Abstract
The studies on phage therapy have shown an overall protective effect of phages in bacterial infections, thus providing an optimistic outlook on the future benefits of phage-based technologies for treating bacterial diseases. However, the therapeutic effect is highly affected by the proper composition of phage cocktails. The rational approach to the design of bacteriophage cocktails, which is the subject of this study, allowed for development of an effective anti-mastitis solution, composed of virulent bacteriophages acting on Escherichia coli and Staphylococcus aureus. Based on the in-depth bioinformatic characterization of bacteriophages and their in vitro evaluation, the cocktail of five phages against E. coli and three against S. aureus strains was composed. Its testing in the milk model experiment revealed a reduction in the number of S. aureus of 45% and 30% for E. coli strains, and in the study of biofilm prevention, it demonstrated 99% inhibition of biofilm formation for all tested S. aureus strains and a minimum of 50% for 50% of E. coli strains. Such insights justify the need for rational design of cocktails for phage therapy and indicate the potential of the developed cocktail in the treatment of diseased animals, but this requires further investigations to evaluate its in vivo efficacy.
1. Introduction
Mastitis is an intramammary inflammation, and is the most common and the most expensive disease concerning dairy animals worldwide [1]. The disease negatively affects udders, the quality and quantity of milk, and the general welfare of animals, subsequently increasing rearing and prevention costs [2]. Mastitis-affected milk was shown to contain a variety of pathogenic bacteria, toxins, increased somatic cell counts (SCCs) correlated with depleted fat, lactose, solid not fat (SNF), and ash content, but was also shown to have lumps and undesirable color change [1,2,3]. Milk with altered chemical and physical properties that make it improper for human consumption, the costs of drugs and the management of the disease, mortality, and poor animal welfare ultimately result in enormous financial losses [1].
Depending on the origin of the pathogen, mastitis can be classified into two types: environmental or contagious. The former is caused by bacteria spreading in the bovine-related environment, particularly the milking hall, e.g., soil, feces, stagnant water, and bedding material. On the contrary, contagious mastitis is caused by bacteria that are transferred from infected to healthy animals usually at the time of milking through the milker’s hands, milking equipment, or hygiene products such as towels. The most frequently mentioned environmental pathogens are Escherichia coli and Streptococcus uberis, whereas the most common causatives of contagious mastitis include Staphylococcus aureus and Streptococcus agalactiae [4,5]. Moreover, mastitis can be distinguished either as clinical or subclinical, with the latter mainly associated with the contagious type of mastitis [1,6]. Subclinical mastitis is correlated with a significant increase in IgG antibodies, Cl, Na, and free fatty acids (FFA), reduced lactose and total protein count, but also increased pH value of mastitis milk that is associated with the severity of inflammatory process. The peculiarity of subclinical mastitis is greatly reduced milk production with a lack of noticeable milk or udder abnormalities that make the bovine infection not detectable, which eventually affects the consumers and causes more than three to four times more losses of milk production than clinical mastitis [6,7].
Mastitis infections are the main reason for the usage of antibiotics in the dairy industry. Unfortunately, lack of targeted treatment and the overuse and misuse of antibiotics lead to the emergence of bacterial antibiotic resistance, the non-responsiveness of cattle, and increased risk of entrance of resistant bacteria into the food chain [1,8]. Kovačević Z. et al. [9] indicated a direct association between the use of common antibiotics in mastitis treatment and antimicrobial resistance of mastitis-associated pathogens isolated from milk samples. The World Health Organization (WHO) declared antibiotic resistance one of the biggest threats to global health and food security and pointed to the urgent need for development of alternative therapies against bacteria [10,11]. Hence, nowadays, alternatives to the existing therapies with antibiotics and preventive approaches are of special interest. Among antimicrobial treatments with promising therapeutic efficacy, there are herbal medicines based on essential oils (EOs) [12], recombinant peptides [13], bacteriocins [14], and others. This study focused on one feasible perspective: the employment of bacteriophages.
Bacteriophages, or phages, are viruses that specifically infect bacteria. Their number is estimated at approximately 1031 units, which is ten times greater than the number of bacteria and makes them the most numerous beings in our biosphere [15]. Compared to antibiotics, their greatest advantage is the high specificity of action; phages infect selected species of bacteria or, even more precisely, only some strains within a species. Other advantageous qualities of phage therapy include a ubiquitous nature and low natural phage toxicity [16]. Phage therapy is typically implemented as cocktails composed of a variety of phages that should cover a wide range of pathogenic strains [17]. However, when composing effective phage cocktails, the greatest challenge is the appropriate composition of the phage cocktail. The current work aimed to develop a rational approach to the composition of effective phage cocktails, in which in silico analysis supplemented with laboratory results plays a critical role. In silico analysis focused on the assessment of phage-host interactions by precisely identifying receptors allowing for the selection of phages recognizing different structures on the bacteria’s cell surface. Additionally, this approach enables the avoidance or minimization of phage resistance in bacteria, finally giving the bacteriophage cocktail usefulness in the prevention or treatment of mastitis infections in dairy cattle caused by E. coli and S. aureus. The approach proposed in the study constitutes a new direction in designing phage cocktails.
2. Materials and Methods
2.1. Bacterial Collection and Growth Conditions
A collection of bacterial pathogenic strains (also referred to as basic collection) isolated from cows with mastitis symptoms, obtained from the northeast region of Poland at the University of Warmia and Mazury (UWM, Olsztyn, Poland), including 18 E. coli and 15 S. aureus unique strains was used in this study (the property of Proteon Pharmaceuticals S. A.). The strains are listed in Table 1. For short, only the initial number of the strain can be used, e.g., E. coli 090 instead of E. coli 090PP2016. S. aureus strains have been previously well-characterized [18]. Bacterial aliquots were stored as glycerol stocks at −80 °C, and then E. coli strains were inoculated on Luria-Bertani agar plates (LB; BIOMAXIMA, Lublin, Poland) and S. aureus strains were inoculated on Tryptic Soy Broth agar plates (TSB; BIOMAXIMA, Lublin, Poland). After overnight incubation (18–20 h) at 37 °C, three colonies were suspended in a respective liquid medium and incubated with shaking (140 rpm) at 37 °C for 2–3 h unless otherwise stated in the experiment description.
Table 1.
Bacterial collection.
2.2. Bacteriophages
This study involved the examination of 5 E. coli-specific and 3 S. aureus-specific bacteriophages (Table 2), isolated from environmental samples using the double-layer agar method [19]. In brief, 100 µL of an environmental sample in LB/TSB medium (depending on strain, LB for E. coli, TSB for S. aureus) was added to the test tube with 4 mL of molten agar (0.7%) and 100 uL of overnight bacterial culture. The tube was mixed at the vortex, and the content was poured over the surface of the plate with solid agar medium (2% agar LB/TSB medium). The plate was left to dry and then incubated at 37 °C for 24 h. After incubation, the plaques were visible if phages were present in the environmental sample.
Table 2.
Bacteriophages used in the study.
A bacteriophage cocktail at the titer of 2 × 108 PFU/mL (plaque forming unit/milliliter) was used in the studies. Each bacteriophage included in the cocktail was amplified in a separate culture. In this procedure, the culture medium was inoculated with the host production strain and incubated at 37 °C for approximately 2 h. Next, the selected phage was added to the bacterial culture, and incubation proceeded for an additional 3 h at 37 °C, leading to cell lysis. This process enables obtaining a high titer of amplified bacteriophage at a level of about 1 × 109 PFU/mL. After amplification, the biomass was separated from the phage-containing culture fluid by membrane filtration with a 0.2 µm pore size. Once the amplification procedure was completed, the titer of the bacteriophage was assessed by phage enumeration using a double agar overlay plaque assay [19]. In brief, 100 µL of 10-fold dilutions of phages in LB/TSB medium were added to the test tube with 4 mL of molten agar (0.7%) and 100 uL of overnight bacterial culture. The tube was mixed at the vortex, and the content was poured over the surface of the plate with solid agar medium (2% agar LB/TSB medium). The plate was left to dry and then incubated at 37 °C for 24 h. The phage titer was determined by the following calculation:
where:
- —bacteriophage titer (PFU/mL),
- —the sum of plaques on all plates for a given repetition,
- —volume of inoculated phage lysate (0.1 mL),
- —number of plates from 1st dilution,
- —number of plates from 2nd dilution,
- —number of plates from 3rd dilution,
- —the lowest dilution used.
Each bacteriophage titer was calculated for a mixture in suspensions at equal titer value. Finally, the preparation was completed with SM buffer (50 mM Tris-Cl, pH 7.5, 99 mM NaCl, 8 mM MgSO4, 0.01% gelatin) to obtain an anti-E. coli component at a titer of 1 × 108 PFU/mL (consisting of 5 bacteriophages, each at a titer of 2 × 107 PFU/mL) and an anti-S. aureus component at a titer of 1 × 108 PFU/mL (including 3 bacteriophages, each at a titer of 3 × 107 PFU/mL), and the microbiological sterility of the product was analyzed with the usage of AlamarBlue® (BioRad, Hercules, CA, USA). For this purpose, 50 µL of AlamarBlue® reagent were added to two 1.5 mL tubes. An amount of 100 µL of the sample tested was added to one tube (the second tube is a control sample). Both tubes were incubated for 24 ± 3 h at 37 °C in the dark. After incubation, the test result was correct when no color change was observed (navy blue), which indicates the lack of live bacterial cells in the product.
