Identification of an Attenuated Substrain of Francisella tularensis SCHU S4 by Phenotypic and Genotypic Analyses
Abstract
1. Introduction
2. Results
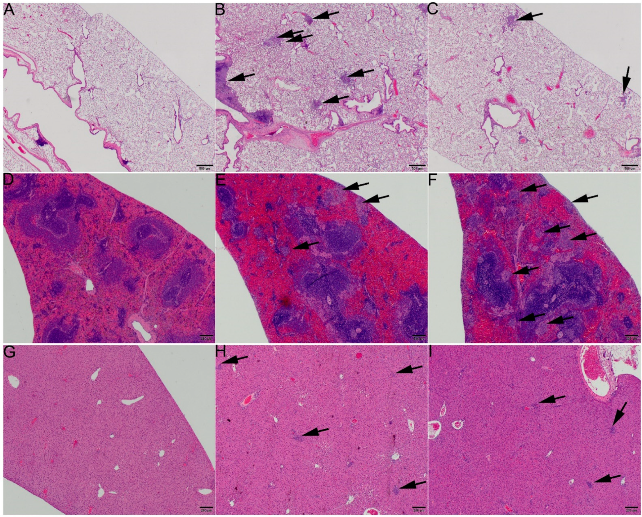
2.1. SCHU S4 Stocks Segregate into Two Distinct Virulence Phenotypes in F344 Rats
2.2. NR-643 Is Significantly Attenuated Compared to NR-10492 in NZW Rabbits
2.3. Genomic DNA Sequencing Identifies NR-643 and FTS-635 as a Substrain of SCHU S4
3. Discussion
4. Materials and Methods
4.1. Animals
4.1.1. Rats
4.1.2. Rabbits
4.2. Challenge Organisms
4.3. Preparation of Challenge Organism for Aerosolization
4.3.1. Rats
4.3.2. Rabbits
4.4. Aerosol Exposure
4.4.1. Rats
4.4.2. Rabbits
4.5. Observations and Measurements
4.5.1. Rats
4.5.2. Rabbits
4.6. Genome Sequencing
4.7. Genome Assembly and Annotation
4.8. Identifying Regions of Differences among Substrains
4.9. Statistics
Author Contributions
Funding
Institutional Review Board Statement
Data Availability Statement
Acknowledgments
Conflicts of Interest
References
- Dennis, D.T.; Inglesby, T.V.; Henderson, D.A.; Bartlett, J.G.; Ascher, M.S.; Eitzen, E.; Fine, A.D.; Friedlander, A.M.; Hauer, J.; Layton, M.; et al. Tularemia as a biological weapon: Medical and public health management. JAMA 2001, 285, 2763–2773. [Google Scholar] [CrossRef]
- Stuart, B.M.; Pullen, R.L. Tularemic pneumonia:Review of American literature and report of 15 additional cases. Am. J. Med. Sci. 1945, 210, 223–236. [Google Scholar] [CrossRef]
- Larsson, P.; Oyston, P.C.; Chain, P.; Chu, M.C.; Duffield, M.; Fuxelius, H.H.; Garcia, E.; Halltorp, G.; Johansson, D.; Isherwood, K.E.; et al. The complete genome sequence of Francisella tularensis, the causative agent of tularemia. Nat. Genet. 2005, 37, 153–159. [Google Scholar] [CrossRef]
- Eigelsbach, H.T.; Braun, W.; Herring, R.D. Studies on the variation of Bacterium tularense. J. Bacteriol. 1951, 61, 557–569. [Google Scholar] [CrossRef] [PubMed]
- Saslaw, S.; Eigelsbach, H.T.; Prior, J.A.; Wilson, H.E.; Carhart, S. Tularemia vaccine study. II. Respiratory challenge. Arch. Intern. Med. 1961, 107, 702–714. [Google Scholar] [CrossRef]
- Eigelsbach, H.T.; Tulis, J.J.; McGavran, M.H.; White, J.D. Live Tularemia Vaccine I.: Host-Parasite Relationship in Monkeys Vaccinated Intracutaneously or Aerogenically. J. Bacteriol. 1962, 84, 1020–1027. [Google Scholar] [CrossRef] [PubMed]
- White, J.D.; Rooney, J.R.; Prickett, P.A.; Derrenbacher, E.B.; Beard, C.W.; Griffith, W.R. Pathogenesis of Experimental Respiratory Tularemia in Monkeys. J. Infect. Dis. 1964, 114, 277–283. [Google Scholar] [CrossRef] [PubMed]
- Sawyer, W.D.; Dangerfield, H.G.; Hogge, A.L.; Crozier, D. Antibiotic prophylaxis and therapy of airborne tularemia. Bacteriol. Rev. 1966, 30, 542–550. [Google Scholar] [CrossRef]
- McCrumb, F.R. Aerosol Infection of Man with Pasteurella Tularensis. Bacteriol. Rev. 1961, 25, 262–267. [Google Scholar] [CrossRef]
- Jemski, J.V. Respiratory tularemia: Comparison of selected routes of vaccination in Fischer 344 rats. Infect. Immun. 1981, 34, 766–772. [Google Scholar] [CrossRef]
- Hornick, R.B.; Dawkins, A.T.; Eigelsbach, H.T.; Tulis, J.J. Oral tularemia vaccine in man. Antimicrob. Agents Chemother. 1966, 6, 11–14. [Google Scholar]
