You are currently viewing a new version of our website. To view the old version click .
Journal of Personalized Medicine
  • Case Report
  • Open Access

30 January 2023

Severe COVID-19 Infection during Pregnancy Requiring ECMO: Case Report and Review of the Literature

,
,
and
1
Department of Obstetrics and Gynaecology, Santa Lucia General University Hospital, 30202 Cartagena, Spain
2
Department of Obstetrics and Gynaecology, La Fe University and Polytechnic Hospital, Avenida Fernando Abril Martorell 106, 46026 Valencia, Spain
3
Department of Anesthesiology, La Fe University and Polytechnic Hospital, Avenida Fernando Abril Martorell 106, 46026 Valencia, Spain
*
Author to whom correspondence should be addressed.
This article belongs to the Section Epidemiology

Abstract

Background: The risk of developing severe COVID-19 that requires admission to an intensive care unit (ICU) and invasive ventilation is increased in pregnant women. Extracorporeal membrane oxygenation (ECMO) has been successfully used to manage critical pregnant and peripartum patients. Case Report: A 40-year-old patient, unvaccinated for COVID-19, presented to a tertiary hospital in January 2021 at 23 weeks of gestation due to respiratory distress, cough, and fever. The patient had a confirmed diagnosis of SARS-CoV-2 with a PCR test in a private center 48 h before. She required admission into the ICU due to respiratory failure. High-flow nasal oxygen therapy, intermittent noninvasive mechanical ventilation (BiPAP), mechanical ventilation, prone positioning, and nitric oxide therapy were administered. Additionally, hypoxemic respiratory failure was diagnosed. Thus, circulatory assistance using ECMO with venovenous access was performed. After 33 days of ICU admission, the patient was transferred to the internal medicine department. She was discharged 45 days after hospital admission. At 37 weeks of gestation, the patient presented active labor and underwent an uneventful vaginal delivery. Conclusions: Severe COVID-19 in pregnancy may lead to the requirement for ECMO administration. This therapy should be administered in specialized hospitals using a multidisciplinary approach. COVID-19 vaccination should be strongly recommended to pregnant women to decrease the risk of severe COVID-19.

1. Introduction

In the pandemic associated with infection with SARS-CoV-2 and its related clinical disease COVID-19, over 650 million people have been infected, and over 6,6 million have died worldwide as of 14 December 2022 [1]. Almost 4–6% of women in the childbearing age group, who are critically ill with COVID-19 and admitted to the intensive care unit (ICU), are pregnant [2].
The vast majority of cases of SARS-CoV-2 infection in pregnant women are asymptomatic or present mild influenza-like symptoms, similar to the general population. Nonetheless, the risk of developing severe COVID-19 that requires admission to the ICU and invasive ventilation is increased in pregnant women [3]. Moreover, pregnant women with comorbidities such as obesity, diabetes mellitus, and chronic hypertension are at a higher risk of severe COVID-19 [4]. In severe cases with no improvement after drug therapy and mechanical ventilation, extracorporeal membrane oxygenation (ECMO) is required [4]. This paper describes a case report of a woman with severe COVID-19 during the second trimester of pregnancy who underwent successful treatment with venovenous (VV) ECMO, and provides a review of the literature regarding the effectiveness of ECMO in pregnant patients with severe COVID-19.

