Simple Summary
The scarab beetle Holotrichia parallela is a serious underground pest and causes serious damages in China to a variety of crops. To reduce the use of pesticides, insect olfactory proteins attract more and more attention in the development of pollution-free control agents in plant protection. In this study, we evaluate the molecular mechanism in the scarab beetle to detect oviposition cues. We clone a leg biased gene HparOBP14 which encodes for an odorant-binding protein of the scarab beetle and demonstrate its involvement in binding, electrophysiological, and behavioral responses to the oviposition chemicals by the knockdown of HparOBP14 expression using RNA interference technique. Our study provides a strong theoretical basis for the development of environmentally acceptable strategies for H. parallela control.
Abstract
Holotrichia parallela is one of the agriculturally important scarab beetle pests in China. In this study, HparOBP14 was cloned, which is the most abundantly expressed among the OBP genes in the legs of female H. parallela adults. Sequence comparison and phylogenetic analysis showed that HparOBP14 has a Plus-C structure motif. The expression profile analysis revealed that HparOBP14 expression was the highest in the female antennae and then in the legs. The fluorescence competitive binding experiment of the recombinant HparOBP14 protein showed that HparOBP14 had an affinity with 6-methyl-5-heptene-2-one (plant volatile), 3-methylindole, p-cymene, methanol, formaldehyde, α-pinene, and geraniol (organic fertilizer volatile). Knockdown HparOBP14 expression decreased significantly the EAG response of the injected female adults to p-cymene, methanol, formaldehyde, α-pinene, and geraniol. Similarly, the injected female adults were significantly less attracted to geraniol and methanol. Therefore, HparOBP14 might bind organic matter volatiles during oviposition. These results are not only helpful to analyze the olfactory recognition mechanism of female adult H. parallela when choosing suitable oviposition sites, but also to provide target genes for green prevention and control of H. parallela in the future.
1. Introduction
The scarab beetle Holotrichia parallela Motschulsk (Coleoptera: Scarabaeida e) is a seriously harmful pest in agriculture and horticulture in China. The beetles principally damage the leaves of plants such as elm, willow, and apple tree. The larvae eat the roots of peanut, sweet potato, soybean, corn, and various other vegetable crops, as well as turf and ornamental species in fields, causing more than 15% damage to crops [1,2,3,4]. As an underground pest living in soil, its concealment brings great difficulties in control. The quick and efficient measures to larval control mainly rely on the use of pesticides [4,5]. However, the frequent use and misuse of these chemicals can lead to residual toxic substances in soil, water, and food [6]. To ensure food safety, the use of pollution-free prevention methods is promoted.
One of the important pollution-free control methods is to use insect semiochemicals to trap and kill adults, then to reduce larval populations [7,8,9,10]. Insect semiochemicals can regulate behaviors of insects, such as feeding, mating, aggregation, and reproduction [11]. Among them, oviposition is the key stage that insects must go through for reproduction [12].
It has been observed that the scarab beetles prefer to lay eggs in fields where organic fertilizers are applied [13,14]. Organic fertilizers increased the larval density of the green June beetle Cotinis nitida in field, as a food source for larvae, by attracting female adults to lay eggs [15]. The larval number of the African black beetle Heteronychus arator was high in fields treated with farm manure [16]. It was found that organic fertilizers were the best attractant to the female adults of the scarab beetle H. parallela, and the volatiles from the organic fertilizers were able to regulate the oviposition behavior of H. parallela [17]. For instance, (Z)-3-hexen-1-ol, 3-carene, p-cresol, and eugenol, that was identified from organic fertilizers, were highly attractive for H. parallela females [17]. Besides, the volatiles from organic fertilizers such as p-cresol, butanoic acid, and indole was shown to play a key role in locating the oviposition site of female H. oblita adults [18]. It was reported that geraniol can also stimulate the oviposition of Maruca vitrata and increase its production of ovulation, and methanol can lure Plutella xylostella to oviposition [19,20].
Insects use their sensitive olfactory systems to recognize odors and to help them to survive and reproduce (e.g., host locating, choosing mates, finding oviposition sites) [21,22,23,24]. Odorant-binding proteins (OBPs) bind and dissolve odor molecules that reach the cuticle pores of insect antennae and transfer them through the sensillum to olfactory receptors (ORs) on the dendritic membrane of olfactory neurons, resulting in changing the cell membrane permeability, generating action potentials, and, finally, initiating nerve impulses that cause insects to produce corresponding behavior [25,26,27]. It has been reported in different insect species that OBPs play an important role in insect oviposition behavior. For example, CquiOBP1 of Culex mosquitoes participates in the recognition of oviposition pheromones (6-acetoxy-5-hexadecanolide) [28]. Silencing of the H. oblita OBP gene HoblOBP24 weakened the tropism behavior of the female adults to the oviposition attractants p-cresol and indole [29].
Most research mainly focused on antennae biased OBPs, but OBPs can also be highly expressed in other tissues such as legs [30,31]. OBP57d/e was found to be expressed in Drosophila sechellia legs, and the replacement of a OBP57d/e region altered the oviposition behavior [32,33]. Nine Ectropis obliqua OBP genes that were biased to express in the female legs were thought to relate to the oviposition behavior of the females [34].
Here, we molecularly characterized an OBP gene, HparOBP14, which is highly expressed in female H. parallela legs, and investigated its binding characteristics to host plant and organic fertilizer volatiles. Finally, we studied its function using RNA interference in combination with electrophysiological and behavioral observations.
2. Materials and Methods
2.1. Insect Rearing
Adults of H. parallela were caught in Shijiazhuang, China, and reared in plastic boxes with soil (100 cm × 50 cm × 50 cm, each box contained 50 males and 50 females) using fresh elm leaves as food sources. The insects were maintained in the box at 18 ± 1% humidity and 25 ± 1 °C temperature.
2.2. Tissue-Specific RNA Extraction and cDNA Synthesis
The tissues (antennae, heads without antennae, thoraxes, abdomens, legs, and wings) of 9–11-day-old female beetles were collected separately into 1.5 mL centrifuge tubes, frozen quickly in liquid nitrogen, and then stored at −80 °C for further study. The total RNA was extracted using a total RNA extraction kit (Tianmo, Beijing, China) according to the manufacturer’s instructions. The yield and quality of RNA were determined (A260/A280 = 1.8~2.0) with NanoDrop 2000c spectrophotometer (Thermo Fisher Scientific, Waltham, MA, USA) and 1% agarose gel electrophoresis. First-strand cDNA was synthesized with FastKing gDNA Dispelling RT SuperMix (TIANGEN, Beijing, China). The reverse transcription reaction contains: 4 μL 5 × FastKing-RT SuperMix, 1 μL total RNA (100 ng/μL), 15 μL RNase-Free ddH2O. The condition of the reverse transcription reactions was as follows: 42 °C for 15 min (reverse transcription reaction), followed by 95 °C for 3 min (inactive enzymes). All cDNA samples were stored at −20 °C.
2.3. Phylogenetic Analysis and Expression Levels of OBP Genes
Twenty OBP genes were identified from results of the transcriptome of female H. parallela legs [35]. The gene-specific primers of HparOBP genes were designed by Primer Premier 5 software (PREMIER Biosoft, San Francisco, CA, USA) and are listed in Table S1. The specificity of each primer set was validated by melting curve analysis, and the efficiency was calculated by analyzing the standard curves with a fivefold cDNA dilution series. The expression level of all 20 HparOBPs in the legs of H. parallela female adults was analyzed, and the expression of HparOBP14 in each tissue (antennae, heads without antennae, thoraxes, abdomens, legs, and wings) was analyzed using RT-qPCR with the gene-specific primers using the 7500 Real-Time PCR Detection System (ABI, Singapore). The first strand cDNAs synthesized by the reverse transcription in 2.2 described above were used as templates. The GAPDH (glyceraldehyde-3-phosphate dehydrogenase) was used as an internal reference gene for normalizing and calculating relative HparOBPs expression. According to the operation of GoTaq®qPCR Master Mix Kit (Promega, Wisconsin, US), the RT-qPCR reaction was prepared on ice with 2 μL of cDNA template, 10 μL of the Master Mix, 0.5 μL of each of the primer pairs (10 μmol/L), and 7 μL of ddH2O. The RT-qPCR reaction was carried out by 95 °C desaturation for 2 min, followed by 40 cycles of 95 °C for 30 s, and 60 °C for 1 min. Each reaction was performed with three biological samples as biological replicates and repeated three times as technical replicates. The data of the obtained Ct values was analyzed by using 2−ΔΔCT method [36].
