Central Nervous System Histoplasmosis: An Updated Insight
Abstract
1. Introduction
2. H. capsulatum
3. Histoplasmosis
3.1. Epidemiology of Histoplasmosis
3.2. Clinical Forms
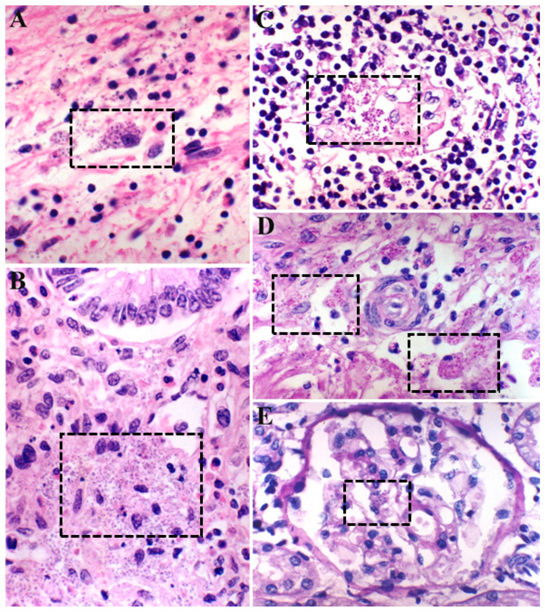
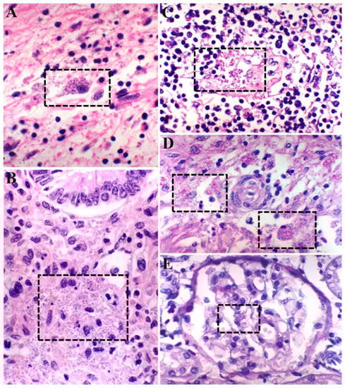
3.3. Pathogenesis
3.4. Diagnosis
3.5. Therapy
4. Conclusions
Author Contributions
Funding
Institutional Review Board Statement
Informed Consent Statement
Data Availability Statement
Conflicts of Interest
References
- Taylor, M.L.; Reyes-Montes, M.R.; Chávez-Tapia, C.B.; Curiel-Quesada, E.; Duarte-Escalante, E.; Rodríguez-Arellanes, G.; Peña-Sandoval, G.R.; Valenzuela-Tovar, F. Ecology and molecular epidemiology findings of Histoplasma capsulatum, in Mexico. In Research Advances in Microbiology; Mojan, R.M., Benedik, M., Eds.; Global Research Network: Kerala, India, 2000; pp. 2–35. [Google Scholar]
- Tewari, R.; Wheat, L.J.; Ajello, L. Agents of histoplasmosis. In Medical Mycology. Topley & Wilson’s, Microbiology and Microbial Infections, 9th ed.; Ajello, L., Hay, R.J., Eds.; Arnold and Oxford University Press: New York, NY, USA, 1998; pp. 373–407. [Google Scholar]
- Kasuga, T.; White, T.J.; Koenig, G.; McEwen, J.; Restrepo, A.; Castañeda, E.; Da Silva Lacaz, C.; Heins-Vaccari, E.M.; De Freitas, R.S.; Zancopé-Oliveira, R.M.; et al. Phylogeography of the fungal pathogen Histoplasma capsulatum. Mol. Ecol. 2003, 12, 3383–3401. [Google Scholar] [CrossRef] [PubMed]
- Teixeira, M.d.M.; Patané, J.S.L.; Taylor, M.L.; Gómez, B.L.; Theodoro, R.C.; de Hoog, S.; Engelthaler, D.M.; Zancopé-Oliveira, R.M.; Felipe, M.S.; Barker, B.M. Worldwide phylogenetic distributions and population dynamics of the genus Histoplasma. PLoS Negl. Trop. Dis. 2016, 10, e0004732. [Google Scholar] [CrossRef] [PubMed]
- Rodrigues, A.M.; Beale, M.A.; Hagen, F.; Fisher, M.C.; Terra, P.P.D.; de Hoog, S.; Brilhante, R.S.N.; de Aguiar Cordeiro, R.; de Souza Collares Maia Castelo-Branco, D.; Rocha, M.F.G.; et al. The global epidemiology of emerging Histoplasma species in recent years. Stud. Mycol. 2020, 97, 1–20. [Google Scholar] [CrossRef] [PubMed]
- Vite-Garín, T.; Estrada-Bárcenas, D.A.; Gernandt, D.S.; Reyes-Montes, M.R.; Sahaza, J.H.; Canteros, C.E.; Ramírez, J.A.; Rodríguez-Arellanes, G.; Serra-Damasceno, L.; Zancopé-Oliveira, R.M.; et al. Histoplasma capsulatum isolated from Tadarida brasiliensis bats captured in Mexico form a sister group to North American class 2 clade. J. Fungi 2021, 7, 529. [Google Scholar] [CrossRef]
- Taylor, M.L.; Reyes-Montes, M.R.; Estrada-Bárcenas, D.A.; Zancopé-Oliveira, R.M.; Rodríguez-Arellanes, G.; Ramírez, J.A. Considerations about the geographic distribution of Histoplasma species. Appl. Environ. Microbiol. 2022, 88, e0201021. [Google Scholar] [CrossRef]
