Effects of Novaluron Exposure on the Oviposition and Expression of Ovarian Development Related Genes in Silkworm, Bombyx mori (Lepidoptera: Bombycidae)
Simple Summary
Abstract
1. Introduction
2. Materials and Methods
2.1. Insect Strains
2.2. Chemicals
2.3. Sample Preparation
2.4. Histopathological Evaluation
2.5. Isolation of Total RNA and Reverse Transcription
2.6. Quantitative Real-Time PCR
2.7. Statistical Analysis
3. Results
3.1. Effect of Novaluron on Egg Laying of Silkworms
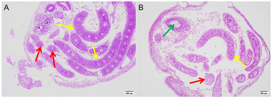
3.2. Histopathological Analysis of Silkworm Ovaries
3.3. Effect of Novaluron Exposure on the Expression Level of Vg Gene in Ovaries
3.4. Effects of Novaluron Exposure on Expressions of Genes Related to Ovarian Development
3.5. Effects of Novaluron Exposure on the Transcription Levels of Genes Related to Sex Differentiation in the Ovary
3.6. Effects of Novaluron Exposure on Expressions of Genes Related to Hormone Regulation in Silkworms
4. Discussion
5. Conclusions
Author Contributions
Funding
Data Availability Statement
Conflicts of Interest
References
- Akai, H. The Ultrastructure and Functions of the Silk Gland Cells of Bombyx mori. Insect Ultrastruct. 1984, 2, 323–364. [Google Scholar] [CrossRef]
- Meng, X.; Zhu, F.; Chen, K. Silkworm: A Promising Model Organism in Life Science. J. Insect Sci. 2017, 17, 97. [Google Scholar] [CrossRef]
- Hamamoto, H.; Tonoike, A.; Narushima, K.; Horie, R.; Sekimizu, K. Silkworm as a model animal to evaluate drug candidate toxicity and metabolism. Comp. Biochem. Physiol. C Toxicol. Pharmacol. 2009, 149, 334–339. [Google Scholar] [CrossRef]
- Nagaraju, J.; Goldsmith, M.R. Silkworm Genomics—Progress and Prospects. Curr. Sci. Assoc. 2002, 83, 415–425. Available online: https://www.jstor.org/stable/24106841 (accessed on 25 May 2024).
- Guo, K.; Cao, Y.; Wang, Z.; Li, Z. Urban and industrial environmental pollution control in China: An analysis of capital input, efficiency and influencing factors. J. Environ. Manag. 2022, 316, 115198. [Google Scholar] [CrossRef]
- Liu, Y.; Yu, Y.; Wu, B.; Qian, J.; Mu, H.; Gu, L.; Zhou, R.; Zhang, H.; Wu, H.; Bu, Y. A comprehensive prediction system for silkworm acute toxicity assessment of environmental and in-silico pesticides. Ecotoxicol. Environ. Saf. 2024, 282, 116759. [Google Scholar] [CrossRef] [PubMed]
- Xu, Q.-Y.; Meng, Q.-W.; Shi, J.-F.; Deng, P.; Guo, W.-C.; Li, G.-Q. Novaluron ingestion causes larval lethality and inhibits chitin content in Leptinotarsa decemlineata fourth-instar larvae. Pestic. Biochem. Physiol. 2017, 143, 173–180. [Google Scholar] [CrossRef] [PubMed]
- Parys, K.A.; Snodgrass, G.L.; Luttrell, R.G.; Allen, K.C.; Little, N.S. Baseline Susceptibility of Lygus lineolaris (Hemiptera: Miridae) to Novaluron. J. Econ. Entomol. 2016, 109, 339–344. [Google Scholar] [CrossRef] [PubMed]
- Li, F.; Hu, J.; Tian, J.; Xu, K.; Ni, M.; Wang, B.; Shen, W.; Li, B. Effects of phoxim on nutrient metabolism and insulin signaling pathway in silkworm midgut. Chemosphere 2016, 146, 478–485. [Google Scholar] [CrossRef]