2.3. Characterization of Bacteriophages
For the characterization of isolated bacteriophages, they were subjected to a series of analyses, starting with genetic material isolation according to the modified method of Su et al. [20]. Next, the genomes of bacteriophages were sequenced with the Next Generation Sequencing (NGS) method on the Illumina platform by an external provider that used the Nextera method for library construction. The draft genomes were assembled de novo with SPAdes v3.9.1 [21], and the obtained sequences were structurally annotated, applying PROKKA v1.3.1 [22]. Functional annotations were made using the programs InterProScan v 5.62-94.0 [23], HmmScan v3.3.2 [24], HHpred (Online access 11 April 2023: https://toolkit.tuebingen.mpg.de/tools/hhpred) [25], PhaNNs v0.3 [26], and BLASTp v2.9.0 [27]. The annotated phage’s structural proteins that build the bacteriophage receptor recognition systems were deeply analyzed by BLASTp and HHblits v3.3.0 [28] for detection of native oligomeric state by homology analysis of proteins with a known native oligomeric state deposited in the Protein Data Bank (online access: 14 January–11 November 2022). The detected structural proteins were analyzed using an internal pipeline (unpublished data). The first step of this analysis was the estimation of the sequence similarity and protein models’ similarity to known bacteriophage structural proteins deposited in the Protein Data Bank. The second step was the digital reconstruction of functional elements of the virion, like the head fibers, tail oligomers, tail-fibers elements, and puncturing devices, using AlphaFold-Multimer [29,30,31] and Swiss-Model [32]. These analyses allowed for the detection of receptor binding proteins (RBPs), which were later bioinformatically analyzed in depth for the detection of crucial domains and amino acids motifs involved in recognition of the bacteriophage receptors. The performed bioinformatic analysis allowed for the prediction of the phage receptors. The taxonomy classification was made by VIRIDIC v1.0 [33]. Phage’s genome maps were generated by SnapGene Viewer v7.2.1 (SnapGene software, www.snapgene.com). Phage’s genome comparisons were prepared in Easyfig 2.2.5 [34].
Finally, the morphology of each bacteriophage was determined by using a JEOL 1010 transmission electron microscopy TEM (JOEL Ltd., Tokyo, Japan) in the Laboratory of Microscopic Imaging and Specialized Biological Techniques of the Faculty of Biology and Environmental Protection, University of Łódź, Poland. Bacteriophage lysates were centrifuged at 24,500× g for 3.5 h at 4 °C. The precipitates were suspended twice in a 5% ammonium molybdate solution (Signa-Aldrich, St. Louis, MI, USA) using the same spin parameters. Thus, obtained sediments were suspended in 5% ammonium molybdate to reach the final titer of 1 × 1011 PFU/mL. A drop of such phage suspension was deposited on a formvar-coated and carbon-sprayed 200 mesh copper grid (Polysciences Inc., Warrington, PA, USA) and stained for 45 s with 2% phosphotungstic acid in darkness.
2.4. Lytic Activity
For the assessment of the lytic activity of selected bacteriophages, 18–20 h bacterial cultures (2 × 108 CFU/mL, colony forming unit/milliliter) were 100-fold diluted with LB or TSB medium depending on strain and applied to four wells in a 96-well plate in a volume of 100 µL per well. Two wells were supplemented with 20 µL of tested bacteriophage lysates (titer 2 × 108 PFU/mL, MOI 20), while the remaining two wells were positive controls (with 20 µL of SM buffer, pH = 7.5). The next four wells were filled with 100 µL of medium per well (LB medium for E. coli, TSB for S. aureus), of which 20 µL of phage lysate was added to two of them as negative controls, and the remaining two wells were added with 20 µL of buffer. Plates prepared in this manner were placed in a Tecan Sunrise Basic Microplate Reader, and the absorbance of samples (optical density at wavelength 620 nm, OD620) was measured every 20 min, at 37 °C, for 280 min. Based on analogous absorbance measurement results for avian pathogenic E. coli (APEC), the following assumption on the degree of the bacterial growth inhibition was made: the difference between the positive control OD and the test sample OD above 0.1 indicates strong inhibition of growth by the tested phage; the difference between 0.1 and 0.05 indicates weak inhibition; and the difference below 0.05 is considered as no influence of bacteriophage on the bacteria growth. The evaluation of the degree of the bacterial growth inhibition was analyzed previously in Proteon on taxonomically different bacteriophages and a large number of bacterial strains.
2.5. Induction of Phage Resistance
Bacterial host strains were examined for potency to gain resistance to chosen phages. An amount of 100 µL of phage lysates, each in a titer of 1 × 109 PFU/mL, were added to separate Eppendorf tubes. Next, 100 µL of 100-fold diluted 18–20 h bacterial cultures with a density around 1 × 106 CFU/mL (OD600 = 0.5) were then added to each Eppendorf tube. The control sample contained 100 µL of growth medium (LB for E. coli, TSB for S. aureus) and 100 µL of diluted bacterial culture. After 10 min of incubation at 37 °C, 100 µL of each sample was collected, spread onto the double-layer agar plates, and incubated for 24 h at 37 °C. The double agar layer plates intended for the isolation of resistant bacteria were prepared by adding 100 µL of phage lysates to the top agar, while the top agar of plates for control samples contained 100 µL of medium in which phage lysates were suspended. Resistant colonies observed on plates with phages in top agar were re-cultured on a liquid and solid medium. Subsequently, their resistance to selected bacteriophages was evaluated with a spot test, together with the assessment of their sensitivity to the remaining phages chosen for the cocktail composition. Obtained resistant strains were preserved as glycerol stocks and also sequenced by the illumina NGS platform and deeply analyzed to determine the mutated genes that induce the resistance phenotype. The mutations were detected by Snippy v4.6.0 software [35]. The detected mutations were analyzed for assessment of their impact on the protein function, which allows for the description of the resistance-gaining mechanism by bacteria exposed to analyzed phages.
2.6. Bacteriophage Cocktail Host Range (Specificity)
To investigate the host range of bacteriophage cocktail, a serial dilutions spot test method [36] on 17 E. coli and 15 S. aureus strains isolated from cows with mastitis was performed. The bacteriophage cocktail (2 × 108 PFU/mL) was ten-fold serial diluted in SM buffer (2 × 108 PFU/mL, 2 × 107 PFU/mL, 2 × 106 PFU/mL, 2 × 105 PFU/mL, 2 × 104 PFU/mL, 2 × 103 PFU/mL). Next, 100 µL of overnight bacterial suspension (2 × 108 CFU/mL) were added to test tubes containing molten soft agar (agar 0.7%; LB + 5% glycerol for E. coli and TSB for S. aureus), mixed and plated on Petri dishes with solid agar medium (agar 2%; LB + 5% glycerol for E. coli and TSB for S. aureus) and left to dry. Then, 10 µL of each dilution were spotted onto the plate and left to dry. SM buffer was used as a negative control. Plates were incubated at 37 °C for 18–24 h. Determination of bacteria sensitivity to bacteriophages with the phage serial dilutions was performed each time in triplicate in 90 mm Petri dishes with the use of 3 independent bacterial cultures while using the same series of dilutions of the bacteriophage suspension. At the dropped spot, the possible observations are as follows: CL (clearance), T (turbidity), P (plaques), or NL (no clearance on the spot). Strain is classified as sensitive when the lowest phage titer at which clearance, turbidity, or plaques are observed is from 103 to 105 PFU/mL, intermediate when it is from 106 to 108 PFU/mL, and insensitive when no sign is observed up to 108 PFU/mL.
2.7. The Effectiveness of Bacteriophage Cocktail in Prevention of Formation and Eradication of 24 h Bacterial Biofilm
The experiment was performed on the basic strain collection, including an additional 4 E. coli and 3 S. aureus strains resistant to one phage of cocktail components. The effectiveness of the phage cocktail in preventing the formation and eradication of bacterial biofilm was tested using a modified method described by Maszewska et al. [37]. Briefly, in the study of prevention of biofilm formation, 50 µL of 25-fold diluted 18–20 h bacterial cultures (2 × 108 CFU/mL) and 50 µL of phage cocktail of titer 4 × 108 PFU/mL were added simultaneously to a 96-well flat bottom polystyrene plate (MOI 50). Two identical plates were prepared in this manner. The first one was incubated for 24 h at 37 °C in a humidified chamber, and then the MTT test was performed as follows: The medium was removed from all wells, then each well was washed with 100 µL of 0.85% NaCl to rinse the planktonic forms of bacteria. Next, 100 µL of LB medium and 10 µL of 5 mg/mL MTT [3-(4,5-dimethyl-2-yl)-2,5 diphenyltetrazolium bromide] (MERCK, Burlington, MA, USA) were added to each well, and the plate was incubated for 30 min at 37 °C. Dehydrogenases in living cells convert yellow tetrazolium salts (MTT) to purple formazan crystals. After the incubation medium was discarded, 150 µL of DMSO (Chempur, Karlsruhe, Germany), 25 µL of 0.05 M glycine buffer pH 10.6 (0.05 M glycine (Chempur), and 0.043 M NaOH (Chempur) were added to wells to dissolve the formazan crystals. The absorbance value at 570 nm wavelength (OD570), which is directly proportional to the amount of viable cells adsorbed to the wells of the plate (formed biofilm), was measured. The second plate was used for evaluation of bacterial kinetic growth, and the optical density at 600 nm wavelength (OD600) was measured every 20 min for 24 h. In the 24 h biofilm eradication test, the plate was prepared similarly, but after the application of 100 µL of 50-fold diluted overnight bacterial cultures (2 × 108 CFU/mL) to a 96-well plate, the plate was incubated for 24 h at 37 °C in a humidified chamber. Then, the suspensions were collected, and the biofilms were washed with sterile saline. Next, 100 µL of phage cocktail, titer 2 × 108 PFU/mL, was added to appropriate wells, and the plate was again incubated for 24 h at 37 °C in a humidified chamber. Control wells contained 100 µL of the medium instead. After incubation, the MTT test was performed according to the same procedure. Each experiment was repeated three times. The calculations were made based on the following formula:
where:
- —effectiveness of biofilm control,
- ATS—absorbance of test sample,
- AC100%—average absorbance of the 100% biofilm control.
