Comparing the Clinical Efficacy of Coil Embolization in GDA Stump versus Common Hepatic Artery in Postoperative Hemorrhage after Pancreatoduodenectomy
Abstract
1. Introduction
2. Materials and Methods
2.1. Patients
2.2. TAE Procedure
2.3. Analysis
3. Results
3.1. General Data Analysis
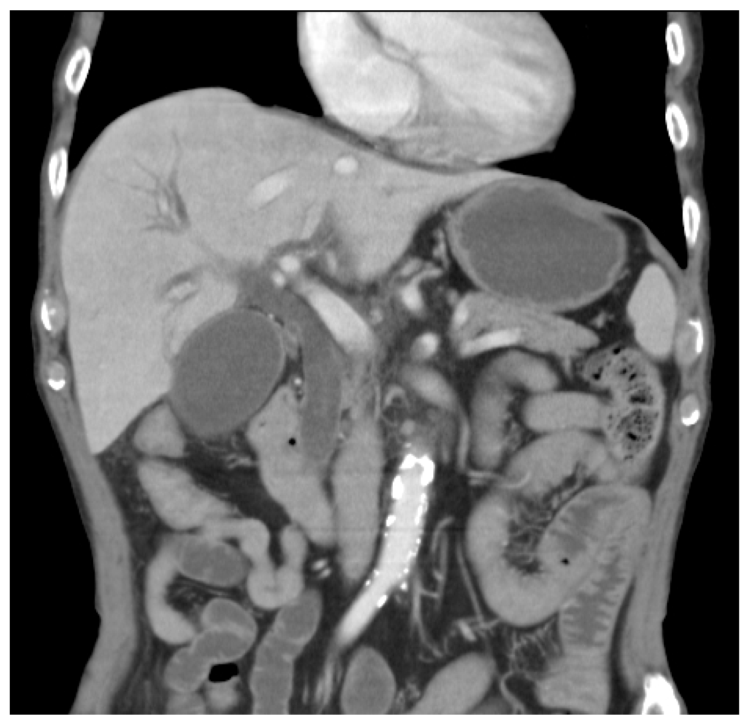
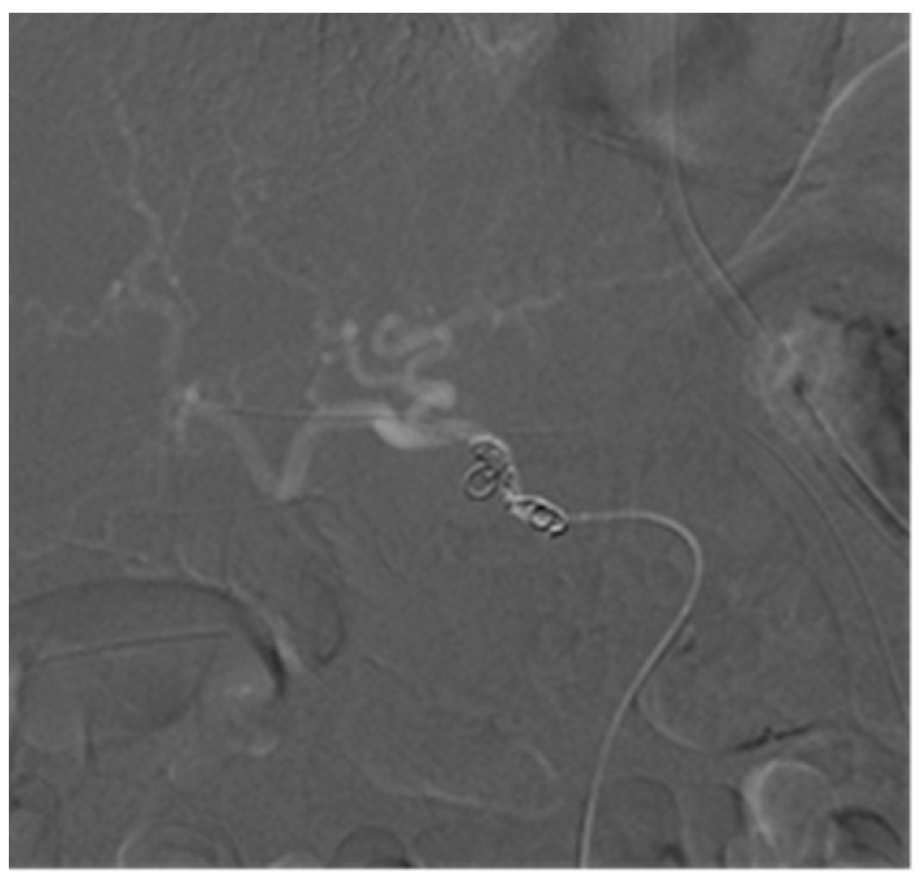
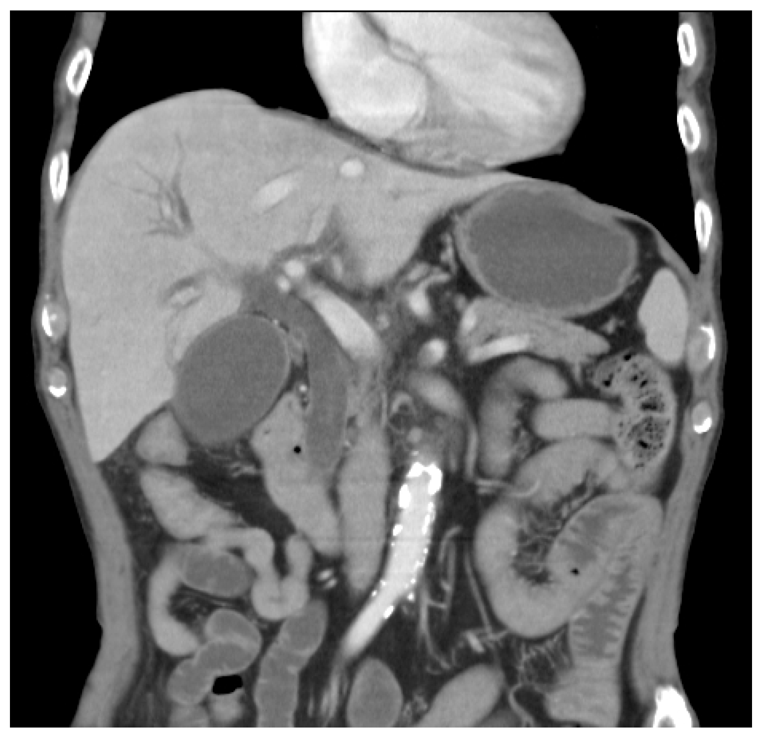
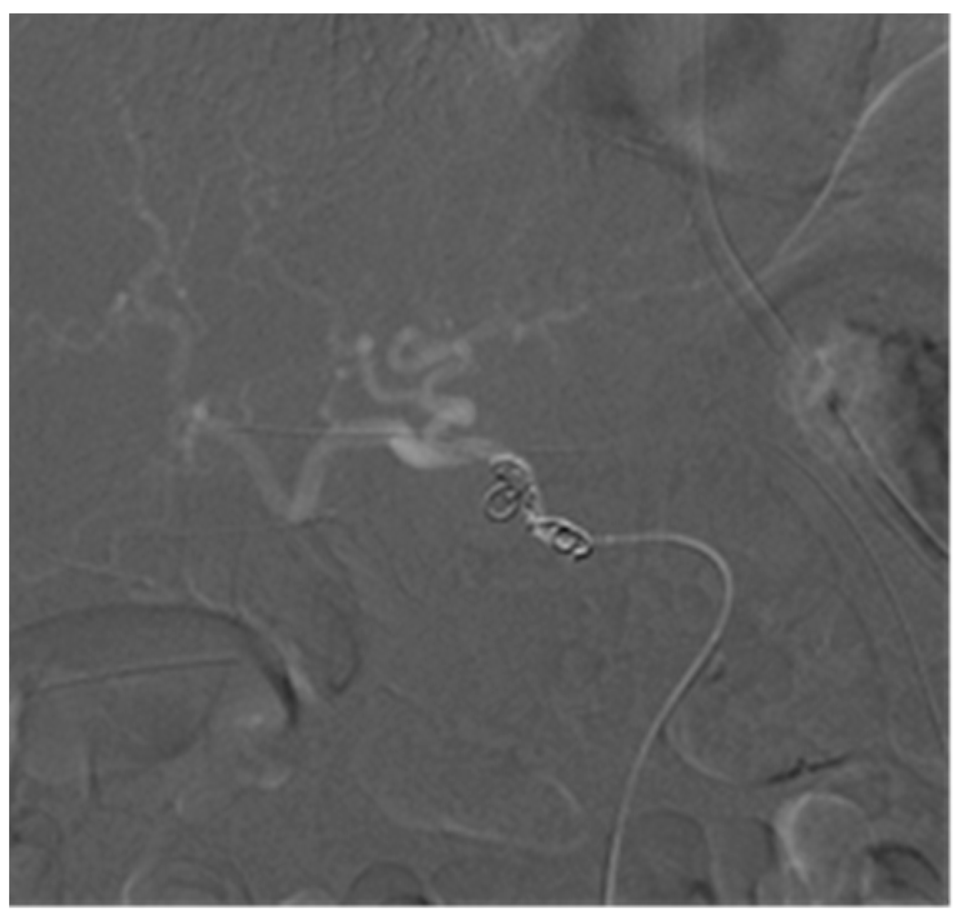
3.2. Procedure Analysis
4. Discussion
5. Conclusions
Author Contributions
Funding
Institutional Review Board Statement
Informed Consent Statement
Data Availability Statement
Acknowledgments
Conflicts of Interest
References
- Lee, J.H.; Hwang, D.W.; Lee, S.Y.; Hwang, J.W.; Song, D.K.; Gwon, D.I.; Shin, J.H.; Ko, G.Y.; Park, K.M.; Lee, Y.J. Clinical features and management of pseudoaneurysmal bleeding after pancreatoduodenectomy. Am. Surg. 2012, 78, 309–317. [Google Scholar] [CrossRef] [PubMed]
- Balachandran, P.; Sikora, S.S.; Raghavendra Rao, R.V.; Kumar, A.; Saxena, R.; Kapoor, V.K. Haemorrhagic complications of pancreaticoduodenectomy. ANZ J. Surg. 2004, 74, 945–950. [Google Scholar] [CrossRef] [PubMed]
- Koukoutsis, I.; Bellagamba, R.; Morris-Stiff, G.; Wickremesekera, S.; Coldham, C.; Wigmore, S.J.; Mayer, A.D.; Mirza, D.F.; Buckels, J.A.; Bramhall, S.R. Haemorrhage following pancreaticoduodenectomy: Risk factors and the importance of sentinel bleed. Dig. Surg. 2006, 23, 224–228. [Google Scholar] [CrossRef] [PubMed]
- Makowiec, F.; Riediger, H.; Euringer, W.; Uhl, M.; Hopt, U.T.; Adam, U. Management of delayed visceral arterial bleeding after pancreatic head resection. J. Gastrointest. Surg. 2005, 9, 1293–1299. [Google Scholar] [CrossRef] [PubMed]