- Hornick, R.B.; Eigelsbach, H.T. Aerogenic immunization of man with live Tularemia vaccine. Bacteriol. Rev. 1966, 30, 532–538. [Google Scholar] [CrossRef] [PubMed]
- Tulis, J.J.; Eigelsbach, H.T.; Kerpsack, R.W. Host-parasite relationship in monkeys administered live tularemia vaccine. Am. J. Pathol. 1970, 58, 329–336. [Google Scholar] [PubMed]
- Glynn, A.R.; Alves, D.A.; Frick, O.; Erwin-Cohen, R.; Porter, A.; Norris, S.; Waag, D.; Nalca, A. Comparison of experimental respiratory tularemia in three nonhuman primate species. Comp. Immunol. Microbiol. Infect. Dis. 2015, 39, 13–24. [Google Scholar] [CrossRef]
- Hutt, J.A.; Lovchik, J.A.; Dekonenko, A.; Hahn, A.C.; Wu, T.H. The Natural History of Pneumonic Tularemia in Female Fischer 344 Rats after Inhalational Exposure to Aerosolized Francisella tularensis Subspecies tularensis Strain SCHU S4. Am. J. Pathol. 2017, 187, 252–267. [Google Scholar] [CrossRef] [PubMed]
- Twenhafel, N.A.; Alves, D.A.; Purcell, B.K. Pathology of inhalational Francisella tularensis spp. tularensis SCHU S4 infection in African green monkeys (Chlorocebus aethiops). Vet. Pathol. 2009, 46, 698–706. [Google Scholar] [CrossRef] [PubMed]
- Twine, S.M.; Shen, H.; Kelly, J.F.; Chen, W.; Sjostedt, A.; Conlan, J.W. Virulence comparison in mice of distinct isolates of type A Francisella tularensis. Microb. Pathog. 2006, 40, 133–138. [Google Scholar] [CrossRef] [PubMed]
- Guina, T.; Lanning, L.L.; Omland, K.S.; Williams, M.S.; Wolfraim, L.A.; Heyse, S.P.; Houchens, C.R.; Sanz, P.; Hewitt, J.A. The Cynomolgus Macaque Natural History Model of Pneumonic Tularemia for Predicting Clinical Efficacy Under the Animal Rule. Front. Cell Infect. Microbiol. 2018, 8, 99. [Google Scholar] [CrossRef]
- Reed, D.S.; Smith, L.; Dunsmore, T.; Trichel, A.; Ortiz, L.A.; Cole, K.S.; Barry, E. Pneumonic tularemia in rabbits resembles the human disease as illustrated by radiographic and hematological changes after infection. PLoS ONE 2011, 6, e24654. [Google Scholar] [CrossRef]
- Molins, C.R.; Delorey, M.J.; Yockey, B.M.; Young, J.W.; Belisle, J.T.; Schriefer, M.E.; Petersen, J.M. Virulence difference between the prototypic Schu S4 strain (A1a) and Francisella tularensis A1a, A1b, A2 and type B strains in a murine model of infection. BMC Infect. Dis. 2014, 14, 67. [Google Scholar] [CrossRef]
- Feldman, K.A.; Enscore, R.E.; Lathrop, S.L.; Matyas, B.T.; McGuill, M.; Schriefer, M.E.; Stiles-Enos, D.; Dennis, D.T.; Petersen, L.R.; Hayes, E.B. An outbreak of primary pneumonic tularemia on Martha’s Vineyard. N. Engl. J. Med. 2001, 345, 1601–1606. [Google Scholar] [CrossRef]
- Olson, N.D.; Lund, S.P.; Colman, R.E.; Foster, J.T.; Sahl, J.W.; Schupp, J.M.; Keim, P.; Morrow, J.B.; Salit, M.L.; Zook, J.M. Best practices for evaluating single nucleotide variant calling methods for microbial genomics. Front. Genet. 2015, 6, 235. [Google Scholar] [CrossRef]
- Larson, M.A.; Nalbantoglu, U.; Sayood, K.; Zentz, E.B.; Bartling, A.M.; Francesconi, S.C.; Fey, P.D.; Dempsey, M.P.; Hinrichs, S.H. Francisella tularensis Subtype A.II Genomic Plasticity in Comparison with Subtype A.I. PLoS ONE 2014, 10, e0124906. [Google Scholar] [CrossRef]
