“Shining a LAMP” (Loop-Mediated Isothermal Amplification) on the Molecular Detection of Phytopathogens Phytophthora sp. and Phytophthora cactorum in Strawberry Fields
Abstract
1. Introduction
2. Results
2.1. Specificity of the Developed Reaction
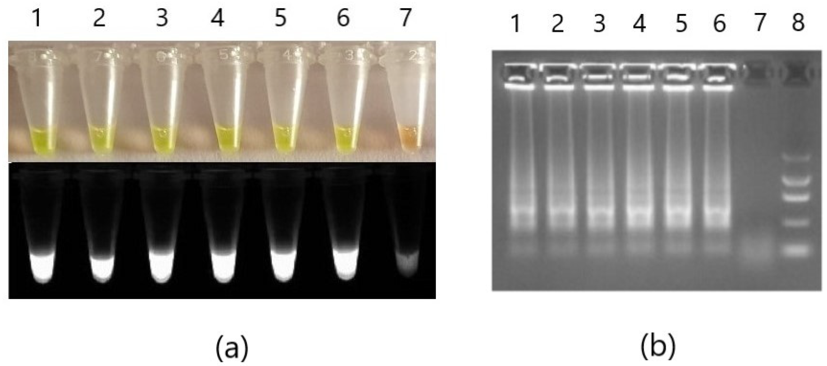
2.2. Sensitivity of the Developed LAMP Assays
2.3. Colorimetric Validation
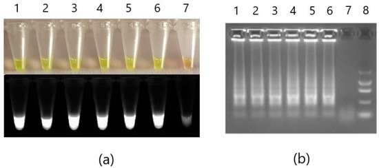
2.4. Biological Samples from the Environment
3. Discussion and Conclusions
4. Materials and Methods
4.1. Obtaining Pure Cultures of Phytophthora sp.
4.2. Isolation of the DNA from Pure Strains and Biological Samples from the Environment
4.3. Primers Development and LAMP Optimization
4.4. Detection Limit
4.5. Colorimetric Approach
4.6. Validation of the Assay in Biological Samples from the Environment
Supplementary Materials
Author Contributions
Funding
Institutional Review Board Statement
Informed Consent Statement
Data Availability Statement
Conflicts of Interest
Correction Statement
References
- Meszka, B.; Michalecka, M. Identification of Phytophthora spp. isolated from plants and soil samples on strawberry plantations in Poland. J. Plant Dis. Prot. 2016, 123, 29–36. [Google Scholar] [CrossRef]
- Wilcox, W.F.; Scott, P.H.; Hamm, P.B.; Kennedy, D.M.; Duncan, J.M.; Brasier, C.M.; Hansen, E.M. Identity of a Phytophthora species attacking raspberry in Europe and North America. Mycol. Res. 1993, 97, 817–831. [Google Scholar] [CrossRef]
- Weiland, J.E.; Benedict, C.; Zasada, I.A.; Scagel, C.R.; Beck, B.R.; Davis, A.; Graham, K.; Peetz, A.; Martin, R.R.; Dung, J.K.S.; et al. Late-summer disease symptoms in western washington red raspberry fields associated with co-occurrence of Phytophthora rubi, Verticillium dahliae and Pratylenchus penetrans, but not raspberry bushy dwarf virus. Plant Dis. 2018, 102, 938–947. [Google Scholar] [CrossRef]
- Gigot, J.; Walters, T.W.; Zasada, I.A. Impact and Occurrence of Phytophthora rubi and Pratylenchus penetrans in commercial red raspberry (Rubus ideaus) fields in Northwestern Washington. Int. J. Fruit Sci. 2013, 13, 357–372. [Google Scholar] [CrossRef]
- Polashock, J.J.; Caruso, F.L.; Oudemans, P.V.; McManus, P.S.; Crouch, J.A. The North American cranberry fruit rot fungal community: A systematic overview using morphological and phylogenetic affinities. Plant Pathol. 2009, 58, 1116–1127. [Google Scholar] [CrossRef]
- Tan, J.; Li, Q.; Chen, L.; Zhang, Y.; Zhang, Y.; Zhou, L. Study on the migration of Phytophthora nicotianae zoospores in the soil. Int. J. Agric. Biol. 2018, 20, 397–403. [Google Scholar] [CrossRef]
- Kroon, L.P.N.M.; Brouwer, H.; de Cock, A.W.A.M.; Govers, F. The genus Phytophthora anno 2012. Phytopathology 2012, 102, 348–364. [Google Scholar] [CrossRef] [PubMed]
- Martin, F.N.; Abad, Z.G.; Balci, Y.; Ivors, K. Identification and detection of Phytophthora: Reviewing our progress, identifying our needs. Plant Dis. 2012, 96, 1080–1103. [Google Scholar] [CrossRef] [PubMed]
- Maas, J.L. Compendium of Strawberry Diseases, 2nd ed.; American Phytopathological Society (APS Press): St. Paul, MN, USA, 1998; ISBN 0890541949. [Google Scholar]