- Tien, Y.W.; Wu, Y.M.; Liu, K.L.; Ho, C.M.; Lee, P.H. Angiography is indicated for every sentinel bleed after pancreaticoduodenectomy. Ann. Surg. Oncol. 2008, 15, 1855–1861. [Google Scholar] [CrossRef] [PubMed]
- Hur, S.; Yoon, C.J.; Kang, S.G.; Dixon, R.; Han, H.S.; Yoon, Y.S.; Cho, J.Y. Transcatheter arterial embolization of gastroduodenal artery stump pseudoaneurysms after pancreaticoduodenectomy: Safety and efficacy of two embolization techniques. J. Vasc. Interv. Radiol. 2011, 22, 294–301. [Google Scholar] [CrossRef]
- Beyer, L.; Bonmardion, R.; Marciano, S.; Hartung, O.; Ramis, O.; Chabert, L.; Léone, M.; Emungania, O.; Orsoni, P.; Barthet, M.; et al. Results of non-operative therapy for delayed hemorrhage after pancreaticoduodenectomy. J. Gastrointest. Surg. 2009, 13, 922–928. [Google Scholar] [CrossRef]
- Sato, N.; Yamaguchi, K.; Shimizu, S.; Morisaki, T.; Yokohata, K.; Chijiiwa, K.; Tanaka, M. Coil embolization of bleeding visceral pseudoaneurysms following pancreatectomy: The importance of early angiography. Arch. Surg. 1998, 133, 1099–1102. [Google Scholar] [CrossRef]
- Zhou, T.Y.; Sun, J.H.; Zhang, Y.L.; Zhou, G.H.; Nie, C.H.; Zhu, T.Y.; Chen, S.Q.; Wang, B.Q.; Wang, W.L.; Zheng, S.S. Post-pancreaticoduodenectomy hemorrhage: DSA diagnosis and endovascular treatment. Oncotarget 2017, 8, 73684–73692, Erratum in: Oncotarget. 2018, 9, 15436. [Google Scholar] [CrossRef]
- Hwang, K.; Lee, J.H.; Hwang, D.W.; Song, K.B.; Kwon, J.; Gwon, D.I.; Shin, J.H.; Kim, S.C. Clinical features and outcomes of endovascular treatment of latent pseudoaneurysmal bleeding after pancreaticoduodenectomy. ANZ J. Surg. 2020, 90, E148–E153. [Google Scholar] [CrossRef]
- Reber, P.U.; Baer, H.U.; Patel, A.G.; Wildi, S.; Triller, J.; Büchler, M.W. Selective microcoil embolization: Treatment of choice in high-risk patients with extrahepatic pseudoaneurysms of the hepatic arteries. J. Am. Coll. Surg. 1998, 186, 325–330. [Google Scholar] [CrossRef] [PubMed]