2. Case Report

A 40-year-old patient, gravida three, para two, presented to the emergency department of La Fe University and Polytechnic Hospital (Valencia, Spain) in January 2021 at 23 weeks of gestation due to respiratory distress, cough, and fever. The patient had a confirmed diagnosis of SARS-CoV-2 with a polymerase chain reaction (PCR) test performed in a private center 48 h before. The patient had a known bicornuate uterus. She underwent one vaginal delivery at term and one subsequent preterm delivery at 28 weeks of gestation. The preterm newborn presented perinatal mortality of unknown origin in another hospital. The current pregnancy had a low-risk first-trimester screening for chromosomal abnormalities and a normal morphological ultrasound at 20 weeks of pregnancy.
At the emergency department, the patient manifested pleuritic chest pain, anosmia, dysgeusia, tachypnea, and dyspnea with minimal effort. Arterial blood gas displayed respiratory alkalosis, hypoxemia, and an inspired oxygen fraction index (PAFI) of 143. Blood tests showed a reactive C-protein (CRP) of 162.2 and a D-dimer of 55.800. No other parameters were abnormal. A chest X-ray revealed extensive bilateral areas of consolidation. Thus, she was admitted to the hospital. Low-molecular-weight heparin (LMWH) of 40 mg/12 h and dexamethasone were initially administered.
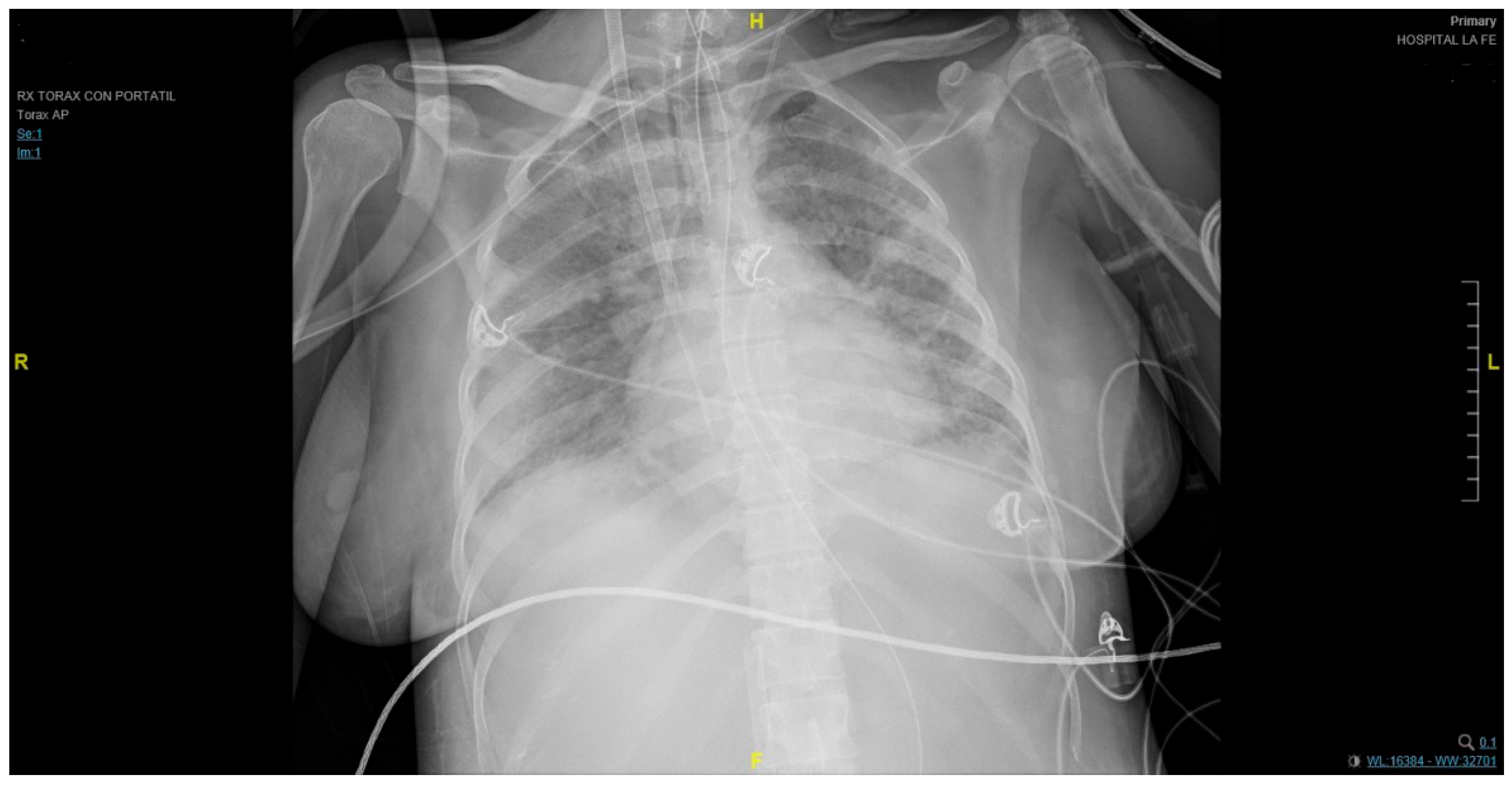
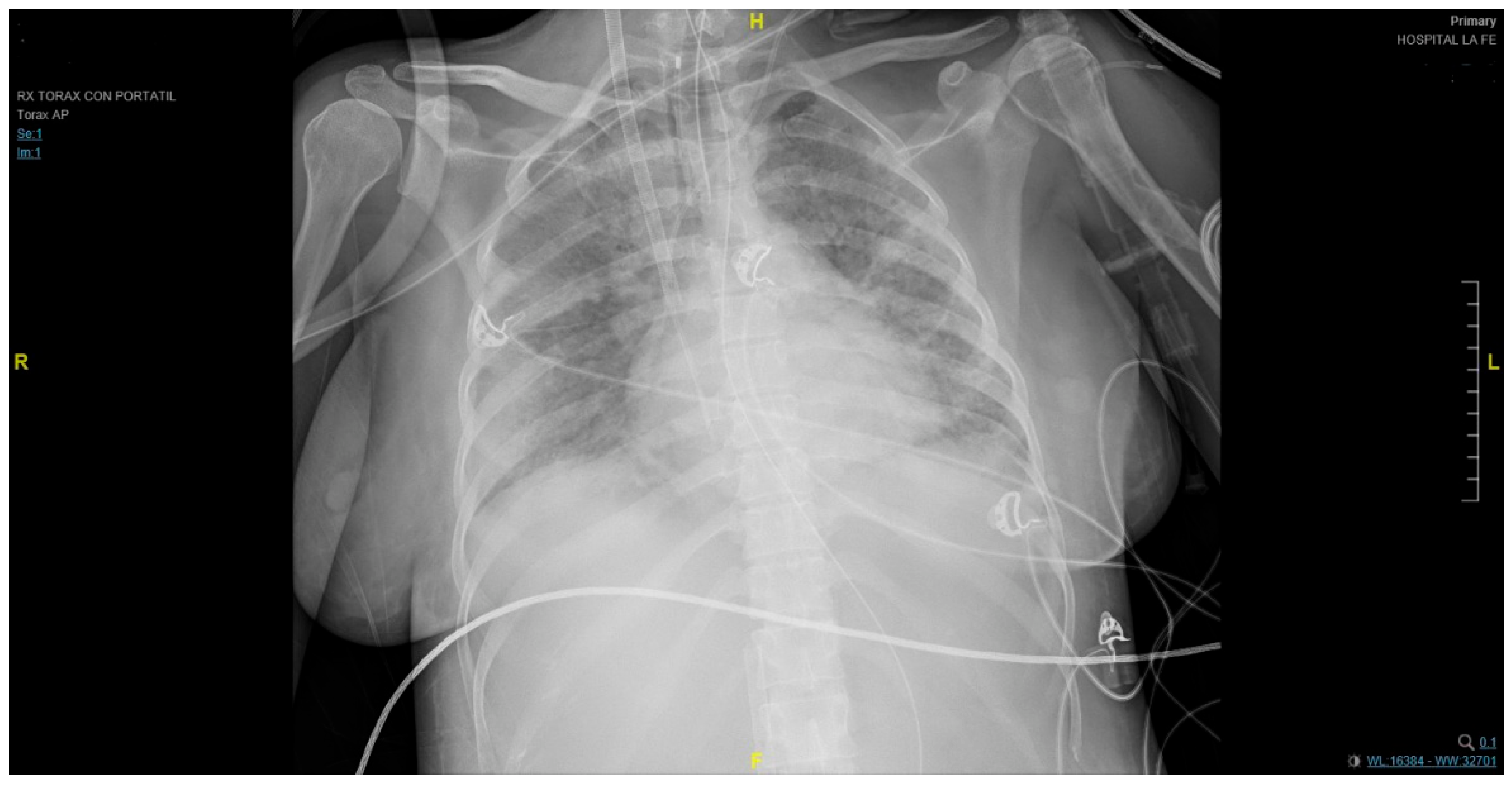
The patient required admission into the ICU one day after being admitted into the hospital due to respiratory failure requiring high-flow nasal oxygen therapy at the beginning. Later, intermittent noninvasive mechanical ventilation (BiPAP) was administered because of her poor clinical evolution. Nonetheless, on the fourth day in the ICU, the patient required orotracheal intubation for mechanical