Subcutaneous Dirofilariosis of the Eyelid Brought to Poland from the Endemic Territory of Ukraine
Abstract
1. Introduction
2. Detailed Case Description
2.1. Clinical History
2.2. Ocular Pathology
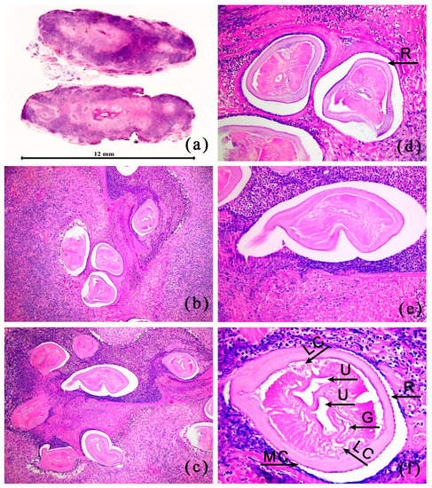
2.2.1. Macroscopic Examination
2.2.2. Microscopic Examination
3. Discussion
4. Conclusions
Author Contributions
Funding
Institutional Review Board Statement
Informed Consent Statement
Data Availability Statement
Conflicts of Interest
References
- Genchi, C.; Kramer, L.H.; Rivasi, F. Dirofilarial infections in Europe. Vector Borne Zoonotic Dis. 2011, 11, 1307–1317. [Google Scholar] [CrossRef] [PubMed]
- Haim, A.; Kitchen, M.; Auer, H.; Rettenbacher, T.; Schmuth, M. A case of human Dirofilaria repens infection, causing an asymptomatic subcutaneous nodule. Parasitol. Res. 2020, 119, 1703–1705. [Google Scholar] [CrossRef] [PubMed]
- Available online: https://www.cdc.gov/dpdx/dirofilariasis/index.html (accessed on 16 January 2023).
- Gabrielli, S.; Mangano, V.; Furzi, F.; Oliva, A.; Vita, S.; Poscia, R.; Fazii, P.; Di Paolo, J.; Marocco, R.; Mastroianni, C.M.; et al. Molecular Identification of New Cases of Human Dirofilariosis (Dirofilaria repens) in Italy. Pathogens 2021, 10, 251. [Google Scholar] [CrossRef] [PubMed]
- Geissler, N.; Ruff, J.; Walochnik, J.; Ludwig, W.; Auer, H.; Wiedermann, U.; Geissler, W. Autochthonous Human Dirofilaria repens Infection in Austria. Acta Parasitol. 2022, 67, 1039–1043. [Google Scholar] [CrossRef] [PubMed]
- Pupić-Bakrač, A.; Pupić-Bakrač, J.; Beck, A.; Jurković, D.; Polkinghorne, A.; Beck, R. Dirofilaria repens microfilaremia in humans: Case description and literature review. One Health 2021, 13, 100306. [Google Scholar] [CrossRef]
- Potters, I.; Vanfraechem, G.; Bottieau, E. Dirofilaria repens nematode infection with microfilaremia in traveller returning to Belgium from Senegal. Emerg. Infect. Dis. 2018, 24, 1761–1763. [Google Scholar] [CrossRef]
- Sałamatin, R.V.; Pavlikovska, T.M.; Sagach, O.S.; Nikolayenko, S.M.; Kornyushin, V.V.; Kharchenko, V.O.; Masny, A.; Cielecka, D.; Konieczna-Sałamatin, J.; Conn, D.B.; et al. Human dirofilariasis due to Dirofilaria repens in Ukraine, an emergent zoonosis: Epidemiological report of 1465 cases. Acta Parasitol. 2013, 58, 592–598. [Google Scholar] [CrossRef]
- Wesołowska, M.; Kisza, K.; Szalinski, M.; Zielinski, M.; Okulewicz, A.; Misiuk-Hojlo, M.; Szostakowska, B. First case of heterochthonous subconjunctival dirofilariasis described in Poland. Am. J. Trop. Med. Hyg. 2010, 83, 210. [Google Scholar] [CrossRef]
- Melsom, H.A.; Kurtzhals, J.A.; Qvortrup, K.; Bargum, R.; Barfod, T.S.; la Cour, M.; Heegaard, S. Subconjunctival Dirofilaria repens Infestation: A Light and Scanning Electron Microscopy Study. Open Ophthalmol. J. 2011, 5, 21–24. [Google Scholar] [CrossRef]
- Kalogeropoulos, C.D.; Stefaniotou, M.I.; Gorgoli, K.E.; Papadopoulou, C.V.; Pappa, C.N.; Paschidis, C.A. Ocular dirofilariasis: A case series of 8 patients. Middle East Afr. J. Ophthalmol. 2014, 21, 312–316. [Google Scholar] [CrossRef]