- Fujii, Y.; Shimada, H.; Endo, I.; Yoshida, K.; Matsuo, K.; Takeda, K.; Ueda, M.; Morioka, D.; Tanaka, K.; Togo, S. Management of massive arterial hemorrhage after pancreatobiliary surgery: Does embolotherapy contribute to successful outcome? J. Gastrointest. Surg. 2007, 11, 432–438. [Google Scholar] [CrossRef] [PubMed]
- Hu, Y.C.; Yeh, C.C.; Chen, R.Y.; Su, C.T.; Wang, W.C.; Bai, C.H.; Chan, C.F.; Su, F.H. Seroprevalence of hepatitis B virus in Taiwan 30 years after the commencement of the national vaccination program. PeerJ 2018, 6, e4297. [Google Scholar] [CrossRef] [PubMed]
- Yu, M.L.; Chen, P.J.; Dai, C.Y.; Hu, T.H.; Huang, C.F.; Huang, Y.H.; Hung, C.H.; Lin, C.Y.; Liu, C.H.; Liu, C.J.; et al. 2020 Taiwan consensus statement on the management of hepatitis C: Part (I) general population. J. Formos. Med. Assoc. 2020, 119, 1019–1040. [Google Scholar] [CrossRef]
- Ellison, E.C. Evidence-based management of hemorrhage after pancreaticoduodenectomy. Am. J. Surg. 2007, 194, 10–12. [Google Scholar] [CrossRef]
- Yamashita, Y.; Taketomi, A.; Fukuzawa, K.; Tsujita, E.; Harimoto, N.; Kitagawa, D.; Kuroda, Y.; Kayashima, H.; Wakasugi, K.; Maehara, Y. Risk factors for and management of delayed intraperitoneal hemorrhage after pancreatic and biliary surgery. Am. J. Surg. 2007, 193, 454–459. [Google Scholar] [CrossRef]
- Staerkle, R.F.; Gundara, J.S.; Hugh, T.J.; Maher, R.; Steinfort, B.; Samra, J.S. Management of re-bleeding after pancreatoduodenectomy. ANZ J. Surg. 2018, 88, E435–E439. [Google Scholar] [CrossRef]
- Bernon, M.M.; Krige, J.E.; Jonas, E.; Kloppers, J.C.; Burmeister, S.; Naidoo, N.G.; Beningfield, S.J. Severe post-pancreatoduodenectomy haemorrhage: An analytical review based on 118 consecutive pancreatoduodenectomy patients in a South African Academic Hospital. S. Afr. J. Surg. 2016, 54, 23–28. [Google Scholar]