ventilation with a neuromuscular blockade. Functional deterioration persisted despite prone positioning (adapted to the pregnant woman’s condition) and nitric oxide therapy. Hypoxemic respiratory failure (p02 58 mmHg) was diagnosed. Thus, circulatory assistance using ECMO with venovenous access (right femoral–right jugular) under prophylactic antibiotic therapy was performed (Figure 1). During the entire hospital admission, a close pregnancy follow-up was carried out through maternal and fetal assessments that included a fetal ultrasound every 24–72 h.
Figure 1. An anteroposterior chest X-ray revealed extensive bilateral areas of consolidation and the endotracheal tube at 2 cm of carina.
ECMO began with flows of 4.2 L/min and FiO2 100% (at 4 L/min in the gas blender), increasing during the first days to 5.5 L/min to achieve proper oxygenation. Lung-protective ventilation was used, with a tidal volume of 3 mL/kg weight, FiO2 80%, and PEEP 10 cm H2O.
During the first 24 h after the implantation of the VV ECMO, anticoagulation was not used to avoid bleeding problems. After the first day, unfractionated heparin infusion was started, its administration controlled through an activated coagulation time (ACT) (160–180). In this case, as the peripheral insertion was percutaneous, the heparin administered for cannulation was not reversed.
After 15 days of ICU admission, a tracheostomy was performed, suspending the infusion of unfractionated heparin for a few hours, which could later be resumed without complications.
Seventeen days after ICU admission, sedation and the neuromuscular blockade were withdrawn. The respiratory transition was started using pressure support ventilation (PSV), concomitantly reducing the VV ECMO assistance flows.