- Sepúlveda, V.E.; Márquez, R.; Turissini, D.A.; Goldman, W.E.; Matute, D.R. Genome sequences reveal cryptic speciation in the human pathogen Histoplasma capsulatum. mBio 2017, 8, e01339-17. [Google Scholar] [CrossRef] [PubMed]
- Voorhies, M.; Cohen, S.; Shea, T.P.; Petrus, S.; Muñoz, J.F.; Poplawski, S.; Goldman, W.E.; Michael, T.P.; Cuomo, C.A.; Sil, A.; et al. Chromosome-level genome assembly of a human fungal pathogen reveals synteny among geographically distinct species. mBio 2022, 13, e02574-21. [Google Scholar] [CrossRef] [PubMed]
- Espinosa-Avilés, D.; Taylor, M.L.; Reyes-Montes, M.R.; Pérez-Torres, A. Molecular findings of disseminated histoplasmosis in two captive snow leopards (Uncia uncia). J. Zoo Wildl. Med. 2008, 39, 450–454. [Google Scholar] [CrossRef]
- Frías-De-León, M.G.; Ramírez-Bárcenas, J.A.; Rodríguez-Arellanes, G.; Velasco-Castrejón, O.; Taylor, M.L.; Reyes-Montes, M.R. Usefulness of molecular markers in the diagnosis of occupational and recreational histoplasmosis outbreaks. Folia Microbiol. 2016, 62, 111–116. [Google Scholar] [CrossRef]
- Gómez, L.F.; Arango, M.; McEwen, J.G.; Gómez, O.M.; Zuluaga, A.; Peláez, C.A.; Acevedo, J.M.; Taylor, M.L.; Jiménez, M.D.P. Molecular epidemiology of Colombian Histoplasma capsulatum isolates obtained from human and chicken manure samples. Heliyon 2019, 5, e02084. [Google Scholar] [CrossRef]
- Carreto-Binaghi, L.E.; Tenorio, E.P.; Morales-Villarreal, F.R.; Aliouat, E.M.; Zenteno, E.; Martínez-Orozco, J.A.; Taylor, M.L. Detection of cytokines and collectins in bronchoalveolar fluid samples of patients infected with Histoplasma capsulatum and Pneumocystis jirovecii. J. Fungi 2021, 7, 938. [Google Scholar] [CrossRef] [PubMed]
- Bahr, N.C.; Antinori, S.; Wheat, L.J.; Sarosi, G.A. Histoplasmosis infections worldwide: Thinking outside of the Ohio River valley. Curr. Trop. Med. Rep. 2015, 2, 70–80. [Google Scholar] [CrossRef]
- Wohlsein, P.; Bauder, B.; Kuttin, E.S.; Kaufman, L.; Seeliger, F.; von Keyserlingk, M. Histoplasmosis in two badgers (Meles meles) in northern Germany. Dtsch. Tierarztl. Wochenschr. 2001, 108, 273–276. [Google Scholar] [PubMed]
- Jacobsen, B.; Baumgärtner, W.; Bialek, R. Disseminated histoplasmosis in a European hedgehog (Erinaceus europaeus) in Northern Germany. Mycoses 2011, 54, 538–541. [Google Scholar] [CrossRef] [PubMed]
- González-González, A.E.; Ramírez, J.A.; Aliouat-Denis, C.M.; Demanche, C.; Aliouat, E.M.; Dei-Cas, E.; Chabé, M.; Taylor, M.L. Molecular detection of Histoplasma capsulatum in the lung of a free-ranging common noctule (Nyctalus noctula) from France using the Hcp100 gene. J. Zoo Wildl. Med. 2013, 44, 15–20. [Google Scholar] [CrossRef]
- Gascón, J.; Torres, J.M.; Luburich, P.; Ayuso, J.R.; Xaubet, A.; Corachán, M. Imported histoplasmosis in Spain. J. Travel Med. 2000, 7, 89–91. [Google Scholar] [CrossRef]
