Radiomics of Hepatocellular Carcinoma: Identifying Predictors of Microvascular Invasion Using Multi-Phase CT Analysis
Abstract
1. Introduction
2. Materials and Methods
2.1. Study Design and Population
2.2. Clinical Data Collection
2.3. Imaging Protocol
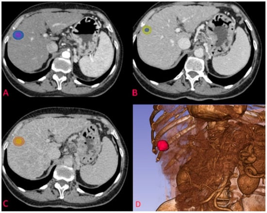
2.4. Image Segmentation
2.5. Radiomic Feature Extraction
2.6. Statistical Analysis
3. Results
3.1. Patient Characteristics
3.2. Patient Stratification Analysis
3.3. Radiomic Feature Analysis
3.4. Top Performing Radiomic Features
4. Discussion
4.1. Principal Findings
4.2. Clinical Significance of Microvascular Invasion
4.3. Comparison with Previous Studies
4.4. Exploratory Delayed Phase Observations
4.5. Clinical Implications
4.6. Methodological Considerations
4.7. Threats to Reproducibility
4.8. Limitations
5. Conclusions
Author Contributions
Funding
Institutional Review Board Statement
Informed Consent Statement
Data Availability Statement
Acknowledgments
Conflicts of Interest
References
- Sung, H.; Ferlay, J.; Siegel, R.L.; Laversanne, M.; Soerjomataram, I.; Jemal, A.; Bray, F. Global Cancer Statistics 2020, GLOBOCAN Estimates of Incidence and Mortality Worldwide for 36 Cancers in 185 Countries. CA Cancer J. Clin. 2021, 71, 209–249. [Google Scholar] [CrossRef]
- Llovet, J.M.; Kelley, R.K.; Villanueva, A.; Singal, A.G.; Pikarsky, E.; Roayaie, S.; Lencioni, R.; Koike, K.; Zucman-Rossi, J.; Finn, R.S. Hepatocellular carcinoma. Nat. Rev. Dis. Primers 2021, 7, 6. [Google Scholar] [CrossRef]
- Taddei, T.H.; Brown, D.B.; Yarchoan, M.; Mendiratta-Lala, M.; Llovet, J.M. AASLD Practice Guidance on prevention, diagnosis, and treatment of hepatocellular carcinoma. Hepatology 2023, 78, 1922–1965. [Google Scholar] [PubMed]
- Ruf, A.; Dirchwolf, M.; Freeman, R. From Child-Pugh to MELD Score and Beyond: Taking a Walk Down Memory Lane. Ann. Hepatol. 2022, 27, 100535. [Google Scholar] [CrossRef] [PubMed]
- European Association for the Study of the Liver. EASL Clinical Practice Guidelines: Management of hepatocellular carcinoma. J. Hepatol. 2018, 69, 182–236. [Google Scholar] [CrossRef]
- Reig, M.; Forner, A.; Rimola, J.; Ferrer-Fàbrega, J.; Burrel, M.; Garcia-Criado, Á.; Kelley, R.K.; Galle, P.R.; Mazzaferro, V.; Salem, R.; et al. BCLC strategy for prognosis prediction and treatment recommendation: The 2022 update. J. Hepatol. 2022, 76, 681–693. [Google Scholar] [CrossRef]
- Cabibbo, G.; Daniele, B.; Borzio, M.; Casadei-Gardini, A.; Cillo, U.; Colli, A.; Conforti, M.; Dadduzio, V.; Dionisi, F.; Farinati, F.; et al. Multidisciplinary Treatment of Hepatocellular Carcinoma in 2023, Italian practice Treatment Guidelines. Dig. Liver Dis. 2024, 56, 383–393. [Google Scholar]
- Wei, J.; Jiang, H.; Gu, D.; Niu, M.; Fu, F.; Han, Y.; Song, B.; Tian, J. Radiomics in liver diseases: Current progress and future opportunities. Liver Int. 2020, 40, 2050–2063. [Google Scholar] [CrossRef]
- Wang, W.; Chen, Q.; Iwamoto, Y.; Han, X.; Zhang, Q.; Hu, H.; Lin, L.; Chen, Y.-W. Deep Learning-Based Radiomics Models for Early Recurrence Prediction of Hepatocellular Carcinoma with Multi-phase CT Images and Clinical Data. Annu. Int. Conf. IEEE Eng. Med. Biol. Soc. 2019, 2019, 4881–4884. [Google Scholar]
- Rodriguez-Peralvarez, M.; Luong, T.V.; Andreana, L.; Meyer, T.; Dhillon, A.P.; Burroughs, A.K. A systematic review of microvascular invasion in hepatocellular carcinoma: Diagnostic and prognostic variability. Ann. Surg. Oncol. 2013, 20, 325–339. [Google Scholar] [CrossRef] [PubMed]
- Lei, Z.; Li, J.; Wu, D.; Xia, Y.; Wang, Q.; Si, A.; Wang, K.; Wan, X.; Lau, W.Y.; Wu, M.; et al. Nomogram for preoperative estimation of microvascular invasion risk in hepatitis B virus-related hepatocellular carcinoma within the Milan criteria. JAMA Surg. 2016, 151, 356–363. [Google Scholar] [CrossRef]