Six days after the tracheostomy, on day twenty-one, a clear improvement was observed, and ECMO was withdrawn with PaO2/FiO2 382 mmHg. Tolerance to oral feeding, together with enteral nutrition, was started.
At 24 days of ICU admission, the consolidation of spontaneous ventilation through tracheostomy with the active expectoration of secretions was seen. Active respiratory and motor physiotherapy were carried out.
At 32 days of ICU admission, a tracheostomy decannulation was performed without incident. Spontaneous ventilation with nasal O2 at 2 L/min (FiO2 0.28) was started. After 33 days of ICU admission, the patient was discharged from resuscitation and transferred to the internal medicine department (Table 1 shows gasometric data during ICU admission).
Table 1. Gasometric data during ICU admission.
Fetal lung maturation with betamethasone was carried out at 26 weeks of pregnancy. The obstetric follow-up was satisfactory. The fetal ultrasound revealed that the fetal growth and Doppler study, as well as the amniotic fluid, were within normal limits. An improvement in motor function with physiotherapy was seen. However, the patient developed bilateral external sciatic–popliteal nerve neuropathy due to prolonged rest. Forty-five days after her admission, the patient was discharged from the hospital.
At 37 weeks of gestation, the patient presented to the emergency department due to active labor. She underwent a vaginal delivery. The weight of the male newborn was 2750 g, the Apgar score was 10, arterial pH from cord blood was 7.29, and venous pH was 7.38. The patient was discharged 48 h later with a 40 mg LMWH treatment for six weeks.
At the outpatient evaluation four weeks after birth, the patient reported an improvement in muscle fatigue and weakness. Nonetheless, she described persistent dyspnea with heavy exercise. Afterward, the patient underwent a subsequent follow-up with her general practitioner.