- Mistry, M.A.; Hoejvig, J.; Helleberg, M.; Stensvold, C.R.; Jokelainen, P.; Noehr, A.; Bonde, C. Human subcutaneous dirofilariasis: The ‘migrating’ skin tumor. Case Rep. Plast. Surg. Hand Surg. 2021, 8, 181–185. [Google Scholar] [CrossRef] [PubMed]
- Frenzen, F.S.; Loewe, I.; Müller, G.; Schoenlebe, J.; Tappe, D.; Teichmann, D. Dirofilaria repens infection of the eye with concomittant microfilaremia in traveller. J. Travel. Med. 2021, 28, taaa119. [Google Scholar] [CrossRef] [PubMed]
- Lippera, S.; Ferroni, P.; Lippera, M. Ocular filariasis via Dirofilaria Repens in a fibrotic, filtering bleb. JAMA Ophthalmol. 2020, 138, e194417. [Google Scholar] [CrossRef] [PubMed]
- Engelsberg, K.; Bläckberg, J. Dirofilaria repens infection of the eye. J. Ophthal. Inflamm. Infect. 2022, 12, 13. [Google Scholar] [CrossRef]
- Campana, I.; Fania, L.; Samela, T.; Campana, L.; Zecchi, V.; Ricci, F.; Abeni, D. A case of human Dirofilaria repens in Rome, Italy: A clinical and radiological challenge. Derm. Rep. 2022, 14, 9354. [Google Scholar] [CrossRef]
- Mannino, G.; Contestabile, M.T.; Medori, E.M.; Mannino, C.; Maurizi Enrici, M.; Marangi, M.; Rossi, P. Dirofilaria repens in the eyelid: Case report of subcutaneous manifestation. Eur. J. Ophthalmol. 2009, 19, 475–477. [Google Scholar] [CrossRef]
- Hennocq, Q.; Helary, A.; Debelmas, A.; Monsel, G.; Labat, A.; Bertolus, C.; Martin, C.; Caumes, E. Oral migration of Dirofilaria repens after creeping dermatitis. Parasite 2020, 27, 16. [Google Scholar] [CrossRef]
- Kuzmin, Y.; Varodi, E.; Vasylyk, N.; Kononko, G. Experimental infection of mosquitoes with Dirofilaria repens (Nematoda, Filarioidea) larvae. Vestn Zool 2005, 39, 19–24. [Google Scholar]
- Fuehrer, H.P.; Morelli, S.; Unterköfler, M.S.; Bajer, A.; Bakran-Lebl, K.; Dwużnik-Szarek, D.; Farkas, R.; Grandi, G.; Heddergott, M.; Jokelainen, P.; et al. Dirofilaria spp. and Angiostrongylus vasorum: Current Risk of Spreading in Central and Northern Europe. Pathogens 2021, 10, 1268. [Google Scholar] [CrossRef]
- Pękacz, M.; Basałaj, K.; Kalinowska, A.; Klockiewicz, M.; Stopka, D.; Bąska, P.; Długosz, E.; Karabowicz, J.; Młocicki, D.; Wiśniewski, M.; et al. Selection of new diagnostic markers for Dirofilaria repens infections with the use of phage display technology. Sci. Rep. 2022, 12, 2288. [Google Scholar] [CrossRef] [PubMed]
- Cielecka, D.; Szymanska, K.; Salamatin, R.; Tomaszewska, A. Case report of human infection with Dirofilaria repens (Leidy, 1856) (Nematoda: Filarioidea: Onchocercidae) in Warsaw. Ann. Parasitol. 2007, 53, 165. [Google Scholar]
- Kołodziej, P.; Szostakowska, B.; Jarosz, B.; Pojasek, S.; Romak, M.; Kocki, J.; Bogucka-Kocka, A. The First Case of Elbow Bursitis Caused by Dirofilaria repens in Humans. Open Forum. Infect. Dis. 2019, 6, 157. [Google Scholar] [CrossRef] [PubMed]
- Poppert, S.; Hodapp, M.; Krueger, A.; Hegasy, G.; Niesen, W.D.; Kern, W.V.; Tannich, E. Dirofilaria repens infection and concomitant meningoencephalitis. Emerg. Infect. Dis. 2009, 15, 1844–1846. [Google Scholar] [CrossRef] [PubMed]