- Nalbantoglu, U.; Sayood, K.; Dempsey, M.P.; Iwen, P.C.; Francesconi, S.C.; Barabote, R.D.; Xie, G.; Brettin, T.S.; Hinrichs, S.H.; Fey, P.D. Large direct repeats flank genomic rearrangements between a new clinical isolate of Francisella tularensis subsp. tularensis A1 and Schu S4. PLoS ONE 2010, 5, e9007. [Google Scholar] [CrossRef] [PubMed]
- Delcher, A.L.; Salzberg, S.L.; Phillippy, A.M. Using MUMmer to identify similar regions in large sequence sets. Curr. Protoc. Bioinform. 2003, 10, 10.3.1–10.3.18. [Google Scholar] [CrossRef] [PubMed]
- Uda, A.; Sekizuka, T.; Tanabayashi, K.; Fujita, O.; Kuroda, M.; Hotta, A.; Sugiura, N.; Sharma, N.; Morikawa, S.; Yamada, A. Role of pathogenicity determinant protein C (PdpC) in determining the virulence of the Francisella tularensis subspecies tularensis SCHU. PLoS ONE 2014, 9, e89075. [Google Scholar] [CrossRef] [PubMed]
- Twine, S.; Bystrom, M.; Chen, W.; Forsman, M.; Golovliov, I.; Johansson, A.; Kelly, J.; Lindgren, H.; Svensson, K.; Zingmark, C.; et al. A mutant of Francisella tularensis strain SCHU S4 lacking the ability to express a 58-kilodalton protein is attenuated for virulence and is an effective live vaccine. Infect. Immun. 2005, 73, 8345–8352. [Google Scholar] [CrossRef]
- Lindgren, M.; Tancred, L.; Golovliov, I.; Conlan, W.; Twine, S.M.; Sjostedt, A. Identification of mechanisms for attenuation of the FSC043 mutant of Francisella tularensis SCHU S4. Infect. Immun. 2014, 82, 3622–3635. [Google Scholar] [CrossRef]
- Sjodin, A.; Svensson, K.; Lindgren, M.; Forsman, M.; Larsson, P. Whole-genome sequencing reveals distinct mutational patterns in closely related laboratory and naturally propagated Francisella tularensis strains. PLoS ONE 2010, 5, e11556. [Google Scholar] [CrossRef]
- O’Malley, K.J.; Bowling, J.D.; Barry, E.M.; Hazlett, K.R.O.; Reed, D.S. Development, Characterization, and Standardization of a Nose-Only Inhalation Exposure System for Exposure of Rabbits to Small-Particle Aerosols Containing Francisella tularensis. Infect. Immun. 2019, 87, e00198-19. [Google Scholar] [CrossRef]
- O’Malley, K.J.; Bowling, J.L.; Stinson, E.; Cole, K.S.; Mann, B.J.; Namjoshi, P.; Hazlett, K.R.O.; Barry, E.M.; Reed, D.S. Aerosol prime-boost vaccination provides strong protection in outbred rabbits against virulent type A Francisella tularensis. PLoS ONE 2018, 13, e0205928. [Google Scholar] [CrossRef] [PubMed]
- Stinson, E.; Smith, L.P.; Cole, K.S.; Barry, E.M.; Reed, D.S. Respiratory and oral vaccination improves protection conferred by the live vaccine strain against pneumonic tularemia in the rabbit model. Pathog. Dis. 2016, 74, 1–10. [Google Scholar] [CrossRef]
- Reed, D.S.; Smith, L.P.; Cole, K.S.; Santiago, A.E.; Mann, B.J.; Barry, E.M. Live attenuated mutants of Francisella tularensis protect rabbits against aerosol challenge with a virulent type A strain. Infect. Immun. 2014, 82, 2098–2105. [Google Scholar] [CrossRef] [PubMed]
- Martin-Garcia, J.M.; Hansen, D.T.; Zook, J.; Loskutov, A.V.; Robida, M.D.; Craciunescu, F.M.; Sykes, K.F.; Wachter, R.M.; Fromme, P.; Allen, J.P. Purification and biophysical characterization of the CapA membrane protein FTT0807 from Francisella tularensis. Biochemistry 2014, 53, 1958–1970. [Google Scholar] [CrossRef] [PubMed]