3. Discussion

ECMO is an invasive support strategy for cardiac, respiratory, or combined cardiorespiratory failure when conventional treatment options have failed [5]. ECMO should be considered as salvage therapy in cases of refractory or conventional mechanical ventilation, ventilation in the prone position, and recruitment maneuvers [6].
ECMO has been successfully used to manage pregnant patients in critical condition [5,7,8]. Potential indications for ECMO in pregnant women are pulmonary embolism, amniotic fluid embolism, cardiomyopathy, and primary pulmonary hypertension with right heart failure [9]. The survival rate of pregnant women on ECMO is 75–80%, and the fetal survival is 65–70% [10]. A recent paper ensured that pregnancy can be prolonged on ECMO, delivery on ECMO can be performed safely, and ECMO can serve as a bridge to maternal respiratory recovery [11]. Moreover, Hansra et al. described a VV ECMO administration during the second trimester of pregnancy, leading to a successful pregnancy outcome [12].
Regarding severe COVID-19 in pregnant women, if it occurs during the third trimester of pregnancy, an elective preterm birth may improve the maternal condition [7,13,14]. Indeed, pregnant women with SARS-CoV-2 infection have been associated with an approximately three times higher risk of preterm birth than those without the infection due to a severe maternal condition [7,15]. Additionally, pregnant women with COVID-19 should be closely monitored, as the disease has been associated with low birthweight [13,16]. Balasundaram et al. described a patient that had a spontaneous vaginal delivery when sedated with VV ECMO at 26 weeks and 2 days of gestation with a subsequent satisfactory recovery [17].
The vertical transmission of SARS-CoV-2 has been rarely reported [18,19,20]. Nonetheless, more extensive data are needed to firmly rule out transplacental vertical transmission. A recent study analyzed the placentas of mothers who had suffered severe COVID-19 infection requiring ECMO. The authors found thrombosis in the basal plate’s spiral arteries, intramural endovascular trophoblasts in the third-trimester placentas, subchorionic hematoma, and chronic chorioamnionitis in the fetal membranes [21].
Pregnant women are usually younger and healthier than the general population [22]. This may contribute to the survival of pregnant patients with ECMO. According to the literature, the most common side effects in pregnant patients related to ECMO are bleeding, nosocomial infections, limb ischemia, and venous thromboembolism [4].
The decision of which patients are candidates for an ECMO implant is complex and should be determined by a multidisciplinary team [23]. If the candidate is a pregnant woman with severe COVID-19, it requires an even more thorough decision process. Therefore, ECMO (both VV and AV) should be used with caution in pregnant patients in specialized centers, with multidisciplinary management that includes an obstetric follow-up [11]. In the presented case, the decision that was determined was to place VV ECMO after assessing the state of refractory hypoxemia and the lack of response to the rest of the treatments. Published case reports of pregnant women with severe COVID-19 disease who were supported with VV ECMO describe satisfactory outcomes [4,12,24,25,26].
Peripartum patients needing VV ECMO had a lower mortality rate than those receiving VA ECMO, while those who needed ECMO for respiratory indications had a higher mortality rate than those with cardiac indications [27]. In the presented patient, the double femorojugular cannula technique was used. The blood is drained from the inferior vena cava with a multiperforated cannula inserted through the femoral vein and reinfused already oxygenated in the right atrium with a cannula in the right internal jugular [6]. In our hospital, the double-lumen Avalon is not routinely used because the implant is more complex, the flows are more limited, and there is a higher possibility of cardiac injury. Additionally, the cannula’s nanopositioning must be checked more frequently, preferably with a transesophageal ultrasound. In this case, the patient had COVID-19 and was strictly isolated. This complicated the close monitoring.
In our patient, ECMO began with flows of 4.2 L/min, increasing during the first days to 5.5 L/min to achieve proper oxygenation, considering that the patient was a pregnant woman. Protective pulmonary ventilation was instituted, pending the recovery of lung function.
It should be noted that the implantation of ECMO entails the need for anticoagulation. In the presented patient, two prothrombotic factors were added: pregnancy and COVID-19. Thus, anticoagulation monitoring had to be strict. With the implantation of ECMO, unfractionated heparin was used with TCA controls every two hours at first and, subsequently, every four hours, looking for TCA ranges between 160 and 180 s. In this case, there were no bleeding or thrombotic complications during ECMO use, unlike other studies, in which, unlike what might be expected, the most significant complication was bleeding [5,27,28].
COVID-19 vaccines are safe and effective in the periconceptional period, throughout gestation, and during breastfeeding [29,30,31,32]. The mRNA vaccines do not contain live viruses and do not cause genetic modifications [33]. Additionally, maternal–fetal benefits have been associated with COVID-19 vaccination, such as decreased severe COVID-19 disease, with an 80% lower risk of developing pneumonia and requiring hospital admission, and the placental transmission of protective antibodies to the fetus [29,34]. A recent analysis of six European countries showed that the vast majority of pregnant women admitted to the ICU due to severe COVID-19 during the last half of 2021 was unvaccinated [35]. The presented patient, who required ECMO due to severe COVID-19, was not vaccinated. Additionally, the predominant SARS-CoV-2 variant in Spain at the time of her hospital admission was the pre-alpha variant [36]. This variant was associated with a lower viral load decline rate due to changes in posterior variants’ viral dynamics related to the evolution of SARS-CoV-2 toward a more rapid viral clearance [37]. A recent study stated that when the pre-alpha strain was predominant in Spain, all pregnant patients with SARS-CoV-2 infection in their cohort were unvaccinated, the rate of hospital admission was 6.6%, and progression to severe COVID-19 disease was 2.2% [29]. Several studies revealed that COVID-19 vaccination should be strongly recommended to pregnant women to decrease the risk of severe COVID-19 [29,30,31,38].

4. Conclusions

Severe COVID-19 in pregnancy may lead to the requirement for ECMO. This therapy should be administered in specialized hospitals using a multidisciplinary approach. COVID-19 vaccination should be strongly recommended to pregnant women to decrease the risk of developing severe COVID-19.

Author Contributions

Conceptualization and supervision V.D.-A. and A.M.-V. Investigation, D.D.-M., A.M.-V. and E.P.-S. Writing D.D.-M., A.M.-V. and E.P.-S. All authors have read and agreed to the published version of the manuscript.

Funding

This research received no external funding.

Institutional Review Board Statement

This work was performed within the study protocol entitled CoVaGest, which was reviewed and approved by the ethics committee of the Health Research Institute Hospital La Fe (IIS La Fe), approval ref: 2022- 903-1.

Data Availability Statement

Data regarding the case report were obtained from the clinical program of La Fe University and Polytechnic Hospital. More specific data are not publicly available due to privacy, although may be available on request to the corresponding author.

Conflicts of Interest

The authors declare no conflict of interest.