- Raele, D.A.; Pugliese, N.; La Bella, G.; Calvario, A.; Scarasciulli, M.; Vasco, I.; La Salandra, G.; Cafiero, M.A. Case Report: Molecular Detection of Dirofilaria repens in an Italian Patient after a Stay in Tanzania. Am. J. Trop. Med. Hyg. 2021, 104, 2042–2045. [Google Scholar] [CrossRef]
- Se Hyun, C.; Namju, K.; Jin, H.P.; Jaeeun, C.; Jong-Yil, C. Orbital Dirofilariasis. Korean J. Ophthalmol. 2014, 28, 495–496. [Google Scholar] [CrossRef]
- Chopra, R.; Bhatti, S.M.; Mohan, S.; Taneja, N. Dirofilaria in the anterior chamber: A rare occurrence. Middle East Afr. J. Ophthalmol. 2012, 19, 349–351. [Google Scholar] [CrossRef]
- Gorezis, S.; Psilla, M.; Asproudis, I.; Peschos, D.; Papadopoulou, C.; Stefaniotou, M. Intravitreal dirofilariasis: A rare ocular infection. Orbit 2006, 25, 57–59. [Google Scholar] [CrossRef]
- Janjetović, Z.; Arar, Z.V.; Paradzik, M.T.; Sapina, L.; Bitunjac, M.; Lojen, G.; Marinculić, A. Okularna dirofilarioza–prikaz bolesnice [Ocular dirofilariasis: A case report]. Acta Med. Croatica 2010, 64, 41–45. [Google Scholar]
- Available online: https://www.esda.vet/media/attachments/2021/08/19/human-dirofilaria-infections.pdf (accessed on 23 October 2022).



| Disclaimer/Publisher’s Note: The statements, opinions and data contained in all publications are solely those of the individual author(s) and contributor(s) and not of MDPI and/or the editor(s). MDPI and/or the editor(s) disclaim responsibility for any injury to people or property resulting from any ideas, methods, instructions or products referred to in the content. | 
© 2023 by the authors. Licensee MDPI, Basel, Switzerland. This article is an open access article distributed under the terms and conditions of the Creative Commons Attribution (CC BY) license (https://creativecommons.org/licenses/by/4.0/).
Share and Cite
Rymgayłło-Jankowska, B.; Ziaja-Sołtys, M.; Flis, B.; Bogucka-Kocka, A.; Żarnowski, T. Subcutaneous Dirofilariosis of the Eyelid Brought to Poland from the Endemic Territory of Ukraine. Pathogens 2023, 12, 196. https://doi.org/10.3390/pathogens12020196
Rymgayłło-Jankowska B, Ziaja-Sołtys M, Flis B, Bogucka-Kocka A, Żarnowski T. Subcutaneous Dirofilariosis of the Eyelid Brought to Poland from the Endemic Territory of Ukraine. Pathogens. 2023; 12(2):196. https://doi.org/10.3390/pathogens12020196
Chicago/Turabian StyleRymgayłło-Jankowska, Beata, Marta Ziaja-Sołtys, Beata Flis, Anna Bogucka-Kocka, and Tomasz Żarnowski. 2023. "Subcutaneous Dirofilariosis of the Eyelid Brought to Poland from the Endemic Territory of Ukraine" Pathogens 12, no. 2: 196. https://doi.org/10.3390/pathogens12020196
APA StyleRymgayłło-Jankowska, B., Ziaja-Sołtys, M., Flis, B., Bogucka-Kocka, A., & Żarnowski, T. (2023). Subcutaneous Dirofilariosis of the Eyelid Brought to Poland from the Endemic Territory of Ukraine. Pathogens, 12(2), 196. https://doi.org/10.3390/pathogens12020196
 
        

 
                        