- Faith, S.A.; Smith, L.P.; Swatland, A.S.; Reed, D.S. Growth conditions and environmental factors impact aerosolization but not virulence of Francisella tularensis infection in mice. Front. Cell Infect. Microbiol. 2012, 2, 126. [Google Scholar] [CrossRef]
- Calfee, M.W.; Wendling, M. Inactivation of vegetative bacterial threat agents on environmental surfaces. Sci. Total Environ. 2013, 443, 387–396. [Google Scholar] [CrossRef]
- Gnerre, S.; Maccallum, I.; Przybylski, D.; Ribeiro, F.J.; Burton, J.N.; Walker, B.J.; Sharpe, T.; Hall, G.; Shea, T.P.; Sykes, S.; et al. High-quality draft assemblies of mammalian genomes from massively parallel sequence data. Proc. Natl. Acad. Sci. USA 2011, 108, 1513–1518. [Google Scholar] [CrossRef]
- Wattam, A.R.; Davis, J.J.; Assaf, R.; Boisvert, S.; Brettin, T.; Bun, C.; Conrad, N.; Dietrich, E.M.; Disz, T.; Gabbard, J.L.; et al. Improvements to PATRIC, the all-bacterial Bioinformatics Database and Analysis Resource Center. Nucleic Acids Res. 2017, 45, D535–D542. [Google Scholar] [CrossRef]
- Bankevich, A.; Nurk, S.; Antipov, D.; Gurevich, A.A.; Dvorkin, M.; Kulikov, A.S.; Lesin, V.M.; Nikolenko, S.I.; Pham, S.; Prjibelski, A.D.; et al. SPAdes: A new genome assembly algorithm and its applications to single-cell sequencing. J. Comput. Biol. 2012, 19, 455–477. [Google Scholar] [CrossRef]
- Chevreux, B.; Wetter, T.; Suhai, S. Genome sequence assembly using trace signals and additional sequence information. In Proceedings of the German Conference on Bioinformatics, Hannover, Germany, 4 October 1999; pp. 45–56. [Google Scholar]
- Langmead, B.; Salzberg, S.L. Fast gapped-read alignment with Bowtie 2. Nat. Methods 2012, 9, 357–359. [Google Scholar] [CrossRef]
- Li, H.; Handsaker, B.; Wysoker, A.; Fennell, T.; Ruan, J.; Homer, N.; Marth, G.; Abecasis, G.; Durbin, R. 1000 genome project data processing subgroup. The sequence alignment/map (SAM) format and SAMtools. Bioinformatics 2010, 25, 2078–2079. [Google Scholar] [CrossRef] [PubMed]
- Okonechnikov, K.; Golosova, O.; Fursov, M.; Ugene Team. Unipro UGENE: A unified bioinformatics toolkit. Bioinformatics 2012, 28, 1166–1167. [Google Scholar] [CrossRef] [PubMed]
- Camacho, C.; Coulouris, G.; Avagyan, V.; Ma, N.; Papadopoulos, J.; Bealer, K.; Madden, T.L. BLAST+: Architecture and applications. BMC Bioinform. 2009, 10, 421. [Google Scholar] [CrossRef] [PubMed]





| F. tularensis Strain | Source | Catalog No. |
|---|---|---|
| SCHU S4 | BEI Resources | NR-28534 |
| SCHU S4 | BEI Resources | NR-10492 |
| SCHU S4 | BEI Resources | NR-643 |
| SCHU S4 | Battelle Memorial Institute/The Ohio State University | FTS-635 |
| MA00-2987 | BEI Resources | NR-645 |
| Strain ID | BioSample Accession | GenBank Assembly Accession | Assembly Level |
|---|---|---|---|
| Reference (GenBank: AJ749949.2) | SAMEA3138185 | GCA_000008985.1 | Complete genome |
| NR-28534 | SAMN02335346 | GCA_000628925.1 | Scaffold |
| NR-10492 | SAMN02335347 | GCA_000629005.1 | Scaffold |
| NR-643 | SAMN02335348 | GCA_000628985.1 | Scaffold |