- Li, F.; Li, M.; Wang, H.; Mao, T.; Chen, J.; Lu, Z.; Qu, J.; Fang, Y.; Li, B. Effects of phoxim pesticide on the immune system of silkworm midgut. Pestic. Biochem. Physiol. 2020, 164, 58–64. [Google Scholar] [CrossRef] [PubMed]
- Cheng, X.; Li, F.; Chen, J.; Wang, H.; Mao, T.; Li, J.; Hu, J.; Li, B.A.-O. Mechanism of trace acetamiprid-caused reproductive disorders in silkworm, Bombyx mori. Pest. Manag. Sci. 2019, 75, 2672–2681. [Google Scholar] [CrossRef]
- Tang, W.; Zheng, X.; Li, D.; Xiao, Y.; Yang, C.; Shang, S.; Shi, M.; Zhu, Y. Effects of sodium fluoride on the reproductive development of Bombyx mori. Environ. Toxicol. Pharmacol. 2018, 64, 41–47. [Google Scholar] [CrossRef] [PubMed]
- Wu, X.; Yang, J.; Mumby, W.; Zhang, Y.; Zhang, Y.; Wang, C.; Chen, X.; Suo, H.; Song, J. Silkworm pupa protein and its peptides: Preparation, biological activity, applications in foods, and advantages. Trends Food Sci. Technol. 2023, 139, 104129. [Google Scholar] [CrossRef]
- Guigon, C.J.; Cohen-Tannoudji, M. Reconsidering the roles of female germ cells in ovarian development and folliculogenesis. Biol. Aujourd’hui 2011, 205, 223–233. [Google Scholar] [CrossRef]
- Cong, L.; Yang, W.J.; Jiang, X.Z.; Niu, J.Z.; Shen, G.M.; Ran, C.; Wang, J.J. The Essential Role of Vitellogenin Receptor in Ovary Development and Vitellogenin Uptake in Bactrocera dorsalis (Hendel). Int. J. Mol. Sci. 2015, 16, 18368–18383. [Google Scholar] [CrossRef]
- Bebas, P.; Kotwica, J.; Joachimiak, E.; Giebultowicz, J.M. Yolk protein is expressed in the insect testis and interacts with sperm. BMC Dev. Biol. 2008, 8, 64. [Google Scholar] [CrossRef] [PubMed]
- Hu, K.; Tian, P.; Tang, Y.; Yang, L.; Qiu, L.; He, H.; Ding, W.; Li, Z.; Li, Y. Molecular Characterization of Vitellogenin and Its Receptor in Sogatella furcifera, and Their Function in Oocyte Maturation. Front. Physiol. 2019, 10, 1532. [Google Scholar] [CrossRef]
- Hinson, S.; Nagoshi, R.N. Regulatory and functional interactions between the somatic sex regulatory gene transformer and the germline genes ovo and ovarian tumor. Development 1999, 126, 861–871. [Google Scholar] [CrossRef]
- Khalid, M.Z.; Ahmad, S.; Ngegba, P.M.; Zhong, G. Role of Endocrine System in the Regulation of Female Insect Reproduction. Biology 2021, 10, 614. [Google Scholar] [CrossRef] [PubMed]
- Riddiford, L.M. Juvenile hormone action: A 2007 perspective. J. Insect Physiol. 2008, 54, 895–901. [Google Scholar] [CrossRef]
- Liu, X.; Dai, F.; Guo, E.; Li, K.; Ma, L.; Tian, L.; Cao, Y.; Zhang, G.; Palli, S.R.; Li, S. 20-Hydroxyecdysone (20E) Primary Response Gene E93 Modulates 20E Signaling to Promote Bombyx Larval-Pupal Metamorphosis. J. Biol. Chem. 2015, 290, 27370–27383. [Google Scholar] [CrossRef]
- Riddiford, L.M. How does juvenile hormone control insect metamorphosis and reproduction? Gen. Comp. Endocrinol. 2012, 179, 477–484. [Google Scholar] [CrossRef]