- Orlikowski, L.B.; Trzewik, A.; Ptaszek, M.; Orlikowska, T. Relationship between source of water, occurrence, and pathogenicity of Phytophthora plurivora. Acta Mycol. 2013, 47, 3–9. [Google Scholar] [CrossRef]
- Narayanasamy, P. Detection of fungal pathogens in plants. In Microbial Plant Pathogens—Detection and Disease Diagnosis: Fungal Pathogens; Springer: Berlin/Heidelberg, Germany, 2011; Volume 1, pp. 5–199. ISBN 9789048197682. [Google Scholar][Green Version]
- Frąc, M.; Jezierska-Tys, S.; Yaguchi, T. Occurrence, detection, and molecular and metabolic characterization of heat-resistant fungi in soils and plants and their risk to human health. Adv. Agron. 2015, 132, 161–204. [Google Scholar][Green Version]
- Larkin, R.P.; Ristaino, J.B.; Campbell, L.C. Detection and quantification of Phytophthora capsici in soil. Am. Phytopathol. Soc. 1995, 85, 1057–1063. [Google Scholar] [CrossRef]
- Capote, N.; Pastrana, M.A.; Aguado, A.; Sanchez-Torres, P. Molecular tools for detection of plant pathogenic fungi and fungicide resistance. Plant Pathol. 2012, 151–202. [Google Scholar] [CrossRef]
- Notomi, T.; Okayama, H.; Masubuchi, H.; Yonekawa, T.; Watanabe, K.; Amino, N.; Hase, T. Loop mediated isothermal amplification of DNA. Nucleic Acids Res. 2000, 28, e63. [Google Scholar] [CrossRef] [PubMed]
- Tomlinson, J.A.; Dickinson, M.J.; Boonham, N. Rapid detection of Phytophthora ramorum and P. kernoviae by two-minute DNA extraction followed by isothermal amplification and amplicon detection by generic lateral flow device. Phytopathology 2010, 100, 143–149. [Google Scholar] [CrossRef] [PubMed]
- Kaneko, H.; Kawana, T.; Fukushima, E.; Suzutani, T. Tolerance of loop-mediated isothermal amplification to a culture medium and biological substances. J. Biochem. Biophys. Methods 2007, 70, 499–501. [Google Scholar] [CrossRef]
- Le, D.T.; Vu, N.T. Progress of loop-mediated isothermal amplification technique in molecular diagnosis of plant diseases. Appl. Biol. Chem. 2017, 60, 169–180. [Google Scholar] [CrossRef]
- Wilisiani, F.; Tomiyama, A.; Katoh, H.; Hartono, S.; Neriya, Y.; Nishigawa, H.; Natsuaki, T. Development of a LAMP assay with a portable device for real-time detection of begomoviruses under field conditions. J. Virol. Methods 2019, 265, 71–76. [Google Scholar] [CrossRef]
- Miles, T.D.; Martin, F.N.; Coffey, M.D. Development of rapid isothermal amplification assays for detection of Phytophthora spp. in Plant Tissue. Phytopathology 2015, 105, 265–278. [Google Scholar] [CrossRef]
- Frisch, L.M.; Mann, M.A.; Marek, D.N.; Niessen, L. Development and optimization of a loop-mediated isothermal amplification (LAMP) assay for the species-specific detection of Penicillium expansum. Food Microbiol. 2021, 95, 103681. [Google Scholar] [CrossRef]
- Wang, H.; Turechek, W.W. A loop-mediated isothermal amplification assay and sample preparation procedure for sensitive detection of Xanthomonas fragariae in strawberry. PLoS ONE 2016, 11, 1–21. [Google Scholar] [CrossRef]
- Karimi, K.; Arzanlou, M.; Pertot, I. Development of novel species-specific primers for the specific identification of Colletotrichum nymphaeae based on conventional PCR and LAMP techniques. Eur. J. Plant Pathol. 2019, 463–475. [Google Scholar] [CrossRef]