- Antinori, S.; Magni, C.; Nebuloni, M.; Parravicini, C.; Corbellino, M.; Sollima, S.; Galimberti, L.; Ridolfo, A.L.; Wheat, L.J. Histoplasmosis among human immunodeficiency virus-infected people in Europe: Report of 4 cases and review of the literature. Medicine 2006, 85, 22–36. [Google Scholar] [CrossRef]
- Buitrago, M.J.; Bernal-Martínez, L.; Castelli, M.V.; Rodríguez-Tudela, J.L.; Cuenca-Estrella, M. Histoplasmosis and paracoccidioidomycosis in a non-endemic area: A review of cases and diagnosis. J. Travel Med. 2011, 18, 26–33. [Google Scholar] [CrossRef]
- Rodríguez-Tudela, J.L.; Alastruey-Izquierdo, A.; Gago, S.; Cuenca-Estrella, M.; León, C.; Miro, J.M.; Nuñez Boluda, A.; Ruiz Camps, I.; Sole, A.; Denning, D.W.; et al. Burden of serious fungal infections in Spain. Clin. Microbiol. Infect. 2015, 21, 183–189. [Google Scholar] [CrossRef]
- Gumbo, T.; Just-Nübling, G.; Robertson, V.; Latif, A.S.; Borok, M.Z.; Hohle, R. Clinicopathological features of cutaneous histoplasmosis in human immunodeficiency virus-infected patients in Zimbabwe. Trans. R. Soc. Trop. Med. Hyg. 2001, 95, 635–636. [Google Scholar] [CrossRef]
- Lofgren, S.M.; Kirsch, E.J.; Maro, V.P.; Morrissey, A.B.; Msuya, L.J.; Kinabo, G.D.; Saganda, W.; Diefenthal, H.C.; Ramadhani, H.O.; Wheat, L.J.; et al. Histoplasmosis among hospitalized febrile patients in northern Tanzania. Trans. R. Soc. Trop. Med. Hyg. 2012, 106, 504–507. [Google Scholar] [CrossRef] [PubMed]
- Cottle, L.E.; Gkrania-Klotsas, E.; Williams, H.J.; Brindle, H.E.; Carmichael, A.J.; Fry, G.; Beeching, N.J. A multinational outbreak of histoplasmosis following a biology field trip in the Ugandan rainforest. J. Travel Med. 2013, 20, 83–87. [Google Scholar] [CrossRef] [PubMed]
- Antinori, S. Histoplasma capsulatum more widespread than previously thought. Am. J. Trop. Med. Hyg. 2014, 90, 982–983. [Google Scholar] [CrossRef] [PubMed]
- Wheat, J.; Myint, T.; Guo, Y.; Kemmer, P.; Hage, C.; Terry, C.; Azar, M.M.; Riddell, J.; Ender, P.; Chen, S.; et al. Central nervous system histoplasmosis: Multicenter retrospective study on clinical features, diagnostic approach and outcome of treatment. Medicine 2018, 97, e0245. [Google Scholar] [CrossRef] [PubMed]
- Ramireddy, S.; Wanger, A.; Ostrosky, L. An instructive case of CNS histoplasmosis in an immunocompetent host. Med. Mycol. Case Rep. 2012, 1, 69–71. [Google Scholar] [CrossRef]
- Knox, K.S.; Hage, C.A. Histoplasmosis. Proc. Am. Thorac. Soc. 2010, 7, 169–172. [Google Scholar] [CrossRef]
- Hage, C.A.; Azar, M.M.; Bahr, N.; Loyd, J.; Wheat, L.J. Histoplasmosis: Up-to-date evidence-based approach to diagnosis and management. Semin. Respir. Crit. Care Med. 2015, 36, 729–745. [Google Scholar] [CrossRef]