2.8. The Effectiveness of Phage Cocktail in the Milk Environment
The study was carried out on store-bought milk (3.2% fat) pasteurized at low temperatures (Piatnica, Poland). A milk sample, about 300–400 mL, was centrifuged at 4500 rpm (swing-out rotor; 4754 RCF), at 4 °C, for 10 min. The obtained cream layer was removed, and the remaining milk was transferred into one sterile bottle. Milk fat percentage after centrifugation was not measured. Before the experiment, milk volume was portioned into 50 mL Falcon tubes, 18 mL each, and incubated at 37 °C, 140 rpm, for 10 min. Overnight incubated bacterial cultures were diluted in 0.85% NaCl to obtain 1 × 105 CFU/mL and 1 × 104 CFU/mL densities. An amount of 2 mL of each prepared bacterial suspension was added to separate tubes with milk (final titer 1 × 104 CFU/mL and 1 × 103 CFU/mL, respectively). The control sample contained 18 mL of milk and 2 mL of sterile 0.85% NaCl. After mixing, the samples were portioned in a volume of 9 mL into the two 50 mL Falcon tubes. Amounts of 1 mL of the phage cocktail (2 × 108 PFU/mL) and 1 mL of sterile buffer solution (a control of bacterial growth in milk) were added to the appropriate tubes and incubated at 140 rpm, 37 °C, for 24 h. After incubation, the number of bacteria in milk samples was assessed using a selective MacConkey and Chapman medium. Four replicates were performed for each strain tested. To determine if there were significant differences between controls and each strain and tested initial density of bacteria, student T-tests were conducted, and p values < 0.05 were considered as significant, using the program Prism 10 version 10.0.3.
2.9. Storage Stability of the Bacteriophage Cocktail
The stability of the cocktail was tested at 2–10 °C for 24 months. The initial titer of the cocktail was 2 × 108 PFU/mL. The measurements were made every 3 months, and the titer was determined by the double-layer agar method with one plate per dilution [19] as described in Section 2.2.
3. Results
3.1. Phage Characteristics
Bacteriophages covered in this article were exposed to bioinformatic analysis, which revealed that they perform a lytic cycle only and due to this are considered virulent (Table 3 and Table 4). The analysis allowed classification of phage 303Ecol101PP to Tequatrovirus teqdroes (NCBI txid: 2844259), 308Ecol101PP to Mosigvirus mar005p1 (NCBI txid: 2560437), and 351Saur083PP to Rosenblumvirus GRCS (NCBI txid: 2732598) species. For the rest of the analyzed phages, no direct references were detected, but their genera were identified: 310Ecol104PP is Tequatrovirus (NCBI txid: 10663), 348Ecol098PP is Mosigvirus (NCBI txid: 1913652), and 241Ecol014PP is Vequintavirus (NCBI txid: 1914852), while 355Saur083PP and 357Saur119PP are Kayvirus (NCBI txid: 1857843). The assemblies of genomes were deposited in the GenBank database (Table 3 and Table 4.). Genome maps and comparisons with reference genomes are available in Supplementary Materials (https://doi.org/10.5281/zenodo.13772927).
Table 3.
Genetic characterization of bacteriophages specific to E. coli.
Table 4.
Genetic characterization of bacteriophages specific to S. aureus.
Bioinformatic investigations were confirmed via transmission electron micrographs (TEM) visualization (Figure 1), which revealed the morphology of icosahedral capsid and a long contractile tail for all five anti-E. coli bacteriophages and two anti-S. aureus phages, and the icosahedral capsid and a short non-contractile tail for 351Saur083PP phage. These findings were consistent with in silico analyses. Next, the taxonomic similarity between isolated phages and their most similar reference was calculated via Virus Intergenomic Distance by VIRIDIC software v1.0, which is presented in Figure 2.
Figure 1.
TEM micrographs (magnification 60,000×) of isolate bacteriophages: (A) 241Ecol014PP, (B) 303Ecol101PP, (C) 308Ecol101PP, (D) 310Ecol104PP, (E) 348Ecol098PP, (F) 351Saur083PP, (G) 355Saur083PP, (H) 357Saur119PP.
Figure 2.
The results of Virus Intergenomic Distance calculation between analyzed phages and the most similar reference bacteriophages.
Further bioinformatic analyses allowed for the detection of the receptor-binding proteins for all analyzed phages, which in turn allow for the reconstruction of the phage’s receptor binding systems and the uncovering of the action of our phages in the first stage of infection (publication under preparation). In the case of phages attacking Gram-positive bacteria (351Saur083PP, 355Saur083PP, and 357Saur119PP), the analysis predicted affinity to the wall teichoic acids (WTA) decoration sugar (Table 5). The bioinformatic prediction suggests that Rosenblumvirus 351Saur083PP and Kayvirus 355Saur083PP recognize the same sugar motif but attach it by different proteins and mechanisms. Moreover, these phages use different supporting receptors to boost the attachment process. In the case of phage 357Saur119PP, which belongs to the same genus as 355Saur119PP, the bioinformatic studies detected crucial differences in receptor binding domains and suggested the recognition of other structural motifs (publication under preparation).
Table 5.
The results of detection of receptor bindings elements and phage receptors prediction by protein sequence and models similarity.
The analysis of phages specific to E. coli (241Ecol014PP, 303Ecol101PP, 308Ecol101PP, 310Ecol104PP, 348Ecol098PP) predicts that bacteriophages belonging to the same genus recognize the same second receptor (lipopolysaccharide sugar core), which is irreversibly binding by almost identical short tail fibers. However, their specificity is strictly related to the proteins, which create the final part of the long tail fibers that recognize external loops of the different outer membrane porins (Table 5).
3.2. Lytic Activity Results
The lytic activity of selected bacteriophages was assessed through the measurement of absorbance (OD620) of control samples (bacteria) compared to the absorbance of samples of bacteria treated with phage lysate on 96-well plates. The results are expressed as a percentage of bacterial collection with inhibited growth resulting from the treatment with a particular bacteriophage (Table 6). Among phages specific to E. coli, 348Ecol098PP showed the broadest inhibitory effect with strong inhibition concerning 50% of bacterial collection. The 241Ecol014PP, 308Ecoll01PP, and 310Ecol104PP bacteriophages significantly inhibited the growth of at least 30% of the E. coli strains, and the 303Ecol101PP phage strongly impeded the growth of 28% of tested bacterial strains. Noteworthy is the broad range of growth inhibition of the specific to S. aureus 355Saur083PP phage that covers over 85% of the tested bacterial collection. 351Saur083PP and 357Saur119PP caused strong inhibition of growth for 40% and 26.7% of tested strains, respectively. It is worth mentioning that the lytic activity of selected phages overlaps, providing a final coverage of the E. coli collection of 83%, and for S. aureus, bacterial collection of 100% (93.3% of strong inhibition and 6.7% of weak inhibition). Lytic activity data are available in Supplementary Materials (https://zenodo.org/records/11047177; Table S1: Endpoint OD difference for individual anti-E. coli bacteriophages of the cocktail; Table S2: Endpoint OD difference for individual anti-S. aureus bacteriophages of the cocktail; Table S3: Summary of lytic activity of tested bacteriophages towards the bacterial collection). For visualization of obtained results, analysis for two bacterial strains, E. coli 133 and S. aureus 083, was presented in Figure 3. These two strains were selected based on their sensitivity to tested phages.
Table 6.
Summary of lytic activity of tested bacteriophages towards the bacterial collection.
Figure 3.
Growth curves of E. coli 133 (A) and S. aureus 083 (B) cultures treated with selected bacteriophages.
3.3. Phage Resistance Induced by Selected Phages
The possibility of inducing resistance among bacteria was evaluated for tested bacteriophages. Host strains of each phage were exposed to an overdose of phages propagated on them. When inducing strain variants resistant to the tested phage, 20 E. coli and eight S. aureus strains insensitive to selected bacteriophages were obtained (Table 7). The spot test method performed on phage-resistant bacteria variants showed that among 20 analyzed E. coli strains, 14 remained sensitive towards at least two other bacteriophages, and five strains were sensitive to one bacteriophage. Interestingly, the 357Saur119PP phage was observed not to cause phage resistance in all analyzed S. aureus strains and retained its lytic activity towards strains that are resistant to two others specific to S. aureus phages. The obtained results are summarized in Table 7.
Table 7.
Sensitivity of resistant bacterial variants to tested bacteriophages. Explanation of the symbols in the table: + sensitive; − insensitive; ⊗ not tested.
To discover the phages-resistance mechanism induced by selected phages, the obtained resistant variants were exposed to sequencing together with wild type strains. For bioinformatic analysis, only three S. aureus (Table 8) and four E. coli (Table 9) phage-resistant mutant’s NGS data were used. The genomes’ sequences of wild type strains and NGS data of mutants are available in NCBI BioProject ID: PRJNA1162721. Other sequences were withdrawn from analysis due to the low quality of sequences or inconsistent observations. Regarding bacterial strains resistant to phage 351Saur083PP and 355Saur083PP (S. aureus 119PP2018, 120PP2018, and 121PP2018), analysis revealed a mutation in the region encoding poly(ribitol-phosphate) β-N-acetylglucosaminyltransferase (TarS), which is an enzyme attaching the N-acetylglycosamine branch attached by β 1–4 bound. Since mutants remained sensitive to phage 357Saur119PP it can be implied that this phage binds to another sugar motif (Table 8). Additionally, some mutations were identified in the sequence encoding partial 5S ribosomal RNAs; however, they have no influence on bacteria-phage interaction so were ignored in this study.