The phylogenetic tree of the mature OBPs was constructed by MEGA7.0 using the maximum likelihood method [37]. Bootstrap support was assessed by a bootstrap procedure based on 1000 replicates. The amino acid sequences included 13 H. oblita OBPs, 20 H. parallela OBPs, 7 Anomala corpulenta OBPs, 6 Anoplophora chinensis OBPs, 4 Dendroctonus ponderosae OBPs, 7 Dastarcus helophoroides OBPs, 7 Colaphellus bowringi OBPs, and 3 Tenebrio molitor OBPs.
2.4. Molecular Cloning of HparOBP14
Primer Premier 5.0 was utilized to design specific primers with BamHI and HindIII restriction sites (Table S1). The RNA was extracted from female antennae and used to synthesize cDNA for molecular cloning. The full-length sequence of HparOBP14 was amplified using 2 × Taq PCR Master Mix kit (TIANGEN Biotech, Beijing, China). The PCR reaction mixture contained 1 μL cDNA template, 25 μL 2 × PCR Master Mix, 1.5 μL each of forward and reverse primers (10 μmol/L), and 21 μL H2O. The PCR reaction was carried out at 95 °C for 3 min, followed by 35 cycles of 94 °C for 30 s, 60 °C for 30 s, 72 °C for 30 s, and final 72 °C extension for 10 min. The amplified products were detected by 1% agarose gel electrophoresis and purified according to the instructions of the TIANel Midi Purification Kit (TIANGEN Biotech, Beijing, China). After digestion with BamHI and HindIII, they were ligated into pGEM-T4 Easy Vector at 4°C overnight to make pGEM-T4-OBP14 constructs. The ligation reaction mixture (5 μL) was transformed into Trans5α chemically competent cell (50 μL) and plated on agar plates (contains a final concentration of 50 μg/mL kanamycin). The positive clones (white monoclone) were randomly selected for sequencing. The sequence obtained was analyzed by BLAST search with the National Center for Biotechnology Information (NCBI) BLAST server in 10 May 2019 (http://www.ncbi.nlm.nih.gov/). The amino acid sequence was determined from the longest open reading frame found by using NCBI ORF finder in 10 May 2019 (https://www.ncbi.nlm.nih.gov/orffinder/) and compared by using DNAMAN. Signal peptide was predicted using Signalp-5.0 Server in 10 May 2019 (http://www.cbs.dtu.dk/services/SignalP/index.php).
2.5. Expression and Purification of Recombinant Protein
The pGEM-T4-OBP14 construct and pET-30a(+) plasmid were digested with BamHI and HindIII at 37 °C for 4~5 h. The target fragments were gel purified and ligated with T4 DNA ligase (Takara Bio, Beijing, China) to obtain the expression construct pET30a-OBP14. The pET30a-OBP14 construct was transformed into BL21(DE3) cells (TIANGEN, Beijing, China), and the positive clone was picked and cultured in 5 mL LB medium containing kanamycin (final concentration, 50 µg/mL) overnight at 37 °C with vigorous shaking. The bacteria solution was sent out for sequencing (Shenzhen Huada Genomics Co., Ltd.) and an aliquot was also stored at −20 °C. The sequenced bacteria solution that was shown to contain the correct HparOBP14 sequence was inoculated into 500 mL LB liquid medium (supplemented with final concentration 50 µg/mL kanamycin) at a ratio of 1:100 and cultivated at 37 °C with 220 r/min vigorous shaking until the OD600 value reached 0.8~1.0, then isopropyl-β-D-1-thiogalactopyranoside (IPTG) was added at a final concentration of 0.25 mmol/L. The expression of HparOBP14 was induced for 8 h at 28 °C with 180 r/min shaking. SDS-PAGE was used to monitor the expression of the recombinant HparOBP14 protein. The protein expressed in the supernatant was purified by Ni ion affinity chromatography (ÄKTA™ Avant Cytiva, GE, USA). The eluent containing HparOBP14 protein was dialyzed overnight in a Tris-HCL buffer (50 mmol/L, pH 7.4). The His-tag of the purified recombinant protein was removed by using recombinant enterokinase (Shanghai Korain Biotech Co Ltd., Shanghai, China), then a second purification was performed with the Ni affinity chromatography. The protein concentration and purity were determined with FlexStation3 microplate reader (Molecular Devices Inc.,CA, USA), and the pure protein samples were stored at −80 °C for later use.
2.6. Fluorescence Displacement Binding Assay
To determine the affinity of HparOBP14 to odorant volatiles, the fluorescent displacement binding assay was carried out [36]. A total of 27 compounds was selected, including 7 compounds from host plant (elm) volatiles [38,39], 11 compounds from organic fertilizer volatiles [17], and 9 compounds common in both of them. The odorant compounds (purity ≥95%) were purchased from Sigma-Aldrich. The fluorescent probe N-phenyl-1-naphthylamine (1-NPN) was dissolved in methanol (chromatographic grade) to a final concentration of 1 mM and used as the stock solution. The stock solution of the purified protein was diluted with Tris-HCl (50 mmol/L, pH 7.4) to a final concentration of 2 μM and added into a colorimetric plate cuvette. The 1-NPN stock solution was then successively added to the protein solution to the final concentrations ranging from 2 μM to 20 μM. The fluorescence changes were recorded to get K1-NPN, the dissociation constant of the complex HparOBP14/1-NPN.
The binding ability of HparOBP14 to the odorant compounds was determined by titrating the mixture of the protein and the 1-NPN (final concentration 2 μM of both) with each odorant compound at final concentrations ranging from 2 μM to 40 μM. The competitive dissociation constant was calculated from the corresponding IC50 values using the following equation: Ki = [IC50]/(1+ [1-NPN]/K1-NPN), where [1-NPN] is the free concentration of 1-NPN; K1-NPN is the dissociation constant of the complex HparOBP14/1-NPN.
The fluorescence changes during the binding of either 1-NPN or odorant compounds to the HparOBP14 protein were measured and recorded with the excitation wavelength of 337 nm and within a wavelength range of 350~550 nm by a 970CRT fluorescence spectrophotometer (Yidian Analytical Instrument Company, Shanghai, China).
2.7. RNAi-Mediated Gene Silencing
The dsRNAs of HparOBP14 and GFP (GenBank number: ACY56286) (for primers, see Table S1) were synthesized using a T7 Ribo MAX™ Express RNAi System (Promega, Madison, WI, USA) according to the manufacturer’s instructions. The GFP-dsRNA was used as the negative control. Nine-to-eleven-day-old female adult beetles were injected with 2 μg dsRNA into the adult head with a 5 μL injection needle (7000 series syringes, Hamilton, USA), then kept under the same condition as 2.1 described above. The antennae were dissected at 24 h, 48 h, 72 h, and 96 h after injection, and the samples were stored at −80 °C for further RT-qPCR analyses.