- Li, Z.; Song, J.; Jiang, G.; Shang, Y.; Jiang, Y.; Zhang, J.; Xiao, L.; Chen, M.; Tang, D.; Tong, X.; et al. Juvenile hormone suppresses the FoxO-takeout axis to shorten longevity in male silkworm. Pestic. Biochem. Physiol. 2023, 192, 105388. [Google Scholar] [CrossRef] [PubMed]
- Hu, H.; Yin, X.; Pang, S.; Jiang, Y.; Weng, Q.; Hu, Q.; Wang, J. Mechanism of destruxin a inhibits juvenile hormone binding protein transporting juvenile hormone to affect insect growth. Pestic. Biochem. Physiol. 2023, 197, 105654. [Google Scholar] [CrossRef]
- Gilbert, L.I.; Rybczynski, R.; Warren, J.T. Control and biochemical nature of the ecdysteroidogenic pathway. Annu. Rev. Entomol. 2002, 47, 883–916. [Google Scholar] [CrossRef] [PubMed]
- Gong, Y.; Li, L.; Gong, D.; Yin, H.; Zhang, J. Biomolecular Evidence of Silk from 8,500 Years Ago. PLoS ONE 2016, 11, e0168042. [Google Scholar] [CrossRef]
- Rocha, L.K.H.; Favaro, L.I.L.; Rios, A.C.; Silva, E.C.; Silva, W.F.; Stigliani, T.P.; Guilger, M.; Lima, R.; Oliveira, J.M.; Aranha, N.; et al. Sericin from Bombyx mori cocoons. Part I: Extraction and physicochemical-biological characterization for biopharmaceutical applications. Process. Biochem. 2017, 61, 163–177. [Google Scholar] [CrossRef]
- Santorum, M.; Gastelbondo-Pastrana, B.I.; Scudeler, E.L.; Santorum, M.; Costa, R.M.; Carvalho dos Santos, D. Reproductive toxicity of Novaluron in Bombyx mori (Lepidoptera: Bombycidae) and its impact on egg production. Chemosphere 2021, 273, 129592. [Google Scholar] [CrossRef]
- Mommaerts, V.; Sterk, G.; Smagghe, G. Hazards and uptake of chitin synthesis inhibitors in bumblebees Bombus terrestris. Pest. Manag. Sci. 2006, 62, 752–758. [Google Scholar] [CrossRef]
- Alyokhin, A.; Guillemette, R.; Choban, R. Stimulatory and Suppressive Effects of Novaluron on the Colorado Potato Beetle Reproduction. J. Econ. Entomol. 2009, 102, 2078–2083. [Google Scholar] [CrossRef] [PubMed]
- Matozzo, V.; Marin, M.G. Can 4-nonylphenol induce vitellogenin-like proteins in the clam Tapes philippinarum? Environ. Res. 2005, 97, 43–49. [Google Scholar] [CrossRef] [PubMed]
- Xu, X.; Wang, Y.-H.; Liu, Z.-L.; Wang, Y.-Q.; He, L.; Li, K.; Huang, Y.-P. Disruption of egg-specific protein causes female sterility in Bombyx mori. Insect Sci. 2022, 29, 128–138. [Google Scholar] [CrossRef]
- Zhong, R.; Ding, T.-B.; Niu, J.-Z.; Xia, W.-K.; Liao, C.-Y.; Dou, W.; Wang, J.-J. Molecular Characterization of Vitellogenin and Its Receptor Genes from Citrus Red Mite, Panonychus citri (McGregor). Int. J. Mol. Sci. 2015, 16, 4759–4773. [Google Scholar] [CrossRef]
- Ruan, Y.; Wong, N.-K.; Zhang, X.; Zhu, C.; Wu, X.; Ren, C.; Luo, P.; Jiang, X.; Ji, J.; Wu, X.; et al. Vitellogenin Receptor (VgR) Mediates Oocyte Maturation and Ovarian Development in the Pacific White Shrimp (Litopenaeus vannamei). Front. Physiol. 2020, 11, 485. [Google Scholar] [CrossRef]