- Kalva, S.P.; Yeddula, K.; Wicky, S.; Fernandez del Castillo, C.; Warshaw, A.L. Angiographic intervention in patients with a suspected visceral artery pseudoaneurysm complicating pancreatitis and pancreatic surgery. Arch. Surg. 2011, 146, 647–652. [Google Scholar] [CrossRef]
- Feng, J.; Chen, Y.L.; Dong, J.H.; Chen, M.Y.; Cai, S.W.; Huang, Z.Q. Post-pancreaticoduodenectomy hemorrhage: Risk factors, managements and outcomes. Hepatobiliary Pancreat Dis. Int. 2014, 13, 513–522. [Google Scholar] [CrossRef]
- Chang, Y.C.; Liu, K.L.; Huang, Y.C.; Chen, P.T.; Tien, Y.W.; Lin, Y.H.; Chang, Y.C. Efficacy and hepatic complications of three endovascular treatment approaches for delayed postpancreatectomy hemorrhage: Evolution over 15 years. CVIR Endovasc. 2019, 2, 33. [Google Scholar] [CrossRef] [PubMed]
- Hasegawa, T.; Ota, H.; Matsuura, T.; Seiji, K.; Mugikura, S.; Motoi, F.; Unno, M.; Takase, K. Endovascular Treatment of Hepatic Artery Pseudoaneurysm after Pancreaticoduodenectomy: Risk Factors Associated with Mortality and Complications. J. Vasc. Interv. Radiol. 2017, 28, 50–59.e5. [Google Scholar] [CrossRef] [PubMed]
- Yekebas, E.F.; Wolfram, L.; Cataldegirmen, G.; Habermann, C.R.; Bogoevski, D.; Koenig, A.M.; Kaifi, J.; Schurr, P.G.; Bubenheim, M.; Nolte-Ernsting, C.; et al. Postpancreatectomy hemorrhage: Diagnosis and treatment: An analysis in 1669 consecutive pancreatic resections. Ann. Surg. 2007, 246, 269–280. [Google Scholar] [CrossRef] [PubMed]
- Choi, W.S.; Yoon, C.J.; Lee, J.H.; Yoon, Y.S.; Cho, J.Y.; Lee, J.S. Hepatic Artery Embolization for Postoperative Hemorrhage: Importance of Arterial Collateral Vessels and Portal Venous Impairment. J. Vasc. Interv. Radiol. 2021, 32, 826–834. [Google Scholar] [CrossRef] [PubMed]