2.8. Electroantennogram (EAG) Recording
The EAG recording was conducted on the adult antennae with the EAG micromanipulator MP-15 and analyzed with EAG-Pro (Syntech, Kirchzarten, Germany). Briefly, two ends of the antennae were set on electrode holders with a conductive adhesive (Spectra 360 electrode gel). An ashless filter paper (Hangzhou Special Paper Co., Ltd., Hangzhou, China) was cut into strips (3 cm × 0.5 cm). A 20 μL compound solution (concentration 1 μg/μL in paraffin oil) was applied onto the paper strip which was then placed in a Pasteur tube (17 cm × 12 cm) and applied to the antennae by purified air at a flow rate of 1 L/min. The paraffin oil (20 μL) was used as a control. The stimulus recording time was 0.5 s and the interval between two stimulations was more than 1 min.
2.9. Y-Tube Olfactometer Behavioral Bioassays
The Y-tube olfactometer mainly consisted of a Y-shaped glass tube (main arm, 30 cm; sidearm, 20 cm; inner diameter, 2.5 cm; side arm angle, 60 degrees), an air sampler, a drying tower, a gas scrubber, and a flow meter. Two gas-washing cylinders were successively connected with the flow meter, drying tower, air pump, and Y-shaped glass tube through rubber pipes. The testing compound (concentration 1 μg/μL in paraffin oil) and paraffin oil (as control) were taken and dropped respectively into a rubber septum (Pherobio Technology Co., Ltd., Beijing, China) and placed respectively into the side arms of the Y-tube. The flow rate of the atmospheric air sampler was adjusted to 500 mL/min.
A female adult beetle was introduced into the main arm at the downwind end of the Y-olfactometer. Each beetle was given 5 min to respond to the treatment, and the first choice that the beetle made for each of the lateral arms was recorded. The response was regarded as valid only if the beetle crawled more than 3 cm into a lateral arm and stayed for more than 1 min. The following measurements were recorded for all individual beetles: the number of beetles that crawled into a lateral arm of the Y-tube (responsive beetles), and the number of beetles that did not make any choice and stayed in the main arm for 5 min (non-responsive beetles).
For each compound, more than 90 beetles were tested individually until 90 responsive beetles were obtained. Each individual beetle was tested only once, and the Y-olfactometer was replaced after every 10 beetles were tested to eliminate the odor effect. The number of individual beetles that selected the compound-treated arm of the Y-olfactometer was statistically compared with the number of beetles that selected the solvent-treated arm using a Chi-square goodness of fit test.
2.10. Statistical Analysis
The data of HparOBP14 expression in different tissues was analyzed by one-way analysis of variance (ANOVA) followed by Tukey’s multiple comparison test for the comparison of the means with the SPSS Statistics version 23 (IBM Corp., Armonk, NY, USA). The data of behavioral, electrophysiological experiments, and RNAi treatment were analyzed by independent-sample t-test. All figures were generated with Prism 8 (GraphPad, La Jolla, CA, USA).
3. Results
3.1. Phylogenetic and Expression Level Analysis of 20 HparOBP Genes
RT-qPCR method was used to verify the differential expression of 20 HparOBP genes in the legs of female H. parallela adults. Relative to the expression of HparOBP1, HparOBP14 was the most highly expressed OBP gene in the legs, and the expression of six other genes (HparOBP6, HparOBP12, HparOBP13, HparOBP16, and HparOBP29) was also relatively high (Figure 1). Therefore, HparOBP14, the most highly expressed OBP gene in the legs, was selected for subsequent studies.
Figure 1.
The expression patterns of different HparOBP genes in female legs. The fold changes are relative to the transcript levels in the OBP1. The GADPH gene was used as reference to normalize the expression of each tested gene. The data are presented as mean ± SEM and the error bars represent the standard error (n = 3). The Y-axis is broken to better indicate the low-level expression of some genes.
The mature protein sequences of 20 HparOBP genes were compared with 46 OBPs of Coleoptera in the phylogenetic tree constructed using MEGA 10.0 software by maximum likelihood (ML) method with 1000 bootstrap replicates (Figure 2). In the phylogenetic analysis, HparOBP14 with HparOBP6, HparOBP16, HparOBP26, HparOBP39, AcorOBP11, AcorOBP13, DponOBP2, DhelOBP10, AchiOBP3, and CbowOBP25 all belong to Plus-C OBPs (Figure 2, pink area). HparOBP14 is clustered with AcorOBP11and HparOBP39 in the same branch, indicating that they are closest to each other. HparOBP27, HparOBP29, HoblOBP23, HoblOBP24, HoblOBP26, AcorOBP5, and CbowOBP4 all belong to Minus-C OBPs (Figure 2, yellow area). The analysis shows that 66 OBPs have high diversity, and there are only a few obvious homologous groups in the same species.
Figure 2.
Phylogenetic tree of HparOBP14 and OBPs from other insect species. The OBPs of Anomala corpulenta (Acor), Holotrichia oblita (Hobl), Anoplophora chinensis (Achi), Dendroctonus ponderosae (Dpon), Dastarcus helophoroides (Dhel), Colaphellus bowringi (Cbow), and Tenebrio molitor (Tmol) were used to construct the phylogenetic tree with MEGA7.0 using the maximum likelihood method and 1000 bootstrapping. The numbers are the bootstrapping values for the branch.
3.2. Molecular Cloning HparOBP14
The full-length cDNA encoding HparOBP14 (GenBank: KR733560.1) [40] was cloned and verified by sequencing. The HparOBP14 sequence contains a single open reading frame (ORF) of 627 nucleotides and encodes a protein of 208 amino acids with a signal peptide of 17 amino acids at the N-terminal (Figure S1). The predicted molecular weight is 23.8 kDa. HparOBP14 and Anomala corpulenta OBP11 (GenBank: AKC58532.1) has the highest similarity of 49.06%, while it has a high similarity with H. parallela OBP16 (GenBank: AKI84374.1) and Anoplophora chinensis OBP3 (GenBank: AUF7295 0.1), with a similarity of 32.29% and 29.44%, respectively (Figure S2). HparOBP14 has the characteristics of the Plus-C OBP subgroup of the insect OBP family. In addition to the six highly conserved cysteine residues in typical Classical OBPs, HparOBP14 has two conserved cysteine residues in the region before C1. Between C4 and C5, and after C6, there are two additional conserved cysteine, C4a and C6a. A conserved proline is located downstream of C6 (Figure S2). The conserved motif was of HparOBP14 was C1-X24-C2-X3-C3-X43-C4-X12-C4a-X9- C5-X8-C6-P-X9-C6a-X21 (X is any amino acid followed by the numbers of amino acids) [41].
3.3. Tissue Expression Profile Analysis of HparOBP14
The expression level of HparOBP14 in different tissues of H. parallela was analyzed by RT-qPCR. HparOBP14 had the highest expression in the antennae, followed by an intermediate expression in the legs and little expression in other tissues (Figure 3). The specific expression of HparOBP14 in the antennae and legs of female adult suggests that it may play a role in some physiological functions involving antennae and legs of H. parallela.
Figure 3.
Relative expression of HparOBP14 gene in the tissues of female H. parallela. Relative fold changes were normalized to the transcript levels in female abdomen. The GADPH gene was used as reference to normalize the expression of each tested gene. Error bars represent the standard error (n = 3). The different letters (a,b,c) indicate significantly difference (ANOVA followed by Turkey’s HSD multiple comparison test, p < 0.05).