| FTS-635 | SAMN02335351 | GCA_000628905.1 | Contig |
| NR-645 (GenBank: CP012372.1) | SAMN02595231 | GCA_001267475.1 | Complete genome |
| Samples | Reference Location | Putative RD | Note |
|---|---|---|---|
| NR-28534 & NR-10492 | 354106 to 379789 | Inversion | This inversion has also been observed in a virulent type A1 strain NE061598 [24] |
| NR-28534 & NR-10492 | 1767864 | C → T | Intergenic SNP between FTT_1698c (formate dehydrogenase) and FTT_r08 (5S ribosomal RNA) |
| NR-643 & FTS-635 | 24609 | A → G | Intergenic SNP between two hypothetical proteins (FTT_0025c and FTT_0026c) |
| NR-643 & FTS-635 | 427432 | A → - | Single base deletion causes a frameshift in protein FTT_0415: glgC |
| NR-643 & FTS-635 | 541270 | TTTATATAAGT → - | 11 bp intergenic deletion between FTT_0517 and FTT_0518 |
| NR-643 & FTS-635 | 694308 | A → G | Nonsynonymous SNP causes an amino acid change (E->G) in a hypothetical protein (FTT_0676) |
| NR-643 & FTS-635 | 826816 | A → G | Nonsynonymous SNP causes an amino acid change (D->G) in CapA membrane protein (FTT_0807) |
| NR-643 & FTS-635 | 1419877 | C → T | Nonsynonymous SNP causes an amino acid change (P->S) in a 3-oxoacyl-ACP synthase (FTT_1373) |
| NR-643 & FTS-635 | 1423162 | A → G | Nonsynonymous SNP causes an amino acid change (S->G) in a 3-oxoacyl-ACP synthase (FTT_1377) |
| NR-643 & FTS-635 | 1540424 | - → A | Single-base intergenic insertion between a hypothetical protein (FTT_1486c) and dephospho-CoA kinase (FTT_1487) |
| NR-643 & FTS-635 | 1634580 | G → A | Nonsynonymous SNP causes an amino acid change (T->I) in a hypothetical protein (FTT_1573c) |
Publisher’s Note: MDPI stays neutral with regard to jurisdictional claims in published maps and institutional affiliations. |
© 2021 by the authors. Licensee MDPI, Basel, Switzerland. This article is an open access article distributed under the terms and conditions of the Creative Commons Attribution (CC BY) license (https://creativecommons.org/licenses/by/4.0/).
Share and Cite
Lovchik, J.A.; Reed, D.S.; Hutt, J.A.; Xia, F.; Stevens, R.L.; Modise, T.; Barry, E.M.; Wu, T.H. Identification of an Attenuated Substrain of Francisella tularensis SCHU S4 by Phenotypic and Genotypic Analyses. Pathogens 2021, 10, 638. https://doi.org/10.3390/pathogens10060638
Lovchik JA, Reed DS, Hutt JA, Xia F, Stevens RL, Modise T, Barry EM, Wu TH. Identification of an Attenuated Substrain of Francisella tularensis SCHU S4 by Phenotypic and Genotypic Analyses. Pathogens. 2021; 10(6):638. https://doi.org/10.3390/pathogens10060638
Chicago/Turabian StyleLovchik, Julie A., Douglas S. Reed, Julie A. Hutt, Fangfang Xia, Rick L. Stevens, Thero Modise, Eileen M. Barry, and Terry H. Wu. 2021. "Identification of an Attenuated Substrain of Francisella tularensis SCHU S4 by Phenotypic and Genotypic Analyses" Pathogens 10, no. 6: 638. https://doi.org/10.3390/pathogens10060638
APA StyleLovchik, J. A., Reed, D. S., Hutt, J. A., Xia, F., Stevens, R. L., Modise, T., Barry, E. M., & Wu, T. H. (2021). Identification of an Attenuated Substrain of Francisella tularensis SCHU S4 by Phenotypic and Genotypic Analyses. Pathogens, 10(6), 638. https://doi.org/10.3390/pathogens10060638