- Panek, J.; Frąc, M. Loop-mediated isothermal amplification (LAMP) approach for detection of heat-resistant Talaromyces flavus species. Sci. Rep. 2019, 1–8. [Google Scholar] [CrossRef]
- Wu, J.Y.; Hu, X.R.; Zhang, C.Q. Molecular detection of QoI resistance in colletotrichum gloeosporioides causing strawberry anthracnose based on loop-mediated isothermal amplification assay. Plant Dis. 2019, 103, 1319–1325. [Google Scholar] [CrossRef] [PubMed]
- Zhang, X.; Harrington, T.C.; Batzer, J.C.; Kubota, R.; Peres, N.A.; Gleason, M.L. Detection of Colletotrichum acutatum sensu lato on strawberry by Loop-Mediated Isothermal Amplification. Plant Dis. 2016, 100, 1804–1812. [Google Scholar] [CrossRef]
- Katoh, H.; Fukuda, T.; Nishigawa, H.; Natsuaki, T. Rapid detection of Colletotrichum gloeosporioides in infected strawberry plants using loop-mediated isothermal amplification. J. Gen. Plant Pathol. 2016, 82, 190–198. [Google Scholar] [CrossRef]
- Duan, Y.B.; Ge, C.Y.; Zhang, X.K.; Wang, J.X.; Zhou, M.G. Development and evaluation of a novel and rapid detection assay for Botrytis cinerea based on loop-mediated isothermal amplification. PLoS ONE 2014, 9, e111094. [Google Scholar] [CrossRef] [PubMed]
- Chen, Q.; Li, B.; Liu, P.; Lan, C.; Zhan, Z.; Weng, Q. Development and evaluation of specific PCR and LAMP assays for the rapid detection of Phytophthora melonis. Eur. J. Plant Pathol. 2013, 137, 597–607. [Google Scholar] [CrossRef]
- Dai, T.T.; Lu, C.C.; Lu, J.; Dong, S.M. Development of a loop-mediated isothermal amplification assay for detection of Phytophthora sojae. FEMS Microbiol. Lett. 2012, 334, 27–34. [Google Scholar] [CrossRef]
- Zhao, W.; Wang, T.; Qi, R. Ypt1 gene-based detection of Phytophthora sojae in a loop-mediated isothermal amplification assay. J. Plant Dis. Prot. 2015, 122, 66–73. [Google Scholar] [CrossRef]
- Kong, L.; Wang, H.; Wang, S.; Xu, P.; Zhang, R.; Dong, S.; Zheng, X. Rapid detection of potato late blight using a loop-mediated isothermal amplification assay. J. Integr. Agric. 2020, 19, 1274–1282. [Google Scholar] [CrossRef]
- Ristaino, J.B.; Saville, A.C.; Paul, R.; Cooper, D.C.; Wei, Q. Detection of Phytophthora infestans by Loop-Mediated Isothermal Amplification, Real-Time LAMP, and Droplet Digital PCR. Plant Dis. 2020, 104, 708–716. [Google Scholar] [CrossRef]
- Verma, G.; Sharma, S.; Raigond, B.; Pathania, S.; Naga, K.; Chakrabarti, S.K. Development and application of fluorescent loop mediated isothermal amplification technique to detect Phytophthora infestans from potato tubers targeting ITS-1 region. 3 Biotech 2019, 9, 1–14. [Google Scholar] [CrossRef] [PubMed]
- Lees, A.K.; Roberts, D.M.; Lynott, J.; Sullivan, L.; Brierley, J.L. Real-Time PCR and LAMP Assays for the Detection of Spores of Alternaria solani and Sporangia of Phytophthora infestans to Inform Disease Risk Forecasting. Plant Dis. 2019, 103, 3172–3180. [Google Scholar] [CrossRef] [PubMed]
- Si Ammour, M.; Bilodeau, G.J.; Tremblay, D.M.; van der Heyden, H.; Yaseen, T.; Varvaro, L.; Carisse, O. Development of real-time isothermal amplification assays for on-site detection of Phytophthora infestans in potato leaves. Plant Dis. 2017, 101, 1269–1277. [Google Scholar] [CrossRef] [PubMed]