- Horwath, M.C.; Fecher, R.A.; Deepe, G.S., Jr. Histoplasma capsulatum, lung infection and immunity. Future Microbiol. 2015, 10, 967–975. [Google Scholar] [CrossRef]
- Saccente, M.; McDonnell, R.W.; Baddour, L.M.; Mathis, M.J.; Bradsher, R.W. Cerebral histoplasmosis in the azole era: Report of four cases and review. South. Med. J. 2003, 96, 410–416. [Google Scholar] [CrossRef]
- Riddell, J.; Wheat, L.J. Central Nervous System infection with Histoplasma capsulatum. J. Fungi 2019, 5, 70. [Google Scholar] [CrossRef]
- Gurgel, R.K.; Roehm, P.C.; Hansen, M.R. Disseminated histoplasmosis presenting as a unilateral cranial nerve VIII mass: A case report. Otol. Neurotol. 2006, 27, 1014–1016. [Google Scholar] [CrossRef] [PubMed]
- Peña-Castellanos, I.M.; Santana-Porras, J.D.; Rodríguez-Díaz, K.S. Histoplasmosis cerebral. Acta Neurol. Colomb. 2021, 37, 101–105. [Google Scholar] [CrossRef]
- Osorio, N.; Lopez, Y.; Jaramillo, J.C. Histoplasmosis of the central nervous system in an immunocompetent patient. Biomédica 2014, 34, 506–513. [Google Scholar] [CrossRef]
- Schestatsky, P.; Chedid, M.F.; Amaral, O.B.; Unis, G.; Oliveira, F.M.; Severo, L.C. Isolated central nervous system histoplasmosis in immunocompetent hosts: A series of 11 cases. Scand. J. Infect. Dis. 2006, 38, 43–48. [Google Scholar] [CrossRef] [PubMed]
- Kauffman, C.A. Histoplasmosis: A clinical and laboratory update. Clin. Microbiol. Rev. 2007, 20, 115–132. [Google Scholar] [CrossRef] [PubMed]
- Enarson, D.A.; Keys, T.F.; Onofrio, B.M. Central nervous system histoplasmosis with obstructive hydrocephalus. Am. J. Med. 1978, 64, 895–896. [Google Scholar] [CrossRef]
- Machado, L.R.; Nóbrega, J.P.; Livramento, J.A.; Vianna, L.S.; Spina-França, A. Histoplasmosis of the central nervous system. Clinical aspects in 8 patients. Arq. Neuropsiquiatr. 1993, 51, 209–212. [Google Scholar] [CrossRef]
- Wheat, L.J.; Batteiger, B.E.; Sathapatayavongs, B. Histoplasma capsulatum infections of the central nervous system. A clinical review. Medicine 1990, 69, 244–260. [Google Scholar] [CrossRef]
- Saccente, M. Central nervous system histoplasmosis. Curr. Treat. Options Neurol. 2008, 10, 161–167. [Google Scholar] [CrossRef]
- Paphitou, N.I.; Barnett, B.J. Solitary parietal lobe histoplasmoma mimicking a brain tumor. Scand. J. Infect. Dis. 2002, 34, 229–232. [Google Scholar] [CrossRef]
- Hott, J.S.; Horn, E.; Sonntag, V.K.; Coons, S.W.; Shetter, A. Intramedullary histoplasmosis spinal cord abscess in a nonendemic region: Case report and review of the literature. J. Spinal Disord. Tech. 2003, 16, 212–215. [Google Scholar] [CrossRef]
- Trofa, D.; Nosanchuk, J.D. Histoplasmosis of the central nervous system. J. Neuroparasitol. 2012, 3, 1–7. [Google Scholar] [CrossRef]