Table 8.
SNP (single nucleotide polymorphism) detection in mutants derived from S. aureus 083PP2018. NT_POS—position in the mutated gene. AA_POS—position of changed amino acids. The effect of the mutation: *—stop codon.
Table 9.
SNP detection in mutants derived from E. coli 095PP2016. NT_POS—position in the mutated gene. AA_POS—position of changed amino acids. del—deletion, *—stop codon.
The analysis performed on strain E. coli 235PP2017, which is resistant to phage 308Ecol101PP, revealed a deletion in the region encoding outer membrane porin C. This mutation causes the frameshift and induces premature translation termination. The resistance of this mutant suggests that the upper phage recognizes OmpC as a main receptor. The strains E. coli 1304PP2022 and 1306PP2022, which are generated by exposition to phage 303Ecol101PP, have a mutation in the region encoding regulator of the length of the O-antigen component of lipopolysaccharide chains and knockout mutation in the ompC gene. The bioinformatic studies of phage 303Ecol101PP show that it does not recognize O-antigen but is strictly dependent on OmpC protein, which should be its main receptor. The analysis of phage-resistant mutants confirmed this prediction. The bioinformatic analysis of E. coli 265PP2018 detected mutation in two genes. The first is the duplication of four nucleotides in the region encoding the ompA gene, which causes a frameshift and induces an appearance of stop codon and premature translation termination. The second detected mutation is the single nucleotide deletion in the region encoding UDP-Gal:alpha-D-GlcNAc-diphosphoundecaprenol beta-1,3-galactosyltransferase. This enzyme catalyzes the addition of galactose, the second sugar moiety of the O7-antigen repeating unit, to GlcNAc-pyrophosphate-undecaprenol. According to bioinformatic analysis, E. coli 265PP2018 strain (resistant to phage 310Ecol104PP) was predicted to recognize OmpA as a receptor, which was confirmed by NGS data analysis. The results are summarized in Table 9.
3.4. Phage Cocktail Host Range
Based on the in-depth bioinformatic characterization of bacteriophages and analysis of their lytic activity and influence on bacteria resistance occurring, it was inferred that they are solid candidates for cocktail components. As a consequence, the cocktail composed of them was tested for specificity to bacteria from the bacterial collection described in the paragraph on bacterial collection and growth conditions of the Methods section. A cocktail specificity test was carried out via a serial dilutions spot test. Among tested E. coli strains, two were considered insensitive (E. coli 091, E. coli 096), two were of medium sensitivity (E. coli 099, E. coli 118), and 13 remained sensitive. In the case of S. aureus, all 15 tested strains were considered sensitive. The summary of the results expressed as a percentage of the number of strains is presented in Figure 4.
Figure 4.
The sensitivity of E. coli and S. aureus bacterial strains to anti-mastitis bacteriophage cocktail presented as % number of strains that are sensitive, medium sensitive, or insensitive among all tested strains.
3.5. The Effectiveness of Bacteriophage Cocktail in Preventing Biofilm Formation and Eradicating 24 h Bacterial Biofilm
A developed anti-mastitis cocktail was used to evaluate its biofilm degradation ability. The experiment showed that within E. coli strains, inhibition of biofilm formation of a minimum of 50% was observed for 50% of analyzed strains (Figure 5A). The bacteriophage cocktail also destroyed a minimum 50% of 24 h biofilm for 59% of E. coli strains (13 out of 22). Regarding S. aureus strains, the test demonstrated almost 100% inhibition of biofilm formation for all tested strains and bacterial biofilm eradication of 50% in the case of 39% of tested strains (7 out of 18) (Figure 5B).
Figure 5.
The effectiveness of bacteriophage cocktail in biofilm prevention and eradication for E. coli (A) and S. aureus (B) strains. The growth curves of E. coli 133 (C) and S. aureus 083 (D) cultures with an anti-mastitis phage cocktail.
In parallel with the prevention of the biofilm formation test, the bacterial kinetic growth was measured (OD600). The growth curves for E. coli 133 and S. aureus 083 strains treated with an anti-mastitis bacteriophage cocktail are shown in Figure 5C,D, and results for all tested bacterial strains are included in Supplementary Materials (https://doi.org/10.5281/zenodo.11047238; Table S4). Results obtained during 24 h measurement showed that the phage cocktail inhibited the growth of 18 out of 18 S. aureus tested strains and four out of 22 E. coli strains. For six E. coli strains, the phage cocktail caused partial inhibition of bacterial growth, and for four other E. coli strains, it caused growth inhibition during the first hours of incubation, and then the kinetics of bacterial growth were identical to those of a strain not treated with the cocktail. In four out of 40 tested strains, no effect of the anti-mastitis phage cocktail on bacterial growth kinetics was observed.
3.6. Cocktail Effectiveness in Bacteria Eradication in the Milk Environment
In this study, two representative strains (E. coli 133 and S. aureus 083) were used. The effectiveness of the bacteriophage cocktail in bacteria eradication in the milk environment was defined as % of log of bacteria number reduction compared to the log number of bacteria in the control sample assumed as 100%. Two different initial bacterial densities were tested (1 × 103 CFU/mL and 1 × 104 CFU/mL). Differences in Log10(CFU/mL) for each strain and initial bacterial density tested compared to control samples with SM buffer are presented in Figure 6A. The applied phage cocktail was more effective in reducing the number of S. aureus 083 reaching 43% reduction (p < 0.001 for 1 × 103 CFU/mL and p < 0.01 for 1 × 104 CFU/mL), while for the E. coli strain, the reduction ranged approximately 30% (p < 0.001 for 1 × 103 CFU/mL and p < 0.05 for 1 × 104 CFU/m). In control samples, after 24 h incubation, bacterial growth was observed in the range of 4 × 107 CFU/mL to 2 × 108 CFU/mL for E. coli and 3 × 108 CFU/mL to 3 × 109 CFU/mL for S. aureus. The initial bacterial density values had no impact on the effectiveness of the cocktail used (Figure 6B). In addition, the difference in the appearance of milk samples artificially infected with S. aureus between treated or not treated with the phage cocktail was observed (Figure 6C). Precipitation of milk proteins was observed in samples without phages.
Figure 6.
The effectiveness of anti-mastitis cocktail on E. coli 133 and S. aureus 083 bacterial strains in the milk model study. (A) Comparison of log10(CFU/mL) of tested variants to control samples without bacteriophage cocktail. Statistical differences are displayed on the graph (* p < 0.05; ** p < 0.01; *** p < 0.001). (B) Reduction of bacterial growth expressed as %Log10. Data presented are average results from four repeats (gray bars); individual results are shown as black dots, and error bars represent the standard error of the mean. (C) The appearance of milk samples infected with S. aureus 083 with (1A) and without (2A) phage cocktail.
3.7. Storage Stability of Bacteriophage Cocktail
The stability study was carried out for 24 months at 2–10 °C with measurements taken every 3 months. It was expressed as a percentage of the logarithm of the PFU/mL for each measurement time point in reference to the initial titer. After 24 months, stability at a level of at least 94% was observed (Table 10) with the stability of the anti-E. coli component being at a higher level than the anti-S. aureus one.
Table 10.
Storage stability of anti-mastitis bacteriophage cocktail at 2–10 °C.
4. Discussion
E. coli and S. aureus are among the most frequently mentioned mastitis-causing bacterial pathogens [38,39]. E. coli is the most common Gram-negative pathogen responsible for acute clinical mastitis in dairy cows during early lactation and some subclinical phenotypes, whereas S. aureus is of great concern because of its contagiousness, persistence in the environment, high colonization abilities, and generally poor response to therapies [2,5].
This study aimed at developing a phage cocktail directed against bacteria associated with bovine mastitis, especially E. coli and S. aureus. Eight isolated phages (five specific to E. coli and three specific to S. aureus), originating from environmental samples of wastewater, underwent in-depth bioinformatic characterization and in vitro evaluation.
In silico analysis of selected phages confirmed their virulent nature, while analysis of phages and spontaneously generated phage-resistant mutants derived from host bacteria allowed for the determination of the main phage receptors, what is summarized in Table 11 (compilation of Table 5, Table 8 and Table 9, from the Results section). The predictions were highly precise for five phages (303Ecol101PP, 310Ecol104PP, 308Ecol101PP, 351Saur083PP, and 355Saur083PP). In the case of 348Ecol098PP, the prediction was correct for the irreversible binding receptor (LPS core), which is bound by the short tail fibers, but unprecise for the reversible binding receptor, recognized by the long tail fibers. For two phages (241Ecol014PP and 357Saur119PP), the lack of phage-resistant mutant sequences did not allow for precise phage receptor prediction. In the case of 241Ecol014PP, the situation was additionally complex due to complicated architecture of the base plate and tail fiber and the low quality of available structural data of evolutionary closely related phages.
Table 11.
The summary of phage receptor prediction.
Combining phages that recognize different conservative structural elements into a cocktail allows for the recognition of a wide range of targeted bacteria. What is worth underlining is that these conservative structural elements also play the role of virulence factors (OmpA, OmpC, LPS, and WTA), so combing phages that recognize these structures focuses forces on highly virulent pathogens. In addition, as was detected in many studies, if resistance mechanisms rely on knocking out these genes, even if phage resistance occurs, the mutants are less virulent [40].