- Feng, W.; Otsubo, K.; Hieno, A.; Suga, H.; Kageyama, K. A simple loop-mediated isothermal amplification assay to detect Phytophthora colocasiae in infected taro plants. J. Gen. Plant Pathol. 2019, 85, 337–346. [Google Scholar] [CrossRef]
- Feng, W.; Hieno, A.; Kusunoki, M.; Suga, H.; Kageyama, K. LAMP detection of four plant-pathogenic oomycetes and its application in lettuce fields. Plant Dis. 2019, 103, 298–307. [Google Scholar] [CrossRef]
- Li, B.; Liu, P.; Xie, S.; Yin, R.; Weng, Q.; Chen, Q. Specific and sensitive detection of phytophthora nicotianae by nested PCR and loop-mediated isothermal amplification assays. J. Phytopathol. 2015, 163, 185–193. [Google Scholar] [CrossRef]
- Zhang, S.Y.; Dai, D.J.; Wang, H.D.; Zhang, C.Q. One-step loop-mediated isothermal amplification (LAMP) for the rapid and sensitive detection of Fusarium fujikuroi in bakanae disease through NRPS31, an important gene in the gibberellic acid bio-synthesis. Sci. Rep. 2019, 9, 1–9. [Google Scholar] [CrossRef]
- Winkworth, R.C.; Nelson, B.C.W.; Bellgard, S.E.; Probst, C.M.; McLenachan, P.A.; Lockhart, P.J. A LAMP at the end of the tunnel: A rapid, field deployable assay for the kauri dieback pathogen, Phytophthora agathidicida. PLoS ONE 2020, 15, 1–16. [Google Scholar]
- Tumino, S.; Tolone, M.; Parco, A.; Puleio, R.; Arcoleo, G.; Manno, C.; Nicholas, R.A.J.; Loria, G.R. Validation of Loop-Mediated Isothermal Amplification (LAMP) Field Tool for Rapid and Sensitive Diagnosis of Contagious Agalactia in Small Ruminants. Animals 2020, 10, 509. [Google Scholar] [CrossRef]
- García-Bernalt Diego, J.; Fernández-Soto, P.; Crego-Vicente, B.; Alonso-Castrillejo, S.; Febrer-Sendra, B.; Gómez-Sánchez, A.; Vicente, B.; López-Abán, J.; Muro, A. Progress in loop-mediated isothermal amplification assay for detection of Schistosoma mansoni DNA: Towards a ready-to-use test. Sci. Rep. 2019, 9, 1–11. [Google Scholar]
- Szkuta, G. Część II—izolacja i identyfikacja. In Phytophthora Cactorum—Sprawca Zgnilizny Korony Truskawki; Państwowa Inspekcja Ochorny Roślin i Nasiennictwa Główny Inspektorat: Warszawa, Poland, 2005; pp. 1–10. [Google Scholar]
- Arbefeville, S.; Harris, A.; Ferrieri, P. Comparison of sequencing the D2 region of the large subunit ribosomal RNA gene (MicroSEQ®) versus the internal transcribed spacer (ITS) regions using two public databases for identification of common and uncommon clinically relevant fungal species. J. Microbiol. Methods 2017, 140, 40–46. [Google Scholar] [CrossRef]
- Cooke, D.E.L.; Duncan, J.M. Phylogenetic analysis of Phytophthora species based on ITS1 and ITS2 sequences of the ribosomal RNA gene repeat. Mycol. Res. 1997, 101, 667–677. [Google Scholar] [CrossRef]
- Polashock, J.J.; Vaiciunas, J.; Oudemans, P.V. Identification of a new Phytophthora species causing root and runner rot of cranberry in New Jersey. Phytopathology 2005, 95, 1237–1243. [Google Scholar] [CrossRef] [PubMed]
- Bienapfl, J.C.; Balci, Y. Movement of Phytophthora spp. in Maryland’s Nursery Trade. Plant Dis. 2014, 98, 134–144. [Google Scholar] [CrossRef]
- Cooke, D.E.L.; Drenth, A.; Duncan, J.M.; Wagels, G.; Brasier, C.M. A molecular phylogeny of Phytophthora and related oomycetes. Fungal Genet. Biol. 2000, 30, 17–32. [Google Scholar] [CrossRef]