- Lin, Y.; Meng, Y.; Wang, Y.-X.; Luo, J.; Katsuma, S.; Yang, C.-W.; Banno, Y.; Kusakabe, T.; Shimada, T.; Xia, Q.-Y. Vitellogenin Receptor Mutation Leads to the Oogenesis Mutant Phenotype “scanty vitellin” of the Silkworm, Bombyx mori. J. Biol. Chem. 2013, 288, 13345–13355. [Google Scholar] [CrossRef] [PubMed]
- Yang, C.; Lin, Y.; Shen, G.; Chen, E.; Wang, Y.; Luo, J.; Zhang, H.; Xing, R.; Xia, Q. Female qualities in males: Vitellogenin synthesis induced by ovary transplants into the male silkworm, Bombyx mori. Biochem. Biophys. Res. Commun. 2014, 453, 31–36. [Google Scholar] [CrossRef] [PubMed]
- Benner, L.; Muron, S.; Oliver, B. Female germline expression of OVO transcription factor bridges Drosophila generations. bioRxiv 2023, 26, 554887. [Google Scholar] [CrossRef]
- Andrews, J.; Garcia-Estefania, D.; Delon, I.; Lü, J.; Mével-Ninio, M.; Spierer, A.; Payre, F.; Pauli, D.; Oliver, B. OVO transcription factors function antagonistically in the Drosophila female germline. Development 2000, 127, 881–892. [Google Scholar] [CrossRef] [PubMed]
- Zhu, M.; Hu, X.; Liang, Z.; Jiang, M.; Xue, R.; Gong, Y.; Zhang, X.; Cao, G.; Gong, C. Functional characterization of BmOVOs in silkworm, Bombyx mori. BMC Genom. 2019, 20, 342. [Google Scholar] [CrossRef]
- Lin, H.; Spradling, A.C. Fusome asymmetry and oocyte determination in Drosophila. Dev. Genet. 1995, 16, 6–12. [Google Scholar] [CrossRef] [PubMed]
- Sun, X.; Yang, H.; Sturgill, D.; Oliver, B.; Rabinow, L.; Samson, M.-L. Sxl-Dependent, tra/tra2-Independent Alternative Splicing of the Drosophila melanogaster X-Linked Gene found in neurons. G3 Genes Genomes Genet. 2015, 5, 2865–2874. [Google Scholar] [CrossRef][Green Version]
- Smid, H.M.; Wang, G.; Bukovinszky, T.; Steidle, J.L.M.; Bleeker, M.A.K.; van Loon, J.J.A.; Vet, L.E.M. Species-specific acquisition and consolidation of long-term memory in parasitic wasps. Proc. Biol. Sci. 2007, 274, 1539–1546. [Google Scholar] [CrossRef]
- Bell, L.R.; Maine, E.M.; Schedl, P.; Cline, T.W. Sex-lethal, a Drosophila sex determination switch gene, exhibits sex-specific RNA splicing and sequence similarity to RNA binding proteins. Cell 1988, 55, 1037–1046. [Google Scholar] [CrossRef]
- Eystathioy, T.; Swevers, L.; Iatrou, K. The orphan nuclear receptor BmHR3A of Bombyx mori: Hormonal control, ovarian expression and functional properties. Mech. Dev. 2001, 103, 107–115. [Google Scholar] [CrossRef] [PubMed]
- Davey, K.G. Inputs to the hormonal control of egg development in Rhodnius prolixus. Mem. Inst. Oswaldo Cruz. 1987, 82, 103–108. [Google Scholar] [CrossRef]
- Raikhel, A.S.; Lea, A.O. Control of follicular epithelium development and vitelline envelope formation in the mosquito; role of juvenile hormone and 20-hydroxyecdysone. Tissue Cell 1991, 23, 577–591. [Google Scholar] [CrossRef] [PubMed]
- Dębski, J.; Wysłouch-Cieszyńska, A.; Dadlez, M.; Grzelak, K.; Kłudkiewicz, B.; Kołodziejczyk, R.; Lalik, A.; Ożyhar, A.; Kochman, M. Positions of disulfide bonds and N-glycosylation site in juvenile hormone binding protein. Arch. Biochem. Biophys. 2004, 421, 260–266. [Google Scholar] [CrossRef]