3.4. Purification of HparOBP14 Protein
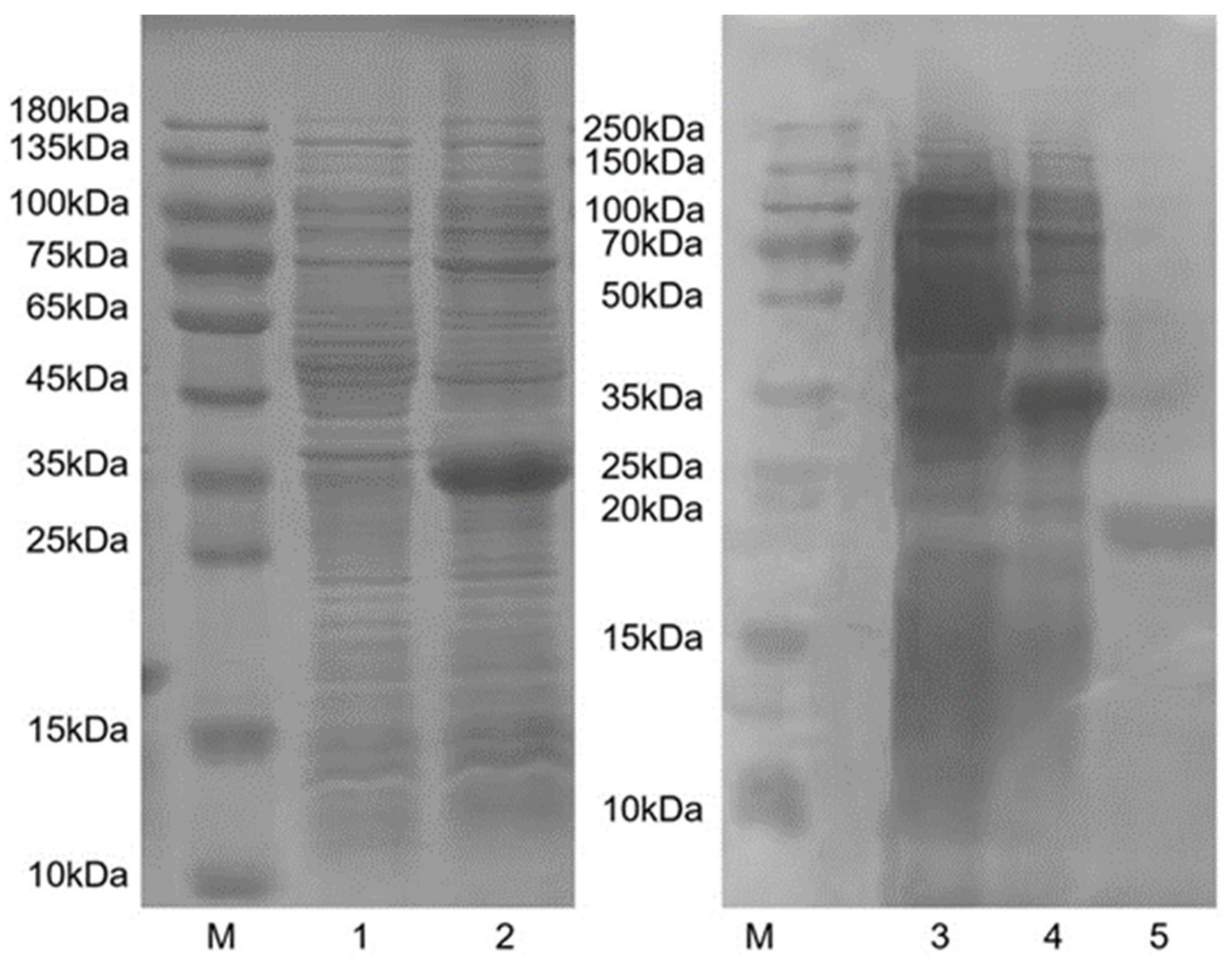
The recombinant HparOBP14 protein was expressed in the bacterial competent cell BL21 (DE3) for recombinant protein purification. Compared with the uninduced control, overexpressed protein bands were observed around 35 kDa in the bacterial solution induced by IPTG (Figure 4: lane 2 and 4). To avoid the interference on ligand binding, the His-tag was cut off with a recombinant enterokinase, and the expected single protein band around 20–25 kDa was produced (Figure 4: lane 5), which is consistent with the predicted theoretical molecular weight, 23.8 kDa, of HparOBP14 protein.
Figure 4.
Analysis of the expression of HparOBP14 fusion protein by SDS-PAGE. M: protein molecular maker; lanes 1 and 3: bacteria samples without IPTG induction; lanes 2 and 4: bacteria samples with IPTG induction; lane 5: purified HparOBP14 protein after the removal of His-tag.
3.5. Fluorescence Competitive Binding Assays
The binding affinity of HparOBP14 protein to 28 different volatile compounds was determined. They include organic volatiles: 3-methylindole, p-cymene, α-pinene, geraniol, methanol, formaldehyde, and host plant volatiles: 6-methyl-5-heptene-2-one. Based on previous studies, N-phenyl-1-naphthylamine (1-NPN) was selected as the fluorescence probe for the binding analysis. The dissociation constant of HparOBP14/1-NPN complex is 5.8 µmol/L (Figure S3). Seven tested compounds could be bound to HparOBP14, and when the final concentration of the compound was 40 µmol/L, the fluorescence intensity of the HparOBP14/1-NPN complex decreased to less than 50% (Figure 5), suggesting a displacement of 1-NPN from HparOBP14 binding site by the compounds. The values of Ki were calculated as 20.99 µmol/L, 25.50 µmol/L, 32.83 µmol/L, 34.10 µmol/L, 27.37 µmol/L, 29.49 µmol/L, and 28.21 µmol/L, respectively, for the organic volatiles 3-methylindole, p-cymene, α-pinene, geraniol, methanol, formaldehyde, and for the host plant volatiles, 6-methyl-5-heptene-2-one (Table 1). The HparOBP14 had weaker, or no, binding ability with other odor compounds such as α-phellandrene, cis-3-hexenyl formate, cis-3-hexenyl acetate, linalool, and 2-ethylhexanol (Figure 5).
Figure 5.
Competitive binding curves of HparOBP14 to various odorant compounds. The protein (2μM) and the Figure 1. NPN (2μM) mixture was titrated with volatiles compounds. Binding ability of protein HprOBP14 to 12 ligands (geraniol, formaldehyde, methanol, α-phellandrene, cis-3-hexenyl-acetate, linalool, 6-methyl-5-hepten-2-one, 3-methyindole, α-pinene, p-cymene, 2-ethylhexanol, and cis-3-hexenyl-formate) was calculated by the percentage decrease of 1-NPN fluorescence value.
Table 1.
Binding of different compounds to recombinant OBP14 of H. parallela.
3.6. Transcription Level of HparOBP14 after dsRNA Injection
RNAi by dsRNA injection is an important means to examine gene functions. In this study, the expression of HparOBP14 mRNA was detected at 24 h, 48 h, 72 h, and 96 h after dsHparOBP14 injection. The relative expressions of HparOBP14 in the female antennae were decreased to 20% (24 h), 30% (48 h), 56% (72 h), and 70% (96 h) by the dsHparOBP14 injection, which are significantly different from the GFP gene expressions by the dsGFP injection (p < 0.05) (Figure 6). There was no significant change in the gene expression levels of HparOBP14 in the antennae between uninjected and dsGFP-injected insects (p > 0.05) (Figure 6).
Figure 6.
The mRNA levels of HparOBP14 at 24 h, 48 h, 72 h, and 96 h after the RNAi treatment. RNA from antennae was used for the analysis. The GADPH gene was used as reference to normalize the expression of HparOBP14. Error bars represent the standard error (n = 3). The results (mean ± SEM) were evaluated using a 2−ΔΔCT method, and relative to the expression level of HparOBP14 in the female abdomen. The comparison was analyzed by independent-sample t-test (n = 3). The significant difference was presented by the stars on the top of the error bars (* for p < 0.05, ** for p < 0.01, *** for p < 0.001 and ns for no significant difference).