- Shapiro, J.L.; Lux, J.J.; Sprofkin, B.E. Histoplasmosis of the central nervous system. Am. J. Pathol. 1955, 31, 319–335. [Google Scholar]
- Klein, C.J.; Dinapoli, R.P.; Temesgen, Z.; Meyer, F.B. Central nervous system histoplasmosis mimicking a brain tumor: Difficulties in diagnosis and treatment. Mayo Clin. Proc. 1999, 74, 803–807. [Google Scholar] [CrossRef]
- Franzoi, A.E.A.; Monfredini, N.H.; Pope, L.Z.B.; Reis, F.I.; Tironi, F.A. Cerebral Histoplasmosis in non-immunosuppressed patient—Case Report. Int. J. Neurol. Neurother. 2018, 5, 077. [Google Scholar] [CrossRef]
- DuBois, J.C.; Pasula, R.; Dade, J.E.; Smulian, A.G. Yeast transcriptome and in vivo hypoxia detection reveals Histoplasma capsulatum response to low oxygen tension. Med. Mycol. 2016, 54, 40–58. [Google Scholar] [CrossRef] [PubMed]
- Nguyen, F.N.; Kar, J.K.; Zakaria, A.; Schiess, M.C. Isolated Central Nervous System Histoplasmosis presenting with ischemic on tine stroke and meningitis in an immune-competent patient. JAMA Neurol. 2013, 70, 638–641. [Google Scholar] [CrossRef] [PubMed]
- Dean, O.; Anjum, S.; Hess, B.; Hammoud, D.A.; Athas, D.; Wheat, J.; Williamson, P.R. Central Nervous System Histoplasma-Associated Post-infectious Inflammatory Response Syndrome (Histo-PIIRS). J. Clin. Immunol. 2021, 41, 545–551. [Google Scholar] [CrossRef] [PubMed]
- Wheat, L.J.; Musial, C.E.; Jenny-Avital, E. Diagnosis and management of central nervous system histoplasmosis. Clin. Infect. Dis. 2005, 40, 844–852. [Google Scholar] [CrossRef] [PubMed]
- Bloch, K.C.; Myint, T.; Raymond-Guillen, L.; Hage, C.A.; Davis, T.E.; Wright, P.W.; Chow, F.C.; Woc-Colburn, L.; Khairy, R.N.; Street, A.C.; et al. Improvement in diagnosis of Histoplasma meningitis by combined testing for Histoplasma antigen and immunoglobulin G and immunoglobulin M anti-Histoplasma antibody in cerebrospinal fluid. Clin. Infect. Dis. 2018, 66, 89–94. [Google Scholar] [CrossRef]
- Hage, C.A.; Wheat, L.J. Diagnosis of pulmonary histoplasmosis using antigen detection in the bronchoalveolar lavage. Expert Rev. Respir. Med. 2010, 4, 427–429. [Google Scholar] [CrossRef] [PubMed]
- Martínez-Gamboa, A.; Niembro-Ortega, M.D.; Torres-González, P.; Santiago-Cruz, J.; Velázquez-Zavala, N.G.; Rangel-Cordero, A.; Crabtree-Ramírez, B.; Gamboa-Domínguez, A.; Reyes-Gutiérrez, E.; Reyes-Terán, G.; et al. Diagnostic accuracy of antigen detection in urine and molecular assays testing in different clinical samples for the diagnosis of progressive disseminated histoplasmosis in patients living with HIV/AIDS: A prospective multicenter study in Mexico. PLoS Negl. Trop. Dis. 2021, 15, e0009215. [Google Scholar] [CrossRef]