References

  1. Johns Hopkins University. COVID-19 Dashboard by the Center for Systems Science and Engineering (CSSE) at Johns Hopkins University (JHU); Johns Hopkins University: Baltimore, MD, USA, 2020; Available online: https://coronavirus.jhu.edu/map (accessed on 14 December 2022).
  2. Lambert, J.; Litchfield, K.; Love, C.; Nairn, M.; Vernal, C.; Wise, A. COVID-19 Position Statement: Maternal Critical Care Provision; SIGN Evidence Based Clinical Guidelines; Coronavirus (COVID-19): Guidance on Treating Patients Guidance from the Chief Medical Officer (CMO); Healthcare Improvement Scotland: Glasgow, UK, 2020; Available online: https//www.sign.ac.uk/media/1633 (accessed on 14 December 2022).
  3. Allotey, J.; Fernandez, S.; Bonet, M.; Stallings, E.; Yap, M.; Kew, T.; Zhou, D.; Coomar, D.; Sheikh, J.; Lawson, H.; et al. Clinical manifestations, risk factors, and maternal and perinatal outcomes of coronavirus disease 2019 in pregnancy: Living systematic review and meta-analysis. BMJ 2020, 370, m3320. [Google Scholar] [CrossRef]
  4. Barrantes, J.H.; Ortoleva, J.; O’Neil, E.R.; Suarez, E.E.; Beth Larson, S.; Rali, A.S.; Agerstrand, C.; Grazioli, L.; Chatterjee, S.; Anders, M. Successful Treatment of Pregnant and Post-partum Women with Severe COVID-19 Associated Acute Respiratory Distress Syndrome with Extracorporeal Membrane Oxygenation. ASAIO J. 2021, 67, 132–136. [Google Scholar] [CrossRef] [PubMed]
  5. Naoum, E.E.; Chalupka, A.; Haft, J.; MacEachern, M.; Vandeven, C.J.M.; Easter, S.R.; Maile, M.; Bateman, B.T.; Bauer, M.E. Extracorporeal Life Support in Pregnancy: A Systematic Review. J. Am. Heart Assoc. 2020, 9, e016072. [Google Scholar] [CrossRef] [PubMed]
  6. Gimeno-Costa, R.; Barrios, M.; Heredia, T.; García, C.; de Hevia, L. COVID-19 respiratory failure: ECMO support for children and young adult patients. An. Pediatr. 2020, 93, 202–205. [Google Scholar] [CrossRef]
  7. Hou, L.; Li, M.; Guo, K.; Wang, W.; Li, B.; Li, J.; Yuan, Y. First successful treatment of a COVID-19 pregnant woman with severe ARDS by combining early mechanical ventilation and ECMO. Heart Lung 2020, 50, 33–36. [Google Scholar] [CrossRef]
  8. Shih, E.; DiMaio, J.M.; Squiers, J.J.; Rao, A.; Rahimighazikalayeh, G.; Meidan, T.C.; Monday, K.A.; Blough, B.; Meyer, D.; Schwartz, G.S.; et al. Extracorporeal membrane oxygenation for respiratory failure in phases of COVID-19 variants. J. Card. Surg. 2022, 37, 2972–2979. [Google Scholar] [CrossRef] [PubMed]
  9. Moore, S.; Dietl, C.A.; Coleman, D.M. Extracorporeal life support during pregnancy. J. Thorac. Cardiovasc. Surg. 2015, 151, 1154–1160. [Google Scholar] [CrossRef]
  10. Sharma, S.; Wille, M.; Bellot, C.; Diaz-Guzman, E. Modern Use of Extracorporeal Life Support in Pregnancy and Postpartum. ASAIO J. 2015, 61, 110–114. [Google Scholar] [CrossRef] [PubMed]
  11. Sarkar, A.; Wadhawan, I.; Kumari, N.; Manhas, P. Extracorporeal membrane oxygenation in pregnancy: A bridge to delivery and pulmonary recovery for COVID-19–related severe respiratory failure. Am. J. Obstet. Gynecol. 2022, 226, 873. [Google Scholar] [CrossRef] [PubMed]
  12. Hansra, B.S.; Rao, V.K.; Vogelsong, M.A.; Ruoss, S.J. Severe COVID-19 disease in a 2nd trimester pregnancy: Successful ECMO and mechanical ventilation management. Respir. Med. Case Rep. 2022, 39, 101721. [Google Scholar] [CrossRef] [PubMed]
  13. Nana, M.; Hodson, K.; Lucas, N.; Camporota, L.; Knight, M.; Nelson-Piercy, C. Diagnosis and management of COVID-19 in pregnancy. BMJ 2022, 377, e069739. [Google Scholar] [CrossRef] [PubMed]