3.7. Electroantennogram Responses of Female H. parallela after dsRNA Injection
The female H. parallela adults injected with dsHparOBP14 for 48 h were used to measure their responses to a total of seven compounds (3-methylindole, p-cymene, α-pinene, geraniol, methanol, formaldehyde, and 6-methyl-5-heptene-2-one) in electrophysiological studies (Figure 7). The EAG responsive amplitudes to p-cymene, α-pinene, geraniol, methanol, and formaldehyde decreased significantly in the dsHparOBP14-injected insects (p < 0.05) compared to those of uninjected control insects. There are clear responses to 3-methylindole and 6-methyl-5-heptene-2-one, but their amplitudes do not change significantly after dsRNA injection (p > 0.05) (Figure 7).
Figure 7.
EAG response of H. parallela female adults. The female beetles were tested 48 h after the RNAi treatment. Error bars represent the standard error (n = 3). The data was analyzed by independent-sample t-test (n = 3). The comparison between uninjected (control) or dsHparOBP14-injected insects was analyzed by independent-sample t-test (n = 3). The significant difference was presented by the stars on the top of the error bars (** for p < 0.01, *** for p < 0.001 and ns for no significant difference).
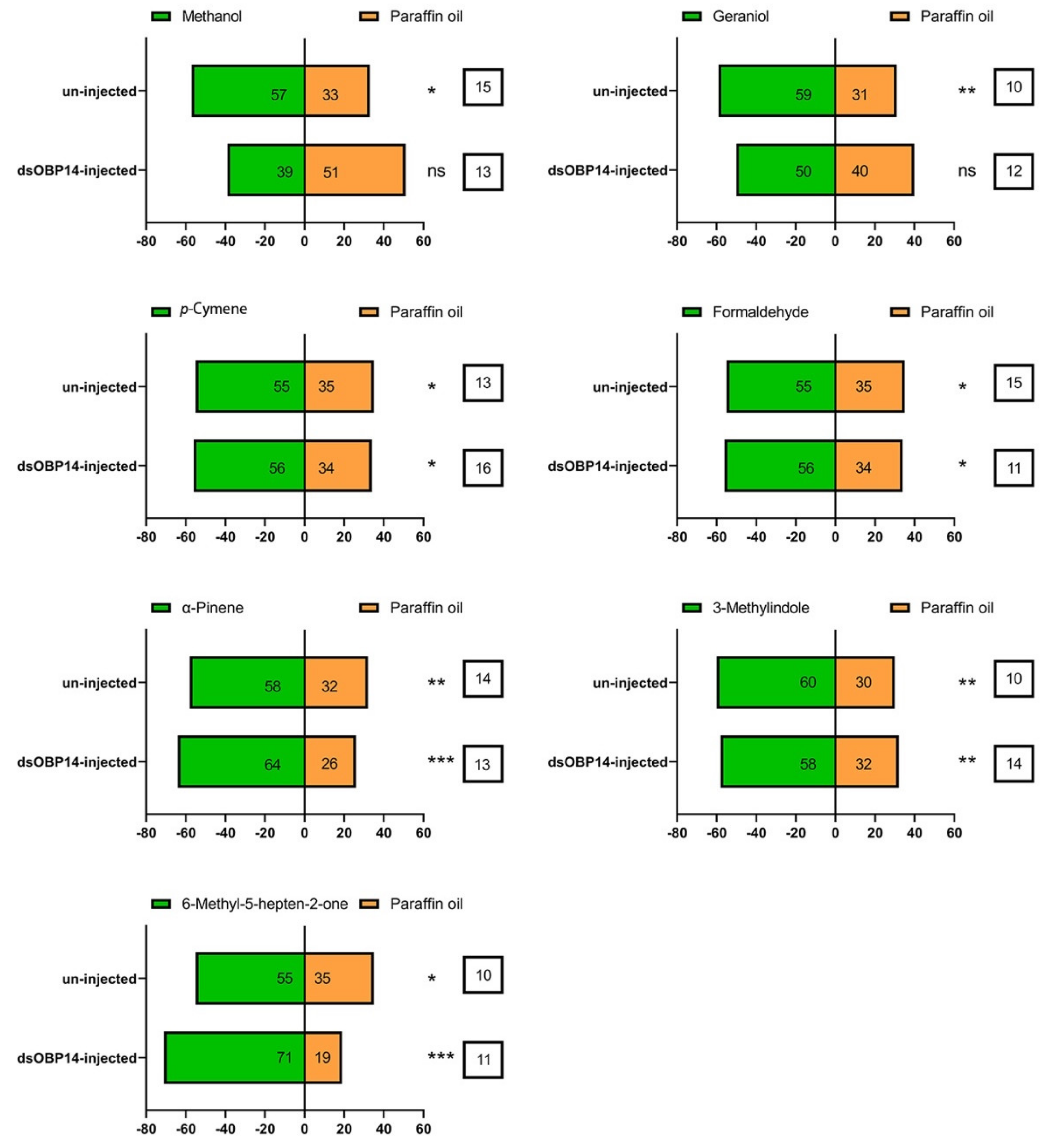
3.8. Effect of dsRNA Injection on the Behavior of H. parallela
The role of HparOBP14 in H. parallela female adults was further verified through the Y-tube behavior experiment (Figure 8). The uninjected female beetles were attracted to the methanol, p-cymene, formaldehyde, 6-methyl-5-heptene-2-one (p < 0.05), α-pinene, geraniol, and 3-methylindole (p < 0.01). The attraction of the beetles to geraniol and methanol was markedly reduced by the injection of dsHparOBP14. The response of dsHparOBP14-injected female adults to α-pinene and 6-methyl-5-heptene-2-one was significantly increased (p < 0.001), but the attraction to p-cymene, 3-methylindole, and formaldehyde had no obvious change (Figure 8).
Figure 8.
Behavioral response of female Holotrichia parallela adults to seven compounds. Seven compounds are α-pinene, geraniol, methanol, p-cymene, formaldehyde, 3-methylindole, and 6-methyl-5-heptene-2-one. The numbers in the green bars indicate the number of females that made the choice to the Y-tube olfactometer arm treated with odor compounds. The numbers in the orange bars indicate the number of females that made the choice to the Y-tube olfactometer arm treated with the solvent paraffin oil (control). The numbers in the white bars indicate the number of females that did not make any choice and stayed in the main arm for 5 min. The significant difference in the numbers between two lateral arms was indicated by * (p < 0.05), ** (p < 0.01), *** (p < 0.001), and analyzed with a Chi-square goodness of fit test.
4. Discussion
The choice of the host plant by an insect female is a complex sequence that ends in oviposition, and it is a multi-modal behavior that involves, among other things, volatile and non-volatile chemical stimuli. The binding of these odor molecules to OBPs is an important step in the process of insect recognition of host plants and oviposition sites [37,42,43].
In this study, HparOBP14 was found highly expressed in the legs of H. parallela female adults among all 20 OBP genes. HparOBP14 is also highly expressed in the antennae of H. parallela. The two organs are well-known to be involved in different stages of reproductive behavior: antennae, main organs housing olfactory receptors for olfactory recognition of volatile plant compounds (VPCs), the legs carrying contact chemoreceptors allowing the recognition of non-volatile molecules once the female landed on the plant [44]. Our results show very clearly that HparOBP14 is involved in the responses of H. parallela female adults to the volatile compounds of the host plant or from the environment. The binding experiments indicate a low specificity of HparOBP14, the chemical structures of tested compounds being quite different. The olfactometer choice tests reveal a positive choice for the compounds tested upon female beetles. The EAG response of individual H. parallela female antennae to p-cymene, α-pinene, geraniol, methanol, and formaldehyde, but not to 6-methyl-5-hepten-2-one, was significantly reduced after HparOBP14 expression was knocked down. These results constitute an argument in favor of HparOBP14′s role in the recognition of the host plant volatiles.