- Haynes, K.A.; Westerneng, T.J.; Fell, J.W.; Moens, W. Rapid detection and identification of pathogenic fungi by polymerase chain reaction amplification of large subunit ribosomal DNA. J. Med. Vet. Mycol. 1995, 33, 319–325. [Google Scholar] [CrossRef]
- Bialek, R.; Feucht, A.; Aepinus, C.; Just-Nübling, G.; Robertson, V.J.; Knobloch, J.; Hohle, R. Evaluation of two nested PCR assays for detection of Histoplasma capsulatum DNA in human tissue. J. Clin. Microbiol. 2002, 40, 1644–1647. [Google Scholar] [CrossRef] [PubMed]
- Bracca, A.; Tosello, M.E.; Girardini, J.E.; Amogot, S.L.; Gómez, C.; Serra, E. Molecular detection of Histoplasma capsulatum var. capsulatum in human clinical samples. J. Clin. Microbiol. 2003, 41, 1753–1755. [Google Scholar] [CrossRef] [PubMed]
- Guedes, H.L.; Guimarães, A.J.; Muniz, M.d.M.; Pizzini, C.V.; Hamilton, A.J.; Peralta, J.M.; Deepe, G.S., Jr.; Zancopé-Oliveira, R.M. PCR assay for identification of Histoplasma capsulatum based on the nucleotide sequence of the M antigen. J. Clin. Microbiol. 2003, 41, 535–539. [Google Scholar] [CrossRef] [PubMed]
- Ueda, Y.; Sano, A.; Tamura, M.; Inomata, T.; Kamei, K.; Yokoyama, K.; Kishi, F.; Ito, J.; Mikami, Y.; Miyaji, M.; et al. Diagnosis of histoplasmosis by detection of the internal transcribed spacer region of fungal rRNA gene from a paraffin-embedded skin sample from a dog in Japan. Vet. Microbiol. 2003, 94, 219–224. [Google Scholar] [CrossRef]
- Tang, Y.W.; Li, H.; Durkin, M.M.; Sefers, S.E.; Meng, S.; Connolly, P.A.; Stratton, C.W.; Wheat, L.J. Urine polymerase chain reaction is not as sensitive as urine antigen for the diagnosis of disseminated histoplasmosis. Diagn. Microbiol. Infect. Dis. 2006, 54, 283–287. [Google Scholar] [CrossRef]
- Frías De León, M.G.; Arenas-López, G.; Taylor, M.L.; Acosta-Altamirano, G.; Reyes-Montes, M.R. Development of specific sequence-characterized amplified region markers for detecting Histoplasma capsulatum in clinical and environmental samples. J. Clin. Microbiol. 2012, 50, 673–679. [Google Scholar] [CrossRef]
- Dantas, K.C.; Freitas, R.S.; Moreira, A.P.; Silva, M.V.; Benard, G.; Vasconcellos, C.; Criado, P.R. The use of nested Polymerase Chain Reaction (nested PCR) for the early diagnosis of Histoplasma capsulatum infection in serum and whole blood of HIV-positive patients. An. Bras. Dermatol. 2013, 88, 141–143. [Google Scholar] [CrossRef]
- Buitrago, M.J.; Canteros, C.E.; Frías De León, G.; González, Á.; Marques-Evangelista De Oliveira, M.; Muñoz, C.O.; Ramirez, J.A.; Toranzo, A.I.; Zancope-Oliveira, R.; Cuenca-Estrella, M. Comparison of PCR protocols for detecting Histoplasma capsulatum DNA through a multicenter study. Rev. Iberoam. Micol. 2013, 30, 256–260. [Google Scholar] [CrossRef] [PubMed]