- Riddiford, L.M. Cellular and Molecular Actions of Juvenile Hormone I. General Considerations and Premetamorphic Actions. Adv. Insect Phys. 1994, 24, 213–274. [Google Scholar] [CrossRef]






| Gene Name | Primer Sequence (5′–3′) |
|---|---|
| Actin3 | F: CGGCTACTCGTTCACTACC |
| R: AGCAATTCACACAAGGCAGT | |
| Vg | F: CTGCAACGCAAGGAAACCAA |
| R: TGGCCGTACTTGAAGTGCAT | |
| Ovo | F: GCAGCTGCTTTAGGACTACCAG |
| R: CGTTAGCTTCAGTCGCCAAA | |
| Otu | F: AACCACAACGCTGACCAGAA |
| R: GTGGCCCTTGTTCTGATGGT | |
| Sxl-S | F: CGCGTTACCTATTTAACATTTCGTG |
| R: CCTCGGTACTGCTGTTGGAT | |
| Sxl-L | F: CGGGATACTTGTTTGGTGGC |
| R: AGACATGCTGCCCCAGTATC | |
| EcR | F: TGATGGAGCAGAACAGGCAG |
| R: CCTCTTCATCCGACTGCGTT | |
| JHBP2 | F: CAATGCCTTAGCAGTGCGAC |
| R: TGAAGCGTATCACGACTCCC |
| Control | Novaluron | |
|---|---|---|
| Average Number of Eggs (Grain) | 494 ± 18 | 344 ± 17 ** |
| Average Number of Hatching Eggs (Grain) | 490 ± 19 | 275 ± 11 ** |
| Hatching Rate (%) | 99.11 ± 0.35 | 86.63 ± 1.64 ** |
| Percentage of Fertilized Eggs (%) | 99.92 ± 0.11 | 88.54 ± 1.39 ** |
Disclaimer/Publisher’s Note: The statements, opinions and data contained in all publications are solely those of the individual author(s) and contributor(s) and not of MDPI and/or the editor(s). MDPI and/or the editor(s) disclaim responsibility for any injury to people or property resulting from any ideas, methods, instructions or products referred to in the content. |
© 2024 by the authors. Licensee MDPI, Basel, Switzerland. This article is an open access article distributed under the terms and conditions of the Creative Commons Attribution (CC BY) license (https://creativecommons.org/licenses/by/4.0/).
Share and Cite
Wang, M.-J.; Chen, E.-X.; Ji, Y.-L.; Qian, Y.-X.; Zhang, Y.-M.; Zhu, L.; Zhao, G.-D.; Qian, H.-Y. Effects of Novaluron Exposure on the Oviposition and Expression of Ovarian Development Related Genes in Silkworm, Bombyx mori (Lepidoptera: Bombycidae). Insects 2025, 16, 9. https://doi.org/10.3390/insects16010009
Wang M-J, Chen E-X, Ji Y-L, Qian Y-X, Zhang Y-M, Zhu L, Zhao G-D, Qian H-Y. Effects of Novaluron Exposure on the Oviposition and Expression of Ovarian Development Related Genes in Silkworm, Bombyx mori (Lepidoptera: Bombycidae). Insects. 2025; 16(1):9. https://doi.org/10.3390/insects16010009
Chicago/Turabian StyleWang, Meng-Jiao, En-Xi Chen, Yi-Lin Ji, Yi-Xuan Qian, Yu-Ming Zhang, Lin Zhu, Guo-Dong Zhao, and He-Ying Qian. 2025. "Effects of Novaluron Exposure on the Oviposition and Expression of Ovarian Development Related Genes in Silkworm, Bombyx mori (Lepidoptera: Bombycidae)" Insects 16, no. 1: 9. https://doi.org/10.3390/insects16010009
APA StyleWang, M.-J., Chen, E.-X., Ji, Y.-L., Qian, Y.-X., Zhang, Y.-M., Zhu, L., Zhao, G.-D., & Qian, H.-Y. (2025). Effects of Novaluron Exposure on the Oviposition and Expression of Ovarian Development Related Genes in Silkworm, Bombyx mori (Lepidoptera: Bombycidae). Insects, 16(1), 9. https://doi.org/10.3390/insects16010009