- Yang, L.; Gu, D.; Wei, J.; Yang, C.; Rao, S.; Wang, W.; Chen, C.; Ding, Y.; Tian, J.; Zeng, M. A Radiomics Nomogram for Preoperative Prediction of Microvascular Invasion in Hepatocellular Carcinoma. Liver Cancer 2019, 8, 373–386. [Google Scholar] [CrossRef]
- Gillies, R.J.; Kinahan, P.E.; Hricak, H. Radiomics: Images are more than pictures, they are data. Radiology 2016, 278, 563–577. [Google Scholar] [CrossRef]
- Brancato, V.; Cerrone, M.; Garbino, N.; Salvatore, M.; Cavaliere, C. Current status of magnetic resonance imaging radiomics in hepatocellular carcinoma: A quantitative review with Radiomics Quality Score. World J. Gastroenterol. 2024, 30, 381–417. [Google Scholar] [CrossRef]
- Cunha, G.M.; Sirlin, C.B.; Fowler, K.J. Imaging diagnosis of hepatocellular carcinoma: LI-RADS. Chin. Clin. Oncol. 2021, 10, 3. [Google Scholar] [CrossRef] [PubMed]
- Garzali, I.U.; I Carr, B.; İnCe, V.; Işık, B.; Akatlı, A.N.; Yılmaz, S. Microvascular invasion in hepatocellular carcinoma: Some puzzling facets. Turk. J. Gastroenterol. 2024, 35, 143–149. [Google Scholar] [CrossRef] [PubMed]
- Tong, X.; Li, J. Noninvasively predict the micro-vascular invasion and histopathological grade of hepatocellular carcinoma with CT-derived radiomics. Eur. J. Radiol. Open. 2022, 9, 100424. [Google Scholar] [CrossRef] [PubMed]
- Xu, X.; Zhang, H.-L.; Liu, Q.-P.; Sun, S.-W.; Zhang, J.; Zhu, F.-P.; Yang, G.; Yan, X.; Zhang, Y.-D.; Liu, X.-S. Radiomic analysis of contrast-enhanced CT predicts microvascular invasion and outcome in hepatocellular carcinoma. J. Hepatol. 2019, 70, 1133–1144. [Google Scholar] [CrossRef]
- Zhang, S.; Duan, C.; Zhou, X.; Liu, F.; Wang, X.; Shao, Q.; Gao, Y.; Duan, F.; Zhao, R.; Wang, G. Radiomics nomogram for prediction of microvascular invasion in hepatocellular carcinoma based on MR imaging with Gd-EOB-DTPA. Front. Oncol. 2022, 12, 1034519. [Google Scholar] [CrossRef]
- Renzulli, M.; Brocchi, S.; Cucchetti, A.; Mazzotti, F.; Mosconi, C.; Sportoletti, C.; Brandi, G.; Pinna, A.D.; Golfieri, R. Can Current Preoperative Imaging Be Used to Detect Microvascular Invasion of Hepatocellular Carcinoma? Radiology 2016, 279, 432–442. [Google Scholar]





| Characteristic | Patients (n = 54) |
|---|---|
| Major axis of the lesion, millimeters, median [IQR] | 25 [17.75; 40] |
| Resected segment * | |
| S2, % (number) | 6% (3) |
| S3, % (number) | 9% (5) |
| S4, % (number) | 15% (8) |
| S5, % (number) | 11% (6) |
| S6, % (number) | 21% (11) |
| S7, % (number) | 13% (7) |
| S8, % (number) | 17% (9) |
| Right hepatic lobe, % (number) | 4% (2) |
| Left hepatic lobe, % (number) | 4% (2) |
| Histological grade | |
| G1, % (number) | 16% (8) |
| G2, % (number) | 66% (33) |
| G3, % (number) | 18% (9) |
| Capsule, % (number) | 30% (16) |
| Vascular infiltration | |
| Grade 1, % (number) | 39% (21) |
| Grade 2, % (number) | 13% (7) |
| Clear margin, % (number) | 26% (14) |
| Satellitosis, % (number) | 22% (12) |
| Feature | Original Margin AUC | 5 mm Expanded Margin AUC | Difference |
|---|---|---|---|
| GLCM_Idn | 0.746 | 0.772 | +0.026 |
| GLCM_Idmn | 0.713 | 0.741 | +0.028 |
| Characteristic | Patients (n = 49) |
|---|---|
| Age at CT, median [IQR] | 68 [58.5; 74] |
| Age at intervention, median [IQR] | 68 [59; 74] |
| Males, % (number) | 80% (39) |
| BCLC Stage | |
| Stage 0, % (number) | 26% (14) |
| Stage A, % (number) | 59% (29) |
| Stage B, % (number) | 13% (6) |
| Stage C, % (number) | 2% (1) |
| Multiple HCC, % (number) | 57% (28) |
| Cirrhosis, % (number) | 71% (35) |