- Ozyilmaz, U.; Benlioglu, K.; Yildiz, A.; Benlioglu, H.S. Effects of soil amendments combined with solarization on the soil microbial community in strawberry cultivation using quantitative real-time PCR. Phytoparasitica 2016, 44, 661–680. [Google Scholar] [CrossRef]
- Pastrana, A.M.; Basallote-Ureba, M.J.; Aguado, A.; Capote, N. Potential inoculum sources and incidence of strawberry soilborne pathogens in Spain. Plant Dis. 2017, 101, 751–760. [Google Scholar] [CrossRef]
- Liao, F.; Zhang, Y.; Zhu, L.-H.; Cao, B.; Lv, D.; Luo, J.-F.; Li, G.-R. Triplex real-time PCR detection of three quarantine Phytophthora pathogens infecting Malus Miller. J. Plant Dis. Prot. 2018, 125, 325–330. [Google Scholar] [CrossRef]
- Lan, C.; Yao, J.; Yang, X.; Ruan, H.; Yu, D.; Jiang, J. Specific and sensitive detection of the guava fruit anthracnose pathogen (Colletotrichum gloeosporioides) by loop-mediated isothermal amplification (LAMP) assay. Can. J. Microbiol. 2020, 66, 17–24. [Google Scholar] [CrossRef]
- Li, G.R.; Huang, G.M.; Zhu, L.H.; Lv, D.; Cao, B.; Liao, F.; Luo, J.F. Loop-mediated isothermal amplification (LAMP) detection of Phytophthora hibernalis, P. syringae and P. cambivora. J. Plant Pathol. 2019, 101, 51–57. [Google Scholar] [CrossRef]
- Moradi, A.; Almasi, M.A.; Jafary, H.; Mercado-Blanco, J. A novel and rapid loop-mediated isothermal amplification assay for the specific detection of Verticillium dahliae. J. Appl. Microbiol. 2014, 116, 942–954. [Google Scholar] [CrossRef]
- Duan, Y.B.; Yang, Y.; Li, M.X.; Li, T.; Fraaije, B.A.; Zhou, M.G. Development and application of a simple, rapid and sensitive method for detecting moderately carbendazim-resistant isolates in Botrytis cinerea. Ann. Appl. Biol. 2018, 172, 355–365. [Google Scholar] [CrossRef]
- Aslam, S.; Tahir, A.; Aslam, M.F.; Alam, M.W.; Shedayi, A.A.; Sadia, S. Recent advances in molecular techniques for the identification of phytopathogenic fungi—A mini review. J. Plant Interact. 2017, 12, 493–504. [Google Scholar] [CrossRef]
- Khan, M.; Li, B.; Jiang, Y.; Weng, Q.; Chen, Q. Evaluation of different PCR-based assays and LAMP method for rapid detection of Phytophthora infestans by targeting the Ypt1 gene. Front. Microbiol. 2017, 8, 1–11. [Google Scholar] [CrossRef]
- Zhou, D.; Guo, J.; Xu, L.; Gao, S.; Lin, Q.; Wu, Q.; Wu, L.; Que, Y. Establishment and application of a loop-mediated isothermal amplification (LAMP) system for detection of cry1Ac transgenic sugarcane. Sci. Rep. 2014, 4, 1–8. [Google Scholar] [CrossRef] [PubMed]
- Chen, H.-W.; Weissenberger, G.; Atkins, E.; Chao, C.-C.; Suputtamongkol, Y.; Ching, W.-M. Highly Sensitive Loop-Mediated Isothermal Amplification for the Detection of Leptospira. Int. J. Bacteriol. 2015, 2015, 1–6. [Google Scholar] [CrossRef]
- Tian, Q.; Lu, C.; Wang, S.; Xiong, Q.; Zhang, H.; Wang, Y.; Zheng, X. Rapid diagnosis of soybean anthracnose caused by Colletotrichum truncatum using a loop-mediated isothermal amplification (LAMP) assay. Eur. J. Plant Pathol. 2017, 148, 785–793. [Google Scholar] [CrossRef]
- Chen, H.W.; Weissenberger, G.; Ching, W.M. Development of lyophilized loop-mediated isothermal amplification reagents for the detection of Leptospira. Mil. Med. 2016, 181, 227–231. [Google Scholar] [CrossRef]