It was reported that AlinOBP11 is the most abundant gene in the forelegs of Adelphocoris lineolatus adults, which bound to non-volatile plant secondary compounds and had an important function in taste [45,46]. However, in our EAG and Y-olfactometer experiments, the stimulus molecules were delivered to the insects by an air flow. Thus, these experiments can only assess the involvement of HparOBP14 in the perception of volatile molecules from host plants and oviposition sites. The data do not explain HparOBP14’s function in the detection of non-volatile molecules by the legs.
Nevertheless, insect oviposition is mediated by attractive chemical cues emitted from oviposition sites in the environment [47]. Previous studies showed that the OBPs that are highly expressed in the legs of female insects play a role in the perception of plant volatiles, a behavioral step leading to oviposition [48]. OBP30 expressed in the legs of female Chilo suppressalis was speculated to be associated with oviposition-related compounds [49]. OBP57d and OBP57e expressed in Drosophila legs could recognize the oviposition-related volatile octanoic acid [50]. Research on the oviposition preferences found that the female beetles (Cyclocephala borealis, C. lurida, C. pasadenae, C. hirta, and C. parallela) prefer to lay eggs in soil that is rich in organic matters [51]. In this study, the leg-biased HparOBP14 had a relatively high affinity to methanol, geraniol, 3-methylindole, p-cymene, α-pinene, and formaldehyde, which are chemical cues for locating oviposition sites by H. parallela females [17]. Furthermore, knockdown of HparOBP14 expression significantly affected the behavior of H. parallela to decomposed organic fertilizer volatiles, in agreement with previous studies on the oviposition preferences of beetles [17,18,48]. The attractive response of H. parallela female adults was significantly decreased to methanol and geraniol by the HparOBP14 interference. Methanol and geraniol are volatile organic compounds emitted during the decomposition of plant litter and are also the potential volatiles to attract female H. parallela during oviposition [17,52]. Methanol is attractive not only to H. parallela, but also to the root-eating beetle Rhizophagus ferrugineus and H. oblita [18,53]. Geraniol, as a compound in bait, is attractive to both sexes of the Japanese beetle Popillia japonica [54,55] and to the leaf beetle Monolepta hieroglyphica as key plant volatiles [56,57]. These results support that HparOBP14 may play a role in oviposition behaviors of H. parallela female adults.
It is noted that there are differences between the results of the EAG experiments and those of the behavioral experiments. This may be due to different doses used in these two experiments. It is also noted that the in vitro binding results (Table 1) are different from those of the EAG and behavioral experiments. This could be due to the limitation of the fluoresce competitive binding assay used, namely 1-NPN displacement. It is not certain whether 1-NPN could bind only into the HparOBP14 binding pocket. The compounds tested could only displace some unspecific 1-NPN binding as the affinities obtained in this study are not as good as those (<10 µM) in other studies. Furthermore, the recombinant HparOBP14 also binds the host plant volatile 6-methyl-5-heptene-2-one, and the knockdown of HparOBP14 expression increased the attraction of the beetles to it but did not affect the EAG response of the female adults to this volatile compound. These responses could be mediated by several olfactory proteins; some of them could play a more important role than HparOBP14 in the response to 6-methyl-5-hepten-2-one. Therefore, HparOBP14 may be essential for female H. parallela to detect methanol and geraniol and may play a role in the process of finding suitable oviposition sites, as well as may participate in the process of identifying host plants. We cannot attribute a specific function (olfaction or taste) to HparOBP14 from the current study, but provide some evidence for the possible involvement of HparOBP14 in the perception of plant volatiles and oviposition.
5. Conclusions
In this study, we preliminarily identified the function of HparOBP14 which is highly expressed in the legs of female H. parallela. Based on the transcriptome data, we cloned the HparOBP14 gene and further described the tissue-specific expression and the binding spectrum as well as the changes of the electrophysiological and behavioral responses after the knockdown of HparOBP14 expression. These results provide the evidence that HparOBP14 may be involved in the oviposition behavior of H. parallela female adults, and also provide a theoretical basis for the research and development of environmentally friendly pest control strategy, which may ultimately help to reduce the reproduction of H. parallela.
Supplementary Materials
The following are available online at https://www.mdpi.com/article/10.3390/insects12050430/s1, Table S1. Primer pairs used in this study. Figure S1. Nucleotide sequence and deduced amino acid sequence of HparOBP14. Figure S2. Alignment of the deduced amino acid sequence of HparOBP14 with homologous proteins from other OBPs. Figure S3. Binding curve and Scatchard plots of HparOBP14 protein with the fluorescent probe 1-NPN.
Author Contributions
Conceptualization, J.Y.; methodology, Y.Q., K.L., and J.Y.; software, Y.Q.; validation, Y.Q., S.W., and J.Y.; formal analysis, Y.Q.; investigation, Y.Q., X.L., X.Z., and J.Q.; data curation, Y.Q. and J.-J.Z.; writing—original draft preparation, Y.Q.; writing—review and editing, Y.Q., Y.C., J.-J.Z., S.W., and J.Y.; writing—critical editing, proofreading, and responding to comments, J.-J.Z.; supervision, S.W. and J.Y.; funding acquisition, J.Y. All authors have read and agreed to the published version of the manuscript.
Funding
This work was funded by the Natural Science Foundation of Beijing, China (Grant Nos. 6212026) and National Natural Science Foundation of China (Grant Nos. 31572007) to J.Y., and Program of Introducing Talents to Chinese Universities (111 Program No. D20023) to J.-J.Z.
Informed Consent Statement
Not applicable.
Data Availability Statement
The authors confirm that the data supporting the findings of this study are available within the article and its Supplementary Materials.
Acknowledgments
Y.Q. was partially financed by Gansu Agricultural University, China to carry out the research in Jiao Yin’s Laboratory at the Institute of Plant Protection, Chinese Academy of Agricultural Sciences, Beijing, China. Finally, we thank the reviewers for their careful reading of our manuscript, and helpful and constructive suggestions both in English and data presentation.
Conflicts of Interest
The authors declare no conflict of interest. The funders had no role in the design of the study; in the collection, analyses, or interpretation of data; in the writing of the manuscript, or in the decision to publish the results.