| Alcohol abuse, % (number) | 27% (13) |
| HCV+, % (number) | 45% (22) |
| HBV+, % (number) | 14% (7) |
| Ascites, % (number) | 6% (3) |
| Encephalopathy, % (number) | 2% (1) |
| sGOT, U/L, median [IQR] | 38 [24; 54] |
| sGPT, U/L, median [IQR] | 45 [22.5; 81] |
| GGT, U/L, median [IQR] | 91 [51.25; 165.25] |
| Albumin, g/dL, median [IQR] | 38.9 [33.9; 42.4] |
| AFP, ng/mL, median [IQR] * | 4.5 [0; 7.75] |
| Total Bilirubin, mg/dL, median [IQR] | 0.85 [0.465; 1.285] |
| INR, median [IQR] | 1.11 [1.035; 1.260] |
| Creatinine, mg/dL, median [IQR] | 0.87 [0.715; 1.045] |
| MELD score, median [IQR] | 6 [5; 7] |
| Lesions per patient | |
| Patients with 1 lesion, % (number) | 90% (44) |
| Patients with 2 lesions, % (number) | 10% (5) |
| Stratification | Sample Size | MVI+/MVI- | Top Feature | AUC [95% CI] | Interpretation |
|---|---|---|---|---|---|
| <20 mm | 14 | 4/10 | Not reported | - | Overfitting |
| 20–50 mm | 37 | 21/16 | ART_5mm_GLCM_Idn | 0.772 [0.618–0.927] | Moderate performance |
| LR-3/4 | 20 | 9/11 | DEL_GLDM_LGLE | 0.800 [0.573–1.000] | Wide CI, small sample |
| LR-5 | 34 | 19/15 | ART_5mm_shape_SZN | 0.895 [0.790–0.999] | Requires validation |
| Study | Sample Size | Features Analyzed | Phases Used | Best AUC | Validation |
|---|---|---|---|---|---|
| Xu et al., 2019 [18] | 495 | 1.044 | Arterial, Portal | 0.909 | External |
| Zhang et al., 2022 [19] | 111 | Not specified | Multi-phase | 0.81 | Internal |
| Renzulli et al., 2016 [20] | 125 | Qualitative | All-phase | NPV 0.84–0.91 | None |
| Current study | 49 (54 lesions) | 642 | All + Delayed | 0.772 (20–50 mm) | None |
Disclaimer/Publisher’s Note: The statements, opinions and data contained in all publications are solely those of the individual author(s) and contributor(s) and not of MDPI and/or the editor(s). MDPI and/or the editor(s) disclaim responsibility for any injury to people or property resulting from any ideas, methods, instructions or products referred to in the content. |
© 2025 by the authors. Licensee MDPI, Basel, Switzerland. This article is an open access article distributed under the terms and conditions of the Creative Commons Attribution (CC BY) license (https://creativecommons.org/licenses/by/4.0/).
Share and Cite
Spoto, F.; Cardobi, N.; De Robertis, R.; Geraci, L.; Tomaiuolo, L.; Bardhi, E.; Mascarin, B.; Luchini, C.; Ruzzenente, A.; D’Onofrio, M. Radiomics of Hepatocellular Carcinoma: Identifying Predictors of Microvascular Invasion Using Multi-Phase CT Analysis. J. Pers. Med. 2025, 15, 527. https://doi.org/10.3390/jpm15110527
Spoto F, Cardobi N, De Robertis R, Geraci L, Tomaiuolo L, Bardhi E, Mascarin B, Luchini C, Ruzzenente A, D’Onofrio M. Radiomics of Hepatocellular Carcinoma: Identifying Predictors of Microvascular Invasion Using Multi-Phase CT Analysis. Journal of Personalized Medicine. 2025; 15(11):527. https://doi.org/10.3390/jpm15110527
Chicago/Turabian StyleSpoto, Flavio, Nicolo’ Cardobi, Riccardo De Robertis, Luca Geraci, Luisa Tomaiuolo, Eda Bardhi, Beatrice Mascarin, Claudio Luchini, Andrea Ruzzenente, and Mirko D’Onofrio. 2025. "Radiomics of Hepatocellular Carcinoma: Identifying Predictors of Microvascular Invasion Using Multi-Phase CT Analysis" Journal of Personalized Medicine 15, no. 11: 527. https://doi.org/10.3390/jpm15110527
APA StyleSpoto, F., Cardobi, N., De Robertis, R., Geraci, L., Tomaiuolo, L., Bardhi, E., Mascarin, B., Luchini, C., Ruzzenente, A., & D’Onofrio, M. (2025). Radiomics of Hepatocellular Carcinoma: Identifying Predictors of Microvascular Invasion Using Multi-Phase CT Analysis. Journal of Personalized Medicine, 15(11), 527. https://doi.org/10.3390/jpm15110527