This approach for phage cocktail designing is the new direction. Interestingly, Dinesh Subedi and colleagues [41], who developed enhanced phage cocktail using phage training and expanded host range through targeted phage isolation against low-coverage strains, also focused on the detection of phages’ receptors and their in-depth analysis. Our and Subedi’s results confirm that this approach is efficient for designing effective phage cocktails that escape the phage resistance mechanism in bacteria. Such a combination of phages into a cocktail allows for obtaining the maximum spectrum of action, which justifies the scheme proposed in Figure 7 describing the synergistic effect of appropriately selected phages.
Figure 7.
The graphical representation of the synergistic effect of bacteriophage components in the designed anti-mastitis cocktail. (a) Gram-positive phages 355Saur083PP and 351Saur083PP are dependent on the same sugar branches of WTA but expose different supporting proteins and depolymerase for recognition and digestion of the biofilm. Phage 357Saur119PP recognizes the most conservative receptor and is the core of the anti-Gram positive cocktail. (b) The bacteriophages against Gram-negative bacteria were selected for recognition of main outer membrane porins in E. coli and two types of LPS core. The phage 241Ecol014PP plays a similar role as 357Saur119PP and recognizes E. coli as resistant to the rest of the phages against E. coli.
The phage cocktail composed in such a way triggers a highly targeted effect, which was proven on a well-characterized collection of bacterial strains isolated from livestock with mastitis symptoms [18]. Our results showed that the developed anti-mastitis cocktail has specificity against tested S. aureus strains reaching 100% and almost 86% in the case of E. coli strains, if the values for sensitive and medium sensitive strains are combined (12 out of 14 strains). Another study with bacteriophages specific for Staphylococcus spp. isolated from dairy cattle also demonstrated their broad spectrum of antibacterial activity and indicated them as potential tools in maintaining environmental homeostasis [42]. This seems to imply that field phages with a wide range of hosts are promising candidates for the development of anti-mastitis therapies, and the suggested approach is consistent with this paper.
Titze et al. [6] suggested that a possible reason for incomplete host coverage might be insufficient differentiation of phages in terms of their origin or family membership, and optimal composition of the phage cocktail should include representatives of all families. This suggestion is partially reflected in the case of our phage cocktail, as specific to E. coli phages represent three genera within the Straboviridae family, and anti-S. aureus phages represent the Rountreeviridae family and two genera of the Herelleviridae family.
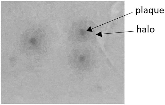
Further, the bactericidal activity of the phage cocktail was evaluated with in vitro tests. A common obstacle in antibacterial therapies is the ability of bacteria to form biofilms, which impede eradication by protecting themselves from biological, chemical, and physical factors and by increasing resistance to antimicrobial agents and the host immune response. Both the E. coli and S. aureus are capable of biofilm formation [43]. In the current study, the effectiveness of the developed bacteriophage cocktail in preventing biofilm formation and eradicating 24 h bacterial biofilm was evaluated. Concerning E. coli strains, the study demonstrated inhibition of biofilm formation of a minimum of 50% for 50% of analyzed strains and destruction of a minimum of 20% of 24 h biofilm for 86% of tested strains and a minimum of 50% of biofilm for 59% of E. coli strains. Phages specific to S. aureus demonstrated 99% inhibition of biofilm formation for all tested strains and biofilm eradication at a minimum level of 20% for 67% of S. aureus strains and eradication of 50% in the case of 39% of tested strains. The obtained results are consistent with the current literature providing data confirming the potential of bacteriophages in biofilm eradication [44,45,46]. In addition, numerous reports suggest that bacteriophage-derived depolymerases play an important role against biofilms due to their ability to recognize, bind, and degrade the polysaccharide compounds of bacterial cell walls, therefore improving phage penetration [47,48,49]. A characteristic feature of depolymerase-producing phages is halos surrounding the plaques, caused by the diffusion of the enzyme into the medium and depriving the bacteria of the envelope [50]. All phages specific to S. aureus included in the cocktail possess genes coding polysaccharide depolymerases (confirmed by genetic analysis) specific to different sugar motifs. However, only 351Saur083PP phage forms plaques surrounded by a halo on the bacterial lawn, which suggests its ability to produce active depolymerases (Figure 8).
Figure 8.
Plaques formed by 351Saur083PP bacteriophage.
There are continuously emerging studies highlighting the therapeutic potential of bacteriophages for mastitis-related bacterial strains, including those resistant to commonly used antibiotics [51], assessed by in vitro and in vivo experiments [52,53,54]. A study with a cow with mastitis caused by E. coli resistant to drugs demonstrated that a cocktail of three phages greatly reduced the number of bacteria itself but also limited somatic cell counts and inflammatory factors and alleviated the symptoms of mastitis in cow [2].
The annual usage of antibiotics that are the first line of treating mastitis in dairy cattle can vary significantly depending on the region, farm practices, and the prevalence of the disease. The specific global or national figures are hardly readily available. However, it has been estimated that mastitis treatment constitutes a major part of the total antibiotic usage in the dairy industry in Europe as well as in the United States [55,56]. Several key factors must be taken into account when considering the expected reduction in antibiotic usage, including the effectiveness of the phage therapy, the specific bacterial strains involved, and the extent to which phage therapy would be adopted by healthcare providers on farms.
It was shown that the therapeutic efficacy of a phage cocktail can be comparable to that of the antibiotic ceftiofur sodium for S. aureus-induced mastitis in mice and E. coli-¬associated mastitis in cattle [2,57]. Moreover, lytic phages were demonstrated to resuscitate an ineffective antibiotic for previously resistant bacteria while simultaneously synergizing with antibiotics in a class-dependent manner [58].
All in all, the estimation of antibiotic usage reduction must be taken carefully since it is still based on ongoing research, and the actual reduction will eventually depend on the specific context. While exact figures can vary, the consensus in the scientific community is that phage therapy holds great promise for reducing antibiotic usage in the treatment of mastitis and other bacterial infections [59].
On the other hand, there are reports vaguely confirming phage activity in milk [60,61]. Nale and McEwan [62] mention that clumping of S. aureus on fat globules within the milk may somehow provide them with a protective barrier against phage attachment. They also indicate that whey proteins in milk can adhere to the surface of S. aureus cells, therefore blocking the potential receptors from attachment of phages. Thus, it was important to evaluate the effectiveness of an anti-mastitis phage cocktail in the research setup that imitates the natural environment for phages. In the case of chronic mastitis, S. aureus is excreted into the milk during milking. In properly drawn milk, the bacterial counts range from 100 to 200 CFU/mL; however, in the case of infected udders, these counts may increase significantly, reaching up to 104 CFU/mL or in extreme cases up to 108 CFU/mL [63]. In addition, Peles et al. [64] indicate S. aureus in bulk tank milk at levels of up to 103 CFU/mL. Since our phage cocktail could be used in the future during the dry period, we decided to test the setup with two different initial bacterial densities (1 × 103 CFU/mL and 1 × 104 CFU/mL). Our current phage cocktail was demonstrated to retain its antibacterial activity in a cow’s milk environment, reducing the number of bacteria on average by up to 43% for S. aureus and up to 30% for E. coli. Titze [6] achieved similar reduction values in a pasteurized milk study with a mixture of three lytic anti-S. aureus phages. There were no statistically important differences between tested initial bacterial densities. Additionally, the presence of bacteriophages prevented the precipitation of milk proteins and visually improved the quality of milk samples. These insights justify the continued evaluation of the effectiveness of the developed phage cocktail with in vitro models, including different MOI values to reflect various environmental situations.
Since productive phage infection, i.e., reaching the highest possible titer of phages can be achieved if a sufficient number of bacteriophages reach the host bacteria, phages should be administered directly to the site of infection. Intravenous administration of phages will allow only a small fraction of them to reach the target site of infection because they are quickly removed from the bloodstream and demonstrate a slow diffusion rate [65]. In the case of mastitis, the highest concentration of bacteria is in the infected udder; therefore, the intramammary route of administration seems to be the most reasonable. This is in line with the study of staphylococcal mastitis in ewes, where the comparison of the efficacy of intramammary and intramuscular antibiotic injection revealed some benefit for the former [66]. The phage cocktail presented in this study is likely to be administered intramammarily, yet the decision on its final formulation has not yet been made. In addition, it seems possible that the higher volume of the cocktail, not particularly the higher titer of phages, contributes to better distribution in vitro and ultimately helps bacteriophages to track the bacteria host cells [6]. This issue should be taken into account when designing the in vivo experiments, bearing in mind that the volume of the preparation should be evenly distributed within the udder. In vivo studies are planned to be conducted as a next stage of development phase, as different aspects of developed product need to be checked in the natural environment. First of all, it is crucial to test its safety, tolerance, and then the effectiveness with selected therapeutic dose, volume, and delivery system. Currently, there are no effective preventatives of mammary bacterial infections available. Despite years of research, no effective vaccines have been developed [67]. Besides antibiotic therapy, which remains the most common method, multiple approaches to manage and prevent mastitis infections have been applied [68,69,70]. Unfortunately, neither is satisfactory when applied as a monotherapy, implicating the need for combination therapies in the future. Perhaps this is the gap that can be filled with phage therapy, as it has already been suggested that the synergistic effect of phage and antibiotic therapy may lead to a reduction of bacterial resistance to phages and antibiotics [6]. However, the clue is the appropriate composition of the phage cocktail.