  14. Blitz, M.J.; Rochelson, B.; Prasannan, L.; Shan, W.; Chervenak, F.A.; Nimaroff, M.; Bornstein, E. Racial and ethnic disparity and spatiotemporal trends in severe acute respiratory syndrome coronavirus 2 prevalence on obstetrical units in New York. Am. J. Obstet. Gynecol. MFM 2020, 2, 100212. [Google Scholar] [CrossRef] [PubMed]
  15. Knight, M.; Bunch, K.; Vousden, N.; Morris, E.; Simpson, N.; Gale, C.; O’Brien, P.; Quigley, M.; Brocklehurst, P.; Kurinczuk, J.J.; et al. Characteristics and outcomes of pregnant women admitted to hospital with confirmed SARS-CoV-2 infection in UK: National population based cohort study. BMJ 2020, 369, 2921. [Google Scholar] [CrossRef]
  16. Wei, S.Q.; Bilodeau-Bertrand, M.; Liu, S.; Auger, N. The impact of COVID-19 on pregnancy outcomes: A systematic review and meta-analysis. Can. Med. Assoc. J. 2021, 193, E540–E548. [Google Scholar] [CrossRef]
  17. Balasundaram, P.; Louis, S.; Thompson-Branch, A. Preterm neonate delivered to COVID-19 positive mother on ECMO support. J. Neonatal-Perinat. Med. 2022, 15, 379–382. [Google Scholar] [CrossRef]
  18. Dumitriu, D.; Emeruwa, U.N.; Hanft, E.; Liao, G.V.; Ludwig, E.; Walzer, L.; Arditi, B.; Saslaw, M.; Andrikopoulou, M.; Scripps, T.; et al. Outcomes of Neonates Born to Mothers with Severe Acute Respiratory Syndrome Coronavirus 2 Infection at a Large Medical Center in New York City. JAMA Pediatr. 2021, 175, 157. [Google Scholar] [CrossRef]
  19. Poon, L.C.; Yang, H.; Kapur, A.; Melamed, N.; Dao, B.; Divakar, H.; McIntyre, H.D.; Kihara, A.B.; Ayres-De-Campos, D.; Ferrazzi, E.M.; et al. Global interim guidance on coronavirus disease 2019 (COVID-19) during pregnancy and puerperium from FIGO and allied partners: Information for healthcare professionals. Int. J. Gynecol. Obstet. 2020, 149, 273–286. [Google Scholar] [CrossRef]
  20. Chen, H.; Guo, J.; Wang, C.; Luo, F.; Yu, X.; Zhang, W.; Li, J.; Zhao, D.; Xu, D.; Gong, Q.; et al. Clinical characteristics and intrauterine vertical transmission potential of COVID-19 infection in nine pregnant women: A retrospective review of medical records. Lancet 2020, 395, 809–815. [Google Scholar] [CrossRef]
  21. Rosner-Tenerowicz, A.; Fuchs, T.; Zimmer-Stelmach, A.; Pomorski, M.; Trzeszcz, M.; Zwierzchowski, J.; Zimmer, M. Placental pathology in a pregnant woman with severe COVID-19 and successful ECMO treatment: A case report. BMC Pregnancy Childbirth 2021, 21, 760. [Google Scholar] [CrossRef]
  22. Gao, Y.-J.; Ye, L.; Zhang, J.-S.; Yin, Y.-X.; Liu, M.; Yu, H.-B.; Zhou, R. Clinical features and outcomes of pregnant women with COVID-19: A systematic review and meta-analysis. BMC Infect. Dis. 2020, 20, 564. [Google Scholar] [CrossRef]
  23. Zarragoikoetxea, I.; Pajares, A.; Moreno, I.; Porta, J.; Koller, T.; Cegarra, V.; Gonzalez, A.; Eiras, M.; Sandoval, E.; Sarralde, J.; et al. Documento de consenso SEDAR/SECCE sobre el manejo de ECMO. Rev. Española Anestesiol. Reanim. 2021, 68, 443–471. [Google Scholar] [CrossRef]
  24. Sitter, M.; Fröhlich, C.; Kranke, P.; Markus, C.; Wöckel, A.; Rehn, M.; Bartmann, C.; Frieauff, E.; Meybohm, P.; Pecks, U.; et al. ECMO-Therapie bei COVID-19-ARDS in der Schwangerschaft ermöglicht den Erhalt einer Schwangerschaft mit termingerechter Entbindung. Die Anaesthesiol. 2022. [Google Scholar] [CrossRef] [PubMed]
  25. Yin, O.; Richler, M.; Hadaya, J.; Mei, J.; Mok, T.; Fahim, M.; Pluym, I.D.; Rao, R.; Martin, C.; Han, C.S.; et al. Extracorporeal membrane oxygenation in pregnancy: A bridge to delivery and pulmonary recovery for COVID-19–related severe respiratory failure. Am. J. Obstet. Gynecol. 2022, 226, 571–576. [Google Scholar] [CrossRef] [PubMed]
  26. Tambawala, Z.Y.; Hakim, Z.T.; Hamza, L.K.; Al Rayes, M. Successful management of severe acute respiratory distress syndrome due to COVID-19 with extracorporeal membrane oxygenation during mid-trimester of pregnancy. BMJ Case Rep. 2021, 14, e240823. [Google Scholar] [CrossRef]
