.1 | 1.18 ± 0.3 | 136.2 ± 31.2 | 54 ± 33.8 |
| RF Goats * | 19–38 | 8–18 | 8–14 | 4000–13,000 | 1200–7200 | 0–100 | 2000–9000 | 0–650 | 50–650 | 100–400 | 6.4–7 | 2.7–3.9 | 2.7–4.1 | 21.4–42.8 | 1–1.8 | 43–132 | 20–56 |
| RF Sheep * | 24–50 | 8–16 | 8–16 | 4000–12,000 | 700–6000 | 0–100 | 2000–9000 | 0–750 | 0–1000 | 100–500 | 6–7.9 | 2.4–3 | 3.5–5.7 | 17.12–42.8 | 1.2–1.9 | 68–90 | 20–52 |
| Case | Affected MG | Isolated Bacteria | CEF | SUL + TRIM | AMOX | ENR | PEN | GEN | FLOR | CIPRO | AMP | TET | NOR | AZI |
|---|---|---|---|---|---|---|---|---|---|---|---|---|---|---|
| 1 | Right | No growth | - | - | - | - | - | - | - | - | - | - | - | - |
| 3 | Both | Escherichia coli | S | S | R | R | NP | NP | NP | NP | NP | NP | NP | NP |
| 4 | Left | Staphylococcus aureus | S | S | S | S | S | S | S | S | S | NP | NP | NP |
| 6 | Both | S. aureus/E. coli | NP | NP | NP | NP | NP | NP | NP | NP | NP | NP | NP | NP |
| 7 | Both | No growth | - | - | - | - | - | - | - | - | - | - | - | - |
| 11 | Both | S. aureus | S | S | R | R | R | S | NP | I | NP | S | NP | NP |
| 12 | Right | No growth | - | - | - | - | - | - | - | - | - | - | - | - |
| 14 | Right | E. coli | R | R | S | NP | NP | NP | NP | NP | S | R | S | R |
| Left | S. aureus | S | R | S | NP | NP | NP | NP | NP | S | I | S | S | |
| 16 | Both | Streptococcus sp. | S | S | S | S | R | S | NP | NP | R | S | NP | NP |
| 18 | Left | S. aureus | S | R | S | R | R | S | NP | S | S | NP | R | NP |
| Right | S. aureus | R | I | S | R | R | S | NP | S | S | NP | I | NP | |
| 19 | Left | No growth | - | - | - | - | - | - | - | - | - | - | - | - |
| 20 | Right | Pasteurella sp. | S | S | S | NP | R | S | NP | NP | S | NP | S | R |
| 21 | Right | E. coli | R | R | I | I | R | R | NP | S | R | R | S | R |
Disclaimer/Publisher’s Note: The statements, opinions and data contained in all publications are solely those of the individual author(s) and contributor(s) and not of MDPI and/or the editor(s). MDPI and/or the editor(s) disclaim responsibility for any injury to people or property resulting from any ideas, methods, instructions or products referred to in the content. |
© 2025 by the authors. Licensee MDPI, Basel, Switzerland. This article is an open access article distributed under the terms and conditions of the Creative Commons Attribution (CC BY) license (https://creativecommons.org/licenses/by/4.0/).
Share and Cite
Brito, G.I.; Cerqueira, L.d.A.; Perecmanis, S.; Borges, J.R.J.; de Castro, M.B.; Câmara, A.C.L. Clinical Mastitis in Small Ruminants Referred to a Veterinary Teaching Hospital: 23 Cases. Microorganisms 2025, 13, 1512. https://doi.org/10.3390/microorganisms13071512
Brito GI, Cerqueira LdA, Perecmanis S, Borges JRJ, de Castro MB, Câmara ACL. Clinical Mastitis in Small Ruminants Referred to a Veterinary Teaching Hospital: 23 Cases. Microorganisms. 2025; 13(7):1512. https://doi.org/10.3390/microorganisms13071512
Chicago/Turabian StyleBrito, Gabriel Inácio, Liz de Albuquerque Cerqueira, Simone Perecmanis, José Renato Junqueira Borges, Márcio Botelho de Castro, and Antonio Carlos Lopes Câmara. 2025. "Clinical Mastitis in Small Ruminants Referred to a Veterinary Teaching Hospital: 23 Cases" Microorganisms 13, no. 7: 1512. https://doi.org/10.3390/microorganisms13071512
APA StyleBrito, G. I., Cerqueira, L. d. A., Perecmanis, S., Borges, J. R. J., de Castro, M. B., & Câmara, A. C. L. (2025). Clinical Mastitis in Small Ruminants Referred to a Veterinary Teaching Hospital: 23 Cases. Microorganisms, 13(7), 1512. https://doi.org/10.3390/microorganisms13071512