5. Conclusions
There is currently a shift away from antibiotic therapies in animal husbandry, which opens up opportunities for alternative trends in animal treatment. Phage therapy seems to be attracting more and more attention due to the high specificity towards the pathogen and the growing number of promising in vitro and in vivo studies. The approach for phage cocktail design proposed in this study seems to be crucial for the development of highly effective solutions for bacteria pathogens. In silico assessment of bacteriophage genomes and phage-host interactions allows for the appropriate selection of phages for the cocktail and constitutes a new direction in the procedure of phage cocktail design, which, supported by microbiological analyses, provides the foundation for effective phage products.
The developed anti-mastitis phage cocktail was composed in such a way as to obtain the highest possible efficacy and to avoid the emergence of bacteria resistance, which is the most common obstacle in the case of antibiotic therapies. The results obtained from in vitro studies showing a wide host range and strong lytic activity against a well-characterized bacterial collection indicate the therapeutic potential of the developed cocktail in the treatment of bovine mastitis that could limit the impact of bacterial disease on animal and human health.
Supplementary Materials
The following supporting information can be downloaded at https://doi.org/10.5281/zenodo.13772927; Figure S1. (A). Genome map of 241Ecol014PP; (B). Comparison of 214Ecol014PP with reference genome; Figure S2. (A). Genome maps of 303Ecol101PP and 310Ecol104PP bacteriophages; (B). Comparison of 303Ecol101PP and 310Ecol101PP with reference genome; Figure S3. (A). Genome maps of 308Ecol101PP and 348Ecol098PP bacteriophages; (B). Comparison of 308Ecol101PP and 348Ecol098PP with reference genome; Figure S4. (A). Genome map of 351Saur083PP; (B). Comparison of 351Saur083PP with reference genome; Figure S5. (A). Genome maps of 355Saur083PP and 357Saur119PP bacteriophages; (B). Comparison of 355Saur083PP and 357Saur119PP with reference genome. https://doi.org/10.5281/zenodo.11047177; Table S1. The endpoint optical density (OD) difference value between the positive control OD (bacteria incubated alone) and the OD of the test sample (bacteria incubated with phage) for individual anti-E. coli bacteriophages included in the cocktail; Table S2. The endpoint optical density (OD) difference value between the positive control OD (bacteria incubated alone) and the OD of the test sample (bacteria incubated with phage) for individual anti-S. aureus bacteriophages included in the cocktail; Table S3. Summary of lytic activity of tested anti-E.coli and anti-S aureus bacteriophages included in anti-mastitis cocktail towards the bacterial collection; https://doi.org/10.5281/zenodo.11047238; Table S4. Growth kinetics of S. aureus and E. coli strains incubated without or with anti-mastitis phage cocktail (final titer per well 2.06 × 108 PFU/mL) on the basis of the absorbance measurement (OD600) over time.
Author Contributions
Conceptualization, E.A.W. and J.D.; data curation, A.G. and R.M.; formal analysis, M.S., M.K., A.G. and R.M.; funding acquisition, E.A.W. and J.D.; investigation, D.K., M.S., M.K. and A.K.; methodology, D.K., M.S., M.K., A.G., R.M., A.M. and E.A.W.; project administration, M.S., A.M. and E.A.W.; resources, E.K.-Ł., E.A.W. and J.D.; supervision, A.M. and E.A.W.; validation, M.S., M.K., A.M. and E.A.W.; visualization, D.K., M.S., M.K., A.G. and R.M.; writing—original draft, D.K.; writing—review and editing, M.S., A.G., R.M., A.M. and E.A.W. All authors have read and agreed to the published version of the manuscript.
Funding
Research carried out under project no. POIR.01.01.01-00-0016/16 “Bacteriophage preparation for the treatment of mastitis in cows caused by antibiotic-resistant bacteria”, co-financed by the European Union from the European Regional Development Fund and the state budget, “Smart Growth Operational Program 2014–2020”.
Institutional Review Board Statement
Not applicable.
Informed Consent Statement
Not applicable.
Data Availability Statement
The original contributions presented in the study are included in the article/Supplementary Materials; further inquiries can be directed to the corresponding author/s. The complete genomes of bacteriophages included in the article are available in GenBank at the following accession numbers: OR062943 (241Ecol014PP), OR062944 (303Ecol101PP), OR062945 (308Ecol101PP), OR062946 (310Ecol104PP), OR062947 (348Ecol098PP), OR062948 (351Saur083PP), OR062949 (355Saur083PP), and OR062950 (357Saur119PP).
Acknowledgments
The authors would like to thank Paulina Skibińska for her technical assistance in conducting the assays.
Conflicts of Interest
The authors declare the following competing interest: Exercising control over the company Proteon Pharmaceuticals S.A., which developed the bacteriophage cocktail indicated in this paper. The co-founder had no role in the design of the study; in the collection, analysis, or interpretation of data; in the writing of the manuscript; or in the decision to publish the results.
References
- Kaczorowski, Ł.; Powierska-Czarny, J.; Wolko, Ł.; Piotrowska-Cyplik, A.; Cyplik, P.; Czarny, J. The Influence of Bacteria Causing Subclinical Mastitis on the Structure of the Cow’s Milk Microbiome. Molecules 2022, 27, 1829. [Google Scholar] [CrossRef] [PubMed]
- Guo, M.; Gao, Y.; Xue, Y.; Liu, Y.; Zeng, X.; Cheng, Y.; Ma, J.; Wang, H.; Sun, J.; Wang, Z.; et al. Bacteriophage Cocktails Protect Dairy Cows Against Mastitis Caused By Drug Resistant Escherichia Coli Infection. Front. Cell. Infect. Microbiol. 2021, 11, 690377. [Google Scholar] [CrossRef] [PubMed]
- Huma, Z.I.; Sharma, N.; Kour, S.; Lee, S.J. Phenotypic and Molecular Characterization of Bovine Mastitis Milk Origin Bacteria and Linkage of Intramammary Infection with Milk Quality. Front. Vet. Sci. 2022, 9, 885134. [Google Scholar] [CrossRef] [PubMed]
- Keller, A.P.; Ly, S.; Daetwyler, S.; Eichenseher, F.; Loessner, M.J.; Schmelcher, M. Chimeric Peptidoglycan Hydrolases Kill Staphylococcal Mastitis Isolates in Raw Milk and within Bovine Mammary Gland Epithelial Cells. Viruses 2022, 14, 2801. [Google Scholar] [CrossRef]
- Sharun, K.; Dhama, K.; Tiwari, R.; Gugjoo, M.B.; Iqbal Yatoo, M.; Patel, S.K.; Pathak, M.; Karthik, K.; Khurana, S.K.; Singh, R.; et al. Advances in Therapeutic and Managemental Approaches of Bovine Mastitis: A Comprehensive Review. Vet. Q. 2021, 41, 107–136. [Google Scholar] [CrossRef]
- Titze, I.; Lehnherr, T.; Lehnherr, H.; Krömker, V. Efficacy of Bacteriophages against Staphylococcus Aureus Isolates from Bovine Mastitis. Pharmaceuticals 2020, 13, 35. [Google Scholar] [CrossRef] [PubMed]
- Saleem, H.D.; Razooqi, M.A.; Gharban, H.A.J. Cumulative Effect of Subclinical Mastitis on Immunological and Biochemical Parameters in Cow Milk. Arch. Razi Inst. 2021, 76, 1629–1638. [Google Scholar] [CrossRef]
- Gomes, F.; Henriques, M. Control of Bovine Mastitis: Old and Recent Therapeutic Approaches. Curr. Microbiol. 2016, 72, 377–382. [Google Scholar] [CrossRef]
- Kovačević, Z.; Samardžija, M.; Horvat, O.; Tomanić, D.; Radinović, M.; Bijelić, K.; Vukomanović, A.G.; Kladar, N. Is There a Relationship between Antimicrobial Use and Antibiotic Resistance of the Most Common Mastitis Pathogens in Dairy Cows? Antibiotics 2023, 12, 3. [Google Scholar] [CrossRef]
- WHO. Available online: https://www.Who.Int/News-Room/Fact-Sheets/Detail/Antibiotic-Resistance (accessed on 14 June 2023).
- WHO. Available online: https://www.Who.Int/News-Room/Fact-Sheets/Detail/Antimicrobial-Resistance (accessed on 14 June 2023).