References
- Shi, S.S.; Cui, J.; Song, P.X.; Zang, D.C.; Li, W.Y.; Wu, T.T. Occurring regularity of Holotrichia parallela in summer soybean field. Soybean Sci. 2014, 33, 91–94. [Google Scholar]
- Zhang, S.; Yin, J.; Cao, Y.Z.; Li, K.B. Present occurrence of underground insect pests on medicinal plants and their integrated management strategies. Plant Prot. 2016, 42, 22–29. [Google Scholar]
- Zhao, Y.; Cheng, J.L.; Yuan, Z.L.; Wu, J.X. Preliminary investigation on soil insects and pests in tobacco fields in Shaanxi Province. Chin. Tob. Sci. 2014, 35, 41–45. [Google Scholar]
- Li, X.J.; Liu, X.; Nong, X.Q.; Wang, G.J.; McNeill, M.R.; Ullah, H.; Wang, Q.L.; Henderson, H.; Zhang, Z.H. Peanut early flowering stage is beneficial to Metarhizium anisopli ae survival and control of white grub larvae. Biotech 2020, 10, 188. [Google Scholar]
- Schäfer, R.; Liess, M.; Altenburger, R.; Filser, J.; Hollert, H.; Roß-Nickoll, M.; Schäfer, A.; Scheringer, M. Future pesticide risk assessment: Narrowing the gap between intention and reality. Environ. Sci. Eur. 2019, 31, 21. [Google Scholar] [CrossRef]
- Sattler, C.; Kächele, H.; Verch, G. Assessing the intensity of pesticide use in agriculture. Agric. Ecosyst. Environ. 2007, 119, 299–304. [Google Scholar] [CrossRef]
- Kong, W.N.; Wang, Y.; Guo, Y.F.; Chai, X.H.; Li, J.; Ma, R.Y. Behavioral effects of different attractants on adult male and female oriental fruit moths, Grapholita molesta. Pest Manag. Sci. 2020, 76, 3225–3235. [Google Scholar] [CrossRef]
- Tewari, S.; Leskey, T.C.; Nielsen, A.L.; Piñero, J.C.; Rodriguez-Saona, C.R. Use of pheromones in insect pest management, with special attention to weevil pheromones. In Integrated Pest Management; Abrol, D.P., Ed.; Elsevier: London, UK, 2014; pp. 141–168. [Google Scholar]
- Venthur, H.; Zhou, J.-J. Odorant Receptors and Odorant-Binding Proteins as Insect Pest Control Targets: A Comparative Analysis. Front. Physiol. 2018, 9, 1163. [Google Scholar] [CrossRef]
- Johnson, S.N.; Birch, A.N.E.; Gregory, P.J.; Murray, P.J. The “mother knows best” principle: Should soil insects be included in the preference-performance debate? Ecol. Entomol. 2006, 31, 395–401. [Google Scholar] [CrossRef]
- Reddy, G.V.P.; Guerrero, A. Interactions of insect pheromones and plant semiochemicals. Trends Plant Sci. 2004, 9, 253–261. [Google Scholar] [CrossRef]
- Baxter, C.V.; Kennedy, T.A.; Miller, S.W.; Muehlbauer, J.D.; Smock, L.A. Macroinvertebrate drift, adult insect emergence and oviposition. In Methods in Stream Ecology, 3rd ed.; Hauer, F.R., Gary, A., Eds.; Elsevier: London, UK, 2017; Volume 1, pp. 435–456. [Google Scholar]
- Cock, M.J.W.; Allard, G. Observations on white grubs affecting sugar cane at the Juba Sugar Project, South-Western Somalia, in the 1980s, and Implications for Their Management. Insects 2013, 4, 241–272. [Google Scholar] [CrossRef] [PubMed]
- Leal, W.S. Chemical ecology of phytophagous scarab beetles. Annu. Rev. Entomol. 1998, 43, 39–61. [Google Scholar] [CrossRef]
- Brandhorst-Hubbard, J.L.; Flanders, K.L.; Appel, A.G. Oviposition site and food preference of the green june beetle (Coleoptera: Scarabaeidae). J. Econ. Entomol. 2001, 94, 628–633. [Google Scholar] [CrossRef] [PubMed]
- Abdallah, M.; Mwatawala, M.W.; Kudra, A.B. Abundance and dispersal of Heteronychus arator (Coleoptera: Scarabaeidae) in maize fields under different fertilizer treatments. SpringerPlus 2016, 5, 179. [Google Scholar] [CrossRef]
- Nyamwasa, I.; Li, K.B.; Zhang, S.; Yin, J.; Li, X.F.; Liu, J.; Li, E.T.; Sun, X.L. Overlooked side effects of organic farming inputs soil insect crop pests. Ecol. Appl. 2020, 30, e02084. [Google Scholar] [CrossRef] [PubMed]
- Nyamwasa, I.; Zhang, S.; Sun, X.L.; Yin, J.; Li, X.F.; Qin, J.H.; Qin, J.Q.; Li, K.B. Transition challenge to organic agriculture: A course for advancing belowground insect pest management. Appl. Soil Ecol. 2020, 148, 103476. [Google Scholar] [CrossRef]
- Feng, B.; Qian, K.; Du, Y.J. Floral Volatiles from Vigna unguiculata Are Olfactory and Gustatory Stimulants for Oviposition by the Bean Pod Borer Moth Maruca vitrata. Insects 2017, 8, 60. [Google Scholar] [CrossRef]
- Mu, L.L.; Li, G.Q. Influence of methanol-treated Raphanus sativus on Plutella xylostella and Phyllotreta striolata. J. Plant Prot. 2010, 37, 575–576. [Google Scholar]
- Gou, Y.P.; Quandahor, P.; Zhang, Y.X.; Coulter, J.A.; Liu, C.Z. Host plant nutrient contents influence nutrient contents in Bradysia cellarum and Bradysia impatiens. PLoS ONE 2020, 15, e0226471. [Google Scholar] [CrossRef]
- Leal, W.S. Reverse chemical ecology at the service of conservation biology. Proc. Natl. Acad. Sci. USA 2017, 114, 12094–12096. [Google Scholar] [CrossRef]
- Li, G.W.; Chen, X.L.; Li, B.L.; Zhang, G.H.; Li, Y.P.; Wu, J.X. Binding properties of general odorant binding proteins from the oriental fruit moth, Grapholita molesta (Busck) (Lepidoptera: Tortricidae). PLoS ONE 2016, 11, e0155096. [Google Scholar] [CrossRef]
- Li, X.M.; Zhu, X.Y.; He, P.; Xu, L.; Sun, L.; Chen, L.; Wang, Z.Q.; Deng, D.G.; Zhang, Y.N. Molecular characterization and sex distribution of chemosensory receptor gene family based on transcriptome analysis of Scaeva pyrastri. PLoS ONE 2016, 11, e0155323. [Google Scholar] [CrossRef] [PubMed]
- Fan, J.; Francis, F.; Liu, Y.; Chen, J.L.; Cheng, D.F. An overview of odorant-binding protein functions in insect peripheral olfactory reception. Genet. Mol. Res. 2011, 10, 3056–3069. [Google Scholar] [CrossRef]
- Schymura, D.; Forstner, M.; Schultze, A.; Kröber, T.; Swevers, L.; Latrou, K.; Jürgen Krieger, J. Antennal expression pattern of two olfactory receptors and an odorant binding protein implicated in host odor detection by the malaria vector Anopheles gambiae. Int. J. Biol. Sci. 2010, 6, 614–626. [Google Scholar] [CrossRef] [PubMed]
- Jacquin-Joly, E.; Merlin, C. Insect olfactory receptors: Contributions of molecular biology to chemical ecology. J. Chem. Ecol. 2014, 30, 2359–2397. [Google Scholar] [CrossRef]
- Leal, W.S.; Barbosa, R.M.R.; Xu, W.; Ishida, Y.; Syed, Z.; Latte, N.; Chen, A.M.; Morgan, T.I.; Cornel, A.J.; Furtado, A. Reverse and conventional chemical ecology approaches for the development of oviposition attractants for Culex Mosquitoes. PLoS ONE 2018, 3, e3045. [Google Scholar] [CrossRef]
- Wang, C.Q.; Li, J.Q.; Li, E.T.; Innocent, N.; Li, K.B.; Zhang, S.; Peng, Y.; Wei, Z.; Yin, J. Molecular and functional characterization of odorant-binding protein genes in Holotrichia oblita Faldermann. Int. J. Biol. Macromol. 2019, 136, 359–367. [Google Scholar] [CrossRef] [PubMed]