- Malarczyk, D.G.; Panek, J.; Frąc, M. Triplex Real-Time PCR Approach for the Detection of Crucial Fungal Berry Pathogens—Botrytis spp., Colletotrichum spp. and Verticillium spp. Int. J. Mol. Sci. 2020, 21, 8469. [Google Scholar] [CrossRef]
- Pertile, G.; Panek, J.; Oszust, K.; Siczek, A.; Frąc, M. Intraspecific functional and genetic diversity of Petriella setifera. PeerJ 2018, 6, e4420. [Google Scholar] [CrossRef] [PubMed]
- Panek, J.; Frąc, M. Development of a qPCR assay for the detection of heat-resistant Talaromyces flavus. Int. J. Food Microbiol. 2018, 270, 44–51. [Google Scholar] [CrossRef] [PubMed]
- Benson, D.A.; Cavanaugh, M.; Clark, K.; Karsch-Mizrachi, I.; Lipman, D.J.; Ostell, J.; Sayers, E.W. GenBank. Nucleic Acids Res. 2013, 41, 36–42. [Google Scholar] [CrossRef] [PubMed]
- Frac, M.; Oszust, K.; Lipiec, J.; Jezierska-Tys, S.; Nwaichi, E.O. Soil microbial functional and fungal diversity as influenced by municipal sewage sludge accumulation. Int. J. Environ. Res. Public Health 2014, 11, 8891–8908. [Google Scholar] [CrossRef]
- Tamura, K.; Stecher, G.; Peterson, D.; Filipski, A.; Kumar, S. MEGA7: Molecular Evolutionary Genetics Analysis version 7.0 for bigger datasets. Mol. Biol. Evol. 2016, 33, 1870–1874. [Google Scholar]
- Altshul, S.F.; Gish, W.; Miller, W.; Myers, E.W.; Lipman, D.J. Basic local alignment search tool. J. Mol. Biol. 1990, 215, 403–410. [Google Scholar] [CrossRef]







| Fungal Species | Isolate Code LMEM | Isolation Source | Method of Obtaining Pure Strain | The Accession Number of D2LSU Sequences in GenBank | The Accession Number of EF1α Sequences in GenBank |
|---|---|---|---|---|---|
| Phytophthora sp. | G408/18 * | Strawberry plants, IA PAS | CA a | MT126670.1 | MW715837 |
| G409/18 * | Strawberry plants, IA PAS | CA a | MT126671.1 | MW715838 | |
| G412/18 * | Strawberry roots, IA PAS | apple trap | MT126672.1 | MW715839 | |
| G413/18 * | Strawberry roots, IA PAS | apple trap | MT126673.1 | MW715840 | |
| G415/18 * | Strawberry roots, IA PAS | apple trap | MT126674.1 | MW715841 | |
| G416/18 * | Strawberry roots, IA PAS | apple trap | MT126675.1 | MW715842 | |
| G417/18 * | Strawberry roots, IA PAS | apple trap | MT126676.1 | MW715843 | |
| G418/18 * | Strawberry roots, IA PAS | apple trap | MT126677.1 | MW715844 | |
| G419/18 * | Strawberry plants, IA PAS | PDA b | MT126678.1 | MW715845 | |
| G420/18 * | Strawberry plants, IA PAS | PDA b | MT126679.1 | MW715846 | |
| G421/18 * | Strawberry plants, IA PAS | CA a | MT126680.1 | MW715847 | |
| G429/18 * | Strawberry roots, IA PAS | apple trap | MT126681.1 | MW715848 | |
| G430/18 * | Strawberry roots, IA PAS | apple trap | MT126682.1 | MW715849 | |
| G431/18 * | Strawberry plants, IA PAS | PDA b | MT126683.1 | MW715850 | |
| G432/18 * | Strawberry plants, IA PAS | PDA b | MT126684.1 | MW715851 | |
| G437/18 * | Strawberry roots, IA PAS | apple trap | MT126686.1 | MW715852 | |
| G439/18 * | Strawberry roots, IA PAS | apple trap | MT126687.1 | MW715853 | |
| G440/18 * | Strawberry roots, IA PAS | apple trap | MT126688.1 | MW715854 | |
| G442/18 * | Strawberry roots, IA PAS | apple trap | MT126690.1 | MW715855 | |
| Colletotrichum sp. | G168/18 | Strawberry fruits, IA PAS | PDA b | MT126804.1 | - |