- Tomanić, D.; Kladar, N.; Radinović, M.; Stančić, I.; Erdeljan, M.; Stanojević, J.; Galić, I.; Bijelić, K.; Kovačević, Z. Intramammary Ethno-Veterinary Formulation in Bovine Mastitis Treatment for Optimization of Antibiotic Use. Pathogens 2023, 12, 259. [Google Scholar] [CrossRef]
- Wang, X.; Li, S.; Du, M.; Liu, N.; Shan, Q.; Zou, Y.; Wang, J.; Zhu, Y. A Novel β-Hairpin Peptide Z-D14CFR Enhances Multidrug-Resistant Bacterial Clearance in a Murine Model of Mastitis. Int. J. Mol. Sci. 2022, 23, 4617. [Google Scholar] [CrossRef] [PubMed]
- Kim, S.G.; Lee, Y.D.; Park, J.H.; Moon, G.S. Synergistic Inhibition by Bacteriocin and Bacteriophage against Staphylococcus Aureus. Food Sci. Anim. Resour. 2019, 39, 1015–1020. [Google Scholar] [CrossRef] [PubMed]
- Huh, H.; Wong, S.; Jean, J.S.; Slavcev, R. Bacteriophage Interactions with Mammalian Tissue: Therapeutic Applications. Adv. Drug Deliv. Rev. 2019, 145, 4–17. [Google Scholar] [CrossRef] [PubMed]
- Colavecchio, A.; Goodridge, L.D. Phage Therapy Approaches to Reducing Pathogen Persistence and Transmission in Animal Production Environments: Opportunities and Challenges. Microbiol. Spectr. 2017, 5, 1–14. [Google Scholar] [CrossRef] [PubMed]
- Fujiki, J.; Nakamura, T.; Nakamura, K.; Nishida, K.; Amano, Y.; Watanabe, Y.; Gondaira, S.; Usui, M.; Shimizu, M.; Miyanaga, K.; et al. Biological Properties of Staphylococcus Virus ΦSA012 for Phage Therapy. Sci. Rep. 2022, 12, 21297. [Google Scholar] [CrossRef]
- Kaczorek-Łukowska, E.; Małaczewska, J.; Sowińska, P.; Szymańska, M.; Wójcik, E.A.; Siwicki, A.K. Staphylococcus Aureus from Subclinical Cases of Mastitis in Dairy Cattle in Poland, What Are They Hiding? Antibiotic Resistance and Virulence Profile. Pathogens 2022, 11, 1404. [Google Scholar] [CrossRef]
- Kropinski, A.; Mazzocco, A.; Waddell, T.E.; Lingohr, E.; Johnson, R.P. Bacteriophages: Methods and Protocols; Clokie, M.R.J., Kropinski, A.M., Eds.; Methods in Molecular Biology; Humana Press: Totowa, NJ, USA, 2009; Volume 501, ISBN 978-1-58829-682-5. [Google Scholar]
- Su, M.T.; Venkatesh, T.V.; Bodmer, R. Large-and Small-Scale Preparation of Bacterio-Phage λ λ Lysate and DNA; BioTechniques: Huntsville, AL, USA, 1998. [Google Scholar]
- Prjibelski, A.; Antipov, D.; Meleshko, D.; Lapidus, A.; Korobeynikov, A. Using SPAdes De Novo Assembler. Curr. Protoc. Bioinform. 2020, 70, e102. [Google Scholar] [CrossRef]
- Seemann, T. Prokka: Rapid Prokaryotic Genome Annotation. Bioinformatics 2014, 30, 2068–2069. [Google Scholar] [CrossRef]
- Jones, P.; Binns, D.; Chang, H.Y.; Fraser, M.; Li, W.; McAnulla, C.; McWilliam, H.; Maslen, J.; Mitchell, A.; Nuka, G.; et al. InterProScan 5: Genome-Scale Protein Function Classification. Bioinformatics 2014, 30, 1236–1240. [Google Scholar] [CrossRef]
- Potter, S.C.; Luciani, A.; Eddy, S.R.; Park, Y.; Lopez, R.; Finn, R.D. HMMER Web Server: 2018 Update. Nucleic Acids Res. 2018, 46, W200–W204. [Google Scholar] [CrossRef]
- Zimmermann, L.; Stephens, A.; Nam, S.Z.; Rau, D.; Kübler, J.; Lozajic, M.; Gabler, F.; Söding, J.; Lupas, A.N.; Alva, V. A Completely Reimplemented MPI Bioinformatics Toolkit with a New HHpred Server at Its Core. J. Mol. Bilogy 2018, 430, 2237–2243. [Google Scholar] [CrossRef] [PubMed]
- Cantu, V.A.; Salamon, P.; Seguritan, V.; Redfield, J.; Salamon, D.; Edwards, R.A.; Segall, A.M. PhANNs, a Fast and Accurate Tool and Web Server to Classify Phage Structural Proteins. PLoS Comput. Biol. 2020, 16, e1007845. [Google Scholar] [CrossRef] [PubMed]
- Camacho, C.; Coulouris, G.; Avagyan, V.; Ma, N.; Papadopoulos, J.; Bealer, K.; Madden, T.L. BLAST+: Architecture and Applications. BMC Bioinform. 2009, 10, 421. [Google Scholar] [CrossRef] [PubMed]
- Steinegger, M.; Meier, M.; Mirdita, M.; Vöhringer, H.; Haunsberger, S.J.; Söding, J. HH-Suite3 for Fast Remote Homology Detection and Deep Protein Annotation. BMC Bioinform. 2019, 20, 473. [Google Scholar] [CrossRef]
- Evans, R.; O’neill, M.; Pritzel, A.; Antropova, N.; Senior, A.; Green, T.; Žídek, A.; Bates, R.; Blackwell, S.; Yim, J.; et al. Protein Complex Prediction with AlphaFold-Multimer. bioRxiv 2021, 2021, 10. [Google Scholar] [CrossRef]
- Liu, J.; Guo, Z.; Wu, T.; Roy, R.S.; Quadir, F.; Chen, C.; Cheng, J. Enhancing AlphaFold-Multimer-Based Protein Complex Structure Prediction with MULTICOM in CASP15. Commun. Biol. 2023, 6, 1140. [Google Scholar] [CrossRef]
- Zhu, W.; Shenoy, A.; Kundrotas, P.; Elofsson, A. Evaluation of AlphaFold-Multimer Prediction on Multi-Chain Protein Complexes. bioRxiv 2022, 39, btad424. [Google Scholar] [CrossRef]
- Waterhouse, A.; Bertoni, M.; Bienert, S.; Studer, G.; Tauriello, G.; Gumienny, R.; Heer, F.T.; De Beer, T.A.P.; Rempfer, C.; Bordoli, L.; et al. SWISS-MODEL: Homology Modelling of Protein Structures and Complexes. Nucleic Acids Res. 2018, 46, W296–W303. [Google Scholar] [CrossRef]
- Moraru, C.; Varsani, A.; Kropinski, A.M. VIRIDIC—A Novel Tool to Calculate the Intergenomic Similarities of Prokaryote-Infecting Viruses. Viruses 2020, 12, 1268. [Google Scholar] [CrossRef] [PubMed]
- Sullivan, M.J.; Petty, N.K.; Beatson, S.A. Easyfig: A Genome Comparison Visualizer. Bioinformatics 2011, 27, 1009–1010. [Google Scholar] [CrossRef]
- Seemann, T. Available online: https://Github.Com/Tseemann/Snippy (accessed on 1 January 2020).
- Kutter, E. Phage Host Range and Efficiency of Plating. Methods Mol. Biol. 2009, 501, 141–149. [Google Scholar] [CrossRef]
- Maszewska, A.; Zygmunt, M.; Grzejdziak, I.; Różalski, A. Use of Polyvalent Bacteriophages to Combat Biofilm of Proteus Mirabilis Causing Catheter-Associated Urinary Tract Infections. J. Appl. Microbiol. 2018, 125, 1253–1265. [Google Scholar] [CrossRef]
- Goulart, D.B.; Mellata, M. Escherichia Coli Mastitis in Dairy Cattle: Etiology, Diagnosis, and Treatment Challenges. Front. Microbiol. 2022, 13, 928346. [Google Scholar] [CrossRef]
- Pascu, C.; Herman, V.; Iancu, I.; Costinar, L. Etiology of Mastitis and Antimicrobial Resistance in Dairy Cattle Farms in the Western Part of Romania. Antibiotics 2022, 11, 57. [Google Scholar] [CrossRef]
- León, M.; Bastías, R. Virulence Reduction in Bacteriophage Resistant Bacteria. Front. Microbiol. 2015, 6, 343. [Google Scholar] [CrossRef]
- Subedi, D.; Gordillo Altamirano, F.; Deehan, R.; Perera, A.; Patwa, R.; Kostoulias, X.; Korneev, D.; Blakeway, L.; Macesic, N.; Peleg, A.Y.; et al. Rational Design of Frontline Institutional Phage Cocktail for the Treatment of Nosocomial Enterobacter Cloacae Complex Infections. bioRxiv 2024. [Google Scholar] [CrossRef]
- Pyzik, E.; Urban-Chmiel, R.; Kurek, Ł.; Herman, K.; Stachura, R.; Marek, A. Bacteriophages for Controlling Staphylococcus Spp. Pathogens on Dairy Cattle Farms: In Vitro Assessment. Animals 2024, 14, 683. [Google Scholar] [CrossRef]
- Rudenko, P.; Sachivkina, N.; Vatnikov, Y.; Shabunin, S.; Engashev, S.; Kontsevaya, S.; Karamyan, A.; Bokov, D.; Kuznetsova, O.; Vasilieva, E. Role of Microorganisms Isolated from Cows with Mastitis in Moscow Region in Biofilm Formation. Vet. World 2021, 14, 40–48. [Google Scholar] [CrossRef]
- Jiang, L.; Jiang, Y.; Liu, W.; Zheng, R.; Li, C. Characterization of the Lytic Phage Flora With a Broad Host Range Against Multidrug-Resistant Escherichia Coli and Evaluation of Its Efficacy Against, E. Coli Biofilm Formation. Front. Vet. Sci. 2022, 9, 906973. [Google Scholar] [CrossRef]