- Vieira, F.G.; Rozas, J. Comparative genomics of the odorant-binding and chemosensory protein gene families across the arthropoda: Origin and evolutionary history of the chemosensory system. Genome Biol. Evol. 2011, 3, 476–490. [Google Scholar] [CrossRef]
- Hekmat-Scafe, D.S.; Scafe, C.R.; Mckinney, A.J.; Tanouye, M.A. Genome-Wide Analysis of the Odorant-Binding Protein Gene Family in Drosophila melanogaster. Genome Res. 2002, 12, 1357–1369. [Google Scholar] [CrossRef]
- Yasukawa, J.; Tomioka, S.; Aigaki, T.; Matsuo, T. Evolution of expression patterns of two odorant-binding protein genes, Obp57d and Obp57e, in Drosophila. Gene 2010, 467, 25–34. [Google Scholar] [CrossRef] [PubMed]
- Matsuo, T.; Sugaya, S.; Yasukawa, J.; Aigaki, T.; Fuyama, Y. Odorant-binding proteins OBP57d and OBP57e affect taste perception and host-plant preference in Drosophila sechellia. PLoS Biol. 2007, 5, e118. [Google Scholar] [CrossRef]
- Ma, L.; Li, Z.Q.; Bian, L.; Cai, X.M.; Luo, Z.X.; Zhang, Y.J.; Chen, Z.M. Identification and comparative study of chemosensory genes related to host selection by legs transcriptome analysis in the tea geometrid Ectropis obliqua. PLoS ONE 2016, 11, e0149591. [Google Scholar]
- Fang, C.Q. Identification and Functional Analysis of the Olfactory Genes in Holotrichia Parallela (Coleoptera: Melolonthidae). Master’s Thesis, Northeast Agricultural University, NEAU, Harbin, China, 2016. [Google Scholar]
- Yin, J.; Wang, C.Q.; Fang, C.Q.; Zhang, S.; Cao, Y.Z.; Li, K.B.; Leal, W. Functional characterization of odorant-binding proteins from the scarab beetle Holotrichia oblita based on semiochemical-induced expression alteration and gene silencing. Insect Biochem. Mol. Biol. 2018, 104, 11–19. [Google Scholar] [CrossRef]
- Zhou, J.-J. Odorant-binding proteins in Insects. Pheromones 2010, 83, 241–272. [Google Scholar]
- Abdukerim, R.; Cao, Y.Z.; Zhang, S.; Yin, J.; Li, X.; Li, K.B. Feeding preference and taxis behavior of adult Holotrichia oblita (Coleoptera: Scarabaeidae) on three plants. Acta Entomol. Sin. 2018, 61, 585–595. [Google Scholar]
- Zhang, H.P.; Fei, R.L.; Li, K.B.; Xiao, C. Purification and identification of volatiles compounds from Ulmus pumila. J. Hubei Univ. (Nat. Sci.) 2014, 36, 426–428. [Google Scholar]
- Ju, Q.; Li, X.; Jiang, X.J.; Qu, M.J.; Guo, X.Q.; Han, Z.J.; Li, F. Transcriptome and tissue-specific expression analysis of OBP and CSP genes in the dark black chafer. Arch. Insect Biochem. Physiol. 2014, 87, 177–200. [Google Scholar] [CrossRef]
- Zhou, J.-J.; Huang, W.; Zhang, G.A.; Pickett, J.A.; Field, L.M. “Plus-C” odorant-binding protein genes in two Drosophila species and the malaria mosquito Anopheles gambiae. Gene 2004, 327, 117–129. [Google Scholar] [CrossRef]
- Galindo, K.; Smith, D.P. A large family of divergent Drosophila odorant-binding proteins expressed in gustatory and olfactory sensilla. Genetics 2011, 159, 1059–1072. [Google Scholar] [CrossRef]
- Pelosi, P.; Iovinella, I.; Felicioli, A.; Dani, F.R. Soluble proteins of chemical communication: An overview across arthropods. Front. Physiol. 2014, 5, 320. [Google Scholar] [CrossRef] [PubMed]
- Adler, P.H. Legs. In Encyclopedia of Insects, 2nd ed.; Resh, V.H., Cardé, R.T., Eds.; Elsevier: London, UK, 2009; pp. 555–558. [Google Scholar]
- Sun, L.; Wei, Y.; Zhang, D.D.; Ma, X.Y.; Xiao, Y.; Zhang, Y.N.; Yang, X.Y.; Xiao, Q.; Guo, Y.Y.; Zhang, Y.J. The mouthparts enriched odorant binding protein 11 of the alfalfa plant bug Adelphocoris lineolatus displays a preferential binding behavior to host plant secondary metabolites. Front. Physiol. 2016, 7, 201. [Google Scholar] [CrossRef]
- Sun, L.; Wang, Q.; Wang, Q.; Dong, K.; Xiao, Y.; Zhang, Y.J. Identification and characterization of odorant binding proteins in the forelegs of Adelphocoris lineolatus (Goeze). Front. Physiol. 2017, 8, 735. [Google Scholar] [CrossRef]
- Zhang, M.; Cui, Z.; Zhang, N.; Xie, G.; Wang, W.; Chen, L. Electrophysiological and behavioral responses of Holotrichia parallela to volatiles from peanut. Insects 2021, 12, 158. [Google Scholar] [CrossRef]
- Hull, J.J.; Perera, O.P.; Snodgrass, G.L. Cloning and expression profiling of odorant-binding proteins in the tarnished plant bug, Lygus lineolaris. Insect Mol. Biol. 2013, 23, 78–97. [Google Scholar] [CrossRef]
- Khuhro, S.A.; Liao, H.; Zhu, G.H.; Li, S.M.; Ye, Z.F.; Dong, S.L. Tissue distribution and functional characterization of odorant binding proteins in Chilo suppressalis (Lepidoptera: Pyralidae). J. Asia Pac. Entomol. 2017, 20, 1104–1111. [Google Scholar] [CrossRef]
- Matsuo, T. Genes for Host-Plant Selection in Drosophila. J. Neurogenet. 2008, 22, 195–210. [Google Scholar] [CrossRef] [PubMed]
- Shah, R.M.; Azhar, F.; Shad, S.A.; Walker, W.B.; Azeem, M.; Binyameen, M. Effects of different animal manures on attraction and reproductive behaviors of common house fly, Musca domestica L. Parasitol. Res. 2016, 115, 3585–3598. [Google Scholar] [CrossRef]
- Gray, C.M.; Monson, R.K.; Fierer, N. Emissions of volatile organic compounds during the decomposition of plant litter. J. Geophys. Res. 2010, 115, G3. [Google Scholar] [CrossRef]
- Byers, J.A. Attraction of bark beetles, Tomicus piniperda, Hylurgops palliatus, and Trypodendron domesticum and other insects to short-chain alcohols and monoterpenes. J. Chem. Ecol. 1992, 18, 2385–2402. [Google Scholar] [CrossRef]
- Ladd, T.L.; Klein, M.G.; Tumlinson, J.H. Phenethyl propionate + eugenol + geraniol (3:7:3) and japonilure: A highly effective joint lure for japanese beetles. J. Econ. Entomol. 1981, 74, 665–667. [Google Scholar] [CrossRef]
- Chen, R.; Klein, M.G.; Li, Y.; Li, Q.; Sheng, C. Japanese beetle lures used alone or combined with structurally related chemicals to trap NE China scarabs (Coleoptera: Scarabaeidae). J. Asia Pac. Entomol. 2014, 17, 871–877. [Google Scholar] [CrossRef]
- Cui, W.; Wang, B.; Guo, M.; Liu, Y.; Jacquin-Joly, E.; Yan, S.; Wang, G. A receptor-neuron correlate for the detection of attractive plant volatiles in Helicoverpa assulta (Lepidoptera: Noctuidae). Insect Biochem. Mol. Biol. 2018, 97, 31–39. [Google Scholar] [CrossRef] [PubMed]
- Liu, H.; Chi, D.F.; Chen, H.Y.; Yu, J.; Li, X.C. EAG and behavioral responses of Monolepta hieroglyphica (Motschulsky) to several volatile compounds. For. Res. 2013, 26, 488–493. [Google Scholar]
Publisher’s Note: MDPI stays neutral with regard to jurisdictional claims in published maps and institutional affiliations. |
© 2021 by the authors. Licensee MDPI, Basel, Switzerland. This article is an open access article distributed under the terms and conditions of the Creative Commons Attribution (CC BY) license (https://creativecommons.org/licenses/by/4.0/).