- Watanabe, Y.; Nakazawa, K.; Takase, K.; Watanabe, Y.; Okada, K.; Aikawa, M.; Okamoto, K.; Koyama, I. Outcomes of Arterial Embolization vs Covered Stents for Delayed Massive Hemorrhage After Pancreatic or Biliary Surgery. J. Gastrointest. Surg. 2022, 26, 1187–1197. [Google Scholar] [CrossRef] [PubMed]
- Öcal, O.; Mühlmann, M.; Puhr-Westerheide, D.; Fabritius, M.; Deniz, S.; Wildgruber, M.; D’Haese, J.; Werner, J.; Ricke, J.; Seidensticker, M. Stent-graft placement for hepatic arterial bleeding: Assessment of technical efficacy and clinical outcome in a tertiary care center. HPB 2022, 24, 672–680. [Google Scholar] [CrossRef]
- Pedersoli, F.; Van den Bosch, V.; Sieben, P.; Barzakova, E.; Schulze-Hagen, M.; Isfort, P.; Keil, S.; Wiltberger, G.; Kuhl, C.K.; Bruners, P. Stent Graft Placement by Pseudoaneurysm of the Hepatic Arteries: Efficacy and Patency Rate in Follow-up. Cardiovasc. Intervent. Radiol. 2022, 45, 21–28. [Google Scholar] [CrossRef]
- Loveček, M.; Havlík, R.; Köcher, M.; Vomáčková, K.; Neoral, C. Pseudoaneurysm of the gastroduodenal artery following. Videosurgery Other Miniinvasive Tech. 2014, 9, 297–301. [Google Scholar] [CrossRef]
- Heiss, P.; Bachthaler, M.; Hamer, O.W.; Piso, P.; Herold, T.; Schlitt, H.J.; Feuerbach, S.; Zorger, N. Delayed visceral arterial hemorrhage following Whipple’s procedure: Minimally invasive treatment with covered stents. Ann. Surg. Oncol. 2008, 15, 824–832. [Google Scholar] [CrossRef]
- Narumi, S.; Hakamda, K.; Toyoki, Y.; Noda, H.; Sato, T.; Morohashi, H.; Mitsui, T.; Yoshihara, S.; Sasaki, M. Endovascular treatment of life-threatening pseudoaneurysm of the hepatic artery after pancreaticoduodenectomy. Hepatogastroenterology 2007, 54, 2152–2154. [Google Scholar]