| G170/18 | Strawberry fruits, IA PAS | PDA b | MT126805.1 | - | |
| G171/18 | Strawberry fruits, IA PAS | PDA b | MT126802.1 | - | |
| G172/18 | Strawberry fruits, IA PAS | PDA b | MT126803.1 | - | |
| G274/18 | Strawberry fruits, IA PAS | PDA b | MT126807.1 | - | |
| Botrytis sp. | G276/18 | Strawberry roots, IA PAS | PDA b | MT154303.1 | - |
| G277/18 | Strawberry roots, IA PAS | PDA b | MT154304.1 | - | |
| G321/18 | Strawberry roots, IA PAS | PDA b | MT154305.1 | - | |
| G322/18 | Strawberry roots, IA PAS | PDA b | MT154306.1 | - | |
| G323/18 | Strawberry roots, IA PAS | PDA b | MT154307.1 | - | |
| Verticillium sp. | G294/18 | Strawberry roots, IA PAS | PDA b | MT133317.1 | - |
| G296/18 | Strawberry roots, IA PAS | PDA b | MT133320.1 | - | |
| G297/18 | Strawberry roots, IA PAS | PDA b | MT133316.1 | - | |
| G298/18 | Strawberry roots, IA PAS | PDA b | MT133318.1 | - | |
| G299/18 | Strawberry roots, IA PAS | PDA b | MT133319.1 | - |
| Marker | Target | Primer Name * | The Sequence of the Primer 5′–3′ | Concentration |
|---|---|---|---|---|
| translation elongation factor 1-α (EF1a) gene | Phytophthora sp. | Psp_Ef1a_F3 | GTACTTCTTCACGGTCATTGA | 0.2 µM |
| Psp_Ef1a_B3 | GTACATGACAGACGAGTCG | |||
| Psp_Ef1a_FIP | AGCAACCACCAGrATGGC|CACCGTGACTTCATCAAGAA | 0.8 µM | ||
| Psp_Ef1a_BIP | TyGArGCTGGTATCTCCAAGGA|ACrATCATCTGCTTCACAC | |||
| Psp_Ef1a_LoopF | CTGCGAGGTrCCCGTAATC | 0.4 µM | ||
| Psp_Ef1a_LoopB | TGCTTGCCTTCACyCTGG | |||
| Phytophthora cactorum | Pca_Ef1a_FIP | AGCAACCACCAGGATGGC|CACGTGACTTCATCAAGAA | 0.8 µM | |
| Pca_Ef1a_BIP | TyGAAGCTGGTATCTCCAAGGA|ACrATCATCTGCTTCACAC | |||
| Pca_Ef1a_LoopF | CTGCGAGGTACCCGTAATC | 0.4 µM | ||
| Pca_Ef1a_LoopB | TGCTTGCCTTCACTCTGG |
Publisher’s Note: MDPI stays neutral with regard to jurisdictional claims in published maps and institutional affiliations. |
© 2021 by the authors. Licensee MDPI, Basel, Switzerland. This article is an open access article distributed under the terms and conditions of the Creative Commons Attribution (CC BY) license (https://creativecommons.org/licenses/by/4.0/).
Share and Cite
Siegieda, D.G.; Panek, J.; Frąc, M. “Shining a LAMP” (Loop-Mediated Isothermal Amplification) on the Molecular Detection of Phytopathogens Phytophthora sp. and Phytophthora cactorum in Strawberry Fields. Pathogens 2021, 10, 1453. https://doi.org/10.3390/pathogens10111453
Siegieda DG, Panek J, Frąc M. “Shining a LAMP” (Loop-Mediated Isothermal Amplification) on the Molecular Detection of Phytopathogens Phytophthora sp. and Phytophthora cactorum in Strawberry Fields. Pathogens. 2021; 10(11):1453. https://doi.org/10.3390/pathogens10111453
Chicago/Turabian StyleSiegieda, Dominika G., Jacek Panek, and Magdalena Frąc. 2021. "“Shining a LAMP” (Loop-Mediated Isothermal Amplification) on the Molecular Detection of Phytopathogens Phytophthora sp. and Phytophthora cactorum in Strawberry Fields" Pathogens 10, no. 11: 1453. https://doi.org/10.3390/pathogens10111453
APA StyleSiegieda, D. G., Panek, J., & Frąc, M. (2021). “Shining a LAMP” (Loop-Mediated Isothermal Amplification) on the Molecular Detection of Phytopathogens Phytophthora sp. and Phytophthora cactorum in Strawberry Fields. Pathogens, 10(11), 1453. https://doi.org/10.3390/pathogens10111453