- Gago, S.; Esteban, C.; Valero, C.; Zaragoza, O.; Puig de la Bellacasa, J.; Buitrago, M.J. A multiplex real-time PCR assay for identification of Pneumocystis jirovecii, Histoplasma capsulatum, and Cryptococcus neoformans/Cryptococcus gattii in samples from AIDS patients with opportunistic pneumonia. J. Clin. Microbiol. 2014, 52, 1168–1176. [Google Scholar] [CrossRef] [PubMed]
- Azar, M.M.; Hage, C.A. Laboratory diagnostics for histoplasmosis. J. Clin. Microbiol. 2017, 55, 1612–1620. [Google Scholar] [CrossRef]
- Peddi, P.; Challa, T.; Meegada, S.; Annakula, M.; Mar, E. A case of Histoplasmosis with Central Nervous System relapse after itraconazole therapy needs further research. Cureus 2020, 12, e7064. [Google Scholar] [CrossRef]
- Hariri, O.R.; Minasian, T.; Quadri, A.S.; Dyurgerova, A.; Farr, S.; Miulli, D.E.; Siddiqi, J. Histoplasmosis with deep CNS involvement: Case presentation with discussion and literature review. J. Neurol. Surg. Rep. 2015, 76, e167–e172. [Google Scholar] [CrossRef] [PubMed]
- Wheat, L.J.; Freifeld, A.G.; Kleiman, M.B.; Baddley, J.W.; McKinsey, D.S.; Loyd, J.E.; Kauffman, C.A. Clinical practice guidelines for the management of patients with histoplasmosis: 2007 update by the Infectious Diseases Society of America. Clin. Infect. Dis. 2007, 45, 807–825. [Google Scholar] [CrossRef]


Disclaimer/Publisher’s Note: The statements, opinions and data contained in all publications are solely those of the individual author(s) and contributor(s) and not of MDPI and/or the editor(s). MDPI and/or the editor(s) disclaim responsibility for any injury to people or property resulting from any ideas, methods, instructions or products referred to in the content. |
© 2023 by the authors. Licensee MDPI, Basel, Switzerland. This article is an open access article distributed under the terms and conditions of the Creative Commons Attribution (CC BY) license (https://creativecommons.org/licenses/by/4.0/).
Share and Cite
Ramírez, J.A.; Reyes-Montes, M.d.R.; Rodríguez-Arellanes, G.; Pérez-Torres, A.; Taylor, M.L. Central Nervous System Histoplasmosis: An Updated Insight. Pathogens 2023, 12, 681. https://doi.org/10.3390/pathogens12050681
Ramírez JA, Reyes-Montes MdR, Rodríguez-Arellanes G, Pérez-Torres A, Taylor ML. Central Nervous System Histoplasmosis: An Updated Insight. Pathogens. 2023; 12(5):681. https://doi.org/10.3390/pathogens12050681
Chicago/Turabian StyleRamírez, José Antonio, María del Rocío Reyes-Montes, Gabriela Rodríguez-Arellanes, Armando Pérez-Torres, and Maria Lucia Taylor. 2023. "Central Nervous System Histoplasmosis: An Updated Insight" Pathogens 12, no. 5: 681. https://doi.org/10.3390/pathogens12050681
APA StyleRamírez, J. A., Reyes-Montes, M. d. R., Rodríguez-Arellanes, G., Pérez-Torres, A., & Taylor, M. L. (2023). Central Nervous System Histoplasmosis: An Updated Insight. Pathogens, 12(5), 681. https://doi.org/10.3390/pathogens12050681