Disclaimer/Publisher’s Note: The statements, opinions and data contained in all publications are solely those of the individual author(s) and contributor(s) and not of MDPI and/or the editor(s). MDPI and/or the editor(s) disclaim responsibility for any injury to people or property resulting from any ideas, methods, instructions or products referred to in the content. |
© 2023 by the authors. Licensee MDPI, Basel, Switzerland. This article is an open access article distributed under the terms and conditions of the Creative Commons Attribution (CC BY) license (https://creativecommons.org/licenses/by/4.0/).
Share and Cite
Wu, C.-C.; Chen, H.-W.; Lee, K.-E.; Wong, Y.-C.; Ku, Y.-K. Comparing the Clinical Efficacy of Coil Embolization in GDA Stump versus Common Hepatic Artery in Postoperative Hemorrhage after Pancreatoduodenectomy. J. Pers. Med. 2023, 13, 264. https://doi.org/10.3390/jpm13020264
Wu C-C, Chen H-W, Lee K-E, Wong Y-C, Ku Y-K. Comparing the Clinical Efficacy of Coil Embolization in GDA Stump versus Common Hepatic Artery in Postoperative Hemorrhage after Pancreatoduodenectomy. Journal of Personalized Medicine. 2023; 13(2):264. https://doi.org/10.3390/jpm13020264
Chicago/Turabian StyleWu, Chia-Chien, Huan-Wu Chen, Ker-En Lee, Yon-Cheong Wong, and Yi-Kang Ku. 2023. "Comparing the Clinical Efficacy of Coil Embolization in GDA Stump versus Common Hepatic Artery in Postoperative Hemorrhage after Pancreatoduodenectomy" Journal of Personalized Medicine 13, no. 2: 264. https://doi.org/10.3390/jpm13020264
APA StyleWu, C.-C., Chen, H.-W., Lee, K.-E., Wong, Y.-C., & Ku, Y.-K. (2023). Comparing the Clinical Efficacy of Coil Embolization in GDA Stump versus Common Hepatic Artery in Postoperative Hemorrhage after Pancreatoduodenectomy. Journal of Personalized Medicine, 13(2), 264. https://doi.org/10.3390/jpm13020264