- Mohammadian, F.; Rahmani, H.K.; Bidarian, B.; Khoramian, B. Isolation and Evaluation of the Efficacy of Bacteriophages against Multidrug-Resistant (MDR), Methicillin-Resistant (MRSA) and Biofilm-Producing Strains of Staphylococcus Aureus Recovered from Bovine Mastitis. BMC Vet. Res. 2022, 18, 406. [Google Scholar] [CrossRef]
- Teng, F.; Xiong, X.; Zhang, S.; Li, G.; Wang, R.; Zhang, L.; Wang, X.; Zhou, H.; Li, J.; Li, Y.; et al. Efficacy Assessment of Phage Therapy in Treating Staphylococcus Aureus-Induced Mastitis in Mice. Viruses 2022, 14, 620. [Google Scholar] [CrossRef] [PubMed]
- Gutiérrez, D.; Fernández, L.; Martínez, B.; Ruas-Madiedo, P.; García, P.; Rodríguez, A. Real-Time Assessment of Staphylococcus Aureus Biofilm Disruption by Phage-Derived Proteins. Front. Microbiol. 2017, 8, 1632. [Google Scholar] [CrossRef]
- Mi, L.; Liu, Y.; Wang, C.; He, T.; Gao, S.; Xing, S.; Huang, Y.; Fan, H.; Zhang, X.; Yu, W.; et al. Identification of a Lytic Pseudomonas Aeruginosa Phage Depolymerase and Its Anti-Biofilm Effect and Bactericidal Contribution to Serum. Virus Genes. 2019, 55, 394–405. [Google Scholar] [CrossRef]
- Olsen, N.M.C.; Thiran, E.; Hasler, T.; Vanzieleghem, T.; Belibasakis, G.N.; Mahillon, J.; Loessner, M.J.; Schmelcher, M. Synergistic Removal of Static and Dynamic Staphylococcus Aureus Biofilms by Combined Treatment with a Bacteriophage Endolysin and a Polysaccharide Depolymerase. Viruses 2018, 10, 438. [Google Scholar] [CrossRef]
- Guo, Z.; Huang, J.; Yan, G.; Lei, L.; Wang, S.; Yu, L.; Zhou, L.; Gao, A.; Feng, X.; Han, W.; et al. Identification and Characterization of Dpo42, a Novel Depolymerase Derived from the Escherichia Coli Phage VB_EcoM_ECOO78. Front. Microbiol. 2017, 8, 1460. [Google Scholar] [CrossRef]
- Varela-Ortiz, D.F.; Barboza-Corona, J.E.; González-Marrero, J.; León-Galván, M.F.; Valencia-Posadas, M.; Lechuga-Arana, A.A.; Sánchez-Felipe, C.G.; Ledezma-García, F.; Gutiérrez-Chávez, A.J. Antibiotic Susceptibility of Staphylococcus Aureus Isolated from Subclinical Bovine Mastitis Cases and in Vitro Efficacy of Bacteriophage. Vet. Res. Commun. 2018, 42, 243–250. [Google Scholar] [CrossRef]
- Korf, I.H.E.; Kittler, S.; Bierbrodt, A.; Mengden, R.; Rohde, C.; Rohde, M.; Kroj, A.; Lehnherr, T.; Fruth, A.; Flieger, A.; et al. In Vitro Evaluation of a Phage Cocktail Controlling Infections with Escherichia Coli. Viruses 2020, 12, 1470. [Google Scholar] [CrossRef]
- Ngassam-Tchamba, C.; Duprez, J.N.; Fergestad, M.; De Visscher, A.; L’Abee-Lund, T.; De Vliegher, S.; Wasteson, Y.; Touzain, F.; Blanchard, Y.; Lavigne, R.; et al. In Vitro and in Vivo Assessment of Phage Therapy against Staphylococcus Aureus Causing Bovine Mastitis. J. Glob. Antimicrob. Resist. 2020, 22, 762–770. [Google Scholar] [CrossRef]
- Porter, J.; Anderson, J.; Carter, L.; Donjacour, E.; Paros, M. In Vitro Evaluation of a Novel Bacteriophage Cocktail as a Preventative for Bovine Coliform Mastitis. J. Dairy. Sci. 2016, 99, 2053–2062. [Google Scholar] [CrossRef]
- Kaur, G.; Agarwal, R.; Sharma, R.K. Bacteriophage Therapy for Critical and High-Priority Antibiotic-Resistant Bacteria and Phage Cocktail-Antibiotic Formulation Perspective. Food Environ. Virol. 2021, 13, 433–446. [Google Scholar] [CrossRef]
- Preine, F.; Herrera, D.; Scherpenzeel, C.; Kalmus, P.; McCoy, F.; Smulski, S.; Rajala-Schultz, P.; Schmenger, A.; Moroni, P.; Krömker, V. Different European Perspectives on the Treatment of Clinical Mastitis in Lactation. Antibiotics 2022, 11, 1107. [Google Scholar] [CrossRef] [PubMed]
- Geng, H.; Zou, W.; Zhang, M.; Xu, L.; Liu, F.; Li, X.; Wang, L.; Xu, Y. Evaluation of Phage Therapy in the Treatment of Staphylococcus Aureus-Induced Mastitis in Mice. Folia Microbiol. 2020, 65, 339–351. [Google Scholar] [CrossRef] [PubMed]
- Liu, C.G.; Green, S.I.; Min, L.; Clark, J.R.; Salazar, K.C.; Terwilliger, A.L.; Kaplan, H.B.; Trautner, B.W.; Ramig, R.F.; Maresso, A.W. Phage-Antibiotic Synergy Is Driven by a Unique Combination of Antibacterial Mechanism of Action and Stoichiometry. mBio 2020, 11, e01462-20. [Google Scholar] [CrossRef]
- Iwano, H.; Inoue, Y.; Takasago, T.; Kobayashi, H.; Furusawa, T.; Taniguchi, K.; Fujiki, J.; Yokota, H.; Usui, M.; Tanji, Y.; et al. Bacteriophage ΦSA012 Has a Broad Host Range against Staphylococcus Aureus and Effective Lytic Capacity in a Mouse Mastitis Model. Biology 2018, 7, 8. [Google Scholar] [CrossRef]
- García, P.; Madera, C.; Martínez, B.; Rodríguez, A.; Evaristo Suárez, J. Prevalence of Bacteriophages Infecting Staphylococcus Aureus in Dairy Samples and Their Potential as Biocontrol Agents. J. Dairy. Sci. 2009, 92, 3019–3026. [Google Scholar] [CrossRef]
- O’Flaherty, S.; Coffey, A.; Meaney, W.J.; Fitzgerald, G.F.; Ross, R.P. Inhibition of Bacteriophage K Proliferation on Staphylococcus Aureus in Raw Bovine Milk. Lett. Appl. Microbiol. 2005, 41, 274–279. [Google Scholar] [CrossRef]
- Nale, J.Y.; McEwan, N.R. Bacteriophage Therapy to Control Bovine Mastitis: A Review. Antibiotics 2023, 12, 1307. [Google Scholar] [CrossRef]
- Medveďová, A.; Valík, Ľ.; Sirotná, Z.; Liptáková, D. Growth Characterisation of Staphylococcus Aureus in Milk: A Quantitative Approach. Czech J. Food Sci. 2009, 27, 433. [Google Scholar] [CrossRef]
- Peles, F.; Wagner, M.; Varga, L.; Hein, I.; Rieck, P.; Gutser, K.; Keresztúri, P.; Kardos, G.; Turcsányi, I.; Béri, B.; et al. Characterization of Staphylococcus Aureus Strains Isolated from Bovine Milk in Hungary. Int. J. Food Microbiol. 2007, 118, 186–193. [Google Scholar] [CrossRef]
- Nilsson, A.S. Phage Therapy-Constraints and Possibilities. Ups. J. Med. Sci. 2014, 119, 192–198. [Google Scholar] [CrossRef]
- Vasileiou, N.G.C.; Fthenakis, G.C.; Mavrogianni, V.S. Comparison of the Efficacy of Intramammary or Injectable Antibiotic Administration against Staphylococcal Mastitis in Ewes. Pathogens 2022, 11, 1164. [Google Scholar] [CrossRef] [PubMed]
- Rainard, P.; Gilbert, F.B.; Martins, R.P.; Germon, P.; Foucras, G. Progress towards the Elusive Mastitis Vaccines. Vaccines 2022, 10, 296. [Google Scholar] [CrossRef]
- Mansilla, F.; Takagi, M.; Garcia-Castillo, V.; Aso, H.; Nader-Macias, M.E.; Vignolo, G.; Kitazawa, H.; Villena, J. Modulation of Toll-like Receptor-Mediated Innate Immunity in Bovine Intestinal Epithelial Cells by Lactic Acid Bacteria Isolated from Feedlot Cattle. Benef. Microbes 2020, 11, 269–282. [Google Scholar] [CrossRef]
- Peralta, O.A.; Carrasco, C.; Vieytes, C.; Tamayo, M.J.; Muñoz, I.; Sepulveda, S.; Tadich, T.; Duchens, M.; Melendez, P.; Mella, A.; et al. Safety and Efficacy of a Mesenchymal Stem Cell Intramammary Therapy in Dairy Cows with Experimentally Induced Staphylococcus Aureus Clinical Mastitis. Sci. Rep. 2020, 10, 2843. [Google Scholar] [CrossRef]
- Yadav, P.; Yadav, A.B.; Gaur, P.; Mishra, V.; Huma, Z.I.; Sharma, N.; Son, Y.O. Bioengineered Ciprofloxacin-Loaded Chitosan Nanoparticles for the Treatment of Bovine Mastitis. Biomedicines 2022, 10, 3282. [Google Scholar] [CrossRef]
Disclaimer/Publisher’s Note: The statements, opinions and data contained in all publications are solely those of the individual author(s) and contributor(s) and not of MDPI and/or the editor(s). MDPI and/or the editor(s) disclaim responsibility for any injury to people or property resulting from any ideas, methods, instructions or products referred to in the content. |
© 2024 by the authors. Licensee MDPI, Basel, Switzerland. This article is an open access article distributed under the terms and conditions of the Creative Commons Attribution (CC BY) license (https://creativecommons.org/licenses/by/4.0/).