  27. Ong, J.; Zhang, J.; Lorusso, R.; MacLaren, G.; Ramanathan, K. Extracorporeal membrane oxygenation in pregnancy and the postpartum period: A systematic review of case reports. Int. J. Obstet. Anesth. 2020, 43, 106–113. [Google Scholar] [CrossRef]
  28. Nair, P.; Davies, A.R.; Beca, J.; Bellomo, R.; Ellwood, D.; Forrest, P.; Jackson, A.; Pye, R.; Seppelt, I.; Sullivan, E.; et al. Extracorporeal membrane oxygenation for severe ARDS in pregnant and postpartum women during the 2009 H1N1 pandemic. Intensive Care Med. 2011, 37, 648–654. [Google Scholar] [CrossRef]
  29. Martínez-Varea, A.; Satorres, E.; Florez, S.; Domenech, J.; Desco-Blay, J.; Monfort-Pitarch, S.; Hueso, M.; Perales-Marín, A.; Diago-Almela, V. Comparison of Maternal–Fetal Outcomes among Unvaccinated and Vaccinated Pregnant Women with COVID-19. J. Pers. Med. 2022, 12, 2008. [Google Scholar] [CrossRef]
  30. Safadi, M.A.P.; Spinardi, J.; Swerdlow, D.; Srivastava, A. COVID-19 disease and vaccination in pregnant and lactating women. Am. J. Reprod. Immunol. 2022, 88, e13550. [Google Scholar] [CrossRef]
  31. Male, V. SARS-CoV-2 infection and COVID-19 vaccination in pregnancy. Nat. Rev. Immunol. 2022, 22, 277–282. [Google Scholar] [CrossRef]
  32. Badell, M.L.; Dude, C.M.; Rasmussen, S.A.; Jamieson, D.J. COVID-19 vaccination in pregnancy. BMJ 2022, 378, e069741. [Google Scholar] [CrossRef]
  33. The American College of Obstetricians and Gynaecologists. Vaccinating Pregnant and Lactating Patients Against COVID-19. Summary of Key Information and Recommendations. Available online: https://www.e-lactancia.org/media/papers/Vaccinating_Pregnant_and_Lactating_Patients_Against_COVID-19__ACOG20201213.pdf (accessed on 14 December 2022).
  34. Treger, S.; Shiloh, S.R.; Ben-Valid, T.; Ganor Paz, Y.; Sharvit, M.; Bryk, G.; Brosh-Nissimov, T.; Barzilay, E. Transplacental transfer of SARS-CoV-2 antibodies in recovered and BNT162b2-vaccinated patients. Am. J. Obstet. Gynecol. 2022, 226, 587–589.e2. [Google Scholar] [CrossRef] [PubMed]
  35. Engjom, H.; Akker, T.V.D.; Aabakke, A.; Ayras, O.; Bloemenkamp, K.; Donati, S.; Cereda, D.; Overtoom, E.; Knight, M. Severe COVID-19 in pregnancy is almost exclusively limited to unvaccinated women—Time for policies to change. Lancet Reg. Health Eur. 2022, 13, 100313. [Google Scholar] [CrossRef] [PubMed]
  36. Ministerio de Sanidad. SARS-CoV-2 Variants in Spain. Madrid 2022. Available online: https://www.sanidad.gob.es/profe (accessed on 14 December 2022).
  37. Singanayagam, A.; Hakki, S.; Dunning, J.; Madon, K.J.; Crone, M.A.; Koycheva, A.; Derqui-Fernandez, N.; Barnett, J.L.; Whitfield, M.G.; Varro, R.; et al. Community transmission and viral load kinetics of the SARS-CoV-2 delta (B.1.617.2) variant in vaccinated and unvaccinated individuals in the UK: A prospective, longitudinal, cohort study. Lancet Infect. Dis. 2022, 22, 183–195. [Google Scholar] [CrossRef] [PubMed]
  38. Novillo, B.; Martínez-Varea, A. COVID-19 Vaccines during Pregnancy and Breastfeeding: A Systematic Review. J. Pers. Med. 2022, 13, 40. [Google Scholar] [CrossRef]
Disclaimer/Publisher’s Note: The statements, opinions and data contained in all publications are solely those of the individual author(s) and contributor(s) and not of MDPI and/or the editor(s). MDPI and/or the editor(s) disclaim responsibility for any injury to people or property resulting from any ideas, methods, instructions or products referred to in the content.

Article Metrics

Citations

Article Access Statistics

Multiple requests from the same IP address are counted as one view.